Nasal Chondrosarcoma of the Lower Lateral Cartilage
Abstract
:1. Introduction
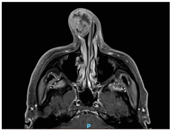
2. Case
3. Discussion
4. Conclusions
Author Contributions
Funding
Acknowledgments
Conflicts of Interest
References
- Stavrakas, M.; Nixon, I.; Andi, K.; Oakley, R.; Jeannon, J.P.; Lyons, A.; McGurk, M.; Guerrero Urbano, T.; Thavaraj, S.; Simo, R. Head and neck sarcomas: Clinical and histopathological presentation, treatment modalities, and outcomes. J. Laryngol. Otol. 2016, 130, 850–859. [Google Scholar] [CrossRef] [PubMed]
- Magnano, M.; Boffano, P.; Machetta, G.; Garibaldi, E.; Delmastro, E.; Gabriele, P. Chondrosarcoma of the nasal septum. Eur. Arch. Oto Rhino Laryngol. 2015, 272, 765–772. [Google Scholar] [CrossRef] [PubMed]
- Kainuma, K.; Netsu, K.; Asamura, K.; Hayashi, K.; Takumi, Y.; Ota, H.; Usami, S. Chondrosarcoma of the nasal septum: A case report. Auris Nasus Larynx. 2009, 36, 601–605. [Google Scholar] [CrossRef] [PubMed]
- Belgioia, L.; Vaccara, E.M.; Bacigalupo, A.; Corvo, R. Management of Nasal Septum Chondrosarcoma Occurring in Elderly: A Case Report. Cureus 2017, 9, e1497. [Google Scholar] [CrossRef] [PubMed]
- Khan, M.N.; Husain, Q.; Kanumuri, V.V.; Boghani, Z.; Patel, C.R.; Liu, J.K.; Eloy, J.A. Management of sinonasal chondrosarcoma: A systematic review of 161 patients. Int. Forum Allergy Rhinol. 2013, 3, 670–677. [Google Scholar] [CrossRef] [PubMed]
- Saito, K.; Unni, K.K.; Wollan, P.C.; Lund, B.A. Chondrosarcoma of the jaw and facial bones. Cancer 1995, 76, 1550–1558. [Google Scholar] [CrossRef]
- O’Neill, J.P.; Bilsky, M.H.; Kraus, D. Head and neck sarcomas: Epidemiology, pathology, and management. Neurosurg. Clin. N. Am. 2013, 24, 67–78. [Google Scholar] [CrossRef] [PubMed]
- Hong, P.; Taylor, S.M.; Trites, J.R.; Bullock, M.; Nasser, J.G.; Hart, R.D. Chondrosarcoma of the head and neck: Report of 11 cases and literature review. J. Otolaryngol. Head Neck Surg. 2009, 38, 279–285. [Google Scholar] [PubMed]
- Mark, R.J.; Tran, L.M.; Sercarz, J.; Fu, Y.S.; Calcaterra, T.C.; Parker, R.G. Chondrosarcoma of the head and neck. The UCLA experience, 1955–1988. Am. J. Clin. Oncol. 1993, 16, 232–237. [Google Scholar] [CrossRef] [PubMed]
- Lee, S.Y.; Lim, Y.C.; Song, M.H.; Seok, J.Y.; Lee, W.S.; Choi, E.C. Chondrosarcoma of the head and neck. Yonsei Med. J. 2005, 46, 228–232. [Google Scholar] [CrossRef] [PubMed]
- Obeso, S.; Llorente, J.L.; Pablo Díaz-Molina, J.; Sánchez-Fernández, R.; Pablo Rodrigo, J.; Suárez, C. Surgical treatment of head and neck chondrosarcomas. Acta Otorrinolaringol. Esp. 2010, 61, 262–271. [Google Scholar] [CrossRef] [PubMed]
- Simon, F.; Feuvret, L.; Bresson, D.; Guichard, J.P.; El Zein, S.; Bernat, A.L.; Labidi, M.; Calugaru, V.; Froelich, S.; Herman, P.; et al. Surgery and protontherapy in Grade I and II skull base chondrosarcoma: A comparative retrospective study. PLoS ONE 2018, 13, e0208786. [Google Scholar] [CrossRef] [PubMed]








© 2019 by the authors. Licensee MDPI, Basel, Switzerland. This article is an open access article distributed under the terms and conditions of the Creative Commons Attribution (CC BY) license (http://creativecommons.org/licenses/by/4.0/).
Share and Cite
Tan, H.B.; Rimmer, J. Nasal Chondrosarcoma of the Lower Lateral Cartilage. Medicina 2019, 55, 128. https://doi.org/10.3390/medicina55050128
Tan HB, Rimmer J. Nasal Chondrosarcoma of the Lower Lateral Cartilage. Medicina. 2019; 55(5):128. https://doi.org/10.3390/medicina55050128
Chicago/Turabian StyleTan, Hannah B., and Joanne Rimmer. 2019. "Nasal Chondrosarcoma of the Lower Lateral Cartilage" Medicina 55, no. 5: 128. https://doi.org/10.3390/medicina55050128
APA StyleTan, H. B., & Rimmer, J. (2019). Nasal Chondrosarcoma of the Lower Lateral Cartilage. Medicina, 55(5), 128. https://doi.org/10.3390/medicina55050128

