Antrodia Cinnamomea Prolongs Survival in a Patient with Small Cell Lung Cancer
Abstract
:1. Introduction
2. Case Report
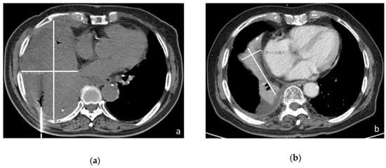
2.1. Case Report
2.2. Methanol Extract Preparation
2.3. High Performance Liquid Chromatograph (HPLC) Profiles of Methanol Extracts of DAC
3. Discussion
3.1. Patient Case
3.2. What Factors Influence the Efficacy of Using AC?
3.3. HPLC Profiles of a Methanol Extract of DAC
4. Conclusions
Supplementary Materials
Author Contributions
Funding
Acknowledgments
Conflicts of Interest
References
- Basumallik, N.; Agarwal, M. Cancer, Lung Small Cell (Oat Cell). In StatPearl; StatPearls Publishing: Treasure Island, FL, USA, 2019. [Google Scholar]
- El Maalouf, G.; Rodier, J.M.; Faivre, S.; Raymond, E. Could we expect to improve survival in small cell lung cancer? Lung Cancer 2007, 57, S30–S34. [Google Scholar] [CrossRef]
- Jackman, D.M.; Johnson, B.E. Small-Cell lung cancer. Lancet 2005, 366, 1385–1396. [Google Scholar] [CrossRef]
- Nishino, K.; Imamura, F.; Kumagai, T.; Uchida, J.; Akazawa, Y.; Okuyama, T.; Tomita, Y. Small-Cell lung carcinoma with long-Term survival: A case report. Oncol. Lett. 2011, 2, 827–830. [Google Scholar] [CrossRef] [PubMed]
- Jones, E.; Nissen, L.; McCarthy, A.; Steadman, K.; Windsor, C. Exploring the Use of Complementary and Alternative Medicine in Cancer Patients. Integr. Cancer Ther. 2019, 18. [Google Scholar] [CrossRef] [PubMed]
- Keene, M.R.; Heslop, I.M.; Sabesan, S.S.; Glass, B.D. Complementary and alternative medicine use in cancer: A systematic review. Complement. Ther. Clin. Pract. 2019, 35, 33–47. [Google Scholar] [CrossRef] [PubMed]
- Yeh, C.T.; Huang, W.C.; Rao, Y.K.; Ye, M.; Lee, W.H.; Wang, L.S.; Tzeng, D.T.; Wu, C.H.; Shieh, Y.S.; Huang, C.Y.; et al. A sesquiterpene lactone antrocin from Antrodia camphorata negatively modulates JAK2/STAT3 signaling via microRNA let-7c and induces apoptosis in lung cancer cells. Carcinogenesis 2013, 34, 2918–2928. [Google Scholar] [CrossRef] [PubMed]
- Chen, Y.C.; Liu, Y.C.; El-Shazly, M.; Wu, T.Y.; Chang, J.G.; Wu, Y.C. Antrodia cinnamomea, a Treasured Medicinal Mushroom, Induces Growth Arrest in Breast Cancer Cells, T47D Cells: New Mechanisms Emerge. Int. J. Mol. Sci. 2019, 20, 833. [Google Scholar] [CrossRef] [PubMed]
- Geethangili, M.; Tzeng, Y.M. Review of Pharmacological Effects of Antrodia camphorata and Its Bioactive Compounds. Evid. Based Complement. Altern. Med. 2011, 2011, 212641. [Google Scholar] [CrossRef]
- Huang, C.H.; Chen, Y.J.; Lin, C.C. Antrodia cinnamomea (A. camphorata, Neu Chang Chih): An exceptional polypore mushroom with potential antitumor and immune-Modulatory effects. Curr. Top. Nutraceutical Res. 2012, 10, 61–74. [Google Scholar]
- Lin, C.H.; Kuo, Y.H.; Shih, C.C. Eburicoic Acid, a Triterpenoid Compound from Antrodia camphorata, Displays Antidiabetic and Antihyperlipidemic Effects in Palmitate-Treated C2C12 Myotubes and in High-Fat Diet-Fed Mice. Int. J. Mol. Sci. 2017, 18, 2314. [Google Scholar] [CrossRef]
- Liu, D.Z.; Liang, Y.C.; Lin, S.Y.; Lin, Y.S.; Wu, W.C.; Hou, W.C.; Su, C.H. Antihypertensive activities of a solid-State culture of Taiwanofungus camphoratus (Chang-chih) in spontaneously hypertensive rats. Biosci. Biotechnol. Biochem. 2007, 71, 23–30. [Google Scholar] [CrossRef] [PubMed]
- Yen, I.C.; Shi, L.S.; Chung, M.C.; Ahmetaj-Shala, B.; Chang, T.C.; Lee, S.Y. Antrolone, a Novel Benzoid Derived from Antrodia cinnamomea, Inhibits the LPS-Induced Inflammatory Response in RAW264.7 Macrophage Cells by Balancing the NF-[Formula: See text]B and Nrf2 Pathways. Am. J. Chin. Med. 2018, 46, 1297–1313. [Google Scholar] [CrossRef] [PubMed]
- Lee, M.T.; Lin, W.C.; Wang, S.Y.; Lin, L.J.; Yu, B.; Lee, T.T. Evaluation of potential antioxidant and anti-inflammatory effects of Antrodia cinnamomea powder and the underlying molecular mechanisms via Nrf2- and NF-κB-Dominated pathways in broiler chickens. Poult. Sci. 2018, 97, 2419–2434. [Google Scholar] [CrossRef] [PubMed]
- Lien, H.M.; Tseng, C.J.; Huang, C.L.; Lin, Y.T.; Chen, C.C.; Lai, Y.Y. Antimicrobial activity of Antrodia camphorata extracts against oral bacteria. PLoS ONE 2014, 9, e105286. [Google Scholar] [CrossRef]
- Li, Y.H.; Chung, H.C.; Liu, S.L.; Chao, T.H.; Chen, J.C. A novel inhibitory effect of Antrodia camphorata extract on vascular smooth muscle cell migration and neointima formation in mice. Int. Heart J. 2009, 50, 207–220. [Google Scholar] [CrossRef]
- Chen, Y.Y.; Lo, C.P.; Lin, C.C.; Hsieh, Y.H. Effects of Taiwanofungus camphoratus on non-Specific and specific immune activities in mice. Mycology 2018, 9, 129–135. [Google Scholar] [CrossRef]
- Chen, Y.R.; Chang, K.T.; Tsai, M.J.; Lee, C.H.; Huang, K.J.; Cheng, H.; Ho, Y.P.; Chen, J.C.; Yang, H.H.; Weng, C.F. Antrodia cinnamomea profoundly exalted the reversion of activated hepatic stellate cells by the alteration of cellular proteins. Food Chem. Toxicol. 2014, 69, 150–162. [Google Scholar] [CrossRef]
- Yang, P.S.; Lin, P.Y.; Chang, C.C.; Yu, M.C.; Yen, T.L.; Lan, C.C.; Jayakumar, T.; Yang, C.H. Antrodia camphorata Potentiates Neuroprotection against Cerebral Ischemia in Rats via Downregulation of iNOS/HO-1/Bax and Activated Caspase-3 and Inhibition of Hydroxyl Radical Formation. Evid. Based Complement. Altern. Med. 2015, 2015, 232789. [Google Scholar] [CrossRef]
- Liu, J.J.; Huang, T.S.; Hsu, M.L.; Chen, C.C.; Lin, W.S.; Lu, F.J.; Chang, W.H. Antitumor effects of the partially purified polysaccharides from Antrodia camphorata and the mechanism of its action. Toxicol. Appl. Pharmacol. 2004, 201, 186–193. [Google Scholar] [CrossRef]
- Huang, T.T.; Lan, Y.W.; Ko, Y.F.; Chen, C.M.; Lai, H.C.; Ojcius, D.M.; Martel, J.; Young, J.D.; Chong, K.Y. Antrodia cinnamomea produces anti-angiogenic effects by inhibiting the VEGFR2 signaling pathway. J. Ethnopharmacol. 2018, 220, 239–249. [Google Scholar] [CrossRef]
- Tsai, M.Y.; Hung, Y.C.; Chen, Y.H.; Chen, Y.H.; Huang, Y.C.; Kao, C.W.; Su, Y.L.; Chiu, H.H.; Rau, K.M. A preliminary randomised controlled study of short-Term Antrodia cinnamomea treatment combined with chemotherapy for patients with advanced cancer. BMC Complement. Altern. Med. 2016, 16, 322. [Google Scholar] [CrossRef] [PubMed]
- Chen, C.Y.; Chien, S.C.; Tsao, N.W.; Lai, C.S.; Wang, Y.Y.; Hsiao, W.W.; Chu, F.H.; Kuo, Y.H.; Wang, S.Y. Metabolite Profiling and Comparison of Bioactivity in Antrodia cinnamomea and Antrodia salmonea Fruiting Bodies. Planta Med. 2016, 82, 244–249. [Google Scholar] [CrossRef]
- Lin, T.Y.; Tseng, A.J.; Qiu, W.L.; Chao, C.H.; Lu, M.K. A sulfated glucan from Antrodia cinnamomea reduces Slug expression through regulation of TGFbeta/AKT/GSK3beta axis in lung cancer. Carbohydr. Polym. 2019, 210, 175–184. [Google Scholar] [CrossRef] [PubMed]
- Kuo, Y.H.; Lin, C.H.; Shih, C.C. Antidiabetic and Antihyperlipidemic Properties of a Triterpenoid Compound, Dehydroeburicoic Acid, from Antrodia camphorata in Vitro and in Streptozotocin-Induced Mice. J. Agric. Food Chem. 2015, 63, 10140–10151. [Google Scholar] [CrossRef] [PubMed]
- Kuo, Y.H.; Lin, C.H.; Shih, C.C.; Yang, C.S. Antcin K, a Triterpenoid Compound from Antrodia camphorata, Displays Antidiabetic and Antihyperlipidemic Effects via Glucose Transporter 4 and AMP-Activated Protein Kinase Phosphorylation in Muscles. Evid. Based Complement. Altern. Med. 2016, 2016, 4867092. [Google Scholar] [CrossRef]
- Huang, H.T.; Wang, S.L.; Nguyen, V.B.; Kuo, Y.H. Isolation and Identification of Potent Antidiabetic Compounds from Antrodia cinnamomea-An Edible Taiwanese Mushroom. Molecules 2018, 23, 2864. [Google Scholar] [CrossRef] [PubMed]
- Liu, Y.; Wang, J.; Li, L.; Hu, W.; Qu, Y.; Ding, Y.; Meng, L.; Teng, L.; Wang, D. Hepatoprotective Effects of Antrodia cinnamomea: The Modulation of Oxidative Stress Signaling in a Mouse Model of Alcohol-Induced Acute Liver Injury. Oxid. Med. Cell. Longev. 2017, 2017, 7841823. [Google Scholar] [CrossRef]
- Li, Z.W.; Kuang, Y.; Tang, S.N.; Li, K.; Huang, Y.; Qiao, X.; Yu, S.W.; Tzeng, Y.M.; Lo, J.Y.; Ye, M. Hepatoprotective activities of Antrodia camphorata and its triterpenoid compounds against CCl4-Induced liver injury in mice. J. Ethnopharmacol. 2017, 206, 31–39. [Google Scholar] [CrossRef]
- Huo, Y.; Win, S.; Than, T.A.; Yin, S.; Ye, M.; Hu, H.; Kaplowitz, N. Antcin H Protects Against Acute Liver Injury Through Disruption of the Interaction of c-Jun-N-Terminal Kinase with Mitochondria. Antioxid. Redox Signal. 2017, 26, 207–220. [Google Scholar] [CrossRef]
- Chen, J.R.; Ko, J.; Yeh, W.J.; Huang, W.C.; Yang, H.Y. Renoprotective Effects of Antroquinonol in Rats with N(omega)-Nitro-l-Arginine Methyl Ester-Induced Hypertension. Nutrients 2018, 10, 1521. [Google Scholar] [CrossRef]
- Du, Y.C.; Wu, T.Y.; Chang, F.R.; Lin, W.Y.; Hsu, Y.M.; Cheng, F.T.; Lu, C.Y.; Yen, M.H.; Tsui, Y.T.; Chen, H.L.; et al. Chemical profiling of the cytotoxic triterpenoid-Concentrating fraction and characterization of ergostane stereo-Isomer ingredients from Antrodia camphorata. J. Pharm. Biomed. Anal. 2012, 58, 182–192. [Google Scholar] [CrossRef] [PubMed]




| Index Compounds | Detection Limit (mg/g) | |
|---|---|---|
| Ergostane-type triterpenoids | (R,S)-antcin K | 0.002 |
| (R,S)-antcin C | 0.002 | |
| (R,S)-antcin H | 0.004 | |
| (R,S)-antcin B | 0.002 | |
| (R,S)-antcin A | 0.007 | |
| Lanostane-type triterpenoids | DSA | 0.003 |
| DEA | 0.002 |
© 2019 by the authors. Licensee MDPI, Basel, Switzerland. This article is an open access article distributed under the terms and conditions of the Creative Commons Attribution (CC BY) license (http://creativecommons.org/licenses/by/4.0/).
Share and Cite
Long, H.; Hu, C.-T.; Weng, C.-F. Antrodia Cinnamomea Prolongs Survival in a Patient with Small Cell Lung Cancer. Medicina 2019, 55, 640. https://doi.org/10.3390/medicina55100640
Long H, Hu C-T, Weng C-F. Antrodia Cinnamomea Prolongs Survival in a Patient with Small Cell Lung Cancer. Medicina. 2019; 55(10):640. https://doi.org/10.3390/medicina55100640
Chicago/Turabian StyleLong, Huei, Chi-Tan Hu, and Ching-Feng Weng. 2019. "Antrodia Cinnamomea Prolongs Survival in a Patient with Small Cell Lung Cancer" Medicina 55, no. 10: 640. https://doi.org/10.3390/medicina55100640
APA StyleLong, H., Hu, C.-T., & Weng, C.-F. (2019). Antrodia Cinnamomea Prolongs Survival in a Patient with Small Cell Lung Cancer. Medicina, 55(10), 640. https://doi.org/10.3390/medicina55100640

