CD40 Ligand Potentiates Immunogenecity of Mycoplasma pneumoniae Subunit Vaccine Candidate in a Murine Model
Abstract
1. Introduction
2. Materials and Methods
2.1. Cells Lines, Plasmids and Viruses
2.2. Selection of Coding Sequences and Gene Design and Construction of the Baculovirus Expression Vector
2.3. Preparation of Recombinant Baculovirus Plasmids
2.4. Protein Expression, Purification and Identification
2.5. Immunization of Mice
2.6. Analysis of Antibody Responses
2.7. Lymphocyte Proliferation Test
2.8. Detection of Serum Cytokine Levels
2.9. Statistical Analysis
3. Results
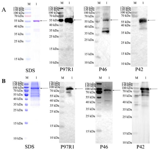
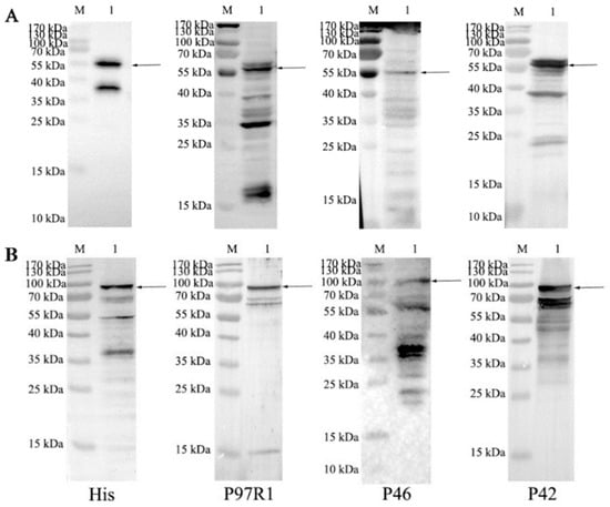
3.1. Vector Construction, Chimeric Protein Expression and Identification by Western Blotting
3.2. Purification and Identification of Chimeric Proteins
3.3. Immunogenicity Assessment of the Chimeric Proteins
4. Discussion
5. Conclusions
Author Contributions
Funding
Institutional Review Board Statement
Informed Consent Statement
Data Availability Statement
Acknowledgments
Conflicts of Interest
References
- Sibila, M.; Pieters, M.; Molitor, T.; Maes, D.; Segalés, J. Current perspectives on the diagnosis and epidemiology of Mycoplasma hyopneumoniae infection. Vet. J. 2008, 181, 221–231. [Google Scholar] [CrossRef] [PubMed]
- Oliveira, N.D.; Jorge, S.; Gomes, C.K.; Rizzi, C.; Pacce, V.D.; Collares, T.F.; Monte, L.G.; Dellagostin, O.A. A novel chimeric protein composed of recombinant Mycoplasma hyopneumoniae antigens as a vaccine candidate evaluated in mice. Vet. Microbiol. 2017, 201, 146–153. [Google Scholar] [CrossRef]
- Holst, S.; Yeske, P.; Pieters, M. Elimination of Mycoplasma hyopneumoniae from breed-to-wean farms: A review of current protocols with emphasis on herd closure and medication. J. Swine Health Prod. 2015, 23, 321–330. [Google Scholar] [CrossRef]
- Maes, D.; Sibila, M.; Kuhnert, P.; Segales, J.; Haesebrouck, F.; Pieters, M. Update on Mycoplasma hyopneumoniae infections in pigs: Knowledge gaps for improved disease control. Transbound. Emerg. Dis. 2017, 65 (Suppl. S1), 110–124. [Google Scholar] [CrossRef] [PubMed]
- Meyns, T.; Dewulf, J.; de Kruif, A.; Calus, D.; Haesebrouck, F.; Maes, D. Comparison of transmission of Mycoplasma hyopneumoniae in vaccinated and non-vaccinated populations. Vaccine 2006, 24, 7081–7086. [Google Scholar] [CrossRef]
- Leal Zimmer, F.M.A.; Paes, J.A.; Zaha, A.; Ferreira, H.B. Pathogenicity & virulence of Mycoplasma hyopneumoniae. Virulence 2020, 11, 1600–1622. [Google Scholar] [CrossRef] [PubMed]
- He, Y.; Xu, M.J.; Zhou, D.H.; Zou, F.C.; Lin, R.Q.; Yin, C.C.; He, X.H.; Liang, R.; Liang, M.; Zhu, X.Q. Seroprevalence of Mycoplasma hyopneumoniae in pigs in subtropical southern China. Trop. Anim. Health Prod. 2011, 43, 695–698. [Google Scholar] [CrossRef] [PubMed]
- Boeters, M.; Garcia-Morante, B.; van Schaik, G.; Segalés, J.; Rushton, J.; Steeneveld, W. The economic impact of endemic respiratory disease in pigs and related interventions—A systematic review. Porc. Health Manag. 2023, 9, 45. [Google Scholar] [CrossRef] [PubMed]
- Paes, J.A.; Machado, L.; Dos Anjos Leal, F.M.; De Moraes, S.N.; Moura, H.; Barr, J.R.; Ferreira, H.B. Comparative proteomics of two Mycoplasma hyopneumoniae strains and Mycoplasma flocculare identified potential porcine enzootic pneumonia determinants. Virulence 2018, 9, 1230–1246. [Google Scholar] [CrossRef] [PubMed]
- Siqueira, F.M.; Gerber, A.L.; Guedes, R.L.; Almeida, L.G.; Schrank, I.S.; Vasconcelos, A.T.; Zaha, A. Unravelling the transcriptome profile of the Swine respiratory tract mycoplasmas. PLoS ONE 2014, 9, e110327. [Google Scholar] [CrossRef] [PubMed]
- Zhang, Q.; Young, T.F.; Ross, R.F. Identification and characterization of a Mycoplasma hyopneumoniae adhesin. Infect. Immun. 1995, 63, 1013–1019. [Google Scholar] [CrossRef] [PubMed]
- Conceicao, F.R.; Moreira, A.N.; Dellagostin, O.A. A recombinant chimera composed of R1 repeat region of Mycoplasma hyopneumoniae P97 adhesin with Escherichia coli heat-labile enterotoxin B subunit elicits immune response in mice. Vaccine 2006, 24, 5734–5743. [Google Scholar] [CrossRef]
- Okamba, F.R.; Arella, M.; Music, N.; Jia, J.J.; Gottschalk, M.; Gagnon, C.A. Potential use of a recombinant replication-defective adenovirus vector carrying the C-terminal portion of the P97 adhesin protein as a vaccine against Mycoplasma hyopneumoniae in swine. Vaccine 2010, 28, 4802–4809. [Google Scholar] [CrossRef] [PubMed]
- Marchioro, S.B.; Fisch, A.; Gomes, C.K.; Jorge, S.; Galli, V.; Haesebrouck, F.; Maes, D.; Dellagostin, O.; Conceicao, F.R. Local and systemic immune responses induced by a recombinant chimeric protein containing Mycoplasma hyopneumoniae antigens fused to the B subunit of Escherichia coli heat-labile enterotoxin LTB. Vet. Microbiol. 2014, 173, 166–171. [Google Scholar] [CrossRef] [PubMed]
- Simionatto, S.; Marchioro, S.B.; Galli, V.; Brum, C.B.; Klein, C.S.; Rebelatto, R.; Silva, E.F.; Borsuk, S.; Conceicao, F.R.; Dellagostin, O.A. Immunological characterization of Mycoplasma hyopneumoniae recombinant proteins. Comp. Immunol. Microbiol. Infect. Dis. 2012, 35, 209–216. [Google Scholar] [CrossRef] [PubMed]
- Li, L.; Zhang, Y.; Dong, J.; Zhang, J.; Zhang, C.; Sun, M.; Cao, Y. The truncated E protein of DTMUV provide protection in young ducks. Vet. Microbiol. 2020, 240, 108508. [Google Scholar] [CrossRef]
- Galli, V.; Simionatto, S.; Marchioro, S.B.; Fisch, A.; Gomes, C.K.; Conceição, F.R.; Dellagostin, O.A. Immunisation of mice with Mycoplasma hyopneumoniae antigens P37, P42, P46 and P95 delivered as recombinant subunit or DNA vaccines. Vaccine 2012, 31, 135–140. [Google Scholar] [CrossRef] [PubMed]
- Villarreal, I.; Meyns, T.; Dewulf, J.; Vranckx, K.; Calus, D.; Pasmans, F.; Haesebrouck, F.; Maes, D. The effect of vaccination on the transmission of Mycoplasma hyopneumoniae in pigs under field conditions. Vet. J. 2011, 188, 48–52. [Google Scholar] [CrossRef] [PubMed]
- Duivon, D.; Correge, I.; Hemonic, A.; Rigaut, M.; Roudaut, D.; Jolie, R. Field evaluation of piglet vaccination with a Mycoplasma hyopneumoniae bacterin as compared to a ready-to-use product including porcine circovirus 2 and M. hyopneumoniae in a conventional French farrow-to-finish farm. Porc. Health Manag. 2018, 4, 4. [Google Scholar] [CrossRef]
- Escobar, J.; Van Alstine, W.G.; Baker, D.H.; Johnson, R.W. Decreased protein accretion in pigs with viral and bacterial pneumonia is associated with increased myostatin expression in muscle. J. Nutr. 2004, 134, 3047–3053. [Google Scholar] [CrossRef] [PubMed][Green Version]
- Michiels, A.; Arsenakis, I.; Boyen, F.; Krejci, R.; Haesebrouck, F.; Maes, D. Efficacy of one dose vaccination against experimental infection with two Mycoplasma hyopneumoniae strains. BMC Vet. Res. 2017, 13, 274. [Google Scholar] [CrossRef]
- Petri, F.A.M.; Malcher, C.S.; Mechler-Dreibi, M.L.; Panneitz, A.K.; Braga, E.R.; Aguiar, G.A.; Toledo, L.T.; Martins, T.S.; Cides-da-Silva, L.C.; Fantini, M.C.A.; et al. Shedding reduction and immunity modulation in piglets with an inactivated Mycoplasma hyopneumoniae vaccine encapsulated in nanostructured SBA-15 silica. Vaccine 2024, 42, 126268. [Google Scholar] [CrossRef] [PubMed]
- Torres-Puig, S.; Crespo-Pomar, S.; Akarsu, H.; Yimthin, T.; Cippà, V.; Démoulins, T.; Posthaus, H.; Ruggli, N.; Kuhnert, P.; Labroussaa, F.; et al. Functional surface expression of immunoglobulin cleavage systems in a candidate Mycoplasma vaccine chassis. Commun. Biol. 2024, 7, 779. [Google Scholar] [CrossRef] [PubMed]
- Li, L.; Petrovsky, N. Molecular Adjuvants for DNA Vaccines. Curr. Issues Mol. Biol. 2017, 22, 17–40. [Google Scholar] [CrossRef] [PubMed]
- Facchini, F.A.; Minotti, A.; Luraghi, A.; Romerio, A.; Gotri, N.; Matamoros-Recio, A.; Iannucci, A.; Palmer, C.; Wang, G.; Ingram, R.; et al. Synthetic Glycolipids as Molecular Vaccine Adjuvants: Mechanism of Action in Human Cells and In Vivo Activity. J. Med. Chem. 2021, 64, 12261–12272. [Google Scholar] [CrossRef] [PubMed]
- Zhang, H.; Li, Y.; Li, W.; Li, Z.; Zhou, J.; Tong, D. Surface Display of Cholera Toxin B Subunit Recombinant Escherichia coli Ghosts Further Enhances Resistance to Chlamydia abortus Infection in Mice. Microorganisms 2024, 12, 1656. [Google Scholar] [CrossRef]
- Tao, Y.; Yang, R.; Shu, J.; Zheng, W.; Chen, J.; Wu, Y.; He, Y. Immune responses induced by a combined vaccination with a recombinant chimera of Mycoplasma hyopneumoniae antigens and capsid virus-like particles of porcine circovirus type 2. BMC Vet. Res. 2020, 16, 342. [Google Scholar] [CrossRef]
- Tao, Y.; Li, G.; Zheng, W.; Shu, J.; Chen, J.; Yang, F.; Wu, Y.; He, Y. Development of a Combined Genetic Engineering Vaccine for Porcine Circovirus Type 2 and Mycoplasma hyopneumoniae by a Baculovirus Expression System. Int. J. Mol. Sci. 2019, 20, 4425. [Google Scholar] [CrossRef] [PubMed]
- Fan, X.; Hashem, A.M.; Chen, Z.; Li, C.; Doyle, T.; Zhang, Y.; Yi, Y.; Farnsworth, A.; Xu, K.; Li, Z.; et al. Targeting the HA2 subunit of influenza A virus hemagglutinin via CD40L provides universal protection against diverse subtypes. Mucosal Immunol. 2015, 8, 211–220. [Google Scholar] [CrossRef] [PubMed]
- Schönbeck, U.; Libby, P. The CD40/CD154 receptor/ligand dyad. Cell. Mol. Life Sci. CMLS 2001, 58, 4–43. [Google Scholar] [CrossRef] [PubMed]
- van Kooten, C.; Banchereau, J. CD40-CD40 ligand. J. Leukoc. Biol. 2000, 67, 2–17. [Google Scholar] [CrossRef]
- Diggs, L.P.; Ruf, B.; Ma, C.; Heinrich, B.; Cui, L.; Zhang, Q.; McVey, J.C.; Wabitsch, S.; Heinrich, S.; Rosato, U.; et al. CD40-mediated immune cell activation enhances response to anti-PD-1 in murine intrahepatic cholangiocarcinoma. J. Hepatol. 2021, 74, 1145–1154. [Google Scholar] [CrossRef] [PubMed]
- Bacharier, L.B.; Geha, R.S. Molecular mechanisms of IgE regulation. J. Allergy Clin. Immunol. 2000, 105, S547–S558. [Google Scholar] [CrossRef] [PubMed]
- Muralidharan, A.; Russell, M.; Larocque, L.; Gravel, C.; Li, C.; Chen, W.; Cyr, T.; Lavoie, J.R.; Farnsworth, A.; Rosu-Myles, M.; et al. Targeting CD40 enhances antibody- and CD8-mediated protection against respiratory syncytial virus infection. Sci. Rep. 2018, 8, 16648. [Google Scholar] [CrossRef] [PubMed]
- Güthe, S.; Kapinos, L.; Möglich, A.; Meier, S.; Grzesiek, S.; Kiefhaber, T. Very fast folding and association of a trimerization domain from bacteriophage T4 fibritin. J. Mol. Biol. 2004, 337, 905–915. [Google Scholar] [CrossRef] [PubMed]
- Garza-Moreno, L.; Segalés, J.; Pieters, M.; Romagosa, A.; Sibila, M. Acclimation strategies in gilts to control Mycoplasma hyopneumoniae infection. Vet. Microbiol. 2018, 219, 23–29. [Google Scholar] [CrossRef]
- Perrie, Y.; Mohammed, A.R.; Kirby, D.J.; McNeil, S.E.; Bramwell, V.W. Vaccine adjuvant systems: Enhancing the efficacy of sub-unit protein antigens. Int. J. Pharm. 2008, 364, 272–280. [Google Scholar] [CrossRef] [PubMed]
- Kastenmüller, W.; Kastenmüller, K.; Kurts, C.; Seder, R.A. Dendritic cell-targeted vaccines—Hope or hype? Nat. Rev. Immunol. 2014, 14, 705–711. [Google Scholar] [CrossRef]
- Zom, G.G.; Khan, S.; Filippov, D.V.; Ossendorp, F. TLR ligand-peptide conjugate vaccines: Toward clinical application. Adv. Immunol. 2012, 114, 177–201. [Google Scholar] [CrossRef] [PubMed]
- Moyle, P.M. Biotechnology approaches to produce potent, self-adjuvanting antigen-adjuvant fusion protein subunit vaccines. Biotechnol. Adv. 2017, 35, 375–389. [Google Scholar] [CrossRef] [PubMed]
- França, T.T.; Al-Sbiei, A.; Bashir, G.; Mohamed, Y.A.; Salgado, R.C.; Barreiros, L.A.; Maria da Silva Napoleão, S.; Weber, C.W.; Fernandes Severo Ferreira, J.; Aranda, C.S.; et al. CD40L modulates transcriptional signatures of neutrophils in the bone marrow associated with development and trafficking. JCI Insight 2021, 6, e148652. [Google Scholar] [CrossRef] [PubMed]
- Loskog, A.; Totterman, T.H. CD40L—A multipotent molecule for tumor therapy. Endocr. Metab. Immune Disord. Drug Targets 2007, 7, 23–28. [Google Scholar] [CrossRef] [PubMed]
- Tamming, L.A.; Duque, D.; Tran, A.; Zhang, W.; Pfeifle, A.; Laryea, E.; Wu, J.; Raman, S.N.T.; Gravel, C.; Russell, M.S.; et al. DNA Based Vaccine Expressing SARS-CoV-2 Spike-CD40L Fusion Protein Confers Protection Against Challenge in a Syrian Hamster Model. Front. Immunol. 2021, 12, 785349. [Google Scholar] [CrossRef] [PubMed]
- Huang, J.; Luo, G.; Wang, W.; Lu, Y.; Wang, M.; Liu, M.; Zhu, D.; Chen, S.; Zhao, X.; Yang, Q.; et al. Duck CD40L as an adjuvant enhances systemic immune responses of avian flavivirus DNA vaccine. NPJ Vaccines 2024, 9, 135. [Google Scholar] [CrossRef] [PubMed]
- Li, D.; Huang, Y.; Du, Q.; Wang, Z.; Chang, L.; Zhao, X.; Tong, D. CD40 Ligand and GMCSF Coexpression Enhance the Immune Responses and Protective Efficacy of PCV2 Adenovirus Vaccine. Viral Immunol. 2016, 29, 148–158. [Google Scholar] [CrossRef] [PubMed]
- Souod, N.; Kargar, M.; Hoseini, M.H.; Jafarinia, M. Fusion-expressed CtxB-TcpA-C-CPE improves both systemic and mucosal humoral and T-cell responses against cholera in mice. Microb. Pathog. 2021, 157, 104978. [Google Scholar] [CrossRef] [PubMed]
- Yin, G.; Lin, Q.; Qiu, J.; Qin, M.; Tang, X.; Suo, X.; Huang, Z.; Liu, X. Immunogenicity and protective efficacy of an Eimeria vaccine candidate based on Eimeria tenella immune mapped protein 1 and chicken CD40 ligand. Vet. Parasitol. 2015, 210, 19–24. [Google Scholar] [CrossRef] [PubMed]
- Liu, J.; Yu, Q.; Stone, G.W.; Yue, F.Y.; Ngai, N.; Jones, R.B.; Kornbluth, R.S.; Ostrowski, M.A. CD40L expressed from the canarypox vector, ALVAC, can boost immunogenicity of HIV-1 canarypox vaccine in mice and enhance the in vitro expansion of viral specific CD8+ T cell memory responses from HIV-1-infected and HIV-1-uninfected individuals. Vaccine 2008, 26, 4062–4072. [Google Scholar] [CrossRef] [PubMed]
- Hashem, A.M.; Gravel, C.; Chen, Z.; Yi, Y.; Tocchi, M.; Jaentschke, B.; Fan, X.; Li, C.; Rosu-Myles, M.; Pereboev, A.; et al. CD40 ligand preferentially modulates immune response and enhances protection against influenza virus. J. Immunol. 2014, 193, 722–734. [Google Scholar] [CrossRef]
- Li, G.; Shu, J.; Jin, J.; Shu, J.; Feng, H.; Chen, J.; He, Y. Development of a Multi-Epitope Vaccine for Mycoplasma hyopneumoniae and Evaluation of Its Immune Responses in Mice and Piglets. Int. J. Mol. Sci. 2022, 23, 7899. [Google Scholar] [CrossRef] [PubMed]
- He, Y.; Xie, K.; Yuan, Z.; Ouyang, T.; Dong, A.; Ling, B.; Zeng, W.; Fang, Y.; Song, Y.; Wang, L.; et al. A subunit vaccine based on P97R1, P46, P42, and P65 from Mycoplasma hyopneumoniae can induce significant immune response in piglets. Front. Vet. Sci. 2024, 11, 1493650. [Google Scholar] [CrossRef]
- Tao, Y.; Shu, J.; Chen, J.; Wu, Y.; He, Y. A concise review of vaccines against Mycoplasma hyopneumoniae. Res. Vet. Sci. 2019, 123, 144–152. [Google Scholar] [CrossRef]
- Santos, M.R.; Toledo, L.T.; Bassi, Ê.J.; Porto, W.J.N.; Bressan, G.C.; Moreira, M.A.S.; Chang, Y.F.; Silva-Júnior, A. Chimeric proteins of Mycoplasma hyopneumoniae as vaccine and preclinical model for immunological evaluation. Braz. J. Microbiol. [Publ. Braz. Soc. Microbiol.] 2024, 55, 943–953. [Google Scholar] [CrossRef] [PubMed]






Disclaimer/Publisher’s Note: The statements, opinions and data contained in all publications are solely those of the individual author(s) and contributor(s) and not of MDPI and/or the editor(s). MDPI and/or the editor(s) disclaim responsibility for any injury to people or property resulting from any ideas, methods, instructions or products referred to in the content. |
© 2025 by the authors. Licensee MDPI, Basel, Switzerland. This article is an open access article distributed under the terms and conditions of the Creative Commons Attribution (CC BY) license (https://creativecommons.org/licenses/by/4.0/).
Share and Cite
Shu, J.; Li, G.; Shu, J.; Feng, H.; He, Y. CD40 Ligand Potentiates Immunogenecity of Mycoplasma pneumoniae Subunit Vaccine Candidate in a Murine Model. Curr. Issues Mol. Biol. 2025, 47, 37. https://doi.org/10.3390/cimb47010037
Shu J, Li G, Shu J, Feng H, He Y. CD40 Ligand Potentiates Immunogenecity of Mycoplasma pneumoniae Subunit Vaccine Candidate in a Murine Model. Current Issues in Molecular Biology. 2025; 47(1):37. https://doi.org/10.3390/cimb47010037
Chicago/Turabian StyleShu, Jinqi, Gaojian Li, Jianhong Shu, Huapeng Feng, and Yulong He. 2025. "CD40 Ligand Potentiates Immunogenecity of Mycoplasma pneumoniae Subunit Vaccine Candidate in a Murine Model" Current Issues in Molecular Biology 47, no. 1: 37. https://doi.org/10.3390/cimb47010037
APA StyleShu, J., Li, G., Shu, J., Feng, H., & He, Y. (2025). CD40 Ligand Potentiates Immunogenecity of Mycoplasma pneumoniae Subunit Vaccine Candidate in a Murine Model. Current Issues in Molecular Biology, 47(1), 37. https://doi.org/10.3390/cimb47010037

