Identification of a New B-Cell Epitope on the Capsid Protein of Avian Leukosis Virus and Its Application
Abstract
1. Introduction
2. Materials and Methods
2.1. Cell Lines, Viruses and Reagents
2.2. Expression and Purification of P27 Proteins
2.3. Characterization and Identification of Monoclonal Antibodies
2.4. Western Blotting
2.5. Indirect Immunofluorescence
2.6. Indirect Enzyme-Linked Immunosorbent Assay (ELISA)
2.7. Identification of the Antigenic Epitope Recognized by the mAb
2.8. Biological Information Analysis
2.9. mAb-Based Sandwich ELISA
3. Results
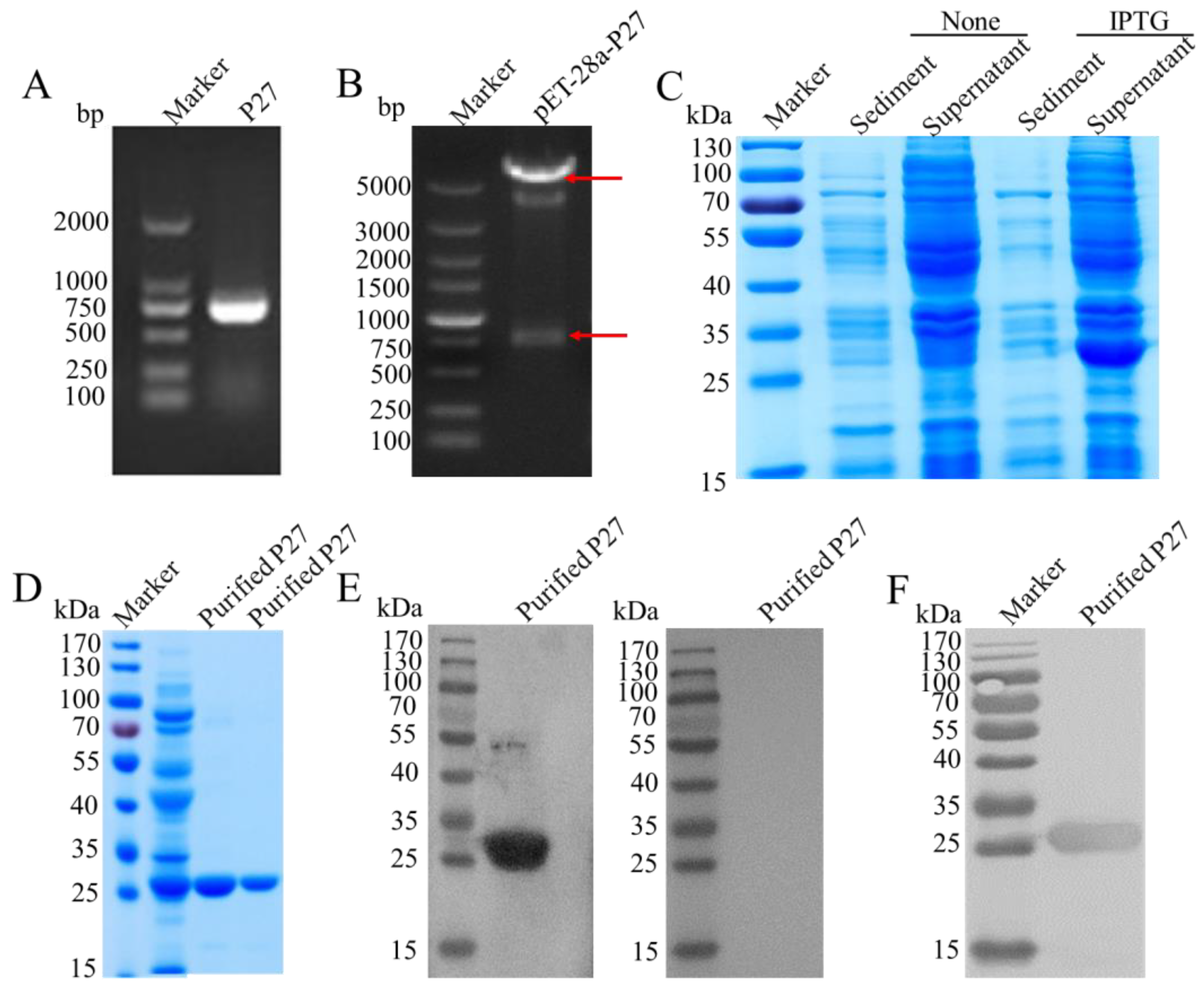
3.1. Expression and Purification of P27 Proteins
3.2. Characterization and Identification of Monoclonal Antibodies
3.3. Specificity of mAbs
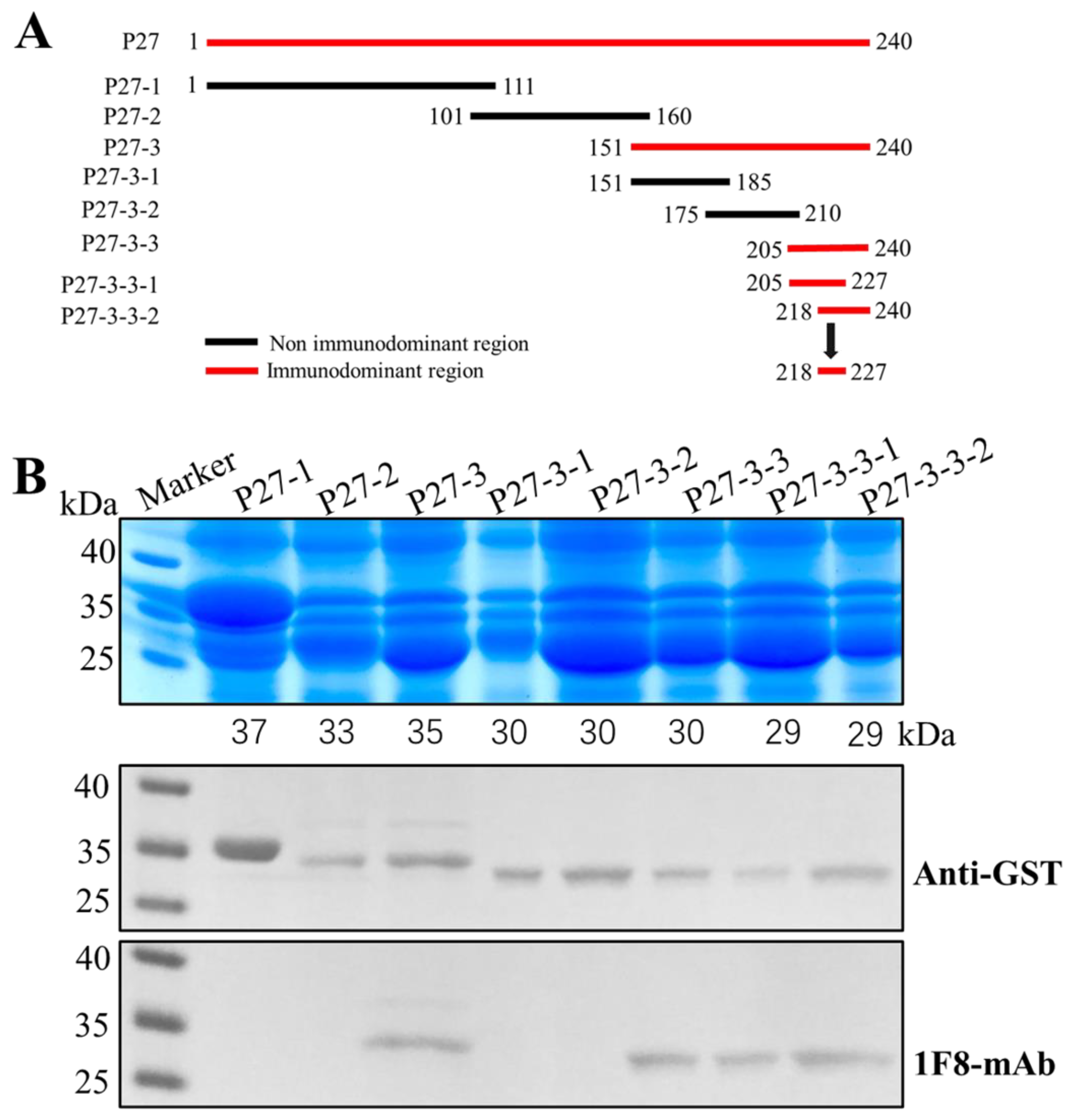
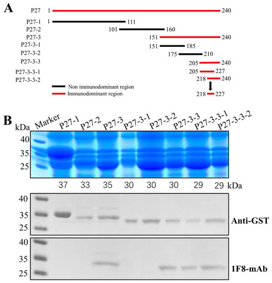
3.4. Identification of the Antigenic Epitope Recognized by the mAb
3.5. Spatial Structures and Biological Characteristics of the B-Cell Epitopes
3.6. Conservation Analysis of the Epitope P27 in Different Strains
3.7. Primary Application of 1F8 mAb in Serological Approaches for ALV Detection
4. Discussion
Author Contributions
Funding
Institutional Review Board Statement
Informed Consent Statement
Data Availability Statement
Conflicts of Interest
References
- Mo, G.; Wei, P.; Hu, B.; Nie, Q.; Zhang, X. Advances on genetic and genomic studies of ALV resistance. J. Anim. Sci. Biotechnol. 2022, 13, 123. [Google Scholar] [CrossRef] [PubMed]
- Payne, L.N.; Nair, V. The long view: 40 years of avian leukosis research. Avian Pathol. 2012, 41, 11–19. [Google Scholar] [CrossRef] [PubMed]
- Payne, L.N. Retrovirus-induced disease in poultry. Poult. Sci. 1998, 77, 1204–1212. [Google Scholar] [CrossRef] [PubMed]
- Fadly, A.M. Isolation and identification of avian leukosis viruses: A review. Avian Pathol. 2000, 29, 529–535. [Google Scholar] [CrossRef] [PubMed]
- Li, X.; Lin, W.; Chang, S.; Zhao, P.; Zhang, X.; Liu, Y.; Chen, W.; Li, B.; Shu, D.; Zhang, H.; et al. Isolation, identification and evolution analysis of a novel subgroup of avian leukosis virus isolated from a local Chinese yellow broiler in South China. Arch. Virol. 2016, 161, 2717–2725. [Google Scholar] [CrossRef] [PubMed]
- Deng, Q.; Li, M.; He, C.; Lu, Q.; Gao, Y.; Li, Q.; Shi, M.; Wang, P.; Wei, P. Genetic diversity of avian leukosis virus subgroup J (ALV-J): Toward a unified phylogenetic classification and nomenclature system. Virus Evol. 2021, 7, veab037. [Google Scholar] [CrossRef] [PubMed]
- Venugopal, K. Avian leukosis virus subgroup J: A rapidly evolving group of oncogenic retroviruses. Res. Vet. Sci. 1999, 67, 113–119. [Google Scholar] [CrossRef] [PubMed]
- Bai, J.; Payne, L.N.; Skinner, M.A. HPRS-103 (exogenous avian leukosis virus, subgroup J) has an env gene related to those of endogenous elements EAV-0 and E51 and an E element found previously only in sarcoma viruses. J. Virol. 1995, 69, 779–784. [Google Scholar] [CrossRef]
- Wu, X.; Qian, K.; Qin, A.; Shen, H.; Wang, P.; Jin, W.; Eltahir, Y.M. Recombinant avian leukosis viruses of subgroup J isolated from field infected commercial layer chickens with hemangioma and myeloid leukosis possess an insertion in the E element. Vet. Res. Commun. 2010, 34, 619–632. [Google Scholar] [CrossRef]
- Qiu, Y.; Qian, K.; Shen, H.; Jin, W.; Qin, A. Development and validation of an indirect enzyme-linked immunosorbent assay for the detection of Avian leukosis virus antibodies based on a recombinant capsid protein. J. Vet. Diagn. Invest. 2011, 23, 991–993. [Google Scholar] [CrossRef]
- Zhou, X.; Wang, L.; Shen, A.; Shen, X.; Xu, M.; Qian, K.; Shao, H.; Yao, Y.; Nair, V.; Ye, J.; et al. Detection of ALV p27 in cloacal swabs and virus isolation medium by sELISA. BMC Vet. Res. 2019, 15, 383. [Google Scholar] [CrossRef]
- Li, X.; Qin, L.; Zhu, H.; Sun, Y.; Cui, X.; Gao, Y.; Qi, X.; Wang, Y.; Gao, H.; Gao, Y.; et al. Identification of a linear B-cell epitope on the avian leukosis virus P27 protein using monoclonal antibodies. Arch. Virol. 2016, 161, 2871–2877. [Google Scholar] [CrossRef] [PubMed]
- Khairy, W.O.A.; Wang, L.; Tian, X.; Ye, J.; Qian, K.; Shao, H.; Qin, A. Identification of a novel linear B-cell epitope in the p27 of Avian leukosis virus. Virus Res. 2017, 238, 253–257. [Google Scholar] [CrossRef] [PubMed]
- Yu, M.; Bao, Y.; Wang, M.; Zhu, H.; Wang, X.; Xing, L.; Chang, F.; Liu, Y.; Farooque, M.; Wang, Y.; et al. Development and application of a colloidal gold test strip for detection of avian leukosis virus. Appl. Microbiol. Biotechnol. 2019, 103, 427–435. [Google Scholar] [CrossRef]
- Yun, B.; Li, D.; Zhu, H.; Liu, W.; Qin, L.; Liu, Z.; Wu, G.; Wang, Y.; Qi, X.; Gao, H.; et al. Development of an antigen-capture ELISA for the detection of avian leukosis virus p27 antigen. J. Virol. Methods 2013, 187, 278–283. [Google Scholar] [CrossRef] [PubMed]
- Wang, X.; Zhou, D.; Wang, G.; Huang, L.; Zheng, Q.; Li, C.; Cheng, Z. A novel multi-variant epitope ensemble vaccine against avian leukosis virus subgroup J. Vaccine 2017, 35, 6685–6690. [Google Scholar] [CrossRef]
- Qian, K.; Tian, X.; Shao, H.; Ye, J.; Yao, Y.; Nair, V.; Qin, A. Identification of novel B-cell epitope in gp85 of subgroup J avian leukosis virus and its application in diagnosis of disease. BMC Vet. Res. 2018, 14, 295. [Google Scholar] [CrossRef] [PubMed]
- Beatty, J.D.; Beatty, B.G.; Vlahos, W.G. Measurement of monoclonal antibody affinity by non-competitive enzyme immunoassay. J. Immunol. Methods 1987, 100, 173–179. [Google Scholar] [CrossRef]
- Witter, R.L. Avian tumor viruses: Persistent and evolving pathogens. Acta Vet. Hung. 1997, 45, 251–266. [Google Scholar]
- Su, Q.; Zhang, Y.; Li, Y.; Cui, Z.; Chang, S.; Zhao, P. Epidemiological investigation of the novel genotype avian hepatitis E virus and co-infected immunosuppressive viruses in farms with hepatic rupture haemorrhage syndrome, recently emerged in China. Transbound. Emerg. Dis. 2019, 66, 776–784. [Google Scholar] [CrossRef]
- Freick, M.; Schreiter, R.; Weber, J.; Vahlenkamp, T.W.; Heenemann, K. Avian leukosis virus (ALV) is highly prevalent in fancy-chicken flocks in Saxony. Arch. Virol. 2022, 167, 1169–1174. [Google Scholar] [CrossRef]
- Sun, T.; Wang, X.; Han, W.; Ma, X.; Yin, W.; Fang, B.; Lin, X.; Li, Y. Complete genome sequence of a novel recombinant avian leukosis virus isolated from a three-yellow chicken. Arch. Virol. 2020, 165, 2615–2618. [Google Scholar] [CrossRef] [PubMed]
- Liang, X.; Gu, Y.; Chen, X.; Li, T.; Gao, Y.; Wang, X.; Fang, C.; Fang, S.; Yang, Y. Identification and characterization of a novel natural recombinant avian leucosis virus from Chinese indigenous chicken flock. Virus Genes 2019, 55, 726–733. [Google Scholar] [CrossRef]
- Zhao, Z.; Rao, M.; Liao, M.; Cao, W. Phylogenetic Analysis and Pathogenicity Assessment of the Emerging Recombinant Subgroup K of Avian Leukosis Virus in South China. Viruses 2018, 10, 194. [Google Scholar] [CrossRef] [PubMed]
- Zhang, P.; Lv, L.; Sun, H.; Li, S.; Fan, H.; Wang, X.; Bai, J.; Jiang, P. Identification of linear B cell epitope on gB, gC, and gE proteins of porcine pseudorabies virus using monoclonal antibodies. Vet. Microbiol. 2019, 234, 83–91. [Google Scholar] [CrossRef]
- Kong, N.; Meng, Q.; Jiao, Y.; Wu, Y.; Zuo, Y.; Wang, H.; Sun, D.; Dong, S.; Zhai, H.; Tong, W.; et al. Identification of a novel B-cell epitope in the spike protein of porcine epidemic diarrhea virus. Virol. J. 2020, 17, 46. [Google Scholar] [CrossRef]
- Wang, L.; Zhao, J.; Schank, M.; Khanal, S.; Dang, X.; Cao, D.; Nguyen, L.N.T.; Zhang, Y.; Wu, X.Y.; Adkins, J.L.; et al. Identification of virus-specific B-cell epitopes by convalescent plasma from COVID-19 patients. Mol. Immunol. 2022, 152, 215–223. [Google Scholar] [CrossRef] [PubMed]
- Lim, H.X.; Masomian, M.; Khalid, K.; Kumar, A.U.; MacAry, P.A.; Poh, C.L. Identification of B-Cell Epitopes for Eliciting Neutralizing Antibodies against the SARS-CoV-2 Spike Protein through Bioinformatics and Monoclonal Antibody Targeting. Int. J. Mol. Sci. 2022, 23, 4341. [Google Scholar] [CrossRef] [PubMed]
- Hao, C.; Ren, H.; Wu, X.; Shu, X.; Li, Z.; Hu, Y.; Zeng, Q.; Zhang, Y.; Zu, S.; Yuan, J.; et al. Preparation of monoclonal antibody and identification of two novel B cell epitopes to VP1 protein of porcine sapelovirus. Vet. Microbiol. 2022, 275, 109593. [Google Scholar] [CrossRef]
- Ren, D.; Li, T.; Zhang, W.; Zhang, X.; Zhang, X.; Xie, Q.; Zhang, J.; Shao, H.; Wan, Z.; Qin, A.; et al. Identification of three novel B cell epitopes in ORF2 protein of the emerging goose astrovirus and their application. Appl. Microbiol. Biotechnol. 2022, 106, 855–863. [Google Scholar] [CrossRef]
- Huang, X.; Huang, J.; Yin, G.; Cai, Y.; Chen, M.; Hu, J.; Feng, X. Identification of NP Protein-Specific B-Cell Epitopes for H9N2 Subtype of Avian Influenza Virus. Viruses 2022, 14, 1172. [Google Scholar] [CrossRef] [PubMed]
- Xue, M.; Shi, X.; Zhang, J.; Zhao, Y.; Cui, H.; Hu, S.; Gao, H.; Cui, X.; Wang, Y.F. Identification of a conserved B-cell epitope on reticuloendotheliosis virus envelope protein by screening a phage-displayed random peptide library. PLoS ONE 2012, 7, e49842. [Google Scholar] [CrossRef] [PubMed]
- Jiang, L.; Zhou, J.M.; Yin, Y.; Fang, D.Y.; Tang, Y.X.; Jiang, L.F. Selection and identification of B-cell epitope on NS1 protein of dengue virus type 2. Virus Res. 2010, 150, 49–55. [Google Scholar] [CrossRef] [PubMed]
- Du, Y.; Hou, L.; Li, J. Epitope mapping of HIV-1 using phage-display random peptide library and the purified IgG from HIV patient. Zhonghua Shi Yan He Lin Chuang Bing Du Xue Za Zhi 2000, 14, 338–341. [Google Scholar]
- Fumagalli, M.J.; Figueiredo, L.T.M.; Aquino, V.H. Linear and Continuous Flavivirus Epitopes From Naturally Infected Humans. Front. Cell. Infect. Microbiol. 2021, 11, 710551. [Google Scholar] [CrossRef]








| Primers | Sequence (5′ to 3′) |
|---|---|
| P27-F | CAGCAAATGGGTCGCGGATCCCCTGTAGTGATTAAGACAGAGGGACC |
| P27-R | TGCGGCCGCAAGCTTGTCGACGGCCGCGGCTATGCCTTG |
| P27-1-F | TTCCAGGGGCCCCTGGGATCCCCTGTAGTGATTAAGACAGAGGGACC |
| P27-1-R | GATGCGGCCGCTCGAGTCGACATCAGCTAAACCCTTTAAGCGATC |
| P27-2-F | TTCCAGGGGCCCCTGGGATCCACTAATTTGGATCGCTTAAAGGGT |
| P27-2-R | GATGCGGCCGCTCGAGTCGACTGGTCCCTGCGTAATGTCCG |
| P27-3-F | TTCCAGGGGCCCCTGGGATCCGGTCCATGGGCGGACATT |
| P27-3-R | GATGCGGCCGCTCGAGTCGACGGCCGCGGCTATGCCTTG |
| P27-3-1-F | TTCCAGGGGCCCCTGGGATCCGGTCCATGGGCGGACATT |
| P27-3-1-R | GATGCGGCCGCTCGAGTCGACTCGCGCGGAAGGCGGGAG |
| P27-3-2-F | TTCCAGGGGCCCCTGGGATCCGTTGAGGGGTCAGATCTCCCG |
| P27-3-2-R | GATGCGGCCGCTCGAGTCGACGGAGGGTGCTGCCCGTAT |
| P27-3-3-F | TTCCAGGGGCCCCTGGGATCCATACGGGCAGCACCCTCC |
| P27-3-3-R | GATGCGGCCGCTCGAGTCGACGGCCGCGGCTATGCCTTG |
| P27-3-3-1-F | TTCCAGGGGCCCCTGGGATCCATACGGGCAGCACCCTCC |
| P27-3-3-1-R | GATGCGGCCGCTCGAGTCGACCTTCTGCCTGTCTAGCACATATTTG |
| P27-3-3-2-F | TTCCAGGGGCCCCTGGGATCCATAATCAAATATGTGCTAGACAGGCAG |
| P27-3-3-2-R | GATGCGGCCGCTCGAGTCGACGGCCGCGGCTATGCCTTG |
| Samples a | Limits of Detection b | |
|---|---|---|
| Sandwich ELISA | IDEXX ELISA | |
| P27 protein | 64× | 16× |
| Albumen | 32× | 32× |
| Plasma | 16× | 8× |
| Semen | 64× | 32× |
| Cloacal swab | 256× | 64× |
| Sandwich ELISA | IDEXX ELISA | |||||
|---|---|---|---|---|---|---|
| Albumen | Cloacal Swabs | |||||
| ALV | Positive | Negative | Total | Positive | Negative | Total |
| Positive | 156 | 3 | 159 | 25 | 14 | 39 |
| Negative | 5 | 296 | 301 | 3 | 142 | 145 |
| Total | 161 | 299 | 460 | 28 | 156 | 184 |
Disclaimer/Publisher’s Note: The statements, opinions and data contained in all publications are solely those of the individual author(s) and contributor(s) and not of MDPI and/or the editor(s). MDPI and/or the editor(s) disclaim responsibility for any injury to people or property resulting from any ideas, methods, instructions or products referred to in the content. |
© 2024 by the authors. Licensee MDPI, Basel, Switzerland. This article is an open access article distributed under the terms and conditions of the Creative Commons Attribution (CC BY) license (https://creativecommons.org/licenses/by/4.0/).
Share and Cite
Wang, Z.; Liu, L.; Dou, J.; Li, L.; Lu, Q.; Jin, X.; Shao, H.; Cheng, Z.; Zhang, T.; Luo, Q.; et al. Identification of a New B-Cell Epitope on the Capsid Protein of Avian Leukosis Virus and Its Application. Curr. Issues Mol. Biol. 2024, 46, 5866-5880. https://doi.org/10.3390/cimb46060350
Wang Z, Liu L, Dou J, Li L, Lu Q, Jin X, Shao H, Cheng Z, Zhang T, Luo Q, et al. Identification of a New B-Cell Epitope on the Capsid Protein of Avian Leukosis Virus and Its Application. Current Issues in Molecular Biology. 2024; 46(6):5866-5880. https://doi.org/10.3390/cimb46060350
Chicago/Turabian StyleWang, Zui, Lina Liu, Junfeng Dou, Li Li, Qin Lu, Xinxin Jin, Huabin Shao, Zhengyu Cheng, Tengfei Zhang, Qingping Luo, and et al. 2024. "Identification of a New B-Cell Epitope on the Capsid Protein of Avian Leukosis Virus and Its Application" Current Issues in Molecular Biology 46, no. 6: 5866-5880. https://doi.org/10.3390/cimb46060350
APA StyleWang, Z., Liu, L., Dou, J., Li, L., Lu, Q., Jin, X., Shao, H., Cheng, Z., Zhang, T., Luo, Q., & Bei, W. (2024). Identification of a New B-Cell Epitope on the Capsid Protein of Avian Leukosis Virus and Its Application. Current Issues in Molecular Biology, 46(6), 5866-5880. https://doi.org/10.3390/cimb46060350

