Histopathological Analysis of Lipopolysaccharide-Induced Liver Inflammation and Thrombus Formation in Mice: The Protective Effects of Aspirin
Abstract
1. Introduction
2. Materials and Methods
2.1. Animals
2.2. LPS Induction and Aspirin Administration
2.3. Tissue Preparation, Histopathology, and Scanning Electron Microscope (SEM) Analysis
2.4. Correlative Light and Electron Microscope Analysis
2.5. Measurement of CRP, IL-1β, and TNF-α in Blood
2.6. Data Analysis
3. Results
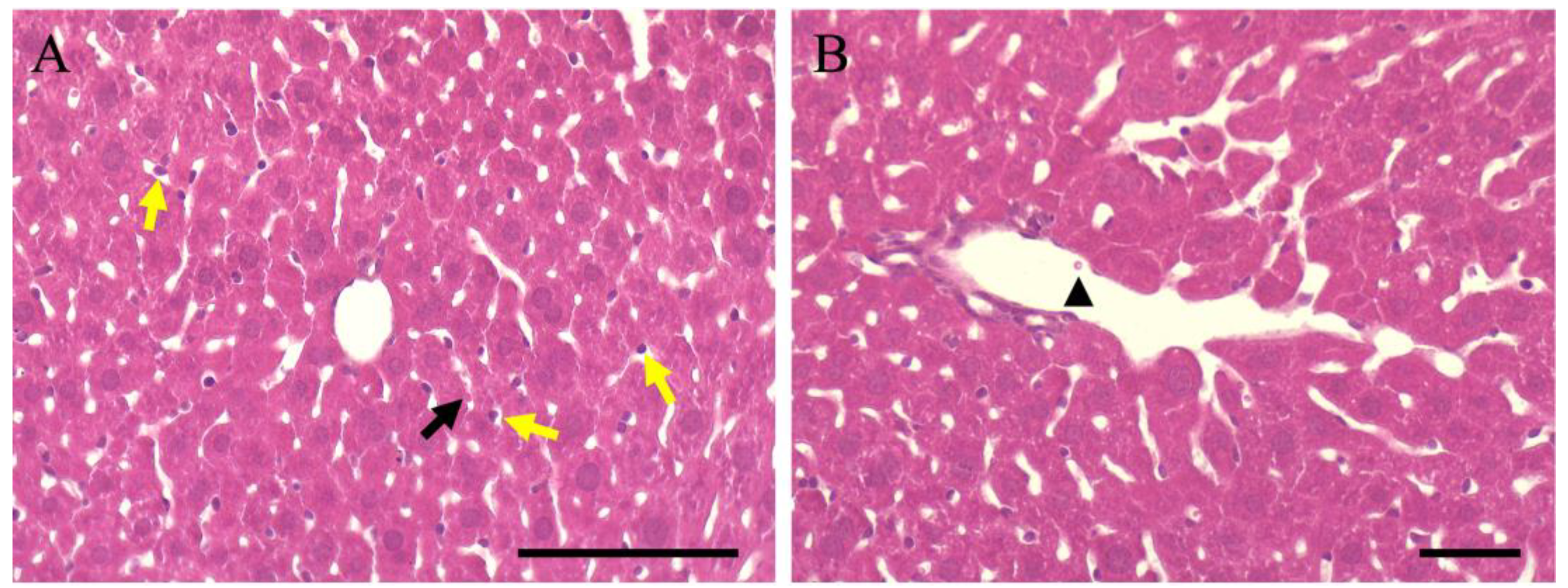
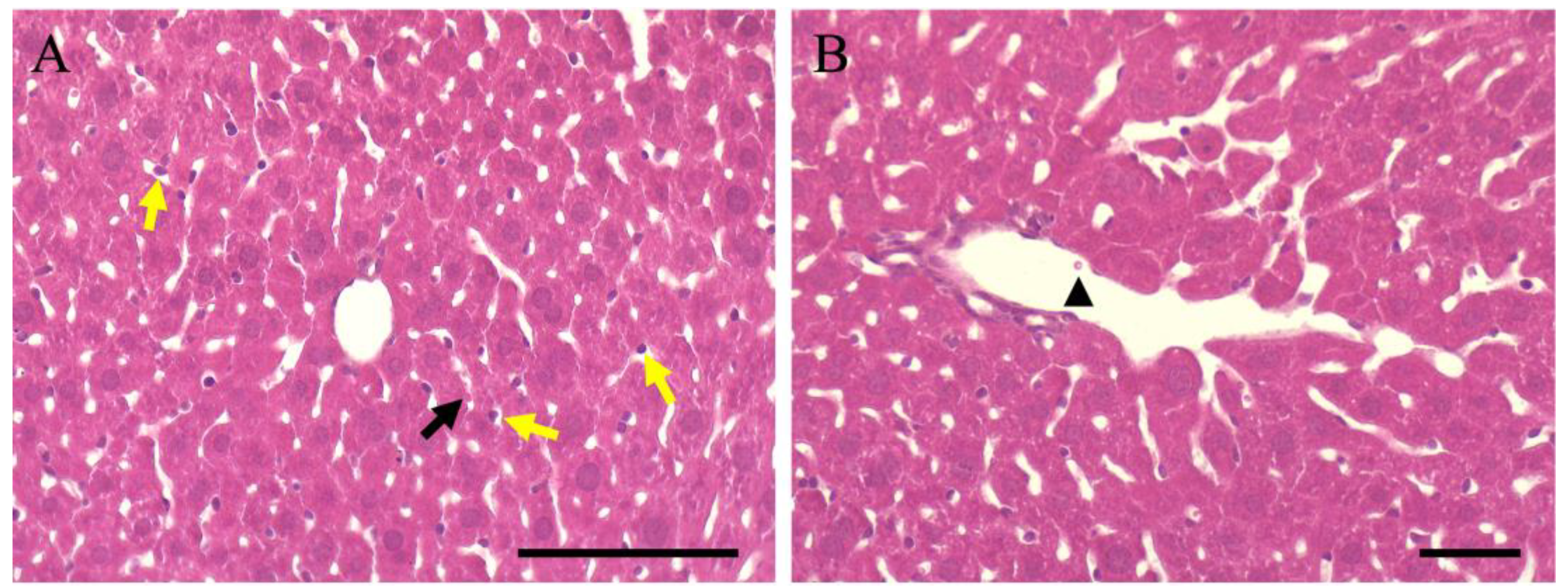
3.1. Histopathological Analysis
3.2. Correlative Light and Electron Microscopy Analysis
3.3. Histopathological and SEM Analysis of the Blood Vessels in the Liver
3.4. SEM Analysis of the Blood Vessels and Hepatocytes in the Liver
3.5. Thromboprophylaxis Effect of Aspirin Pre-Administration
4. Discussion
5. Conclusions
Author Contributions
Funding
Institutional Review Board Statement
Informed Consent Statement
Data Availability Statement
Conflicts of Interest
References
- Ohtsuki, T.; Kimura, K.; Tokunaga, Y.; Tsukiyama-Kohara, K.; Tateno, C.; Hayashi, Y.; Hishima, T.; Kohara, M. M2 Macrophages Play Critical Roles in Progression of Inflammatory Liver Disease in Hepatitis C Virus Transgenic Mice. J. Virol. 2016, 90, 300–307. [Google Scholar] [CrossRef]
- Mohan, P.; Chandra, R.S.; Escolar, D.M.; Luban, N.L. Inflammatory myopathy and hepatitis C in a pediatric patient: Role of liver biopsy in evaluating the severity of liver disease. Hepatology 2001, 34, 851–852. [Google Scholar] [CrossRef]
- Yoshihara, S.; Harada, K.; Ohta, S. Metabolism of 1-methyl-4-phenyl-1,2,3,6-tetrahydropyridine (MPTP) in perfused rat liver: Involvement of hepatic aldehyde oxidase as a detoxification enzyme. Drug Metab. Dispos. 2000, 28, 538–543. [Google Scholar]
- Shin, M.S.; Kang, E.H.; Lee, Y.I. A flavonoid from medicinal plants blocks hepatitis B virus-e antigen secretion in HBV-infected hepatocytes. Antiviral Res. 2005, 67, 163–168. [Google Scholar] [CrossRef] [PubMed]
- Hayashi, M.; Kanda, T.; Nakamura, M.; Miyamura, T.; Yasui, S.; Nakamoto, S.; Wu, S.; Arai, M.; Imazeki, F.; Yokosuka, O. Acute liver injury in a patient with alcohol dependence: A case resembling autoimmune hepatitis or drug-induced liver injury. Case Rep. Gastroenterol. 2014, 8, 129–133. [Google Scholar] [CrossRef] [PubMed]
- Odena, G.; Chen, J.; Lozano, J.J.; Altamirano, J.; Rodrigo-Torres, D.; Affo, S.; Morales-Ibanez, O.; Matsushita, H.; Zou, J.; Dumitru, R.; et al. LPS-TLR4 Pathway Mediates Ductular Cell Expansion in Alcoholic Hepatitis. Sci. Rep. 2016, 6, 35610. [Google Scholar] [CrossRef] [PubMed]
- Maldonado, R.F.; Sa-Correia, I.; Valvano, M.A. Lipopolysaccharide modification in Gram-negative bacteria during chronic infection. FEMS Microbiol. Rev. 2016, 40, 480–493. [Google Scholar] [CrossRef]
- Li, M.; Zhao, Y.; Liu, X.; Dang, Z.; Wang, X.; Jiang, Y.; Yang, Z. Association and interaction between model for end-stage liver disease score and minimally invasive treatment with regard to mortality of patients with hepatitis B virus-associated hepatocellular carcinoma and portal vein tumor thrombi. Oncol. Lett. 2019, 17, 119–126. [Google Scholar] [CrossRef]
- Kohler, J.; Ehler, J.; Kreikemeyer, B.; Bajorath, R.; Schurholz, T.; Oehmcke-Hecht, S. The synthetic LPS binding peptide 19-2.5 interferes with clotting and prevents degradation of high molecular weight kininogen in plasma. Sci. Rep. 2020, 10, 7142. [Google Scholar] [CrossRef] [PubMed]
- Schafer, A.I.; Mann, D.L. Thrombotic, Cardiovascular, and Microvascular Complications of Myeloproliferative Neoplasms and Clonal Hematopoiesis (CHIP): A Narrative Review. J. Clin. Med. 2024, 13, 6084. [Google Scholar] [CrossRef]
- Feigin, V.L.; Abate, M.D.; Abate, Y.H.; Abd ElHafeez, S.; Abd-Allah, F.; Abdelalim, A.; Abdelkader, A.; Abdelmasseh, M.; Abd-Elsalam, S.; Abdi, P.; et al. Global, regional, and national burden of stroke and its risk factors, 1990–2021: A systematic analysis for the Global Burden of Disease Study 2021. Lancet Neurol. 2024, 23, 973–1003. [Google Scholar] [CrossRef]
- Gao, X.; Chen, H.; Huang, Z.; Lin, J.; Huang, J.; Chen, Q. Correlation Between Neutrophil-to-Lymphocyte Ratio and Platelet-to-Lymphocyte Ratio with Risk Stratification Indicators and Thrombus Burden in Patients with Moderate-to-High Risk Acute Pulmonary Embolism, and Changes After Treatment. Clin. Appl. Thromb. Hemost. 2024, 30, 10760296241285446. [Google Scholar] [CrossRef]
- Qiu, J.; Yu, Y.; Wang, Z.; Hong, L.; Shao, L.; Wu, J. Developing Individualized Follow-Up Strategies Based on High-Risk Recurrence Factors and Dynamic Risk Assessment for Locally Advanced Rectal Cancer. Cancer Med. 2024, 13, e70323. [Google Scholar] [CrossRef] [PubMed]
- Chen, Z.H.; Zhang, X.P.; Feng, S.; Feng, J.K.; Chai, Z.T.; Guo, W.X.; Shi, J.; Lau, W.Y.; Meng, Y.; Cheng, S.Q. Liver resection versus intensity-modulated radiation therapy for treatment of hepatocellular carcinoma with hepatic vein tumor thrombus: A propensity score matching analysis. Hepatobiliary Surg. Nutr. 2021, 10, 646–660. [Google Scholar] [CrossRef]
- Ichida, A.; Kokudo, T.; Shimada, S.; Hatano, E.; Kubo, S.; Kato, Y.; Ishikawa, Y.; Mori, A.; Baba, H.; Matsuyama, Y.; et al. Liver Resection for Hepatocellular Carcinoma With Tumor Thrombus in the Inferior Vena Cava or Right Atrium: A Large-scale Multicenter Survey Conducted in Japan. Ann. Surg. 2023, 278, e549–e555. [Google Scholar] [CrossRef]
- Bultink, I.E.M. Dialogue: Antiplatelet effects of hydroxychloroquine in patients with systemic lupus erythematosus evaluated by the total thrombus-formation analysis system (T-TAS). Lupus Sci. Med. 2024, 11, e001223. [Google Scholar] [CrossRef] [PubMed]
- Tourdot, B.E.; Stoveken, H.; Trumbo, D.; Yeung, J.; Kanthi, Y.; Edelstein, L.C.; Bray, P.F.; Tall, G.G.; Holinstat, M. Genetic Variant in Human PAR (Protease-Activated Receptor) 4 Enhances Thrombus Formation Resulting in Resistance to Antiplatelet Therapeutics. Arterioscler. Thromb. Vasc. Biol. 2018, 38, 1632–1643. [Google Scholar] [CrossRef] [PubMed]
- Kellermair, L.; Hofer, C.; Zeller, M.W.G.; Kubasta, C.; Bandke, D.; Weis, S.; Kellermair, J.; Forstner, T.; Helbok, R.; Vosko, M.R. Endothelial receptor proteins in acute venous thrombosis and delayed thrombus resolution in cerebral sinus vein thrombosis. J. Neurol. 2024, 271, 4095–4104. [Google Scholar] [CrossRef] [PubMed]
- Rossi, E.; Pericacho, M.; Kauskot, A.; Gamella-Pozuelo, L.; Reboul, E.; Leuci, A.; Egido-Turrion, C.; El Hamaoui, D.; Marchelli, A.; Fernandez, F.J.; et al. Soluble endoglin reduces thrombus formation and platelet aggregation via interaction with alphaIIbbeta3 integrin. J. Thromb. Haemost. 2023, 21, 1943–1956. [Google Scholar] [CrossRef]
- Ma, J.; Zhu, J.; Ding, T.; Cai, L.; Zhou, C.; Zhang, Y. Thrombus formation in the suprahepatic inferior vena cava after microwave ablation in patients with hepatic metastasis: A case report. Thromb. J. 2023, 21, 36. [Google Scholar] [CrossRef] [PubMed]
- Zhang, J.; Oueslati, R.; Cheng, C.; Zhao, L.; Chen, J.; Almeida, R.; Wu, J. Rapid, highly sensitive detection of Gram-negative bacteria with lipopolysaccharide based disposable aptasensor. Biosens. Bioelectron. 2018, 112, 48–53. [Google Scholar] [CrossRef] [PubMed]
- Gonzalez-Fernandez, C.; Bringas, E.; Oostenbrink, C.; Ortiz, I. In silico investigation and surmounting of Lipopolysaccharide barrier in Gram-Negative Bacteria: How far has molecular dynamics Come? Comput. Struct. Biotechnol. J. 2022, 20, 5886–5901. [Google Scholar] [CrossRef] [PubMed]
- Hsu, C.S.; Chang, S.H.; Yang, R.C.; Lee, C.H.; Lee, M.S.; Kao, J.K.; Shieh, J.J. Lipopolysaccharide-Induced Lysosomal Cell Death Through Reactive Oxygen Species in Rat Liver Cell Clone 9. Environ. Toxicol. 2024, 39, 5008–5018. [Google Scholar] [CrossRef]
- Guo, L.; Liu, Y.; Chen, Y.; Xu, J.; Liu, Y. Liver macrophages show an immunotolerance phenotype in nonalcoholic fatty liver combined with Porphyromonas gingivalis-lipopolysaccharide infection. Hua Xi Kou Qiang Yi Xue Za Zhi 2023, 41, 385–394. [Google Scholar] [CrossRef]
- Tiirola, T.; Sinisalo, J.; Nieminen, M.S.; Silvennoinen-Kassinen, S.; Paldanius, M.; Saikku, P.; Jauhiainen, M.; Leinonen, M. Chlamydial lipopolysaccharide is present in serum during acute coronary syndrome and correlates with CRP levels. Atherosclerosis 2007, 194, 403–407. [Google Scholar] [CrossRef] [PubMed]
- Tenforde, M.W.; Gupte, N.; Dowdy, D.W.; Asmuth, D.M.; Balagopal, A.; Pollard, R.B.; Sugandhavesa, P.; Lama, J.R.; Pillay, S.; Cardoso, S.W.; et al. C-reactive protein (CRP), interferon gamma-inducible protein 10 (IP-10), and lipopolysaccharide (LPS) are associated with risk of tuberculosis after initiation of antiretroviral therapy in resource-limited settings. PLoS ONE 2015, 10, e0117424. [Google Scholar] [CrossRef] [PubMed]
- Yang, Y.; Wang, Y.; Wang, C.; Wu, S.; Yao, D. Macrophages and derived-TNF-alpha promote lipopolysaccharide-induced upregulation of endogenous beta-glucuronidase in the epithelial cells of the bile duct: A possible facilitator of hepatolithiasis formation. Clin. Res. Hepatol. Gastroenterol. 2023, 47, 102062. [Google Scholar] [CrossRef]
- Komegae, E.N.; Fonseca, M.T.; Steiner, A.A. Diet-induced obesity attenuates the hypothermic response to lipopolysaccharide independently of TNF-alpha production. Temperature 2020, 7, 270–276. [Google Scholar] [CrossRef]
- Lee, Y.; Ju, X.; Cui, J.; Zhang, T.; Hong, B.; Kim, Y.H.; Ko, Y.; Park, J.; Choi, C.H.; Heo, J.Y.; et al. Mitochondrial dysfunction precedes hippocampal IL-1beta transcription and cognitive impairments after low-dose lipopolysaccharide injection in aged mice. Heliyon 2024, 10, e28974. [Google Scholar] [CrossRef] [PubMed]
- Tacconelli, S.; Contursi, A.; Falcone, L.; Mucci, M.; D’Agostino, I.; Fullone, R.; Sacco, A.; Zucchelli, M.; Bruno, A.; Ballerini, P.; et al. Characterization of cyclooxygenase-2 acetylation and prostanoid inhibition by aspirin in cellular systems. Biochem. Pharmacol. 2020, 178, 114094. [Google Scholar] [CrossRef]
- Bastaki, S.M.A.; Padol, I.T.; Amir, N.; Hunt, R.H. Effect of Aspirin and ibuprofen either alone or in combination on gastric mucosa and bleeding time and on serum prostaglandin E(2) and thromboxane A(2) levels in the anaesthetized rats in vivo. Mol. Cell Biochem. 2018, 438, 25–34. [Google Scholar] [CrossRef]
- Yin, Y.; Geng, H.; Cui, S.; Hua-Ji, L. Correlation of platelet-derived growth factor and thromboxane A2 expression with platelet parameters and coagulation indices in chronic altitude sickness patients. Exp. Physiol. 2022, 107, 807–812. [Google Scholar] [CrossRef] [PubMed]
- Mizurini, D.M.; Aslan, J.S.; Gomes, T.; Ma, D.; Francischetti, I.M.; Monteiro, R.Q. Salivary Thromboxane A2-Binding Proteins from Triatomine Vectors of Chagas Disease Inhibit Platelet-Mediated Neutrophil Extracellular Traps (NETs) Formation and Arterial Thrombosis. PLoS Negl. Trop. Dis. 2015, 9, e0003869. [Google Scholar] [CrossRef] [PubMed]
- Feng, Y.; Zhang, H.; Dai, S.; Li, X. Aspirin treatment for unruptured intracranial aneurysms: Focusing on its anti-inflammatory role. Heliyon 2024, 10, e29119. [Google Scholar] [CrossRef]
- Li, M.; Wang, J.; Wang, X.; Li, G. Clinical efficacy of aspirin combined with clopidogrel in treating cerebral infarction and its effect on serum hs-CRP, sICAM-1 and TNF-alpha. Exp. Ther. Med. 2020, 19, 939–944. [Google Scholar] [CrossRef]
- Wu, Z.; Wu, Y.; Zhong, W.; Zhong, Q.; Rao, S.; Yu, D.; Luo, X.; Qiu, F.; Song, Z.; Jin, D.; et al. The hepatoprotective effect of aspirin on carbon tetrachloride-induced hepatic fibrosis via inhibition of TGFbeta-1 pathway and pro-inflammatory cytokines IL-1beta and COX-2 in rats. Exp. Ther. Med. 2023, 25, 232. [Google Scholar] [CrossRef] [PubMed]
- Rood, K.M.; Patel, N.; DeVengencie, I.M.; Quinn, J.P.; Gowdy, K.M.; Costantine, M.M.; Kniss, D.A. Aspirin modulates production of pro-inflammatory and pro-resolving mediators in endothelial cells. PLoS ONE 2023, 18, e0283163. [Google Scholar] [CrossRef]
- Hikita, M.; Motojima, K.; Kamata, S.; Yoshida, T.; Tanaka-Nakadate, S.; Nakadate, K. Protective Efficacy of the Ingestion of Mandarin Orange Containing beta-Cryptoxanthin on Lipopolysaccharide-induced Acute Nephritis. Yakugaku Zasshi 2016, 136, 1031–1040. [Google Scholar] [CrossRef]
- Itoh, M.; Nakadate, K.; Horibata, Y.; Matsusaka, T.; Xu, J.; Hunziker, W.; Sugimoto, H. The structural and functional organization of the podocyte filtration slits is regulated by Tjp1/ZO-1. PLoS ONE 2014, 9, e106621. [Google Scholar] [CrossRef]
- Nakadate, K.; Sono, C.; Mita, H.; Itakura, Y.; Kawakami, K. Severe Acute Liver Dysfunction Induces Delayed Hepatocyte Swelling and Cytoplasmic Vacuolization, and Delayed Cortical Neuronal Cell Death. Int. J. Mol. Sci. 2023, 24, 7351. [Google Scholar] [CrossRef]
- Huang, H.; Wu, S.; Yan, Y. Growth differentiation factor 11 suppresses intrahepatic inflammation via restricting NLRP3 inflammasome activation in LPS-induced liver injury. Cell Mol. Biol. 2023, 69, 250–255. [Google Scholar] [CrossRef] [PubMed]
- Khan, H.U.; Aamir, K.; Jusuf, P.R.; Sethi, G.; Sisinthy, S.P.; Ghildyal, R.; Arya, A. Lauric acid ameliorates lipopolysaccharide (LPS)-induced liver inflammation by mediating TLR4/MyD88 pathway in Sprague Dawley (SD) rats. Life Sci. 2021, 265, 118750. [Google Scholar] [CrossRef] [PubMed]
- Sae-Tan, S.; Kumrungsee, T.; Yanaka, N. Mungbean seed coat water extract inhibits inflammation in LPS-induced acute liver injury mice and LPS-stimulated RAW 246.7 macrophages via the inhibition of TAK1/IkappaBalpha/NF-kappaB. J. Food Sci. Technol. 2020, 57, 2659–2668. [Google Scholar] [CrossRef] [PubMed]
- Liang, H.; Shi, H.; Li, Y.; Wang, D.; Zhang, Y. Mechanism of Aspirin oxidative stress regulating interleukin-induced apoptosis in nucleus pulposus cells in a rat model of intervertebral disc degeneration. Ann. Transl. Med. 2023, 11, 124. [Google Scholar] [CrossRef] [PubMed]
- Serhan, C.N.; Takano, T.; Chiang, N.; Gronert, K.; Clish, C.B. Formation of endogenous "antiinflammatory" lipid mediators by transcellular biosynthesis. Lipoxins and aspirin-triggered lipoxins inhibit neutrophil recruitment and vascular permeability. Am. J. Respir. Crit. Care Med. 2000, 161, S95–S101. [Google Scholar] [CrossRef]







Disclaimer/Publisher’s Note: The statements, opinions and data contained in all publications are solely those of the individual author(s) and contributor(s) and not of MDPI and/or the editor(s). MDPI and/or the editor(s) disclaim responsibility for any injury to people or property resulting from any ideas, methods, instructions or products referred to in the content. |
© 2024 by the authors. Licensee MDPI, Basel, Switzerland. This article is an open access article distributed under the terms and conditions of the Creative Commons Attribution (CC BY) license (https://creativecommons.org/licenses/by/4.0/).
Share and Cite
Saitoh, H.; Sakaguchi, M.; Miruno, F.; Muramatsu, N.; Ito, N.; Tadokoro, K.; Kawakami, K.; Nakadate, K. Histopathological Analysis of Lipopolysaccharide-Induced Liver Inflammation and Thrombus Formation in Mice: The Protective Effects of Aspirin. Curr. Issues Mol. Biol. 2024, 46, 14291-14303. https://doi.org/10.3390/cimb46120856
Saitoh H, Sakaguchi M, Miruno F, Muramatsu N, Ito N, Tadokoro K, Kawakami K, Nakadate K. Histopathological Analysis of Lipopolysaccharide-Induced Liver Inflammation and Thrombus Formation in Mice: The Protective Effects of Aspirin. Current Issues in Molecular Biology. 2024; 46(12):14291-14303. https://doi.org/10.3390/cimb46120856
Chicago/Turabian StyleSaitoh, Hayate, Miina Sakaguchi, Fumito Miruno, Naoto Muramatsu, Nozomi Ito, Kanako Tadokoro, Kiyoharu Kawakami, and Kazuhiko Nakadate. 2024. "Histopathological Analysis of Lipopolysaccharide-Induced Liver Inflammation and Thrombus Formation in Mice: The Protective Effects of Aspirin" Current Issues in Molecular Biology 46, no. 12: 14291-14303. https://doi.org/10.3390/cimb46120856
APA StyleSaitoh, H., Sakaguchi, M., Miruno, F., Muramatsu, N., Ito, N., Tadokoro, K., Kawakami, K., & Nakadate, K. (2024). Histopathological Analysis of Lipopolysaccharide-Induced Liver Inflammation and Thrombus Formation in Mice: The Protective Effects of Aspirin. Current Issues in Molecular Biology, 46(12), 14291-14303. https://doi.org/10.3390/cimb46120856

