Sign in to use this feature.

Years

Between: -

Subjects

remove_circle_outline
remove_circle_outline
remove_circle_outline
remove_circle_outline
remove_circle_outline
remove_circle_outline
remove_circle_outline
remove_circle_outline
remove_circle_outline

Journals

remove_circle_outline
remove_circle_outline
remove_circle_outline
remove_circle_outline
remove_circle_outline
remove_circle_outline
remove_circle_outline
remove_circle_outline
remove_circle_outline
remove_circle_outline
remove_circle_outline
remove_circle_outline
remove_circle_outline
remove_circle_outline

Article Types

Countries / Regions

remove_circle_outline
remove_circle_outline
remove_circle_outline
remove_circle_outline

Search Results (932)

Search Parameters:
Keywords = thrombus

Order results
Result details
Results per page
Select all
Export citation of selected articles as:
12 pages, 1895 KB  
Review
Artificial Intelligence CT Texture Radiomics for Outcome Prediction After EVAR: A Narrative Review
by Chiara Zanon, Giovanni Alfonso Chiariello, Tommaso D’Angelo and Emilio Quaia
Diagnostics 2026, 16(7), 964; https://doi.org/10.3390/diagnostics16070964 (registering DOI) - 24 Mar 2026
Abstract
Background: Endovascular aneurysm repair (EVAR) requires lifelong imaging surveillance because endoleaks, aneurysm sac expansion, and severe adverse events occur in up to one-third of the patients. Conventional follow-up based on sac diameter and visual assessment may fail to detect early microstructural changes [...] Read more.
Background: Endovascular aneurysm repair (EVAR) requires lifelong imaging surveillance because endoleaks, aneurysm sac expansion, and severe adverse events occur in up to one-third of the patients. Conventional follow-up based on sac diameter and visual assessment may fail to detect early microstructural changes that precede clinical deterioration. Methods: This narrative review summarizes the current evidence on texture-based radiomics and artificial intelligence (AI) applied to computed tomography (CT) and CT angiography (CTA) for post-EVAR outcome prediction and surveillance. Original studies evaluating radiomic features and AI-based models for endoleak detection, aneurysm sac behavior, and EVAR-related adverse events were included and qualitatively synthesized. Results: Ten studies were included. Radiomic features describing texture heterogeneity, gray-level nonuniformity, entropy, and spatial complexity were extracted from the aneurysm sac, intraluminal thrombus, and perivascular adipose tissue. Machine learning and deep learning models achieved good to excellent performance, with reported AUC values ranging from 0.78 to 0.95 for predicting endoleaks, sac expansion, and severe adverse events. Texture-based radiomics consistently outperformed morphology-only assessments and showed complementary value to deep learning, including applications on non-contrast CT. Conclusions: CT texture radiomics combined with AI represents an emerging research approach with potential relevance for post-EVAR surveillance, although current evidence remains limited. By capturing tissue heterogeneity beyond conventional morphology, radiomics may enable the earlier detection of complications and support risk-adapted follow-up. However, the heterogeneity of methods limited external validation, and reproducibility issues remain major barriers to clinical translation. Full article
(This article belongs to the Special Issue Computed Tomography Imaging in Medical Diagnosis, 2nd Edition)
Show Figures

Figure 1

5 pages, 2886 KB  
Interesting Images
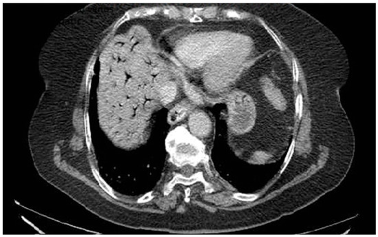
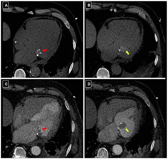
Multimodality Diagnostics and Endovascular Large-Bore Aspiration Thrombectomy of the Clot-in-Transit
by Katja Lovoković, Dražen Mlinarević, Vjekoslav Kopačin, Mateo Grigić, Jerko Arambašić, Iva Jurić and Tajana Turk
Diagnostics 2026, 16(6), 917; https://doi.org/10.3390/diagnostics16060917 - 19 Mar 2026
Viewed by 36
Abstract
Clot-in-transit (CIT) is a free-floating thrombus in the right heart and can enter pulmonary circulation at any moment. Possible treatments include anticoagulation, systemic thrombolysis, surgical embolectomy, and endovascular catheter-based therapies. The optimal treatment is still undetermined, heavily relying on clinical judgment and multidisciplinary [...] Read more.
Clot-in-transit (CIT) is a free-floating thrombus in the right heart and can enter pulmonary circulation at any moment. Possible treatments include anticoagulation, systemic thrombolysis, surgical embolectomy, and endovascular catheter-based therapies. The optimal treatment is still undetermined, heavily relying on clinical judgment and multidisciplinary team discussion. We report a case of a 70-year-old woman presenting with tachydyspnoea following recent abdominal surgery, who was diagnosed with massive bilateral pulmonary embolism (PE) complicated by a clot-in-transit. Point-of-care ultrasonography revealed a large mobile thrombus in the right atrium with severe right ventricular dysfunction. Due to haemodynamic instability and a contraindication for systemic thrombolysis, mechanical thrombectomy was performed. A large thrombotic burden was aspirated from the right heart and pulmonary arteries, resulting in haemodynamic stabilization and recovery of right ventricular function. The patient remained stable throughout hospitalization and was discharged on oral anticoagulation therapy with complete recovery on follow-up. This case highlights several points. Firstly, CIT is a rare finding but should be considered in patients with massive pulmonary embolism and shock. Furthermore, POCUS is essential for diagnosing CIT. Finally, mechanical thrombectomy is a valuable therapeutic option in high-risk PE patients with contraindications to systemic thrombolysis and haemodynamic instability. Further studies are needed to establish adequate guidelines for the optimal management of CIT patients. Full article
(This article belongs to the Collection Interesting Images)
Show Figures

Figure 1

18 pages, 2241 KB  
Article
Efficacy and Safety of Stereotactic Body Radiation Therapy Modalities for >5 cm Advanced Unresectable Hepatocellular Carcinoma: A Network Meta-Analysis
by Henry W. C. Leung, Shyh-Yau Wang, John Hang Leung, Yun-Sheng Tai and Agnes L. F. Chan
Cancers 2026, 18(6), 988; https://doi.org/10.3390/cancers18060988 - 18 Mar 2026
Viewed by 73
Abstract
Objective: Radiotherapy remodels the tumor microenvironment (TME) and may enhance the efficacy of immunotherapy in cancer treatment, particularly in patients with large, unresectable hepatocellular carcinoma (HCC) complicated by portal vein tumor thrombus (PVTT). Because of these unique effects, a growing body of [...] Read more.
Objective: Radiotherapy remodels the tumor microenvironment (TME) and may enhance the efficacy of immunotherapy in cancer treatment, particularly in patients with large, unresectable hepatocellular carcinoma (HCC) complicated by portal vein tumor thrombus (PVTT). Because of these unique effects, a growing body of research has found that stereotactic body radiation therapy (SBRT) combined with transcatheter arterial chemoembolization (TACE) or programmed death protein 1 (PD-1) inhibitors has a synergistic impact on unresectable advanced hepatocellular carcinomas (HCCs) larger than 5 cm in diameter. We aim to explore the efficacy of these treatment modalities through a network meta-analysis (NMA). Methods and Analysis: We evaluated the efficacy and safety of different SBRT-based treatment modalities for large advanced HCCs with PVTT (tumor diameter ≥ 5 cm), with primary endpoints including overall survival (OS), progression-free survival (PFS), and grade 3–4 severe adverse events (SAEs). Results: Eighteen studies comprising 2303 patients were included. SBRT combined with transcatheter arterial chemoembolization (SBRT + TACE) demonstrated significantly superior overall survival compared with other monotherapy or combination strategies. Most other treatment regimens showed comparable PFS outcomes. Notably, SBRT alone and SBRT combined with PD 1 inhibitors (SBRT + PD 1) were associated with significantly lower incidences of severe adverse events compared with other treatment modalities; all of these reported SAEs were manageable with appropriate clinical intervention. Conclusions: For patients with large (≥5 cm) advanced HCC with PVTT, SBRT combined with TACE was associated with superior OS and PFS compared with other treatment strategies. These findings suggest potential synergistic interactions between SBRT and TACE or immunotherapy. Further high-quality prospective trials are warranted to validate these observations and clarify the underlying molecular mechanisms. Our results provide evidence to inform therapeutic decision-making in advanced HCC. Full article
(This article belongs to the Section Methods and Technologies Development)
Show Figures

Figure 1

15 pages, 2207 KB  
Article
A Neutrophil-like Cell Model as Substitute for Human Neutrophils in NETs and Thrombosis Research
by Yu Shi, Helen R. McPherson, Timea Feller, Simon D. A. Connell, Helen Philippou, Robert A. S. Ariëns and Julia S. Gauer
Cells 2026, 15(6), 541; https://doi.org/10.3390/cells15060541 - 18 Mar 2026
Viewed by 87
Abstract
Neutrophil extracellular traps (NETs) critically influence thrombosis by promoting platelet aggregation, fibrin formation, and thrombus stabilisation. However, primary human neutrophils present experimental limitations, including short lifespan ex vivo and ethical concerns. In this article, we discuss the available data on PLB-985 cells, a [...] Read more.
Neutrophil extracellular traps (NETs) critically influence thrombosis by promoting platelet aggregation, fibrin formation, and thrombus stabilisation. However, primary human neutrophils present experimental limitations, including short lifespan ex vivo and ethical concerns. In this article, we discuss the available data on PLB-985 cells, a neutrophil-like model with potential to replace human neutrophils in research. Additionally, we present novel structural comparisons showing that both PLB-985- and human neutrophil-derived NETs significantly increased fibrin fibre thickness compared to thrombin-only controls, with similar fibre morphology across conditions. Notably, we also see spherical particles resembling microvesicles within PLB-985-derived NETs, suggesting potential additional procoagulant effects via microvesicle-associated tissue factor level in these cells. New and existing data presented in this article suggest that differentiated PLB-985 cells are able to effectively replicate key structural and functional aspects of human neutrophil NETs. These observations support the use of PLB-985 cells as an ethical, reproducible, and practical alternative for in vitro studies of NETs. Further characterisation is required to determine differences between human neutrophils and neutrophil-like models in macrovesicle formation and implication in NET-related thrombosis research. Full article
Show Figures

Figure 1

13 pages, 504 KB  
Article
Independent Risk Factors and a New Nomogram for Predicting Breast Cancer Risk for Bone Metastasis in Chinese Women: A Retrospective Study with External Validation
by Yunfei Huang, Tianjiao Ge, Heng Song, Wenjia Zhang, Meiqi Wang and Zhenchuan Song
J. Clin. Med. 2026, 15(6), 2324; https://doi.org/10.3390/jcm15062324 - 18 Mar 2026
Viewed by 76
Abstract
Background/Objectives: Bone is the most common organ affected by distant metastasis in advanced breast cancer, and the development of skeletal-related events (SREs) often leads to significant deterioration in patients’ quality of life and survival outcomes. In this study, we aimed to explore the [...] Read more.
Background/Objectives: Bone is the most common organ affected by distant metastasis in advanced breast cancer, and the development of skeletal-related events (SREs) often leads to significant deterioration in patients’ quality of life and survival outcomes. In this study, we aimed to explore the risk factors associated with bone metastasis in breast cancer and to develop a predictive nomogram for identifying high-risk patients, which may facilitate timely preventive interventions and improve clinical prognosis. Methods: A retrospective analysis was conducted on 672 patients with breast cancer who underwent surgery at the Fourth Hospital of Hebei Medical University (Shijiazhuang, China) between 2013 and 2023; this cohort served as the training set. Clinical and pathological characteristics potentially influencing bone metastasis—including age, menopausal status, histological grade, affected side, maximum tumor diameter, lymph node staging, TNM staging, ER status, PR status, HER-2 status, Ki-67, molecular subtypes, vascular tumor thrombus, nerve infiltration and visceral metastasis—were collected. The median follow-up time was 42 months. Patients were stratified into two cohorts based on whether postoperative bone metastasis occurred, with groups matched according to Tumor–Node–Metastasis (TNM) stage. Univariate and multivariate logistic regression models were applied to identify independent factors associated with breast cancer bone metastasis, and a nomogram prediction model was constructed using the variables retained in the final analysis. For external validation, data from 2814 patients with breast cancer who underwent surgery between 2013 and 2021 were extracted from the U.S. Surveillance, Epidemiology, and End Results database. Results: The multivariate logistic regression analysis revealed that histological grade (p = 0.002), progesterone receptor (PR) negativity (p = 0.001), human epidermal growth factor receptor 2 (HER-2) negativity (p = 0.002) and visceral metastasis (p < 0.001) were identified as independent predictors of bone metastasis in breast cancer. A nomogram predictive model was established using these four factors. The area under the receiver operating characteristic curve was 0.720 (95% confidence interval (CI): 0.6797–0.7607) for the training cohort and 0.701 (95% CI: 0.6813–0.7205) for the external validation cohort. Decision curve analysis further confirmed the clinical applicability of the model. Conclusions: The present study confirms that histological grade, PR status, HER-2 status and visceral metastasis are independent factors associated with bone metastasis in breast cancer. The constructed nomogram may effectively predict breast cancer-related bone metastasis and could serve as a practical tool for clinical decision-making. Full article
(This article belongs to the Special Issue Breast Cancer: Advances in Clinical and Personalized Practices)
Show Figures

Figure 1

24 pages, 24020 KB  
Review
Clonal Hematopoiesis (CHIP) in Pulmonary Embolism and CTEPH: Evidence, Mechanisms, and Risk Stratification
by Lukasz Szarpak, Monika E. Jach, Michal Skoczylas, Sebastian Radej and Michal Pruc
Int. J. Mol. Sci. 2026, 27(6), 2750; https://doi.org/10.3390/ijms27062750 - 18 Mar 2026
Viewed by 121
Abstract
Pulmonary embolism (PE) is biologically heterogeneous. Despite guideline-directed anticoagulation, a subset of patients develops recurrent venous thromboembolism, persistent exertional limitation, residual perfusion defects, and progression to chronic thromboembolic pulmonary disease (CTEPD) or chronic thromboembolic pulmonary hypertension (CTEPH). Conventional risk factors explain much of [...] Read more.
Pulmonary embolism (PE) is biologically heterogeneous. Despite guideline-directed anticoagulation, a subset of patients develops recurrent venous thromboembolism, persistent exertional limitation, residual perfusion defects, and progression to chronic thromboembolic pulmonary disease (CTEPD) or chronic thromboembolic pulmonary hypertension (CTEPH). Conventional risk factors explain much of the index event but incompletely account for thrombus non-resolution and chronic sequelae. Clonal hematopoiesis of indeterminate potential (CHIP)—the age-associated expansion of hematopoietic clones carrying somatic mutations—defines a measurable thrombo-inflammatory endophenotype that is strongly genotype- and clone-size (variant allele frequency; VAF)-dependent. Across human studies, JAK2-CHIP and TET2-CHIP show the most consistent associations with VTE/PE, whereas isolated DNMT3A-CHIP is frequently neutral, and larger clones tend to confer stronger effects. Mechanistically, CHIP can bias myeloid cells toward inflammasome/IL-1β signaling and endothelial activation, increase monocyte tissue factor activity, and promote immunothrombosis with neutrophil extracellular trap (NET) formation. NET-rich thrombi may adopt a dense fibrin–DNA–histone architecture that resists endogenous fibrinolysis, favoring organization and persistence. CTEPH offers a translational window to interrogate this model because thrombotic material and deep phenotyping are accessible. We synthesize genotype- and VAF-resolved clinical and mechanistic evidence using a structured strength-of-evidence framework and propose a pragmatic phenotyping roadmap with testable predictions for prospective post-PE validation. CHIP testing in PE/CTEPH remains investigational and should not currently change standard care. Full article
(This article belongs to the Special Issue Molecular Mechanism in Pulmonary Embolism)
Show Figures

Graphical abstract

23 pages, 20132 KB  
Article
Utility of Computational Modeling in Reassessing the Threshold for Intervention and Progression into Type A Aortic Dissection
by Mohammad Al-Rawi, Eric T. A. Lim, Manar Khashram and William J. Yoon
Biomedicines 2026, 14(3), 696; https://doi.org/10.3390/biomedicines14030696 - 17 Mar 2026
Viewed by 171
Abstract
Background: Assessing aortic dissection (AD) in its early stages is crucial for cardiovascular surgeons to improve patient outcomes and avoid complications associated with surgical intervention for type A aortic dissection. Initial evaluations rely on patient referrals for computed tomography (CT) scans, which involve [...] Read more.
Background: Assessing aortic dissection (AD) in its early stages is crucial for cardiovascular surgeons to improve patient outcomes and avoid complications associated with surgical intervention for type A aortic dissection. Initial evaluations rely on patient referrals for computed tomography (CT) scans, which involve measuring the maximum aortic diameter. Objective: This study aimed to improve current diagnostic thresholds for type A aortic dissection by using computational fluid dynamics (CFD) modeling to correlate hemodynamic factors related to the wall shear stress with maximum aortic diameter growth rate, offering insights into predicting AD progression and reassessing current diameter-based diagnostic criteria. Methods: The pre- and post-AD scan data, with an average duration of three and a half years for the 15 patients, were converted into 3D geometries. These geometries were analyzed using the transitional-turbulent CFD model. Wall shear stress (WSS), its derivatives, and the pressure gradient from the pre-AD CT scans were compared across 15 patients, grouped according to the aortic diameter growth per year. Results: For patients in group 1 (nine patients with normal diagnosis), pre-AD time-average wall shear stress (TAWSS) was mostly 2–4 Pa, above physiologic levels. Post-AD, values dropped below 1.5 Pa (stagnant, thrombus-prone), with oscillatory shear index (OSI) elevated (0.24–0.32). In group 2 (n = 6, abnormal diagnosis), post-AD TAWSS was <3 Pa (thrombosis risk), with OSI 0.1–0.31 near tear sites. These findings confirm a dual-risk profile: low TAWSS promotes thrombosis, while high TAWSS drives dissection progression. Conclusions: WSS parameters, such as TAWSS and OSI, can be utilized to assess the development of a dilated ascending aorta, especially for extreme maximum aortic diameter. Pre-AD analysis for some patients revealed a strong negative correlation, indicating that high shear stress in the true lumen (TL) results in a drop in diastolic pressure post-AD at the upward-going section of the aorta. Full article
(This article belongs to the Section Biomedical Engineering and Materials)
Show Figures

Figure 1

17 pages, 3704 KB  
Article
The Effect of Heparin-Grafted Chitosan-Cellulose Composite Microspheres on the Removal of Endotoxins and Circulating Histones in a Septic Rabbit Model: An In Vivo Study
by Luojia Jiang, Ying Li, Fang Wan, Yi Su, Meixian Lei, Yupei Li and Haibo Xu
Biomedicines 2026, 14(3), 661; https://doi.org/10.3390/biomedicines14030661 - 14 Mar 2026
Viewed by 166
Abstract
Background/Objectives: The strategy of targeting endotoxins and circulating histones to alleviate excessive inflammation and tissue damage has been proposed as an important immunoregulatory strategy against sepsis. However, the development of a multifunctional hemoperfusion adsorber that simultaneously removes endotoxins and histones remains an unmet [...] Read more.
Background/Objectives: The strategy of targeting endotoxins and circulating histones to alleviate excessive inflammation and tissue damage has been proposed as an important immunoregulatory strategy against sepsis. However, the development of a multifunctional hemoperfusion adsorber that simultaneously removes endotoxins and histones remains an unmet clinical need in sepsis management. Methods: We synthesized chitosan-cellulose composite (CSCE) microspheres utilizing phase inversion technology, while heparin-grafted chitosan-cellulose composite (CSCEHEP) microspheres were developed by grafting heparin onto CSCE microspheres through the carbodiimide coupling method. In our experimental design, we allocated healthy New Zealand rabbits to four distinct groups: a healthy control group, a lipopolysaccharides (LPS) group, a CSCE group, and a CSCEHEP group. Following the administration of LPS for 12 h, septic rabbits underwent extracorporeal hemoperfusion with either CSCE or CSCEHEP microspheres for a duration of 6 h, notably without the inclusion of heparin in the blood circuits. Post-hemoperfusion, we conducted an analysis of thrombus formation and total protein adsorption on the column. Concurrently, blood samples were collected from the venous side to evaluate inflammatory cytokine concentrations, liver and kidney function levels, LPS levels, the histone presence, and to perform histopathological assessments of liver and kidney injury. Results: Our in vivo experiments demonstrated that CSCEHEP microspheres for extracorporeal circulation could achieve a 6 h hemoperfusion session in septic rabbits without the need for continuous anticoagulation with heparin. A CSCEHEP column turns into a very light-red color (almost the original white) and light contamination or clotting was observed after the 6 h hemoperfusion. Moreover, CSCEHEP microspheres effectively reduced the concentration levels of leukocyte, serum IL-6 and TNF-α, mitigated pathological damage to the liver and kidneys, and removed over 56.7% of LPS and nearly 58.6% of histone H3 from the blood of septic rabbits during hemoperfusion. Conclusions: Hemoperfusion utilizing CSCEHEP microspheres exhibits excellent self-anticoagulation capabilities, remarkable anti-inflammatory performance, efficient endotoxin adsorption and histone antagonism properties, rendering it both effective and safe for use in septic rabbits. Full article
(This article belongs to the Special Issue Innovations in Kidney Disease: From Pathogenesis to Therapy)
Show Figures

Figure 1

6 pages, 2256 KB  
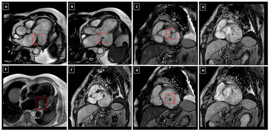
Case Report
Heart Failure and a Large Ventricular Thrombus Following COVID-19 Infection
by Jouni Taavitsainen, Ville Vepsäläinen, Juha Hartikainen and Jarkko Hytönen
J. Cardiovasc. Dev. Dis. 2026, 13(3), 139; https://doi.org/10.3390/jcdd13030139 - 13 Mar 2026
Viewed by 136
Abstract
Severe cases of heart failure (HF), both new onsets of HF and acute exacerbations of chronic HF, are frequently observed during infections. A potentially lethal complication of HF with very low left ventricular ejection fraction is thrombus formation within the heart chambers. A [...] Read more.
Severe cases of heart failure (HF), both new onsets of HF and acute exacerbations of chronic HF, are frequently observed during infections. A potentially lethal complication of HF with very low left ventricular ejection fraction is thrombus formation within the heart chambers. A 67-year-old male was admitted to our hospital with shortness of breath after a COVID-19 infection. He was diagnosed with severe acute heart failure and a massive thrombus in the left ventricle. While the thrombus subsided quickly without any observable embolic events, the patient had a lengthy hospitalization stay complicated by tachyarrhythmias and secondary infections. Eventually, his heart failure improved, and he continued to recover post-hospital discharge. We present a case of severe heart failure and intraventricular thrombosis following COVID-19 infection. The patient required potent anti-inflammatory medication in addition to conventional heart failure medication to recover from his HF. Full article
(This article belongs to the Section Acquired Cardiovascular Disease)
Show Figures

Figure 1

17 pages, 524 KB  
Article
Anti-Thrombotic Activities of Veratramine via Inhibiting Platelet Aggregation and FIIa/FXa
by Gyuri Han, Ga Eun Kim, Dong Ho Park and Jong-Sup Bae
Biology 2026, 15(6), 462; https://doi.org/10.3390/biology15060462 - 13 Mar 2026
Viewed by 238
Abstract
Background: There is growing interest in plant-derived compounds for managing vascular diseases. Veratramine (VRT), a steroidal alkaloid isolated from plants of the Veratrum genus, exhibits diverse biological effects such as antihypertensive, analgesic, and antitumor activities, yet its influence on hemostasis and thrombus formation [...] Read more.
Background: There is growing interest in plant-derived compounds for managing vascular diseases. Veratramine (VRT), a steroidal alkaloid isolated from plants of the Veratrum genus, exhibits diverse biological effects such as antihypertensive, analgesic, and antitumor activities, yet its influence on hemostasis and thrombus formation has not been characterized. This investigation sought to determine whether VRT exerts anticoagulant effects using integrated in vitro and murine models. Methods: VRT’s anticoagulant profile was comprehensively evaluated using integrated biochemical, cellular, and murine models, including clotting time assays (aPTT/PT), chromogenic enzymatic assays, fibrin polymerization analysis, platelet aggregometry, and endothelial modulation of PAI-1/t-PA under inflammatory conditions. Results: VRT treatment significantly prolonged both intrinsic and extrinsic coagulation times, directly inhibited enzymatic activities of thrombin and FXa, and attenuated their generation by endothelial cells. Additionally, VRT interfered with fibrin clot formation and diminished agonist-induced platelet aggregation. Ex vivo coagulation analyses confirmed its anticoagulant action, while endothelial studies revealed a reduced PAI-1/t-PA ratio following VRT exposure. Conclusions: These data establish VRT as possessing novel direct dual inhibition of thrombin and FXa alongside suppression of fibrin polymerization, platelet reactivity, and PAI-1 expression—positioning it as a promising multifunctional anticoagulant agent. While preclinical murine models preclude direct clinical translation absent pharmacokinetic data, these findings warrant further mechanistic and translational investigation. Full article
Show Figures

Figure 1

22 pages, 982 KB  
Review
From Physiology to Clinical Practice in Pancreatic Cancer-Related Thromboembolism—A Review
by Monika Jarowicz, Michał Sekuła, Wiktor Kociemba, Katarzyna Polak, Joanna Taczała, Kamila Krupa, Hanna Miski, Marta Fudalej, Andrzej Deptała and Anna Badowska-Kozakiewicz
Cancers 2026, 18(6), 890; https://doi.org/10.3390/cancers18060890 - 10 Mar 2026
Viewed by 244
Abstract
Pancreatic cancer (PC) is a highly lethal malignancy linked to the highest rate of thromboembolic complications (TEC) among all solid tumors. TECs occur in approximately 5–40% of PC patients. The most common type of TEC in PC is venous thromboembolism (VTE). The mechanisms [...] Read more.
Pancreatic cancer (PC) is a highly lethal malignancy linked to the highest rate of thromboembolic complications (TEC) among all solid tumors. TECs occur in approximately 5–40% of PC patients. The most common type of TEC in PC is venous thromboembolism (VTE). The mechanisms leading to frequent TEC in PC are complex and involve interactions between tumor-derived procoagulant factors and the prothrombotic tumor microenvironment (TME). Secretion of tissue factor and proinflammatory cytokines by tumor cells and the TME, overexpression of heparanase and podoplanin, impaired fibrynolysis and increased neutrophil extracellular trap formation lead to platelet hyperactivation resulting in hypercoagulability in PC. Understanding these mechanisms is crucial for identifying risk factors of TEC. Current thromboembolism risk models have limited predictive accuracy, which reduces their clinical usefulness. Identifying patients with thromboembolism is challenging because these events are often asymptomatic and their clinical presentation varies depending on the location of the thrombus. Treatment of VTE in PC depends on the phase of the VTE; in the acute phase, treatment primarily involves LMWH. For long-term management, LMWH may be replaced by direct oral anticoagulants such as apixaban, edoxaban, or rivaroxaban. In cases of VTE recurrence, increasing the LMWH dose, switching to an oral anticoagulant, or placing an inferior vena cava filter should be considered. LWMH and unfractionated heparin (UFH) are preferred options for VTE prophylaxis. Novel therapies, including factor XI inhibitors, show efficacy comparable to LMWH while offering a better safety profile. Full article
(This article belongs to the Section Tumor Microenvironment)
Show Figures

Figure 1

14 pages, 1532 KB  
Review
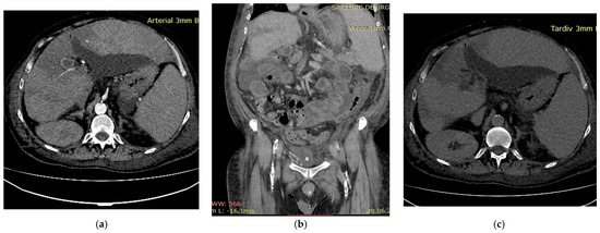
Rare Causes of Portal Vein Thrombosis and Occlusion: A Narrative Review
by Lavinia Alice Bălăceanu, Claudia Georgeta Iacobescu, Teodora Burloiu, Marian-Vlad Lăpădat, Ion Dina and Ion Daniel Baboi
Diagnostics 2026, 16(5), 800; https://doi.org/10.3390/diagnostics16050800 - 8 Mar 2026
Viewed by 243
Abstract
Portal vein thrombosis (PVT) refers specifically to the presence of a thrombus within the main portal vein trunk or its intrahepatic branches. In contrast, portal vein occlusion encompasses a broader spectrum of conditions, including tumor invasion, external compression and disorders that predispose to [...] Read more.
Portal vein thrombosis (PVT) refers specifically to the presence of a thrombus within the main portal vein trunk or its intrahepatic branches. In contrast, portal vein occlusion encompasses a broader spectrum of conditions, including tumor invasion, external compression and disorders that predispose to thrombosis, such as thrombophilia or inflammatory states. Advanced liver disease, particularly cirrhosis, is the most common cause of PVT, primarily due to portal hypertension, altered hemostasis and hemodynamic changes, followed by malignancies and inherited or acquired thrombophilic conditions. In contrast to these common etiologies, our clinical experience has highlighted rare causes of portal vein obstruction associated with typical presentations, which pose diagnostic challenges. Examples include acute PVT during transjugular intrahepatic portosystemic shunt (TIPS) placement and non-thrombotic porto-mesenteric obstruction related to portal venous gas. While these events may appear unexpected, they represent a recognizable group of uncommon causes rather than isolated incidents. PVT can present as an acute or chronic condition: acute thrombosis is characterized by recent thrombus formation and potential intestinal ischemia, whereas chronic thrombosis is associated with long-standing obstruction, cavernous transformation and portal hypertension. This narrative review integrates a comprehensive literature search with clinical experience, with particular emphasis on uncommon etiologies of portal vein obstruction. Full article
(This article belongs to the Section Medical Imaging and Theranostics)
Show Figures

Figure 1

20 pages, 5732 KB  
Review
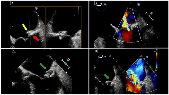
Rupture of Caseous Calcification of the Mitral Annulus: Pathophysiology, Diagnosis and Treatment
by Aureliano Ruggio, Antonietta Belmusto, Gabriella Locorotondo, Eleonora Ruscio, Francesca Graziani, Antonella Lombardo, Gaetano Antonio Lanza and Francesco Burzotta
Diagnostics 2026, 16(5), 778; https://doi.org/10.3390/diagnostics16050778 - 5 Mar 2026
Viewed by 273
Abstract
Caseous calcification of the mitral annulus (CCMA) is a liquefactive necrosis of mitral annular calcification (MAC). CCMA is rare and usually asymptomatic, has a benign course, and, when incidentally found, can be misdiagnosed as a thrombus, abscess, cardiac tumor or vegetation. Although rarely, [...] Read more.
Caseous calcification of the mitral annulus (CCMA) is a liquefactive necrosis of mitral annular calcification (MAC). CCMA is rare and usually asymptomatic, has a benign course, and, when incidentally found, can be misdiagnosed as a thrombus, abscess, cardiac tumor or vegetation. Although rarely, CCMA may complicate with rupture, which can lead to ventricular-atrial fistulization, pseudoaneurysm, severe mitral regurgitation (with possible heart failure and atrial fibrillation) and systemic embolism of caseous material (with cerebral ischemic events). A significant increase in CCMA dimensions and an infectious involvement of liquefactive necrosis make CCMA prone to rupture. To date, only case reports and some case series have been published on CCMA, without focusing on the pathophysiological mechanisms responsible for rupture, nor recommendations for prevention and management. However, despite general concerns about surgical treatment of CCMA because of high perioperative risks, most published cases actually underwent successful cardiac surgery. In the present review, we conducted a systematic review of the studies published in the medical literature up to March 2025, reporting cases of CCMA and its complications, as identified through the PubMed database. We analyzed clinical and biological risk factors for CCMA rupture and its diagnostic criteria, focusing on imaging features differentiating mitral annular calcification from uncomplicated CCMA and ruptured CCMA. To this regard, we focused on the key role of multimodality imaging in the achievement of the correct diagnosis. Finally, we propose a management strategy for CCMA, with the aim to fill a gap in this field in the current literature. Full article
(This article belongs to the Section Pathology and Molecular Diagnostics)
Show Figures

Figure 1

25 pages, 9804 KB  
Article
LXW7 Peptide Modification of Acellular Liver Scaffolds Improves Endothelialization and Hemocompatibility in Bioengineered Liver
by Usha Yadav, Chandra J. Yadav, Sadia Afrin, Jun-Yeong Lee, Jihad Kamel and Kyung-Mee Park
J. Funct. Biomater. 2026, 17(3), 122; https://doi.org/10.3390/jfb17030122 - 3 Mar 2026
Viewed by 493
Abstract
End-stage liver disease caused by advanced fibrosis and cirrhosis remains a major global burden, yet its treatment is limited by donor organ shortages. Bioengineered liver scaffolds offer a promising alternative, but their efficacy is often limited by thrombosis, insufficient vascularization, and poor graft [...] Read more.
End-stage liver disease caused by advanced fibrosis and cirrhosis remains a major global burden, yet its treatment is limited by donor organ shortages. Bioengineered liver scaffolds offer a promising alternative, but their efficacy is often limited by thrombosis, insufficient vascularization, and poor graft integration due to inadequate endothelialization. To overcome these challenges, we employed LXW7 αvβ3 integrin targeting peptide with high endothelial cell specificity and low platelet affinity to enhance re-endothelialization and hemocompatibility of decellularized liver scaffold (DLS) and thereby improve hepatic integration and function. LXW7 was covalently conjugated to the decellularized rat liver scaffold via EDC/NHS-mediated carbodiimide coupling and subsequently reseeded with human umbilical vein endothelial cells (HUVECs) and cultured in a perfusion bioreactor to promote endothelialization. LXW7 immobilization significantly improved HUVECs attachment and proliferation, achieving approximately 81% vascular coverage, while sustaining the endothelial function. Ex vivo blood perfusion showed minimal thrombus formation and markedly reduced platelet adhesion, demonstrating enhanced hemocompatibility. Following confirmation of endothelialization, scaffolds were recellularized with hepatocellular carcinoma (HepG2) cells and HUVECs. LXW7 modified scaffolds promote organized hepatocyte distribution, sustained albumin expression, and increased urea secretion. In vivo implantation of LXW7-DLS into the omentum of mice promoted robust host endothelial recruitment and enhanced neovascularization, highlighting the scaffold’s excellent biocompatibility and good integration with surrounding tissues. Moreover, in vivo implantation of LXW7 recellularized scaffolds into a thioacetamide-induced fibrotic mouse liver resulted in reduced collagen deposition and lowered serum ALT/AST levels, demonstrating hepatic regeneration and extracellular matrix remodeling. Overall, our results showed that LXW7-modified DLS promotes stable endothelialization, improves hemocompatibility, and enhances hepatic function, underscoring its translational potential for the development of vascularized transplantable liver grafts. Full article
Show Figures

Graphical abstract

7 pages, 499 KB  
Case Report
OCT Findings from a Spontaneously Recanalized Coronary Thrombus Treated with a Drug-Coated Balloon
by Firat Erdogan, Luca Vercelli, Mehdi Madanchi, Nicola von Rotz, Florim Cuculi and Matthias Bossard
Cardiovasc. Med. 2026, 29(1), 11; https://doi.org/10.3390/cardiovascmed29010011 - 2 Mar 2026
Viewed by 235
Abstract
Background: Spontaneous recanalized coronary thrombus (SRCT) is an uncommon and often underrecognized coronary pathology that may be angiographically subtle despite having functional significance. Optical coherence tomography (OCT) enables accurate diagnosis and treatment planning. However, optimal treatment strategies remain incompletely defined. Materials and Methods: [...] Read more.
Background: Spontaneous recanalized coronary thrombus (SRCT) is an uncommon and often underrecognized coronary pathology that may be angiographically subtle despite having functional significance. Optical coherence tomography (OCT) enables accurate diagnosis and treatment planning. However, optimal treatment strategies remain incompletely defined. Materials and Methods: A 55-year-old man presenting with severe exertional dyspnea, atypical chest pain episodes, and abnormal stress echocardiography underwent invasive coronary assessment with angiography, fractional flow reserve (FFR), and OCT. An SRCT of the left anterior descending artery (LAD) was identified and treated using OCT-guided lesion preparation followed by sirolimus-coated drug-coated-balloon (DCB) angioplasty. Results: Although there was only moderate angiographic disease, a functional assessment confirmed significant ischemia. OCT revealed a characteristic honeycomb morphology. Post-procedural OCT demonstrated satisfactory lumen gain, with preserved vessel integrity. Follow-up imaging showed vessel-healing and late lumen enlargement, and the patient remained asymptomatic. Conclusion: OCT-guided drug-coated-balloon angioplasty may be an effective “leave-nothing-behind” strategy for selected SRCT lesions, highlighting the importance of intracoronary imaging beyond angiography. Full article
Show Figures

Figure 1

Back to TopTop