TLR4 Downregulation Identifies High-Risk HPV Infection and Integration in H-SIL and Squamous Cell Carcinomas of the Uterine Cervix
Abstract
1. Introduction
2. Materials and Methods
2.1. Study Population
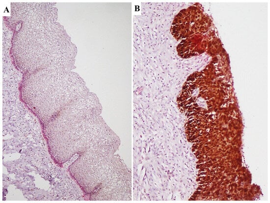
2.2. In Situ Hybridization (ISH)
2.3. HPV-DNA Detection
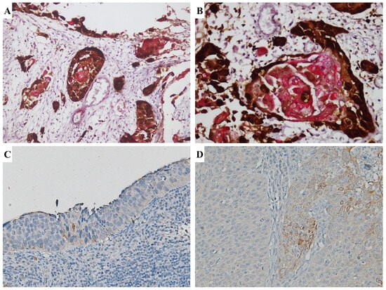
2.4. Immunohistochemistry
3. Results
3.1. Clinicopathological Features
3.2. HPV-DNA: ISH and PCR
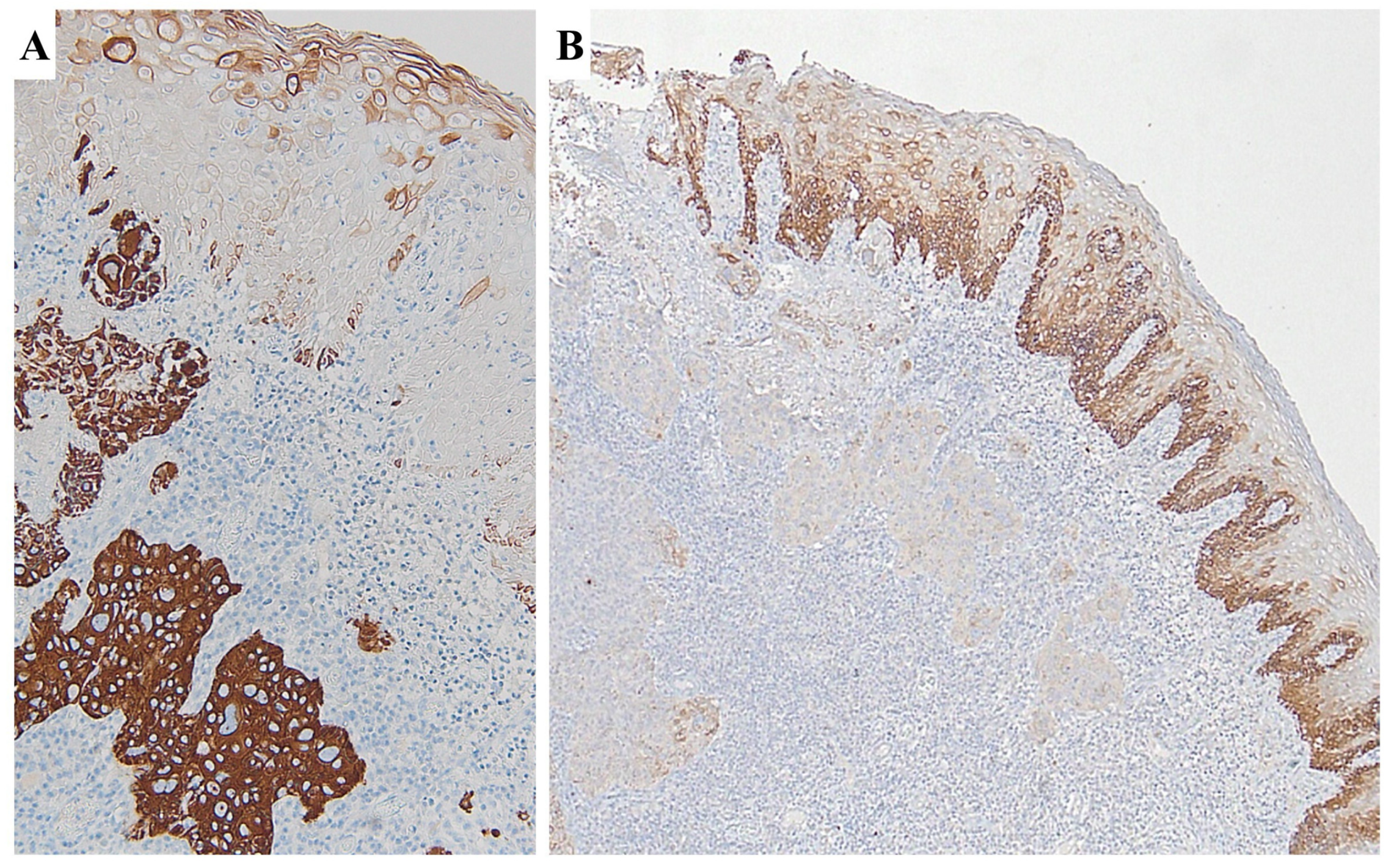
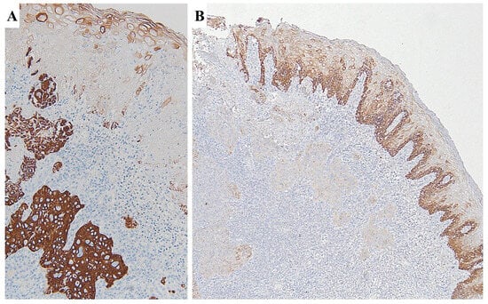
3.3. Staining Intensity (SI) and Percentage and Combined Score (CS) of TLR4 IHC Expression in H-SIL and SCC
3.4. Staining Intensity and Percentage of CK19 IHC Expression in H-SIL and SCC
3.5. Tumor-Related Inflammation
4. Discussion
5. Conclusions
Author Contributions
Funding
Institutional Review Board Statement
Informed Consent Statement
Data Availability Statement
Conflicts of Interest
References
- Bray, F.; Ferlay, J.; Soerjomataram, I.; Siegel, R.L.; Torre, L.A.; Jemal, A. Global cancer statistics 2018: GLOBOCAN estimates of incidence and mortality worldwide for 36 cancers in 185 countries. CA Cancer J. Clin. 2018, 68, 394–424. [Google Scholar] [CrossRef] [PubMed]
- Heatley, M.K. How should we grade CIN? Histopathology 2002, 40, 377–390. [Google Scholar] [CrossRef] [PubMed]
- WHO Classification of Tumours Editorial Board. Female Genital Tumours, 5th ed.; WHO Classification of Tumours Series; International Agency for Research on Cancer: Lyon, France, 2020; Volume 4. [Google Scholar]
- Santoro, A.; Inzani, F.; Angelico, G.; Arciuolo, D.; Bragantini, E.; Travaglino, A.; Valente, M.; D’Alessandris, N.; Scaglione, G.; Sfregola, S.; et al. Recent Advances in Cervical Cancer Management: A Review on Novel Prognostic Factors in Primary and Recurrent Tumors. Cancers 2023, 15, 1137. [Google Scholar] [CrossRef] [PubMed]
- de Maria, S.; Santoro, A.; Fuggetta, M.P.; Rocchetti, R.; Cottarelli, A.; Lanzilli, G.; Stiuso, P.; Angelico, G.; Spadola, S.; Franco Zannoni, G.; et al. A possible interplay between HR-HPV and stemness in tumor development: An in vivo investigation of CD133 as a putative marker of cancer stem cell in HPV18-infected KB cell line. APMIS 2020, 128, 637–646. [Google Scholar] [CrossRef] [PubMed]
- Sun, L.; Zhang, L.; Krigman, H.R.; Hagemann, I.S. p16 immunohistochemistry is not always required for accurate diagnosis of grade 2 squamous intraepithelial lesions. J. Low. Genit. Tract. Dis. 2018, 22, 104–109. [Google Scholar] [CrossRef]
- Lee, H.; Lee, H.; Cho, Y.K. Cytokeratin7 and cytokeratin19 expression in high grade cervical intraepithelial neoplasm and squamous cell carcinoma and their possible association in cervical carcinogenesis. Diagn. Pathol. 2017, 12, 18. [Google Scholar] [CrossRef]
- Liebenberg, L.J.P.; McKinnon, L.R.; Yende-Zuma, N.; Garrett, N.; Baxter, C.; Kharsany, A.B.M.; Archary, D.; Rositch, A.; Samsunder, N.; Mansoor, L.E.; et al. HPV infection and the genital cytokine milieu in women at high risk of HIV acquisition. Nat. Commun. 2019, 10, 5227. [Google Scholar] [CrossRef]
- Wang, J.Q.; Jeelall, Y.S.; Ferguson, L.L.; Horikawa, K. Toll-like receptors and cancer: MYD88 mutation and inflammation. Front. Immunol. 2014, 5, 367. [Google Scholar] [CrossRef]
- Ioannou, S.; Voulgarelis, M. Toll-like receptors, tissue injury, and tumourigenesis. Mediat. Inflamm. 2010, 581837. [Google Scholar] [CrossRef]
- Duan, T.; Du, Y.; Xing, C.; Wang, H.Y.; Wang, R.F. Toll-Like Receptor Signaling and Its Role in Cell-Mediated Immunity. Front. Immunol. 2022, 13, 812774. [Google Scholar] [CrossRef] [PubMed] [PubMed Central]
- Kim, H.J.; Kim, H.; Lee, J.H.; Hwangbo, C. Toll-like receptor 4 (TLR4): New insight immune and aging. Immun. Ageing 2023, 20, 67. [Google Scholar] [CrossRef] [PubMed]
- Visioli, F.; Nunes, J.S.; Pedicillo, M.C.; Leonardi, R.; Santoro, A.; Zannoni, G.F.; Aquino, G.; Cerrone, M.; Cantile, M.; Losito, N.S.; et al. TLR4 Expression in Ex-Lichenoid Lesions-Oral Squamous Cell Carcinomas and Its Surrounding Epithelium: The Role of Tumor Inflammatory Microenvironment. Biomolecules 2022, 12, 385. [Google Scholar] [CrossRef] [PubMed]
- Li, J.; Yang, F.; Wei, F.; Ren, X. The role of toll-like receptor 4 in tumor microenvironment. Oncotarget 2017, 8, 66656–66667. [Google Scholar] [CrossRef] [PubMed]
- Kashani, B.; Zandi, Z.; Pourbagheri-Sigaroodi, A.; Bashash, D.; Ghaffari, S.H. The role of toll-like receptor 4 (TLR4) in cancer progression: A possible therapeutic target? J. Cell. Physiol. 2021, 236, 4121–4137. [Google Scholar] [CrossRef] [PubMed]
- Hao, B.; Chen, Z.; Bi, B.; Yu, M.; Yao, S.; Feng, Y.; Yu, Y.; Pan, L.; Di, D.; Luo, G.; et al. Role of TLR4 as a prognostic factor for survival in various cancers: A meta-analysis. Oncotarget 2018, 9, 13088–13099. [Google Scholar] [CrossRef]
- Fensterl, V.; Chattopadhyay, S.; Sen, G.C. No love lost between viruses and interferons. Annu. Rev. Virol. 2015, 2, 549–572. [Google Scholar] [CrossRef]
- Janeway, C.A.; Medzhitov, R. Innate immune recognition. Annu. Rev. Immunol. 2002, 20, 197–216. [Google Scholar] [CrossRef]
- Kawai, T.; Akira, S. The role of pattern-recognition receptors in innate immunity: Update on toll-like receptors. Nat. Immunol. 2010, 11, 373–384. [Google Scholar] [CrossRef]
- Takeuchi, O.; Akira, S. Pattern recognition receptors and inflammation. Cell 2010, 140, 805–820. [Google Scholar] [CrossRef]
- Daud, I.I.; Scott, M.E.; Ma, Y.; Shiboski, S.; Farhat, S.; Moscicki, A.B. Association between toll-like receptor expression and human papillomavirus type 16 persistence. Int. J. Cancer 2011, 128, 879–886. [Google Scholar] [CrossRef]
- Scott, M.E.; Ma, Y.; Farhat, S.; Moscicki, A.B. Expression of nucleic acid-sensing toll-like receptors predicts HPV16 clearance associated with an E6-directed cell-mediated response. Int. J. Cancer 2015, 136, 2402–2408. [Google Scholar] [CrossRef] [PubMed]
- Lembo, D.; Donalisio, M.; De Andrea, M.; Cornaglia, M.; Scutera, S.; Musso, T.; Landolfo, S. A cell-based high-throughput assay for screening inhibitors of human papillomavirus-16 long control region activity. FASEB J. 2006, 20, 148–150. [Google Scholar] [CrossRef] [PubMed]
- Ferreira, A.R.; Ramalho, A.C.; Marques, M.; Ribeiro, D. The Interplay between Antiviral Signaling and Carcinogenesis in Human Papillomavirus Infection. Cancers 2020, 12, 646. [Google Scholar] [CrossRef] [PubMed]
- Smok-Kalwat, J.; Mertowska, P.; Mertowski, S.; Góźdź, S.; Grywalska, E. Toll-like Receptors: Key Players in Squamous Cell Carcinoma Progression. J. Clin. Med. 2024, 13, 4531. [Google Scholar] [CrossRef] [PubMed] [PubMed Central]
- Jiang, N.; Xie, F.; Chen, L.; Chen, F.; Sui, L. The effect of TLR4 on the growth and local inflammatory microenvironment of HPV-related cervical cancer in vivo. Infect. Agent. Cancer 2020, 15, 12. [Google Scholar] [CrossRef]
- Jiang, N.; Xie, F.; Guo, Q.; Li, M.-Q.; Xiao, J.; Sui, L. Toll-like receptor 4 promotes proliferation and apoptosis resistance in human papillomavirus-related cervical cancer cells through the toll-like receptor 4/nuclear factor-kappaB pathway. Tumour Biol. 2017, 39, 1393379078. [Google Scholar] [CrossRef]
- Zhang, H.; Zhang, S. The expression of Foxp3 and TLR4 in cervical cancer: Association with immune escape and clinical pathology. Arch. Gynecol. Obstet. 2017, 295, 705–712. [Google Scholar] [CrossRef]
- Ma, L.; Feng, L.; Ding, X.; Li, Y. Effect of TLR4 on the growth of SiHa human cervical cancer cells via the MyD88-TRAF6-TAK1 and NF-κB-cyclin D1-STAT3 signaling pathways. Oncol. Lett. 2018, 15, 3965–3970. [Google Scholar] [CrossRef]
- Lupi, L.A.; Cucielo, M.S.; Silveira, H.S.; Gaiotte, L.B.; Cesário, R.C.; Seiva, F.R.F.; de Almeida Chuffa, L.G. The role of Toll-like receptor 4 signaling pathway in ovarian, cervical, and endometrial cancers. Life Sci. 2020, 247, 117435. [Google Scholar] [CrossRef]
- Žilienė, E.; Inčiūra, A.; Ugenskienė, R.; Juozaitytė, E. Pathomorphological Manifestations and the Course of the Cervical Cancer Disease Determined by Variations in the TLR4 Gene. Diagnostics 2023, 13, 1999. [Google Scholar] [CrossRef]
- De Nola, R.; Loizzi, V.; Cicinelli, E.; Cormio, G. Dynamic crosstalk within the tumor microenvironment of uterine cervical carcinoma: Baseline network, iatrogenic alterations, and translational implications. Crit. Rev. Oncol. Hematol. 2021, 162, 103343. [Google Scholar] [CrossRef] [PubMed]
- Angelico, G.; Santoro, A.; Inzani, F.; Straccia, P.; Spadola, S.; Arciuolo, D.; Valente, M.; D’Alessandris, N.; Benvenuto, R.; Travaglino, A.; et al. An Emerging Anti-p16 Antibody-BC42 Clone as an Alternative to the Current E6H4 for Use in the Female Genital Tract Pathological Diagnosis: Our Experience and a Review on p16ink4a Functional Significance, Role in Daily-Practice Diagnosis, Prognostic Potential, and Technical Pitfalls. Diagnostics 2021, 11, 713. [Google Scholar] [CrossRef] [PubMed]
- Zhou, Z.W.; Long, H.Z.; Cheng, Y.; Luo, H.Y.; Wen, D.D.; Gao, L.C. From Microbiome to Inflammation: The Key Drivers of Cervical Cancer. Front. Microbiol. 2021, 12, 767931. [Google Scholar] [CrossRef] [PubMed]
- Tobouti, P.L.; Bolt, R.; Radhakrishnan, R.; de Sousa, S.C.O.M.; Hunter, K.D. Altered Toll-like receptor expression and function in HPV-associated oropharyngeal carcinoma. Oncotarget 2017, 9, 236–248. [Google Scholar] [CrossRef] [PubMed]
- Wang, Y.; Weng, Y.; Shi, Y.; Xia, X.; Wang, S.; Duan, H. Expression and functional analysis of Toll-like receptor 4 in human cervical carcinoma. J. Membr. Biol. 2014, 247, 591–599. [Google Scholar] [CrossRef]
- Hasimu, A.; Ge, L.; Li, Q.Z.; Zhang, R.P.; Guo, X. Expressions of Toll-like receptors 3, 4, 7, and 9 in cervical lesions and their correlation with HPV16 infection in Uighur women. Chin. J. Cancer 2011, 30, 344–350. [Google Scholar] [CrossRef]
- Yu, L.; Wang, L.; Li, M.; Zhong, J.; Wang, Z.; Chen, S. Expression of toll-like receptor 4 is down-regulated during progression of cervical neoplasia. Cancer Immunol. Immunother. 2010, 59, 1021–1028. [Google Scholar] [CrossRef]
- Kim, K.H.; Jo, M.S.; Suh, D.S.; Yoon, M.S.; Shin, D.H.; Lee, J.H.; Choi, K.U. Expression and significance of the TLR4/MyD88 signaling pathway in ovarian epithelial cancers. World J. Surg. Oncol. 2012, 10, 193. [Google Scholar] [CrossRef]
- Wang, L.; Wildt, K.F.; Zhu, J.; Zhang, X.; Feigenbaum, L.; Tessarollo, L.; Paul, W.E.; Fowlkes, B.J.; Bosselut, R. Distinct functions for the transcription factors GATA-3 and ThPOK during intrathymic differentiation of CD4(+) T cells. Nat. Immunol. 2008, 9, 1122–1130. [Google Scholar] [CrossRef]
- Ma, F.J.; Liu, Z.B.; Hu, X.; Ling, H.; Li, S.; Wu, J.; Shao, Z.M. Prognostic value of myeloid differentiation primary response 88 and Toll-like receptor 4 in breast cancer patients. PLoS ONE 2014, 9, e111639. [Google Scholar] [CrossRef]
- Casneuf, T.; Axel, A.E.; King, P.; Alvarez, J.D.; Werbeck, J.L.; Verhulst, T.; Verstraeten, K.; Hall, B.M.; Sasser, A.K. Interleukin-6 is a potential therapeutic target in interleukin-6 dependent, estrogen receptor-alpha-positive breast cancer. Breast Cancer (Dove Med. Press) 2016, 8, 13–27. [Google Scholar]
- Roszak, A.; Lianeri, M.; Sowinska, A.; Jagodzinski, P.P. Involvement of Toll-like Receptor 9 polymorphism in cervical cancer development. Mol. Biol. Rep. 2012, 39, 8425–8430. [Google Scholar] [CrossRef] [PubMed][Green Version]
- Pridmore, A.C.; Jarvis, G.A.; John, C.M.; Jack, D.L.; Dower, S.K.; Read, R.C. Activation of toll-like receptor 2 (TLR2) and TLR4/MD2 by Neisseria is independent of capsule and lipooligosaccharide (LOS) sialylation but varies widely among LOS from different strains. Infect. Immun. 2003, 71, 3901–3908. [Google Scholar] [CrossRef] [PubMed]







| Variables | H-SIL (n = 20) n (%) | SCC (n = 40) n (%) |
|---|---|---|
| Mean age [range] | 36.5 [19–64] | 51 [42–58] |
| Age | ||
| ≤50 | 17 (32.6) | 21 (48.6) |
| >50 | 3 (58) | 19 (51.3) |
| HPV status | ||
| HPV-positive | 20 (100) | 40 (100) |
| HPV-negative | 0 | 0 |
| Tumor stage | ||
| Tis | 1 (2.5) | |
| T1 | 9 (22.5) | |
| T1a1 | 5 (12.5) | |
| T1b1-b2 | 14 (35.0) | |
| T2 | 8 (20.0) | |
| T3 | 1 (2.5) | |
| Tx | 2 (5.0) | |
| Tumor differentiation | ||
| G1 | 1 (2.5) | |
| G2 | 2 (5.0) | |
| G3 | 34 (85.0) | |
| Unknown | 3 (7.5) |
| TLR4 Expression: Intensity | NILM | H-SIL | CSCC |
|---|---|---|---|
| Average | 2.053 | 1.474 | 0.868 |
| Standard error | 0.270 | 0.290 | 0.174 |
| TLR4 expression: percentage | NILM | H-SIL | CSCC |
| Average | 0.122 | 0.340 | 0.166 |
| Standard error | 0.024 | 0.084 | 0.046 |
| CK19 Expression: Intensity * | NILM | H-SIL | CSCC |
|---|---|---|---|
| Average | 2.269 | 2.895 | 2.704 |
| Standard error | 0.318 | 0.072 | 0.101 |
| CK19 expression: percentage | NILM | H-SIL | CSCC |
| Average | 0.100 | 0.796 | 0.909 |
| Standard error | 0 | 0.084 | 0.035 |
Disclaimer/Publisher’s Note: The statements, opinions and data contained in all publications are solely those of the individual author(s) and contributor(s) and not of MDPI and/or the editor(s). MDPI and/or the editor(s) disclaim responsibility for any injury to people or property resulting from any ideas, methods, instructions or products referred to in the content. |
© 2024 by the authors. Licensee MDPI, Basel, Switzerland. This article is an open access article distributed under the terms and conditions of the Creative Commons Attribution (CC BY) license (https://creativecommons.org/licenses/by/4.0/).
Share and Cite
Santoro, A.; Angelico, G.; Arciuolo, D.; Scaglione, G.; Padial Urtueta, B.; Aquino, G.; Starita, N.; Tornesello, M.L.; Rega, R.A.; Pedicillo, M.C.; et al. TLR4 Downregulation Identifies High-Risk HPV Infection and Integration in H-SIL and Squamous Cell Carcinomas of the Uterine Cervix. Curr. Issues Mol. Biol. 2024, 46, 11282-11295. https://doi.org/10.3390/cimb46100670
Santoro A, Angelico G, Arciuolo D, Scaglione G, Padial Urtueta B, Aquino G, Starita N, Tornesello ML, Rega RA, Pedicillo MC, et al. TLR4 Downregulation Identifies High-Risk HPV Infection and Integration in H-SIL and Squamous Cell Carcinomas of the Uterine Cervix. Current Issues in Molecular Biology. 2024; 46(10):11282-11295. https://doi.org/10.3390/cimb46100670
Chicago/Turabian StyleSantoro, Angela, Giuseppe Angelico, Damiano Arciuolo, Giulia Scaglione, Belen Padial Urtueta, Gabriella Aquino, Noemy Starita, Maria Lina Tornesello, Rosalia Anna Rega, Maria Carmela Pedicillo, and et al. 2024. "TLR4 Downregulation Identifies High-Risk HPV Infection and Integration in H-SIL and Squamous Cell Carcinomas of the Uterine Cervix" Current Issues in Molecular Biology 46, no. 10: 11282-11295. https://doi.org/10.3390/cimb46100670
APA StyleSantoro, A., Angelico, G., Arciuolo, D., Scaglione, G., Padial Urtueta, B., Aquino, G., Starita, N., Tornesello, M. L., Rega, R. A., Pedicillo, M. C., Mazzucchelli, M., Stefano, I. S. D., Zamparese, R., Campisi, G., Mori, G., Zannoni, G. F., & Pannone, G. (2024). TLR4 Downregulation Identifies High-Risk HPV Infection and Integration in H-SIL and Squamous Cell Carcinomas of the Uterine Cervix. Current Issues in Molecular Biology, 46(10), 11282-11295. https://doi.org/10.3390/cimb46100670

