HSP90 Inhibitor PU-H71 in Combination with BH3-Mimetics in the Treatment of Acute Myeloid Leukemia
Abstract
:1. Introduction
2. Materials and Methods
2.1. Patient Samples
2.2. AML Cell Lines
2.3. Cytotoxicity Assays
2.4. Measurement of mRNA Expression by qPCR
2.5. Imaging Cytometry
2.6. Enzyme-Linked Immunosorbent Assay (ELISA)
3. Results
3.1. Variable Susceptibility of AML Cell Lines to HSP90 Inhibitor PU-H71
3.2. Combination Treatments in AML Cell Lines
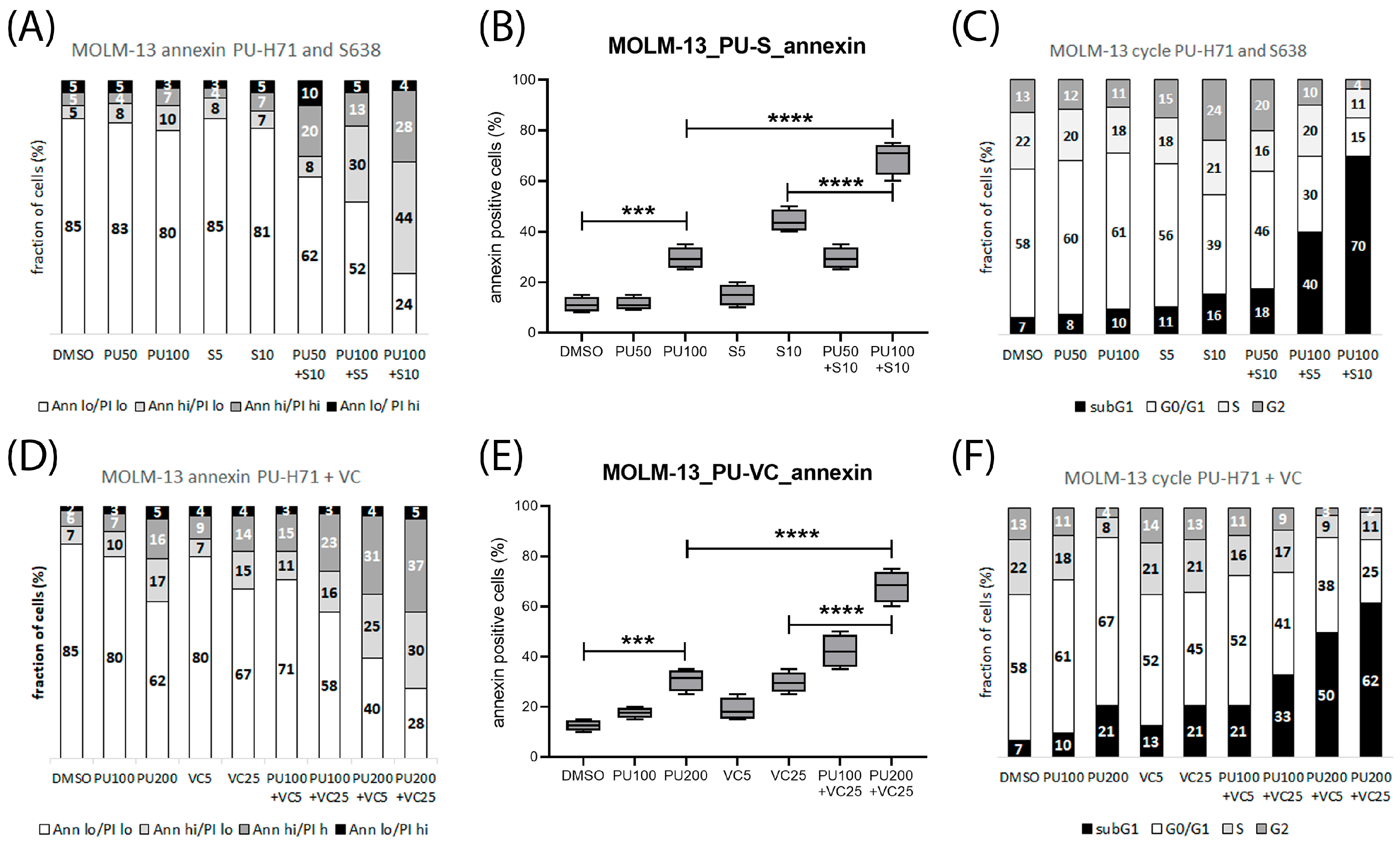
3.3. Treatment Induced Cell Cycle Arrest, Protein Degradation, and Apoptosis
3.4. PU-H71 Combination Treatments in Leukemic Cells In Vitro
3.5. Biomarkers of Responses to PU-H71 Combination Treatments in Leukemic Cells
4. Discussion
5. Conclusions
Supplementary Materials
Author Contributions
Funding
Institutional Review Board Statement
Informed Consent Statement
Data Availability Statement
Acknowledgments
Conflicts of Interest
References
- Schopf, F.H.; Biebl, M.M.; Buchner, J. The HSP90 Chaperone Machinery. Nat. Rev. Mol. Cell Biol. 2017, 18, 345–360. [Google Scholar] [CrossRef]
- Albakova, Z.; Mangasarova, Y.; Albakov, A.; Gorenkova, L. HSP70 and HSP90 in Cancer: Cytosolic, Endoplasmic Reticulum and Mitochondrial Chaperones of Tumorigenesis. Front. Oncol. 2022, 12, 829520. [Google Scholar] [CrossRef] [PubMed]
- Cabaud-Gibouin, V.; Durand, M.; Quéré, R.; Girodon, F.; Garrido, C.; Jego, G. Heat-Shock Proteins in Leukemia and Lymphoma: Multitargets for Innovative Therapeutic Approaches. Cancers 2023, 15, 984. [Google Scholar] [CrossRef] [PubMed]
- Yu, J.; Zhang, C.; Song, C. Pan- and Isoform-Specific Inhibition of Hsp90: Design Strategy and Recent Advances. Eur. J. Med. Chem. 2022, 238, 114516. [Google Scholar] [CrossRef]
- Ren, X.; Li, T.; Zhang, W.; Yang, X. Targeting Heat-Shock Protein 90 in Cancer: An Update on Combination Therapy. Cells 2022, 11, 2556. [Google Scholar] [CrossRef] [PubMed]
- Zong, H.; Gozman, A.; Caldas-Lopes, E.; Taldone, T.; Sturgill, E.; Brennan, S.; Ochiana, S.O.; Gomes-DaGama, E.M.; Sen, S.; Rodina, A.; et al. A Hyperactive Signalosome in Acute Myeloid Leukemia Drives Addiction to a Tumor-Specific Hsp90 Species. Cell Rep. 2015, 13, 2159–2173. [Google Scholar] [CrossRef]
- Trendowski, M. PU-H71: An Improvement on Nature’s Solutions to Oncogenic Hsp90 Addiction. Pharmacol. Res. 2015, 99, 202–216. [Google Scholar] [CrossRef]
- Sugita, M.; Wilkes, D.C.; Bareja, R.; Eng, K.W.; Nataraj, S.; Jimenez-Flores, R.A.; Yan, L.; De Leon, J.P.; Croyle, J.A.; Kaner, J.; et al. Targeting the Epichaperome as an Effective Precision Medicine Approach in a Novel PML-SYK Fusion Acute Myeloid Leukemia. NPJ Precis. Oncol. 2021, 5, 44. [Google Scholar] [CrossRef]
- Campos, L.; Rouault, J.P.; Sabido, O.; Oriol, P.; Roubi, N.; Vasselon, C.; Archimbaud, E.; Magaud, J.P.; Guyotat, D. High Expression of Bcl-2 Protein in Acute Myeloid Leukemia Cells Is Associated with Poor Response to Chemotherapy. Blood 1993, 81, 3091–3096. [Google Scholar] [CrossRef]
- Karakas, T.; Maurer, U.; Weidmann, E.; Miething, C.C.; Hoelzer, D.; Bergmann, L. High Expression of Bcl-2 MRNA as a Determinant of Poor Prognosis in Acute Myeloid Leukemia. Ann. Oncol. 1998, 9, 159–165. [Google Scholar] [CrossRef]
- Kaufmann, S.H.; Karp, J.E.; Svingen, P.A.; Krajewski, S.; Burke, P.J.; Gore, S.D.; Reed, J.C. Elevated Expression of the Apoptotic Regulator Mcl-1 at the Time of Leukemic Relapse. Blood 1998, 91, 991–1000. [Google Scholar] [CrossRef] [PubMed]
- Ewald, L.; Dittmann, J.; Vogler, M.; Fulda, S. Side-by-Side Comparison of BH3-Mimetics Identifies MCL-1 as a Key Therapeutic Target in AML. Cell Death Dis. 2019, 10, 917. [Google Scholar] [CrossRef] [PubMed]
- Smith, V.M.; Dietz, A.; Henz, K.; Bruecher, D.; Jackson, R.; Kowald, L.; van Wijk, S.J.L.; Jayne, S.; Macip, S.; Fulda, S.; et al. Specific Interactions of BCL-2 Family Proteins Mediate Sensitivity to BH3-Mimetics in Diffuse Large B-Cell Lymphoma. Haematologica 2020, 105, 2150–2163. [Google Scholar] [CrossRef] [PubMed]
- Seipel, K.; Schmitter, K.; Bacher, U.; Pabst, T. Rationale for a Combination Therapy Consisting of MCL1- and MEK-Inhibitors in Acute Myeloid Leukemia. Cancers 2019, 11, 779. [Google Scholar] [CrossRef] [PubMed]
- Seipel, K.; Kopp, B.; Bacher, U.; Pabst, T. BMI1-Inhibitor PTC596 in Combination with MCL1 Inhibitor S63845 or MEK Inhibitor Trametinib in the Treatment of Acute Leukemia. Cancers 2021, 13, 581. [Google Scholar] [CrossRef]
- Shumilov, E.; Flach, J.; Kohlmann, A.; Banz, Y.; Bonadies, N.; Fiedler, M.; Pabst, T.; Bacher, U. Current Status and Trends in the Diagnostics of AML and MDS. Blood Rev. 2018, 32, 508–519. [Google Scholar] [CrossRef]
- Seipel, K.; Brügger, Y.; Mandhair, H.; Bacher, U.; Pabst, T. Rationale for Combining the BCL2 Inhibitor Venetoclax with the PI3K Inhibitor Bimiralisib in the Treatment of IDH2- and FLT3-Mutated Acute Myeloid Leukemia. Int. J. Mol. Sci. 2022, 23, 12587. [Google Scholar] [CrossRef]
- Seipel, K.; Graber, C.; Flückiger, L.; Bacher, U.; Pabst, T. Rationale for a Combination Therapy with the STAT5 Inhibitor AC-4-130 and the MCL1 Inhibitor S63845 in the Treatment of FLT3-Mutated or TET2-Mutated Acute Myeloid Leukemia. Int. J. Mol. Sci. 2021, 22, 8092. [Google Scholar] [CrossRef]
- Chou, T.-C. Drug Combination Studies and Their Synergy Quantification Using the Chou-Talalay Method. Cancer Res. 2010, 70, 440–446. [Google Scholar] [CrossRef]
- Yu, C.; Kancha, R.K.; Duyster, J. Targeting Oncoprotein Stability Overcomes Drug Resistance Caused by FLT3 Kinase Domain Mutations. PLoS ONE 2014, 9, e97116. [Google Scholar] [CrossRef]
- Busacca, S.; Law, E.W.P.; Powley, I.R.; Proia, D.A.; Sequeira, M.; Le Quesne, J.; Klabatsa, A.; Edwards, J.M.; Matchett, K.B.; Luo, J.L.; et al. Resistance to HSP90 Inhibition Involving Loss of MCL1 Addiction. Oncogene 2016, 35, 1483–1492. [Google Scholar] [CrossRef] [PubMed]
- Kotschy, A.; Szlavik, Z.; Murray, J.; Davidson, J.; Maragno, A.L.; Le Toumelin-Braizat, G.; Chanrion, M.; Kelly, G.L.; Gong, J.-N.; Moujalled, D.M.; et al. The MCL1 Inhibitor S63845 Is Tolerable and Effective in Diverse Cancer Models. Nature 2016, 538, 477–482. [Google Scholar] [CrossRef] [PubMed]
- Carrington, E.M.; Zhan, Y.; Brady, J.L.; Zhang, J.-G.; Sutherland, R.M.; Anstee, N.S.; Schenk, R.L.; Vikstrom, I.B.; Delconte, R.B.; Segal, D.; et al. Anti-Apoptotic Proteins BCL-2, MCL-1 and A1 Summate Collectively to Maintain Survival of Immune Cell Populations Both in Vitro and in Vivo. Cell Death Differ. 2017, 24, 878–888. [Google Scholar] [CrossRef] [PubMed]
- Han, S.-Y. Small Molecule Induced FLT3 Degradation. Pharmaceuticals 2022, 15, 320. [Google Scholar] [CrossRef] [PubMed]
- Zhang, H.; Nakauchi, Y.; Köhnke, T.; Stafford, M.; Bottomly, D.; Thomas, R.; Wilmot, B.; McWeeney, S.K.; Majeti, R.; Tyner, J.W. Integrated Analysis of Patient Samples Identifies Biomarkers for Venetoclax Efficacy and Combination Strategies in Acute Myeloid Leukemia. Nat. Cancer 2020, 1, 826–839. [Google Scholar] [CrossRef]
- Hughes, M.R.; Canals Hernaez, D.; Cait, J.; Refaeli, I.; Lo, B.C.; Roskelley, C.D.; McNagny, K.M. A Sticky Wicket: Defining Molecular Functions for CD34 in Hematopoietic Cells. Exp. Hematol. 2020, 86, 1–14. [Google Scholar] [CrossRef]
- Lapidot, T.; Sirard, C.; Vormoor, J.; Murdoch, B.; Hoang, T.; Caceres-Cortes, J.; Minden, M.; Paterson, B.; Caligiuri, M.A.; Dick, J.E. A Cell Initiating Human Acute Myeloid Leukaemia after Transplantation into SCID Mice. Nature 1994, 367, 645–648. [Google Scholar] [CrossRef]
- Shlush, L.I.; Mitchell, A.; Heisler, L.; Abelson, S.; Ng, S.W.K.; Trotman-Grant, A.; Medeiros, J.J.F.; Rao-Bhatia, A.; Jaciw-Zurakowsky, I.; Marke, R.; et al. Tracing the Origins of Relapse in Acute Myeloid Leukaemia to Stem Cells. Nature 2017, 547, 104–108. [Google Scholar] [CrossRef]
- Vergez, F.; Green, A.S.; Tamburini, J.; Sarry, J.-E.; Gaillard, B.; Cornillet-Lefebvre, P.; Pannetier, M.; Neyret, A.; Chapuis, N.; Ifrah, N.; et al. High Levels of CD34+CD38low/−CD123+ Blasts Are Predictive of an Adverse Outcome in Acute Myeloid Leukemia: A Groupe Ouest-Est Des Leucémies Aiguës et Maladies Du Sang (GOELAMS) Study. Haematologica 2011, 96, 1792–1798. [Google Scholar] [CrossRef]
- Graf, M.; Reif, S.; Kröll, T.; Hecht, K.; Nuessler, V.; Schmetzer, H. Expression of MAC-1 (CD11b) in Acute Myeloid Leukemia (AML) Is Associated with an Unfavorable Prognosis. Am. J. Hematol. 2006, 81, 227–235. [Google Scholar] [CrossRef]
- Yoyen-Ermis, D.; Tunali, G.; Tavukcuoglu, E.; Horzum, U.; Ozkazanc, D.; Sutlu, T.; Buyukasik, Y.; Esendagli, G. Myeloid Maturation Potentiates STAT3-Mediated Atypical IFN-γ Signaling and Upregulation of PD-1 Ligands in AML and MDS. Sci. Rep. 2019, 9, 11697. [Google Scholar] [CrossRef]
- Xu, Y.; McKenna, R.W.; Wilson, K.S.; Karandikar, N.J.; Schultz, R.A.; Kroft, S.H. Immunophenotypic Identification of Acute Myeloid Leukemia with Monocytic Differentiation. Leukemia 2006, 20, 1321–1324. [Google Scholar] [CrossRef]
- Pei, S.; Pollyea, D.A.; Gustafson, A.; Stevens, B.M.; Minhajuddin, M.; Fu, R.; Riemondy, K.A.; Gillen, A.E.; Sheridan, R.M.; Kim, J.; et al. Monocytic Subclones Confer Resistance to Venetoclax-Based Therapy in Patients with Acute Myeloid Leukemia. Cancer Discov. 2020, 10, 536–551. [Google Scholar] [CrossRef] [PubMed]
- Boysen, M.; Kityk, R.; Mayer, M.P. Hsp70- and Hsp90-Mediated Regulation of the Conformation of P53 DNA Binding Domain and P53 Cancer Variants. Mol. Cell 2019, 74, 831–843.e4. [Google Scholar] [CrossRef] [PubMed]
- Lin, K.; Rockliffe, N.; Johnson, G.G.; Sherrington, P.D.; Pettitt, A.R. Hsp90 Inhibition Has Opposing Effects on Wild-Type and Mutant P53 and Induces P21 Expression and Cytotoxicity Irrespective of P53/ATM Status in Chronic Lymphocytic Leukaemia Cells. Oncogene 2008, 27, 2445–2455. [Google Scholar] [CrossRef] [PubMed]
- Peng, Y.; Chen, L.; Li, C.; Lu, W.; Chen, J. Inhibition of MDM2 by Hsp90 Contributes to Mutant P53 Stabilization. J. Biol. Chem. 2001, 276, 40583–40590. [Google Scholar] [CrossRef]
- Prochazka, K.T.; Pregartner, G.; Rücker, F.G.; Heitzer, E.; Pabst, G.; Wölfler, A.; Zebisch, A.; Berghold, A.; Döhner, K.; Sill, H. Clinical Implications of Subclonal TP53 Mutations in Acute Myeloid Leukemia. Haematologica 2019, 104, 516–523. [Google Scholar] [CrossRef]
- Short, N.J.; Montalban-Bravo, G.; Hwang, H.; Ning, J.; Franquiz, M.J.; Kanagal-Shamanna, R.; Patel, K.P.; DiNardo, C.D.; Ravandi, F.; Garcia-Manero, G.; et al. Prognostic and Therapeutic Impacts of Mutant TP53 Variant Allelic Frequency in Newly Diagnosed Acute Myeloid Leukemia. Blood Adv. 2020, 4, 5681–5689. [Google Scholar] [CrossRef]
- Molica, M.; Mazzone, C.; Niscola, P.; de Fabritiis, P. TP53 Mutations in Acute Myeloid Leukemia: Still a Daunting Challenge? Front. Oncol. 2021, 10, 610820. [Google Scholar] [CrossRef]
- Alfayez, M.; Issa, G.C.; Patel, K.P.; Wang, F.; Wang, X.; Short, N.J.; Cortes, J.E.; Kadia, T.; Ravandi, F.; Pierce, S.; et al. The Clinical Impact of PTPN11 Mutations in Adults with Acute Myeloid Leukemia. Leukemia 2021, 35, 691–700. [Google Scholar] [CrossRef]
- Fobare, S.; Kohlschmidt, J.; Ozer, H.G.; Mrózek, K.; Nicolet, D.; Mims, A.S.; Garzon, R.; Blachly, J.S.; Orwick, S.; Carroll, A.J.; et al. Molecular, Clinical, and Prognostic Implications of PTPN11 Mutations in Acute Myeloid Leukemia. Blood Adv. 2022, 6, 1371–1380. [Google Scholar] [CrossRef] [PubMed]








| ID | Disease | Status | FLT3 | TP53 | Gene Variants | Karyotype |
|---|---|---|---|---|---|---|
| ML-2 | AML (M4) | de novo | wt | wt | KMT2A-AFDN KRAS A146T | t(6;11) |
| MOLM-13 | AML (M5) | relapse | ITD | wt | KMT2A-MLLT3 | t(9;11) |
| MOLM-16 | AML (M0) | relapse | wt | V173M/ C238S | MLL V1368L | hypotetraploid |
| OCI-AML3 | AML (M4) | de novo | wt | wt | DNMT3A R882C NRAS Q61L NPM1 L287fs | +1, +5, +8 |
| PL-21 | AML (M3) | de novo | ITD/ P336L | wt/ P36fs | KRAS A146V | hypertetraploid |
| SKM-1 | AML (M5) | refractory | wt | R248Q/ R248Q | ASXL1 Y591* KRAS K117N | del(9q12) |
| Targeted Therapy | |||
|---|---|---|---|
| Cell Line | PU-H71 | Venetoclax | S63845 |
| target | HSP90 | BCL2 | MCL1 |
| ML-2 | 0.7 | 0.08 | 0.2 |
| MOLM-13 | 0.3 | 0.1 | 0.02 |
| OCI-AML3 | 0.9 | 1.2 | 0.2 |
| SKM-1 | 1.2 | 2 | 0.4 |
| MOLM-16 | >10 | >10 | 10 |
| PL-21 | >10 | 10 | 10 |
| Cell Line | PU-H71 Combination Treatment | |
|---|---|---|
| S63845 | Venetoclax | |
| ML-2 | 0.1–0.3 | 0.5–0.7 |
| MOLM-13 | 0.4–0.6 | 0.5–0.7 |
| OCI-AML3 | 0.4–0.6 | 0.5–0.7 |
| SKM-1 | 0.2–0.4 | 0.7–0.9 |
| MOLM-16 | 0.3–0.5 | 1.1–1.3 |
| PL-21 | 0.5–0.7 | 1.0–1.2 |
| ID | Disease | Mutation Profile (Allelic Ratio, VAF%) | Karyotype | Source | CD34 % | CD117 % | CD11b % |
|---|---|---|---|---|---|---|---|
| A1 | AML-M0 | TP53 G245S (92%) | complex | BM | 97 | 93 | 5 |
| A2 | AML-M4 | FLT3-TKD (0.565), TP53 G245D (5%), NPM1 (19%), SRSF2 (47%), TET2 Q1357fs (42%), TET2 L1816fs (35%) | +8 | PB | 1 | 1 | 96 |
| A3 | AML-M5a | FLT3-ITD (0.5), NPM1 (49%), IDH2 (49%), DNMT3A (48%) | normal | BM | 1 | 86 | <1 |
| A4 | AML-M1/2 | TET2 (47%), CEBPA (49%), GATA2 (14%) | normal | BM | 6 | 86 | 1 |
| A5 | AML-M1/2 | FLT3-ITD (1.1), NPM1 (43%) | normal | BM | 4 | 86 | 8 |
| A6 | AML-M4 | NPM1 (42%), PTPN11 E69K (40%) | nd | BM | 6 | 16 | 86 |
| A7 | AML-M4 | KRAS (64%), ASXL1 (42%), TET2 R1214W (32%) | normal | PB | 1 | 1 | 100 |
| A8 | AML-M4/5 | NPM1 (42%), DNMT3A (46%), PTPN11 A72V (31%), TET2 N275I (27%) | normal | PB | 27 | 86 | 6 |
| A9 | AML-M1 | FLT3-ITD (9.45), IDH2 (47%), NPM1 (48%) | normal | PB | 20 | 95 | 40 |
| A10 | AML-NOS | FLT3 ITD (0.45), TET2 R1261H (47%), TET2 H1904R (48%), SRSF2 (54%) | normal | PB | 97 | 99 | 3 |
| A11 | PV-AML | FLT3-TKD (0.16), PTPN11 Y62D (18%), IDH1 (42%), NPM1 (38%), SRSF2 (40%) | normal | PB | <1 | 98 | 10 |
| A12 | AML-M1 | FLT3-ITD (0.56) | nd | PB | <1 | 80 | 5 |
| A13 | MDS-AML | TET2 Q278* (42%), TET2 M1701fs (35%), NPM1 (31%), ASXL (38%), SRSF2 (42%) | +8 | PB | 51 | 50 | 35 |
| A14 | AML-M4 | FLT3-ITD (0.86), DNMT3A (45%), NPM1 (36%), SUZ12 (51%) | normal | PB | <1 | 84 | 7 |
| A15 | AML-M1 | NRAS (45%), DNMT3A (46%), NPM1 (22%), RAD21 (44%) | +21 | PB | <1 | 97 | <1 |
| A16 | AML-M4 | NRAS (32%), PTPN11 F285I (46%), DNMT3A S243fs (45%), DNMT3A M880V (48%) | der (7;14) | PB | 87 | 20 | 12 |
| A17 | AML-M0 | ASXL1 (48%), IDH2 (45%), RUNX1 (43%), SRSF2 (34%), STAG2 (9%) | +13 | PB | 98 | 94 | 1 |
| A18 | AML-M0 | NPM1 (47%), TET2 H1382Q (48%), TET2 S1848* (45%), BRAF F595L (42%) | normal | PB | <1 | 4 | 4 |
| A19 | AML-M1 | normal | normal | PB | 16 | 20 | <1 |
| A20 | AML-M1 | FLT3 ITD (120.8), NPM1 (35%), WT1 R462P (47%) | normal | PB | 19 | 90 | 10 |
| A21 | AML-M1 | RUNX1-RUNX1T1 (AML1-ETO), NRAS (36%), RAD21 (34%) | t(8;21), -Y | PB | 78 | 37 | 32 |
| A22 | AML-M2 | SF3B1 (50%), TET2 S689fs*4 (50%), CBL (87%) | normal | PB | 76 | 64 | 25 |
| A23 | AML-M1/2 | FLT3 ITD (15.8), DNMT3A R882C (50%), NPM1 (39%), RUNX1 P263S (51%) | normal | PB | 10 | 84 | 1 |
| A24 | AML-M4 | DNMT3A V895M (46%), NPM1 (33%), IDH2 R140Q (46%) | normal | PB | <1 | 30 | 57 |
| A25 | AML-M5 | normal | +8 | PB | 55 | 44 | 45 |
| A26 | AML-M1 | FLT3 ITD (0.3), ZBTB7A (25%) | normal | PB | 1 | 74 | <1 |
| A27 | MDS-AML | TET2 N338fs (50%), TET2 S405fs (49%), EZH2 (96%), NRAS (46%), SMC1A (49%), ASXL1 (42%) | normal | PB | 71 | 77 | 1 |
| H1-H5 | normal | normal | PB | <1 | nd | nd |
Disclaimer/Publisher’s Note: The statements, opinions and data contained in all publications are solely those of the individual author(s) and contributor(s) and not of MDPI and/or the editor(s). MDPI and/or the editor(s) disclaim responsibility for any injury to people or property resulting from any ideas, methods, instructions or products referred to in the content. |
© 2023 by the authors. Licensee MDPI, Basel, Switzerland. This article is an open access article distributed under the terms and conditions of the Creative Commons Attribution (CC BY) license (https://creativecommons.org/licenses/by/4.0/).
Share and Cite
Seipel, K.; Kohler, S.; Bacher, U.; Pabst, T. HSP90 Inhibitor PU-H71 in Combination with BH3-Mimetics in the Treatment of Acute Myeloid Leukemia. Curr. Issues Mol. Biol. 2023, 45, 7011-7026. https://doi.org/10.3390/cimb45090443
Seipel K, Kohler S, Bacher U, Pabst T. HSP90 Inhibitor PU-H71 in Combination with BH3-Mimetics in the Treatment of Acute Myeloid Leukemia. Current Issues in Molecular Biology. 2023; 45(9):7011-7026. https://doi.org/10.3390/cimb45090443
Chicago/Turabian StyleSeipel, Katja, Scarlett Kohler, Ulrike Bacher, and Thomas Pabst. 2023. "HSP90 Inhibitor PU-H71 in Combination with BH3-Mimetics in the Treatment of Acute Myeloid Leukemia" Current Issues in Molecular Biology 45, no. 9: 7011-7026. https://doi.org/10.3390/cimb45090443
APA StyleSeipel, K., Kohler, S., Bacher, U., & Pabst, T. (2023). HSP90 Inhibitor PU-H71 in Combination with BH3-Mimetics in the Treatment of Acute Myeloid Leukemia. Current Issues in Molecular Biology, 45(9), 7011-7026. https://doi.org/10.3390/cimb45090443

