Development and Optimization of Label-Free Quantitative Proteomics under Different Crossing Periods of Bottle Gourd
Abstract
1. Introduction
2. Materials and Methods
2.1. Plant Materials and Experimental Design
2.2. Experimental Manipulations
2.3. Seed Vigor
2.4. Optimization of the Methodology with Protein Extraction Methods
2.4.1. Extraction from the Lysis Buffer
2.4.2. Sucrose Extraction
2.5. TCA Extraction Methods
2.5.1. 10% TCA with 0.07% β-ME and 1 mM PMSF
2.5.2. 10% TCA with 0.07% β-ME
2.5.3. Acetone-Phenol Extraction
2.5.4. Sodium Dodecyl Sulfate (SDS) Extraction
2.6. Precipitation Methods
2.6.1. Precipitation with Acetone Containing β-ME and PMSF
2.6.2. Precipitation with Acetone Containing β-ME
2.6.3. Protein Precipitation with Ammonium Acetate
2.6.4. Clean-Up
2.7. Quantification of Proteins
2.8. Electrophoresis
2.9. In-Gel Digestion of the SDS-PAGE Separated Proteins
2.10. Peptide Extraction
2.11. Peptide Desalting
2.12. Nano LC-MS/MS
2.13. Differential Analysis of MS Data
2.14. Data Analysis
3. Results
3.1. Agro-Metrological Conditions and Productivity
3.2. Seed Vigor Analysis
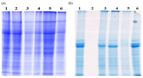
3.3. Optimization of the Methodology
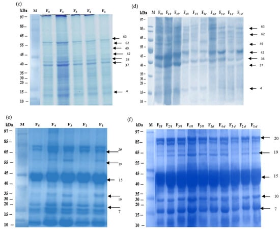
3.4. Polypeptide Composition of Extractable Proteins
3.5. Multivariate Analysis of the Datasets
3.6. Protein Identification and Quantification
4. Discussion
5. Conclusions
Author Contributions
Funding
Institutional Review Board Statement
Informed Consent Statement
Data Availability Statement
Acknowledgments
Conflicts of Interest
References
- Priya, K.; Deshpande, V.K.; Masuthi, D.K.; Haleshkumar, H.B. Influence of growth regulators and crossing period on flowering, seed yield and quality of chilli hybrid HCH-9646. Int. J. Agric. Sci. 2012, 8, 1–4. [Google Scholar]
- Punia, H.; Tokas, J.; Malik, A.; Singh, S.; Phogat, D.S.; Bhuker, A.; Mor, V.S.; Rani, A.; Sheokand, R.N. Discerning morpho-physiological and quality traits contributing to salinity tolerance acquisition in sorghum [Sorghum bicolor (L.) Moench]. South Afr. J. Bot. 2021, 140, 409–418. [Google Scholar] [CrossRef]
- Punia, H.; Tokas, J.; Malik, A.; Rani, A.; Gupta, P.; Kumari, A.; Mor, V.S.; Bhuker, A.; Kumar, S. Solar Radiation and Nitrogen Use Efficiency for Sustainable Agriculture. In Resources Use Efficiency in Agriculture; Springer: Berlin/Heidelberg, Germany, 2020; pp. 177–212. [Google Scholar]
- Malik, A.; Mor, V.S.; Tokas, J.; Punia, H.; Malik, S.; Malik, K.; Sangwan, S.; Tomar, S.; Singh, P.; Singh, N. Biostimulant-Treated Seedlings under Sustainable Agriculture: A Global Perspective Facing Climate Change. Agronomy 2020, 11, 14. [Google Scholar] [CrossRef]
- Yamasaki, Y.; Gao, F.; Jordan, M.C.; Ayele, B.T. Seed maturation associated transcriptional programs and regulatory networks underlying genotypic difference in seed dormancy and size/weight in wheat (Triticum aestivum L.). BMC Plant Biol. 2017, 17, 1–18. [Google Scholar] [CrossRef] [PubMed]
- Doddagoudar, S.R.; Shekhargouda, M.; Khadi, B.M.; Eshanna, M.R.; Biradarpatil, N.K.; Vamadevaiah, H.M. Effect of crossing period on seed germination and seedling vigour of cotton hybrid DHH-543. Crop. Res. 2006, 32, 259. [Google Scholar]
- Punia, H.; Tokas, J.; Bhadu, S.; Mohanty, A.K.; Rawat, P.; Malik, A. Satpal Proteome dynamics and transcriptome profiling in sorghum [Sorghum bicolor (L.) Moench] under salt stress. 3 Biotech 2020, 10, 412. [Google Scholar] [CrossRef]
- Bewley, J.D.; Black, M. Physiology and Biochemistry of Seeds in Relation to Germination: 1 Development, Germination, and Growth; Springer: Berlin/Heidelberg, Germany, 2014; ISBN 364266668X. [Google Scholar]
- Kesari, V.; Rangan, L. Coordinated changes in storage proteins during development and germination of elite seeds of Pongamia pinnata, aversatile biodiesel legume. AoB Plants 2011, 11, 1–16. [Google Scholar] [CrossRef]
- Punia, H.; Madan, S.; Malik, A.; Sethi, S.K. Stability analysis for quality attributes in durum wheat (Triticum durum L.) genotypes. Bangladesh J. Bot. 2019, 48, 967–972. [Google Scholar] [CrossRef]
- Müntz, K.; Belozersky, M.A.; Dunaevsky, Y.E.; Schlereth, A.; Tiedemann, J. Stored proteinases and the initiation of storage protein mobilization in seeds during germination and seedling growth. J. Exp. Bot. 2001, 52, 1741–1752. [Google Scholar] [CrossRef]
- Finnie, C.; Melchior, S.; Roepstorff, P.; Svensson, B. Proteome analysis of grain filling and seed maturation in barley. Plant Physiol. 2002, 129, 1308–1319. [Google Scholar] [CrossRef]
- Santos, F.C.; Caixeta, F.; Clemente, A.C.S.; Pinho, E.V.; Rosa, S.D.V.F. Gene expression of antioxidant enzymes and coffee seed quality during pre- and post-physiological maturity. Genet. Mol. Res. 2014, 13, 10983–10993. [Google Scholar] [CrossRef] [PubMed]
- Borém, F.M.; Coradi, P.C.; Saath, R.; Oliveira, J.A. Qualidade do café natural e despolpado após secagem em terreiro e com altas temperaturas. Ciência E Agrotecnologia 2008, 32, 1609–1615. [Google Scholar] [CrossRef]
- Ahmad, P.; Abdel Latef, A.A.H.; Rasool, S.; Akram, N.A.; Ashraf, M.; Gucel, S. Role of proteomics in crop stress tolerance. Front. Plant Sci. 2016, 7, 1336. [Google Scholar] [CrossRef] [PubMed]
- Tokas, J.; Punia, H.; Malik, A.; Sangwan, S.; Devi, S.; Malik, S. Growth performance, nutritional status, forage yield and photosynthetic use efficiency of sorghum [Sorghum bicolor (L.) Moench] under salt stress. Range Manag. Agrofor. 2021, 42, 59–70. [Google Scholar]
- Mora, L.; Bramley, P.M.; Fraser, P.D. Development and optimisation of a label-free quantitative proteomic procedure and its application in the assessment of genetically modified tomato fruit. Proteomics 2013, 13, 2016–2030. [Google Scholar] [CrossRef] [PubMed]
- Griffin, N.M.; Yu, J.; Long, F.; Oh, P.; Shore, S.; Li, Y.; Koziol, J.A.; Schnitzer, J.E. Label-free, normalized quantification of complex mass spectrometry data for proteomic analysis. Nat. Biotechnol. 2010, 28, 83–89. [Google Scholar] [CrossRef]
- Sun, Q.; Zhang, N.; Wang, J.; Cao, Y.; Li, X.; Zhang, H.; Zhang, L.; Tan, D.X.; Guo, Y.D. A label-free differential proteomics analysis reveals the effect of melatonin on promoting fruit ripening and anthocyanin accumulation upon postharvest in tomato. J. Pineal Res. 2016, 61, 138–153. [Google Scholar] [CrossRef]
- Huan, C.; An, X.; Yu, M.; Jiang, L.; Ma, R.; Tu, M.; Yu, Z. Effect of combined heat and 1-MCP treatment on the quality and antioxidant level of peach fruit during storage. Postharvest Biol. Technol. 2018, 145, 193–202. [Google Scholar] [CrossRef]
- Brown, P.N.; Murch, S.J.; Shipley, P. Phytochemical diversity of cranberry (Vaccinium macrocarpon Aiton) cultivars by anthocyanin determination and metabolomic profiling with chemometric analysis. J. Agric. Food Chem. 2012, 60, 261–271. [Google Scholar] [CrossRef]
- Chen, C.; Zhang, X.; Zhang, H.; Ban, Z.; Li, L.; Dong, C.; Ji, H.; Xue, W. Label-free quantitative proteomics to investigate the response of strawberry fruit after controlled ozone treatment. RSC Adv. 2019, 9, 676–689. [Google Scholar] [CrossRef]
- Punia, H.; Tokas, J.; Malik, A.; Bajguz, A.; El-Sheikh, M.A.; Ahmad, P. Ascorbate–Glutathione Oxidant Scavengers, Metabolome Analysis and Adaptation Mechanisms of Ion Exclusion in Sorghum under Salt Stress. Int. J. Mol. Sci. 2021, 22, 13249. [Google Scholar] [CrossRef]
- Punia, H.; Tokas, J.; Malik, A.; Sangwan, S. Characterization of phenolic compounds and antioxidant activity in sorghum [Sorghum bicolor (L.) Moench] grains. Cereal Res. Commun. 2021, 49, 343–353. [Google Scholar] [CrossRef]
- Punia, H.; Tokas, J.; Mor, V.S.; Bhuker, A.; Malik, A.; Singh, N.; Alsahli, A.A.; Hefft, D.I. Deciphering Reserve Mobilization, Antioxidant Potential, and Expression Analysis of Starch Synthesis in Sorghum Seedlings under Salt Stress. Plants 2021, 10, 2463. [Google Scholar] [CrossRef] [PubMed]
- Abdul-Baki, A.A.; Anderson, J.D. Vigor determination in soybean seed by multiple criteria 1. Crop. Sci. 1973, 13, 630–633. [Google Scholar] [CrossRef]
- Suwanagul, A.; Deewathanawong, R. SDS-PAGE and Two-dimensional Electrophoresis Determination of Protein from Peel and Pulp Tissues of Ripening Durian Fruit. Acta Hortic. 2007, 787, 215–224. [Google Scholar] [CrossRef]
- Ndimba, B.K.; Thomas, L.A.; Ngara, R. Sorghum 2-dimensional proteome profiles and analysis of Hsp70 expression under salinity stress. Kasetsart. J. (Nat. Sci.) 2010, 44, 768–775. [Google Scholar]
- Toledo, F.; Arancibia-Avila, P.; Park, Y.-S.; Jung, S.-T.; Kang, S.-G.; Gu Heo, B.; Drzewiecki, J.; Zachwieja, Z.; Zagrodzki, P.; Pasko, P. Screening of the antioxidant and nutritional properties, phenolic contents and proteins of five durian cultivars. Int. J. Food Sci. Nutr. 2008, 59, 415–427. [Google Scholar] [CrossRef]
- Li, F.X.; Zhou, Y.F.; Wang, Y.T.; Sun, L.; Bai, W.; Yan, T.; Xu, W.J.; Huang, R.D. Screening and identification of sorghum cultivars for alkali tolerance during germination. Sci. Agric. Sin. 2013, 46, 1762–1771. [Google Scholar]
- Sagar, A. Screening of Sorghum Germplasms for Salinity Tolerance Based on Morphophysiological and Biochemical Traits; Bangladesh Agricultural University: Mymensingh, Bangladesh, 2017. [Google Scholar]
- Qu, C.; Liu, C.; Gong, X.; Li, C.; Hong, M.; Wang, L.; Hong, F. Impairment of maize seedling photosynthesis caused by a combination of potassium deficiency and salt stress. Environ. Exp. Bot. 2012, 75, 134–141. [Google Scholar] [CrossRef]
- Forcada, C.F.; Kodad, O.; Juan, T.; Estopañan, G. Genetic variability and pollen effect on the transmission of the chemical components of the almond kernel. Span. J. Agric. Res. 2011, 9, 781–789. [Google Scholar] [CrossRef]
- Khalil, R.M.A. Molecular and biochemical markers associated with salt tolerance in some sorghum genotypes. World Appl. Sci. J. 2013, 22, 459–469. [Google Scholar] [CrossRef]
- Ngara, R.; Ndimba, R.; Borch-Jensen, J.; Jensen, O.N.; Ndimba, B. Identification and profiling of salinity stress-responsive proteins in Sorghum bicolor seedlings. J. Proteom. 2012, 75, 4139–4150. [Google Scholar] [CrossRef] [PubMed]
- Sathe, S.K.; Wolf, W.J.; Roux, K.H.; Teuber, S.S.; Venkatachalam, M.; Sze-Tao, K.W.C. Biochemical characterization of amandin, the major storage protein in almond (Prunus dulcis L.). J. Agric. Food Chem. 2002, 50, 4333–4341. [Google Scholar] [CrossRef] [PubMed]
- Čolić, S.D.; Bakić, I.V.; Dabić Zagorac, D.; Natić, M.M.; Smailagić, A.T.; Pergal, M.V.; Pešić, M.B.; Milinčić, D.D.; Rabrenović, B.B.; Fotirić Akšić, M.M. Chemical Fingerprint and Kernel Quality Assessment in Different Grafting Combinations of Almond Under Stress Condition. Sci. Hortic. (Amst.) 2021, 275, 109705. [Google Scholar] [CrossRef]
- Capouchová, I.; Petr, J.; Krejčířová, L. Protein composition of sorghum and oat grain and their suitability for gluten-free diet. Žemdirbystė 2006, 93, 271–284. [Google Scholar]
- Radonić, A.; Thulke, S.; Mackay, I.M.; Landt, O.; Siegert, W.; Nitsche, A. Guideline to reference gene selection for quantitative real-time PCR. Biochem. Biophys. Res. Commun. 2004, 313, 856–862. [Google Scholar] [CrossRef] [PubMed]
- Srivastava, D.; Khan, N.A.; Shamim, M.; Yadav, P.; Pandey, P.; Singh, K.N. Assessment of the genetic diversity in bottle gourd (Lagenaria siceraria [Molina] Standl.) genotypes using SDS-PAGE and RAPD Markers. Natl. Acad. Sci. Lett. 2014, 37, 155–161. [Google Scholar] [CrossRef]
- Yin, H.; Chen, C.J.; Yang, J.; Weston, D.J.; Chen, J.G.; Muchero, W.; Ye, N.; Tschaplinski, T.J.; Wullschleger, S.D.; Cheng, Z.M.; et al. Functional genomics of drought tolerance in bioenergy crops. Crit. Rev. Plant Sci. 2014, 33, 205–224. [Google Scholar] [CrossRef]
- Sharan, A.A.; Nikam, A.N.; Jaleel, A.; Tamhane, V.A.; Rao, S.P. Method for label-free quantitative proteomics for Sorghum bicolor L. Moench. Trop. Plant Biol. 2018, 11, 78–91. [Google Scholar] [CrossRef]
- Barkla, B.; Vera-Estrella, R.; Pantoja, O. Progress and challenges for abiotic stress proteomics of crop plants. Proteomics 2013, 13, 1801–1815. [Google Scholar] [CrossRef]
- Punia, H.; Tokas, J.; Malik, A.; Sangwan, S.; Rani, A.; Yashveer, S.; Alansi, S.; Hashim, M.J.; El-Sheikh, M.A. Genome-wide transcriptome profiling, characterization, and functional identification of NAC transcription factors in sorghum under salt stress. Antioxidants 2021, 10, 1605. [Google Scholar] [CrossRef] [PubMed]
- Roy, S.K.; Kamal, A.H.M.; Kim, H.R.; Kwon, S.J.; Jang, H.Y.; Ko, J.H.; Kim, J.I.; Ko, T.S.; Xin, Z.; Woo, S.H. Proteome profiling of seed from inbred and mutant line of Sorghum (Sorghum bicolor). Aust. J. Crop. Sci. 2014, 8, 606–611. [Google Scholar]
- Bandehagh, A.; Hosseini Salekdeh, G.; Toorchi, M.; Mohammadi, A.; Komatsu, K. Comparative proteomic analysis of canola leavesunder salinity stress. Proteomics 2011, 11, 1965–1975. [Google Scholar] [CrossRef] [PubMed]
- Ahmad, P.; Tripathi, D.K.; Deshmukh, R.; Pratap Singh, V.; Corpas, F.J. Revisiting the Role of ROS and RNS in Plants under Changing Environment; Elsevier: Amsterdam, The Netherlands, 2019. [Google Scholar]
- Mansoor, S.; Ali Wani, O.; Lone, J.K.; Manhas, S.; Kour, N.; Alam, P.; Ahmad, A.; Ahmad, P. Reactive Oxygen Species in Plants: From Source to Sink. Antioxidants 2022, 11, 225. [Google Scholar] [CrossRef]
- Kohli, S.K.; Khanna, K.; Bhardwaj, R.; Abd_Allah, E.F.; Ahmad, P.; Corpas, F.J. Assessment of Subcellular ROS and NO Metabolism in Higher Plants: Multifunctional Signaling Molecules. Antioxidants 2019, 8, 641. [Google Scholar] [CrossRef]
- Méchin, V.; Damerval, C.; Zivy, M. Total protein extraction with TCA-acetone. Plant Proteomics Protocols. 2007, 355, 1. [Google Scholar]
- Westermeier, R.; Marouga, R. Protein detection methods in proteomics research. Biosci. Rep. 2005, 25, 19–32. [Google Scholar] [CrossRef]
- Abdallah, C.; Dumas-Gaudot, E.; Renaut, J.; Sergeant, K. Gel-based and gel-free quantitative proteomics approaches at a glance. Int. J. Plant Genomic. 2012, 2012, 1–17. [Google Scholar] [CrossRef] [PubMed]














| Month | Maximum | Minimum | RH | RH | BRI | PAN | RAIN | Average |
|---|---|---|---|---|---|---|---|---|
| Temperature | Temperature | (%) | (%) | SUN | Evaporation | Fall | WS | |
| °C | °C | M | E | HRS | (mm) | (mm) | KM/H | |
| July | 34.4 | 27.0 | 90.7 | 70.9 | 6.5 | 4.6 | 2.6 | 7.3 |
| August | 34.7 | 26.3 | 89.7 | 69.3 | 6.3 | 4.2 | 3.1 | 5.6 |
| September | 34.9 | 23.5 | 87.2 | 49.5 | 6.8 | 4.2 | 1.9 | 2.9 |
| October | 35.0 | 17.2 | 84.8 | 28.0 | 6.6 | 3.6 | 0.0 | 1.9 |
| November | 27.2 | 10.8 | 90.1 | 39.8 | 3.4 | 2.8 | 0.0 | 2.0 |
| December | 23.8 | 7.3 | 89.7 | 34.5 | 3.7 | 1.4 | 0.0 | 0.7 |
| Mean | 31.7 | 18.7 | 88.7 | 48.7 | 5.5 | 3.5 | 1.3 | 3.4 |
| DOC | Max. T (°C) | Min. T (°C) | DOC | Max. T (°C) | Min. T (°C) | ||
|---|---|---|---|---|---|---|---|
| F1 | 4-September-2017 | 35.8 | 25.6 | F2 | 11-September-2017 | 37.2 | 26.5 |
| 5-September-2017 | 34.9 | 24 | 12-September-2017 | 34.9 | 24.5 | ||
| 6-September-2017 | 34.6 | 25.3 | 13-September-2017 | 35.9 | 25.6 | ||
| 7-September-2017 | 35.9 | 22.5 | 14-September-2017 | 36.4 | 26 | ||
| 8-September-2017 | 33.4 | 24.5 | 15-September-2017 | 35.4 | 23.9 | ||
| 9-September-2017 | 34.2 | 25 | 16-September-2017 | 35.8 | 23.9 | ||
| 10-September-2017 | 34.4 | 25.9 | 17-September-2017 | 32.0 | 24.2 | ||
| Mean | 34.7 | 24.7 | Mean | 35.4 | 24.9 | ||
| F3 | 18-September-2017 | 35.6 | 20 | F4 | 25-September-2017 | 34.4 | 22.7 |
| 19-September-2017 | 36.6 | 19.9 | 26-September-2017 | 36.4 | 23.5 | ||
| 20-September-2017 | 36.8 | 19 | 27-September-2017 | 36 | 22.9 | ||
| 21-September-2017 | 36.8 | 22.9 | 28-September-2017 | 36.9 | 22.9 | ||
| 22-September-2017 | 36.4 | 24.3 | 29-September-2017 | 36.6 | 20.5 | ||
| 23-September-2017 | 33.4 | 24 | 30-September-2017 | 37 | 19.8 | ||
| 24-September-2017 | 30.6 | 20.2 | 1-October-2017 | 37.4 | 18.5 | ||
| Mean | 35.2 | 21.5 | Mean | 36.4 | 21.5 | ||
| F5 | 3-October-2017 | 37 | 18.8 | ||||
| 4-October-2017 | 36.4 | 19.5 | |||||
| 5-October-2017 | 36.9 | 19 | |||||
| 6-October-2017 | 36.2 | 19.5 | |||||
| 7-October-2017 | 36.4 | 18.2 | |||||
| 8-October-2017 | 35.6 | 18 | |||||
| Mean | 36.5 | 19.0 | |||||
| S. No. | Accession | Protein Description | MW (kDa) | pI | Protein score | SC (%) | Peptides | PSM | Fold Change | KEGG Pathway | |||||
|---|---|---|---|---|---|---|---|---|---|---|---|---|---|---|---|
| HBGH35 | Pusa Naveen (♀) | ||||||||||||||
| F1 | F3 | F4 | F1 | F3 | F4 | ||||||||||
| Ion Transporters | |||||||||||||||
| 1. | A0A194YHK2 | H(+)-exporting diphosphatase | 79.7 | 5.33 | 467.22 | 13 | 3 | 168 | 1.45 | 4.83 | 6.15 | 1.21 | 2.44 | 2.65 | Plant–pathogen interaction; protein processing in the endoplasmic reticulum |
| 2. | C5YBL4 | HATPase_c domain-containing protein | 81.7 | 5.11 | 197.27 | 9 | 3 | 115 | 1.62 | 2.66 | 4.11 | 0.27 | 0.64 | 1.24 | Phagosome; metabolic pathways; oxidative phosphorylation |
| 3. | C5WP97 | Cation_ATPase_N domain-containing protein | 115.4 | 5.58 | 246.11 | 10 | 10 | 92 | 1.21 | 3.48 | 5.2 | 0.19 | 0.23 | 0.13 | Phagosome; metabolic pathways; oxidative phosphorylation |
| 4. | A0A194YNQ1 | Vacuolar proton pump subunit B | 54.2 | 5.36 | 998.47 | 17 | 17 | 392 | 1.2 | 3.42 | 3.05 | 0.28 | 0.84 | 1.02 | Phagosome; metabolic pathways |
| 5. | A0A1B6Q818 | Glutathione transferase | 24 | 6.52 | 582.35 | 7 | 7 | 193 | 1.34 | 4.26 | 3.55 | 1.02 | 0.51 | 0.36 | Phagosome; oxidative phosphorylation; metabolic pathways |
| 6. | C5YF66 | V-type proton ATPase subunit G | 12.3 | 6.13 | 18.57 | 2 | 2 | 7 | 2.67 | 3.46 | 4.9 | 1.64 | 2.64 | 2.32 | Phagosome; metabolic pathways; oxidative phosphorylation |
| 7. | C5YX05 | V-type proton ATPase subunit C | 42.7 | 5.78 | 446.02 | 13 | 6 | 170 | 2.13 | 5.94 | 6.54 | 1.24 | 3.91 | 4.09 | Phagosome; metabolic pathways |
| Antioxidative enzymes, osmolytes, chaperons | |||||||||||||||
| 8. | A0A1B6PMT8 | PEROXIDASE_4 domain-containing protein | 38.3 | 8.19 | 372.99 | 11 | 11 | 155 | 1.23 | 3.23 | 4.35 | 1.2 | 2.1 | 2.8 | Glutathione metabolism |
| 9. | C5X6H6 | L-ascorbate peroxidase | 27.1 | 5.36 | 863.16 | 9 | 8 | 318 | 1.2 | 7.37 | 4.32 | 0.32 | 0.54 | 0.72 | Arachidonic acid metabolism; glutathione metabolism |
| 10 | Q6JAG4 | Glutathione peroxidase | 18.4 | 7.08 | 326.46 | 7 | 6 | 122 | 1.17 | 3.32 | 5.11 | 1.2 | 1.08 | 2.34 | Phagosome; metabolic pathways |
| 11 | C5WWX0 | Glutathione reductase | 59.3 | 7.56 | 458.25 | 14 | 14 | 209 | 2.04 | 4.23 | 6.23 | 1.17 | 2.43 | 3.01 | Glutathione metabolism |
| 12 | A0A1B6QQQ9 | Catalase | 56.6 | 7.28 | 656.35 | 15 | 12 | 268 | 1.19 | 4.3 | 6.5 | 2.31 | 3.92 | 4.09 | Scavenging |
| 13 | A0A1B6Q707 | Delta-1-pyrroline-5-carboxylate synthase | 78.3 | 6.42 | 193.73 | 11 | 10 | 83 | 1.04 | 6.64 | 4.8 | 1.24 | 2.27 | 3.01 | Arginine and proline metabolism; biosynthesis of secondary metabolites; metabolic pathways |
| 14 | C5WSJ9 | Proline dehydrogenase | 53 | 7.69 | 2.48 | 1 | 1 | 1 | 4.64 | 6.54 | 6.64 | 1.07 | 2.64 | 3.64 | Osmoregulation |
| 15 | C5Y3J4 | LEA_2 domain-containing protein | 24 | 9.11 | 42.13 | 2 | 2 | 20 | 1.35 | 3.77 | 4.51 | 1.03 | 2.62 | 4.43 | Osmoregulation; molecular chaperons |
| 16 | A1E9W3 | 30S ribosomal protein S3, chloroplastic | 25.9 | 9.74 | 102.5 | 5 | 5 | 51 | 1.2 | 3.2 | 4.6 | 1.3 | 2.2 | 3.3 | Ribosome |
| 17 | A0A1B6PDG7 | Diaminopimelate epimerase | 37.8 | 6.54 | 106.48 | 6 | 6 | 46 | 2.11 | 4.29 | 5.22 | 2.08 | 3.01 | 2.32 | Cysteine and methionine metabolism; metabolic pathways; biosynthesis of amino acids; sulfur metabolism; biosynthesis of secondary metabolites; carbon metabolism |
| 18 | A0A1B6P8M2 | Pyruvate, phosphate dikinase | 102.4 | 5.73 | 3300.97 | 44 | 44 | 1234 | 2.12 | 4.6 | 5.13 | 1.26 | 2.43 | 3.0 | Protein export |
| 19 | C5YUG2 | Starch synthase, chloroplastic/amyloplastic | 103 | 6.49 | 101.91 | 6 | 6 | 32 | 2.39 | 2.75 | 3.05 | 1.14 | 3.04 | 4.2 | Biosynthesis; carbohydrate metabolism |
| 20 | C5YD77 | Glucose-6-phosphate 1-dehydrogenase | 66.6 | 8.35 | 107.16 | 5 | 3 | 50 | 1.14 | 2.6 | 3.16 | 1.26 | 2.26 | 3.46 | Glucose metabolism |
| S. No. | Accession | Protein Description | MW (kDa) | pI | Protein Score | SC (%) | Peptides | PSM | Fold Change | KEGG Pathway | |||||
|---|---|---|---|---|---|---|---|---|---|---|---|---|---|---|---|
| HBGH35 | Pusa Naveen (♀) | ||||||||||||||
| F1 | F3 | F4 | F1 | F3 | F4 | ||||||||||
| 1. | A0A1Z5RLT7 | Ribosomal_L16 domain-containing protein | 20.8 | 10.18 | 192.37 | 6 | 3 | 82 | −0.74 | −0.72 | −0.71 | −0.81 | −2.92 | −0.01 | Ribosome |
| 2. | A1E9W3 | 30S ribosomal protein S3, chloroplastic | 25.9 | 9.74 | 102.5 | 5 | 5 | 51 | −0.1 | −0.34 | −0.11 | - | - | - | Ribosome |
| 3. | C5WYH8 | Glutamyl-tRNA synthetase | 81.2 | 7.44 | 317.85 | 11 | 4 | 133 | −0.31 | −0.2 | −0.47 | −0.51 | −0.91 | −0.61 | Metabolic pathways; biosynthesis of secondary metabolites; aminoacyl-tRNA biosynthesis; porphyrin and chlorophyll metabolism |
| 4. | C5XFP1 | Cysteine synthase | 42.1 | 8.28 | 481.2 | 11 | 11 | 170 | - | - | - | −0.33 | 0 | −0.44 | Cysteine and methionine metabolism; metabolic pathways; biosynthesis of amino acids; sulfur metabolism; biosynthesis of secondary metabolites; carbon metabolism |
| 5. | C5XDW6 | UDP-arabinopyranose mutase | 40.8 | 7.05 | 212.84 | 7 | 2 | 103 | - | - | - | −0.43 | −0.14 | −0.27 | Amino sugar and nucleotide sugar metabolism |
| 6. | C5YAY1 | Protein kinase domain-containing protein | 67.4 | 7.44 | 69.27 | 3 | 3 | 27 | - | - | - | −0.35 | −0.35 | −0.16 | Signal transduction |
| 7. | C5Y2Z7 | E1 ubiquitin-activating enzyme | 116.7 | 5.36 | 629.61 | 22 | 2 | 258 | - | - | - | −0.99 | −0.17 | −0.32 | Ubiquitin-mediated proteolysis |
| 8. | C5YDP0 | 40S ribosomal protein S8 | 24.9 | 10.39 | 390.36 | 6 | 2 | 155 | - | - | - | −0.02 | −0.91 | −1 | Ribosome |
| 9. | C5XZJ2 | Vacuolar protein sorting-associated protein 29 | 20.9 | 6.6 | 4.8 | 1 | 1 | 2 | - | - | - | −6.64 | −6.64 | −0.3 | Endocytosis |
| 10. | C5WZ11 | Glutathione transferase | 25.7 | 7.56 | 95.7 | 3 | 1 | 36 | - | - | - | −1.67 | −6.64 | −0.11 | Glutathione metabolism |
| 11. | C5XBD4 | Phosphopyruvate hydratase | 50.5 | 6.29 | 168.11 | 6 | 6 | 66 | −0.05 | −0.01 | −0.16 | −0.05 | −1.57 | −0.57 | RNA degradation; carbon metabolism; glycolysis/Gluconeogenesis; biosynthesis of amino acids; metabolic pathways; biosynthesis of secondary metabolites |
| 12. | C5Y9W4 | 14_3_3 domain-containing protein | 29.6 | 4.81 | 959.55 | 14 | 9 | 347 | −0.22 | −0.72 | −0.3 | 0-.32 | −0.03 | 0.19 | |
Disclaimer/Publisher’s Note: The statements, opinions and data contained in all publications are solely those of the individual author(s) and contributor(s) and not of MDPI and/or the editor(s). MDPI and/or the editor(s) disclaim responsibility for any injury to people or property resulting from any ideas, methods, instructions or products referred to in the content. |
© 2023 by the authors. Licensee MDPI, Basel, Switzerland. This article is an open access article distributed under the terms and conditions of the Creative Commons Attribution (CC BY) license (https://creativecommons.org/licenses/by/4.0/).
Share and Cite
Malik, A.; Mor, V.S.; Punia, H.; Duhan, D.S.; Tokas, J.; Bhuker, A.; Alyemeni, M.N.; Shakoor, A. Development and Optimization of Label-Free Quantitative Proteomics under Different Crossing Periods of Bottle Gourd. Curr. Issues Mol. Biol. 2023, 45, 1349-1372. https://doi.org/10.3390/cimb45020088
Malik A, Mor VS, Punia H, Duhan DS, Tokas J, Bhuker A, Alyemeni MN, Shakoor A. Development and Optimization of Label-Free Quantitative Proteomics under Different Crossing Periods of Bottle Gourd. Current Issues in Molecular Biology. 2023; 45(2):1349-1372. https://doi.org/10.3390/cimb45020088
Chicago/Turabian StyleMalik, Anurag, Virender Singh Mor, Himani Punia, D. S. Duhan, Jayanti Tokas, Axay Bhuker, Mohammed Nasser Alyemeni, and Awais Shakoor. 2023. "Development and Optimization of Label-Free Quantitative Proteomics under Different Crossing Periods of Bottle Gourd" Current Issues in Molecular Biology 45, no. 2: 1349-1372. https://doi.org/10.3390/cimb45020088
APA StyleMalik, A., Mor, V. S., Punia, H., Duhan, D. S., Tokas, J., Bhuker, A., Alyemeni, M. N., & Shakoor, A. (2023). Development and Optimization of Label-Free Quantitative Proteomics under Different Crossing Periods of Bottle Gourd. Current Issues in Molecular Biology, 45(2), 1349-1372. https://doi.org/10.3390/cimb45020088

