HPLC-PDA Analysis of Polyacetylene Glucosides from Launaea capitata and Their Antibacterial and Antibiofilm Properties against Klebsiella pneumoniae
Abstract
1. Introduction
2. Results
2.1. In Vitro Antimicrobial Action
2.1.1. Susceptibility Assay
2.1.2. Antibiofilm Activity
2.1.3. Quantitative Real-Time PCR (qRT-PCR)
2.2. In Vivo Assay
2.2.1. Bacterial Count (Tissue Burden)
2.2.2. Histopathology
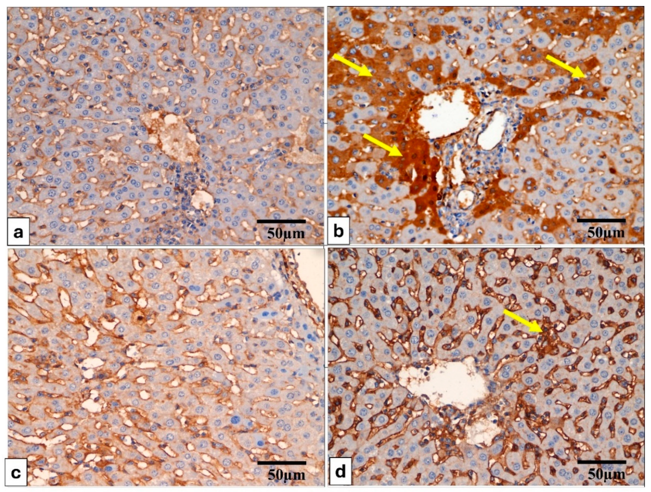
2.2.3. Immunohistochemistry
2.2.4. Enzyme-Linked Immunosorbent Assay (ELISA)
2.3. HPLC-PDA Analysis
The concentration of compound 1 in the total extract = 29.89 µg/mL
The concentration of compound 2 in the total extract = 32.887 µg/mL
3. Discussion
4. Materials and Methods
4.1. Plant Material
4.2. Biomarker Compounds
4.3. Bacteria and Culture Media
4.4. In Vitro Studies
4.4.1. Susceptibility Testing
4.4.2. Inhibition of Biofilm Formation
4.4.3. qRT-PCR
4.5. In Vivo Explorations against K. pneumoniae
4.5.1. Experimental Procedures
4.5.2. Histopathology and Immunohistochemistry (IHC)
4.5.3. ELISA
4.6. Statistics
4.7. HPLC-PDA Determination of 1 and 2 in the Total Extract of Launaea capitata
4.7.1. Mobile Phase
4.7.2. Preparation of Standard Solution
4.7.3. Software and Instrument
4.7.4. Chromatographic Conditions
4.7.5. Construction of Calibration Curves
5. Conclusions
Supplementary Materials
Author Contributions
Funding
Institutional Review Board Statement
Informed Consent Statement
Data Availability Statement
Acknowledgments
Conflicts of Interest
References
- Ventola, C.L. The antibiotic resistance crisis: Part 1: Causes and threats. Pharm. Ther. 2015, 40, 277–283. [Google Scholar]
- Medina, E.; Pieper, D.H. Tackling Threats and Future Problems of Multidrug-Resistant Bacteria. Curr. Top. Microbiol. Immunol. 2016, 398, 3–33. [Google Scholar] [CrossRef]
- Kot, B.; Piechota, M.; Szweda, P.; Mitrus, J.; Wicha, J.; Grużewska, A.; Witeska, M. Virulence analysis and antibiotic resistance of Klebsiella pneumoniae isolates from hospitalised patients in Poland. Sci. Rep. 2023, 13, 4448. [Google Scholar] [CrossRef] [PubMed]
- Hafiz, T.A.; Alanazi, S.; Alghamdi, S.S.; Mubaraki, M.A.; Aljabr, W.; Madkhali, N.; Alharbi, S.R.; Binkhamis, K.; Alotaibi, F. Klebsiella pneumoniae bacteraemia epidemiology: Resistance profiles and clinical outcome of King Fahad Medical City isolates, Riyadh, Saudi Arabia. BMC Infect. Dis. 2023, 23, 579. [Google Scholar] [CrossRef]
- Riwu, K.H.P.; Effendi, M.H.; Rantam, F.A.; Khairullah, A.R.; Widodo, A. A review: Virulence factors of Klebsiella pneumonia as emerging infection on the food chain. Vet. World 2022, 15, 2172. [Google Scholar] [CrossRef] [PubMed]
- Liu, X.; Yao, H.; Zhao, X.; Ge, C. Biofilm Formation and Control of Foodborne Pathogenic Bacteria. Molecules 2023, 28, 2432. [Google Scholar] [CrossRef]
- Ramírez-Larrota, J.S.; Eckhard, U. An introduction to bacterial biofilms and their proteases, and their roles in host infection and immune evasion. Biomolecules 2022, 12, 306. [Google Scholar] [CrossRef] [PubMed]
- Latka, A.; Drulis-Kawa, Z. Advantages and limitations of microtiter biofilm assays in the model of antibiofilm activity of Klebsiella phage KP34 and its depolymerase. Sci. Rep. 2020, 10, 20338. [Google Scholar] [CrossRef] [PubMed]
- Jiang, Q.; Chen, J.; Yang, C.; Yin, Y.; Yao, K. Quorum sensing: A prospective therapeutic target for bacterial diseases. BioMed Res. Int. 2019, 2019, 2015978. [Google Scholar] [CrossRef]
- Zhao, X.; Yu, Z.; Ding, T. Quorum-sensing regulation of antimicrobial resistance in bacteria. Microorganisms 2020, 8, 425. [Google Scholar] [CrossRef]
- Wang, L.; Zhang, Y.; Liu, Y.; Xu, M.; Yao, Z.; Zhang, X.; Sun, Y.; Zhou, T.; Shen, M. Effects of chlorogenic acid on antimicrobial, antivirulence, and anti-quorum sensing of carbapenem-resistant Klebsiella pneumoniae. Front. Microbiol. 2022, 13, 997310. [Google Scholar] [CrossRef] [PubMed]
- Li, Y.; Ni, M. Regulation of biofilm formation in Klebsiella pneumoniae. Front. Microbiol. 2023, 14, 1238482. [Google Scholar] [CrossRef]
- Uruén, C.; Chopo-Escuin, G.; Tommassen, J.; Mainar-Jaime, R.C.; Arenas, J. Biofilms as Promoters of Bacterial Antibiotic Resistance and Tolerance. Antibiotics 2020, 10, 3. [Google Scholar] [CrossRef] [PubMed]
- Sharma, S.; Mohler, J.; Mahajan, S.D.; Schwartz, S.A.; Bruggemann, L.; Aalinkeel, R. Microbial Biofilm: A Review on Formation, Infection, Antibiotic Resistance, Control Measures, and Innovative Treatment. Microorganisms 2023, 11, 1614. [Google Scholar] [CrossRef]
- Oliveira, R.; Castro, J.; Silva, S.; Oliveira, H.; Saavedra, M.J.; Azevedo, N.F.; Almeida, C. Exploring the antibiotic resistance profile of clinical Klebsiella pneumoniae isolates in Portugal. Antibiotics 2022, 11, 1613. [Google Scholar] [CrossRef]
- Mancuso, G.; Midiri, A.; Gerace, E.; Biondo, C. Bacterial antibiotic resistance: The most critical pathogens. Pathogens 2021, 10, 1310. [Google Scholar] [CrossRef] [PubMed]
- Gou, J.; Lu, Y.; Xie, M.; Tang, X.; Chen, L.; Zhao, J.; Li, G.; Wang, H. Antimicrobial activity in Asterceae: The selected genera characterization and against multidrug resistance bacteria. Heliyon 2023, 9, e14985. [Google Scholar] [CrossRef]
- Daur, I. Plant flora in the rangeland of western Saudi Arabia. Pak. J. Bot. 2012, 44, 23–26. [Google Scholar]
- Elsharkawy, E.R. Isolation of phytoconstituents and evaluation of anticancer and Antioxidant potential of Launaea mucronata (Forssk.) Muschl. subsp. Pak. J. Pharm. Sci. 2017, 30, 399–405. [Google Scholar]
- Kilian, N. Revision of Launaea Cass. (Compositae, Lactuceae, Sonchinae). Englera 1997, 17, 1–478. [Google Scholar] [CrossRef]
- Al-Fatimi, M. Wild edible plants traditionally collected and used in southern Yemen. J. Ethnobiol. Ethnomed. 2021, 17, 49. [Google Scholar] [CrossRef] [PubMed]
- Khalil, H.E.; Aldakheel, T.S.; AlAhmed, A.; Emeka, P.M.; Kandeel, M. Anti-proliferative activity of leaves of Launaea capitata Asteraceae: Phytochemical, cytotoxicity and in silico studies. Trop. J. Pharm. Res. 2020, 19, 2129–2136. [Google Scholar] [CrossRef]
- Cheriti, A.; Belboukhari, M.; Belboukhari, N.; Djeradi, H.J.P. Phytochemical and biological studies on Launaea Cass. genus (Asteraceae) from Algerian Sahara. Curr. Top. Phytochem. 2012, 11, 67–80. [Google Scholar]
- Emad, F.; Khalafalah, A.K.; El Sayed, M.A.; Mohamed, A.H.; Stadler, M.; Helaly, S.E. Three new polyacetylene glycosides (PAGs) from the aerial part of Launaea capitata (Asteraceae) with anti-biofilm activity against Staphylococcus aureus. Fitoterapia 2020, 143, 104548. [Google Scholar] [CrossRef] [PubMed]
- Abdel Bar, F.M.; Elekhnawy, E.; Aldawsari, T.H.; Alkanhal, S.F.; Alanazi, R.M.; Al-Akeel, G.A.; ElNaggar, M.H. Unveiling the role of macranthoin G in the traditional anti-infective properties of Launaea nudicaulis. S. Afr. J. Bot. 2024, 172, 302–311. [Google Scholar] [CrossRef]
- Abdel Bar, F.M.; Sherif, A.E.; ElNaggar, M.H. Galactolipids from Launaea capitata (Spreng.) Dandy with In Vitro Anti-Inflammatory and Neuroprotective Activities. Separations 2023, 10, 83. [Google Scholar] [CrossRef]
- Abdel Bar, F.M.; Mira, A.; Foudah, A.I.; Alossaimi, M.A.; Alkanhal, S.F.; Aldaej, A.M.; ElNaggar, M.H. In Vitro and In Silico Investigation of Polyacetylenes from Launaea capitata (Spreng.) Dandy as Potential COX-2, 5-LOX, and BchE Inhibitors. Molecules 2023, 28, 3526. [Google Scholar] [CrossRef]
- Liu, J.H.; Lee, C.S.; Leung, K.M.; Yan, Z.K.; Shen, B.H.; Zhao, Z.Z.; Jiang, Z.H. Quantification of two polyacetylenes in Radix Ginseng and roots of related Panax species using a gas chromatography-mass spectrometric method. J. Agric. Food Chem. 2007, 55, 8830–8835. [Google Scholar] [CrossRef]
- Ouyang, Z.; Zhang, L.; Zhao, M.; Wang, P.; Wei, Y.; Fang, J. Identification and quantification of sesquiterpenes and polyacetylenes in Atractylodes lancea from various geographical origins using GC-MS analysis. Rev. Bras. Farmacogn. 2012, 22, 957–963. [Google Scholar] [CrossRef]
- Christensen, L.P.; Brandt, K. Bioactive polyacetylenes in food plants of the Apiaceae family: Occurrence, bioactivity and analysis. J. Pharm. Biomed. Anal. 2006, 41, 683–693. [Google Scholar] [CrossRef]
- Christensen, L.; Christensen, K. HPLC Analysis of Polyacetylenes. In High Performance Liquid Chromatography in Phytochemical Analysis, 1st ed.; Waksmundzka-Hajnos, M., Sherma, J., Eds.; CRC Press: Boca Raton, FL, USA, 2010; pp. 887–916. [Google Scholar]
- He, J.-Y.; Zhu, S.; Komatsu, K. HPLC/UV Analysis of Polyacetylenes, Phenylpropanoid and Pyrrolidine Alkaloids in Medicinally Used Codonopsis Species. Phytochem. Anal. 2014, 25, 213–219. [Google Scholar] [CrossRef] [PubMed]
- Pellati, F.; Calò, S.; Benvenuti, S. High-performance liquid chromatography analysis of polyacetylenes and polyenes in Echinacea pallida by using a monolithic reversed-phase silica column. J. Chromatogr. A 2007, 1149, 56–65. [Google Scholar] [CrossRef]
- Xie, Q.; Wang, C. Polyacetylenes in herbal medicine: A comprehensive review of its occurrence, pharmacology, toxicology, and pharmacokinetics (2014–2021). Phytochemistry 2022, 201, 113288. [Google Scholar] [CrossRef]
- ICH. Validation of analytical procedures: Text and methodology. In Q2 (R1); International Conference on Harmonization: Geneva, Switzerland, 2005. [Google Scholar]
- Martin, R.M.; Bachman, M.A. Colonization, infection, and the accessory genome of Klebsiella pneumoniae. Front. Cell. Infect. Microbiol. 2018, 8, 4. [Google Scholar] [CrossRef] [PubMed]
- Odari, R.; Dawadi, P. Prevalence of multidrug-resistant Klebsiella pneumoniae clinical isolates in Nepal. J. Trop. Med. 2022, 2022, 5309350. [Google Scholar] [CrossRef]
- Awoke, T.; Teka, B.; Seman, A.; Sebre, S.; Yeshitela, B.; Aseffa, A.; Mihret, A.; Abebe, T. High prevalence of multidrug-resistant Klebsiella pneumoniae in a tertiary care hospital in Ethiopia. Antibiotics 2021, 10, 1007. [Google Scholar] [CrossRef] [PubMed]
- Okafor, J.U.; Nwodo, U.U. Molecular Characterization of Antibiotic Resistance Determinants in Klebsiella pneumoniae Isolates Recovered from Hospital Effluents in the Eastern Cape Province, South Africa. Antibiotics 2023, 12, 1139. [Google Scholar] [CrossRef] [PubMed]
- Samtiya, M.; Aluko, R.E.; Dhewa, T.; Moreno-Rojas, J.M. Potential health benefits of plant food-derived bioactive components: An overview. Foods 2021, 10, 839. [Google Scholar] [CrossRef]
- Balouiri, M.; Sadiki, M.; Ibnsouda, S.K. Methods for in vitro evaluating antimicrobial activity: A review. J. Pharm. Anal. 2016, 6, 71–79. [Google Scholar] [CrossRef]
- Geng, C.-A.; Huang, X.-Y.; Chen, X.-L.; Ma, Y.-B.; Rong, G.-Q.; Zhao, Y.; Zhang, X.-M.; Chen, J.-J. Three new anti-HBV active constituents from the traditional Chinese herb of Yin-Chen (Artemisia scoparia). J. Ethnopharmacol. 2015, 176, 109–117. [Google Scholar] [CrossRef]
- Fois, B.; Bianco, G.; Sonar, V.P.; Distinto, S.; Maccioni, E.; Meleddu, R.; Melis, C.; Marras, L.; Pompei, R.; Floris, C. Phenylpropenoids from Bupleurum fruticosum as anti-human rhinovirus species A selective capsid binders. J. Nat. Prod. 2017, 80, 2799–2806. [Google Scholar] [CrossRef] [PubMed]
- Jeong, S.I.; Kim, S.Y.; Kim, S.J.; Hwang, B.S.; Kwon, T.H.; Yu, K.Y.; Hang, S.H.; Suzuki, K.; Kim, K.J. Antibacterial activity of phytochemicals isolated from Atractylodes japonica against methicillin-resistant Staphylococcus aureus. Molecules 2010, 15, 7395–7402. [Google Scholar] [CrossRef] [PubMed]
- Kano, Y.; Komatsu, K.-i.; Saito, K.-i.; Bando, H.; Sakurai, T. A New Polyacetylene Compound from Atractylodes rhizome. Chem. Pharm. Bull. 1989, 37, 193–194. [Google Scholar] [CrossRef]
- Lee, S.O.; Seo, J.H.; Lee, J.-W.; Yoo, M.Y.; Kwon, J.W.; Choi, S.U.; Kang, J.S.; Kwon, D.Y.; Kim, Y.K.; Sun-young, K.; et al. Inhibitory effects of the rhizome extract of Atractylodes japonica on the proliferation of human tumor cell lines. Korean J. Pharmacog. 2005, 36, 201–204. [Google Scholar]
- Yosioka, I.; Tani, T.; Hirose, M.; Kitagawa, I. Letter: Diacetyl-atractylodiol, a new acetylenic compound from Atractylodes japonica Koidzumi. Chem. Pharm. Bull. 1974, 22, 1943–1945. [Google Scholar] [CrossRef] [PubMed]
- El-Zamkan, M.A.; Mohamed, H.M. Antimicrobial resistance, virulence genes and biofilm formation in Enterococcus species isolated from milk of sheep and goat with subclinical mastitis. PLoS ONE 2021, 16, e0259584. [Google Scholar] [CrossRef] [PubMed]
- Alherz, F.A.; Negm, W.A.; Elekhnawy, E.; El-Masry, T.A.; Haggag, E.M.; Alqahtani, M.J.; Hussein, I.A. Silver Nanoparticles Prepared Using Encephalartos laurentianus De Wild Leaf Extract Have Inhibitory Activity against Candida albicans Clinical Isolates. J. Fungi 2022, 8, 1005. [Google Scholar] [CrossRef]
- Guerra, M.E.S.; Destro, G.; Vieira, B.; Lima, A.S.; Ferraz, L.F.C.; Hakansson, A.P.; Darrieux, M.; Converso, T.R. Klebsiella pneumoniae biofilms and their role in disease pathogenesis. Front. Cell. Infect. Microbiol. 2022, 12, 877995. [Google Scholar] [CrossRef]
- Preda, V.G.; Săndulescu, O. Communication is the key: Biofilms, quorum sensing, formation and prevention. Discoveries 2019, 7, e10. [Google Scholar] [CrossRef]
- Chen, L.; Deng, H.; Cui, H.; Fang, J.; Zuo, Z.; Deng, J.; Li, Y.; Wang, X.; Zhao, L. Inflammatory responses and inflammation-associated diseases in organs. Oncotarget 2018, 9, 7204. [Google Scholar] [CrossRef]
- Sahoo, M.; Ceballos-Olvera, I.; del Barrio, L.; Re, F. Role of the inflammasome, IL-1β, and IL-18 in bacterial infections. Sci. World J. 2011, 11, 2037–2050. [Google Scholar] [CrossRef]
- Wu, Y.; Wang, M.; Zhu, Y.; Lin, S. Serum interleukin-6 in the diagnosis of bacterial infection in cirrhotic patients: A meta-analysis. Medicine 2016, 95, e5127. [Google Scholar] [CrossRef] [PubMed]
- Ma, J.; Zhang, Y.-g.; Xia, Y.; Sun, J. The inflammatory cytokine tumor necrosis factor modulates the expression of Salmonella typhimurium effector proteins. J. Inflamm. 2010, 7, 42. [Google Scholar] [CrossRef] [PubMed]
- Kany, S.; Vollrath, J.T.; Relja, B. Cytokines in inflammatory disease. Int. J. Mol. Sci. 2019, 20, 6008. [Google Scholar] [CrossRef] [PubMed]
- Guo, X.; Yan, F.; Shan, X.; Li, J.; Yang, Y.; Zhang, J.; Yan, X.; Bu, P. SIRT3 inhibits Ang II-induced transdifferentiation of cardiac fibroblasts through β-catenin/PPAR-γ signaling. Life Sci. 2017, 186, 111–117. [Google Scholar] [CrossRef] [PubMed]
- Liu, X.; Kunert, O.; Blunder, M.; Fakhrudin, N.; Noha, S.M.; Malainer, C.; Schinkovitz, A.; Heiss, E.H.; Atanasov, A.G.; Kollroser, M. Polyyne hybrid compounds from Notopterygium incisum with peroxisome proliferator-activated receptor gamma agonistic effects. J. Nat. Prod. 2014, 77, 2513–2521. [Google Scholar] [CrossRef]
- Li, C.H.; Zhu, Y.J.; Yu, S.H.; Jiang, H.Q.; Zhou, H.L. A new polyacetylene and a new isonicotinic acid glucoside from Bidens parviflora Willd. Acta Pharm. Sin. B 2020, 12, 489–494. [Google Scholar]
- Sun, X.; Zhang, T.; Zhao, Y.; Cai, E.; Zhu, H.; Liu, S. Panaxynol from Saposhnikovia diviaricata exhibits a hepatoprotective effect against lipopolysaccharide+ D-Gal N induced acute liver injury by inhibiting Nf-κB/IκB-α and activating Nrf2/HO-1 signaling pathways. Biotech. Histochem. 2020, 95, 575–583. [Google Scholar] [CrossRef]
- Osman, E.A.; El-Amin, N.; Adrees, E.A.; Al-Hassan, L.; Mukhtar, M. Comparing conventional, biochemical and genotypic methods for accurate identification of Klebsiella pneumoniae in Sudan. Access Microbiol. 2020, 2, 96. [Google Scholar] [CrossRef]
- Alandiyjany, M.N.; Abdelaziz, A.S.; Abdelfattah-Hassan, A.; Hegazy, W.A.; Hassan, A.A.; Elazab, S.T.; Mohamed, E.A.; El-Shetry, E.S.; Saleh, A.A.; ElSawy, N.A. Novel in vivo assessment of antimicrobial efficacy of ciprofloxacin loaded mesoporous silica nanoparticles against Salmonella typhimurium infection. Pharmaceuticals 2022, 15, 357. [Google Scholar] [CrossRef]
- Attallah, N.G.; Al-Fakhrany, O.M.; Elekhnawy, E.; Hussein, I.A.; Shaldam, M.A.; Altwaijry, N.; Alqahtani, M.J.; Negm, W.A. Anti-Biofilm and Antibacterial Activities of Cycas media R. Br Secondary Metabolites: In Silico, In Vitro, and In Vivo Approaches. Antibiotics 2022, 11, 993. [Google Scholar] [CrossRef] [PubMed]
- Yada, S.; Kamalesh, B.; Sonwane, S.; Guptha, I.; Swetha, R. Quorum sensing inhibition, relevance to periodontics. J. Int. Oral Health 2015, 7, 67. [Google Scholar] [PubMed]











| K. pneumoniae Isolates | MIC (µg/mL) 1 | |||
|---|---|---|---|---|
| 1 | 2 | Total Extract | Ciprofloxacin | |
| K1 | 16 | 1024 | 512 | 0.125 |
| K2 | 128 | 1024 | 512 | 0.25 |
| K3 | 32 | 1024 | 1024 | 0.25 |
| K4 | 128 | 2048 | 512 | 0.25 |
| K5 | 32 | 2048 | 1024 | 0.25 |
| K6 | 32 | 2048 | 1024 | 0.125 |
| K7 | 128 | 2048 | 512 | 0.25 |
| K8 | 32 | 1024 | 512 | 0.25 |
| K9 | 64 | 1024 | 512 | 0.25 |
| K10 | 128 | 2048 | 1024 | 0.125 |
| K11 | 32 | 2048 | 512 | 0.25 |
| K12 | 32 | 1024 | 512 | 0.25 |
| K13 | 32 | 1024 | 512 | 0.125 |
| K14 | 64 | 2048 | 1024 | 0.25 |
| K15 | 64 | 2048 | 1024 | 0.125 |
| K16 | 32 | 1024 | 512 | 0.125 |
| K17 | 16 | 1024 | 1024 | 0.25 |
| K18 | 64 | 1024 | 512 | 0.125 |
| K19 | 128 | 2048 | 512 | 0.125 |
| Capacity to Form Biofilm | Isolate Count | |||
|---|---|---|---|---|
| Before Treatment | After Treatment | |||
| 1 | 2 | Total Extract | ||
| No | 2 | 4 | 2 | 2 |
| Weak | 1 | 7 | 2 | 4 |
| Moderate | 7 | 3 | 7 | 7 |
| Strong | 9 | 5 | 8 | 6 |
| Parameters | 1 | 2 |
|---|---|---|
| Linearity range (µg/mL) | 5.0–40.0 | 1.0–40.0 |
| Intercept (a) | −0.0954 | 0.7381 |
| Slope (b) | 0.0245 | 0.1572 |
| Correlation coefficient (r) | 0.9995 | 0.9998 |
| S.D. of the residuals, Sy/x | 0.0085 | 0.0185 |
| S.D. of the intercept, Sa | 0.0038 | 0.0045 |
| S.D. of the slope, Sb | 0.0003 | 0.0006 |
| Percentage relative standard deviation, % RSD | 2.485 | 3.092 |
| Percentage relative error, % Error | 1.116 | 1.256 |
| Limit of detection, LOD (µg/mL) 1 | 0.518 | 0.096 |
| Limit of Quantitation, LOQ (µg/mL) 2 | 1.568 | 0.289 |
| Parameter | 1 | 2 | ||||
|---|---|---|---|---|---|---|
| Concentrations | Amount taken (µg/mL) | Amount found (µg/mL) | Percentage found 1 | Amount taken (µg/mL) | Amount found (µg/mL) | Percentage found 1 |
| 5.0 | 5.12 | 102.37 | 1.0 | 1.03 | 102.99 | |
| 10.0 | 10.26 | 102.61 | 5.0 | 4.78 | 95.53 | |
| 15.0 | 14.91 | 99.40 | 10.0 | 9.94 | 99.36 | |
| 20.0 | 19.48 | 97.41 | 15.0 | 15.02 | 100.17 | |
| 40.0 | 40.18 | 100.45 | 20.0 | 20.39 | 101.97 | |
| 40.0 | 39.83 | 99.59 | ||||
| Mean “X¯” | 100.45 | 99.51 | ||||
| ±S.D | 2.50 | 3.08 | ||||
| % RSD | 2.485 | 3.092 | ||||
| % Error | 1.116 | 1.256 | ||||
Disclaimer/Publisher’s Note: The statements, opinions and data contained in all publications are solely those of the individual author(s) and contributor(s) and not of MDPI and/or the editor(s). MDPI and/or the editor(s) disclaim responsibility for any injury to people or property resulting from any ideas, methods, instructions or products referred to in the content. |
© 2024 by the authors. Licensee MDPI, Basel, Switzerland. This article is an open access article distributed under the terms and conditions of the Creative Commons Attribution (CC BY) license (https://creativecommons.org/licenses/by/4.0/).
Share and Cite
Aljarba, T.M.; Abdel Bar, F.M.; Sherif, A.E.; Elekhnawy, E.; Magdy, G.; Samra, R.M. HPLC-PDA Analysis of Polyacetylene Glucosides from Launaea capitata and Their Antibacterial and Antibiofilm Properties against Klebsiella pneumoniae. Pharmaceuticals 2024, 17, 1214. https://doi.org/10.3390/ph17091214
Aljarba TM, Abdel Bar FM, Sherif AE, Elekhnawy E, Magdy G, Samra RM. HPLC-PDA Analysis of Polyacetylene Glucosides from Launaea capitata and Their Antibacterial and Antibiofilm Properties against Klebsiella pneumoniae. Pharmaceuticals. 2024; 17(9):1214. https://doi.org/10.3390/ph17091214
Chicago/Turabian StyleAljarba, Tariq M., Fatma M. Abdel Bar, Asmaa E. Sherif, Engy Elekhnawy, Galal Magdy, and Reham M. Samra. 2024. "HPLC-PDA Analysis of Polyacetylene Glucosides from Launaea capitata and Their Antibacterial and Antibiofilm Properties against Klebsiella pneumoniae" Pharmaceuticals 17, no. 9: 1214. https://doi.org/10.3390/ph17091214
APA StyleAljarba, T. M., Abdel Bar, F. M., Sherif, A. E., Elekhnawy, E., Magdy, G., & Samra, R. M. (2024). HPLC-PDA Analysis of Polyacetylene Glucosides from Launaea capitata and Their Antibacterial and Antibiofilm Properties against Klebsiella pneumoniae. Pharmaceuticals, 17(9), 1214. https://doi.org/10.3390/ph17091214

