Head-to-Head Comparison of SSTR Antagonist [68Ga]Ga-DATA5m-LM4 with SSTR Agonist [68Ga]Ga-DOTANOC PET/CT in Patients with Well Differentiated Gastroenteropancreatic Neuroendocrine Tumors: A Prospective Imaging Study
Abstract
1. Introduction
2. Results
2.1. Biodistribution of [68Ga]Ga-DATA5m-LM4
2.2. Comparison of Lesion Detection and Uptake between [68Ga]Ga-DOTANOC and [68Ga]Ga-DATA5m-LM4
2.2.1. Primary Tumor
2.2.2. Lymph Node Metastases
2.2.3. Lung Metastases
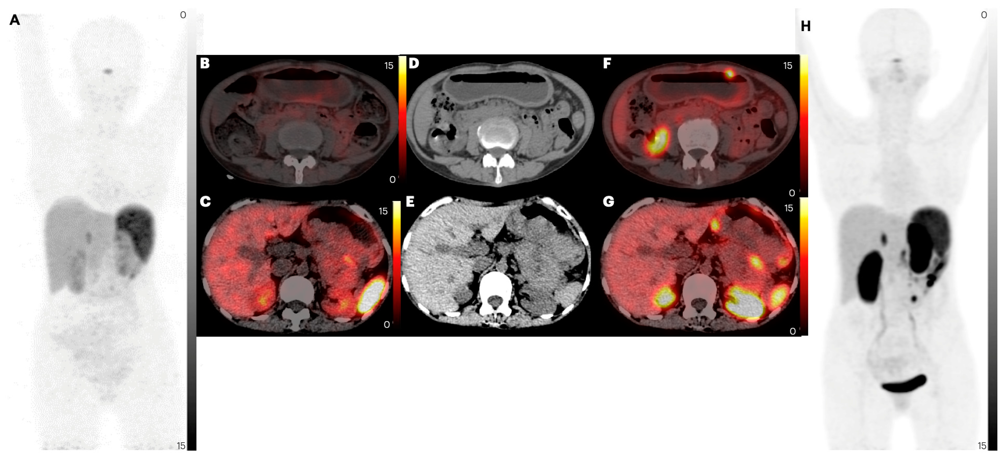
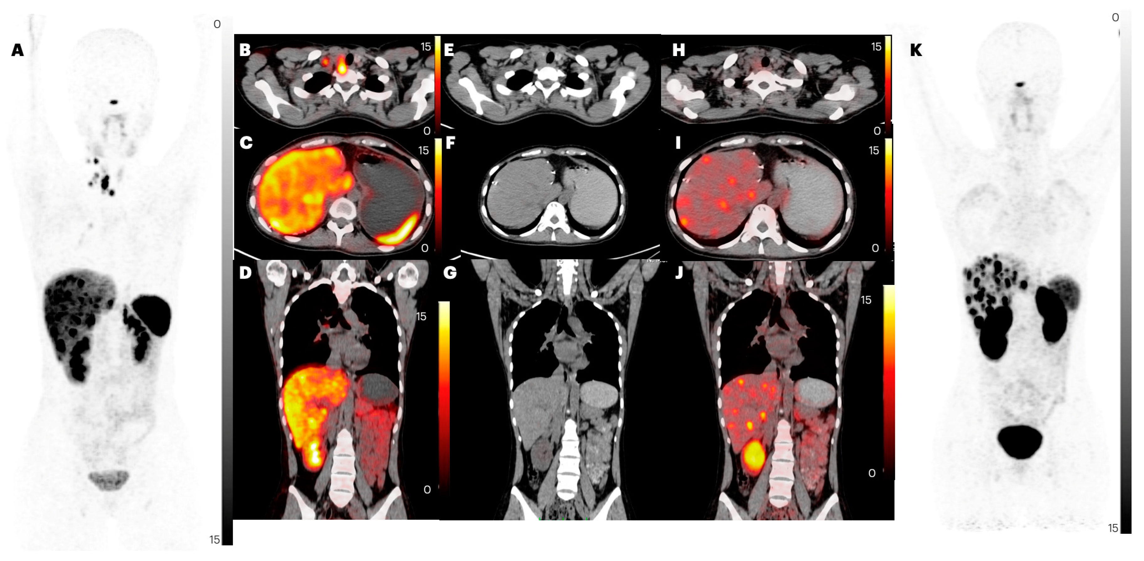
2.2.4. Liver Metastases
2.2.5. Bone Metastases
2.2.6. Brain Metastases
2.2.7. Other Distant Metastases
2.2.8. Effect of WHO Grade on SUL Uptake Values
3. Discussion
3.1. Discussion of Current Study
3.2. Limitations of the Study
3.3. Future Prospects
4. Materials and Methods
4.1. Inclusion Criteria and Exclusion Criteria
4.2. Synthesis of [68Ga]Ga-DATA5m-LM4 and Quality Control
4.3. PET/CT Acquisition
4.4. Data Interpretation
4.5. Data Analysis and Processing
4.6. Definitions
4.7. Adverse Event Monitoring
4.8. Statistical Analysis
5. Conclusions
Author Contributions
Funding
Institutional Review Board Statement
Informed Consent Statement
Data Availability Statement
Conflicts of Interest
Appendix A
| Site of Metastases | ||||||||||||
|---|---|---|---|---|---|---|---|---|---|---|---|---|
| S. No | Sex | Age | Primary Site of Tumor | Tumor Grade | Ki-67 Index | Liver | Lymph Node | Bone | Others | Tumor Marker (CgA) | IHC Markers | Prior Treatments |
| 1. | M | 38 | Pancreas | II | <3 | yes | Yes | no | no | 109 | Synaptophysin | Nil |
| 2. | F | 50 | Pancreas | N/A | - | yes | Yes | yes | no | 488 | Synaptophysin, NSE | Chemotherapy, 7 cycles |
| 3. | M | 41 | Pancreas | I | <3 | yes | Yes | no | no | 165.89 | Synaptophysin, CgA | Nil |
| 4. | M | 64 | Ileum | I | <3 | no | Yes | no | no | 597 | Not performed | Nil |
| 5. | F | 44 | Pancreas | II | 3–20 | yes | no | yes | no | 23.74 | Synaptophysin, CgA | pancreatio-spleenectomy |
| 6. | F | 66 | Pancreas | II | 3–20 | yes | Yes | no | no | 2282 | Cytokeratin, Synaptophysin, CgA | Nil |
| 7. | M | 50 | Pancreas | I | <3 | no | Yes | no | no | 254.9 | Synaptophysin, CgA | Nil |
| 8. | M | 30 | Gastric | I | <3 | yes | Yes | Yes | no | 1278 | Synaptophysin | Nil |
| 9. | M | 50 | Jejunum | II | 3–20 | no | no | no | no | 67.09 | Not performed | Liver metastatectomy |
| 10. | F | 25 | Small intestine | Poorly differentiated NET | - | yes | Yes | no | Yes | 233.5 | Not performed | Surgery and metastatectomy,5 cycles of [177Lu]Lu-PRRT |
| 11. | M | 41 | Duodenal | I | <3 | no | Yes | no | no | 22.4 | Synaptophysin, CgA | Gastrojejunostomy, Octreotide |
| 12. | M | 62 | Jejunum | II | 3–20 | yes | Yes | no | no | 17.23 | Synaptophysin, CgA, CD56, PCK. | Octreotide |
| 13. | M | 62 | Duodenal | I | - | no | Yes | no | no | Not performed | Nil | |
| 14. | M | 67 | Pancreas | I | <3 | yes | no | no | no | 834 | Pancytokeratin, CgA | 6 cycles of [177Lu]Lu-PRRT |
| 15. | F | 58 | Pancreas | I | <3 | yes | Yes | no | no | 1042 | Not performed | Octreotide |
| 16. | F | 64 | Gastric | II | 3–20 | yes | no | no | no | 1500 | Synaptophysin, CgA, CD56, cytokeratin. | Nil |
| 17. | F | 44 | Gastro-enteric | III | >20 | no | no | no | no | Not performed | One cycle of capecitabine/temozolomide (CAPTEM) | |
| 18. | F | 29 | Pancreas | III | >20 | no | no | no | no | 344.4 | CgA, Synaptophysin. | Nil |
| 19. | M | 58 | Rectum | III | - | yes | Yes | yes | no | Cytokeratin, Synaptophysin, CgA | Nil | |
| 20. | M | 47 | Pancreas | Poorly differentiated NET | - | yes | Yes | no | no | Not performed | 6 cycle of chemotherapy | |
| 21. | F | 48 | Ileum | I | <3 | yes | Yes | no | no | 358.5 | Not performed | Right hemicolectomy |
| 22. | M | 54 | Pancreas | I | <3 | no | no | no | no | 430.4 | Synaptophysin, CgA, INSM-1 | Nil |
| 23. | F | 57 | Pancreas | I | <3 | no | no | no | no | 950 | Synaptophysin, CgA | Pancreatectomy and gastrojejunostomy |
| 24. | M | 45 | Unknown primary | I | <3 | no | Yes | no | no | 153.3 | Synaptophysin, CgA, PCK. | Nil |
| 25. | F | 44 | Pancreas | II | 3–20 | yes | no | no | no | 156 | Not performed | Whipples, post bilateral inferior parathyroidectomy, truncal vagotomy |
| 26. | F | 42 | Pancreas | II | 3–20 | no | no | no | no | CK, Synaptophysin, CgA, CD 56. | Nil | |
| 27. | F | 35 | Duodenal | I | <3 | no | Yes | no | no | 113 | Synaptophysin, chromogranin. | Post surgery |
| 28. | M | 38 | Gastro-enteric | II | 3–20 | yes | Yes | no | no | 1500 | Not performed | Nil |
| 29. | F | 30 | Pancreas | II | 3–20 | no | no | no | no | 28.62 | Cytokeratin, Synaptophysin, CgA | Surgical excision |
| 30. | M | 43 | Unknown primary | I | <3 | yes | no | no | no | Synaptophysin, CgA | Nil | |
| 31. | F | 55 | Ileum | III | >20 | yes | Yes | no | no | Synaptophysin, CgA, CD56. | Inj. Octreotide | |
| 32. | F | 14 | Unknown primary | III | >20 | yes | no | no | no | CgA, pancytokeratin and snaptophysin | Nil | |
| 33. | F | 36 | Gastric | II | 3–20 | no | no | no | no | 68.06 | CD 56 and synaptophysin | Gastric wide local excision |
| 34. | M | 40 | Gastric | N/A | yes | Yes | no | no | 789.8 | Synaptophysin, CgA. | Nil | |
| 35. | F | 41 | Pancreas | II | 3–20 | no | no | no | no | Not performed | Nil | |
| 36. | F | 49 | Unknown primary | II | 3–20 | yes | Yes | no | no | Not performed | Radical hysterectomy | |
| 37. | M | 15 | Pancreas | N/A | no | Yes | no | no | Not performed | Nil | ||
| 38. | M | 44 | Pancreas | I | <3 | yes | Yes | yes | no | 12 | Synaptophysin and CgA | Octreotide, everolimus |
| 39. | M | 34 | Gastric | I | <3 | no | no | no | no | Cytokeratin, Synaptophysin, CgA | Nil | |
| 40. | M | 42 | Pancreas | I | <3 | yes | Yes | no | no | 165.89 | Synaptophysin, CgA | Octreotide, everolimus |
| 41. | M | 40 | Jejunum | I | <3 | no | Yes | no | no | 117.98 | CgA | Nil |
| 42. | F | 60 | Pancreas | I | <3 | yes | Yes | no | no | CgA, synaptophysin | Octreotide | |
| 43. | F | 37 | Gall bladder | III | >20 | yes | Yes | yes | no | CgA and CK 19 | 6 cycles of chemotherapy | |
| 44. | F | 21 | Unknown primary | II | 3–20 | no | Yes | no | no | 1846.11 | Cytokeratin, INSM 1 and CgA | Nil |
| 45. | F | 56 | Duodenal | I | <3 | Yes | Yes | no | no | CgA and synaptophysin | Octreotide | |
| 46. | F | 44 | Pancreas | II | 3–20 | Yes | Yes | no | no | 130 | CgA and synaptophysin | Octreotide |
| 47. | M | 27 | Gastric | I | <3 | No | no | no | no | Synaptophysin, NSE, S100, CD56. | Exploratory laparotomy, repair of perforation site, and feeding jejunostomy for perforation peritonitis. | |
| 48. | M | 71 | Unknown primary | II | 3–20 | Yes | Yes | no | no | CgA and synaptophysin | Nil | |
| 49. | F | 62 | Pancreas | I | <3 | yes | no | no | no | 201 | Synaptophysin, CgA and INSM1 | 6 cycles of Lu-PRRT |
| 50. | F | 24 | Pancreas | I | <3 | yes | no | no | no | 79.5 | CgA and synaptophysin | Pancreatectomy, splenectomy, octreotide |
References
- Reubi, J.C.; Waser, B.; Schaer, J.C.; Laissue, J.A. Somatostatin receptor sst1-sst5 expression in normal and neoplastic human tissues using receptor autoradiography with subtype-selective ligands. Eur. J. Nucl. Med. 2001, 28, 836–846. [Google Scholar] [CrossRef]
- Hicks, R.J.; Kwekkeboom, D.J.; Krenning, E.; Bodei, L.; Grozinsky-Glasberg, S.; Arnold, R.; Borbath, I.; Cwikla, J.; Toumpanakis, C.; Kaltsas, G.; et al. ENETS Consensus Guidelines for the Standards of Care in Neuroendocrine Neoplasia: Peptide Receptor Radionuclide Therapy with Radiolabeled Somatostatin Analogues. Neuroendocrinology 2017, 105, 295–309. [Google Scholar] [CrossRef]
- Strosberg, J.; El-Haddad, G.; Wolin, E.; Hendifar, A.; Yao, J.; Chasen, B.; Mittra, E.; Kunz, P.L.; Kulke, M.H.; Jacene, H.; et al. Phase 3 Trial of 177Lu-Dotatate for Midgut Neuroendocrine Tumors. N. Engl. J. Med. 2017, 376, 125–135. [Google Scholar] [CrossRef]
- Waser, B.; Tamma, M.-L.; Cescato, R.; Maecke, H.R.; Reubi, J.C. Highly efficient in vivo agonist-induced internalization of sst2 receptors in somatostatin target tissues. J. Nucl. Med. 2009, 50, 936–941. [Google Scholar] [CrossRef]
- Cescato, R.; Schulz, S.; Waser, B.; Eltschinger, V.; Rivier, J.E.; Wester, H.-J.; Culler, M.; Ginj, M.; Liu, Q.; Schonbrunn, A.; et al. Internalization of sst2, sst3, and sst5 receptors: Effects of somatostatin agonists and antagonists. J. Nucl. Med. 2006, 47, 502–511. [Google Scholar] [PubMed]
- Fani, M.; Peitl, P.K.; Velikyan, I. Current Status of Radiopharmaceuticals for the Theranostics of Neuroendocrine Neoplasms. Pharmaceuticals 2017, 10, 30. [Google Scholar] [CrossRef] [PubMed]
- Ginj, M.; Zhang, H.; Waser, B.; Cescato, R.; Wild, D.; Wang, X.; Erchegyi, J.; Rivier, J.; Mäcke, H.R.; Reubi, J.C. Radiolabeled somatostatin receptor antagonists are preferable to agonists for in vivo peptide receptor targeting of tumors. Proc. Natl. Acad. Sci. USA 2006, 103, 16436–16441. [Google Scholar] [CrossRef] [PubMed]
- Waldron, B.P.; Parker, D.; Burchardt, C.; Yufit, D.S.; Zimny, M.; Roesch, F. Structure and stability of hexadentate complexes of ligands based on AAZTA for efficient PET labelling with gallium-68. Chem. Commun. 2012, 49, 579–581. [Google Scholar] [CrossRef] [PubMed]
- Farkas, E.; Nagel, J.; Waldron, B.P.; Parker, D.; Tóth, I.; Brücher, E.; Rösch, F.; Baranyai, Z. Equilibrium, Kinetic and Structural Properties of Gallium(III) and Some Divalent Metal Complexes Formed with the New DATAm and DATA5m Ligands. Chemistry 2017, 23, 10358–10371. [Google Scholar] [CrossRef] [PubMed]
- Aime, S.; Calabi, L.; Cavallotti, C.; Gianolio, E.; Giovenzana, G.B.; Losi, P.; Maiocchi, A.; Palmisano, G.; Sisti, M. [Gd-AAZTA]-: A new structural entry for an improved generation of MRI contrast agents. Inorg. Chem. 2004, 43, 7588–7590. [Google Scholar] [CrossRef] [PubMed]
- Gugliotta, G.; Botta, M.; Giovenzana, G.B.; Tei, L. Fast and easy access to efficient bifunctional chelators for MRI applications. Bioorganic Med. Chem. Lett. 2009, 19, 3442–3444. [Google Scholar] [CrossRef]
- Sun, Y.; Anderson, C.J.; Pajeau, T.S.; Reichert, D.E.; Hancock, R.D.; Motekaitis, R.J.; Martell, A.E.; Welch, M.J. Indium (III) and gallium (III) complexes of bis(aminoethanethiol) ligands with different denticities: Stabilities, molecular modeling, and in vivo behavior. J. Med. Chem. 1996, 39, 458–470. [Google Scholar] [CrossRef]
- Ma, R.; Welch, M.J.; Reibenspies, J.; Martell, A.E. Stability of metal ion complexes of 1,4,7-tris(2-mercaptoethyl)-1,4,7-triazacylclonane (TACN-TM) and molecular structure of In(C12H24N3S3). Inorganica Chim. Acta 1995, 236, 75–82. [Google Scholar] [CrossRef]
- Fani, M.; Braun, F.; Waser, B.; Beetschen, K.; Cescato, R.; Erchegyi, J.; Rivier, J.E.; Weber, W.A.; Maecke, H.R.; Reubi, J.C. Unexpected sensitivity of sst2 antagonists to N-terminal radiometal modifications. J. Nucl. Med. 2012, 53, 1481–1489. [Google Scholar] [CrossRef] [PubMed]
- Leung, K. acid-p-Cl-Phe-cyclo(D-Cys-Tyr-D-4-amino-Phe(carbamoyl)-Lys-Thr-Cys)D-Tyr-NH2. In Molecular Imaging and Contrast Agent Database (MICAD); National Center for Biotechnology Information: Bethesda, MD, USA, 2004. Available online: http://www.ncbi.nlm.nih.gov/books/NBK109899/ (accessed on 20 December 2023).
- Lin, Z.; Zhu, W.; Zhang, J.; Miao, W.; Yao, S.; Huo, L. Head-to-Head Comparison of 68Ga-NODAGA-JR11 and 68Ga-DOTATATE PET/CT in Patients with Metastatic, Well-Differentiated Neuroendocrine Tumors: Interim Analysis of a Prospective Bicenter Study. J. Nucl. Med. 2023, 64, 1406–1411. [Google Scholar] [CrossRef] [PubMed]
- Nicolas, G.P.; Schreiter, N.; Kaul, F.; Uiters, J.; Bouterfa, H.; Kaufmann, J.; Erlanger, T.E.; Cathomas, R.; Christ, E.; Fani, M.; et al. Sensitivity Comparison of 68Ga-OPS202 and 68Ga-DOTATOC PET/CT in Patients with Gastroenteropancreatic Neuroendocrine Tumors: A Prospective Phase II Imaging Study. J. Nucl. Med. 2018, 59, 915–921. [Google Scholar] [CrossRef] [PubMed]
- Zhu, W.; Cheng, Y.; Wang, X.; Yao, S.; Bai, C.; Zhao, H.; Jia, R.; Xu, J.; Huo, L. Head-to-Head Comparison of 68Ga-DOTA-JR11 and 68Ga-DOTATATE PET/CT in Patients with Metastatic, Well-Differentiated Neuroendocrine Tumors: A Prospective Study. J. Nucl. Med. 2020, 61, 897–903. [Google Scholar] [CrossRef]
- Mansi, R.; Fani, M. Design and development of the theranostic pair 177Lu-OPS201/68Ga-OPS202 for targeting somatostatin receptor expressing tumors. J. Label. Compd. Radiopharm. 2019, 62, 635–645. [Google Scholar] [CrossRef]
- Mroz, P.A.; Perez-Tilve, D.; Liu, F.; Gelfanov, V.; DiMarchi, R.D.; Mayer, J.P. Pyridyl-alanine as a Hydrophilic, Aromatic Element in Peptide Structural Optimization. J. Med. Chem. 2016, 59, 8061–8067. [Google Scholar] [CrossRef]
- Kanellopoulos, P.; Nock, B.A.; Greifenstein, L.; Baum, R.P.; Roesch, F.; Maina, T. [68Ga]Ga-DATA5m-LM4, a PET Radiotracer in the Diagnosis of SST2R-Positive Tumors: Preclinical and First Clinical Results. Int. J. Mol. Sci. 2022, 23, 14590. [Google Scholar] [CrossRef]
- Baum, R.P.; Zhang, J.; Schuchardt, C.; Müller, D.; Mäcke, H. First-in-Humans Study of the SSTR Antagonist 177Lu-DOTA-LM3 for Peptide Receptor Radionuclide Therapy in Patients with Metastatic Neuroendocrine Neoplasms: Dosimetry, Safety, and Efficacy. J. Nucl. Med. 2021, 62, 1571–1581. [Google Scholar] [CrossRef] [PubMed]
- Breeman, W.A.P.; De Jong, M.; Visser, T.J.; Erion, J.L.; Krenning, E.P. Optimising conditions for radiolabelling of DOTA-peptides with 90Y, 111In and 177Lu at high specific activities. Eur. J. Nucl. Med. Mol. Imaging 2003, 30, 917–920. [Google Scholar] [CrossRef] [PubMed]
- Breeman, W.A.P.; de Blois, E.; Sze Chan, H.; Konijnenberg, M.; Kwekkeboom, D.J.; Krenning, E.P. (68)Ga-labeled DOTA-peptides and (68)Ga-labeled radiopharmaceuticals for positron emission tomography: Current status of research, clinical applications, and future perspectives. Semin. Nucl. Med. 2011, 41, 314–321. [Google Scholar] [CrossRef] [PubMed]
- Nock, B.A.; Kanellopoulos, P.; Moon, E.S.; Rouchota, M.; Loudos, G.; Ballal, S.; Yadav, M.P.; Bal, C.; Mishra, P.; Sheokand, P.; et al. [111In]In/[177Lu]Lu-AAZTA5-LM4 SST2R-Antagonists in Cancer Theranostics: From Preclinical Testing to First Patient Results. Pharmaceutics 2023, 15, 776. [Google Scholar] [CrossRef]
- Reidy-Lagunes, D.; Pandit-Taskar, N.; O’Donoghue, J.A.; Krebs, S.; Staton, K.D.; Lyashchenko, S.K.; Lewis, J.S.; Raj, N.; Gönen, M.; Lohrmann, C.; et al. Phase I Trial of Well-Differentiated Neuroendocrine Tumors (NETs) with Radiolabeled Somatostatin Antagonist 177Lu-Satoreotide Tetraxetan. Clin. Cancer Res. 2019, 25, 6939–6947. [Google Scholar] [CrossRef]













| Characteristic | Value (%) |
|---|---|
| Age (mean ± SD, range) | mean ± SD: 44.7 ± 13.7, range: 14 to 71 |
| Sex | |
| Male | 24 (48%) |
| Female | 26 (52%) |
| Primary tumor site | |
| Pancreas | 23 (46%) |
| Gastric | 6 (12%) |
| Duodenal | 4 (8%) |
| Gastro-enteric | 2 (4%) |
| Gall bladder | 1 (2%) |
| Jejunum | 3 (6%) |
| Rectum | 1 (1%) |
| Ileum | 3 (6%) |
| Small intestine | 1 (2%) |
| Unknown primary | 6 (12%) |
| CgA (median, IQR) (ng/mL) | 201 (94 to 812) |
| Extent of metastases | |
| Liver | 31 (62%) |
| Lymph nodes | |
| Head and neck | 4 (8%) |
| Thoracic | 5 (10%) |
| Abdomino-pelvic | 27 (54%) |
| Total lymph nodal | 8 (16%) |
| Bone | 6 (12%) |
| Lung | 8 (16%) |
| Other sites | 0 |
| WHO tumor grade | |
| Grade I | 23 (46%) |
| Grade II | 16 (32%) |
| Grade III | 6 (12%) |
| Unknown grade | 5 (10%) |
| Organ | SULpeak | SULavg | ||||
|---|---|---|---|---|---|---|
| DATA5m -LM4 | DOTANOC | p-Value | DATA5m-LM4 | DOTANOC | p-Value | |
| Pituitary gland | 2.1 | 1.7 | 0.025 | 2.7 | 2.0 | 0.540 |
| (1.2 to 3.5) | (0.8 to 2.5) | (1.2 to 4.9) | (0.9 to 3.9) | |||
| Parotid gland | 1.2 | 0.6 | <0.0001 | 0.9 | 0.6 | 0.0005 |
| (0.7 to 1.5) | (0.4 to 1.1) | (0.6 to 1.3) | (0.3 to 1.0) | |||
| Blood pool (descending aorta) | 0.8 | 0.4 | 0.0003 | 0.7 | 0.4 | 0.0004 |
| (0.4 to 1.1) | (0.3 to 0.7) | (0.4 to 0.9) | (0.3 to 0.7) | |||
| Liver | 2.5 | 3.5 | 0.01 | 2.0 | 2.7 | 0.015 |
| (1.7 to 3.8) | (2.4 to 5.3) | (1.3 to 3.1) | (1.9 to 4.0) | |||
| Spleen | 6.6 | 11.3 | <0.0001 | 5.7 | 10.3 | <0.0001 |
| (4.0 to 9.7) | (7.2 to 18.3) | (3.7 to 8.6) | (5.8 to 13.9) | |||
| Kidney | 9.8 | 6.1 | 0.0004 | 8.9 | 4.2 | <0.0001 |
| (6.6 to 13.8) | (4.1 to 9.6) | (5.9 to 11.5) | (2.9 to 6.8) | |||
| Adrenal glands | 4.1 | 5.4 | 0.695 | 3.4 | 4.4 | 0.556 |
| (2.4 to 6.1) | (1.6 to 6.6) | (1.9 to 5.1) | (1.1 to 5.5) | |||
| Parameters | Imaging Method | Primary | Lymph Node Metastasis | Lung Metastasis | Liver Metastasis | Bone Metastasis |
|---|---|---|---|---|---|---|
| Patient-based analysis | ||||||
| CT | 33 | 31 | 8 | 31 | 6 | |
| [68Ga]Ga-DOTANOC | 28 (84.8%) | 23 (74.1%) | 0 (0%) | 26 (83.9%) | 6 (100%) | |
| [68Ga]Ga-DATA5m-LM4 | 28 (84.8%) | 23 (74.1%) | 0 (0%) | 28 (90.3%) | 6 (100%) | |
| p-value | 1.000 | 1.000 | - | 0.449 | 1.000 | |
| Lesion-based analysis | ||||||
| CT | 47 | 107 | 12 | 283 | 41 | |
| [68Ga]Ga-DOTANOC | 40 (85.1%) | 82 (76.6%) | 0 (0%) | 253 (89.4%) | 34 (82.9%) | |
| [68Ga]Ga-DATA5m-LM4 | 42 (89.4%) | 83 (77.6%) | 0 (0%) | 292 (value greater than CT) = 100% | 45 (value greater than CT) = 100% | |
| p-value | 0.544 | 0.862 | - | <0.0001 | 0.005 | |
| SULmean | ||||||
| [68Ga]Ga-DOTANOC | 8.0 (4.5 to 13.9) | 5.8 (2.2 to 17.9) | - | 8.8 (4.8 to 17.9) | 1.0 (0.6 to 3.6) | |
| [68Ga]Ga-DATA5m-LM4 | 8.58 (4.99 to 12.68) | 6.1 (2.1 to 12.4) | - | 9.3 (6.3 to 15.7) | 3.7 (2.2 to 5.5) | |
| p-value | 0.981 | 0.935 | - | 0.750 | 0.312 | |
| SULpeak | ||||||
| [68Ga]Ga-DOTANOC | 13.4 (6.1 to 19.0) | 5.6 (3.3 to 20.5) | - | 14.7 (7.3 to 20.9) | 1.1 (1.0 to 1.6) | |
| [68Ga]Ga-DATA5m-LM4 | 13.6 (6.6 to 20.2) | 6.7 (3.9 to 19.3) | - | 15.7 (8.3 to 25.7) | 3.0 (2.3 to 4.5) | |
| p-value | 0.316 | 0.708 | - | 0.484 | 0.312 | |
| Tumor-to-liver ratios SULpeak | ||||||
| [68Ga]Ga-DOTANOC | 3.0 (2.0 to 5.6) | 2.6 (0.7 to 5.3) | - | 4.1 (1.9 to 6.4) | 0.8 (0.3 to 1.6) | |
| [68Ga]Ga-DATA5m-LM4 | 4.3 (3.1 to 8.4) | 3.1 (1.5 to 6.1) | - | 7.7 (3.3 to 14.4) | 2.0 (0.6 to 2.8) | |
| p-value | 0.014 | 0.757 | - | 0.008 | 0.093 | |
| Tumor-to-liver ratios SULmean | ||||||
| [68Ga]Ga-DOTANOC | 3.3 (2.1. to 5.7) | 3.5 (1.3 to 5.7) | - | 3.9 (1.6 to 6.8) | 0.9 (0.4 to 2.2) | |
| [68Ga]Ga-DATA5m-LM4 | 3.8 (2.8 to 6.7) | 3.4 (1.6 to 5.0) | - | 4.2 (2.6 to 8.1) | 2.4 (2.1 to 3.2) | |
| p-value | 0.034 | 0.961 | - | 0.106 | 0.093 |
Disclaimer/Publisher’s Note: The statements, opinions and data contained in all publications are solely those of the individual author(s) and contributor(s) and not of MDPI and/or the editor(s). MDPI and/or the editor(s) disclaim responsibility for any injury to people or property resulting from any ideas, methods, instructions or products referred to in the content. |
© 2024 by the authors. Licensee MDPI, Basel, Switzerland. This article is an open access article distributed under the terms and conditions of the Creative Commons Attribution (CC BY) license (https://creativecommons.org/licenses/by/4.0/).
Share and Cite
Viswanathan, R.; Ballal, S.; Yadav, M.P.; Roesch, F.; Sheokand, P.; Satapathy, S.; Tripathi, M.; Agarwal, S.; Moon, E.S.; Bal, C. Head-to-Head Comparison of SSTR Antagonist [68Ga]Ga-DATA5m-LM4 with SSTR Agonist [68Ga]Ga-DOTANOC PET/CT in Patients with Well Differentiated Gastroenteropancreatic Neuroendocrine Tumors: A Prospective Imaging Study. Pharmaceuticals 2024, 17, 275. https://doi.org/10.3390/ph17030275
Viswanathan R, Ballal S, Yadav MP, Roesch F, Sheokand P, Satapathy S, Tripathi M, Agarwal S, Moon ES, Bal C. Head-to-Head Comparison of SSTR Antagonist [68Ga]Ga-DATA5m-LM4 with SSTR Agonist [68Ga]Ga-DOTANOC PET/CT in Patients with Well Differentiated Gastroenteropancreatic Neuroendocrine Tumors: A Prospective Imaging Study. Pharmaceuticals. 2024; 17(3):275. https://doi.org/10.3390/ph17030275
Chicago/Turabian StyleViswanathan, Rahul, Sanjana Ballal, Madhav P. Yadav, Frank Roesch, Parvind Sheokand, Swayamjeet Satapathy, Madhavi Tripathi, Shipra Agarwal, Euy Sung Moon, and Chandrasekhar Bal. 2024. "Head-to-Head Comparison of SSTR Antagonist [68Ga]Ga-DATA5m-LM4 with SSTR Agonist [68Ga]Ga-DOTANOC PET/CT in Patients with Well Differentiated Gastroenteropancreatic Neuroendocrine Tumors: A Prospective Imaging Study" Pharmaceuticals 17, no. 3: 275. https://doi.org/10.3390/ph17030275
APA StyleViswanathan, R., Ballal, S., Yadav, M. P., Roesch, F., Sheokand, P., Satapathy, S., Tripathi, M., Agarwal, S., Moon, E. S., & Bal, C. (2024). Head-to-Head Comparison of SSTR Antagonist [68Ga]Ga-DATA5m-LM4 with SSTR Agonist [68Ga]Ga-DOTANOC PET/CT in Patients with Well Differentiated Gastroenteropancreatic Neuroendocrine Tumors: A Prospective Imaging Study. Pharmaceuticals, 17(3), 275. https://doi.org/10.3390/ph17030275

