Preparation and Complex Characterisation of Stabilised Gold Nanoparticles: Biodistribution and Application for High Resolution In Vivo Imaging
Abstract
1. Introduction
2. Material and Methods
2.1. Preparation of PEG-AuNPs
2.2. Transmission Electron Microscopy
2.3. Ultrathin Sections
2.4. Scanning Electron Microscopy and Spectral Analysis
2.5. Particle Size Analysis
2.6. Characterization of Nanoparticles by Light Scattering
2.7. Analysis of AuNPs by Nanoflow Cytometry (nanoFCM)
2.8. Atomic Force Microscopy of PEG Stabilized Au-NP
2.9. FTIR Spectroscopy
2.10. Single-Particle ICP-MS Analysis
2.11. UV-Vis Measurements
2.12. Serum Stability Test
2.13. In Vitro Testing of Gold Nanoparticles Biocompatibility—Activation of Inflammasome
2.14. Viability Testing
2.15. In Vivo µCT Imaging of Mice
3. Results and Discussion
3.1. Preparation and Characterisation of AuNP
3.2. ICP-MS Analysis
3.3. Analysis by Nano Flow Cytometry (nanoFCM)
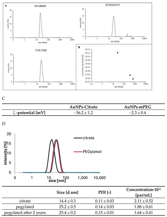
3.4. Measurement of Size Distribution, ζ-Potential and Number of AuNP Counting by MADLS
3.5. UV-VIS Spectroscopy
3.6. Infrared Spectroscopy
3.7. Atomic Force Microscopy of PEG Stabilized Au-NP
3.8. Stability of AuNP in Foetal Bovine Serum
3.9. In Vitro Activation of Inflammasome NLRP-3 and Intracellular Distribution in THP-1 Cells
3.10. Application of AuNP for µCT In Vivo Imaging
3.11. Biodistribution of AuNP
3.12. Deposition of AuNP in Various Organs
4. Conclusions
Supplementary Materials
Author Contributions
Funding
Institutional Review Board Statement
Informed Consent Statement
Data Availability Statement
Acknowledgments
Conflicts of Interest
References
- Wang, Y.; Quinsaat, J.E.Q.; Ono, T.; Maeki, M.; Tokeshi, M.; Isono, T.; Tajima, K.; Satoh, T.; Sato, S.I.; Miura, Y.; et al. Enhanced dispersion stability of gold nanoparticles by the physisorption of cyclic poly(ethylene glycol). Nat. Commun. 2020, 11, 6089. [Google Scholar] [CrossRef] [PubMed]
- Bharti, K.; Sk, M.A.; Sadhu, K.K. Seed free synthesis of polyethylene glycol stabilized gold nanoprisms exploiting manganese metal at low pH. Nanoscale Adv. 2023, 5, 3729–3736. [Google Scholar] [CrossRef] [PubMed]
- Dykman, L.; Khlebtsov, N. Gold nanoparticles in biomedical applications: Recent advances and perspectives. Chem. Soc. Rev. 2012, 41, 2256–2282. [Google Scholar] [CrossRef]
- Boisselier, E.; Astruc, D. Gold nanoparticles in nanomedicine: Preparations, imaging, diagnostics, therapies and toxicity. Chem. Soc. Rev. 2009, 38, 1759–1782. [Google Scholar] [CrossRef]
- Wu, Y.; Ali, M.R.K.; Chen, K.C.; Fang, N.; El-Sayed, M.A. Gold nanoparticles in biological optical imaging. Nano Today 2019, 24, 120–140. [Google Scholar] [CrossRef]
- Tian, Y.Y.; Qiang, S.; Wang, L.H. Gold nanomaterials for imaging-guided near-infrared in vivo cancer therapy. Front. Bioeng. Biotechnol. 2019, 7, 398. [Google Scholar] [CrossRef]
- Bouché, M.; Hsu, J.C.; Dong, Y.C.; Kim, J.; Taing, K.; Cormode, D.P. Recent advances in molecular imaging with gold nanoparticles. Bioconjugate Chem. 2020, 31, 303–314. [Google Scholar] [CrossRef]
- Vines, J.B.; Yoon, J.H.; Ryu, N.E.; Lim, D.J.; Park, H. Gold nanoparticles for photothermal cancer therapy. Front. Chem. 2019, 7, 167. [Google Scholar] [CrossRef] [PubMed]
- de Freitas, L.F.; Varca, G.H.C.; Batista, J.G.D.; Lugao, A.B. An overview of the synthesis of gold nanoparticles using radiation technologies. Nanomaterials 2018, 8, 939. [Google Scholar] [CrossRef]
- Zhao, P.X.; Li, N.; Astruc, D. State of the art in gold nanoparticle synthesis. Coord. Chem. Rev. 2013, 257, 638–665. [Google Scholar] [CrossRef]
- Kimling, J.; Maier, M.; Okenve, B.; Kotaidis, V.; Ballot, H.; Plech, A. Turkevich method for gold nanoparticle synthesis revisited. J. Phys. Chem. B 2006, 110, 15700–15707. [Google Scholar] [CrossRef] [PubMed]
- Ondrus, J.; Hubatka, F.; Kulich, P.; Odehnalov, N.; Harabis, V.; Hesko, B.; Sychra, O.; Siroky, P.; Turanek, J.; Novobilsky, A. A novel approach to imaging engorged ticks: Micro-ct scanning of ixodes ricinus fed on blood enriched with gold nanoparticles. Ticks Tick-Borne Dis. 2021, 12, 101559. [Google Scholar] [CrossRef] [PubMed]
- Aslan, K.; Pérez-Luna, V.H. Surface modification of colloidal gold by chemisorption of alkanethiols in the presence of a nonionic surfactant. Langmuir 2002, 18, 6059–6065. [Google Scholar] [CrossRef]
- Vogel, R.; Savage, J.; Muzard, J.; Della Camera, G.; Vella, G.; Law, A.; Marchioni, M.; Mehn, D.; Geiss, O.; Peacock, B.; et al. Measuring particle concentration of multimodal synthetic reference materials and extracellular vesicles with orthogonal techniques: Who is up to the challenge? J. Extracell. Vesicles 2021, 10, e12052. [Google Scholar] [CrossRef]
- Loula, M.; Kana, A.; Mestek, O. Non-spectral interferences in single-particle icp-ms analysis: An underestimated phenomenon. Talanta 2019, 202, 565–571. [Google Scholar] [CrossRef] [PubMed]
- Nanopartz. Using uv-vis as a Tool to Determine Size and Concentration of Spherical Gold Nanoparticles (sgnps) from 5 to 100 nm; Nanopartz: Beijing, China, 2008; pp. 1–3. [Google Scholar]
- Svadlakova, T.; Hubatka, F.; Knotigova, P.T.; Kulich, P.; Masek, J.; Kotoucek, J.; Macak, J.; Motola, M.; Kalbac, M.; Kolackova, M.; et al. Proinflammatory effect of carbon-based nanomaterials: In vitro study on stimulation of inflammasome nlrp3 via destabilisation of lysosomes. Nanomaterials 2020, 10, 418. [Google Scholar] [CrossRef]
- Effenberg, R.; Knötigová, P.T.; Zyka, D.; Celechovská, H.; Masek, J.; Bartheldyová, E.; Hubatka, F.; Koudelka, S.; Lukác, R.; Kovalová, A.; et al. Nonpyrogenic molecular adjuvants based on norabu-muramyldipeptide and norabu-glucosaminyl muramyldipeptide: Synthesis, molecular mechanisms of action, and biological activities in vitro and in vivo. J. Med. Chem. 2017, 60, 7745–7763. [Google Scholar] [CrossRef]
- Boudier, A.; Le Faou, A. Nanoparticles and other nanostructures and the control of pathogens: From bench to vaccines. Int. J. Mol. Sci. 2023, 24, 9063. [Google Scholar] [CrossRef]
- Gold Nanoparticles for Nanotechnology. Available online: https://www.nanopartz.com/Technical-Notes/All-About-CTAB-Gold-Nanoparticles.asp (accessed on 12 September 2024).
- Omar, N.A.S.; Fen, Y.W.; Abdullah, J.; Kamil, Y.M.; Daniyal, W.; Sadrolhosseini, A.R.; Mahdi, M.A. Sensitive detection of dengue virus type 2 e-proteins signals using self-assembled monolayers/reduced graphene oxide-pamam dendrimer thin film-spr optical sensor. Sci. Rep. 2020, 10, 2374. [Google Scholar] [CrossRef]
- Fekete, L.; Kusová, K.; Petrák, V.; Kratochvílová, I. Afm topographies of densely packed nanoparticles: A quick way to determine the lateral size distribution by autocorrelation function analysis. J. Nanoparticle Res. 2012, 14, 1062. [Google Scholar] [CrossRef]
- Zhu, M.; Du, L.; Zhao, R.; Wang, H.Y.; Zhao, Y.; Nie, G.; Wang, R.F. Cell-penetrating nanoparticles activate the inflammasome to enhance antibody production by targeting microtubule-associated protein 1-light chain 3 for degradation. ACS Nano 2020, 14, 3703–3717. [Google Scholar] [CrossRef] [PubMed]
- Reznickova, A.; Slavikova, N.; Kolska, Z.; Kolarova, K.; Belinova, T.; Kalbacova, M.H.; Cieslar, M.; Svorcik, V. Pegylated gold nanoparticles: Stability, cytotoxicity and antibacterial activity. Colloid Surf. A 2019, 560, 26–34. [Google Scholar] [CrossRef]
- Bitragunta, S.P.; Menon, S.A.; Ganesh, P.S. Recent advances in toxicology of gold nanoparticles. In Handbook of Environmental Materials Management; Hussain, C.M., Ed.; Springer: Cham, Switzerland, 2017. [Google Scholar]
- Fleming, C.J.; Salisbury, E.L.C.; Kirwan, P.; Painter, D.M.; Barnetson, R.S.C. Chrysiasis after low-dose gold and uv light exposure. J. Am. Acad. Dermatol. 1996, 34, 349–351. [Google Scholar] [CrossRef]
- Sani, A.; Cao, C.; Cui, D. Toxicity of gold nanoparticles (aunps): A review. Biochem. Biophys. Rep. 2021, 26, 100991. [Google Scholar] [CrossRef] [PubMed]
- Knötigová, P.T.; Masek, J.; Hubatka, F.; Kotoucek, J.; Kulich, P.; Simecková, P.; Bartheldyová, E.; Machala, M.; Svadláková, T.; Krejsek, J.; et al. Application of advanced microscopic methods to study the interaction of carboxylated fluorescent nanodiamonds with membrane structures in thp-1 cells: Activation of inflammasome nlrp3 as the result of lysosome destabilization. Mol. Pharm. 2019, 16, 3441–3451. [Google Scholar] [CrossRef]














Disclaimer/Publisher’s Note: The statements, opinions and data contained in all publications are solely those of the individual author(s) and contributor(s) and not of MDPI and/or the editor(s). MDPI and/or the editor(s) disclaim responsibility for any injury to people or property resulting from any ideas, methods, instructions or products referred to in the content. |
© 2024 by the authors. Licensee MDPI, Basel, Switzerland. This article is an open access article distributed under the terms and conditions of the Creative Commons Attribution (CC BY) license (https://creativecommons.org/licenses/by/4.0/).
Share and Cite
Turánek, J.; Knötigová, P.T.; Kulich, P.; Skoupý, R.; Hrubanová, K.; Vaškovicová, N.; Fekete, L.; Kaňa, A.; Mikulík, R.; Raška, M. Preparation and Complex Characterisation of Stabilised Gold Nanoparticles: Biodistribution and Application for High Resolution In Vivo Imaging. Pharmaceuticals 2024, 17, 1479. https://doi.org/10.3390/ph17111479
Turánek J, Knötigová PT, Kulich P, Skoupý R, Hrubanová K, Vaškovicová N, Fekete L, Kaňa A, Mikulík R, Raška M. Preparation and Complex Characterisation of Stabilised Gold Nanoparticles: Biodistribution and Application for High Resolution In Vivo Imaging. Pharmaceuticals. 2024; 17(11):1479. https://doi.org/10.3390/ph17111479
Chicago/Turabian StyleTuránek, Jaroslav, Pavlína Turánek Knötigová, Pavel Kulich, Radim Skoupý, Kamila Hrubanová, Naděžda Vaškovicová, Ladislav Fekete, Antonín Kaňa, Robert Mikulík, and Milan Raška. 2024. "Preparation and Complex Characterisation of Stabilised Gold Nanoparticles: Biodistribution and Application for High Resolution In Vivo Imaging" Pharmaceuticals 17, no. 11: 1479. https://doi.org/10.3390/ph17111479
APA StyleTuránek, J., Knötigová, P. T., Kulich, P., Skoupý, R., Hrubanová, K., Vaškovicová, N., Fekete, L., Kaňa, A., Mikulík, R., & Raška, M. (2024). Preparation and Complex Characterisation of Stabilised Gold Nanoparticles: Biodistribution and Application for High Resolution In Vivo Imaging. Pharmaceuticals, 17(11), 1479. https://doi.org/10.3390/ph17111479

