Application of Integrated Optical Density in Evaluating Insulin Expression in the Endocrine Pancreas During Chronic Ethanol Exposure and β-Carotene Supplementation: A Novel Approach Utilizing Artificial Intelligence
Abstract
1. Introduction
2. Results
2.1. Biochemistry
2.2. Immunohistochemistry
2.3. Area
2.4. Integrated Optical Density Analysis
3. Discussion
3.1. Summary of Key Findings and Interpretation
3.2. Biochemistry
3.3. Immunohistochemistry
3.4. Integrated Optical Density Analysis
3.5. Limitations
4. Materials and Methods
4.1. Sample Size
4.2. Animals
- Control group (Group C): No alcohol or β-carotene administration.
- β-carotene group (Group B): Administered 0.52 mg/kg body weight/day β-carotene for 28 days, as this dose has been shown to mitigate alcohol-induced liver damage by reducing oxidative stress and inhibiting apoptosis [30].
- Low-dose alcohol + β-carotene group (Group LA+B): Administered low-dose alcohol plus 0.52 mg/kg body weight/day β-carotene for 28 days.
- Moderate-dose alcohol + β-carotene group (Group MA+B): Administered moderate-dose alcohol plus 0.52 mg/kg body weight/day β-carotene for 28 days. Figure 2 illustrates the experimental design.
4.3. Alcoholism and Treatments
4.4. Euthanasia
4.5. Biochemical Analyses
4.6. Homeostasis Model Assessment of β-Cell Function (HOMA-SS)
4.7. Homeostasis Model Assessment of Insulin Resistance (HOMA-IR)
4.8. Processing and Staining of Pancreas
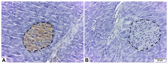
4.9. Immunohistochemistry
4.10. Statistical Analysis
5. Conclusions
Author Contributions
Funding
Institutional Review Board Statement
Informed Consent Statement
Data Availability Statement
Acknowledgments
Conflicts of Interest
References
- Anderson, P.; Dalziel, K.; Davies, E.; Fitzsimmons, D.; Hale, J.; Hughes, A.; Isaac, J.; Onishchenko, K.; Phillips, C.; Pockett, R. Survey of digestive health across Europe: Final report. Part 2: The economic impact and burden of digestive disorders. United Eur. Gastroenterol. J. 2014, 2, 544–546. [Google Scholar] [CrossRef] [PubMed]
- Żorniak, M.; Beyer, G.; Mayerle, J. Risk Stratification and Early Conservative Treatment of Acute Pancreatitis. Visc. Med. 2019, 35, 82–89. [Google Scholar] [CrossRef] [PubMed]
- Conwell, D.L.; Banks, P.A.; Sandhu, B.S.; Sherman, S.; Al-Kaade, S.; Gardner, T.B.; Anderson, M.A.; Wilcox, C.M.; Lewis, M.D.; Muniraj, T.; et al. Validation of Demographics, Etiology, and Risk Factors for Chronic Pancreatitis in the USA: A Report of the North American Pancreas Study (NAPS) Group. Dig. Dis. Sci. 2017, 62, 2133–2140. [Google Scholar] [CrossRef] [PubMed]
- Lankisch, P.G.; Apte, M.; Banks, P.A. Acute pancreatitis. Lancet 2015, 386, 85–96. [Google Scholar] [CrossRef]
- Whitcomb, D.C.; LaRusch, J.; Krasinskas, A.M.; Klei, L.; Smith, J.P.; Brand, R.E.; Neoptolemos, J.P.; Lerch, M.M.; Tector, M.; Sandhu, B.S.; et al. Alzheimer’s Disease Genetics Consortium; Alkaade, S.; Amann, S.T.; Anderson, M.A.; Baillie, J.; et al. Alzheimer’s Disease Genetics Consortium. Common genetic variants in the CLDN2 and PRSS1-PRSS2 loci alter risk for alcohol-related and sporadic pancreatitis. Nat. Genet. 2012, 44, 1349–1354. [Google Scholar] [CrossRef]
- Pandol, S.J.; Lugea, A.; Mareninova, O.A.; Smoot, D.; Gorelick, F.S.; Gukovskaya, A.S.; Gukovsky, I. Investigating the pathobiology of alcoholic pancreatitis. Alcohol Clin. Exp. Res. 2011, 35, 830–837. [Google Scholar] [CrossRef]
- Maléth, J.; Balázs, A.; Pallagi, P.; Balla, Z.; Kui, B.; Katona, M.; Judák, L.; Németh, I.; Kemény, L.V.; Rakonczay, Z., Jr.; et al. Alcohol disrupts levels and function of the cystic fibrosis transmembrane conductance regulator to promote development of pancreatitis. Gastroenterology 2015, 148, 427–439.e16. [Google Scholar] [CrossRef]
- Apte, M.V.; Wilson, J.S.; Lugea, A.; Pandol, S.J. A starring role for stellate cells in the pancreatic cancer microenvironment. Gastroenterology 2013, 144, 1210–1219. [Google Scholar] [CrossRef]
- Lugea, A.; Tischler, D.; Nguyen, J.; Gong, J.; Gukovsky, I.; French, S.W.; Gorelick, F.S.; Pandol, S.J. Adaptive unfolded protein response attenuates alcohol-induced pancreatic damage. Gastroenterology 2011, 140, 987–997. [Google Scholar] [CrossRef]
- Lugea, A.; Waldron, R.T.; Pandol, S.J. Pancreatic adaptive responses in alcohol abuse: Role of the unfolded protein response. Pancreatology 2015, 15 (Suppl 4), S1–S5. [Google Scholar] [CrossRef]
- Sandoval, C.; Vásquez, B.; Mandarim-de-Lacerda, C.; del Sol, M. Ethanol intake and toxicity: In search of new treatments. Int. J. Morphol. 2017, 35, 942–949. [Google Scholar] [CrossRef]
- Sandoval, C.; Vásquez, B.; Souza-Mello, V.; Mandarim-de-Lacerda, C.; del Sol, M. Role of Alcohol Consumption and Antioxidants on Global Methylation of DNA and Cancer. Int. J. Morphol. 2018, 36, 367–372. [Google Scholar] [CrossRef]
- Wu, H.; Cai, P.; Clemens, D.L.; Jerrells, T.R.; Shakeel Ansari, G.A.; Kaphalia, B.S. Metabolic basis of ethanol-induced cytotoxicity in recombinant HepG2 Cells: Role of nonoxidative metabolism. Toxicol. Appl. Pharmacol. 2006, 216, 238–247. [Google Scholar] [CrossRef] [PubMed]
- Sandoval, C.; Vásquez, B.; Souza-Mello, V.; Adeli, K.; Mandarim-de-Lacerda, C.; del Sol, M. Morphoquantitative effects of oral β-carotene supplementation on liver of C57BL/6 mice exposed to ethanol consumption. Int. J. Clin. Exp. Pathol. 2019, 12, 1713–1722. [Google Scholar] [PubMed]
- Sandoval, C.; Vera, A.; Birditt, K.; Godoy, K.; Carmine, F.; Caamaño, J.; Farías, J. β-Carotene Supplementation Improves Pancreas Function during Moderate Ethanol Consumption: Initial Characterization from a Morphological Overview. Int. J. Mol. Sci. 2024, 25, 1219. [Google Scholar] [CrossRef]
- Apte, M.V.; Wilson, J.S.; Korsten, M.A.; McCaughan, G.W.; Haber, P.S.; Pirola, R.C. Effects of ethanol and protein deficiency on pancreatic digestive and lysosomal enzymes. Gut 1995, 36, 287–293. [Google Scholar] [CrossRef]
- Sandoval, C.; Farías, J.; Zamorano, M.; Herrera, C. Vitamin Supplements as a Nutritional Strategy against Chronic Alcohol Consumption? An Updated Review. Antioxidants 2022, 11, 564. [Google Scholar] [CrossRef]
- Sandoval, C.; Mella, L.; Godoy, K.; Adeli, K.; Farías, J. β-Carotene Increases Activity of Cytochrome P450 2E1 during Ethanol Consumption. Antioxidants 2022, 11, 1033. [Google Scholar] [CrossRef]
- National Institute of Diabetes and Digestive and Kidney Diseases. Symptoms and Causes of Pancreatitis. Available online: https://www.niddk.nih.gov/health-information/digestive-diseases/pancreatitis/symptoms-causes (accessed on 30 June 2024).
- Kim, J.Y.; Lee, D.Y.; Lee, Y.J.; Park, K.J.; Kim, K.H.; Kim, J.W.; Kim, W.H. Chronic alcohol consumption potentiates the development of diabetes through pancreatic β-cell dysfunction. World J. Biol. Chem. 2015, 6, 1–15. [Google Scholar] [CrossRef]
- Wagner, K.H.; Schwingshackl, L.; Draxler, A.; Franzke, B. Impact of Dietary and Lifestyle Interventions in Elderly or People Diagnosed with Diabetes, Metabolic Disorders, Cardiovascular Disease, Cancer and Micronutrient Deficiency on Micronuclei Frequency—A Systematic Review and Meta-analysis. Mutat. Res. 2021, 787, 108367. [Google Scholar] [CrossRef]
- Roshanravan, N.; Askari, S.F.; Fazelian, S.; Ayati, M.H.; Namazi, N. The Roles of Quercetin in Diabetes Mellitus and Related Metabolic Disorders; Special Focus on the Modulation of Gut Microbiota: A Comprehensive Review. Crit. Rev. Food Sci. Nutr. 2021, 63, 2990–3003. [Google Scholar] [CrossRef] [PubMed]
- Wang, X.; Yang, J.; Qiu, X.; Wen, Q.; Liu, M.; Zhou, D.; Chen, Q. Probiotics, Pre-biotics and Synbiotics in the Treatment of Pre-diabetes: A Systematic Review of Randomized Controlled Trials. Front. Public Health. 2021, 9, 645035. [Google Scholar] [CrossRef] [PubMed]
- Marshall, D.C.; Holloway, M.; Korer, M.; Woodman, J.; Brackenridge, A.; Hussain, S. Do-It-Yourself Artificial Pancreas Systems in Type 1 Diabetes: Perspectives of Two Adult Users, A Caregiver and Three Physicians. Diabetes Ther. 2019, 10, 1553–1564. [Google Scholar] [CrossRef] [PubMed]
- Hu, X.; Wen, J.; Yu, W.; Yang, L.; Pan, W.; Xu, K.; Chen, X.; Li, Q.; Chen, G.; Gu, X. Associations of Early-life Exposure to Famine with Abdominal Fat Accumulation are Independent of Family History of Diabetes and Physical Activity. Br. J. Nutr. 2021, 125, 943–950. [Google Scholar] [CrossRef]
- Li, A.L.; Peng, Q.; Shao, Y.Q.; Fang, X.; Zhang, Y.Y. The Interaction on Hypertension Between Family History and Diabetes and Other Risk Factors. Sci. Rep. 2021, 11, 4716. [Google Scholar] [CrossRef]
- Wu, J.; Zhou, Y.; Hu, H.; Yang, D.; Yang, F. Effects of β-carotene on glucose metabolism dysfunction in humans and type 2 diabetic rats. Acta Mater. Medica 2022, 1, 138–153. [Google Scholar] [CrossRef]
- Lin, W.T.; Huang, C.C.; Lin, T.J.; Chen, J.R.; Shieh, M.J.; Peng, H.C.; Yang, S.C.; Huang, C.Y. Effects of beta- carotene on antioxidant status in rats with chronic alcohol consumption. Cell Biochem. Funct. 2009, 27, 344–350. [Google Scholar] [CrossRef]
- Takeda, S.; Bando, N.; Yamanishi, R. Ingested β-carotene enhances glutathione level and up-regulates the activity of cysteine cathepsin in murine splenocytes. Biosci. Biotechnol. Biochem. 2008, 72, 1595–1600. [Google Scholar] [CrossRef]
- Peng, H.C.; Chen, Y.L.; Yang, S.Y.; Ho, P.Y.; Yang, S.S.; Hu, J.T.; Yang, S.C. The antiapoptotic effects of different doses of β-carotene in chronic ethanol-fed rats. Hepatobiliary Surg. Nutr. 2013, 2, 132–141. [Google Scholar] [CrossRef]
- Shete, V.; Quadro, L. Mammalian metabolism of β-carotene: Gaps in knowledge. Nutrients 2013, 5, 4849–4868. [Google Scholar] [CrossRef]
- Mounien, L.; Tourniaire, F.; Landrier, J.F. Anti-obesity effect of carotenoid: Direct impact on adipose tissue and adipose tissue-driven indirect effects. Nutrients 2019, 11, 1562. [Google Scholar] [CrossRef] [PubMed]
- Rodriguez-Concepcion, M.; Avalos, J.; Bonet, M.L.; Boronat, A.; Lourdes, G.G.; Hornero-Mendez, D.; Limon, M.C.; Meléndez-Martínez, A.J.; Olmedilla-Alonso, B.; Palou, A.; et al. A global perspective on carotenoids: Metabolism, biotechnology, and benefits for nutrition and health. Prog. Lipid Res. 2018, 70, 62–93. [Google Scholar] [CrossRef] [PubMed]
- Perera, C.R.; Yen, G.M. Functional properties of carotenoids in human health. Int. J. Food Prop. 2007, 10, 201–230. [Google Scholar] [CrossRef]
- Rühl, R.; Landrier, J.F. Dietary regulation of adiponectin by direct and indirect lipid activators of nuclear hormone receptors. Mol. Nutr. Food Res. 2016, 60, 175–184. [Google Scholar] [CrossRef] [PubMed]
- Amengual, J.; Gouranton, E.; Helden, Y.G.J.; Hessel, S.; Ribot, J.; Kramer, E.; Kiec-Wilk, B.; Razny, U.; Lietz, A.; Wyss, A.; et al. Beta-carotene reduces body adiposity of mice via BCMO1. PLoS ONE 2011, 6, e20644. [Google Scholar] [CrossRef]
- Beydoun, M.A.; Chen, X.; Jha, K.; Beydoun, H.A.; Zonderman, A.B.; Canas, J.A. Carotenoids, vitamin A, and their association with the metabolic syndrome: A systematic review and meta-analysis. Nutr. Rev. 2019, 77, 32–45. [Google Scholar] [CrossRef]
- Canas, J.A.; Lochrie, A.; McGowan, A.G.; Hossain, J.; Schettino, C.; Balagopal, P.B. Effects of mixed carotenoids on adipokines and abdominal adiposity in children: A pilot study. J. Clin. Endocrinol. Metab. 2017, 102, 1983–1990. [Google Scholar] [CrossRef]
- Asemi, Z.; Alizadeh, S.A.; Ahmad, K.; Goli, M.; Esmailzadeh, A. Effects of beta-carotene fortified symbiotic food on metabolic control of patients with type 2 diabetes mellitus: A double-blind randomized cross-over controlled clinical trial. Clin. Nutr. 2016, 35, 819–825. [Google Scholar] [CrossRef]
- Kim, Y.; Kim, Y.K.; Lim, Y.; Oh, B.; Kim, J.Y.; Bouwman, J.; Kwon, O. Combination of diet quality score, plasma carotenoids, and lipid peroxidation to monitor oxidative stress. Oxid. Med. Cell Longev. 2018, 2018, 8601028. [Google Scholar] [CrossRef]
- Sugiura, M.; Nakamura, M.; Ogawa, K.; Ikoma, Y.; Yano, M. High serum carotenoids associated with lower risk for the metabolic syndrome and its components among Japanese subjects: Mikkabi cohort study. Br. J. Nutr. 2015, 114, 1674–1682. [Google Scholar] [CrossRef]
- Liu, J.; Shi, W.Q.; Cao, Y.; He, L.P.; Guan, K.; Ling, W.H.; Chen, Y.M. Higher serum carotenoid concentrations associated with a lower prevalence of the metabolic syndrome in middle-aged and elderly Chinese adults. Br. J. Nutr. 2014, 112, 2041–2048. [Google Scholar] [CrossRef] [PubMed]
- Witt, H.; Apte, M.V.; Keim, V.; Wilson, J.S. Chronic pancreatitis: Challenges and advances in pathogenesis, genetics, diagnosis, and therapy. Gastroenterology 2007, 132, 1557–1573. [Google Scholar] [CrossRef] [PubMed]
- He, Y.; Shi, B.; Zhao, X.; Sui, J. Sphingosine-1-phosphate induces islet β-cell proliferation and decreases cell apoptosis in high-fat diet/streptozotocin diabetic mice. Exp Ther Med. 2019, 18, 3415–3424. [Google Scholar] [CrossRef] [PubMed]
- Zhang, S.; Wang, Y.; Cui, L.; Deng, Y.; Xu, S.; Yu, J.; Cichello, S.; Serrero, G.; Ying, Y.; Liu, P. Morphologically and Functionally Distinct Lipid Droplet Subpopulations. Sci. Rep. 2016, 6, 29539. [Google Scholar] [CrossRef]
- Cullmann, M.; Hilding, A.; Ostenson, C.G. Alcohol consumption and risk of pre-diabetes and type 2 diabetes development in a swedish population. Diabet. Med. 2012, 29, 441–452. [Google Scholar] [CrossRef]
- Carlsson, S.; Hammar, N.; Grill, V. Alcohol consumption and type 2 diabetes Meta-analysis of epidemiological studies indicates a U-shaped relationship. Diabetologia 2005, 48, 1051–1054. [Google Scholar] [CrossRef]
- Sen, D.B.; Balaraman, R.; Sen, A.K.; Zanwar, A.S.; Greeshma, K.P.; Maheshwari, R.A. Anti-diabetic activity of herbal remedies. J. Nat. Remedies 2023, 23, 373–381. [Google Scholar] [CrossRef]
- Kiechl, S.; Willeit, J.; Poewe, W.; Egger, G.; Oberhollenzer, F.; Muggeo, M.; Bonora, E. Insulin sensitivity and regular alcohol consumption: Large, prospective, cross sectional population study (Bruneck study). BMJ 1996, 313, 1040–1044. [Google Scholar] [CrossRef]
- Lazarus, R.; Sparrow, D.; Weiss, S.T. Alcohol intake and insulin levels: The normative aging study. Am. J. Epidemiol. 1997, 145, 909–916. [Google Scholar] [CrossRef]
- Villegas, R.; Salim, A.; O’Halloran, D.; Perry, I.J. Alcohol intake and insulin resistance. A cross-sectional study. Nutr. Metab. Cardiovas. Dis. 2004, 14, 233–240. [Google Scholar] [CrossRef]
- Sandoval, C.; Herrera, C.; Schulz, M.; Vásquez, B. Relationship Between Ethanol Intake and Insulin Sensitivity Metabolism in Men with no Comorbidities: A Systematic Review. Int. J. Morphol. 2021, 39, 829–838. [Google Scholar] [CrossRef]
- Wallace, T.M.; Levy, J.C.; Matthews, D.R. Use and abuse of HOMA modeling. Diabetes Care 2004, 27, 1487–1495. [Google Scholar] [CrossRef] [PubMed]
- Lieber, C.; DeCarli, L. Hepatic microsomal ethanol-oxidizing system. J. Biol. Chem. 1970, 245, 2505–2512. [Google Scholar] [CrossRef] [PubMed]
- Zakhari, S.; Li, T.K. Determinants of alcohol use and abuse: Impact of quantity and frequency patterns on liver disease. Hepatology 2007, 46, 2032–2039. [Google Scholar] [CrossRef] [PubMed]
- Yoo, Y.; Jung, E.; Kang, H.; Choi, I.; Choi, K.; Jeung, E. The sap of Acer okamotoanum decreases serum alcohol levels after acute ethanol ingestion in rats. Int. J. Mol. Med. 2011, 28, 489–495. [Google Scholar] [CrossRef] [PubMed]
- Edlund, H. Developmental biology of the pancreas. Diabetes 2001, 50 (Suppl. 1), S5–S9. [Google Scholar] [CrossRef]
- Steiner, D.J.; Kim, A.; Miller, K.; Hara, M. Pancreatic islet plasticity: Interspecies comparison of islet architecture and composition. Islets 2010, 2, 135–145. [Google Scholar] [CrossRef]
- Hawkins, K.L.; Summers, B.A.; Kuhajda, F.P.; Smith, C.A. Immunocytochemistry of normal pancreatic islets and spontaneous islet cell tumors in dogs. Vet. Pathol. 1987, 24, 170–179. [Google Scholar] [CrossRef]
- Sandoval, C.; Vásquez, B.; Vasconcellos, A.; Souza-Mello, V.; Adeli, K.; Mandarim-de-Lacerda, C.; del Sol, M. Oral supplementation of b-carotene benefits the hepatic structure and metabolism in mice exposed to chronic ethanol consumption. Sains Malays. 2022, 51, 285–296. [Google Scholar] [CrossRef]
- Jafari, S.M.S.; Hunger, R.E. IHC Optical Density Score: A New Practical Method for Quantitative Immunohistochemistry Image Analysis. Appl. Immunohistochem. Mol. Morphol. 2017, 25, e12–e13. [Google Scholar] [CrossRef]
- Sluijs, I.; Cadier, E.; Beulens, J.W.; van der A, D.L.; Spijkerman, A.M.; van der Schouw, Y.T. Dietary intake of carotenoids and risk of type 2 diabetes. Nutr Metab Cardiovasc. Dis. 2015, 25, 376–381. [Google Scholar] [CrossRef] [PubMed]
- Facchini, F.S.; Humphreys, M.H.; DoNascimento, C.A.; Abbasi, F.; Reaven, G.M. Relation between insulin resistance and plasma concentrations of lipid hydroperoxides, carotenoids, and tocopherols. Am. J. Clin. Nutr. 2000, 72, 776–779. [Google Scholar] [CrossRef] [PubMed]
- Sugiura, M.; Nakamura, M.; Ogawa, K.; Ikoma, Y.; Yano, M. High-serum carotenoids associated with lower risk for developing type 2 diabetes among Japanese subjects: Mikkabi cohort study. BMJ Open Diabetes Res. Care. 2015, 3, e000147. [Google Scholar] [CrossRef] [PubMed]
- Roohbakhsh, A.; Karimi, G.; Iranshahi, M. Carotenoids in the treatment of diabetes mellitus and its complications: A mechanistic review. Biomed. Pharmacother. 2017, 91, 31–42. [Google Scholar] [CrossRef]
- Marcelino, G.; Machate, D.J.; Freitas, K.C.; Hiane, P.A.; Maldonade, I.R.; Pott, A.; Asato, M.A.; Candido, C.J.; Guimarães, R.C.A. β-Carotene: Preventive Role for Type 2 Diabetes Mellitus and Obesity: A Review. Molecules 2020, 25, 5803. [Google Scholar] [CrossRef]
- Duffau, G. Tamaño muestral en estudios biomédicos. Rev. Chil. Ped. 1999, 70, 314–324. [Google Scholar] [CrossRef]
- Rojo Amigo, A. Cálculo del tamaño muestral en procedimientos de experimentación con animales. Valoración de las incidencias. Anim. Lab. 2014, 62, 31–33. [Google Scholar]
- Bottaro, F. Cómo lidiar con la pérdida en el seguimiento. Hematologia 2016, 20, 133–137. [Google Scholar]
- Committee for the Update of the Guide for the Care and Use of Laboratory Animals, Institute for Laboratory Animal Research, Division on Earth and Life Studies & National Research Council. Guide for the Care and Use of Laboratory Animals, 8th ed.; The National Academies Press: Washington, DC, USA, 2011. [Google Scholar]
- Furuya, D.T.; Binsack, R.; Machado, U.F. Low ethanol consumption increases insulin sensitivity in Wistar rats. Braz. J. Med. Biol. Res. 2003, 36, 125–130. [Google Scholar] [CrossRef]
- Klatsky, A.L.; Armstrong, M.A.; Friedman, G.D. Alcohol and mortality. Ann. Intern. Med. 1992, 117, 646–654. [Google Scholar] [CrossRef]
- Doll, R.; Peto, R.; Hall, E.; Wheatley, K.; Gray, R. Mortality in relation to consumption of alcohol: 13 years’ observations on male British doctors. BMJ 1994, 309, 911–918. [Google Scholar] [CrossRef] [PubMed]
- Diao, Y.; Nie, J.; Tan, P.; Zhao, Y.; Zhao, T.; Tu, J.; Ji, H.; Cao, Y.; Wu, Z.; Liang, H.; et al. Long-term low-dose ethanol intake improves healthspan and resists high-fat diet-induced obesity in mice. Aging 2020, 12, 13128–13146. [Google Scholar] [CrossRef] [PubMed]
- Ki, S.H.; Park, O.; Zheng, M.; Morales-Ibanez, O.; Kolls, J.K.; Bataller, R.; Gao, B. Interleukin-22 treatment ameliorates alcoholic liver injury in a murine model of chronic- binge ethanol feeding: Role of signal transducer and activator of transcription 3. Hepatology 2010, 52, 1291–1300. [Google Scholar] [CrossRef]
- Choi, Y.; Abdelmegeed, M.A.; Song, B.J. Preventive effects of indole-3-carbinol against alcohol-induced liver injury in mice via antioxidant, anti-inflammatory, and anti-apoptotic mechanisms: Role of gut-liver-adipose tissue axis. J. Nutr. Biochem. 2018, 55, 12–25. [Google Scholar] [CrossRef] [PubMed]
- Matthews, D.R.; Hosker, J.P.; Rudenski, A.S.; Naylor, B.A.; Treacher, D.F.; Turner, R.C. Homeostasis model assessment: Insulin resistance and β-cell function from fasting plasma glucose and insulin concentrations in man. Diabetologia 1985, 28, 412–419. [Google Scholar] [CrossRef]
- Vogeser, M.; König, D.; Frey, I.; Predel, H.G.; Parhofer, K.G.; Berg, A. Fasting serum insulin and the homeostasis model of insulin resistance (HOMA-IR) in the monitoring of lifestyle interventions in obese persons. Clin. Biochem. 2007, 40, 964–968. [Google Scholar] [CrossRef]
- Boschi, F.; Rizzatti, V.; Zoico, E.; Montanari, T.; Zamboni, M.; Sbarbati, A.; Colitti, M. Relationship between lipid droplets size and integrated optical density. Eur. J. Histochem. 2019, 63, 3017. [Google Scholar] [CrossRef]



| Media ± SD | |||||||
|---|---|---|---|---|---|---|---|
| C (n = 6) | LA (n = 6) | MA (n = 6) | B (n = 6) | LA+B (n = 6) | MA+B (n = 6) | p | |
| Insulin (μU/mL) | 28.60 ± 5.45 | 16.44 ± 7.27 a | 14.96 ± 5.01 a | 24.27 ± 9.58 abc | 11.34 ± 3.91 ad | 9.46 ± 1.55 acd | <0.001 |
| Glucose (mmol/L) | 9.03 ± 0.53 | 13.45 ± 1.27 a | 15.11 ± 0.45 ab | 14.63 ± 0.84 ab | 13.46 ± 0.43 acd | 14.31 ± 0.86 a | <0.001 |
| ADH (nmol/min/mL) | 20.42 ± 2.52 | 33.03 ± 3.42 a | 36.15 ± 2.74 a | 23.22 ± 5.58 bc | 26.09 ± 3.16 abc | 29.83 ± 3.51 acd | <0.001 |
| ALDH (pmol/min/mL) | 11.81 ± 1.82 | 15.81 ± 1.62 a | 17.04 ± 1.78 a | 11.21 ± 1.30 bc | 14.25 ± 1.67 acd | 15.81 ± 1.77 ad | <0.001 |
| HOMA-β | 104.41 ± 21.30 | 33.34 ± 15.51 a | 25.77 ± 6.77 a | 43.53 ± 15.51 a | 22.77 ± 7.38 a | 17.61 ± 3.19 ad | <0.001 |
| HOMA-IR | 11.44 ± 1.49 | 9.83 ± 4.59 | 10.06 ± 2.76 | 15.84 ± 6.04 | 6.79 ± 2.21 d | 6.01 ± 0.85 d | <0.001 |
| Media ± SD | |||||||
|---|---|---|---|---|---|---|---|
| C (n = 6) | LA (n = 6) | MA (n = 6) | B (n = 6) | LA+B (n = 6) | MA+B (n = 6) | p | |
| Area (μm2) | 194.78 ± 38.30 | 270.44 ± 107.99 a | 69.24 ± 22.61 ab | 429.50 ± 246.77 ac | 330.79 ± 117.64 ac | 1028.27 ± 356.19 ac | <0.001 |
| Integrated optical density (lum/μm2) | 26,006.67 ± 5063.97 | 35,661.82 ± 13,921.15 a | 9722.07 ± 3049.34 ab | 51,611.28 ± 29,343.24 ac | 43,537.44 ± 15,480.09 ac | 54,324.13 ± 29,600.55 ac | <0.001 |
| Block Peroxidase | Antigenic Recovery | Unspecific Background | Primary Antibody | Secondary Antibody | Labeled | Detection | |
|---|---|---|---|---|---|---|---|
| Positive control (protein of interest) | H2O2 | HistoReveal | Protein Block | Anti-insulin IgG guinea pig primary antibody | Biotinylated goat anti-polyvalent antibody | Streptavidin peroxidase | Diaminobenzidine-peroxidase |
| Negative control (without protein of interest) | H2O2 | HistoReveal | Protein Block | Saline solution | Biotinylated goat anti-polyvalent antibody | Streptavidin peroxidase | Diaminobenzidine-peroxidase |
| Samples (pancreas cuts) | H2O2 | HistoReveal | Protein Block | Anti-insulin IgG guinea pig primary antibody | Biotinylated goat anti-polyvalent antibody | Streptavidin peroxidase | Diaminobenzidine-peroxidase |
Disclaimer/Publisher’s Note: The statements, opinions and data contained in all publications are solely those of the individual author(s) and contributor(s) and not of MDPI and/or the editor(s). MDPI and/or the editor(s) disclaim responsibility for any injury to people or property resulting from any ideas, methods, instructions or products referred to in the content. |
© 2024 by the authors. Licensee MDPI, Basel, Switzerland. This article is an open access article distributed under the terms and conditions of the Creative Commons Attribution (CC BY) license (https://creativecommons.org/licenses/by/4.0/).
Share and Cite
Sandoval, C.; Canobbi, L.; Orrego, Á.; Reyes, C.; Venegas, F.; Vera, Á.; Torrens, F.; Vásquez, B.; Godoy, K.; Zamorano, M.; et al. Application of Integrated Optical Density in Evaluating Insulin Expression in the Endocrine Pancreas During Chronic Ethanol Exposure and β-Carotene Supplementation: A Novel Approach Utilizing Artificial Intelligence. Pharmaceuticals 2024, 17, 1478. https://doi.org/10.3390/ph17111478
Sandoval C, Canobbi L, Orrego Á, Reyes C, Venegas F, Vera Á, Torrens F, Vásquez B, Godoy K, Zamorano M, et al. Application of Integrated Optical Density in Evaluating Insulin Expression in the Endocrine Pancreas During Chronic Ethanol Exposure and β-Carotene Supplementation: A Novel Approach Utilizing Artificial Intelligence. Pharmaceuticals. 2024; 17(11):1478. https://doi.org/10.3390/ph17111478
Chicago/Turabian StyleSandoval, Cristian, Luciano Canobbi, Álvaro Orrego, Camila Reyes, Felipe Venegas, Ángeles Vera, Francisco Torrens, Bélgica Vásquez, Karina Godoy, Mauricio Zamorano, and et al. 2024. "Application of Integrated Optical Density in Evaluating Insulin Expression in the Endocrine Pancreas During Chronic Ethanol Exposure and β-Carotene Supplementation: A Novel Approach Utilizing Artificial Intelligence" Pharmaceuticals 17, no. 11: 1478. https://doi.org/10.3390/ph17111478
APA StyleSandoval, C., Canobbi, L., Orrego, Á., Reyes, C., Venegas, F., Vera, Á., Torrens, F., Vásquez, B., Godoy, K., Zamorano, M., Caamaño, J., & Farías, J. (2024). Application of Integrated Optical Density in Evaluating Insulin Expression in the Endocrine Pancreas During Chronic Ethanol Exposure and β-Carotene Supplementation: A Novel Approach Utilizing Artificial Intelligence. Pharmaceuticals, 17(11), 1478. https://doi.org/10.3390/ph17111478

