Protective Effects of Annona Atemoya Extracts on Inflammation, Oxidative Stress, and Renal Function in Cadmium-Induced Nephrotoxicity in Wistar Rats
Abstract
1. Introduction
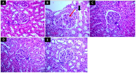
2. Results
3. Discussion
4. Methods and Materials
4.1. Extract Preparation
4.2. Experimental Animals
4.3. Experiment Protocol
4.4. Activity of Antioxidant Enzymes in Plasma
4.4.1. Catalase (CAT)
4.4.2. Superoxide Dismutase (SOD)
4.4.3. Glutathione Peroxidase Activity (GPx)
4.5. Kidney Function Markers
4.6. Inflammatory Markers in Plasma
4.7. Measurements of Kidney Morphological Changes
4.8. Statistical Analyses
5. Conclusions
Author Contributions
Funding
Institutional Review Board Statement
Informed Consent Statement
Data Availability Statement
Conflicts of Interest
References
- Osborn, J.W.; Tyshynsky, R.; Vulchanova, L. Function of Renal Nerves in Kidney Physiology and Pathophysiology. Annu. Rev. Physiol. 2021, 83, 429–450. [Google Scholar] [CrossRef] [PubMed]
- Kataria, A.; Trasande, L.; Trachtman, H. The effects of environmental chemicals on renal function. Nat. Rev. Nephrol. 2015, 11, 610–625. [Google Scholar] [CrossRef] [PubMed]
- Yan, L.J.; Allen, D.C. Cadmium-Induced Kidney Injury: Oxidative Damage as a Unifying Mechanism. Biomolecules 2021, 11, 1575. [Google Scholar] [CrossRef] [PubMed]
- Rafati Rahimzadeh, M.; Rafati Rahimzadeh, M.; Kazemi, S.; Moghadamnia, A.-A. Cadmium toxicity and treatment: An update. Caspian J. Intern. Med. 2017, 8, 135–145. [Google Scholar]
- Jarup, L. Cadmium overload and toxicity. Nephrol. Dial. Transplant. 2002, 17 (Suppl. 2), 35–39. [Google Scholar] [CrossRef]
- Bernard, A. Renal dysfunction induced by cadmium: Biomarkers of critical effects. Biometals 2004, 17, 519–523. [Google Scholar] [CrossRef]
- Nordberg, G.F.; Jin, T.; Nordberg, M. Subcellular targets of cadmium nephrotoxicity: Cadmium binding to renal membrane proteins in animals with or without protective metallothionein synthesis. Environ. Health Perspect. 1994, 102 (Suppl. 3), 191–194. [Google Scholar]
- Branca, J.J.V.; Morucci, G.; Pacini, A. Cadmium-induced neurotoxicity: Still much ado. Neural. Regen. Res. 2018, 13, 1879–1882. [Google Scholar]
- Genchi, G.; Sinicropi, M.S.; Lauria, G.; Carocci, A.; Catalano, A. The Effects of Cadmium Toxicity. Int. J. Environ. Res. Public Health 2020, 17, 3782. [Google Scholar] [CrossRef]
- Su, H.; Wan, C.; Song, A.; Qiu, Y.; Xiong, W.; Zhang, C. Oxidative Stress and Renal Fibrosis: Mechanisms and Therapies. Adv. Exp. Med. Biol. 2019, 1165, 585–604. [Google Scholar]
- Zahid, M.; Arif, M.; Rahman, M.A.; Mujahid, M. Hepatoprotective and antioxidant activities of Annona squamosa seed extract against alcohol-induced liver injury in Sprague Dawley rats. Drug Chem. Toxicol. 2020, 43, 588–594. [Google Scholar] [CrossRef] [PubMed]
- Shen, N.; Wang, T.; Gan, Q.; Liu, S.; Wang, L.; Jin, B. Plant flavonoids: Classification, distribution, biosynthesis, and antioxidant activity. Food Chem. 2022, 383, 132531. [Google Scholar] [CrossRef] [PubMed]
- Abd-Elrazek, A.; Shapana, H.; Shukry, W.; Galilah, D. Comparison between Annona squamosa, Annona cherimolia and Annona atemoya ethanolic extracts extenuative impact against oxidative stress, inflammation and apoptosis in rat kidney induced by Ifosfamid. Toxicol. Res. 2021, 10, 947–958. [Google Scholar] [CrossRef] [PubMed]
- Magno, A.L.; Herat, L.Y.; Carnagarin, R.; Schlaich, M.P.; Matthews, V.B. Current Knowledge of IL-6 Cytokine Family Members in Acute and Chronic Kidney Disease. Bio. Med. 2019, 7, 19. [Google Scholar] [CrossRef]
- Ozkok, A.; Edelstein, C.L. Pathophysiology of Cisplatin-Induced Acute Kidney Injury. Biomed. Res. Int. 2014, 2014, 967826. [Google Scholar] [CrossRef]
- Van Kerkhove, E.; Pennemans, V.; Swennen, Q. Cadmium and transport of ions and substances across cell membranes and epithelia. Biometals 2010, 23, 823–855. [Google Scholar] [CrossRef]
- Gowda, S.; Desai, P.B.; Kulkarni, S.S.; Hull, V.V.; Math, A.A.K.; Vernekar, S.N. Markers of renal function tests. N. Am. J. Med. Sci. 2010, 2, 170–173. [Google Scholar]
- Obianime, A.W.; Roberts, I.I. Antioxidants, cadmium-induced toxicity, serum biochemical and the histological abnormalities of the kidney and testes of the male Wistar rats. Niger. J. Physiol. Sci. 2009, 24, 177–185. [Google Scholar] [CrossRef][Green Version]
- Renugadevi, J.; Prabu, S.M. Naringenin protects against cadmium-induced oxidative renal dysfunction in rats. Toxicology 2009, 256, 128–134. [Google Scholar] [CrossRef]
- Brzoska, M.M.; Kaminski, M.; Supernak-Bobko, D.; Zwierz, K.; Moniuszko-Jakoniuk, J. Changes in the structure and function of the kidney of rats chronically exposed to cadmium. I. Biochemical and histopathological studies. Arch. Toxicol. 2003, 77, 344–352. [Google Scholar] [CrossRef]
- Kazman, B.S.M.A.; Harnett, J.E.; Hanrahan, J.R. The Phytochemical Constituents and Pharmacological Activities of Annona atemoya: A Systematic Review. Pharmaceuticals 2020, 13, 269. [Google Scholar] [CrossRef] [PubMed]
- de Moraes, M.R.; Ryan, S.M.; Godoy, H.T.; Thomas, A.L.; Maia, J.G.S.; Richards, K.M.; Tran, K.; Smith, R.E. Phenolic Compounds and Metals in Some Edible Annonaceae Fruits. Biol. Trace Elem. Res. 2020, 197, 676–682. [Google Scholar] [CrossRef] [PubMed]
- Ahmadvand, H.; Yalameha, B.; Adibhesami, G.; Nasri, M.; Naderi, N.; Babaeenezhad, E.; Nouryazdan, N. The Protective Role of Gallic Acid Pretreatment On Renal Ischemia-reperfusion Injury in Rats. Rep. Biochem. Mol. Biol. 2019, 8, 42–48. [Google Scholar] [PubMed]
- Mahgoub, E.; Kumaraswamy, S.M.; Kader, K.H.; Venkataraman, B.; Ojha, S.; Adeghate, E.; Rajesh, M. Genipin attenuates cisplatin-induced nephrotoxicity by counteracting oxidative stress, inflammation, and apoptosis. Biomed. Pharmacother. 2017, 93, 1083–1097. [Google Scholar] [CrossRef] [PubMed]
- Rjeibi, I.; Feriani, A.; Saad, A.B.; Sdayria, J.; Saidi, I.; Ncib, S.; Souid, S.; Allagui, M.S.; Hfaiedh, N. Lycium europaeum Extract: A New Potential Antioxidant Source against Cisplatin-Induced Liver and Kidney Injuries in Mice. Oxid. Med. Cell Longev. 2018, 2018, 1630751. [Google Scholar] [CrossRef]
- Yu, Y.; Ma, R.; Yu, L.; Cai, Z.; Li, H.; Zuo, Y.; Wang, Z.; Li, H. Combined effects of cadmium and tetrabromobisphenol a (TBBPA) on development, antioxidant enzymes activity and thyroid hormones in female rats. Chem. Biol. Interact. 2018, 289, 23–31. [Google Scholar] [CrossRef]
- Seif, M.M.; Madboli, A.-N.; Marrez, D.A.; Aboulthana, W.M.K. Hepato-Renal protective Effects of Egyptian Purslane Extract against Experimental Cadmium Toxicity in Rats with Special Emphasis on the Functional and Histopathological Changes. Toxicol. Rep. 2019, 6, 625–631. [Google Scholar] [CrossRef]
- Meng, Y.; Zhang, L.; Wang, L.; Zhou, C.; Shangguan, Y.; Yang, Y. Antioxidative enzymes activity and thiol metabolism in three leafy vegetables under Cd stress. Ecotoxicol. Environ. Saf. 2019, 173, 214–224. [Google Scholar] [CrossRef]
- Nna, V.U.; Ujah, G.A.; Mohamed, M.; Etim, K.B.; Igba, B.O.; Augustine, E.R.; Osim, E.E. Cadmium chloride-induced testicular toxicity in male wistar rats; prophylactic effect of quercetin, and assessment of testicular recovery following cadmium chloride withdrawal. Biomed. Pharmacother. 2017, 94, 109–123. [Google Scholar] [CrossRef]
- Suru, S.M. Onion and garlic extracts lessen cadmium-induced nephrotoxicity in rats. Biometals 2008, 21, 623–633. [Google Scholar] [CrossRef]
- Jia, Y.; Yin, C.; Ke, W.; Liu, J.; Guo, B.; Wang, X.; Zhao, P.; Hu, S.; Zhang, C.; Li, X.; et al. Alpha-ketoglutarate alleviates cadmium-induced inflammation by inhibiting the HIF1A-TNFAIP3 pathway in hepatocytes. Sci. Total Environ. 2023, 878, 163069. [Google Scholar] [CrossRef] [PubMed]
- Zhang, Y.; Li, Y.; Zhang, J.; Qi, X.; Cui, Y.; Yin, K.; Lin, H. Cadmium induced inflammation and apoptosis of porcine epididymis via activating RAF1/MEK/ERK and NF-kappaB pathways. Toxicol. Appl. Pharmacol. 2021, 415, 115449. [Google Scholar] [CrossRef] [PubMed]
- Hussain, T.; Tan, B.; Yin, Y.; Blachier, F.; Tossou, M.C.B.; Rahu, N. Oxidative Stress and Inflammation: What Polyphenols Can Do for Us? Oxid. Med. Cell Longev. 2016, 2016, 7432797. [Google Scholar] [CrossRef] [PubMed]
- Algefare, A.I. Renoprotective and Oxidative Stress-Modulating Effects of Taxifolin against Cadmium-Induced Nephrotoxicity in Mice. Life 2022, 12, 1150. [Google Scholar] [CrossRef]
- Serquiz, A.C.; Serquiz, R.P.; Peixoto, T.K.O.N.; Santos, E.A.; Rocha, H.A.O. Assessment of the hemoaglutinant and digestive enzyme inhibitory activity of extracts obtained from different parts of atemoia. Rev. Bras. De Frutic. 2018, 40, e-098. [Google Scholar] [CrossRef]
- Zubaidi, S.N.; Qadi, W.S.; Maarof, S.; Mohmad Misnan, N.; Mohammad Noor, H.S.; Hamezah, H.S.; Baharum, S.N.; Rosli, N.; Jam, F.A.; Al-Olayan, E.; et al. Assessing the Acute Toxicological Effects of Annona muricata Leaf Ethanol Extract on Rats: Biochemical, Histopathological, and Metabolomics Analyses. Toxics 2023, 11, 688. [Google Scholar] [CrossRef]
- do Nascimento, L.C.P.; Neto, J.P.R.C.; Braga, V.A.; Lagranha, C.J.; Alves, J.L.B. Maternal exposure to high-fat and high-cholesterol diet induces arterial hypertension and oxidative stress along the gut-kidney axis in rat offspring. Life Sci. 2020, 261, 118367. [Google Scholar] [CrossRef]
- de Luna Freire, M.O.; do Nascimento, L.C.P.; de Oliveira, K.Á.R.; de Oliveira, A.M.; Napoleão, T.H.; Lima, M.d.S.; Lagranha, C.J.; de Souza, E.L.; de Brito Alves, J.L. Effects of a Mixed Limosilactobacillus fermentum Formulation with Claimed Probiotic Properties on Cardiometabolic Variables, Biomarkers of Inflammation and Oxidative Stress in Male Rats Fed a High-Fat Diet. Foods 2021, 10, 2202. [Google Scholar] [CrossRef]
- de Luna Freire, M.O.; Do Nascimento, L.C.P.; De Oliveira, K.Á.R.; de Oliveira, A.M.; dos Santos Lima, M.; Napoleão, T.H.; da Costa Silva, J.H.; Lagranha, C.J.; De Souza, E.L.; de Brito Alves, J.L. Limosilactobacillus fermentum Strains with Claimed Probiotic Properties Exert Anti-oxidant and Anti-inflammatory Properties and Prevent Cardiometabolic Disorder in Female Rats Fed a High-Fat Diet. Probiotics Antimicrob. Proteins 2023, 15, 601–613. [Google Scholar] [CrossRef]



| Parameters | C | Cd | T-Se | T-Pe | T-Pu | F | p-Value |
|---|---|---|---|---|---|---|---|
| Weight gain (g) | 21 ± 3.2 | 9.5 ± 2.8 | 8.0 ± 2.9 | 4.5 ± 2.3 | 8 ± 2.0 | 5.56 | 0.003 |
| Food intake (g/day) | 32 ± 2.1 | 26 ± 3.0 | 18 ± 3.0 | 26 ± 3.3 | 27 ± 2.0 | 3.37 | 0.02 |
| Diuresis (ml/day) | 10 ± 1.1 | 9.8 ± 1.0 | 7.3 ± 2.4 | 13.3 ± 2.9 | 10 ± 1.8 | 1.15 | 0.35 |
| Groups | Tubular Cell Enlargement | Inflammation | Tubular Dilation | Necrosis of the Epithelium | Hyperemia | Glomerular Hypercellularity |
|---|---|---|---|---|---|---|
| C | - | - | - | - | - | - |
| Cd | +++ | +++ | ++ | + | + | +++ |
| T-Se | - | - | - | - | - | - |
| T-Pe | - | - | + | - | - | - |
| T-Pu | - | - | - | - | + | - |
Disclaimer/Publisher’s Note: The statements, opinions and data contained in all publications are solely those of the individual author(s) and contributor(s) and not of MDPI and/or the editor(s). MDPI and/or the editor(s) disclaim responsibility for any injury to people or property resulting from any ideas, methods, instructions or products referred to in the content. |
© 2024 by the authors. Licensee MDPI, Basel, Switzerland. This article is an open access article distributed under the terms and conditions of the Creative Commons Attribution (CC BY) license (https://creativecommons.org/licenses/by/4.0/).
Share and Cite
Serquiz, A.C.; Barros Gomes, J.d.A.d.C.; Farias, N.B.d.S.; Mafra, D.; Pereira de Lima, P.M.; de Oliveira Coutinho, D.; Ribeiro, F.P.B.; Rocha, H.A.d.O.; de Brito Alves, J.L. Protective Effects of Annona Atemoya Extracts on Inflammation, Oxidative Stress, and Renal Function in Cadmium-Induced Nephrotoxicity in Wistar Rats. Pharmaceuticals 2024, 17, 1393. https://doi.org/10.3390/ph17101393
Serquiz AC, Barros Gomes JdAdC, Farias NBdS, Mafra D, Pereira de Lima PM, de Oliveira Coutinho D, Ribeiro FPB, Rocha HAdO, de Brito Alves JL. Protective Effects of Annona Atemoya Extracts on Inflammation, Oxidative Stress, and Renal Function in Cadmium-Induced Nephrotoxicity in Wistar Rats. Pharmaceuticals. 2024; 17(10):1393. https://doi.org/10.3390/ph17101393
Chicago/Turabian StyleSerquiz, Alexandre Coelho, Joana de Angelis da Costa Barros Gomes, Naisandra Bezerra da Silva Farias, Denise Mafra, Pietra Maria Pereira de Lima, Daniella de Oliveira Coutinho, Fernanda Priscila Barbosa Ribeiro, Hugo Alexandre de Oliveira Rocha, and José Luiz de Brito Alves. 2024. "Protective Effects of Annona Atemoya Extracts on Inflammation, Oxidative Stress, and Renal Function in Cadmium-Induced Nephrotoxicity in Wistar Rats" Pharmaceuticals 17, no. 10: 1393. https://doi.org/10.3390/ph17101393
APA StyleSerquiz, A. C., Barros Gomes, J. d. A. d. C., Farias, N. B. d. S., Mafra, D., Pereira de Lima, P. M., de Oliveira Coutinho, D., Ribeiro, F. P. B., Rocha, H. A. d. O., & de Brito Alves, J. L. (2024). Protective Effects of Annona Atemoya Extracts on Inflammation, Oxidative Stress, and Renal Function in Cadmium-Induced Nephrotoxicity in Wistar Rats. Pharmaceuticals, 17(10), 1393. https://doi.org/10.3390/ph17101393

