Integrated Sample to Detection of Carbapenem-Resistant Bacteria Extracted from Water Samples Using a Portable Gold Nanoparticle-Based Biosensor
Abstract
1. Introduction
2. Materials and Methods
2.1. Materials
2.2. Bacterial Cultures
2.3. Oligonucleotide Probe Design and PCR Verification
| CR Gene | Probe or Primer Sequence (5′ to 3′) | Amplicon Length (bp) | Tm (°C) | Source |
|---|---|---|---|---|
| blaNDM-1 | Probe: CAACACAGCCTGACTTTCGCCGCCAATGGCTGGGTCGAACCAGCAACCGC | 50 | 74.4 | [58] |
| F-primer: CAGCACACTTCCTATCTC | 18 | 49.5 | [55] | |
| R-primer: GTAGTGCTCAGTGTCGGCAT | 20 | 57.2 | [55] | |
| blaOXA-1 | Probe: CGATGCATCCACAAACGCTGAAATTGCTCAATTCAATAAAGCAAAGTGTG | 50 | 66.2 | [58] |
| F-primer: ATATCTCTACTGTTGCATCTCC | 22 | 59.3 | [56] | |
| R-primer: AAACCCTTCAAACCATCC | 18 | 57.5 | [56] | |
| blaKPC-3 | Probe: CGGTGTGTACGCGATGGATACCGGCTCAGGCGCAACTGTAAGTTACCGCGCTGAGGA GCG | 60 | 74.0 | This study |
| F-primer: CGGTGTGTACGCGATGGATA | 20 | 56.9 | [57] | |
| R-primer: TCCGGTTTTGTCTCCGACTG | 20 | 57.1 | [57] |
2.4. DNA Extraction Method
2.5. Biosensor Design and Principle
2.6. GNP Synthesis
2.7. Limit of Detection in Pure Cultures
2.8. Magnetic Nanoparticles for Bacterial Concentration
2.9. Zeta Potential for MNP and Bacterial Characterization
2.10. Multi-Probe, Portable Detection for MNP-Captured Cells
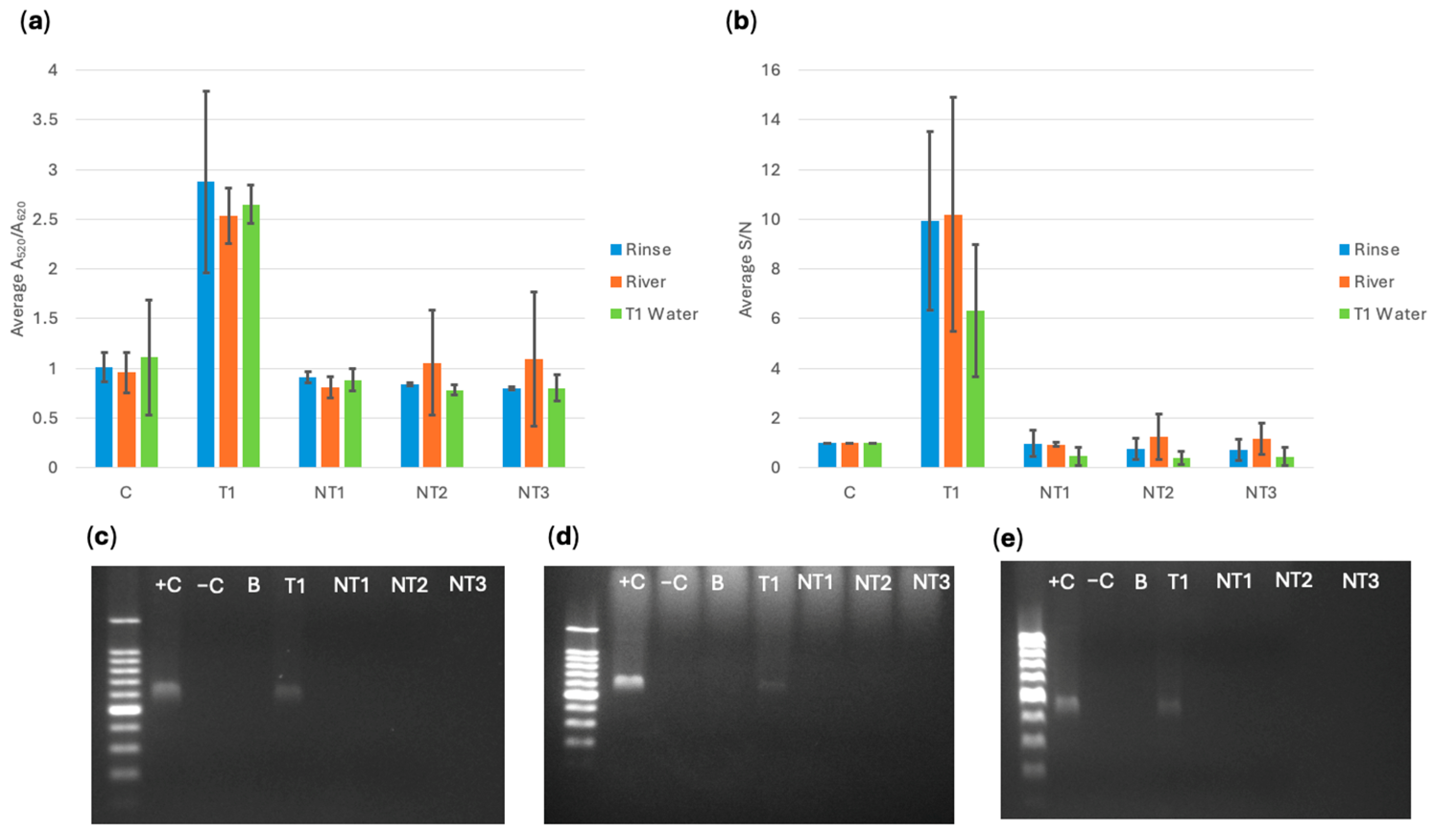
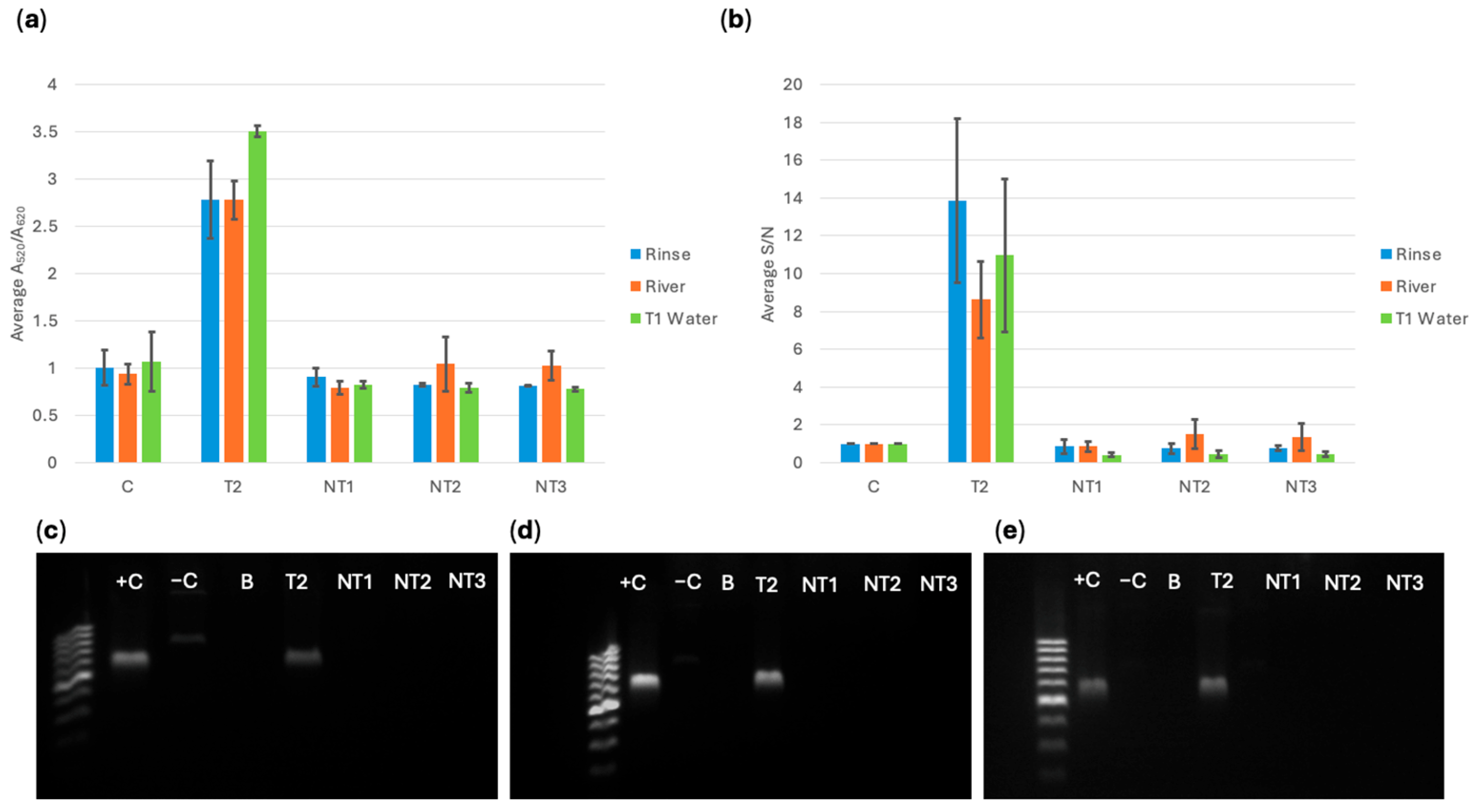
3. Results
3.1. Optimization and Limit of Detection in Pure Cultures
3.2. MNP Bacterial Capture
3.3. Zeta Potential Measurements for E. coli and MNPs
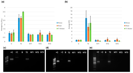
3.4. Detection of MNP-Captured Cells
4. Discussion
5. Conclusions
Author Contributions
Funding
Data Availability Statement
Acknowledgments
Conflicts of Interest
References
- Goldmann, D.; Rajan, S.; Udayakumar, K. Preventing and Controlling Global Antimicrobial Resistance—Implementing a Whole-System Approach. N. Engl. J. Med. 2024, 391, 681–685. [Google Scholar] [CrossRef]
- World Health Organization. Antimicrobial Resistance; World Health Organization: Geneva, Switzerland, 2023. [Google Scholar]
- Ayukekbong, J.A.; Ntemgwa, M.; Atabe, A.N. The Threat of Antimicrobial Resistance in Developing Countries: Causes and Control Strategies. Antimicrob. Resist. Infect. Control 2017, 6, 47. [Google Scholar] [CrossRef] [PubMed]
- Kamalo, P.; Iroh Tam, P.-Y.; Noniwa, T.; Mpanga, C.; Mulambia, C.; Phiri, E.; Kumwenda, D.; Phillipo, E.; Lissauer, S.; Kulapani, D.; et al. Antimicrobial Resistance Control Activities at a Tertiary Hospital in a Low-Resource Setting: An Example of Queen Elizabeth Central Hospital in Malawi. Front. Antibiot. 2023, 2, 1202256. [Google Scholar] [CrossRef] [PubMed]
- Ombelet, S.; Ronat, J.-B.; Walsh, T.; Yansouni, C.P.; Cox, J.; Vlieghe, E.; Martiny, D.; Semret, M.; Vandenberg, O.; Jacobs, J.; et al. Clinical Bacteriology in Low-Resource Settings: Today’s Solutions. Lancet Infect. Dis. 2018, 18, e248–e258. [Google Scholar] [CrossRef]
- Iskandar, K.; Molinier, L.; Hallit, S.; Sartelli, M.; Hardcastle, T.C.; Haque, M.; Lugova, H.; Dhingra, S.; Sharma, P.; Islam, S.; et al. Surveillance of Antimicrobial Resistance in Low- and Middle-Income Countries: A Scattered Picture. Antimicrob. Resist. Infect. Control 2021, 10, 63. [Google Scholar] [CrossRef]
- Gandra, S.; Alvarez-Uria, G.; Turner, P.; Joshi, J.; Limmathurotsakul, D.; Van Doorn, H.R. Antimicrobial Resistance Surveillance in Low- and Middle-Income Countries: Progress and Challenges in Eight South Asian and Southeast Asian Countries. Clin. Microbiol. Rev. 2020, 33, e00048-19. [Google Scholar] [CrossRef]
- Needs, S.H.; Donmez, S.I.; Bull, S.P.; McQuaid, C.; Osborn, H.M.I.; Edwards, A.D. Challenges in Microfluidic and Point-of-Care Phenotypic Antimicrobial Resistance Tests. Front. Mech. Eng. 2020, 6, 73. [Google Scholar] [CrossRef]
- Seale, A.C.; Gordon, N.C.; Islam, J.; Peacock, S.J.; Scott, J.A.G. AMR Surveillance in Low and Middle-Income Settings—A Roadmap for Participation in the Global Antimicrobial Surveillance System (GLASS). Wellcome Open Res. 2017, 2, 92. [Google Scholar] [CrossRef]
- Yusuff, S.I.; Tajudeen, Y.A.; Oladunjoye, I.O.; Oladipo, H.J.; Bolarinwa, O.V.; Popoola, O.T.; Ahmed, A.F.; Olana, M.D. The Need to Increase Antimicrobial Resistance Surveillance among Forcibly Displaced Persons (FDPs). Trop. Dis. Travel Med. Vaccines 2023, 9, 12. [Google Scholar] [CrossRef] [PubMed]
- Yamin, D.; Uskoković, V.; Wakil, A.; Goni, M.; Shamsuddin, S.; Mustafa, F.; Alfouzan, W.; Alissa, M.; Alshengeti, A.; Almaghrabi, R.; et al. Current and Future Technologies for the Detection of Antibiotic-Resistant Bacteria. Diagnostics 2023, 13, 3246. [Google Scholar] [CrossRef]
- Hermans, L.E.; Centner, C.M.; Morel, C.M.; Mbamalu, O.; Bonaconsa, C.; Ferreyra, C.; Lindahl, O.; Mendelson, M. Point-of-Care Diagnostics for Infection and Antimicrobial Resistance in Sub-Saharan Africa: A Narrative Review. Int. J. Infect. Dis. 2024, 142, 106907. [Google Scholar] [CrossRef]
- Lim, C.; Ashley, E.A.; Hamers, R.L.; Turner, P.; Kesteman, T.; Akech, S.; Corso, A.; Mayxay, M.; Okeke, I.N.; Limmathurotsakul, D.; et al. Surveillance Strategies Using Routine Microbiology for Antimicrobial Resistance in Low- and Middle-Income Countries. Clin. Microbiol. Infect. 2021, 27, 1391–1399. [Google Scholar] [CrossRef]
- Ronat, J.-B.; Natale, A.; Kesteman, T.; Andremont, A.; Elamin, W.; Hardy, L.; Kanapathipillai, R.; Michel, J.; Langendorf, C.; Vandenberg, O.; et al. AMR in Low-Resource Settings: Médecins Sans Frontières Bridges Surveillance Gaps by Developing a Turnkey Solution, the Mini-Lab. Clin. Microbiol. Infect. 2021, 27, 1414–1421. [Google Scholar] [CrossRef]
- Feng, S.; Tseng, D.; Di Carlo, D.; Garner, O.B.; Ozcan, A. High-Throughput and Automated Diagnosis of Antimicrobial Resistance Using a Cost-Effective Cellphone-Based Micro-Plate Reader. Sci. Rep. 2016, 6, 39203. [Google Scholar] [CrossRef] [PubMed]
- Pascucci, M.; Royer, G.; Adamek, J.; Asmar, M.A.; Aristizabal, D.; Blanche, L.; Bezzarga, A.; Boniface-Chang, G.; Brunner, A.; Curel, C.; et al. AI-Based Mobile Application to Fight Antibiotic Resistance. Nat. Commun. 2021, 12, 1173. [Google Scholar] [CrossRef] [PubMed]
- Ding, Y.; Chen, J.; Wu, Q.; Fang, B.; Ji, W.; Li, X.; Yu, C.; Wang, X.; Cheng, X.; Yu, H.; et al. Artificial Intelligence-assisted Point-of-care Testing System for Ultrafast and Quantitative Detection of Drug-resistant Bacteria. SmartMat 2024, 5, e1214. [Google Scholar] [CrossRef]
- Gashaw, M.; Gudina, E.K.; Ali, S.; Gabriele, L.; Seeholzer, T.; Alemu, B.; Froeschl, G.; Kroidl, A.; Wieser, A. Molecular Characterization of Carbapenem-Resistance in Gram-Negative Isolates Obtained from Clinical Samples at Jimma Medical Center, Ethiopia. Front. Microbiol. 2024, 15, 1336387. [Google Scholar] [CrossRef]
- Ma, J.; Song, X.; Li, M.; Yu, Z.; Cheng, W.; Yu, Z.; Zhang, W.; Zhang, Y.; Shen, A.; Sun, H.; et al. Global Spread of Carbapenem-Resistant Enterobacteriaceae: Epidemiological Features, Resistance Mechanisms, Detection and Therapy. Microbiol. Res. 2023, 266, 127249. [Google Scholar] [CrossRef]
- Stefaniak, K.; Kiedrzyński, M.; Korzeniewska, E.; Kiedrzyńska, E.; Harnisz, M. Preliminary Insights on Carbapenem Resistance in Enterobacteriaceae in High-Income and Low-/Middle-Income Countries. Sci. Total Environ. 2024, 957, 177593. [Google Scholar] [CrossRef]
- WHO. WHO Publishes List of Bacteria for Which New Antibiotics Are Urgently Needed; World Health Organization: Geneva, Switzerland, 2017. [Google Scholar]
- Meletis, G. Carbapenem Resistance: Overview of the Problem and Future Perspectives. Ther. Adv. Infect. Dis. 2016, 3, 15–21. [Google Scholar] [CrossRef]
- Egorov, A.M.; Ulyashova, M.M.; Rubtsova, M.Y. Bacterial Enzymes and Antibiotic Resistance. Acta Naturae 2018, 10, 33–48. [Google Scholar] [CrossRef]
- Partridge, S.R.; Kwong, S.M.; Firth, N.; Jensen, S.O. Mobile Genetic Elements Associated with Antimicrobial Resistance. Clin. Microbiol. Rev. 2018, 31, e00088-17. [Google Scholar] [CrossRef]
- Codjoe, F.; Donkor, E. Carbapenem Resistance: A Review. Med. Sci. 2017, 6, 1. [Google Scholar] [CrossRef]
- Hussain, H.I.; Aqib, A.I.; Seleem, M.N.; Shabbir, M.A.; Hao, H.; Iqbal, Z.; Kulyar, M.F.-A.; Zaheer, T.; Li, K. Genetic Basis of Molecular Mechanisms in β-Lactam Resistant Gram-Negative Bacteria. Microb. Pathog. 2021, 158, 105040. [Google Scholar] [CrossRef]
- Lerminiaux, N.; Mitchell, R.; Bartoszko, J.; Davis, I.; Ellis, C.; Fakharuddin, K.; Hota, S.S.; Katz, K.; Kibsey, P.; Leis, J.A.; et al. Plasmid Genomic Epidemiology of blaKPC Carbapenemase-Producing Enterobacterales in Canada, 2010–2021. Antimicrob. Agents Chemother. 2023, 67, e0086023. [Google Scholar] [CrossRef]
- Pesesky, M.W.; Hussain, T.; Wallace, M.; Wang, B.; Andleeb, S.; Burnham, C.-A.D.; Dantas, G. KPC and NDM-1 Genes in Related Enterobacteriaceae Strains and Plasmids from Pakistan and the United States. Emerg. Infect. Dis. 2015, 21, 1034–1037. [Google Scholar] [CrossRef]
- Feng, Y.; Xue, G.; Feng, J.; Yan, C.; Cui, J.; Gan, L.; Zhang, R.; Zhao, H.; Xu, W.; Li, N.; et al. Rapid Detection of New Delhi Metallo-β-Lactamase Gene Using Recombinase-Aided Amplification Directly on Clinical Samples From Children. Front. Microbiol. 2021, 12, 691289. [Google Scholar] [CrossRef]
- Yao, Y.; Imirzalioglu, C.; Falgenhauer, L.; Falgenhauer, J.; Heinmüller, P.; Domann, E.; Chakraborty, T. Plasmid-Mediated Spread of Carbapenem Resistance in Enterobacterales: A Three-Year Genome-Based Survey. Antibiotics 2024, 13, 682. [Google Scholar] [CrossRef] [PubMed]
- Jinks, T.; Subramaniam, S.; Bassetti, M.; Gales, A.C.; Kullar, R.; Metersky, M.L.; Poojary, A.; Seifert, H.; Warrier, A.; Flayhart, D.; et al. Opportunities to Enhance Diagnostic Testing and Antimicrobial Stewardship: A Qualitative Multinational Survey of Healthcare Professionals. Infect. Dis. Ther. 2024, 13, 1621–1637. [Google Scholar] [CrossRef] [PubMed]
- Abramova, A.; Berendonk, T.U.; Bengtsson-Palme, J. A Global Baseline for qPCR-Determined Antimicrobial Resistance Gene Prevalence across Environments. Environ. Int. 2023, 178, 108084. [Google Scholar] [CrossRef]
- Galhano, B.S.P.; Ferrari, R.G.; Panzenhagen, P.; de Jesus, A.C.S.; Conte-Junior, C.A. Antimicrobial Resistance Gene Detection Methods for Bacteria in Animal-Based Foods: A Brief Review of Highlights and Advantages. Microorganisms 2021, 9, 923. [Google Scholar] [CrossRef]
- Sahoo, R.; Jadhav, S.; Nema, V. Journey of Technological Advancements in the Detection of Antimicrobial Resistance. J. Formos. Med. Assoc. 2024, 123, 430–441. [Google Scholar] [CrossRef] [PubMed]
- Bankole, O.E.; Verma, D.K.; Chávez González, M.L.; Ceferino, J.G.; Sandoval-Cortés, J.; Aguilar, C.N. Recent Trends and Technical Advancements in Biosensors and Their Emerging Applications in Food and Bioscience. Food Biosci. 2022, 47, 101695. [Google Scholar] [CrossRef]
- de Araujo, W.R.; Lukas, H.; Torres, M.D.T.; Gao, W.; de la Fuente-Nunez, C. Low-Cost Biosensor Technologies for Rapid Detection of COVID-19 and Future Pandemics. ACS Nano 2024, 18, 1757–1777. [Google Scholar] [CrossRef]
- Mao, K.; Zhang, H.; Ran, F.; Cao, H.; Feng, R.; Du, W.; Li, X.; Yang, Z. Portable Biosensor Combining CRISPR/Cas12a and Loop-Mediated Isothermal Amplification for Antibiotic Resistance Gene ermB in Wastewater. J. Hazard. Mater. 2024, 462, 132793. [Google Scholar] [CrossRef]
- Zhou, J.; Huang, J.; Huang, H.; Zhao, C.; Zou, M.; Liu, D.; Weng, X.; Liu, L.; Qu, J.; Liu, L.; et al. Fiber-Integrated Cantilever-Based Nanomechanical Biosensors as a Tool for Rapid Antibiotic Susceptibility Testing. Biomed. Opt. Express 2023, 14, 1862. [Google Scholar] [CrossRef]
- Kulshreshtha, N.M.; Shrivastava, D.; Bisen, P.S. Contaminant Sensors: Nanotechnology-Based Contaminant Sensors. In Nanobiosensors; Elsevier: Amsterdam, The Netherlands, 2017; pp. 573–628. ISBN 978-0-12-804301-1. [Google Scholar]
- Singh, S.; Numan, A.; Cinti, S. Point-of-Care for Evaluating Antimicrobial Resistance through the Adoption of Functional Materials. Anal. Chem. 2022, 94, 26–40. [Google Scholar] [CrossRef]
- Magnano San Lio, R.; Barchitta, M.; Maugeri, A.; La Rosa, M.C.; Favara, G.; Agodi, A. Updates on Developing and Applying Biosensors for the Detection of Microorganisms, Antimicrobial Resistance Genes and Antibiotics: A Scoping Review. Front. Public Health 2023, 11, 1240584. [Google Scholar] [CrossRef] [PubMed]
- Fouz, N.; Pangesti, K.N.A.; Yasir, M.; Al-Malki, A.L.; Azhar, E.I.; Hill-Cawthorne, G.A.; Abd El Ghany, M. The Contribution of Wastewater to the Transmission of Antimicrobial Resistance in the Environment: Implications of Mass Gathering Settings. Trop. Med. Infect. Dis. 2020, 5, 33. [Google Scholar] [CrossRef]
- Caliskan-Aydogan, O.; Sharief, S.A.; Alocilja, E.C. Rapid Isolation of Low-Level Carbapenem-Resistant E. Coli from Water and Foods Using Glycan-Coated Magnetic Nanoparticles. Biosensors 2023, 13, 902. [Google Scholar] [CrossRef]
- Hammami, I.; Alabdallah, N.M.; Jomaa, A.A.; Kamoun, M. Gold Nanoparticles: Synthesis Properties and Applications. J. King Saud Univ.-Sci. 2021, 33, 101560. [Google Scholar] [CrossRef]
- Saha, K.; Agasti, S.S.; Kim, C.; Li, X.; Rotello, V.M. Gold Nanoparticles in Chemical and Biological Sensing. Chem. Rev. 2012, 112, 2739–2779. [Google Scholar] [CrossRef] [PubMed]
- Ahirwar, R.; Nahar, P. Development of a Label-Free Gold Nanoparticle-Based Colorimetric Aptasensor for Detection of Human Estrogen Receptor Alpha. Anal. Bioanal. Chem. 2016, 408, 327–332. [Google Scholar] [CrossRef] [PubMed]
- Zhou, M.; Li, J.; Yuan, S.; Yang, X.; Lu, J.; Jiang, B. A Centrifugal Microfluidic System for Automated Detection of Multiple Heavy Metal Ions by Aptamer-Based Colorimetric Assay. Sens. Actuators B Chem. 2024, 403, 135210. [Google Scholar] [CrossRef]
- Franco, A.J.; Alocilja, E. Adsorption Studies of Salmonella Enteritidis and Escherichia Coli on Chitosan-Coated Magnetic Nanoparticles. Cells 2025, 14, 225. [Google Scholar] [CrossRef]
- Stevens, K.A.; Jaykus, L.-A. Bacterial Separation and Concentration from Complex Sample Matrices: A Review. Crit. Rev. Microbiol. 2004, 30, 7–24. [Google Scholar] [CrossRef] [PubMed]
- Jimenez-Carretero, M.; Rodríguez-López, J.; Ropero-Moreno, C.; Granada, J.; Delgado-Martín, J.; Martinez-Bueno, M.; Fernandez-Vivas, A.; Jimenez-Lopez, C. Biomimetic Magnetic Nanoparticles for Bacterial Magnetic Concentration in Liquids and qPCR-Detection. Food Control 2023, 147, 109623. [Google Scholar] [CrossRef]
- Dester, E.; Alocilja, E. Current Methods for Extraction and Concentration of Foodborne Bacteria with Glycan-Coated Magnetic Nanoparticles: A Review. Biosensors 2022, 12, 112. [Google Scholar] [CrossRef]
- Boodoo, C.; Dester, E.; David, J.; Patel, V.; Kc, R.; Alocilja, E.C. Multi-Probe Nano-Genomic Biosensor to Detect S. Aureus from Magnetically-Extracted Food Samples. Biosensors 2023, 13, 608. [Google Scholar] [CrossRef]
- Sharief, S.A.; Caliskan-Aydogan, O.; Alocilja, E. Carbohydrate-Coated Magnetic and Gold Nanoparticles for Point-of-Use Food Contamination Testing. Biosens. Bioelectron. X 2023, 13, 100322. [Google Scholar] [CrossRef]
- Bhusal, N.; Shrestha, S.; Pote, N.; Alocilja, E.C. Nanoparticle-Based Biosensing of Tuberculosis, an Affordable and Practical Alternative to Current Methods. Biosensors 2018, 9, 1. [Google Scholar] [CrossRef] [PubMed]
- Gautam, S.; Bhattarai, N.R.; Rai, K.; Poudyal, A.; Khanal, B. Detection of Bla NDM-1 Encoding Imepenemase among the Imipenem-Resistant Gram-Negative Bacilli Isolated from Various Clinical Samples at a Tertiary Care Hospital of Eastern Nepal: A Descriptive Cross-Sectional Study. Int. J. Microbiol. 2020, 2020, 8861204. [Google Scholar] [CrossRef] [PubMed]
- Colom, K.; Perez, J.; Alonso, R.; Fernandez-Aranguiz, A.; Larino, E.; Cisterna, R. Simple and Reliable Multiplex PCR Assay for Detection of blaTEM, blaSHV and blaOXA-1 Genes in Enterobacteriaceae. FEMS Microbiol. Lett. 2003, 223, 147–151. [Google Scholar] [CrossRef]
- Poirel, L.; Walsh, T.R.; Cuvillier, V.; Nordmann, P. Multiplex PCR for Detection of Acquired Carbapenemase Genes. Diagn. Microbiol. Infect. Dis. 2011, 70, 119–123. [Google Scholar] [CrossRef]
- Kao, K.; Alocilja, E.C. Parallel Detection of the Unamplified Carbapenem Resistance Genes blaNDM-1 and blaOXA-1 Using a Plasmonic Nano-Biosensor with a Field-Portable DNA Extraction Method. Biosensors 2025, 15, 112. [Google Scholar] [CrossRef]
- Huang, X.; El-Sayed, M.A. Gold Nanoparticles: Optical Properties and Implementations in Cancer Diagnosis and Photothermal Therapy. J. Adv. Res. 2010, 1, 13–28. [Google Scholar] [CrossRef]
- Catanzaro, L.; Scardaci, V.; Scuderi, M.; Condorelli, M.; D’Urso, L.; Compagnini, G. Surface Plasmon Resonance of Gold Nanoparticle Aggregates Induced by Halide Ions. Mater. Chem. Phys. 2023, 308, 128245. [Google Scholar] [CrossRef]
- Fernández-Ponce, C.; Muñoz-Miranda, J.P.; De Los Santos, D.M.; Aguado, E.; García-Cozar, F.; Litrán, R. Influence of Size and Surface Capping on Photoluminescence and Cytotoxicity of Gold Nanoparticles. J. Nanoparticle Res. 2018, 20, 305. [Google Scholar] [CrossRef]
- Anderson, M.J.; Torres-Chavolla, E.; Castro, B.A.; Alocilja, E.C. One Step Alkaline Synthesis of Biocompatible Gold Nanoparticles Using Dextrin as Capping Agent. J. Nanoparticle Res. 2011, 13, 2843–2851. [Google Scholar] [CrossRef]
- Boodoo, C.; Dester, E.; Asadullah Sharief, S.; Alocilja, E.C. Influence of Biological and Environmental Factors in the Extraction and Concentration of Foodborne Pathogens Using Glycan-Coated Magnetic Nanoparticles. J. Food Prot. 2023, 86, 100066. [Google Scholar] [CrossRef]
- Selvamani, V. Stability Studies on Nanomaterials Used in Drugs. In Characterization and Biology of Nanomaterials for Drug Delivery; Elsevier: Amsterdam, The Netherlands, 2019; pp. 425–444. ISBN 978-0-12-814031-4. [Google Scholar]
- Li, Z.; Ma, J.; Ruan, J.; Zhuang, X. Using Positively Charged Magnetic Nanoparticles to Capture Bacteria at Ultralow Concentration. Nanoscale Res. Lett. 2019, 14, 195. [Google Scholar] [CrossRef]
- Briceno, R.K.; Sergent, S.R.; Benites, S.M.; Alocilja, E.C. Nanoparticle-Based Biosensing Assay for Universally Accessible Low-Cost TB Detection with Comparable Sensitivity as Culture. Diagnostics 2019, 9, 222. [Google Scholar] [CrossRef] [PubMed]
- Kiuchi, K. Rapid Alkaline Methylene Blue Supravital Staining for Assessment of Anterior Segment Infections. Clin. Ophthalmol. 2016, 10, 1971–1975. [Google Scholar] [CrossRef]
- Zada, L.; Anwar, S.; Imtiaz, S.; Saleem, M.; Shah, A.A. In Vitro Study: Methylene Blue-Based Antibacterial Photodynamic Inactivation of Pseudomonas Aeruginosa. Appl. Microbiol. Biotechnol. 2024, 108, 169. [Google Scholar] [CrossRef]
- Breijyeh, Z.; Jubeh, B.; Karaman, R. Resistance of Gram-Negative Bacteria to Current Antibacterial Agents and Approaches to Resolve It. Molecules 2020, 25, 1340. [Google Scholar] [CrossRef]
- Reygaert, W.C. An Overview of the Antimicrobial Resistance Mechanisms of Bacteria. AIMS Microbiol. 2018, 4, 482–501. [Google Scholar] [CrossRef]
- Abdou Mohamed, M.A.; Kozlowski, H.N.; Kim, J.; Zagorovsky, K.; Kantor, M.; Feld, J.J.; Mubareka, S.; Mazzulli, T.; Chan, W.C.W. Diagnosing Antibiotic Resistance Using Nucleic Acid Enzymes and Gold Nanoparticles. ACS Nano 2021, 15, 9379–9390. [Google Scholar] [CrossRef]
- Bianco, G.; Boattini, M.; Van Asten, S.A.V.; Iannaccone, M.; Zanotto, E.; Zaccaria, T.; Bernards, A.T.; Cavallo, R.; Costa, C. RESIST-5 O.O.K.N.V. and NG-Test Carba 5 Assays for the Rapid Detection of Carbapenemase-Producing Enterobacterales from Positive Blood Cultures: A Comparative Study. J. Hosp. Infect. 2020, 105, 162–166. [Google Scholar] [CrossRef] [PubMed]
- Zhao, X.; Bhat, A.; O’Connor, C.; Curtin, J.; Singh, B.; Tian, F. Review of Detection Limits for Various Techniques for Bacterial Detection in Food Samples. Nanomaterials 2024, 14, 855. [Google Scholar] [CrossRef]
- Macrì, M.; Bonetta, S.; Di Cesare, A.; Sabatino, R.; Corno, G.; Catozzo, M.; Pignata, C.; Mecarelli, E.; Medana, C.; Carraro, E.; et al. Antibiotic Resistance and Pathogen Spreading in a Wastewater Treatment Plant Designed for Wastewater Reuse. Environ. Pollut. 2024, 363, 125051. [Google Scholar] [CrossRef] [PubMed]
- Thamlikitkul, V.; Tiengrim, S.; Thamthaweechok, N.; Buranapakdee, P.; Chiemchaisri, W. Contamination by Antibiotic-Resistant Bacteria in Selected Environments in Thailand. Int. J. Environ. Res. Public Health 2019, 16, 3753. [Google Scholar] [CrossRef] [PubMed]














| Bacteria | Sample | Average Concentration Factor (n = 3) | Average Capture Efficiency % (n = 3) |
|---|---|---|---|
| E. coli BAA-2340 | Type 1 Water | 16.97 | 89.92 |
| River Water | 1.75 | 49.47 | |
| Turkey Rinse | 1.15 | 47.03 | |
| E. coli BAA-2471 | Type 1 Water | 0.43 | 47.61 |
| River Water | 0.10 | 36.29 | |
| Turkey Rinse | 0.26 | 44.57 | |
| E. coli C-3000 | Type 1 Water | 18.30 | 83.69 |
| River Water | 2.70 | 74.61 | |
| Turkey Rinse | 1.72 | 61.57 | |
| E. cloacae | Type 1 Water | 14.85 | 78.09 |
| River Water | 7.36 | 85.28 | |
| Turkey Rinse | 1.14 | 52.09 | |
| S. aureus | Type 1 Water | 17.18 | 85.26 |
| River Water | 4.51 | 75.24 | |
| Turkey Rinse | 2.93 | 69.67 |
| Gene | Bacteria | Accession Number | Alignment % | Coverage % | E-Value | Isolation Source |
|---|---|---|---|---|---|---|
| blaKPC | E. coli | MF772496 | 100 | 100 | Urine culture | |
| NG_244524 | Respiratory sample | |||||
| K. pneumoniae | NG_049250 | Sputum sample | ||||
| NG_074720 | Pus sample | |||||
| KU216748 | ||||||
| P. aeruginosa | PV103221 | Sputum sample | ||||
| PP784157 | Blood culture | |||||
| OM317762 | Drainage | |||||
| MK463614 | Water effluent | |||||
| blaNDM-1 | E. coli | MN701975 | 100 | 100 | Canine clinical samples | |
| KT749876 | Hospital effluent | |||||
| PV022994 | Rectal swab | |||||
| K. pneumoniae | KX218441 | Aspirate sample | ||||
| CP095585 | Blood culture | |||||
| P. aeruginosa | CP020703 | Sputum | ||||
| MF356396 | Urine sample | |||||
| CP194170 | Abscess sample | |||||
| blaOXA-1 | E. coli | CP056470 | 100 | 100 | Wastewater treatment effluent | |
| OL582571 | Bovine milk | |||||
| CP047662 | Fecal sample | |||||
| K. pneumoniae | PV075138 | Urine culture | ||||
| CP120891 | Blood sample | |||||
| P. aeruginosa | CP040126 | Fecal sample | ||||
| CP030913 | Sputum sample | |||||
| CP114762 | Blood sample |
Disclaimer/Publisher’s Note: The statements, opinions and data contained in all publications are solely those of the individual author(s) and contributor(s) and not of MDPI and/or the editor(s). MDPI and/or the editor(s) disclaim responsibility for any injury to people or property resulting from any ideas, methods, instructions or products referred to in the content. |
© 2025 by the authors. Licensee MDPI, Basel, Switzerland. This article is an open access article distributed under the terms and conditions of the Creative Commons Attribution (CC BY) license (https://creativecommons.org/licenses/by/4.0/).
Share and Cite
Kao, K.; Alocilja, E.C. Integrated Sample to Detection of Carbapenem-Resistant Bacteria Extracted from Water Samples Using a Portable Gold Nanoparticle-Based Biosensor. Sensors 2025, 25, 5293. https://doi.org/10.3390/s25175293
Kao K, Alocilja EC. Integrated Sample to Detection of Carbapenem-Resistant Bacteria Extracted from Water Samples Using a Portable Gold Nanoparticle-Based Biosensor. Sensors. 2025; 25(17):5293. https://doi.org/10.3390/s25175293
Chicago/Turabian StyleKao, Kaily, and Evangelyn C. Alocilja. 2025. "Integrated Sample to Detection of Carbapenem-Resistant Bacteria Extracted from Water Samples Using a Portable Gold Nanoparticle-Based Biosensor" Sensors 25, no. 17: 5293. https://doi.org/10.3390/s25175293
APA StyleKao, K., & Alocilja, E. C. (2025). Integrated Sample to Detection of Carbapenem-Resistant Bacteria Extracted from Water Samples Using a Portable Gold Nanoparticle-Based Biosensor. Sensors, 25(17), 5293. https://doi.org/10.3390/s25175293

