A Lateral Flow Assay for the Detection of Leptospira lipL32 Gene Using CRISPR Technology
Abstract
1. Introduction
2. Materials and Methods
2.1. Study Design
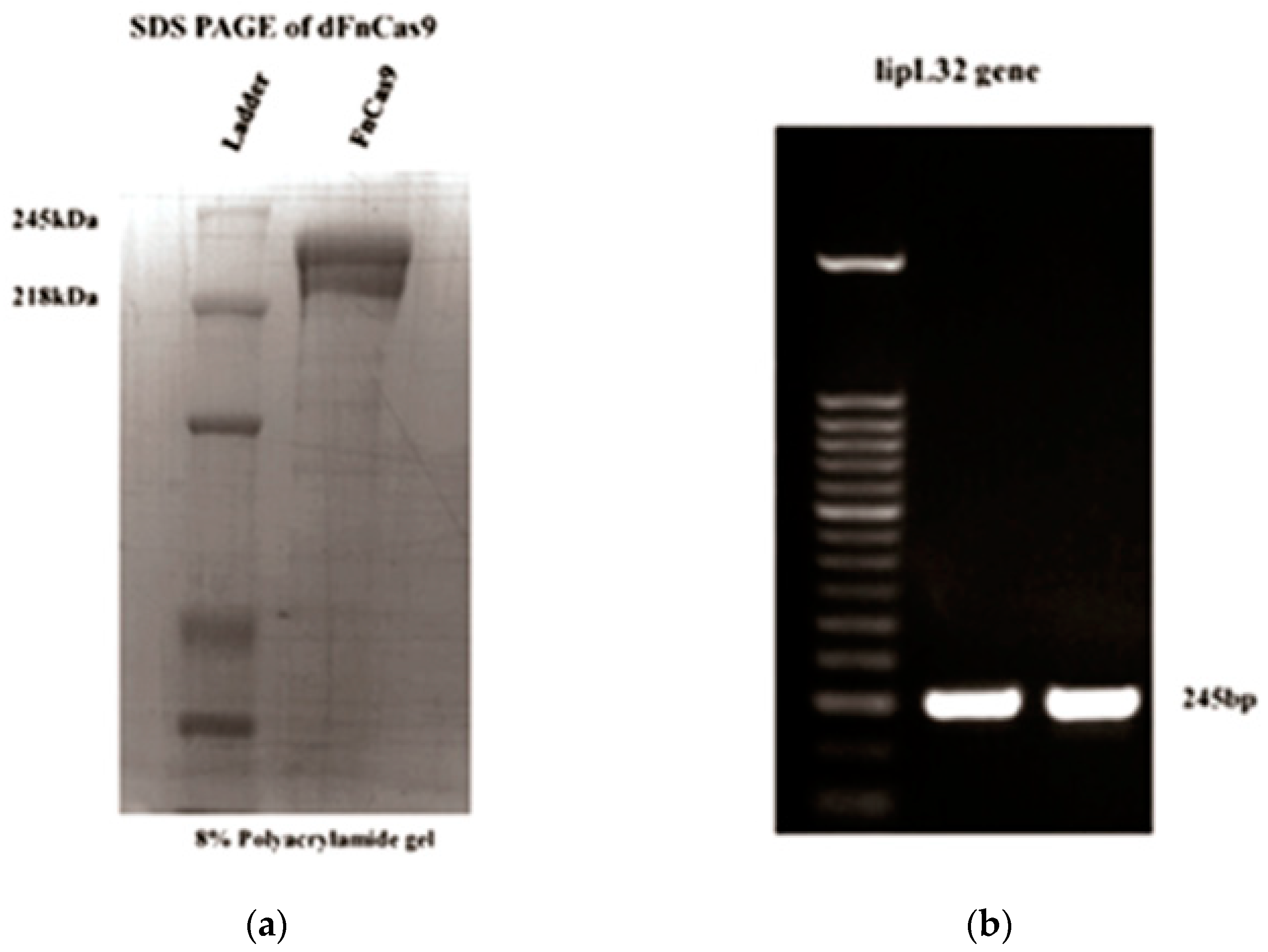
2.2. dFnCas9 Protein
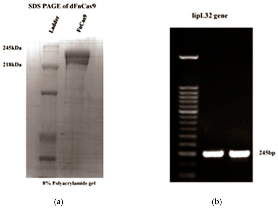
2.3. LipL32 Gene Detection PCR
2.4. Antibody Conjugation
2.5. Lateral Flow Immunoassay (LFIA)
2.6. Leptospira Standards and Samples
3. Results and Discussion
3.1. LFIA and Fluorescence Assay Validation with lipL32 Gene Leptospira Genomic DNA
3.2. Optimization
3.3. Analytical Performance
3.4. Specificity
4. Conclusions
Supplementary Materials
Author Contributions
Funding
Institutional Review Board Statement
Informed Consent Statement
Data Availability Statement
Acknowledgments
Conflicts of Interest
References
- Costa, F.; Hagan, J.E.; Calcagno, J.; Kane, M.; Torgerson, P.; Martinez-Silveira, M.S.; Stein, C.; Abela-Ridder, B.; Ko, A.I. Global morbidity and mortality of leptospirosis: A systematic review. PLoS Negl. Trop. Dis. 2015, 9, e0003898. [Google Scholar] [CrossRef] [PubMed]
- Torgerson, P.R.; Hagan, J.E.; Costa, F.; Calcagno, J.; Kane, M.; Martinez-Silveira, M.S.; Goris, M.G.A.; Stein, C.; Ko, A.I.; Abela-Ridder, B. Global burden of leptospirosis: Estimated in terms of disability adjusted life years. PLoS Negl. Trop. Dis. 2015, 9, e0004122. [Google Scholar] [CrossRef] [PubMed]
- Chin, V.K.; Lee, T.Y.; Lim, W.F.; Wan Shahriman, Y.W.Y.; Syafinaz, A.N.; Zamberi, S.; Maha, A. Leptospirosis in human: Biomarkers in host immune responses. Microbiol. Res. 2018, 207, 108–115. [Google Scholar]
- Musso, D.; La Scola, B. Laboratory diagnosis of leptospirosis: A challenge. J. Microbiol. Immunol. Infect. 2013, 46, 245–252. [Google Scholar] [CrossRef]
- Nilofar, R.; Fernando, N.; de Silva, N.L.; Karunanayake, L.; Wickremasinghe, H.; Dikmadugoda, N.; Premawansa, G.; Wickramashinghe, R.; de Silve, H.J.; Premawansa, S.; et al. Diagnosis of leptospirosis: Comparison between microscopic agglutination test, IgM-ELISA and IgM rapid immunochromatography test. PLoS ONE 2015, 10, e0129236. [Google Scholar]
- Nisansala, G.G.T.; Muthusinghe, D.; Gunasekara, T.D.C.P.; Weerasekera, M.M.; Fernando, S.S.N.; Ranasinghe, K.N.P.; Marasinghe, M.G.C.P.; Fernando, P.S.; Koizumi, N.; Gamage, C.D. Isolation and characterization of Leptospira interrogans from two patients with leptospirosis in Western Province, Sri Lanka. J. Med. Microbiol. 2018, 67, 1249–1252. [Google Scholar] [CrossRef] [PubMed]
- Pinne, M.; Haake, D. Immuno-fluorescence assay of leptospiral surface-exposed proteins. J. Vis. Exp. 2011, 53, 2805. [Google Scholar]
- Goris, M.G.A.; Hartskeerl, R.A. Leptospirosis serodiagnosis by the microscopic agglutination test. Curr. Protoc. Microbiol. 2014, 32, 12E.5. [Google Scholar] [CrossRef] [PubMed]
- Stoddard, R.A. Detection of pathogenic Leptospira spp. through real-time PCR (qPCR) targeting the LipL32 gene. Methods Mol. Biol. 2013, 943, 257–266. [Google Scholar] [PubMed]
- Merien, F.; Portnoi, D.; Bourhy, P.; Charavay, F.; Berlioz-Arthaud, A.; Baranton, G. A rapid and quantitative method for the detection of Leptospira species in human leptospirosis. FEMS Microbiol. Lett. 2005, 249, 139–147. [Google Scholar] [CrossRef] [PubMed]
- Tsuboi, M.; Koizumi, N.; Hayakawa, K.; Kanagawa, S.; Ohmagari, N.; Kato, Y. Imported Leptospira licerasiae infection in traveler returning to Japan from Brazil. Emerg. Infect. Dis. 2017, 23, 548–549. [Google Scholar] [CrossRef] [PubMed]
- Thibeaux, R.; Girault, D.; Bierque, E.; Soupé-Gilbert, M.E.; Rettinger, A.; Douyère, A.; Meyer, M.; Iraola, G.; Picardeau, M.; Goarant, C. Biodiversity of environmental Leptospira: Improving identification and revisiting the diagnosis. Front. Microbiol. 2018, 9, 816. [Google Scholar] [CrossRef] [PubMed]
- Kaminski, M.M.; Abudayyeh, O.O.; Gootenberg, J.S.; Zhang, F.; Collins, J.J. CRISPR-based diagnostics. Nat. Biomed. Eng. 2021, 5, 643–656. [Google Scholar] [CrossRef]
- Kumar, M.; Gulati, S.; Ansari, A.H.; Phutela, R.; Acharya, S.; Azhar, M.; Murthy, J.; Kathpalia, P.; Kanakan, A.; Maurya, R.; et al. FnCas9-based CRISPR diagnostic for rapid and accurate detection of major SARS-CoV-2 variants on a paper strip. eLife 2021, 10, e67130. [Google Scholar] [CrossRef]
- Puig-Serra, P.; Casado-Rosas, M.C.; Martinez-Lage, M.; Olalla-Sastre, B.; Alonso-Yanez, A.; Torres-Ruiz, R.; Rodriguez-Perales, S. CRISPR approaches for the diagnosis of human diseases. Int. J. Mol. Sci. 2022, 23, 1757. [Google Scholar] [CrossRef]
- Osborn, M.J.; Bhardwa, A.; Bingea, S.P.; Knipping, F.; Feser, C.J.; Lees, C.J.; Collins, D.P.; Steer, C.J.; Blazar, B.R.; Tolar, J. CRISPR/Cas9-based lateral flow and fluorescence diagnostics. Bioengineering 2021, 8, 23. [Google Scholar] [CrossRef]
- Ali, Z.; Sánchez, E.; Tehseen, M.; Mahas, A.; Marsic, T.; Aman, R.; Rao, G.S.; Alhamlan, F.S.; Alsanea, M.S.; Al-Qahtani, A.A.; et al. Bio-SCAN: A CRISPR/dCas9-based lateral flow assay for rapid, specific, and sensitive detection of SARS-CoV-2. ACS Synth. Biol. 2022, 11, 406–419. [Google Scholar] [CrossRef]
- Wang, H.; Wu, Q.; Zhou, M.; Li, C.; Yan, C.; Huang, L.; Qin, P. Development of a CRISPR/Cas9-integrated lateral flow strip for rapid and accurate detection of Salmonella. Food Control 2022, 142, 109203. [Google Scholar] [CrossRef]
- Joseph, J.; Vasan, J.K.; Shah, M.; Sivaprakasam, M.; Mahajan, L. iQuantTM Analyser: A rapid quantitative immunoassay reader. In Proceedings of the Annual International Conference of the IEEE Engineering in Medicine and Biology Society, Jeju, Republic of Korea, 11–15 July 2017; pp. 3732–3736. [Google Scholar]
- Shah, M.I.; Rajagopalan, A.; Joseph, J.; Sivaprakasam, M. An improved system for quantitative immunoassay measurement in ImageQuant. In Proceedings of the 2018 IEEE Sensors, New Delhi, India, 28–31 October 2018; pp. 645–648. [Google Scholar]
- Kumarasami, R.; Vasan, J.K.; Joseph, J.; Sithambaram, P.; Pandidurai, S.; Sivaprakasam, M. iQuant Auto: Automated rapid test platform for immunodiagnostics. In Proceedings of the Annual International Conference of the IEEE Engineering in Medicine and Biology Society, Online, 20–24 July 2020; pp. 6131–6134. [Google Scholar]







| Primer | Dir | Sequence |
|---|---|---|
| lipL32 gene | F | B-GAA GTG AAA GGA TCT TTC GTT GCA |
| lipL32 gene | R | B-CGT CAG AAG CAG CTT TTT TCA AAG |
| lipL32 gene | F | B-GGT ATT CCA GGT GTG AGC CC |
| lipL32 gene | R | B-CGC GTC AGA AGC AGC TTT TT |
| crRNA IVT DNA oligo | F | 5′ TAA TAC GAC TCA CTA TAC TCA AAT CCT GAA GAA TTG CGT TTC AGT TGC TGA ATT AT 3′ |
| crRNA IVT DNA oligo | R | 5′ ATA ATT CAG CAA CTG AAA CGC AAT TCT TCA GGA TTT GAG TAT AGT GAG TCG TAT TA 3′ |
| dFnCas9-Syn-tracrRNA | 5′ G*U*A AUU AAU GCU CUG UAA UCA UUU AAA AGU AUU UUG AAC GGA CCU CUG UUU GAC ACG UC*U* U – FITC 3′ |
Disclaimer/Publisher’s Note: The statements, opinions and data contained in all publications are solely those of the individual author(s) and contributor(s) and not of MDPI and/or the editor(s). MDPI and/or the editor(s) disclaim responsibility for any injury to people or property resulting from any ideas, methods, instructions or products referred to in the content. |
© 2023 by the authors. Licensee MDPI, Basel, Switzerland. This article is an open access article distributed under the terms and conditions of the Creative Commons Attribution (CC BY) license (https://creativecommons.org/licenses/by/4.0/).
Share and Cite
Natarajan, S.; Joseph, J.; Vinayagamurthy, B.; Estrela, P. A Lateral Flow Assay for the Detection of Leptospira lipL32 Gene Using CRISPR Technology. Sensors 2023, 23, 6544. https://doi.org/10.3390/s23146544
Natarajan S, Joseph J, Vinayagamurthy B, Estrela P. A Lateral Flow Assay for the Detection of Leptospira lipL32 Gene Using CRISPR Technology. Sensors. 2023; 23(14):6544. https://doi.org/10.3390/s23146544
Chicago/Turabian StyleNatarajan, Satheesh, Jayaraj Joseph, Balamurugan Vinayagamurthy, and Pedro Estrela. 2023. "A Lateral Flow Assay for the Detection of Leptospira lipL32 Gene Using CRISPR Technology" Sensors 23, no. 14: 6544. https://doi.org/10.3390/s23146544
APA StyleNatarajan, S., Joseph, J., Vinayagamurthy, B., & Estrela, P. (2023). A Lateral Flow Assay for the Detection of Leptospira lipL32 Gene Using CRISPR Technology. Sensors, 23(14), 6544. https://doi.org/10.3390/s23146544

