Effects of Oscillation Amplitude Variations on QCM Response to Microspheres of Different Sizes
Abstract
1. Introduction
2. Methods and Materials
2.1. Frequency and Driving Force Effects
2.2. Reagents and Methods
2.3. Measurement Setup
3. Results and Discussions
3.1. Homogeneous Film of PVP Deposition
3.2. MS2 (Microspheres of 2 µm) and MS10 (Microspheres of 10 µm)
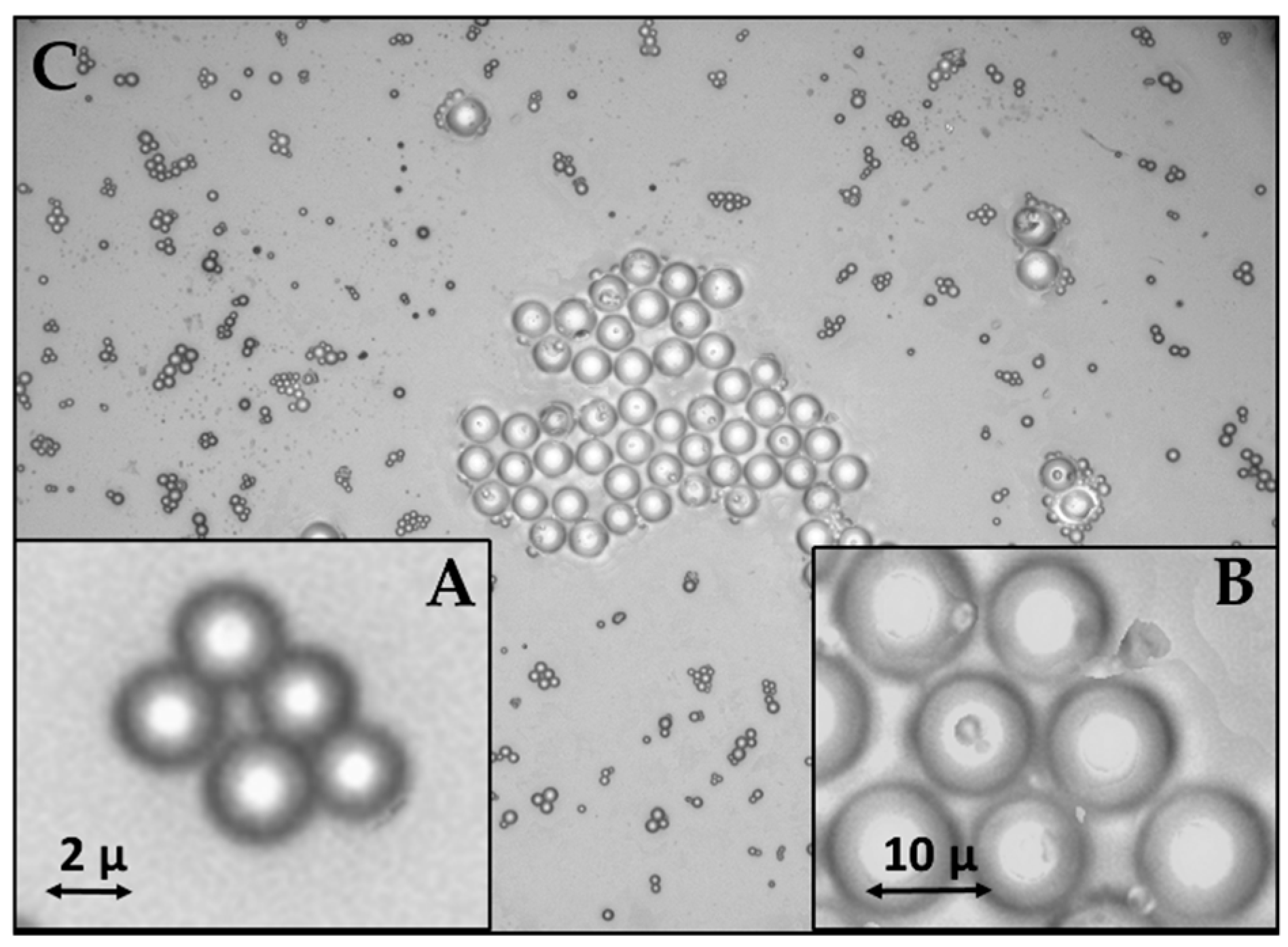
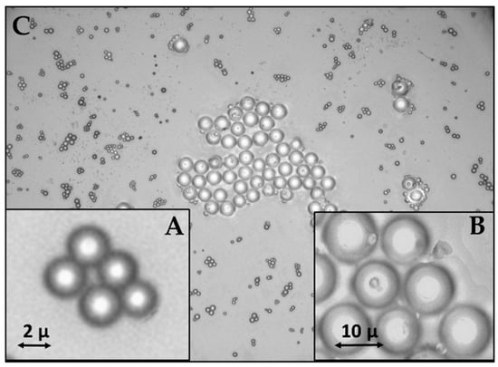
3.3. MSMIX (Microsphere Mix)
4. Conclusions
Supplementary Materials
Author Contributions
Funding
Conflicts of Interest
References
- Sierra-Vargas, M.P.; Teran, L.M. Air pollution: Impact and prevention. Respirology 2012, 17, 1031–1038. [Google Scholar] [CrossRef]
- Fenger, J. Air pollution in the last 50 years–From local to global. Atmos. Environ. 2009, 43, 13–22. [Google Scholar] [CrossRef]
- Ebi, K.L.; Mcgregor, G. Climate change, tropospheric ozone and particulate matter, and health impacts. Environ. Health Perspect. 2008, 116, 1449–1455. [Google Scholar] [CrossRef]
- Dirri, F.; Palomba, E.; Longobardo, A.; Zampetti, E. Piezoelectric crystal microbalance measurements of enthalpy of sublimation of C2–C9 dicarboxylic acids. Atmos. Meas. Tech. 2016, 9, 655–668. [Google Scholar] [CrossRef]
- Wilson, W.E.; Chow, J.C.; Claiborn, C.; Fusheng, W.; Engelbrecht, J.; Watson, J.G. Monitoring of particulate matter outdoors. Chemosphere 2002, 49, 1009–1043. [Google Scholar] [CrossRef]
- Perfetto, S.P.; Hogarth, P.J.; Monard, S.; Fontes, B.; Reifel, K.M.; Swan, B.K.; Baijer, J.; Jellison, E.R.; Lyon, G.; Lovelace, P. Novel Impactor and Microsphere-Based Assay Used to Measure Containment of Aerosols Generated in a Flow Cytometer Cell Sorter. Cytom. Part A 2019, 95, 173–182. [Google Scholar] [CrossRef]
- Korolev, E.V.; Inozemtcev, A.S. Preparation and Research of the High-Strength Lightweight Concrete Based on Hollow Microspheres. Adv. Mat. Res. 2013, 746, 285–288. [Google Scholar] [CrossRef]
- Sramek, J.; Sperka, J.; Jankovych, R. The Measurement System for the Calibration of Particle Counters. In Proceedings of 2016 17th International Conference on Mechatronics—Mechatronika (ME), Prague, Czech Republic, 7–9 December 2016; pp. 1–5. [Google Scholar]
- Solomon, P.A.; Sioutas, C. Continuous and Semicontinuous Monitoring Techniques for Particulate Matter Mass and Chemical Components: A Synthesis of Findings from EPA’s Particulate Matter Supersites Program and Related Studies. J. Air. Waste Manag. Assoc. 2008, 58, 164–195. [Google Scholar] [CrossRef]
- Scaccabarozzi, D.; Saggin, B.; Tarabini, M.; Palomba, E.; Longobardo, A.; Zampetti, E. Thermo-mechanical design and testing of a microbalance for space applications. Adv. Space Res. 2014, 54, 2386–2397. [Google Scholar] [CrossRef]
- Sabri, Y.M.; Kandjani, A.E.; Ippolito, S.J.; Bhargava, S.K. Nanosphere Monolayer on a Transducer for Enhanced Detection of Gaseous Heavy Metal. ACS Appl. Mater. Interfaces 2015, 7, 1491–1499. [Google Scholar] [CrossRef] [PubMed]
- Si, P.; Mortensen, J.; Komolov, A.; Denborg, J.; Møller, P.J. Polymer coated quartz crystal microbalance sensors for detection of volatile organic compounds in gas mixtures. Anal. Chim. Acta 2007, 597, 223–230. [Google Scholar] [CrossRef]
- Pascal-Delannoy, F.; Sorli, B.; Boyer, A. Quartz Crystal Microbalance (QCM) used as humidity sensor. Sens. Actuators A Phys. 2000, 84, 285–291. [Google Scholar] [CrossRef]
- Zampetti, E.; Macagnano, A.; Papa, P.; Bearzotti, A.; Petracchini, F.; Paciucci, L.; Pirrone, N. Exploitation of an integrated microheater on QCM sensor in particulate matter measurements. Sens. Actuators A Phys. 2017, 264, 205–211. [Google Scholar] [CrossRef]
- Vashist, S.K.; Vashist, P. Recent advances in quartz crystal microbalance-based sensors. J. Sens. 2011, 2011, 13. [Google Scholar] [CrossRef]
- Bighnaraj, S.; Shankar, G.A.; Deepak, S.; Prabhat, K.G. Aerosol effective density measurement using scanning mobility particle sizer and quartz crystal microbalance with the estimation of involved uncertainty. Atmos. Meas. Tech. 2016, 9, 859–875. [Google Scholar]
- Chen, M.; Romay, F.J.; Li, L.; Naqwi, A.; Marple, V.A. A novel quartz crystal cascade impactor for real-time aerosol mass distribution measurement. Aerosol Sci. Technol. 2016, 50, 971–983. [Google Scholar] [CrossRef]
- Dao, L.; Wen-Pin, S.; Chuin-Shan, C.; Chi-An, D. A miniature system for separating aerosol particles and measuring mass concentrations. Sensors 2010, 10, 3641–3654. [Google Scholar]
- Zhao, J.; Liu, M.; Liang, L.; Wang, W.; Xie, J. Airborne particulate matter classification and con-centration detection based on 3D printed virtual impactor and quartz crystal microbalance sensor. Sens. Actuators A 2016, 238, 379–388. [Google Scholar] [CrossRef]
- Seed, C.M.; Acharya, B.; Krim, J. QCM Study of Tribotronic Control in Ionic Liquids and Nanoparticle Suspensions. Tribol. Lett. 2021, 69, 83. [Google Scholar] [CrossRef]
- Miller, B.; Krim, J. Quartz Crystal Microbalance (QCM) Applications to Tribology. In Encyclopedia of Tribology; Wang, Q.J., Chung, Y.W., Eds.; Springer: Boston, MA, USA, 2013; pp. 2727–2733. [Google Scholar]
- Tarnapolsky, A.; Freger, V. Modeling QCM-D Response to Deposition and Attachment of Micro-particles and Living Cells. Anal. Chem. 2018, 90, 13960–13968. [Google Scholar] [CrossRef]
- Wang, P.; Su, J.; Su, C.F.; Dai, W.; Cernigliaro, G.; Sun, H. An ultrasensitive quartz crystal microbalance micropillars based sensor for humidity detection. J. Appl. Phys. 2014, 115, 224501. [Google Scholar] [CrossRef]
- Olin, J.G.; Sem, G.J. Atmospheric Environment; Pergamon Press: Oxford, UK, 1971; Volume 5. [Google Scholar]
- Sauerbrey, G. Verwendung von Schwingquarzen Zur Wigung Diinner Schichten Und Zur Mikrowigung. Z. Fiir Phys. 1959, 55, 206–222. [Google Scholar] [CrossRef]
- Pulker, H.K.; Schädler, W. Factors Influencing the Accuracy of a Quartz-Crystal Oscillator as a Thickness Monitor for Thin-Film Deposition. Nuovo Cim. B Ser. 1968, 57, 19–24. [Google Scholar] [CrossRef]
- Mullins, M.E.; Michaels, L.P.; Menon, V.; Locke, B.; Ranade, M.B. Effect of Geometry on Particle Adhesion. Aerosol Sci. Technol. 1992, 17, 105–118. [Google Scholar] [CrossRef]
- Cooper, K.; Gupta, A.; Beaudoin, S. Simulation of the Adhesion of Particles to Surfaces. J. Colloid Interface Sci. 2001, 234, 284–292. [Google Scholar] [CrossRef]
- Götzinger, M.; Peukert, W. Particle Adhesion Force Distributions on Rough Surfaces. Langmuir 2004, 20, 5298–5303. [Google Scholar] [CrossRef] [PubMed]
- Palomba, E.; Colangeli, L.; Palumbo, P.; Rotundi, A.; Perrin, J.M.; Bussoletti, E. Performance of micro-balance for dust flux measurements. AJ Space Rex. 2002, 29, 1155–l158. [Google Scholar] [CrossRef]
- Eichelbaum, F.; Borngräber, R.; Schröder, J.; Lucklum, R.; Hauptmann, P. Interface circuits for quartz-crystal-microbalance sensors. Rev. Sci. Instrum. 2002, 70, 2537. [Google Scholar] [CrossRef]
- Wajid, A. On the Accuracy of the Quartz-Crystal Microbalance (QCM) in Thin-Film Depositions. Sens. Actuators A Phys. 1997, 63, 41–46. [Google Scholar] [CrossRef]
- Deki, S.; Aoi, Y.; Asaoka, Y.; Kajinami, A.; Mizuhata, M. Monitoring the Growth of Titanium Oxide Thin Films by the Liquid-Phase Deposition Method with a Quartz Crystal Microbalance. J. Mater. Chem. 1997, 7, 733–736. [Google Scholar] [CrossRef]
- Huang, X.; Chen, Q.; Pan, W.; Hu, J. The Effect of Electrode Thickness on Mass Sensitivity of QCM Cannot Be Ignored. IEEE Trans. Ultrason. Ferroelectr. Freq. Control. 2021, 68, 1458–1461. [Google Scholar] [CrossRef] [PubMed]
- Rodahl, M.; Kasemo, B. On the Measurement of Thin Liquid Overlayers with the Quartz-Crystal Microbalance. In Proceedings of the International Solid-State Sensors and Actuators Conference—TRANSDUCERS’95, Stockholm, Sweden, 25–29 June 1995; Volume 54. [Google Scholar]
- Huang, X.; Chen, Q.; Pan, W.; Yao, Y. Advances in the Mass Sensitivity Distribution of Quartz Crystal Microbalances: A Review. Sensors 2022, 22, 5112. [Google Scholar] [CrossRef]
- Whitby, K.T.; Clark, W.E. Electric Aerosol Particle Counting and Size Distribution Measuring System for the 0.015 to 1 μ Size Range. Tellus 1966, 18, 573–586. [Google Scholar]
- Vittorias, E.; Kappl, M.; Butt, H.J.; Johannsmann, D. Studying Mechanical Microcontacts of Fine Particles with the Quartz Crystal Microbalance. Powder Technol. 2010, 203, 489–502. [Google Scholar] [CrossRef]
- Heim, L.-O.; Blum, J.; Preuss, M.; Butt, H.-J. Adhesion and Friction Forces between Spherical Micrometer-Sized Particles. Phys. Rev. Lett. 1999, 83, 3328–3331. [Google Scholar] [CrossRef]







| QCM (MHz) | Amplitude | (Hz) | Δfe (Hz) |
|---|---|---|---|
| High | 149.0 | ± 9.3 | |
| 10 | Medium | 135.7 | ± 7.6 |
| Low | 151.2 | ± 4.8 | |
| High | 31.7 | ± 4.2 | |
| 5 | Medium | 31.7 | ± 7.6 |
| Low | 31.7 | ± 4.8 | |
| High | 7.2 | ± 0.8 | |
| 2.5 | Medium | 8.5 | ± 0.6 |
| Low | 10.5 | ± 0.6 |
| QCM (MHz) | Driving Force | (Hz) | Δfe (Hz) | |
| 2 µm | High | 245.0 | ±12.5 | |
| 10 | Medium | 259.2 | ±13.8 | |
| Low | 238.7 | ±12.4 | ||
| High | 52.7 | ±1.1 | ||
| 5 | Medium | 62.2 | ±2.3 | |
| Low | 52.7 | ±1.1 | ||
| High | 21.0 | ±2.3 | ||
| 2.5 | Medium | 24.0 | ±1.2 | |
| Low | 27.7 | ±1.1 | ||
| 10 µm | High | - | - | |
| 10 | Medium | - | - | |
| Low | - | - | ||
| High | 16.0 | ±1.5 | ||
| 5 | Medium | 23.2 | ±2.4 | |
| Low | 53.2 | ±1.4 | ||
| High | - | - | ||
| 2.5 | Medium | - | - | |
| Low | 65.0 | ±4.1 |
| QCM (MHz) | Driving Force | (Hz) | Δfe (Hz) |
|---|---|---|---|
| High | 230.0 | ±6.0 | |
| 10 | Medium | 233.0 | ±3.9 |
| Low | 229.2 | ±8.5 | |
| High | 51.5 | ±3.2 | |
| 5 | Medium | 46.7 | ±7.8 |
| Low | 73.5 | ±5.7 | |
| High | 17.0 | ±1.9 | |
| 2.5 | Medium | 15.5 | ±1.0 |
| Low | 31.0 | ±1.2 |
Disclaimer/Publisher’s Note: The statements, opinions and data contained in all publications are solely those of the individual author(s) and contributor(s) and not of MDPI and/or the editor(s). MDPI and/or the editor(s) disclaim responsibility for any injury to people or property resulting from any ideas, methods, instructions or products referred to in the content. |
© 2023 by the authors. Licensee MDPI, Basel, Switzerland. This article is an open access article distributed under the terms and conditions of the Creative Commons Attribution (CC BY) license (https://creativecommons.org/licenses/by/4.0/).
Share and Cite
Zampetti, E.; Mancuso, M.A.; Dirri, F.; Palomba, E.; Papa, P.; Capocecera, A.; Bearzotti, A.; Macagnano, A.; Scaccabarozzi, D. Effects of Oscillation Amplitude Variations on QCM Response to Microspheres of Different Sizes. Sensors 2023, 23, 5682. https://doi.org/10.3390/s23125682
Zampetti E, Mancuso MA, Dirri F, Palomba E, Papa P, Capocecera A, Bearzotti A, Macagnano A, Scaccabarozzi D. Effects of Oscillation Amplitude Variations on QCM Response to Microspheres of Different Sizes. Sensors. 2023; 23(12):5682. https://doi.org/10.3390/s23125682
Chicago/Turabian StyleZampetti, Emiliano, Maria Aurora Mancuso, Fabrizio Dirri, Ernesto Palomba, Paolo Papa, Alessandro Capocecera, Andrea Bearzotti, Antonella Macagnano, and Diego Scaccabarozzi. 2023. "Effects of Oscillation Amplitude Variations on QCM Response to Microspheres of Different Sizes" Sensors 23, no. 12: 5682. https://doi.org/10.3390/s23125682
APA StyleZampetti, E., Mancuso, M. A., Dirri, F., Palomba, E., Papa, P., Capocecera, A., Bearzotti, A., Macagnano, A., & Scaccabarozzi, D. (2023). Effects of Oscillation Amplitude Variations on QCM Response to Microspheres of Different Sizes. Sensors, 23(12), 5682. https://doi.org/10.3390/s23125682

