Development and Optimization of Hybrid Polymeric Nanoparticles of Apigenin: Physicochemical Characterization, Antioxidant Activity and Cytotoxicity Evaluation
Abstract
:1. Introduction
2. Materials
2.1. Experimentals
2.1.1. Optimization
2.1.2. Formulation of Apigenin Nanoparticles
2.2. Characterization
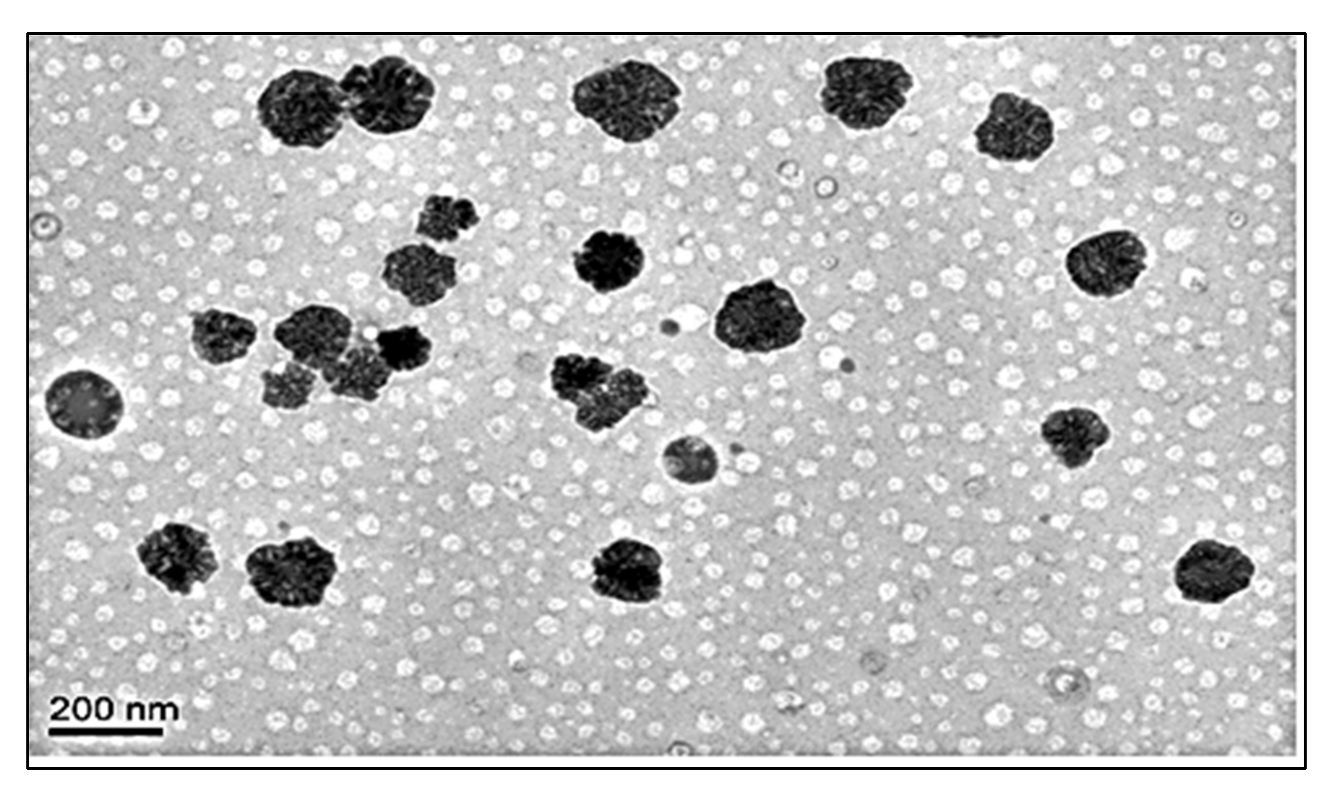
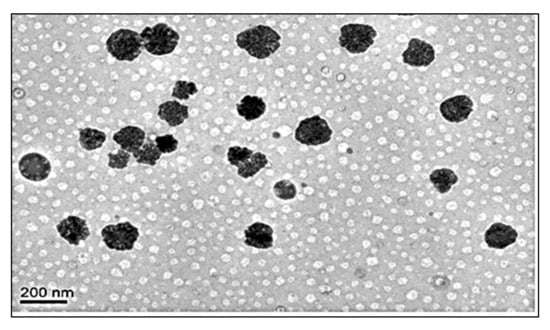
2.2.1. Particle Size, PDI, Zeta Potential and Surface Morphology
2.2.2. Entrapment Efficiency
2.2.3. Fourier-Transform Infrared Spectroscopy (FTIR)
2.2.4. Thermal Analysis
2.2.5. Drug Release Study
2.3. Ex-Vivo Permeation Study
2.4. In-Vitro Antioxidant Activity
2.5. Cytotoxicity Study
2.6. Antimicrobial Study
2.7. Statistical Analysis
3. Result and Discussion
3.1. Optimization
3.2. Effect of Formulation Variable on Particle Size (Y1)
3.3. Effect of LC, CS and TPGS on Entrapment Efficiency (Y2)
3.4. Effect of LC, CS and TPGS on Drug Release (Y3)
3.5. Point Prediction
3.6. Particle Size, PDI and Zeta Potential
3.7. Fourier-Transform Infrared Spectroscopy (FTIR)
3.8. Thermal Analysis
3.9. In-Vitro Drug Release
3.10. Ex Vivo Permeation Study
3.11. Antioxidant Activity
3.12. Cell Viability Study
3.13. Antimicrobial Study
4. Conclusions
Author Contributions
Funding
Institutional Review Board Statement
Informed Consent Statement
Data Availability Statement
Acknowledgments
Conflicts of Interest
References
- Salmani, J.M.M.; Zhang, X.P.; Jacob, J.A.; Chen, B.A. Apigenin’s anticancer properties and molecular mechanisms of action: Recent advances and future prospectives. Chin. J. Nat. Med. 2017, 15, 321–329. [Google Scholar] [CrossRef]
- Ding, S.; Jiang, H.; Fang, J. Regulation of Immune Function by Polyphenols. J. Immunol. Res. 2018, 2018, 1264074. [Google Scholar] [CrossRef] [PubMed] [Green Version]
- Hosseinzade, A.; Sadeghi, O.; Naghdipour Biregani, A.; Soukhtehzari, S.; Brandt, G.S.; Esmaillzadeh, A. Immunomodulatory Effects of Flavonoids: Possible Induction of T CD4+ Regulatory Cells Through Suppression of mTOR Pathway Signaling Activity. Front. Immunol. 2019, 10, 51. [Google Scholar] [CrossRef] [PubMed] [Green Version]
- Sung, B.; Chung, H.Y.; Kim, N.D. Role of Apigenin in Cancer Prevention via the Induction of Apoptosis and Autophagy. J. Cancer Prev. 2016, 21, 216–226. [Google Scholar] [CrossRef] [PubMed] [Green Version]
- Ali, F.; Rahul; Naz, F.; Jyoti, S.; Siddique, Y.H. Health functionality of apigenin: A review. Int. J. Food Prop. 2017, 20, 1197–1238. [Google Scholar] [CrossRef]
- Yan, X.; Qi, M.; Li, P.; Zhan, Y.; Shao, H. Apigenin in cancer therapy: Anti-cancer effects and mechanisms of action. Cell Biosci. 2017, 7, 50. [Google Scholar] [CrossRef] [PubMed] [Green Version]
- Zhang, J.; Liu, D.; Huang, Y.; Gao, Y.; Qian, S. Biopharmaceutics classification and intestinal absorption study of apigenin. Int. J. Pharm. 2012, 436, 311–317. [Google Scholar] [CrossRef]
- Kashkooli, F.M.; Soltani, M.; Souri, M.; Meaney, C.; Kohandel, M. Nexus between in silico and in vivo models to enhance clinical translation of nanomedicine. Nano Today 2021, 36, 101057. [Google Scholar] [CrossRef]
- Kashyap, D.; Tuli, H.S.; Yerer, M.B.; Sharma, A.; Sak, K.; Srivastava, S.; Pandey, A.; Garg, V.K.; Sethi, G.; Bishayee, A. Natural product-based nanoformulations for cancer therapy: Opportunities and challenges. Semin. Cancer Biol. 2021, 69, 5–23. [Google Scholar] [CrossRef] [PubMed]
- Mante, P.K.; Adomako, N.O.; Antwi, P.; Kusi-Boadum, N.K.; Osafo, N. Solid-lipid nanoparticle formulation improves antiseizure action of cryptolepine. Biomed. Pharmacother. 2021, 137, 111354. [Google Scholar] [CrossRef]
- Shen, P.T.; Chiu, S.W.; Chang, J.Y.; Chung, T.W.; Liang, C.H.; Deng, M.J.; Chou, T.H. Formation and characterization of hydrogenated soybean lecithin/TPGS nano-dispersions as a potential carrier for active herbal agents. Colloids Surf. A Physicochem. Eng. Asp. 2021, 611, 125796. [Google Scholar] [CrossRef]
- Perez-Ruiz, A.G.; Ganem, A.; Corichi, I.M.O.; Garcia-Sanchez, J.R. Lecithin–chitosan–TPGS nanoparticles as nanocarriers of (−)-epicatechin enhanced its anticancer activity in breast cancer cells. RSC Adv. 2018, 8, 34773–34782. [Google Scholar] [CrossRef] [Green Version]
- Chaves, L.L.; Lima, S.A.C.; Vieira, A.C.C.; Barreiros, L.; Segundo, M.A.; Ferreira, D.; Sarmento, B.; Reis, S. Development of PLGA nanoparticles loaded with clofazimine for oral delivery: Assessment of formulation variables and intestinal permeability. Eur. J. Pharm. Sci. 2018, 112, 28–37. [Google Scholar] [CrossRef]
- Wang, J.; Wang, F.; Li, X.; Zhou, Y.; Wang, H.; Zhang, Y. Uniform carboxymethyl chitosan-enveloped Pluronic F68/poly(lactic-co-glycolic acid) nano-vehicles for facilitated oral delivery of gefitinib, a poorly soluble antitumor compound. Colloids Surf. B Biointerfaces 2019, 177, 425–432. [Google Scholar] [CrossRef] [PubMed]
- Tarassoli, Z.; Najjar, R.; Amani, A. Formulation and optimization of lemon balm extract loaded azelaic acid-chitosan nanoparticles for antibacterial applications. J. Drug Deliv. Sci. Technol. 2021, 65, 102687. [Google Scholar] [CrossRef]
- Fan, T.; Daniels, R. Preparation and Characterization of Electrospun Polylactic Acid (PLA) Fiber Loaded with Birch Bark Triterpene Extract for Wound Dressing. AAPS PharmSciTech 2021, 22, 205. [Google Scholar] [CrossRef]
- Markowski, A.; Migdał, P.; Zygmunt, A.; Zaremba-Czogalla, M.; Gubernator, J. Evaluation of the In Vitro Cytotoxic Activity of Ursolic Acid PLGA Nanoparticles against Pancreatic Ductal Adenocarcinoma Cell Lines. Materials 2021, 14, 4917. [Google Scholar] [CrossRef]
- Tian, S.; Hu, Y.; Chen, X.; Liu, C.; Xue, Y.; Han, B. Green synthesis of silver nanoparticles using sodium alginate and tannic acid: Characterization and anti-S. aureus activity. Int. J. Biol. Macromol. 2022, 195, 515–522. [Google Scholar] [CrossRef] [PubMed]
- Chittasupho, C.; Jaturanpinyo, M.; Mangmool, S. Pectin nanoparticle enhances cytotoxicity of methotrexate against HepG2 cells. Drug Deliv. 2013, 20, 1–9. [Google Scholar] [CrossRef] [PubMed]
- Chuang, Y.L.; Fang, H.W.; Ajitsaria, A.; Chen, K.H.; Su, C.Y.; Liu, G.S.; Tseng, C.L. Development of Kaempferol-Loaded Gelatin Nanoparticles for the Treatment of Corneal Neovascularization in Mice. Pharmaceutics 2019, 11, 635. [Google Scholar] [CrossRef] [Green Version]
- Yurtdaş-Kırımlıoglu, G.; Güleç, K.; Görgülü, Ş.; Kıyan, H.T. Oseltamivir phosphate loaded pegylated-Eudragit nanoparticles for lung cancer therapy: Characterization, prolonged release, cytotoxicity profile, apoptosis pathways and in vivo anti-angiogenic effect by using CAM assay. Microvasc. Res. 2022, 139, 104251. [Google Scholar] [CrossRef]
- Ameeduzzafar; Ali, J.; Bhatnagar, A.; Kumar, N.; Ali, A. Chitosan nanoparticles amplify the ocular hypotensive effect of cateolol in rabbits. Int. J. Biol. Macromol. 2014, 65, 479–491. [Google Scholar]
- Vu, M.T.; Le, N.T.T.; Pham, T.L.B.; Nguyen, N.H.; Nguyen, D.H. Development and Characterization of Soy Lecithin Liposome as Potential Drug Carrier Systems for Codelivery of Letrozole and Paclitaxel. J. Nanomater. 2020, 2020, 8896455. [Google Scholar] [CrossRef]
- Negi, P.; Sharma, G.; Verma, C.; Garg, P.; Rathore, C.; Kulshrestha, S.; Lal, U.R.; Gupta, B.; Pathania, D. Novel thymoquinone loaded chitosan-lecithin micelles for effective wound healing: Development, characterization, and preclinical evaluation. Carbohydr. Polym. 2020, 230, 115659. [Google Scholar] [CrossRef] [PubMed]
- Murthy, A.; Ravi, P.R.; Kathuria, H.; Vats, R. Self-assembled lecithin-chitosan nanoparticles improve the oral bioavailability and alter the pharmacokinetics of raloxifene. Int. J. Pharm. 2020, 588, 119731. [Google Scholar] [CrossRef] [PubMed]
- Guo, C.-Y.; Yang, C.-F.; Li, Q.-L.; Tan, Q.; Xi, Y.-W.; Liu, W.-N.; Zhai, G.-X. Development of a quercetin-loaded nanostructured lipid carrier formulation for topical delivery. Int. J. Pharm. 2012, 430, 292–298. [Google Scholar]
- Liu, L.; Zhou, C.; Xia, X.; Liu, Y. Self-assembled lecithin/chitosan nanoparticles for oral insulin delivery: Preparation and functional evaluation. Int. J. Nanomed. 2016, 11, 761–769. [Google Scholar] [CrossRef] [PubMed] [Green Version]
- Zheng, Y.; Feng, G.; Sun, Y.; Liu, S.; Pi, Z.; Song, F.; Liu, Z. Study on the compatibility interactions of formula Ding-Zhi-Xiao-Wan based on their main components transport characteristics across Caco-2 monolayers model. J. Pharm. Biomed. Anal. 2018, 159, 179–185. [Google Scholar] [CrossRef]
- Al Khateeb, W.; Kanaan, R.; El-Elimat, T.; Aludatt, M.; Lahham, J.; El-Oqlah, A. In vitro propagation, genetic stability, and secondary metabolite analysis of wild lavender (Lavandula coronopifolia Poir.). Hortic. Environ. Biotechnol. 2017, 58, 393–405. [Google Scholar] [CrossRef]
- Zheleva-Dimitrova, D.; Nedialkov, P.; Girreser, U.; Kitanov, G. Benzophenones and flavonoids from Hypericum maculatum and their antioxidant activities. Nat. Prod. Res. 2012, 26, 1576–1583. [Google Scholar] [CrossRef]
- Loganayaki, N.; Siddhuraju, P.; Manian, S. Antioxidant activity and free radical scavenging capacity of phenolic extracts from Helicteres isora L. and Ceiba pentandra L. J. Food Sci. Technol. 2013, 50, 687–695. [Google Scholar] [CrossRef] [Green Version]
- Hafner, A.; Lovric, J.; Pepic, J.; Filipovic-Grcic, I. Lecithin/chitosan nanoparticles for transdermal delivery of melatonin. J. Microencapsul. 2011, 28, 807–815. [Google Scholar] [CrossRef]
- Mu, L.; Feng, S.S. A novel controlled release formulation for the anticancer drug paclitaxel (Taxol): PLGA nanoparticles containing vitamin E TPGS. J. Control. Release 2003, 86, 33–48. [Google Scholar] [CrossRef]
- Ilk, S.; Saglam, N.; Ozgen, M. Kaempferol loaded lecithin/chitosan nanoparticles: Preparation, characterization, and their potential applications as a sustainable antifungal agent. Artif. Cells Nanomed. Biotechnol. 2017, 45, 907–916. [Google Scholar] [CrossRef] [Green Version]
- Mohyeldin, S.M.; Samy, W.M.; Ragab, D.; Abdelmonsif, D.A.; Aly, R.G.; Elgindy, N.A. Hybrid lipid core chitosan-TPGS shell nanocomposites as a promising integrated nanoplatform for enhanced oral delivery of sulpiride in depressive disorder therapy. Int. J. Biol. Macromol. 2021, 188, 432–449. [Google Scholar] [CrossRef]
- Maeda, H. Polymer therapeutics and the EPR effect. J. Drug Target. 2017, 25, 781–785. [Google Scholar] [CrossRef] [PubMed]
- Gong, J.; Chen, M.; Zheng, Y.; Wang, S.; Wang, Y. Polymeric micelles drug delivery system in oncology. J. Control. Release 2012, 159, 312–323. [Google Scholar] [CrossRef]
- Joseph, E.; Singhvi, G. Multifunctional nanocrystals for cancer therapy: A potential nanocarrier. In Nanomaterials for Drug Delivery and Therapy; Elsevier: Amsterdam, The Netherlands, 2019; pp. 91–116. [Google Scholar]
- Dhore, P.W.; Dave, V.S.; Saoji, S.D.; Bobde, Y.S.; Mack, C.; Raut, N.A. Enhancement of the aqueous solubility and permeability of a poorly water-soluble drug ritonavir via lyophilized milk-based solid dispersions. Pharm. Dev. Technol. 2017, 22, 90–102. [Google Scholar] [CrossRef] [PubMed]
- Ozkan, G.; Kostka, T.; Esatbeyoglu, T.; Capanoglu, E. Effects of Lipid-Based Encapsulation on the Bioaccessibility and Bioavailability of Phenolic Compounds. Molecules 2020, 25, 5545. [Google Scholar] [CrossRef] [PubMed]
- Shao, B.; Cui, C.; Ji, H.; Tang, J.; Wang, Z.; Liu, H.; Qin, M.; Li, X.; Wu, L. Enhanced oral bioavailability of piperine by selfemulsifying drug delivery systems: In-vitro, in-vivo and in-situ intestinal permeability studies. Drug Deliv. 2015, 22, 740–747. [Google Scholar] [CrossRef] [Green Version]
- Wu, W.; Zu, Y.; Wang, L.; Wang, L.; Wang, H.; Li, Y.; Wu, M.; Zhao, X.; Fu, Y. Preparation, characterization and antitumor activity evaluation of apigenin nanoparticles by the liquid antisolvent precipitation technique. Drug Deliv. 2017, 24, 1713–1720. [Google Scholar] [CrossRef] [Green Version]
- Bhosale, U.; Kusum, D.V.; Jain, N. Formulation and optimization of mucoadhesive nanodrug delivery system of acyclovir. J. Young Pharm. 2011, 3, 275–283. [Google Scholar] [CrossRef] [PubMed] [Green Version]
- Alkholief, M.; Albasit, H.; Alhowyan, A.; Alshehri, S.; Raish, M.; Kalam, M.A.; Alshamsan, A. Employing a PLGA-TPGS based nanoparticle to improve the ocular delivery of acyclovir. Saudi Pharm. J. 2019, 27, 293–302. [Google Scholar] [CrossRef]
- Zhai, Y.; Guo, S.; Liu, C.; Yang, C.; Dou, J.; Li, L.; Zhai, G. Preparation and in vitro evaluation of apigenin-loaded polymeric micelles. Colloids Surf. A Physicochem. Eng. Asp. 2013, 429, 24–30. [Google Scholar] [CrossRef]
- Warsi, M.H.; Anwar, M.; Garg, V.; Jain, G.K.; Talegaonkar, S.; Ahmad, F.J.; Khar, R.K. Dorzolamide-loaded PLGA/vitamin E TPGS nanoparticles for glaucoma therapy: Pharmacoscintigraphy study and evaluation of extended ocular hypotensive effect in rabbits. Colloids Surf. B Biointerfaces 2014, 122, 423–431. [Google Scholar] [CrossRef] [PubMed]
- Mahmood, S.; Kiong, K.C.; Tham, C.S.; Chien, T.C.; Hilles, A.R.; Venugopal, J.R. PEGylated Lipid Polymeric Nanoparticle–Encapsulated Acyclovir for In Vitro Controlled Release and Ex Vivo Gut Sac Permeation. AAPS PharmSciTech 2020, 21, 285. [Google Scholar] [CrossRef] [PubMed]
- Nazief, A.M.; Hassaan, P.S.; Khalifa, H.M.; Sokar, M.S.; El-Kamel, A.H. Lipid-based gliclazide nanoparticles for treatment of diabetes: Formulation, pharmacokinetics, pharmacodynamics and subacute toxicity study. Int. J. Nanomed. 2020, 15, 1129–1148. [Google Scholar] [CrossRef] [PubMed] [Green Version]
- Ezzat, H.M.; Elnaggar, Y.S.R.; Abdallah, O.Y. Improved oral bioavailability of the anticancer drug catechin using chitosomes: Design, in-vitro appraisal and in-vivo studies. Int. J. Pharm. 2019, 565, 488–498. [Google Scholar] [CrossRef] [PubMed]
- Allam, A.N.; Hamdallah, S.I.; Abdallah, O.Y. Chitosan-coated diacerein nanosuspensions as a platform for enhancing bioavailability and lowering side effects: Preparation, characterization, and ex vivo/in vivo evaluation. Int. J. Nanomed. 2017, 12, 4733–4745. [Google Scholar] [CrossRef] [Green Version]
- Guo, Y.; Luo, J.; Tan, S.; Otieno, B.O.; Zhang, Z. The applications of vitamin E TPGS in drug delivery. Eur. J. Pharm. Sci. 2013, 49, 175–186. [Google Scholar] [CrossRef] [PubMed]
- Scherbakov, A.M.; Andreeva, O.E. Apigenin Inhibits Growth of Breast Cancer Cells: The Role of ERα and HER2/neu. Acta Nat. 2015, 7, 133–139. [Google Scholar] [CrossRef]
- Sen, R.; Ganguly, S.; Ganguly, S.; Debnath, M.C.; Chakraborty, S.; Mukherjee, B.; Chattopadhyay, D. Apigenin-Loaded PLGA-DMSA Nanoparticles: A Novel Strategy to Treat Melanoma Lung Metastasis. Mol. Pharm. 2021, 18, 1920–1938. [Google Scholar] [CrossRef] [PubMed]
- Cao, X.; Liu, B.; Cao, W.; Zhang, W.; Zhang, F.; Zhao, H.; Meng, R.; Zhang, L.; Niu, R.; Hao, X.; et al. Autophagy inhibition enhances apigenin-induced apoptosis in human breast cancer cells. Chin. J. Cancer Res. 2013, 25, 212–222. [Google Scholar]
- Adhikari, H.S.; Yadav, P.N. Anticancer Activity of Chitosan, Chitosan Derivatives, and Their Mechanism of Action. Int. J. Biomater. 2018, 2018, 2952085. [Google Scholar] [CrossRef] [PubMed] [Green Version]
- Wimardhani, Y.S.; Suniarti, D.F.; Freisleben, H.J.; Wanandi, S.I.; Siregar, N.C.; Ikeda, M.A. Chitosan exerts anticancer activity through induction of apoptosis and cell cycle arrest in oral cancer cells. J. Oral Sci. 2014, 56, 119–126. [Google Scholar] [CrossRef] [Green Version]
- Yilmaz Atay, H. Antibacterial Activity of Chitosan-Based Systems. In Functional Chitosan: Drug Delivery and Biomedical Applications; Springer: Singapore, 2020; pp. 457–489. [Google Scholar]
- Nagy, A.; Harrison, A.; Sabbani, S.; Munson, R.S.; Dutta, P.K., Jr.; Waldman, W.J. Silver nanoparticles embedded in zeolite membranes: Release of silver ions and mechanism of antibacterial action. Int. J. Nanomed. 2011, 6, 1833–1852. [Google Scholar]
- Banerjee, K.; Banerjee, S.; Das, S.; Mandal, M. Probing the potential of apigenin liposomes in enhancing bacterial membrane perturbation and integrity loss. J. Colloid Interface Sci. 2015, 453, 48–59. [Google Scholar] [CrossRef] [PubMed]
- Nayaka, H.B.; Londonkar, R.L.; Umesh, M.K.; Tukappa, A. Antibacterial Attributes of Apigenin. Isolated from Portulaca oleracea L. Int. J. Bacteriol. 2014, 2014, 175851. [Google Scholar] [CrossRef] [PubMed] [Green Version]











| Code | Formulation Variables | Responses | |||||||
|---|---|---|---|---|---|---|---|---|---|
| Lecithin (A) (mg) | Chitosan (B) (mg) | TPGS (C) (%) | Particle Size (nm) | Encapsulation Efficiency (%) | Drug Release (%) | ||||
| Actual | Predicted | Actual | Predicted | Actual | Predicted | ||||
| Value | Value | Value | Value | Value | Value | ||||
| F1 | 80 | 20 | 0.75 | 101.28 | 103.13 | 52.65 | 53.80 | 36.47 | 37.61 |
| F2 | 180 | 20 | 0.75 | 171.32 | 170.53 | 63.12 | 62.61 | 60.40 | 63.41 |
| F3 | 80 | 60 | 0.75 | 190.04 | 189.83 | 68.23 | 70.14 | 56.60 | 58.59 |
| F4 | 180 | 60 | 0.75 | 227.24 | 225.39 | 79.54 | 77.95 | 53.53 | 55.39 |
| F5 | 80 | 40 | 0.5 | 162.29 | 160.88 | 60.4 | 63.39 | 52.75 | 54.46 |
| F6 | 180 | 40 | 0.5 | 201.21 | 204.43 | 71.04 | 70.19 | 62.51 | 60.35 |
| F7 | 80 | 40 | 1 | 175.21 | 174.99 | 64.54 | 63.56 | 56.50 | 55.66 |
| F8 | 180 | 40 | 1 | 245.00 | 244.40 | 71.34 | 73.36 | 67.11 | 65.39 |
| F9 | 130 | 20 | 0.5 | 131.58 | 133.14 | 56.32 | 57.12 | 54.78 | 53.13 |
| F10 | 130 | 60 | 0.5 | 204.75 | 203.37 | 74.12 | 73.46 | 58.63 | 56.93 |
| F11 | 130 | 20 | 1 | 159.25 | 156.63 | 61.56 | 60.29 | 57.38 | 55.07 |
| F12 | 130 | 60 | 1 | 230.52 | 231.96 | 77.13 | 76.63 | 66.19 | 64.04 |
| F13 * | 130 | 40 | 0.75 | 184.05 | 185.75 | 67.78 | 66.88 | 59.32 | 58.60 |
| F14 * | 130 | 40 | 0.75 | 187.43 | 185.75 | 67.23 | 66.88 | 58.45 | 58.60 |
| F15 * | 130 | 40 | 0.75 | 185.76 | 185.75 | 68.13 | 66.88 | 58.04 | 58.60 |
| Particle Size (PS) | Entrapment Efficiency | Drug Release | |||||||
|---|---|---|---|---|---|---|---|---|---|
| Source | Sum of Squares | F Value | p-Value Prob > F | Sum of Squares | F Value | p-Value Prob > F | Sum of Squares | F Value | p-Value Prob > F |
| Model | 19,436.62 | 1475.44 | <0.0001 | 746.56 | 164.68 | <0.0001 | 694.55 | 287.73 | <0.0001 |
| A-Lecithin | 5829.03 | 3982.34 | <0.0001 | 192.27 | 127.24 | <0.0001 | 212.52 | 792.36 | <0.0001 |
| B-Chitosan | 10,448.62 | 7138.41 | <0.0001 | 534.15 | 353.48 | <0.0001 | 83.94 | 312.98 | <0.0001 |
| C-TPGS | 1516.55 | 1036.10 | <0.0001 | 20.13 | 13.32 | 0.0038 | 42.79 | 159.54 | <0.0001 |
| AB | 269.61 | 184.19 | <0.0001 | - | - | - | 182.25 | 679.51 | <0.0001 |
| AC | 238.16 | 162.71 | <0.0001 | - | - | - | 0.18 | 0.67 | 0.4515 |
| BC | 0.90 | 0.61 | 0.4679 | - | - | - | 6.17 | 23.01 | 0.0049 |
| A2 | 1.16 | 0.79 | 0.4127 | - | - | - | 37.56 | 140.05 | <0.0001 |
| B2 | 707.13 | 483.11 | <0.0001 | - | - | - | 49.56 | 184.79 | <0.0001 |
| C2 | 341.51 | 233.32 | <0.0001 | - | - | - | 68.35 | 254.85 | <0.0001 |
| Residual | 7.3185 | 16.62 | - | - | 1.34 | ||||
| Lack of Fit | 1.60 | 0.18 | 0.8972 | 16.62 | 8.750732 | 0.1067 | 0.49 | 0.38 | 0.7814 |
| Pure Error | 5.712 | - | - | 0.41 | - | - | 0.85 | ||
| Cor Total | 19,443.94 | - | - | 763.18 | - | - | 695.89 | <0.0001 | |
| Particle Size | ||||||
|---|---|---|---|---|---|---|
| Source | Std. Dev. | R2 | Adjusted R2 | Predicted R2 | PRESS | |
| Linear | 12.24 | 0.9151 | 0.8920 | 0.8191 | 3516.00 | |
| 2FI | 11.94 | 0.9413 | 0.8973 | 0.6911 | 6004.99 | |
| Quadratic | 1.21 | 0.9996 | 0.9989 | 0.9980 | 38.55 | Suggested |
| Encapsulation Efficiency | ||||||
| Linear | 1.22 | 0.9782 | 0.9722 | 0.9566 | 33.09 | Suggested |
| 2FI | 1.19 | 0.9849 | 0.9735 | 0.9334 | 50.80 | |
| Quadratic | 0.98 | 0.9936 | 0.9823 | 0.9064 | 71.38 | |
| Drug Release | ||||||
| Linear | 5.69 | 0.4875 | 0.3477 | −0.0884 | 757.41 | |
| 2FI | 4.58 | 0.7585 | 0.5774 | −0.24752 | 868.13 | |
| Quadratic | 0.51 | 0.9980 | 0.9946 | 0.9861 | 9.70 | Suggested |
| LC (mg): CS (mg): TPGS (%) | Responses | Actual value | Predicted value | 95% PI Low | 95% PI High | % Error |
|---|---|---|---|---|---|---|
| 135.45:43.75:0.77 | Y1 (PS) | 192.6 ± 4.2 | 196.1 | 192.51 | 199.66 | −1.84 |
| Y2 (EE) | 69.35 ± 1.1 | 69.1 | 66.28 | 71.88 | 0.40 | |
| Y3 (DR) | 61.51 ± 2.5 | 59.7 | 58.17 | 61.23 | 2.93 |
Publisher’s Note: MDPI stays neutral with regard to jurisdictional claims in published maps and institutional affiliations. |
© 2022 by the authors. Licensee MDPI, Basel, Switzerland. This article is an open access article distributed under the terms and conditions of the Creative Commons Attribution (CC BY) license (https://creativecommons.org/licenses/by/4.0/).
Share and Cite
Zafar, A.; Alruwaili, N.K.; Imam, S.S.; Alsaidan, O.A.; Ahmed, M.M.; Yasir, M.; Warsi, M.H.; Alquraini, A.; Ghoneim, M.M.; Alshehri, S. Development and Optimization of Hybrid Polymeric Nanoparticles of Apigenin: Physicochemical Characterization, Antioxidant Activity and Cytotoxicity Evaluation. Sensors 2022, 22, 1364. https://doi.org/10.3390/s22041364
Zafar A, Alruwaili NK, Imam SS, Alsaidan OA, Ahmed MM, Yasir M, Warsi MH, Alquraini A, Ghoneim MM, Alshehri S. Development and Optimization of Hybrid Polymeric Nanoparticles of Apigenin: Physicochemical Characterization, Antioxidant Activity and Cytotoxicity Evaluation. Sensors. 2022; 22(4):1364. https://doi.org/10.3390/s22041364
Chicago/Turabian StyleZafar, Ameeduzzafar, Nabil K. Alruwaili, Syed Sarim Imam, Omar Awad Alsaidan, Mohammed Muqtader Ahmed, Mohd Yasir, Musarrat Husain Warsi, Ali Alquraini, Mohammed M. Ghoneim, and Sultan Alshehri. 2022. "Development and Optimization of Hybrid Polymeric Nanoparticles of Apigenin: Physicochemical Characterization, Antioxidant Activity and Cytotoxicity Evaluation" Sensors 22, no. 4: 1364. https://doi.org/10.3390/s22041364
APA StyleZafar, A., Alruwaili, N. K., Imam, S. S., Alsaidan, O. A., Ahmed, M. M., Yasir, M., Warsi, M. H., Alquraini, A., Ghoneim, M. M., & Alshehri, S. (2022). Development and Optimization of Hybrid Polymeric Nanoparticles of Apigenin: Physicochemical Characterization, Antioxidant Activity and Cytotoxicity Evaluation. Sensors, 22(4), 1364. https://doi.org/10.3390/s22041364

