Motion Analysis of the Extensor Carpi Ulnaris in Triangular Fibrocartilage Complex Injury Using Ultrasonography Images
Abstract
1. Introduction
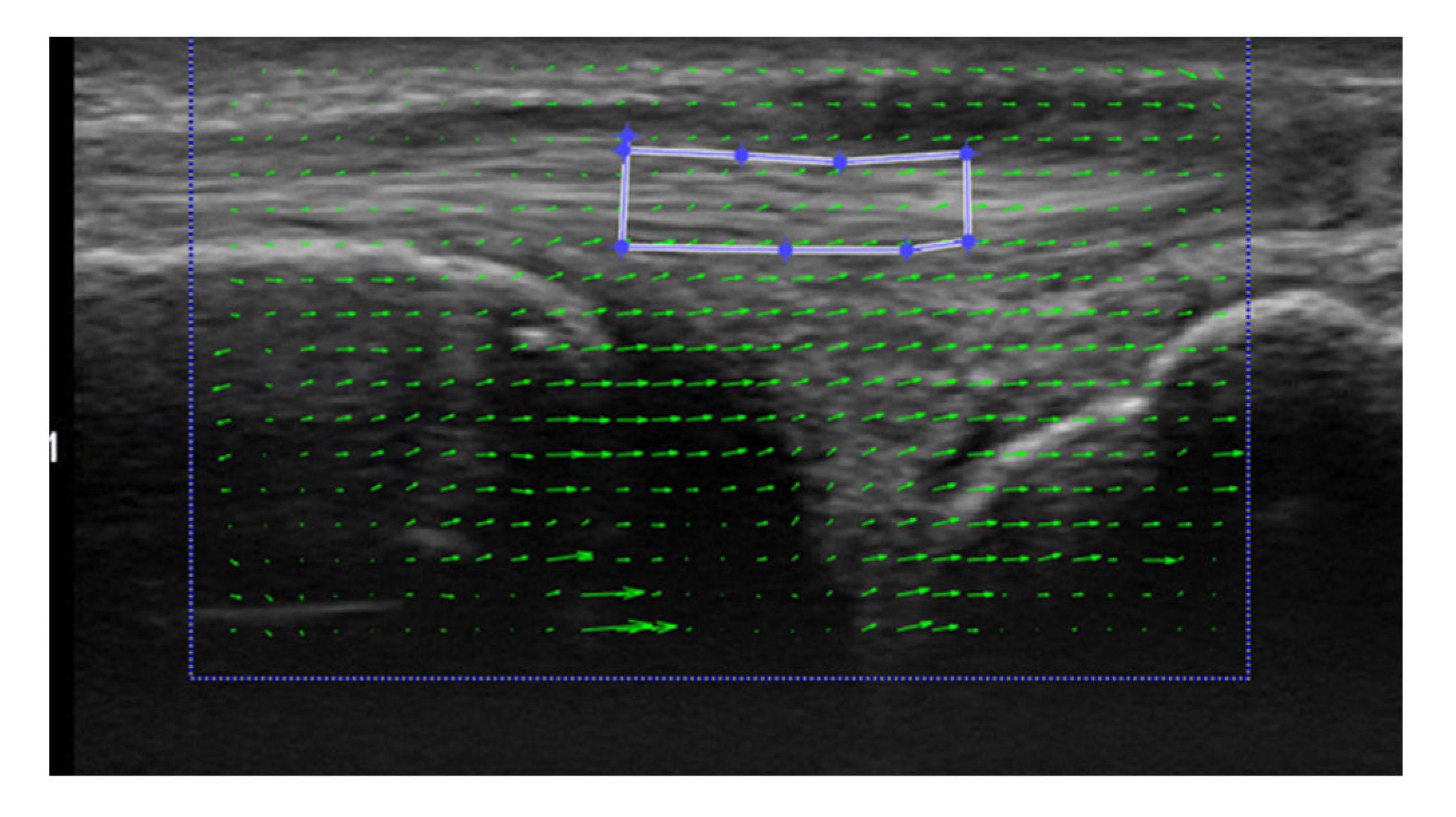
2. Materials and Methods
3. Results
4. Discussion
5. Conclusions
Author Contributions
Funding
Institutional Review Board Statement
Informed Consent Statement
Data Availability Statement
Conflicts of Interest
References
- Palmer, A.K.; Werner, F.W. The triangular fibrocartilage complex of the wrist—Anatomy and function. J. Hand Surg. Am. 1981, 6, 153–162. [Google Scholar] [CrossRef]
- Adams, B.D. Partial excision of the triangular fibrocartilage complex articular disk: A biomechanical study. J. Hand Surg. Am. 1993, 18, 334–340. [Google Scholar] [CrossRef]
- Schmidt, H.M. The anatomy of the ulnocarpal complex. Orthopade 2004, 33, 628–637. (In German) [Google Scholar] [CrossRef] [PubMed]
- Ekenstam, F. Osseous anatomy and articular relationships about the distal ulna. Hand Clin. 1998, 14, 161–164. [Google Scholar] [CrossRef]
- Iida, A.; Omokawa, S.; Moritomo, H.; Aoki, M.; Wada, T.; Kataoka, T.; Tanaka, Y. Biomechanical study of the extensor carpi ulnaris as a dynamic wrist stabilizer. J. Hand Surg. Am. 2012, 37, 2456–2461. [Google Scholar] [CrossRef] [PubMed]
- Tang, J.B.; Ryu, J.; Kish, V. The triangular fibrocartilage complex: An important component of the pulley for the ulnar wrist extensor. J. Hand Surg. Am. 1998, 23, 986–991. [Google Scholar] [CrossRef]
- Nakamura, R.; Horii, E.; Imaeda, T.; Nakao, E.; Kato, H.; Watanabe, K. The ulnocarpal stress test in the diagnosis of ulnar-sided wrist pain. J. Hand Surg. Br. 1997, 22, 719–723. [Google Scholar] [CrossRef]
- Nakamura, T.; Abe, K.; Terada, N. Cine MRI of the triangular fibrocartilage complex during radial-ulnar deviation. J. Wrist Surg. 2018, 7, 274–280. [Google Scholar] [CrossRef] [PubMed]
- Pratt, R.K.; Hoy, G.A.; Bass Franzcr, C. Extensor carpi ulnaris subluxation or dislocation? Ultrasound measurement of tendon excursion and normal values. Hand Surg. 2004, 9, 137–143. [Google Scholar] [CrossRef] [PubMed]
- Lee, K.S.; Ablove, R.H.; Singh, S.; De Smet, A.A.; Haaland, B.; Fine, J.P. Ultrasound imaging of normal displacement of the extensor carpi ulnaris tendon within the ulnar groove in 12 forearm-wrist positions. AJR Am. J. Roentgenol. 2009, 193, 651–655. [Google Scholar] [CrossRef] [PubMed]
- Spicer, P.J.; Romesberg, A.; Kamineni, S.; Beaman, F.D. Ultrasound of extensor carpi ulnaris tendon subluxation in a tennis player. Ultrasound Q. 2016, 32, 191–193. [Google Scholar] [CrossRef]
- Shinohara, I.; Inui, A.; Mifune, Y.; Nishimoto, H.; Yamaura, K.; Mukohara, S.; Yoshikawa, T.; Kato, T.; Furukawa, T.; Hoshino, Y.; et al. Motion Analysis of triangular fibrocartilage complex by using ultrasonography images: Preliminary analysis. Sensors 2022, 22, 345. [Google Scholar] [CrossRef]
- Dilley, A.; Greening, J.; Lynn, B.; Leary, R.; Morris, V. The use of cross-correlation analysis between high-frequency ultrasound images to measure longitudinal median nerve movement. Ultrasound Med. Biol. 2001, 27, 1211–1218. [Google Scholar] [CrossRef]
- Kawanishi, K.; Kudo, S.; Yokoi, K. Relationship between gliding and lateral femoral pain in patients with trochanteric fracture. Arch. Phys. Med. Rehabil. 2020, 101, 457–463. [Google Scholar] [CrossRef] [PubMed]
- Wu, W.T.; Chang, K.V.; Mezian, K.; Naňka, O.; Yang, Y.C.; Hsu, Y.C.; Hsu, P.C.; Özçakar, L. Ulnar wrist pain revisited: Ultrasound diagnosis and guided injection for triangular fibrocartilage complex injuries. J. Clin. Med. 2019, 8, 1540. [Google Scholar] [CrossRef] [PubMed]
- Okada, S.; Fukuoka, S. Characteristics of Flood Flow, Sediment Discharge and Bed Topography in Compound Rivers. Doboku Gakkai Ronbunshu 2004, 754, 19–31. (In Japanese) [Google Scholar] [CrossRef][Green Version]
- Hess, F.; Farshad, M.; Sutter, R.; Nagy, L.; Schweizer, A. A novel technique for detecting instability of the distal radioulnar joint in complete triangular fibrocartilage complex lesions. J. Wrist Surg. 2012, 1, 153–158. [Google Scholar] [CrossRef] [PubMed]
- Omokawa, S.; Iida, A.; Kawamura, K.; Nakanishi, Y.; Shimizu, T.; Kira, T.; Onishi, T.; Hayami, N.; Tanaka, Y. A biomechanical perspective on distal radioulnar joint instability. J. Wrist Surg. 2017, 6, 88–96. [Google Scholar] [CrossRef] [PubMed]
- Iida, A.; Omokawa, S.; Moritomo, H.; Omori, S.; Kataoka, T.; Aoki, M.; Wada, T.; Fujimiya, M.; Tanaka, Y. Effect of wrist position on distal radioulnar joint stability: A biomechanical study. J. Orthop. Res. 2014, 32, 1247–1251. [Google Scholar] [CrossRef] [PubMed]
- Campbell, D.; Campbell, R.; O’Connor, P.; Hawkes, R. Sports-related extensor carpi ulnaris pathology: A review of functional anatomy, sports injury and management. Br. J. Sports Med. 2013, 47, 1105–1111. [Google Scholar] [CrossRef] [PubMed]






| Control Group | Injury Group | p Value | |
|---|---|---|---|
| Curvature Ratio | |||
| Max UD | 0.075 (0.036) | 0.108 (0.057) | 0.021 | 
| Max RD | 0.079 (0.042) | 0.088 (0.046) | 0.27 | 
| p value | 0.27 | 0.013 | |
| Linearity Ratio | |||
| Max UD | 0.65 (0.12) | 0.58 (0.12) | 0.048 | 
| Max RD | 0.62 (0.15) | 0.62 (0.11) | 0.50 | 
| p value | 0.071 | 0.034 | 
| Control Group | Injury Group | p Value | |
|---|---|---|---|
| U component | |||
| Radial deviation | −0.330 (0.478) | −0.530 (1.09) | 0.30 | 
| Ulnar deviation | 0.223 (0.501) | 0.218 (0.719) | 0.50 | 
| V component | |||
| Radial deviation | 0.075 (0.35) | −0.235 (0.25) | 0.005 | 
| Ulnar deviation | −0.116 (0.44) | 0.283 (0.22) | 0.007 | 
| Publisher’s Note: MDPI stays neutral with regard to jurisdictional claims in published maps and institutional affiliations. | 
© 2022 by the authors. Licensee MDPI, Basel, Switzerland. This article is an open access article distributed under the terms and conditions of the Creative Commons Attribution (CC BY) license (https://creativecommons.org/licenses/by/4.0/).
Share and Cite
Tanaka, S.; Inui, A.; Mifune, Y.; Nishimoto, H.; Yoshikawa, T.; Shinohara, I.; Furukawa, T.; Kato, T.; Kusunose, M.; Kuroda, R. Motion Analysis of the Extensor Carpi Ulnaris in Triangular Fibrocartilage Complex Injury Using Ultrasonography Images. Sensors 2022, 22, 8216. https://doi.org/10.3390/s22218216
Tanaka S, Inui A, Mifune Y, Nishimoto H, Yoshikawa T, Shinohara I, Furukawa T, Kato T, Kusunose M, Kuroda R. Motion Analysis of the Extensor Carpi Ulnaris in Triangular Fibrocartilage Complex Injury Using Ultrasonography Images. Sensors. 2022; 22(21):8216. https://doi.org/10.3390/s22218216
Chicago/Turabian StyleTanaka, Shuya, Atsuyuki Inui, Yutaka Mifune, Hanako Nishimoto, Tomoya Yoshikawa, Issei Shinohara, Takahiro Furukawa, Tatsuo Kato, Masaya Kusunose, and Ryosuke Kuroda. 2022. "Motion Analysis of the Extensor Carpi Ulnaris in Triangular Fibrocartilage Complex Injury Using Ultrasonography Images" Sensors 22, no. 21: 8216. https://doi.org/10.3390/s22218216
APA StyleTanaka, S., Inui, A., Mifune, Y., Nishimoto, H., Yoshikawa, T., Shinohara, I., Furukawa, T., Kato, T., Kusunose, M., & Kuroda, R. (2022). Motion Analysis of the Extensor Carpi Ulnaris in Triangular Fibrocartilage Complex Injury Using Ultrasonography Images. Sensors, 22(21), 8216. https://doi.org/10.3390/s22218216
 
        


 
       