Characterization of Nuclear Pleomorphism and Tubules in Histopathological Images of Breast Cancer †
Abstract
:1. Introduction
2. Materials and Methods
2.1. Differentiation Grade in Histopathology

2.2. Mathematical Morphology
2.3. Granulometry
2.4. Watershed
2.5. Circularity Estimation
3. Methodology
3.1. Nuclei Extraction
3.1.1. Separation of Tissue and Nuclei

3.1.2. Nuclei Segmentation
3.2. Tubule Detection and Segmentation

3.2.1. Detection of Lumina Candidates

3.2.2. Retrieving of Glandular Tissue
3.2.3. Analysis of Glandular Tissue

4. Results and Discussion
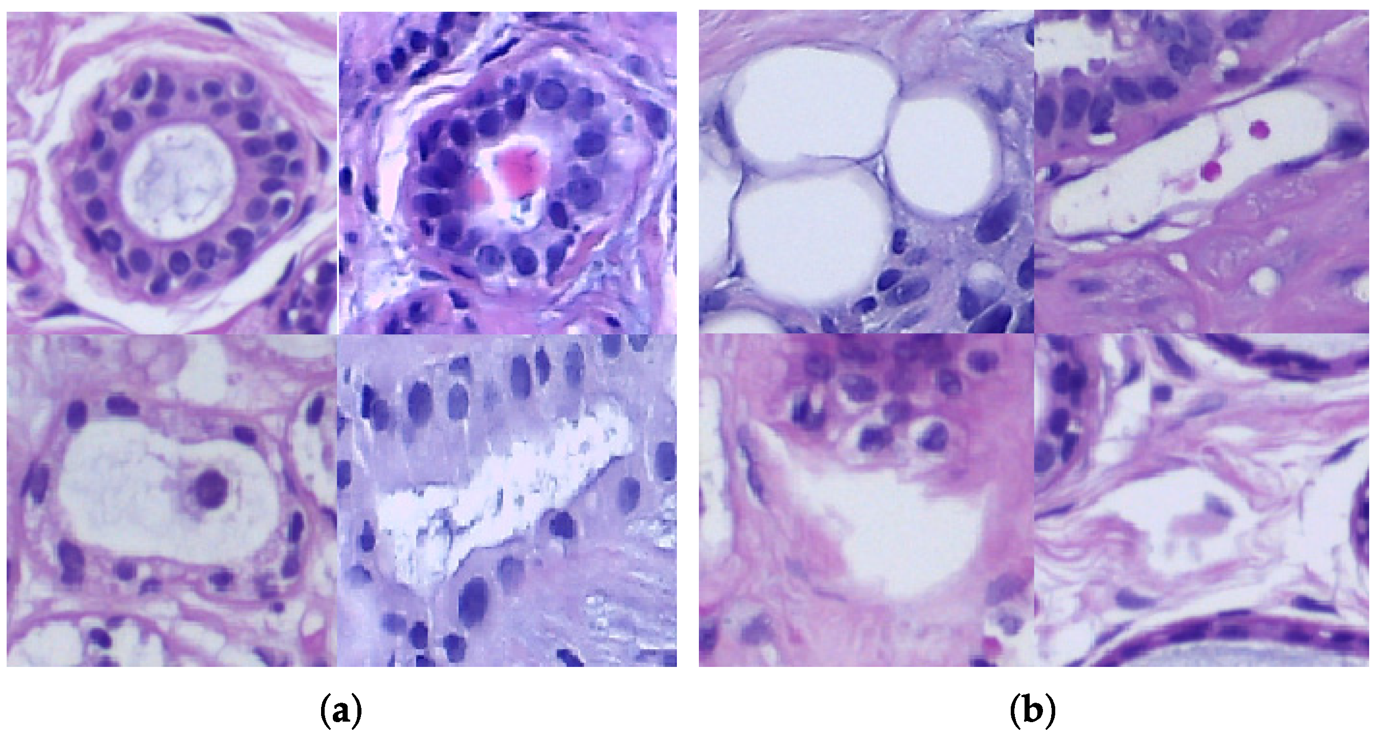
4.1. Dataset
4.2. Automatic Segmentation of Nuclei
4.2.1. Healthy Tissue vs. Cancerous Tissue
4.2.2. Cancerous Differentiation Grades
4.3. Identification of Tubules
4.4. Discussion
| Method | G1 vs. G2 | G1 vs. G3 | G2 vs. G3 | G1 vs. G2 vs. G3 | Approach |
|---|---|---|---|---|---|
| Petushi et al. [13] | - | 92% | - | 72% | Texture features |
| Basavanhally et al. [10] | 72% | 93% | 74% | - | Texture features |
| Doyle et al. [8] | - | 93% | - | - | Texture and graph features |
| Naik et al. [7] | - | 80.5% | - | - | Template matching and morphological features |
| Cao et al. [12] | 74% | 90% | 76% | - | DL |
| Wan et al. [11] | 77% | 92% | 76% | 69% | DL |
| Yan et al. [35] | 94.1% | 97.8% | 93.9% | 93.4% | DL |
| Proposed | - | - | - | 84% | Morphological and geometrical features |
5. Conclusions
Author Contributions
Funding
Institutional Review Board Statement
Informed Consent Statement
Data Availability Statement
Conflicts of Interest
References
- Wang, P.; Hu, X.; Li, Y.; Liu, Q.; Zhu, X. Automatic cell nuclei segmentation and classification of breast cancer histopathology images. Signal Process. 2016, 122, 1–13. [Google Scholar] [CrossRef]
- Elston, C.W.; Ellis, I.O. Pathological prognostic factors in breast cancer. I. The value of histological grade in breast cancer: Experience from a large study with long-term follow-up. Histopathology 1991, 19, 403–410. [Google Scholar] [CrossRef]
- Simpson, J.F.; Gray, R.; Dressler, L.G.; Cobau, C.D.; Falkson, C.I.; Gilchrist, K.W.; Pandya, K.J.; Page, D.L.; Robert, N.J. Prognostic value of histologic grade and proliferative activity in axillary node–positive breast cancer: Results from the eastern cooperative oncology group companion study, est 4189. J. Clin. Oncol. 2000, 18, 2059–2069. [Google Scholar] [CrossRef]
- Bloom, H.; Richardson, W. Histological grading and prognosis in breast cancer: A study of 1409 cases of which 359 have been followed for 15 years. Br. J. Cancer 1957, 11, 359. [Google Scholar] [CrossRef] [Green Version]
- World Health Organization. Histological Typing of Breast Tumours; World Health Organization: Geneva, Switzerland, 1981. [Google Scholar]
- Slaoui, M.; Fiette, L. Histopathology procedures: From tissue sampling to histopathological evaluation. In Drug safety evaluation; Springer: Berlin/Heidelberg, Germany, 2011; pp. 69–82. [Google Scholar]
- Naik, S.; Doyle, S.; Agner, S.; Madabhushi, A.; Feldman, M.; Tomaszewski, J. Automated gland and nuclei segmentation for grading of prostate and breast cancer histopathology. In Proceedings of the 2008 5th IEEE International Symposium on Biomedical Imaging: From Nano to Macro, Paris, France, 14–17 May 2008; pp. 284–287. [Google Scholar] [CrossRef]
- Doyle, S.; Agner, S.; Madabhushi, A.; Feldman, M.; Tomaszewski, J. Automated grading of breast cancer histopathology using spectral clustering with textural and architectural image features. In Proceedings of the 2008 5th IEEE International Symposium on Biomedical Imaging: From Nano to Macro, Paris, France, 14–17 May 2008; pp. 496–499. [Google Scholar] [CrossRef]
- Weyn, B.; Van De Wouwer, G.; Van Daele, A.; Scheunders, P.; Van Dyck, D.; Van Marck, E.; Jacob, W. Automated breast tumor diagnosis and grading based on wavelet chromatin texture description. Cytom. J. Int. Soc. Anal. Cytol. 1998, 33, 32–40. [Google Scholar] [CrossRef]
- Basavanhally, A.; Ganesan, S.; Feldman, M.; Shih, N.; Mies, C.; Tomaszewski, J.; Madabhushi, A. Multi-field-of-view framework for distinguishing tumor grade in ER+ breast cancer from entire histopathology slides. IEEE Trans. Biomed. Eng. 2013, 60, 2089–2099. [Google Scholar] [CrossRef] [Green Version]
- Wan, T.; Cao, J.; Chen, J.; Qin, Z. Automated grading of breast cancer histopathology using cascaded ensemble with combination of multi-level image features. Neurocomputing 2017, 229, 34–44. [Google Scholar] [CrossRef]
- Cao, J.; Qin, Z.; Jing, J.; Chen, J.; Wan, T. An automatic breast cancer grading method in histopathological images based on pixel-, object-, and semantic-level features. In Proceedings of the 2016 IEEE 13th International Symposium on Biomedical Imaging (ISBI), Prague, Czech Republic, 13–16 April 2016; pp. 1151–1154. [Google Scholar]
- Petushi, S.; Garcia, F.U.; Haber, M.M.; Katsinis, C.; Tozeren, A. Large-scale computations on histology images reveal grade-differentiating parameters for breast cancer. BMC Med. Imaging 2006, 6, 14. [Google Scholar] [CrossRef]
- Dalle, J.R.; Leow, W.K.; Racoceanu, D.; Tutac, A.E.; Putti, T.C. Automatic breast cancer grading of histopathological images. In Proceedings of the 2008 30th Annual International Conference of the IEEE Engineering in Medicine and Biology Society, Vancouver, BC, Canada, 20–25 August 2008; pp. 3052–3055. [Google Scholar]
- Guatemala-Sanchez, V.R.; Peregrina-Barreto, H.; Lopez-Armas, G. Nuclei Segmentation on Histopathology Images of Breast Carcinoma. In Proceedings of the 2021 43rd Annual International Conference of the IEEE Engineering in Medicine & Biology Society (EMBC), Guadalajara, Mexico, 1–5 November 2021; pp. 2622–2628. [Google Scholar]
- Gurcan, M.N.; Boucheron, L.E.; Can, A.; Madabhushi, A.; Rajpoot, N.M.; Yener, B. Histopathological Image Analysis: A Review. IEEE Rev. Biomed. Eng. 2009, 2, 147–171. [Google Scholar] [CrossRef] [Green Version]
- Fox, H. Is H&E morphology coming to an end? J. Clin. Pathol. 2000, 53, 38–40. [Google Scholar]
- Spanhol, F.A.; Oliveira, L.S.; Petitjean, C.; Heutte, L. A dataset for breast cancer histopathological image classification. IEEE Trans. Biomed. Eng. 2015, 63, 1455–1462. [Google Scholar] [CrossRef]
- González, R.C.; Woods, R.E. Digital Image Processing; Pearson: Upper Saddle River, NJ, USA, 2018. [Google Scholar]
- Davies, E.R. Computer Vision: Principles, Algorithms, Applications, Learning; Elsevier: Amsterdam, The Netherlands, 2018. [Google Scholar]
- Maragos, P. Pattern spectrum and multiscale shape representation. IEEE Trans. Pattern Anal. Mach. Intell. 1989, 11, 701–716. [Google Scholar] [CrossRef] [Green Version]
- Vincent, L. Granulometries and opening trees. Fundam. Inform. 2000, 41, 57–90. [Google Scholar] [CrossRef]
- Moga, A.; Cramariuc, B.; Gabbouj, M. An efficient watershed segmentation algorithm suitable for parallel implementation. In Proceedings of the Proceedings., International Conference on Image Processing, Washington, DC, USA, 23–26 October 1995; Volume 2, pp. 101–104. [Google Scholar]
- Roerdink, J.B.; Meijster, A. The watershed transform: Definitions, algorithms and parallelization strategies. Fundam. Inform. 2000, 41, 187–228. [Google Scholar] [CrossRef] [Green Version]
- Wirth, M.A. Shape Analysis and Measurement. Ph.D. Thesis, University of Guelph, Guelph, ON, Canada, 2001. [Google Scholar]
- Chatzis, V.; Kaburlasos, V.G.; Theodorides, M. An image processing method for particle size and shape estimation. In Proceedings of the 2nd International Scientific Conference on Computer Science, Chalkidiki, Greece, 30 September–2 October 2005; Volume 30. [Google Scholar]
- Almeida-Prieto, S.; Blanco-Méndez, J.; Otero-Espinar, F.J. Image analysis of the shape of granulated powder grains. J. Pharm. Sci. 2004, 93, 621–634. [Google Scholar] [CrossRef]
- Benens, C.; Jenné, R.; Van Impe, J. Evaluation of different shape parameters to distinguish between flocs and filaments in activated sludge images. Water Sci. Technol. 2002, 45, 85–91. [Google Scholar] [CrossRef]
- Herrera-Navarro, A.M.; Jiménez Hernández, H.; Peregrina-Barreto, H.; Manríquez-Guerrero, F.; Terol-Villalobos, I.R. A new measure of circularity based on distribution of the radius. Comput. y Sist. 2013, 17, 515–526. [Google Scholar]
- Poynton, C. Digital Video and HD: Algorithms and Interfaces; Elsevier: Amsterdam, The Netherlands, 2012. [Google Scholar]
- Aresta, G.; Araújo, T.; Kwok, S.; Chennamsetty, S.S.; Safwan, M.; Alex, V.; Marami, B.; Prastawa, M.; Chan, M.; Donovan, M.; et al. Bach: Grand challenge on breast cancer histology images. Med. Image Anal. 2019, 56, 122–139. [Google Scholar] [CrossRef]
- Gelasca, E.D.; Byun, J.; Obara, B.; Manjunath, B. Evaluation and benchmark for biological image segmentation. In Proceedings of the 2008 15th IEEE International Conference on Image Processing, San Diego, CA, USA, 12–15 October 2008; pp. 1816–1819. [Google Scholar]
- Sorensen, T.A. A method of establishing groups of equal amplitude in plant sociology based on similarity of species content and its application to analyses of the vegetation on Danish commons. Biol. Skar. 1948, 5, 1–34. [Google Scholar]
- Dice, L.R. Measures of the amount of ecologic association between species. Ecology 1945, 26, 297–302. [Google Scholar] [CrossRef]
- Yan, R.; Ren, F.; Li, J.; Rao, X.; Lv, Z.; Zheng, C.; Zhang, F. Nuclei-Guided Network for Breast Cancer Grading in HE-Stained Pathological Images. Sensors 2022, 22, 4061. [Google Scholar] [CrossRef]
- Wang, X.; Liang, G.; Zhang, Y.; Blanton, H.; Bessinger, Z.; Jacobs, N. Inconsistent performance of deep learning models on mammogram classification. J. Am. Coll. Radiol. 2020, 17, 796–803. [Google Scholar] [CrossRef] [PubMed] [Green Version]












| Metric | No Cluster | Cluster |
|---|---|---|
| Separation | Separation | |
| Coefficient Sørensen–Dice | ||
| Accuracy | ||
| Sensitivity |
Publisher’s Note: MDPI stays neutral with regard to jurisdictional claims in published maps and institutional affiliations. |
© 2022 by the authors. Licensee MDPI, Basel, Switzerland. This article is an open access article distributed under the terms and conditions of the Creative Commons Attribution (CC BY) license (https://creativecommons.org/licenses/by/4.0/).
Share and Cite
Peregrina-Barreto, H.; Ramirez-Guatemala, V.Y.; Lopez-Armas, G.C.; Cruz-Ramos, J.A. Characterization of Nuclear Pleomorphism and Tubules in Histopathological Images of Breast Cancer. Sensors 2022, 22, 5649. https://doi.org/10.3390/s22155649
Peregrina-Barreto H, Ramirez-Guatemala VY, Lopez-Armas GC, Cruz-Ramos JA. Characterization of Nuclear Pleomorphism and Tubules in Histopathological Images of Breast Cancer. Sensors. 2022; 22(15):5649. https://doi.org/10.3390/s22155649
Chicago/Turabian StylePeregrina-Barreto, Hayde, Valeria Y. Ramirez-Guatemala, Gabriela C. Lopez-Armas, and Jose A. Cruz-Ramos. 2022. "Characterization of Nuclear Pleomorphism and Tubules in Histopathological Images of Breast Cancer" Sensors 22, no. 15: 5649. https://doi.org/10.3390/s22155649
APA StylePeregrina-Barreto, H., Ramirez-Guatemala, V. Y., Lopez-Armas, G. C., & Cruz-Ramos, J. A. (2022). Characterization of Nuclear Pleomorphism and Tubules in Histopathological Images of Breast Cancer. Sensors, 22(15), 5649. https://doi.org/10.3390/s22155649

