The Accuracy and Reliability of Tooth Shade Selection Using Different Instrumental Techniques: An In Vitro Study
Abstract
:1. Introduction
2. Materials and Methods
2.1. Instrumentation
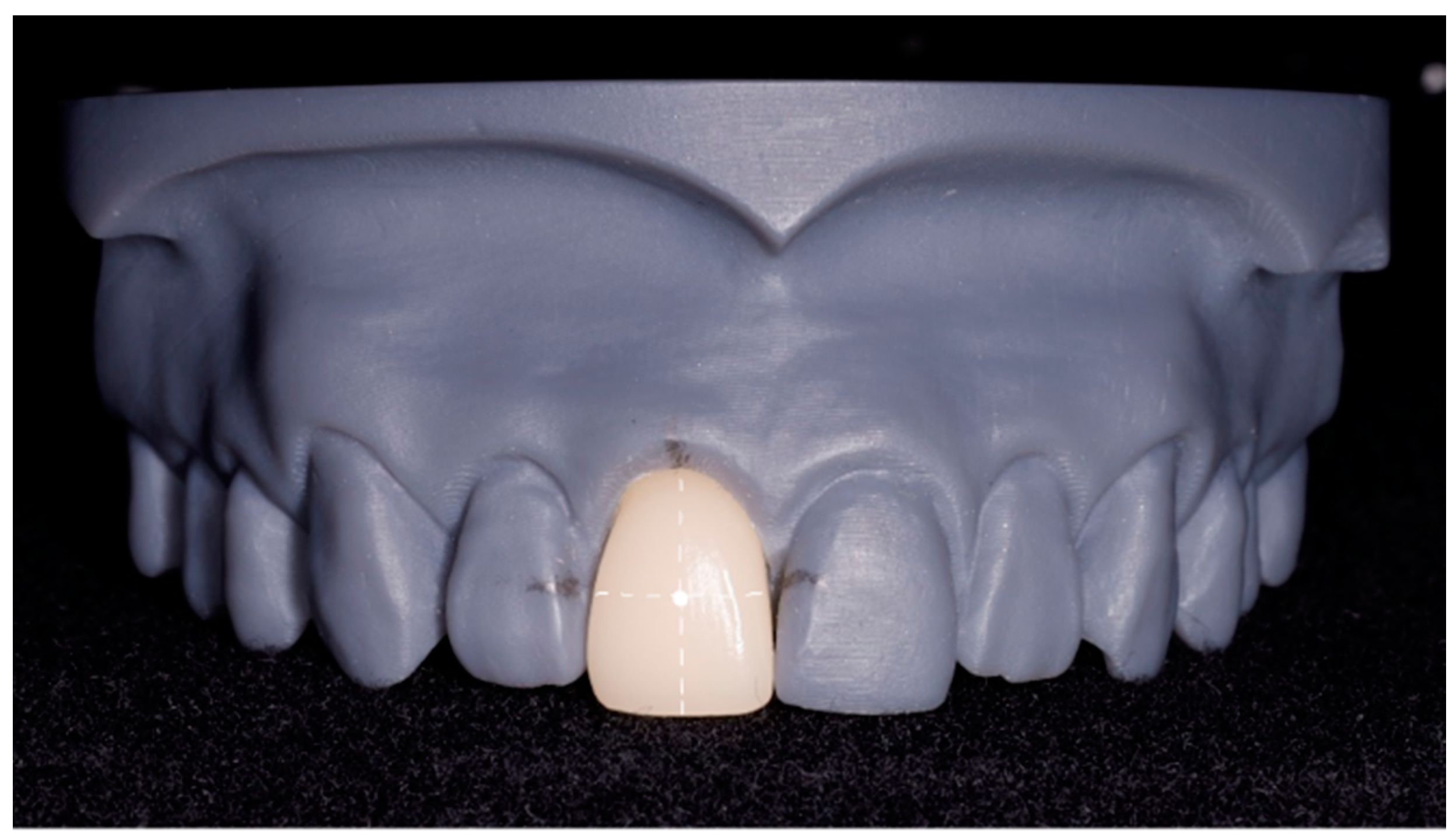
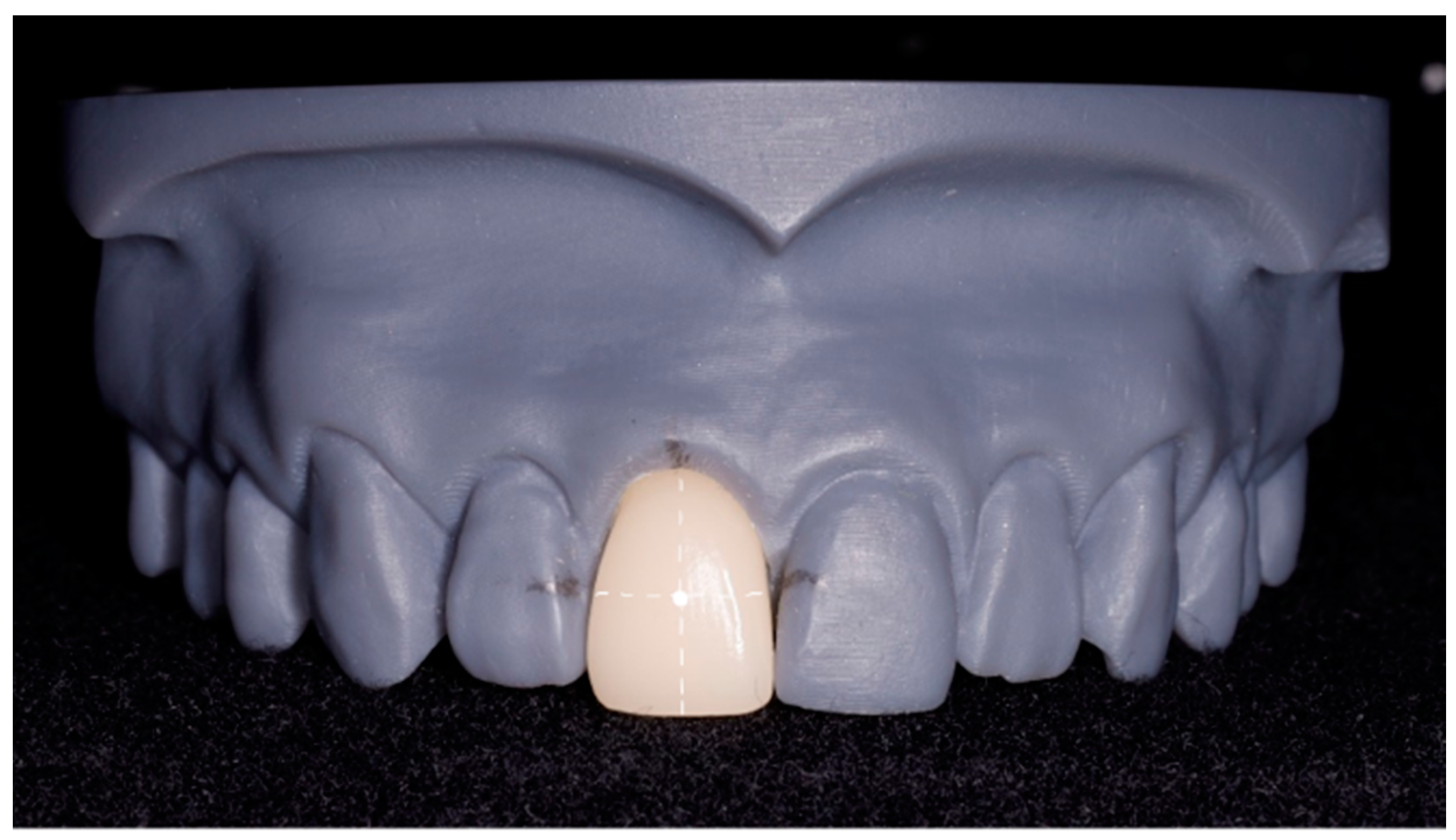
2.2. Model Preparation
2.3. Setting and Calibration
2.3.1. Examiner
2.3.2. Digital Camera
2.3.3. Spectrophotometer
2.3.4. Intraoral Scanners
2.4. Shade Selection
2.4.1. Digital Photography
2.4.2. Intraoral Scanner
2.4.3. Spectrophotometer
2.4.4. Control Group
2.5. Statistical Analysis
3. Results
3.1. Results of Reliability
3.2. Result of Accuracy
3.2.1. Color Difference (ΔE)
3.2.2. Kruskal–Wallis Test
3.2.3. Correlation of Various Methods with the Control Group
4. Discussion
5. Conclusions
Author Contributions
Funding
Data Availability Statement
Conflicts of Interest
References
- Coachman, C.; Bohner, L.; Jreige, C.S.; Sesma, N.; Calamita, M. Interdisciplinary guided dentistry, digital quality control, and the “copy-paste” concepts. Official publication of the American Academy of Esthetic. J. Esthet. Restor. Dent. 2021, 33, 982–991. [Google Scholar] [CrossRef]
- Rokaya, D.; Kitisubkanchana, J.; Wonglamsam, A.; Santiwong, P.; Srithavaj, T.; Humagain, M. Nepalese Esthetic Dental (NED) Proportion in Nepalese Population. Kathmandu Univ. Med. J. (KUMJ) 2017, 13, 244–249. [Google Scholar] [CrossRef] [PubMed] [Green Version]
- Humagain, M.; Rokaya, D.; Srii, R.; Dixit, S.; Kafle, D. Gender Based Comparison of Gingival Zenith Esthetics. Kathmandu Univ. Med. J. (KUMJ) 2017, 14, 148–152. [Google Scholar]
- Chu, S.J.; Trushkowsky, R.D.; Paravina, R.D. Dental color matching instruments and systems. Review of clinical and research aspects. J. Dent. 2010, 38, e2–e16. [Google Scholar] [CrossRef]
- Siddique, S.N.; Khan, F.R.; Babar, P. Comparison of tooth shade matching using visual and digital camera methods. Pak. Oral Dent. J. 2019, 39, 184–188. [Google Scholar]
- Liberato, W.F.; Barreto, I.C.; Costa, P.P.; de Almeida, C.C.; Pimentel, W.; Tiossi, R. A comparison between visual, intraoral scanner, and spectrophotometer shade matching: A clinical study. J. Prosthet. Dent. 2019, 121, 271–275. [Google Scholar] [CrossRef]
- Reyes, J.; Acosta, P.; Ventura, D. Repeatability of the human eye compared to an intraoral scanner in dental shade matching. Heliyon 2019, 5, e02100. [Google Scholar] [CrossRef] [PubMed] [Green Version]
- Brandt, J.; Nelson, S.; Lauer, H.-C.; Von Hehn, U.; Brandt, S. In vivo study for tooth colour determination—Visual versus digital. Clin. Oral Investig. 2017, 21, 2863–2871. [Google Scholar] [CrossRef] [PubMed]
- Gotfredsen, K.; Gram, M.; Ben Brahem, E.; Hosseini, M.; Petkov, M.; Sitorovic, M. Effectiveness of shade measurements using a scanning and computer software system: A pilot study. Int. J. Oral Dent. Health 2015, 1, 2. [Google Scholar] [CrossRef]
- Moussaoui, H.; El Mdaghri, M.; Gouma, A.; Bennani, B. Accuracy, repeatability and reproducibility of digital intraoral scanner for shade selection: Current status of the literature. Oral Health Dent. Sci. 2018, 2, 1–6. [Google Scholar]
- Kim-Pusateri, S.; Brewer, J.D.; Davis, E.L.; Wee, A.G. Reliability and accuracy of four dental shade-matching devices. J. Prosthet. Dent. 2009, 101, 193–199. [Google Scholar] [CrossRef]
- Rutkūnas, V.; Dirsė, J.; Bilius, V. Accuracy of an intraoral digital scanner in tooth color determination. J. Prosthet. Dent. 2020, 123, 322–329. [Google Scholar] [CrossRef] [PubMed]
- Amornvit, P.; Rokaya, D.; Sanohkan, S. Comparison of Accuracy of Current Ten Intraoral Scanners. BioMed Res. Int. 2021, 2021, 2673040. [Google Scholar] [CrossRef] [PubMed]
- Amornvit, P.; Rokaya, D.; Peampring, C.; Sanohkan, S. Confocal 3D Optical Intraoral Scanners and Comparison of Image Capturing Accuracy. Comput. Mater. Contin. 2021, 66, 303–314. [Google Scholar] [CrossRef]
- Humagain, M.; Rokaya, D. Integrating digital technologies in dentistry to enhance the clinical success. Kathmandu Univ. Med. J. (KUMJ) 2019, 17, 256–257. [Google Scholar]
- Mehl, A.; Bosch, G.; Fischer, C.; Ender, A. In vivo tooth-color measurement with a new 3D intraoral scanning system in comparison to conventional digital and visual color determination methods. Int. J. Comput. Dent. 2017, 20, 343–361. [Google Scholar] [PubMed]
- Gurrea, J.; Gurrea, M.; Bruguera, A.; Sampaio, C.S.; Janal, M.; Bonfante, E.; Coelho, P.G.; Hirata, R. Evaluation of Dental Shade Guide Variability Using Cross-Polarized Photography. Int. J. Periodontics Restor. Dent. 2016, 36, e76–e81. [Google Scholar] [CrossRef] [Green Version]
- Sproull, R.C. Color matching in dentistry. Part I. The three-dimensional nature of color. J. Prosthet. Dent. 2001, 86, 453–457. [Google Scholar] [CrossRef] [PubMed]
- Ragain, J.C. A Review of Color Science in Dentistry: Colorimetry and Color Space. J. Dent. Oral Disord. Ther. 2016, 4, 1–5. [Google Scholar] [CrossRef]
- Hunt, R.W.G.; Pointer, M.R. Measuring Colour; John Wiley & Sons: Hoboken, NJ, USA, 2011. [Google Scholar]
- Nahsan, F.P.S.; Mondelli, R.F.L.; Franco, E.B.; Naufel, F.S.; Ueda, J.K.; Schmitt, V.L.; Baseggio, W. Clinical strategies for esthetic excellence in anterior tooth restorations: Understanding color and composite resin selection. J. Appl. Oral Sci. 2012, 20, 151–156. [Google Scholar] [CrossRef] [Green Version]
- Baltzer, A.; Kaufmann-Jinoian, V. The determination of the tooth colors. Quintessenz Zahntech 2004, 30, 726–740. [Google Scholar]
- Khashayar, G.; Bain, P.A.; Salari, S.; Dozic, A.; Kleverlaan, C.J.; Feilzer, A.J. Perceptibility and acceptability thresholds for colour differences in dentistry. J. Dent. 2014, 42, 637–644. [Google Scholar] [CrossRef] [PubMed]
- Kuehni, R.G.; Marcus, R.T. An experiment in visual scaling of small color differences. Color Res. Appl. 1979, 4, 83–91. [Google Scholar]
- Ruyter, I.; Nilner, K.; Möller, B. Color stability of dental composite resin materials for crown and bridge veneers. Dent. Mater. 1987, 3, 246–251. [Google Scholar] [CrossRef]
- Wee, A.G.; Lindsey, D.T.; Kuo, S.; Johnston, W.M. Color accuracy of commercial digital cameras for use in dentistry. Dent. Mater. 2006, 22, 553–559. [Google Scholar] [CrossRef] [PubMed]
- Alshiddi, I.F.; Richards, L.C. A comparison of conventional visual and spectrophotometric shade taking by trained and untrained dental students. Aust. Dent. J. 2015, 60, 176–181. [Google Scholar] [CrossRef]
- Gehrke, P.; Riekeberg, U.; Fackler, O.; Dhom, G. Comparison of in vivo visual, spectrophotometric and colorimetric shade determination of teeth and implant-supported crowns. Int. J. Comput. Dent. 2009, 12, 247–263. [Google Scholar] [PubMed]
- Kröger, E.; Matz, S.; Dekiff, M.; Tran, B.L.; Figgener, L.; Dirksen, D. In vitro comparison of instrumental and visual tooth shade determination under different illuminants. J. Prosthet. Dent. 2015, 114, 848–855. [Google Scholar] [CrossRef]
- Dietschi, D. Optimising aesthetics and facilitating clinical application of free-hand bonding using the ‘natural layering concept’. Br. Dent. J. 2008, 204, 181–185. [Google Scholar] [CrossRef]
- Franca, F.; Francischane, C.; Medina-Valdivia, J.; Baseggia, W. Reproducing the natural aspects of dental tissues with resin composites in proximoincisal restorations. Quintessence Int. 2007, 38, 505–510. [Google Scholar]
- Terry, D.A.; Geller, W. Esthetic and Restorative Dentistry; Stillwater, M.N., Ed.; Everest Publishing Media: Mumbai, India, 2009. [Google Scholar]
- Sampaio, C.S.; Atria, P.J.; Hirata, R.; Jorquera, G. Variability of color matching with different digital photography techniques and a gray reference card. J. Prosthet. Dent. 2019, 121, 333–339. [Google Scholar] [CrossRef] [PubMed]
- Johnston, W.; Kao, E. Assessment of Appearance Match by Visual Observation and Clinical Colorimetry. J. Dent. Res. 1989, 68, 819–822. [Google Scholar] [CrossRef]
- Anand, D.; Kumar, G.; Anand, D.Y.; Sundar, M.K.; Sharma, R.; Gaurav, A. Shade selection: Spectrophotometer vs digital camera—A comparative in-vitro study. Ann. Prosthod. Restor. Dent. 2016, 2, 73–78. [Google Scholar]
- Mahn, E.; Tortora, S.C.; Olate, B.; Cacciuttolo, F.; Kernitsky, J.; Jorquera, G. Comparison of visual analog shade matching, a digital visual method with a cross-polarized light filter, and a spectrophotometer for dental color matching. J. Prosthet. Dent. 2021, 125, 511–516. [Google Scholar] [CrossRef] [PubMed]
- Tam, W.-K.; Lee, H.-J. Accurate shade image matching by using a smartphone camera. J. Prosthodont. Res. 2017, 61, 168–176. [Google Scholar] [CrossRef] [PubMed]
- Snow, S.R. Assessing and achieving accuracy in digital dental photography. J. Calif. Dent. Assoc. 2009, 37, 185–191. [Google Scholar]
- Tsiliagkou, A.; Diamantopoulou, S.; Papazoglou, E.; Kakaboura, A. Evaluation of reliability and validity of three dental colour-matching devices. Int. J. Esthet. Dent. 2016, 11, 110–124. [Google Scholar] [PubMed]
- Khurana, R.; Tredwin, C.J.; Weisbloom, M.; Moles, D.R. A clinical evaluation of the individual repeatability of three commercially available colour measuring devices. Br. Dent. J. 2007, 203, 675–680. [Google Scholar] [CrossRef] [Green Version]







| Equipment | Description | Manufacturer |
|---|---|---|
| 30 blocks of Vitablocs® mark II 3D-master | Monochromatic, tooth-colored feldspar ceramic. Size I10 for central incisor and 9 different shades including 1M1, 1M2, 2M1, 2M2, 2M3, 3M1, 3M2, 3M3, and 4M2 | VITA Zahnfabrik®, Bad Sackingen, Germany |
| VITA Easyshade® Advance 5.0 | Spectrophotometer | VITA Zahnfabrik®, Bad Sackingen, Germany |
| Nikon D500 | DSLR camera | Nikon®, Tokyo, Japan |
| Macro twin lite flash MK-MT24 | Twin flash | Meike global®, Hongkong |
| Metz Mecabiltz ring flash 15MS-1 | Ring flash | Metz®, Zendorf, Germany |
| AF-S Micro Nikkor 105 mm f/2.8G ED | Macro lens | Nikon®, Tokyo, Japan |
| LightThrough for Metz® ring flash | Polarized filter for ring flash | LightThrough®, Bang Kapi, Thailand |
| LightThrough for Meike twin flash | Polarized filter for twin flash | LightThrough®, Thailand |
| Galaxy Note 20 Ultra 5G camera | Smartphone camera | Samsung C&T®, Seoul, Korea |
| Adobe® Photoshop® 2020 program | Image editing software generated the CIE L*a*b* value for photographs | Adobe®, San Jose, CA, USA |
| Trios 3 Basic | Intraoral scanner | 3Shape®, Copenhagen, Denmark |
| Smartphone light corrector | External light source for smartphone | COCO Lux®, Hass, Gyeonggi-do, Korea |
| Foldable mini-studio | Mini-studio for photography | Foldio®, OrangeMonkie, San Diego, CA, USA |
| Group | Photo | Equipment | Parameter Calibration |
|---|---|---|---|
| 1 | ![]() | DSLR camera with twin flash and polarized filter: DSLR + TF | Exposure (1/250 s, f32), ISO (100), flash (ETTL), magnification ratio (1:1), white balance (Auto) distance (30 cm) |
| 2 | ![]() | DSLR camera with ring flash and polarized filter: DSLR + RF | Exposure (1/250 s, f32), ISO (100), flash (ETTL), focusing ratio (1:1), white balance (Auto), distance (30 cm) |
| 3 | ![]() | Smartphone camera with light corrector and polarized filter: SMART | Exposure (f50), ISO (200), flash (Auto), focusing ratio (1:1), white balance (5000 K), distance (15 cm), light corrector’s mode (ring mode) |
| 4 | ![]() | Intraoral scanner: IOS (Trios 3) | Calibrate following the manufacturer’s recommendations before used, Software: TRIOS 2014 software–1.3.2.0 or later |
| 5 | ![]() | Spectrophotometer: SPEC | Calibrated following the manufacturer’s recommendations each time, Mode: Vita 3D master |
| Measurements | Group | 95% Confidence Interval | Mean | Intraclass Correlation | |
|---|---|---|---|---|---|
| Lower Bound | Upper Bound | ||||
| L value | DSLR + TF | 0.482 | 0.963 | 0.917 | 0.847 |
| DSLR + RF | 0.341 | 0.976 | 0.939 | 0.886 | |
| SMART | 0.225 | 0.931 | 0.845 | 0.732 | |
| IOS | 0.986 | 0.999 | 0.998 | 0.996 | |
| SPEC | 0.955 | 0.997 | 0.994 | 0.989 | |
| a value | DSLR + TF | 0.670 | 0.983 | 0.960 | 0.923 |
| DSLR + RF | 0.573 | 0.974 | 0.940 | 0.887 | |
| SMART | 0.766 | 0.987 | 0.970 | 0.943 | |
| IOS | 0.977 | 0.999 | 0.997 | 0.994 | |
| SPEC | 0.789 | 0.998 | 0.994 | 0.987 | |
| b value | DSLR + TF | 0.892 | 0.994 | 0.986 | 0.973 |
| DSLR + RF | 0.935 | 0.996 | 0.992 | 0.985 | |
| SMART | 0.991 | 1.000 | 0.999 | 0.998 | |
| IOS | 0.994 | 1.000 | 0.939 | 0.884 | |
| SPEC | 0.597 | 0.972 | 0.999 | 0.999 | |
| Group | Minimum | Maximum | Mean | SD |
|---|---|---|---|---|
| DSLR + TF | 5.78 | 14.82 | 10.90 | 2.29 |
| DSLR + RF | 15.65 | 25.45 | 19.98 | 2.66 |
| SMART | 6.74 | 16.80 | 10.57 | 2.36 |
| IOS | 3.40 | 9.35 | 5.96 | 1.83 |
| SPEC | 7.93 | 14.54 | 11.57 | 1.53 |
| Measurements | Comparison Groups | t | Mean Difference | p Value | |
|---|---|---|---|---|---|
| ∆E | ∆E = 6.8 | DSLR + TF | 9.814 | 4.106 | <0.01 |
| DSLR + RF | 27.106 | 13.181 | <0.01 | ||
| SMART | 8.755 | 3.775 | <0.01 | ||
| IOS | −2.496 | 0.834 | 0.018 | ||
| SPEC | 17.098 | 4.776 | <0.01 | ||
| Measurements | Groups | Mean | SD | Min | Max |
|---|---|---|---|---|---|
| L value | DSLR + TF | 58.30 | 2.18 | 53.00 | 61.00 |
| DSLR + RF | 53.33 | 3.05 | 48.00 | 61.00 | |
| SMART | 60.66 | 2.52 | 56.00 | 65.00 | |
| IOS | 72.99 | 4.48 | 64.40 | 83.10 | |
| SPEC | 79.53 | 2.69 | 74.90 | 84.50 | |
| Control | 68.73 | 3.69 | 62.60 | 75.20 | |
| a value | DSLR + TF | 2.00 | 2.55 | −1.00 | 7.00 |
| DSLR + RF | −0.900 | 1.24 | −5.00 | 2.00 | |
| SMART | 4.57 | 1.98 | 2.00 | 9.00 | |
| IOS | 1.89 | 0.99 | −1.00 | 4.20 | |
| SPEC | 1.16 | 0.60 | 0.10 | 2.20 | |
| Control | 0.96 | 1.13 | −0.50 | 3.40 | |
| b value | DSLR + TF | 18.83 | 4.73 | 12.00 | 25.00 |
| DSLR + RF | 5.60 | 4.03 | 0.00 | 12.00 | |
| SMART | 13.43 | 6.95 | 4.00 | 22.00 | |
| IOS | 16.10 | 2.33 | 12.50 | 21.10 | |
| SPEC | 18.19 | 7.18 | 9.20 | 26.90 | |
| Control | 18.00 | 4.10 | 10.80 | 24.70 |
| Measurements | Comparison Groups | Mean Difference | p-Value | |
|---|---|---|---|---|
| L value | Control | DSLR + TF | 10.43 | <0.01 |
| DSLR + RF | 15.4 | <0.01 | ||
| SMART | 8.07 | <0.01 | ||
| IOS | 4.26 | 1.00 | ||
| SPEC | 10.8 | <0.01 | ||
| a value | Control | DSLR + TF | 1.04 | 1.00 |
| DSLR + RF | 1.86 | <0.01 | ||
| SMART | 3.54 | <0.01 | ||
| IOS | 0.93 | 0.50 | ||
| SPEC | 0.2 | 1.00 | ||
| b value | Control | DSLR + TF | 0.83 | 1.00 |
| DSLR + RF | 12.4 | <0.01 | ||
| SMART | 4.57 | 0.23 | ||
| IOS | 1.9 | 1.00 | ||
| SPEC | 0.19 | 1.00 | ||
| Groups | L Value | a Value | b Value |
|---|---|---|---|
| DSLR + TF | |||
| 0.64 | 0.66 | 0.89 |
| <0.01 | <0.01 | <0.01 |
| DSLR + RF | |||
| 0.71 | 0.57 | 0.91 |
| <0.01 | <0.01 | <0.01 |
| SMART | |||
| 0.88 | 0.74 | 0.93 |
| <0.01 | <0.01 | <0.01 |
| IOS | |||
| 0.38 | 0.63 | 0.82 |
| 0.038 | <0.01 | <0.01 |
| SPEC | |||
| 0.85 | 0.11 | 0.92 |
| <0.01 | 0.56 | <0.01 |
Publisher’s Note: MDPI stays neutral with regard to jurisdictional claims in published maps and institutional affiliations. |
© 2021 by the authors. Licensee MDPI, Basel, Switzerland. This article is an open access article distributed under the terms and conditions of the Creative Commons Attribution (CC BY) license (https://creativecommons.org/licenses/by/4.0/).
Share and Cite
Sirintawat, N.; Leelaratrungruang, T.; Poovarodom, P.; Kiattavorncharoen, S.; Amornsettachai, P. The Accuracy and Reliability of Tooth Shade Selection Using Different Instrumental Techniques: An In Vitro Study. Sensors 2021, 21, 7490. https://doi.org/10.3390/s21227490
Sirintawat N, Leelaratrungruang T, Poovarodom P, Kiattavorncharoen S, Amornsettachai P. The Accuracy and Reliability of Tooth Shade Selection Using Different Instrumental Techniques: An In Vitro Study. Sensors. 2021; 21(22):7490. https://doi.org/10.3390/s21227490
Chicago/Turabian StyleSirintawat, Nattapong, Tanyaporn Leelaratrungruang, Pongsakorn Poovarodom, Sirichai Kiattavorncharoen, and Parinya Amornsettachai. 2021. "The Accuracy and Reliability of Tooth Shade Selection Using Different Instrumental Techniques: An In Vitro Study" Sensors 21, no. 22: 7490. https://doi.org/10.3390/s21227490
APA StyleSirintawat, N., Leelaratrungruang, T., Poovarodom, P., Kiattavorncharoen, S., & Amornsettachai, P. (2021). The Accuracy and Reliability of Tooth Shade Selection Using Different Instrumental Techniques: An In Vitro Study. Sensors, 21(22), 7490. https://doi.org/10.3390/s21227490





