Three-Way Junction-Induced Isothermal Amplification with High Signal-to-Background Ratio for Detection of Pathogenic Bacteria
Abstract
1. Introduction
2. Material and Methods
2.1. Materials
2.2. Detection Procedure for Target Nucleic Acids
2.3. Polyacrylamide Gel Electrophoresis (PAGE)
2.4. Melting Curve Analysis
2.5. Detection Procedure for Target Nucleic Acids in Human Serum
3. Results and Discussion
3.1. Overall Detection Procedure
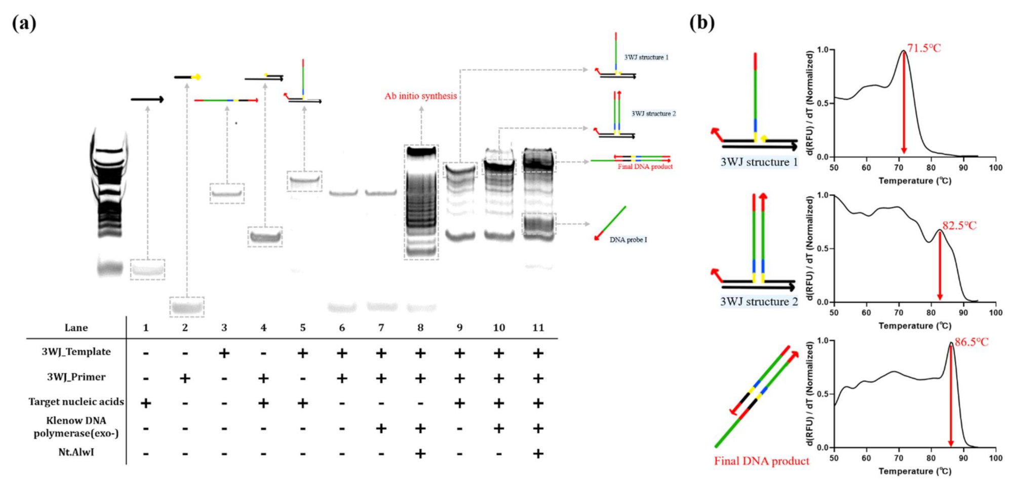
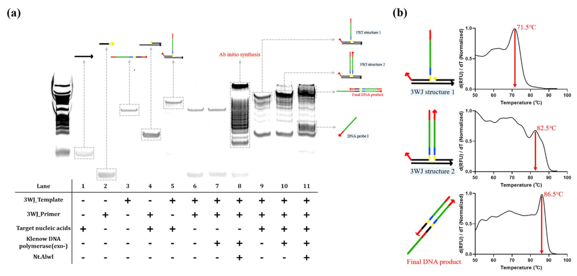
3.2. Detection Feasibility of the Proposed Strategy
3.3. Mechanism Investigation of the Proposed Strategy
3.4. Optimization of Reaction Conditions
3.5. Detection Sensitivity and Selectivity
3.6. Practical Applicability
4. Conclusions
Author Contributions
Funding
Institutional Review Board Statement
Informed Consent Statement
Conflicts of Interest
References
- Ramirez-Castillo, F.Y.; Loera-Muro, A.; Jacques, M.; Garneau, P.; Avelar-Gonzalez, F.J.; Harel, J.; Guerrero-Barrera, A.L. Waterborne pathogens: Detection methods and challenges. Pathogens 2015, 4, 307–334. [Google Scholar] [CrossRef]
- Li, J.; Zhu, Y.; Wu, X.; Hoffmann, M.R. Rapid Detection Methods for Bacterial Pathogens in Ambient Waters at the Point of Sample Collection: A Brief Review. Clin. Infect. Dis. 2020, 71, S84–S90. [Google Scholar] [CrossRef]
- Kumar, N.; Hu, Y.; Singh, S.; Mizaikoff, B. Emerging biosensor platforms for the assessment of water-borne pathogens. Analyst 2018, 143, 359–373. [Google Scholar] [CrossRef]
- Lee, K.J.; Lee, W.S.; Hwang, A.; Moon, J.; Kang, T.; Park, K.; Jeong, J. Simple and rapid detection of bacteria using a nuclease-responsive DNA probe. Analyst 2017, 143, 332–338. [Google Scholar] [CrossRef]
- Hwang, S.H.; Kim, J.H.; Park, J.; Park, K.S. Fluorescence nucleobase analogue-based strategy with high signal-to-noise ratio for ultrasensitive detection of food poisoning bacteria. Analyst 2020, 145, 6307–6312. [Google Scholar] [CrossRef]
- Jayamohan, H.; Gale, B.K.; Minson, B.; Lambert, C.J.; Gordon, N.; Sant, H.J. Highly sensitive bacteria quantification using immunomagnetic separation and electrochemical detection of guanine-labeled secondary beads. Sensors 2015, 15, 12034–12052. [Google Scholar] [CrossRef]
- Uddin, S.M.; Ibrahim, F.; Sayad, A.A.; Thiha, A.; Pei, K.X.; Mohktar, M.S.; Hashim, U.; Cho, J.; Thong, K.L. A portable automatic endpoint detection system for amplicons of loop mediated isothermal amplification on microfluidic compact disk platform. Sensors 2015, 15, 5376–5389. [Google Scholar] [CrossRef]
- Kevadiya, B.D.; Machhi, J.; Herskovitz, J.; Oleynikov, M.D.; Blomberg, W.R.; Bajwa, N.; Soni, D.; Das, S.; Hasan, M.; Patel, M.; et al. Diagnostics for SARS-CoV-2 infections. Nat. Mater. 2021. [Google Scholar] [CrossRef]
- Mathuria, J.P.; Yadav, R.; Rajkumar. Laboratory diagnosis of SARS-CoV-2—A review of current methods. J. Infect. Public Health 2020, 13, 901–905. [Google Scholar] [CrossRef]
- Yoon, T.; Kim, S.; Shin, J.; Zhou, Y.; Park, K.S. Highly sensitive multiplex detection of microRNA using light-up RNA aptamers. Sens. Actuators B Chem. 2021, 330. [Google Scholar] [CrossRef]
- Craw, P.; Balachandran, W. Isothermal nucleic acid amplification technologies for point-of-care diagnostics: A critical review. Lab. Chip. 2012, 12, 2469–2486. [Google Scholar] [CrossRef]
- Daubendiek, S.L.; Ryan, K.; Kool, E.T. Rolling-Circle RNA Synthesis: Circular Oligonucleotides as Efficient Substrates for T7 RNA Polymerase. J. Am. Chem. Soc. 1995, 117, 7818–7819. [Google Scholar] [CrossRef]
- Kim, H.; Fang, S. Crosstalk between FXR and TGR5 controls glucagon-like peptide 1 secretion to maintain glycemic homeostasis. Lab. Anim. Res. 2018, 34, 140–146. [Google Scholar] [CrossRef]
- Murakami, T.; Sumaoka, J.; Komiyama, M. Sensitive isothermal detection of nucleic-acid sequence by primer generation-rolling circle amplification. Nucleic Acids Res. 2009, 37, e19. [Google Scholar] [CrossRef]
- Vincent, M.; Xu, Y.; Kong, H. Helicase-dependent isothermal DNA amplification. EMBO Rep. 2004, 5, 795–800. [Google Scholar] [CrossRef]
- Zhang, X.; Lowe, S.B.; Gooding, J.J. Brief review of monitoring methods for loop-mediated isothermal amplification (LAMP). Biosens. Bioelectron. 2014, 61, 491–499. [Google Scholar] [CrossRef]
- Zhao, Y.; Chen, F.; Li, Q.; Wang, L.; Fan, C. Isothermal Amplification of Nucleic Acids. Chem. Rev. 2015, 115, 12491–12545. [Google Scholar] [CrossRef]
- Polstra, A.M.; Goudsmit, J.; Cornelissen, M.J. Development of real-time NASBA assays with molecular beacon detection to quantify mRNA coding for HHV-8 lytic and latent genes. BMC Infect. Dis. 2002, 2, 1–10. [Google Scholar] [CrossRef]
- Walker, G.T.; Fraiser, M.S.; Schram, J.L.; Little, M.C.; Nadeau, J.G.; Malinowski, D.P. Strand displacement amplification—An isothermal, in vitro DNA amplification technique. Nucleic Acids Res. 1992, 20, 1691–1696. [Google Scholar] [CrossRef]
- Compton, J. Nucleic acid sequence-based amplification. Nature 1991, 350, 91–92. [Google Scholar] [CrossRef]
- Lizardi, P.M.; Huang, X.; Zhu, Z.; Bray-Ward, P.; Thomas, D.C.; Ward, D.C. Mutation detection and single-molecule counting using isothermal rolling-circle amplification. Nat. Genet. 1998, 19, 225–232. [Google Scholar] [CrossRef]
- Van Ness, J.; Van Ness, L.K.; Galas, D.J. Isothermal reactions for the amplification of oligonucleotides. Proc. Natl. Acad. Sci. USA 2003, 100, 4504–4509. [Google Scholar] [CrossRef]
- Walker, G.T.; Little, M.C.; Nadeau, J.G.; Shank, D.D. Isothermal in vitro amplification of DNA by a restriction enzyme/DNA polymerase system. Proc. Natl. Acad. Sci. USA 1992, 89, 392–396. [Google Scholar] [CrossRef]
- Jung, C.; Chung, J.W.; Kim, U.O.; Kim, M.H.; Park, H.G.J. Isothermal target and signaling probe amplification method, based on a combination of an isothermal chain amplification technique and a fluorescence resonance energy transfer cycling probe technology. Anal. Chem. 2010, 82, 5937–5943. [Google Scholar] [CrossRef]
- Notomi, T.; Okayama, H.; Masubuchi, H.; Yonekawa, T.; Watanabe, K.; Amino, N.; Hase, T.J.N. Loop-mediated isothermal amplification of DNA. Nucleic Acids Res. 2000, 28, e63. [Google Scholar] [CrossRef]
- Lee, S.; Jang, H.; Kim, H.Y.; Park, H.G. Three-way junction-induced isothermal amplification for nucleic acid detection. Biosens. Bioelectron. 2020, 147, 111762. [Google Scholar] [CrossRef]
- Lind, K.; Stahlberg, A.; Zoric, N.; Kubista, M. Combining sequence-specific probes and DNA binding dyes in real-time PCR for specific nucleic acid quantification and melting curve analysis. Biotechniques 2006, 40, 315–319. [Google Scholar] [CrossRef]
- Ririe, K.M.; Rasmussen, R.P.; Wittwer, C.T. Product differentiation by analysis of DNA melting curves during the polymerase chain reaction. Anal. Biochem. 1997, 245, 154–160. [Google Scholar] [CrossRef]
- Wittwer, C.T.; Herrmann, M.G.; Moss, A.A.; Rasmussen, R.P. Continuous fluorescence monitoring of rapid cycle DNA amplification. Biotechniques 1997, 22, 130–138. [Google Scholar] [CrossRef]
- Sheng, L.; Lu, Y.; Deng, S.; Liao, X.; Zhang, K.; Ding, T.; Gao, H.; Liu, D.; Deng, R.; Li, J. A transcription aptasensor: Amplified, label-free and culture-independent detection of foodborne pathogens via light-up RNA aptamers. Chem. Commun. 2019, 55, 10096–10099. [Google Scholar] [CrossRef]
- Woo, J.; Kim, J.H.; Kim, S.; Park, K.S. Promoter engineering improves transcription efficiency in biomolecular assays. Chem. Commun. 2021, 57, 1619–1622. [Google Scholar] [CrossRef]
- Dean, K.M.; Palmer, A.E. Advances in fluorescence labeling strategies for dynamic cellular imaging. Nat. Chem. Biol. 2014, 10, 512–523. [Google Scholar] [CrossRef]
- Strack, R.L.; Song, W.; Jaffrey, S.R. Using Spinach-based sensors for fluorescence imaging of intracellular metabolites and proteins in living bacteria. Nat. Protoc. 2014, 9, 146–155. [Google Scholar] [CrossRef]
- Ying, Z.M.; Tu, B.; Liu, L.; Tang, H.; Tang, L.J.; Jiang, J.H. Spinach-based fluorescent light-up biosensors for multiplexed and label-free detection of microRNAs. Chem. Commun. 2018, 54, 3010–3013. [Google Scholar] [CrossRef]
- Paige, J.S.; Wu, K.Y.; Jaffrey, S.R.J.S. RNA mimics of green fluorescent protein. Science 2011, 333, 642–646. [Google Scholar] [CrossRef]
- Qian, J.; Ferguson, T.M.; Shinde, D.N.; Ramirez-Borrero, A.J.; Hintze, A.; Adami, C.; Niemz, A. Sequence dependence of isothermal DNA amplification via EXPAR. Nucleic Acids Res. 2012, 40, e87. [Google Scholar] [CrossRef]
- Tan, E.; Erwin, B.; Dames, S.; Ferguson, T.; Buechel, M.; Irvine, B.; Voelkerding, K.; Niemz, A.J.B. Specific versus nonspecific isothermal DNA amplification through thermophilic polymerase and nicking enzyme activities. Biochemistry 2008, 47, 9987–9999. [Google Scholar] [CrossRef]
- Gines, G.; Menezes, R.; Nara, K.; Kirstetter, A.-S.; Taly, V.; Rondelez, Y.J.S. Isothermal digital detection of microRNAs using background-free molecular circuit. Sci. Adv. 2020, 6, eaay5952. [Google Scholar] [CrossRef]
- Goay, Y.X.; Chin, K.L.; Tan, C.L.; Yeoh, C.Y.; Ja’afar, J.N.; Zaidah, A.R.; Chinni, S.V.; Phua, K.K. Identification of Five Novel Salmonella Typhi-Specific Genes as Markers for Diagnosis of Typhoid Fever Using Single-Gene Target PCR Assays. Biomed. Res. Int. 2016, 2016, 8905675. [Google Scholar] [CrossRef]
- Song, J.-H.; Cho, H.; Park, M.Y.; Na, D.S.; Moon, H.B.; Pai, C.H. Detection of Salmonella typhi in the blood of patients with typhoid fever by polymerase chain reaction. J. Clin. Microbiol. 1993, 31, 1439–1443. [Google Scholar] [CrossRef]
- Qiu, H.; Wu, N.; Zheng, Y.; Chen, M.; Weng, S.; Chen, Y.; Lin, X. A robust and versatile signal-on fluorescence sensing strategy based on SYBR Green I dye and graphene oxide. Int. J. Nanomed. 2015, 10, 147–156. [Google Scholar] [CrossRef]
- Yu, J.; He, S.; Shao, C.; Zhao, H.; Li, J.; Tian, L. A common anchor facilitated GO-DNA nano-system for multiplex microRNA analysis in live cells. Nanoscale 2018, 10, 7067–7076. [Google Scholar] [CrossRef]
- Park, Y.; Lee, C.Y.; Kang, S.; Kim, H.; Park, K.S.; Park, H.G. Universal, colorimetric microRNA detection strategy based on target-catalyzed toehold-mediated strand displacement reaction. Nanotechnology 2018, 29, 085501. [Google Scholar] [CrossRef]
- Kim, H.; Kang, S.; Park, K.S.; Park, H.G. Enzyme-free and label-free miRNA detection based on target-triggered catalytic hairpin assembly and fluorescence enhancement of DNA-silver nanoclusters. Sens. Actuators B Chem. 2018, 260, 140–145. [Google Scholar] [CrossRef]
- Baek, S.; Ahn, J.K.; Won, B.Y.; Park, K.S.; Park, H.G. A one-step and label-free, electrochemical DNA detection using metal ion-mediated molecular beacon probe. Electrochem. Commun. 2019, 100, 64–69. [Google Scholar] [CrossRef]
- Xuan, F.; Luo, X.; Hsing, I.M. Ultrasensitive solution-phase electrochemical molecular beacon-based DNA detection with signal amplification by exonuclease III-assisted target recycling. Anal. Chem. 2012, 84, 5216–5220. [Google Scholar] [CrossRef]
- Hwang, S.H.; Kwon, W.Y.; Eun, H.; Jeong, S.; Park, J.S.; Kim, K.J.; Kim, H.J.; Lee, S.H.; Park, K.; Yoon, J.J.; et al. The use of a 2-aminopurine-containing split G-quadruplex for sequence-specific DNA detection. Artif. Cells Nanomed. Biotechnol. 2018, 46, S950–S955. [Google Scholar] [CrossRef]






| Name | Sequence (5′→3′) |
|---|---|
| Salmonella Typhi (ST) = Target nucleic acids | ACT GGC GTT ATC CCT TTC TCT GGT GCT GGC ATT TTC CAG |
| 3WJ_template | TAA TAC GAC TCA CTA TAG GGC GGG AGA AGG ACG GGT CCA GCG TTC GCG CTG TTG AGT AGA GTG TGA GCT CCC TAA TGA TCC CAT AAT CAA AGG GAT AAC GCC AGT GGG TAA TAC GAC TCA CTA TAG GG-phosphate |
| 3WJ_primer (3P) | CTG GAA AAT GCC AGC ACC AGA GTT GAT |
| 3WJ_primer (4P) | CTG GAA AAT GCC AGC ACC AGA GTT GAT T |
| 3WJ_primer (5P) | CTG GAA AAT GCC AGC ACC AGA GTT GAT TA |
| 3WJ_primer (6P) | CTG GAA AAT GCC AGC ACC AGA GTT GAT TAT |
| 3WJ_primer (7P) | CTG GAA AAT GCC AGC ACC AGA GTT GAT TAT G |
| Chlamydia trachomatis (CT) | CGT GCG GGG TTA TCT TAA AAG GGA TTG CAG CTT GTA GTC |
| Mycoplasma genitalium (MG) | CAA GTA TCT CAA GTA TCT CAA TGC TGT TGA GAA ATA CCT |
| Staphylococcus aureus (SA) | ATG ACA TTC AGA CTA TTA TTG GTT GAT ACA CCT GAA ACA |
| Neisseria gonorrhoeae (NG) | ATC AAC CCT GCC GCC GAT ATA CCT AGC AAG CTC CAC AGA |
| Klebsiella pneumoniae (KP) | GGT CGG CGA ACT CTG CGC CGC CGC CAT TAC CAT GAG CGA |
| Added (pM) a | Measured (pM) b | SD c | CV (%) d | Recovery (%) e |
|---|---|---|---|---|
| 200 | 199.2 | 0.888 | 0.446 | 99.6 |
| 500 | 503.1 | 1.87 | 0.372 | 101 |
Publisher’s Note: MDPI stays neutral with regard to jurisdictional claims in published maps and institutional affiliations. |
© 2021 by the authors. Licensee MDPI, Basel, Switzerland. This article is an open access article distributed under the terms and conditions of the Creative Commons Attribution (CC BY) license (https://creativecommons.org/licenses/by/4.0/).
Share and Cite
Kim, J.H.; Kim, S.; Hwang, S.H.; Yoon, T.H.; Park, J.S.; Lee, E.S.; Woo, J.; Park, K.S. Three-Way Junction-Induced Isothermal Amplification with High Signal-to-Background Ratio for Detection of Pathogenic Bacteria. Sensors 2021, 21, 4132. https://doi.org/10.3390/s21124132
Kim JH, Kim S, Hwang SH, Yoon TH, Park JS, Lee ES, Woo J, Park KS. Three-Way Junction-Induced Isothermal Amplification with High Signal-to-Background Ratio for Detection of Pathogenic Bacteria. Sensors. 2021; 21(12):4132. https://doi.org/10.3390/s21124132
Chicago/Turabian StyleKim, Jung Ho, Seokjoon Kim, Sung Hyun Hwang, Tae Hwi Yoon, Jung Soo Park, Eun Sung Lee, Jisu Woo, and Ki Soo Park. 2021. "Three-Way Junction-Induced Isothermal Amplification with High Signal-to-Background Ratio for Detection of Pathogenic Bacteria" Sensors 21, no. 12: 4132. https://doi.org/10.3390/s21124132
APA StyleKim, J. H., Kim, S., Hwang, S. H., Yoon, T. H., Park, J. S., Lee, E. S., Woo, J., & Park, K. S. (2021). Three-Way Junction-Induced Isothermal Amplification with High Signal-to-Background Ratio for Detection of Pathogenic Bacteria. Sensors, 21(12), 4132. https://doi.org/10.3390/s21124132

