Functional Characterization of β-Glucuronidase Genes Involved in Baicalein Biosynthesis from Scutellaria baicalensis Based on Transcriptome Analysis
Abstract
1. Introduction
2. Results
2.1. Comparative Transcriptome Analysis of S. baicalensis After Stress Treatment
2.2. Bioinformatics Analysis of GUSs
2.3. Phylogenetic Analysis of GUSs
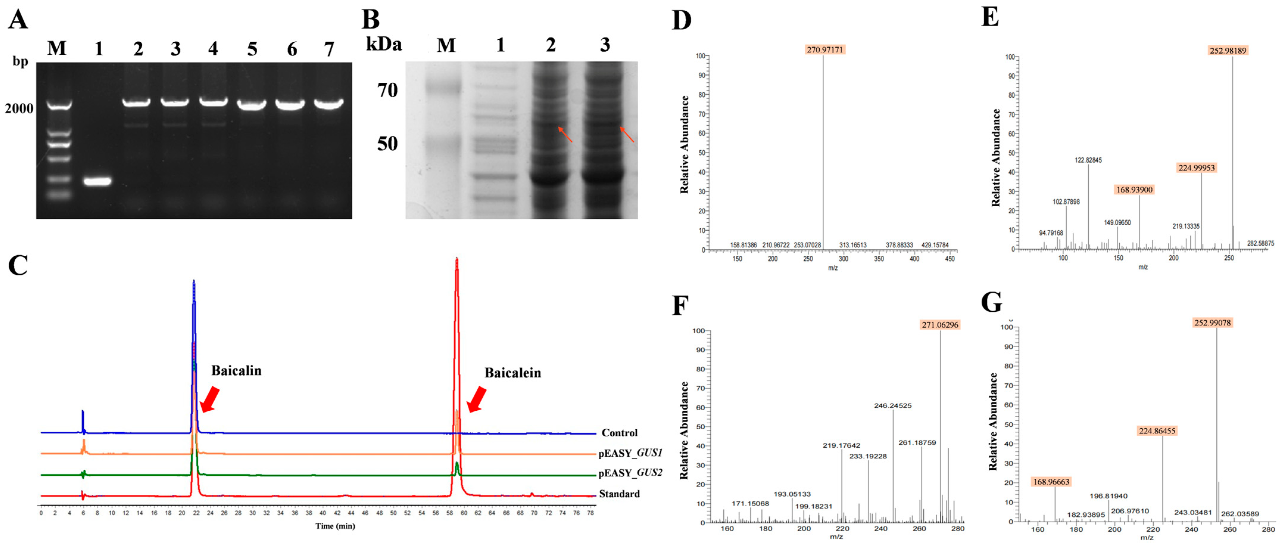
2.4. Characterization of Recombinant Proteins and Catalytic Activity
2.5. Enzyme Kinetic Parameters of GUS1 and GUS2
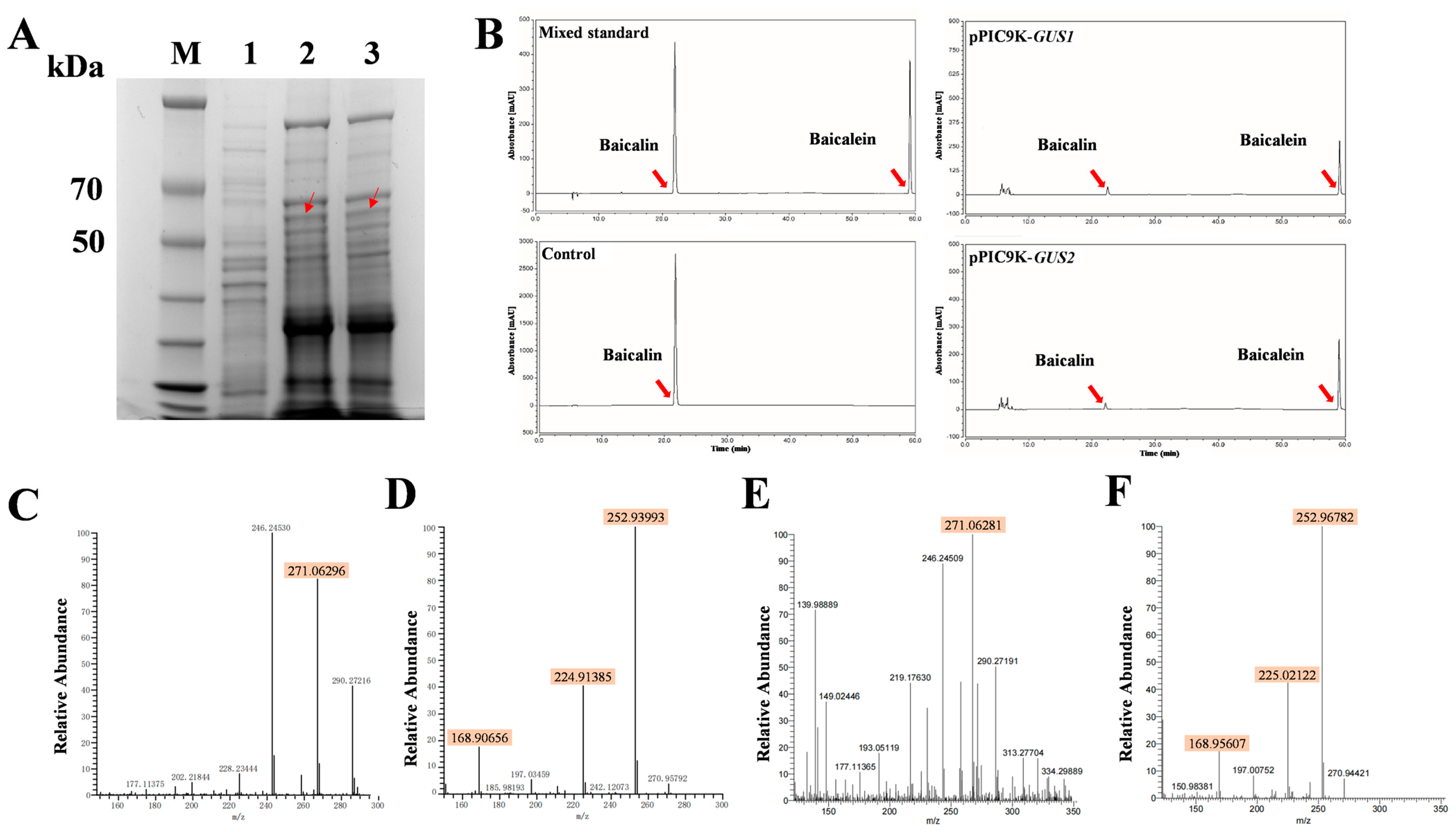
2.6. Expression and Catalytic Activity of GUS1 and GUS2 in Eukaryotic Systems
2.7. Expression of GUS and its Correlation with Baicalin Accumulation
3. Discussion
4. Materials and Methods
4.1. Plant Material and Chemicals
4.2. Stress Treatment
4.3. Transcriptome Sequencing and Analysis
4.4. RNA Extraction, cDNA Synthesis, and GUS Cloning
4.5. Sequence Alignment and Bioinformatics Analysis
4.6. Construction of Prokaryotic Expression Vectors and In Vitro Expression of GUSs
4.7. In Vitro Catalytic Activity of Candidate GUSs on Baicalin
4.8. Purification of Recombinant Proteins and Catalytic Parameters
4.9. Analysis of Enzyme Activity by Eukaryotic Expression System
4.10. Correlation Analysis of GUS Expression and Baicalin Accumulation
4.11. Statistical Analysis
5. Conclusions
Supplementary Materials
Author Contributions
Funding
Institutional Review Board Statement
Informed Consent Statement
Data Availability Statement
Conflicts of Interest
References
- Zhou, Y.; Xue, Q.; Wang, M.; Mu, L.; Chen, D.; Liu, Q.; Liu, X.; Yin, W.; Yin, F. Analysis of quality differences between Scutellaria baicalensis Georgi and Scutellaria rehderiana Diels based on phytochemistry and bioactivity evaluation. J. Pharm. Biomed. Anal. 2023, 234, 115481. [Google Scholar] [CrossRef] [PubMed]
- Huang, Y.T.; Liang, Q.Q.; Zhang, H.R.; Chen, S.Y.; Xu, L.H.; Zeng, B.; Xu, R.; Shi, F.L.; Ouyang, D.Y.; Zha, Q.B.; et al. Baicalin inhibits necroptosis by decreasing oligomerization of phosphorylated MLKL and mitigates caerulein-induced acute pancreatitis in mice. Int. Immunopharmacol. 2022, 108, 108885. [Google Scholar] [CrossRef]
- Bian, Y.Y.; Sun, M.Q.; Chen, H.L.; Ren, G.H.; Fu, K.J.; Yang, N.; Zhang, M.; Zhou, N.; Lu, Y.; Li, N.; et al. Metabolites identification and species comparison of Oroxylin A, an anti-cancer flavonoid, in vitro and in vivo by HPLC-Q-TOF-MS/MS. Xenobiotica 2022, 52, 165–176. [Google Scholar] [CrossRef]
- Pei, T.L.; Yan, M.X.; Huang, Y.B.; Wei, Y.K.; Martin, C.; Zhao, Q. Specific Flavonoids and their biosynthetic pathway in Scutellaria baicalensis. Front. Plant Sci. 2022, 13, 866286. [Google Scholar] [CrossRef] [PubMed]
- Chandrashekar, N.; Pandi, A. Baicalein: A review on its anti-cancer effects and mechanisms in lung carcinoma. J. Food Biochem. 2022, 46, e14230. [Google Scholar] [CrossRef]
- Chao, H.M.; Chuang, M.J.; Liu, J.H.; Liu, X.Q.; Ho, L.K.; Pan, W.H.T.; Zhang, X.M.; Liu, C.M.; Tsai, S.K.; Kong, C.W.; et al. Baicalein protects against retinal ischemia by antioxidation, antiapoptosis, downregulation of HIF-1 alpha, VEGF, and MMP-9 and upregulation of HO-1. J. Ocul. Pharmacol. Ther. 2013, 29, 539–549. [Google Scholar] [CrossRef] [PubMed]
- Liu, H.T.; Lin, Y.N.; Tsai, M.C.; Wu, Y.C.; Lee, M.C. Baicalein exerts therapeutic effects against endotoxin-induced depression-like behavior in mice by decreasing inflammatory cytokines and increasing brain-derived neurotrophic factor levels. Antioxidants 2022, 11, 947. [Google Scholar] [CrossRef]
- Gao, Y.; Snyder, S.A.; Smith, J.N.; Chen, Y.C. Anticancer properties of baicalein: A review. Med. Chem. Res. 2016, 25, 1515–1523. [Google Scholar] [CrossRef] [PubMed]
- Shagufta; Ahmad, I. An update on pharmacological relevance and chemical synthesis of natural products and derivatives with anti SARS-CoV-2 activity. ChemistrySelect 2021, 6, 11502–11527. [Google Scholar] [CrossRef] [PubMed]
- Fishman, W.H. β-Glucuronidase. In Methods of Enzymatic Analysis; Elsevier: Amsterdam, The Netherlands, 1974; pp. 929–943. [Google Scholar]
- Guo, S.S.; Cheng, L.; Yang, L.M.; Han, M. Cloning and bioinformatic analysis and expression analysis of beta-glucuronidase in Scutellaria baicalensis. China J. Chin. Mater. Medica 2015, 40, 4370–4377. [Google Scholar]
- Sasaki, K.; Taura, F.; Shoyama, Y.; Morimoto, S. Molecular characterization of a novel beta-glucuronidase from Scutellaria baicalensis georgi. J. Biol. Chem. 2000, 275, 27466–27472. [Google Scholar] [CrossRef]
- Ikegami, F.; Matsunae, K.; Hisamitsu, M.; Kurihara, T.; Yamamoto, T.; Murakoshi, I. Purification and properties of a plant β-d-glucuronidase from Scutellaria root. Biol. Pharm. Bull. 1995, 18, 1531–1534. [Google Scholar] [CrossRef] [PubMed]
- Huang, H.Z.; Feng, B.; Song, X.B.; Ma, B.P. Purification and characterization of glycyrrhizin-β-d-glucuronidase and baicalin-β-d-glucuronidase from a commercial enzyme preparation. Biocatal. Biotransform. 2011, 29, 179–185. [Google Scholar] [CrossRef]
- Fu, X.; Guo, V.; Cong, W.; Meng, X. Exogenous H2O2 regulated secondary metabolism of Scutellaria baicalensis and enhanced drug quality. China J. Chin. Mater. Medica 2018, 43, 281–287. [Google Scholar]
- Su, H.; Song, S.R.; Yan, X.; Fang, L.M.; Zeng, B.; Zhu, Y.L. Endogenous salicylic acid shows different correlation with baicalin and baicalein in the medicinal plant Scutellaria baicalensis Georgi subjected to stress and exogenous salicylic acid. PLoS ONE 2018, 13, e0192114. [Google Scholar] [CrossRef] [PubMed]
- Isah, T. Stress and defense responses in plant secondary metabolites production. Biol. Res. 2019, 52, 39. [Google Scholar] [CrossRef] [PubMed]
- Khare, S.; Singh, N.B.; Singh, A.; Hussain, I.; Niharika, K.; Yadav, V.; Bano, C.; Yadav, R.K.; Amist, N. Plant secondary metabolites synthesis and their regulations under biotic and abiotic constraints. J. Plant Biol. 2020, 63, 203–216. [Google Scholar] [CrossRef]
- Jan, R.; Khan, M.A.; Asaf, S.; Lubna; Waqas, M.; Park, J.R.; Asif, S.; Kim, N.; Lee, I.J.; Kim, K.M. Drought and UV radiation stress tolerance in rice is improved by overaccumulation of non-enzymatic antioxidant flavonoids. Antioxidants 2022, 11, 917. [Google Scholar] [CrossRef] [PubMed]
- Samanta, S.; Seth, C.S.; Roychoudhury, A. The molecular paradigm of reactive oxygen species (ROS) and reactive nitrogen species (RNS) with different phytohormone signaling pathways during drought stress in plants. Plant Physiol. Biochem. 2024, 206, 108259. [Google Scholar] [CrossRef]
- Cheng, L.; Han, M.; Yang, L.M.; Yang, L.; Sun, Z.; Zhang, T. Changes in the physiological characteristics and baicalin biosynthesis metabolism of Scutellaria baicalensis Georgi under drought stress. Ind. Crop Prod. 2018, 122, 473–482. [Google Scholar] [CrossRef]
- Li, P.; Ren, G.X.; Wu, F.; Chen, J.X.; Jiang, D.; Liu, C.S. Root-specific flavones and critical enzyme genes involved in their synthesis changes due to drought stress on Scutellaria baicalensis. Front. Ecol. Evol. 2023, 11, 1113823. [Google Scholar] [CrossRef]
- Guan, R.; Guo, R.; Lin, H.; Lin, J. Effects of drought and salt stress on flavonoids in Scutellaria baicalensis based on plant metabolomics. Chin. Tradit. Herb. Drugs 2021, 53, 1504–1511. [Google Scholar]
- Guan, R.; Lin, H.; Lin, J. Effects of drought and salt stress on seed germination and key enzymes activities of flavonoid synthesis in Scutellaria baicalensis. J. Chin. Med. Mater. 2020, 43, 9–14. [Google Scholar]
- Porowinska, D.; Wujak, M.; Roszek, K.; Komoszynski, M. Prokaryotic expression systems. Postep. Hig. Med. Dosw. 2013, 67, 119–129. [Google Scholar] [CrossRef]
- Yin, J.C.; Li, G.X.; Ren, X.F.; Herrler, G. Select what you need: A comparative evaluation of the advantages and limitations of frequently used expression systems for foreign genes. J. Biotechnol. 2007, 127, 335–347. [Google Scholar] [CrossRef] [PubMed]
- Huang, X.; Wang, J.F.; Xia, W.R.; Zou, M.J.; Xu, T.; Jin, Z.; Cai, X.; Wang, Y.Y.; Wang, J.X.; Xu, D.G. Prokaryotic expression, purification and functional characterization of human FHL3. Biotechnol. Lett. 2009, 31, 1499–1504. [Google Scholar] [CrossRef] [PubMed]
- Liu, J.W.; Huang, Y.Y.; Ding, J.A.; Liu, C.; Xiao, X.D.; Ni, D.J. Prokaryotic expression and purification of Camellia sinensis polyphenol oxidase. J. Sci. Food Agric. 2010, 90, 2490–2494. [Google Scholar] [CrossRef]
- Wang, X.; Guang-Xin, E.; Cheng, S.Z.; Ni, W.W.; Ma, Y.H.; Chu, M.X.; Huang, Y.F. Construction and expression of a prokaryotic expression vector for the goat sry gene. Indian. J. Anim. Res. 2019, 53, 731–735. [Google Scholar] [CrossRef]
- Baghban, R.; Farajnia, S.; Rajabibazl, M.; Ghasemi, Y.; Mafi, A.; Hoseinpoor, R.; Rahbarnia, L.; Aria, M. Yeast expression systems: Overview and recent advances. Mol. Biotechnol. 2019, 61, 365–384. [Google Scholar] [CrossRef]
- Yin, Y.; Li, Y.P.; Jiang, D.; Zhang, X.N.; Gao, W.; Liu, C.S. De novo biosynthesis of liquiritin in Saccharomyces cerevisiae. Acta Pharm. Sin. B 2020, 10, 711–721. [Google Scholar] [CrossRef] [PubMed]
- Brown, S.; Clastre, M.; Courdavault, V.; O’Connor, S.E. De novo production of the plant-derived alkaloid strictosidine in yeast. Proc. Natl. Acad. Sci. USA 2015, 112, 3205–3210. [Google Scholar] [CrossRef] [PubMed]
- Liao, H.F.; Ye, J.; Gao, L.L.; Liu, Y.L. The main bioactive compounds of Scutellaria baicalensis Georgi. for alleviation of inflammatory cytokines: A comprehensive review. Biomed. Pharmacother. 2021, 133, 110917. [Google Scholar] [CrossRef] [PubMed]
- Liu, H.; Dong, Y.H.; Gao, Y.T.; Du, Z.P.; Wang, Y.T.; Cheng, P.; Chen, A.M.; Huang, H. The fascinating effects of baicalein on cancer: A review. Int. J. Mol. Sci. 2016, 17, 1681. [Google Scholar] [CrossRef]
- Liu, J.J.; Huang, T.S.; Cheng, W.F.; Lu, F.J. Baicalein and baicalin are potent inhibitors of angiogenesis: Inhibition of endothelial cell proliferation, migration and differentiation. Int. J. Cancer 2003, 106, 559–565. [Google Scholar] [CrossRef] [PubMed]
- Dinda, B.; Dinda, S.; DasSharma, S.; Banik, R.; Chakraborty, A.; Dinda, M. Therapeutic potentials of baicalin and its aglycone, baicalein against inflammatory disorders. Eur. J. Med. Chem. 2017, 131, 68–80. [Google Scholar] [CrossRef] [PubMed]
- Zhang, T.; Zhang, C.J.; Wang, W.T.; Hu, S.Y.; Tian, Q.; Li, Y.Y.; Cui, L.J.; Li, L.; Wang, Z.Z.; Cao, X.Y.; et al. Effects of drought stress on the secondary metabolism of Scutellaria baicalensis and the function of SbWRKY34 in resistance. Plant Physio Biochem. 2024, 29, 109362. [Google Scholar]
- Yang, L.L.; Qiao, L.; Su, X.H.; Ji, B.Y.; Dong, C.M. Drought stress stimulates the terpenoid backbone and triterpenoid biosynthesis pathway to promote the synthesis of saikosaponin in Bupleurum chinense DC. Roots. Mol. 2022, 27, 5470. [Google Scholar] [CrossRef] [PubMed]
- Wang, C.C.; Chen, L.H.; Cai, Z.C.; Chen, C.X.; Liu, Z.X.; Liu, X.H.; Zou, L.S.; Chen, J.L.; Tan, M.X.; Wei, L.F.; et al. Dynamic variations in multiple bioactive constituents under salt stress provide insight into quality formation of Licorice. Molecules 2019, 24, 3670. [Google Scholar] [CrossRef]
- Zhang, Y.F.; Wu, H.; Li, L.; Li, J.; Jiang, Z.Y.; Jiang, Y.J.; Chen, Y. Enzymatic conversion of baicalin into baicalein by β-glucuronidase encapsulated in biomimetic core-shell structured hybrid capsules. J. Mol. Catal. B-Enzym. 2009, 57, 130–135. [Google Scholar] [CrossRef]
- Yu, H.S.; Han, Y.T.; Liu, C.Y.; Wu, X.B.; Sun, C.K.; Xu, L.Q.; Jin, F.X. Preparation of baicalein from baicalin using a baicalin-β-D-glucuronidase from Aspergillus niger b.48 strain. Process Biochem. 2020, 97, 168–175. [Google Scholar] [CrossRef]
- Ji, X.L.; Xiao, Y.N.; Sun, R.M.; Tan, Z.W.; Zhu, Y.Q.; Li, X.L.; Li, L.F.; Hou, S.Y. Identification and characterization of Lacticaseibacillus rhamnosus HP-B1083-derived β-glucuronidase and its application for baicalin biotransformation. Heliyon 2024, 10, e38028. [Google Scholar] [CrossRef] [PubMed]
- Ku, S.; Zheng, H.; Park, M.S.; Ji, G.E. Optimization of β-glucuronidase activity from Lactobacillus delbrueckii Rh2 and and its use for biotransformation of baicalin and wogonoside. J. Korean Soc. Appl. Biol. Chem. 2011, 54, 275–280. [Google Scholar] [CrossRef]
- Zhang, C.Z.; Zhang, Y.F.; Chen, J.P.; Liang, X.M. Purification and characterization of baicalin-β-D-glucuronidase hydrolyzing baicalin to baicalein from fresh roots of Scutellaria viscidula Bge. Process Biochem. 2005, 40, 1911–1915. [Google Scholar] [CrossRef]
- Zhang, X.; Shan, Z.; Yin, Y.; Hu, T.; Gao, Z.; Han, Y.; Li, W.; Ying, L. Analysis on the correlation between chalcone synthase gene polymorphism and content of liquiritin in licorice. Acta Pharm. Sin. B 2018, 53, 646–658. [Google Scholar]
- Song, Z.Q.; Li, X.F. Expression profiles of rosmarinic acid biosynthesis genes in two Salvia miltiorrhiza lines with differing water-soluble phenolic contents. Ind. Crop Prod. 2015, 71, 24–30. [Google Scholar] [CrossRef]
- Zhu, B.Y.; Chen, L.B.; Lu, M.Q.; Zhang, J.; Han, J.Y.; Deng, W.W.; Zhang, Z.Z. Caffeine content and related gene expression: Novel insight into caffeine metabolism in Camellia plants containing low, normal, and high caffeine concentrations. J. Agr. Food Chem. 2019, 67, 3400–3411. [Google Scholar] [CrossRef] [PubMed]






Disclaimer/Publisher’s Note: The statements, opinions and data contained in all publications are solely those of the individual author(s) and contributor(s) and not of MDPI and/or the editor(s). MDPI and/or the editor(s) disclaim responsibility for any injury to people or property resulting from any ideas, methods, instructions or products referred to in the content. |
© 2025 by the authors. Licensee MDPI, Basel, Switzerland. This article is an open access article distributed under the terms and conditions of the Creative Commons Attribution (CC BY) license (https://creativecommons.org/licenses/by/4.0/).
Share and Cite
Zuo, X.; Li, P.; Ren, G.; Bai, Z.; Jiang, D.; Liu, C. Functional Characterization of β-Glucuronidase Genes Involved in Baicalein Biosynthesis from Scutellaria baicalensis Based on Transcriptome Analysis. Int. J. Mol. Sci. 2025, 26, 1793. https://doi.org/10.3390/ijms26051793
Zuo X, Li P, Ren G, Bai Z, Jiang D, Liu C. Functional Characterization of β-Glucuronidase Genes Involved in Baicalein Biosynthesis from Scutellaria baicalensis Based on Transcriptome Analysis. International Journal of Molecular Sciences. 2025; 26(5):1793. https://doi.org/10.3390/ijms26051793
Chicago/Turabian StyleZuo, Xin, Ping Li, Guangxi Ren, Zhenfang Bai, Dan Jiang, and Chunsheng Liu. 2025. "Functional Characterization of β-Glucuronidase Genes Involved in Baicalein Biosynthesis from Scutellaria baicalensis Based on Transcriptome Analysis" International Journal of Molecular Sciences 26, no. 5: 1793. https://doi.org/10.3390/ijms26051793
APA StyleZuo, X., Li, P., Ren, G., Bai, Z., Jiang, D., & Liu, C. (2025). Functional Characterization of β-Glucuronidase Genes Involved in Baicalein Biosynthesis from Scutellaria baicalensis Based on Transcriptome Analysis. International Journal of Molecular Sciences, 26(5), 1793. https://doi.org/10.3390/ijms26051793

