Bioinformatics Analysis of the Anti-Inflammatory Mechanism and Potential Therapeutic Efficacy of Kezimuke granules in Treating Urinary Tract Infections by Inhibiting NLRP3 Inflammasome Activation
Abstract
1. Introduction
2. Results
2.1. Identification of Serum Components of KZMK Extract
2.2. Network Pharmacology Analysis
2.2.1. Network Pharmacology Analysis
2.2.2. Acquisition of Differentially Expressed Genes
2.2.3. Functional Enrichment Analysis
2.2.4. Molecular Docking
2.3. White Blood Cell Count in Urine Sediment
2.4. Evaluation of Bladder Morphology and Bladder Index
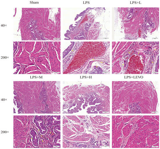
2.5. Bladder Histopathology Analysis
2.6. Bladder Immunohistochemistry Analysis
2.7. Serum Inflammatory Cytokines Assay
2.8. Western Blot Analysis
3. Discussion
4. Materials and Methods
4.1. Reagents and Drugs
4.2. Animals
4.3. Preparation of KZMK Granules
4.4. Preparation of Serum Samples for UPLC-MS/MS
4.5. UPLC-MS/MS Analysis
4.6. Network Pharmacology
4.6.1. Screening for KZMK and Urinary Tract Infections (UTIs) Targets
4.6.2. Network Construction
4.6.3. Differentially Expressed Genes Screening
4.6.4. Functional Enrichment Analysis
4.6.5. Molecular Docking
4.7. In Vivo Experiments
4.7.1. White Blood Cell Count in Urine Sediment
4.7.2. Evaluation of Bladder Morphology and Bladder Index
4.7.3. Bladder Histopathology and Immunohistochemistry Analysis
4.7.4. Serum Inflammatory Cytokines Assay
4.7.5. Western Blot Analysis
4.7.6. Statistical Analysis
5. Conclusions
Supplementary Materials
Author Contributions
Funding
Institutional Review Board Statement
Informed Consent Statement
Data Availability Statement
Acknowledgments
Conflicts of Interest
References
- Mydock-McGrane, L.K.; Hannan, T.J.; Janetka, J.W. Rational design strategies for FimH antagonists: New drugs on the horizon for urinary tract infection and Crohn’s disease. Expert Opin. Drug Discov. 2017, 12, 711–731. [Google Scholar] [CrossRef] [PubMed]
- Sackesen, C.; Sekerel, B.E.; Orhan, F.; Kocabas, C.N.; Tuncer, A.; Adalioglu, G. The etiology of different forms of urticaria in childhood. Pediatr. Dermatol. 2004, 21, 102–108. [Google Scholar] [CrossRef]
- Stamm, W.E.; Norrby, S.R. Urinary tract infections: Disease panorama and challenges. J. Infect. Dis. 2001, 183 (Suppl. S1), S1–S4. [Google Scholar] [CrossRef] [PubMed]
- Zi, H.; Liu, M.-Y.; Luo, L.-S.; Huang, Q.; Luo, P.-C.; Luan, H.-H.; Huang, J.; Wang, D.-Q.; Wang, Y.-B.; Zhang, Y.-Y.; et al. Global burden of benign prostatic hyperplasia, urinary tract infections, urolithiasis, bladder cancer, kidney cancer, and prostate cancer from 1990 to 2021. Mil. Med. Res. 2024, 11, 64. [Google Scholar] [CrossRef] [PubMed]
- Geerlings, S.E. Clinical Presentations and Epidemiology of Urinary Tract Infections. Microbiol. Spectr. 2016, 4. [Google Scholar] [CrossRef] [PubMed]
- Lindblad, A.; Johansson, C.; Persson, K.; Demirel, I. The role of caspase-1, caspase-4 and NLRP3 in regulating the host cell response evoked by uropathogenic Escherichia coli. Sci. Rep. 2022, 12, 2005. [Google Scholar] [CrossRef]
- Gupta, K.; Grigoryan, L.; Trautner, B. Urinary Tract Infection. Ann. Intern. Med. 2017, 167, Itc49–Itc64. [Google Scholar] [CrossRef]
- Bidet, P.; Bonarcorsi, S.; Bingen, E. Virulence factors and pathophysiology of extraintestinal pathogenic Escherichia coli. Arch. Pediatr. 2012, 19 (Suppl. S3), S80–S92. [Google Scholar] [CrossRef]
- Khawcharoenporn, T.; Vasoo, S.; Singh, K. Urinary Tract Infections due to Multidrug-Resistant Enterobacteriaceae: Prevalence and Risk Factors in a Chicago Emergency Department. Emerg. Med. Int. 2013, 2013, 258517. [Google Scholar] [CrossRef] [PubMed]
- Saravanan, M.; Ramachandran, B.; Barabadi, H. The prevalence and drug resistance pattern of extended spectrum β-lactamases (ESBLs) producing Enterobacteriaceae in Africa. Microb. Pathog. 2018, 114, 180–192. [Google Scholar] [CrossRef] [PubMed]
- Shaker, M.; Zaki, A.; Asser, S.L.; El Sayed, I. Trends and predictors of antimicrobial resistance among patients with urinary tract infections at a tertiary hospital facility in Alexandria, Egypt: A retrospective record-based classification and regression tree analysis. BMC Infect. Dis. 2024, 24, 246. [Google Scholar] [CrossRef]
- Houwati, N.; Yuerlin, M.; Baishanbo, A. Experimental Study on the Effect of Kazak Ethnic Medicine Kezimuke Granules on Immune Function in Immunosuppressed Mice. Cent. South Pharm. 2016, 14, 1215–1218. [Google Scholar]
- Kuli, L.; Mani, Z.; Guli, S.; Baishanbo, A. Research on the Anti-inflammatory Mechanism of Kezimuke Granules, a Kazakh Folk Medicine. Chin. Community Dr. Med. Spec. 2012, 14, 5–6. [Google Scholar]
- Ito, W.; Choi, N.; Letner, G.; Genz, N.; Prokop, D.; Valadon, C.; Sardiu, M.E.; Smith, H.; Whiles, B.B.; Molina, W.R. Preoperative urine culture with contaminants is not associated with increased risk for urinary tract infection after ureteroscopic stone treatment. World J. Urol. 2024, 42, 159. [Google Scholar] [CrossRef] [PubMed]
- Sivanandy, P.; Manirajan, P.; Qi, O.W.; Khai, O.T.; Wei, O.C.; Ying, N.W.; Wadingasafi, N.A.N.; Azhar, N.A.; Rohaizan, N.A.N. A systematic review of efficacy and safety of newer drugs approved from 2016 to 2023 for the treatment of complicated urinary tract infections. Ann. Med. 2024, 56, 2403724. [Google Scholar] [CrossRef] [PubMed]
- Rhee, S.H. Lipopolysaccharide: Basic biochemistry, intracellular signaling, and physiological impacts in the gut. Intest. Res. 2014, 12, 90–95. [Google Scholar] [CrossRef]
- Karki, R.; Kanneganti, T.D. Diverging inflammasome signals in tumorigenesis and potential targeting. Nat. Rev. Cancer 2019, 19, 197–214. [Google Scholar] [CrossRef] [PubMed]
- Linden, J.; Koch-Nolte, F.; Dahl, G. Purine Release, Metabolism, and Signaling in the Inflammatory Response. Annu. Rev. Immunol. 2019, 37, 325–347. [Google Scholar] [CrossRef] [PubMed]
- Zhu, F.; Ma, J.; Li, W.; Liu, Q.; Qin, X.; Qian, Y.; Wang, C.; Zhang, Y.; Li, Y.; Jiang, D.; et al. The orphan receptor Nur77 binds cytoplasmic LPS to activate the non-canonical NLRP3 inflammasome. Immunity 2023, 56, 753–767.e8. [Google Scholar] [CrossRef]
- Bauernfeind, F.G.; Horvath, G.; Stutz, A.; Alnemri, E.S.; MacDonald, K.; Speert, D.; Fernandes-Alnemri, T.; Wu, J.; Monks, B.G.; Fitzgerald, K.A.; et al. Cutting edge: NF-kappaB activating pattern recognition and cytokine receptors license NLRP3 inflammasome activation by regulating NLRP3 expression. J. Immunol. 2009, 183, 787–791. [Google Scholar] [CrossRef]
- Juliana, C.; Fernandes-Alnemri, T.; Kang, S.; Farias, A.; Qin, F.; Alnemri, E.S. Non-transcriptional priming and deubiquitination regulate NLRP3 inflammasome activation. J. Biol. Chem. 2012, 287, 36617–36622. [Google Scholar] [CrossRef] [PubMed]
- Christgen, S.; Place, D.E.; Kanneganti, T.D. Toward targeting inflammasomes: Insights into their regulation and activation. Cell Res. 2020, 30, 315–327. [Google Scholar] [CrossRef] [PubMed]
- Shi, J.; Zhao, Y.; Wang, Y.; Gao, W.; Ding, J.; Li, P.; Hu, L.; Shao, F. Inflammatory caspases are innate immune receptors for intracellular LPS. Nature 2014, 514, 187–192. [Google Scholar] [CrossRef] [PubMed]
- Hagar, J.A.; Powell, D.A.; Aachoui, Y.; Ernst, R.K.; Miao, E.A. Cytoplasmic LPS activates caspase-11: Implications in TLR4-independent endotoxic shock. Science 2013, 341, 1250–1253. [Google Scholar] [CrossRef]
- Liu, Z.; Sun, Y.; Zhen, H.; Nie, C. Network Pharmacology Integrated with Transcriptomics Deciphered the Potential Mechanism of Codonopsis pilosula against Hepatocellular Carcinoma. Evid.-Based Complement. Altern. Med. 2022, 2022, 1340194. [Google Scholar] [CrossRef]
- Wu, C.Y.; Hua, K.F.; Hsu, W.H.; Suzuki, Y.; Chu, L.J.; Lee, Y.C.; Takahata, A.; Lee, S.L.; Wu, C.C.; Nikolic-Paterson, D.J.; et al. IgA Nephropathy Benefits from Compound K Treatment by Inhibiting NF-κB/NLRP3 Inflammasome and Enhancing Autophagy and SIRT1. J. Immunol. 2020, 205, 202–212. [Google Scholar] [CrossRef]
- Ruan, Y.; Zhu, X.; Shen, J.; Chen, H.; Zhou, G. Mechanism of Nicotiflorin in San-Ye-Qing rhizome for anti-inflammatory effect in ulcerative colitis. Phytomedicine 2024, 129, 155564. [Google Scholar] [CrossRef]
- Hiraoka, M.; Hida, Y.; Tuchida, S.; Tsukahara, H.; Yamashita, M.; Kuroda, M.; Sudo, M. Diagnosis of urinary tract infection by urine microscopy using a disposable counting chamber. Scand. J. Clin. Lab. Investig. 1993, 53, 705–709. [Google Scholar] [CrossRef] [PubMed]
- Suarez, A.; Delgado, Y.; Servais, A.; Verardi, N.; Durand, D.; Litaneur, S.; Wyart, V.; Nizard, J.; Nguyen, J.-P. Effects of Combining Music Therapy, Light Therapy, and Chromotherapy in the Treatment of Chronic Pain Patients: A Pilot Study. Evid.-Based Complement. Altern. Med. 2024, 2024, 3006352. [Google Scholar] [CrossRef] [PubMed]
- Bjorling, D.E.; Wang, Z.-Y.; Boldon, K.; Bushman, W. Bacterial cystitis is accompanied by increased peripheral thermal sensitivity in mice. J. Urol. 2008, 179, 759–763. [Google Scholar] [CrossRef]
- Negash, A.A.; Olson, R.M.; Griffin, S.; Gale, M. Modulation of calcium signaling pathway by hepatitis C virus core protein stimulates NLRP3 inflammasome activation. PLoS Pathog. 2019, 15, e1007593. [Google Scholar] [CrossRef] [PubMed]
- Kappelhoff, S.; Margheritis, E.G.; Cosentino, K. New insights into Gasdermin D pore formation. Biochem. Soc. Trans. 2024, 52, 681–692. [Google Scholar] [CrossRef] [PubMed]
- Lee, D.J.; Du, F.; Chen, S.-W.; Nakasaki, M.; Rana, I.; Shih, V.F.; Hoffmann, A.; Jamora, C. Regulation and Function of the Caspase-1 in an Inflammatory Microenvironment. J. Investig. Dermatol. 2015, 135, 2012–2020. [Google Scholar] [CrossRef] [PubMed]
- Ketelut-Carneiro, N.; Souza, C.O.S.; Benevides, L.; Gardinassi, L.G.; Silva, M.C.; Tavares, L.A.; Zamboni, D.S.; Silva, J.S. Caspase-11-dependent IL-1α release boosts Th17 immunity against Paracoccidioides brasiliensis. PLoS Pathog. 2019, 15, e1007990. [Google Scholar] [CrossRef] [PubMed]
- Miao, N.J.; Xie, H.-Y.; Xu, D.; Yin, J.-Y.; Wang, Y.-Z.; Wang, B.; Yin, F.; Zhou, Z.-L.; Cheng, Q.; Chen, P.-P.; et al. Caspase-11 promotes renal fibrosis by stimulating IL-1β maturation via activating caspase-1. Acta Pharmacol. Sin. 2019, 40, 790–800. [Google Scholar] [CrossRef] [PubMed]
- Gene Ontology Consortium. Expansion of the Gene Ontology knowledgebase and resources. Nucleic Acids Res. 2017, 45, D331–D338. [Google Scholar] [CrossRef] [PubMed]
- Kanehisa, M.; Goto, S. KEGG: Kyoto encyclopedia of genes and genomes. Nucleic Acids Res. 2000, 28, 27–30. [Google Scholar] [CrossRef]
- Yu, G.; Wang, L.-G.; Han, Y.; He, Q.-Y. clusterProfiler: An R package for comparing biological themes among gene clusters. Omics 2012, 16, 284–287. [Google Scholar] [CrossRef]
- Clementel, D.; Arrías, P.N.; Mozaffari, S.; Osmanli, Z.; Castro, X.A.; Curators, R.; Borucki, E.L.; Cabrera, M.; Chinestrad, P.; Czarnowski, I.; et al. RepeatsDB in 2025: Expanding annotations of structured tandem repeats proteins on AlphaFoldDB. Nucleic Acids Res. 2024, 53, D575–D581. [Google Scholar] [CrossRef] [PubMed]
- Morris, G.M.; Huey, R.; Lindstrom, W.; Sanner, M.F.; Belew, R.K.; Goodsell, D.S.; Olson, A.J. AutoDock4 and AutoDockTools4: Automated docking with selective receptor flexibility. J. Comput. Chem. 2009, 30, 2785–2791. [Google Scholar] [CrossRef]
- Kim, S.; Chen, J.; Cheng, T.; Gindulyte, A.; He, J.; He, S.; Li, Q.; Shoemaker, B.A.; Thiessen, P.A.; Yu, B.; et al. PubChem 2019 update: Improved access to chemical data. Nucleic Acids Res. 2019, 47, D1102–D1109. [Google Scholar] [CrossRef]
- O’Boyle, N.M.; Banck, M.; James, C.A.; Morley, C.; Vandermeersch, T.; Hutchison, G.R. Open Babel: An open chemical toolbox. J. Cheminform. 2011, 3, 33. [Google Scholar] [CrossRef]














| Compounds | Formula | Retention Time (min) | ION Mode | KZMK Extract | Blank Serum | Medicated Serum |
|---|---|---|---|---|---|---|
| Diammonium Glycyrrhizinate | C42H62O16 | 432′48″ | Negative | 18,766,070.02 | 0 | 30,073.55471 |
| Nicotiflorin | C27H30O15 | 305′12″ | Positive | 16,350,147.23 | 0 | 15,289.76949 |
| 5-hydroxy-6-methoxy-2-(4-methoxyphenyl)-7-[(2S,3R,4S,5S,6R)-3,4,5-trihydroxy-6-(hydroxymethyl)tetrahydropyran-2-yl]oxy-chromen-4-one | C23H24O11 | 320′6″ | Positive | 76,995,735.65 | 0 | 72,415.57323 |
| (2S,3S,4S,5R,6R)-6-[(2R,3R,4S,5S,6S)-2-[[(3S,6aR,6bS,8aS,12aR,14bS)-11-carboxy-4,4,6a,6b,8a,11,14b-heptamethyl-14-oxo-2,3,4a,5,6,7,8,9,10,12,12a,14a-dodecahydro-1H-picen-3-yl]oxy]-6-carboxy-4,5-dihydroxy-tetrahydropyran-3-yl]oxy-3,4,5-trihydroxy-tetrahydropyran-2-carboxylic acid | C42H62O16 | 432′48″ | Negative | 18,766,070.02 | 0 | 30,073.55471 |
| Aloeresin D | C29H32O11 | 310′36″ | Positive | 19,794,295.13 | 0 | 17,004.26057 |
| 7-hydroxy-2-(4-hydroxyphenyl)-8-[(2S,3R,4R,5S,6R)-3,4,5-trihydroxy-6-(hydroxymethyl)tetrahydropyran-2-yl]chromen-4-one | C21H20O9 | 253′24″ | Positive | 51,257,590.5 | 0 | 39,272.54251 |
| Rhodiosin | C27H30O16 | 295′30″ | Positive | 104,511,264.8 | 0 | 24,202.21409 |
| Aurantio-obtusin beta-D-glucoside | C23H24O12 | 320′54″ | Positive | 27,694,119.77 | 0 | 36,460.56346 |
| 5-hydroxy-6,7-dimethoxy-2-[4-[(2S,3R,4S,5S,6R)-3,4,5-trihydroxy-6-(hydroxymethyl)tetrahydropyran-2-yl]oxyphenyl]chromen-4-one | C23H24O11 | 320′6″ | Positive | 76,995,735.65 | 0 | 72,415.57323 |
| Maltose monohydrate | C12H22O11 | 61′18″ | Negative | 92,751,317.83 | 0 | 38,031.91904 |
| 3-[4,5-dihydroxy-6-(hydroxymethyl)-3-[(2S,3R,4R,5R,6S)-3,4,5-trihydroxy-6-methyl-tetrahydropyran-2-yl]oxy-tetrahydropyran-2-yl]oxy-5,7-dihydroxy-2-(4-hydroxyphenyl)chromen-4-one | C27H30O15 | 305′12″ | Positive | 16,350,147.23 | 0 | 15,289.76949 |
| 7-[(2S,3R,4S,5S,6R)-4,5-dihydroxy-6-(hydroxymethyl)-3-[(2S,3R,4R,5R,6S)-3,4,5-trihydroxy-6-methyl-tetrahydropyran-2-yl]oxy-tetrahydropyran-2-yl]oxy-3,5-dihydroxy-2-(4-hydroxyphenyl)chromen-4-one | C27H30O15 | 305′12″ | Positive | 16,350,147.23 | 0 | 15,289.76949 |
| Iristectorin B | C23H24O12 | 320′54″ | Positive | 27,694,119.77 | 0 | 36,460.56346 |
| Hispidulin 7-glucuronide | C22H20O12 | 319′00″ | Positive | 8,502,082.77 | 0 | 59,789.12333 |
| Lawsone | C10H6O3 | 401′18″ | Positive | 14,586,267.49 | 0 | 11,889.90864 |
| Ginsenoside Ro | C48H76O19 | 389′24″ | Negative | 21,575,462.8 | 0 | 152,947.9881 |
| Lithospermic acid | C27H22O12 | 264′18″ | Negative | 245,512,707 | 0 | 36,592.9604 |
| Beta-Caryophyllene Alcohol | C15H26O | 251′48″ | Positive | 15,798,098.93 | 0 | 16,698.78599 |
Disclaimer/Publisher’s Note: The statements, opinions and data contained in all publications are solely those of the individual author(s) and contributor(s) and not of MDPI and/or the editor(s). MDPI and/or the editor(s) disclaim responsibility for any injury to people or property resulting from any ideas, methods, instructions or products referred to in the content. |
© 2025 by the authors. Licensee MDPI, Basel, Switzerland. This article is an open access article distributed under the terms and conditions of the Creative Commons Attribution (CC BY) license (https://creativecommons.org/licenses/by/4.0/).
Share and Cite
Baishan, A.; Aikebaier, A.; Dilimulati, D.; Nueraihemaiti, N.; Paerhati, Y.; Hailati, S.; Maihemuti, N.; Zhou, W. Bioinformatics Analysis of the Anti-Inflammatory Mechanism and Potential Therapeutic Efficacy of Kezimuke granules in Treating Urinary Tract Infections by Inhibiting NLRP3 Inflammasome Activation. Int. J. Mol. Sci. 2025, 26, 1764. https://doi.org/10.3390/ijms26041764
Baishan A, Aikebaier A, Dilimulati D, Nueraihemaiti N, Paerhati Y, Hailati S, Maihemuti N, Zhou W. Bioinformatics Analysis of the Anti-Inflammatory Mechanism and Potential Therapeutic Efficacy of Kezimuke granules in Treating Urinary Tract Infections by Inhibiting NLRP3 Inflammasome Activation. International Journal of Molecular Sciences. 2025; 26(4):1764. https://doi.org/10.3390/ijms26041764
Chicago/Turabian StyleBaishan, Alhar, Alifeiye Aikebaier, Dilihuma Dilimulati, Nuerbiye Nueraihemaiti, Yipaerguli Paerhati, Sendaer Hailati, Nulibiya Maihemuti, and Wenting Zhou. 2025. "Bioinformatics Analysis of the Anti-Inflammatory Mechanism and Potential Therapeutic Efficacy of Kezimuke granules in Treating Urinary Tract Infections by Inhibiting NLRP3 Inflammasome Activation" International Journal of Molecular Sciences 26, no. 4: 1764. https://doi.org/10.3390/ijms26041764
APA StyleBaishan, A., Aikebaier, A., Dilimulati, D., Nueraihemaiti, N., Paerhati, Y., Hailati, S., Maihemuti, N., & Zhou, W. (2025). Bioinformatics Analysis of the Anti-Inflammatory Mechanism and Potential Therapeutic Efficacy of Kezimuke granules in Treating Urinary Tract Infections by Inhibiting NLRP3 Inflammasome Activation. International Journal of Molecular Sciences, 26(4), 1764. https://doi.org/10.3390/ijms26041764

