The Role of Visual Electrophysiology in Systemic Hereditary Syndromes
Abstract
1. Introduction
2. Hearing Loss Syndromes
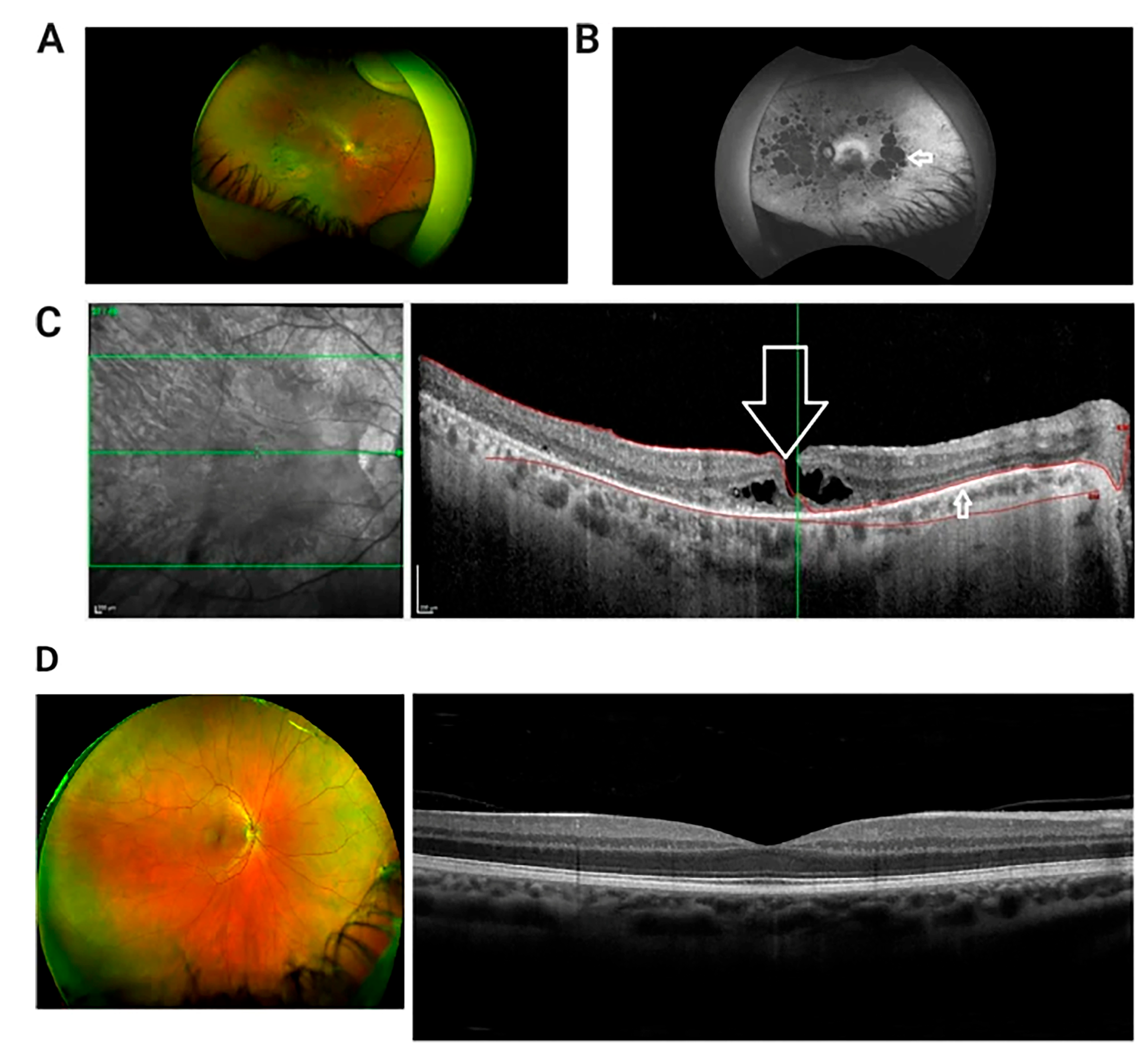
2.1. Refsum Disease
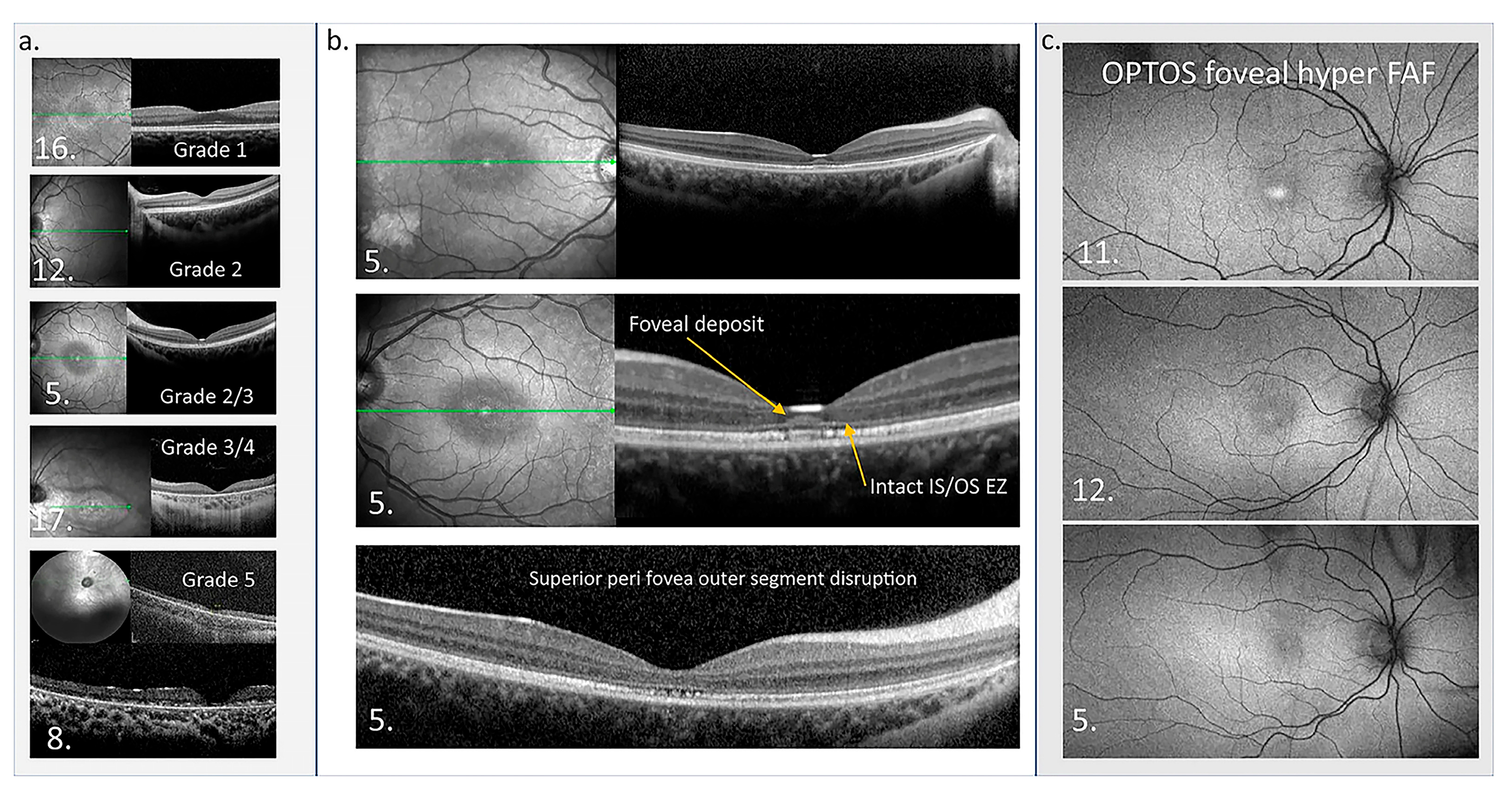
2.2. Usher Syndrome
2.3. Wolfram Syndrome
3. Mitochondrial Diseases
3.1. Maternally-Inherited Diabetes and Deafness Syndrome
3.2. Kearns–Sayre Syndrome
3.3. Neuropathy, Ataxia, and Retinitis Pigmentosa Syndrome
4. Obesity Syndromes
4.1. Bardet–Biedl Syndrome
4.2. Alström Syndrome
4.3. Cohen Syndrome
5. Other Syndromes
5.1. Alagille Syndrome (Arteriohepatic Dysplasia)
5.2. Abetalipoproteinemia (Bassen–Kornzweig Syndrome)
5.3. Cockayne Syndrome
5.4. Joubert Syndrome
5.5. Mucopolysaccharidosis
5.6. Neuronal Ceroid Lipofuscinoses (Batten’s Disease)
5.7. Senior–Løken Syndrome
6. Conclusions
Author Contributions
Funding
Institutional Review Board Statement
Informed Consent Statement
Data Availability Statement
Acknowledgments
Conflicts of Interest
References
- Robson, A.G.; Frishman, L.J.; Grigg, J.; Hamilton, R.; Jeffrey, B.G.; Kondo, M.; Li, S.; McCulloch, D.L. ISCEV Standard for full-field clinical electroretinography (2022 update). Doc. Ophthalmol. 2022, 144, 165–177. [Google Scholar] [CrossRef] [PubMed]
- Hoffmann, M.B.; Bach, M.; Kondo, M.; Li, S.; Walker, S.; Holopigian, K.; Viswanathan, S.; Robson, A.G. ISCEV standard for clinical multifocal electroretinography (mfERG) (2021 update). Doc. Ophthalmol. 2021, 142, 5–16. [Google Scholar] [CrossRef]
- Thompson, D.A.; Bach, M.; McAnany, J.J.; Sustar Habjan, M.; Viswanathan, S.; Robson, A.G. ISCEV standard for clinical pattern electroretinography (2024 update). Doc. Ophthalmol. 2024, 148, 75–85. [Google Scholar] [CrossRef] [PubMed]
- Odom, J.V.; Bach, M.; Brigell, M.; Holder, G.E.; McCulloch, D.L.; Mizota, A.; Tormene, A.P.; International Society for Clinical Electrophysiology of Vision. ISCEV standard for clinical visual evoked potentials: (2016 update). Doc. Ophthalmol. 2016, 133, 1–9. [Google Scholar] [CrossRef] [PubMed]
- Constable, P.A.; Bach, M.; Frishman, L.J.; Jeffrey, B.G.; Robson, A.G.; International Society for Clinical Electrophysiology of Vision. ISCEV Standard for clinical electro-oculography (2017 update). Doc. Ophthalmol. 2017, 134, 1–9. [Google Scholar] [CrossRef] [PubMed]
- Wanders, R.J.A.; Waterham, H.R.; Leroy, B.P. Adult Refsum Disease. In GeneReviews®; Adam, M.P., Feldman, J., Mirzaa, G.M., Pagon, R.A., Wallace, S.E., Amemiya, A., Eds.; University of Washington: Seattle, WA, USA, 1993. [Google Scholar]
- van den Brink, D.M.; Wanders, R.J. Phytanic acid: Production from phytol, its breakdown and role in human disease. Cell. Mol. Life Sci. 2006, 63, 1752. [Google Scholar] [CrossRef] [PubMed]
- Benson, M.D.; MacDonald, I.M.; Sheehan, M.; Jain, S. Improved electroretinographic responses following dietary intervention in a patient with Refsum disease. JIMD Rep. 2020, 55, 32–37. [Google Scholar] [CrossRef] [PubMed]
- Smith, R.J.; Berlin, C.I.; Hejtmancik, J.F.; Keats, B.J.; Kimberling, W.J.; Lewis, R.A.; Moller, C.G.; Pelias, M.Z.; Tranebjaerg, L. Clinical diagnosis of the Usher syndromes. Usher Syndrome Consortium. Am. J. Med. Genet. 1994, 50, 32–38. [Google Scholar] [CrossRef]
- Herrera, W.; Aleman, T.S.; Cideciyan, A.V.; Roman, A.J.; Banin, E.; Ben-Yosef, T.; Gardner, L.M.; Sumaroka, A.; Windsor, E.A.; Schwartz, S.B.; et al. Retinal disease in Usher syndrome III caused by mutations in the clarin-1 gene. Investig. Ophthalmol. Vis. Sci. 2008, 49, 2651–2660. [Google Scholar] [CrossRef]
- Abad-Morales, V.; Navarro, R.; Bures-Jelstrup, A.; Pomares, E. Identification of a novel homozygous ARSG mutation as the second cause of Usher syndrome type 4. Am. J. Ophthalmol. Case Rep. 2020, 19, 100736. [Google Scholar] [CrossRef] [PubMed]
- Peter, V.G.; Quinodoz, M.; Sadio, S.; Held, S.; Rodrigues, M.; Soares, M.; Sousa, A.B.; Coutinho Santos, L.; Damme, M.; Rivolta, C. New clinical and molecular evidence linking mutations in ARSG to Usher syndrome type IV. Hum. Mutat. 2021, 42, 261–271. [Google Scholar] [CrossRef] [PubMed]
- Velde, H.M.; Reurink, J.; Held, S.; Li, C.H.Z.; Yzer, S.; Oostrik, J.; Weeda, J.; Haer-Wigman, L.; Yntema, H.G.; Roosing, S.; et al. Usher syndrome type IV: Clinically and molecularly confirmed by novel ARSG variants. Hum. Genet. 2022, 141, 1723–1738. [Google Scholar] [CrossRef]
- de Guimaraes, T.A.C.; Robson, A.G.; de Guimaraes, I.M.C.; Laich, Y.; Aychoua, N.; Wright, G.; Kalitzeos, A.; Mahroo, O.A.; Webster, A.R.; Michaelides, M. CDH23-Associated Usher Syndrome: Clinical Features, Retinal Imaging, and Natural History. Investig. Ophthalmol. Vis. Sci. 2024, 65, 27. [Google Scholar] [CrossRef] [PubMed]
- Testa, F.; Carreno, E.; van den Born, L.I.; Melillo, P.; Perea-Romero, I.; Di Iorio, V.; Risca, G.; Iodice, C.M.; Pennings, R.J.E.; Karali, M.; et al. Multicentric Longitudinal Prospective Study in a European Cohort of MYO7A Patients: Disease Course and Implications for Gene Therapy. Investig. Ophthalmol. Vis. Sci. 2024, 65, 25. [Google Scholar] [CrossRef]
- Chen, N.; Lee, H.; Kim, A.H.; Liu, P.K.; Kang, E.Y.; Tseng, Y.J.; Seo, G.H.; Khang, R.; Liu, L.; Chen, K.J.; et al. Case report: Novel PCDH15 variant causes usher syndrome type 1F with congenital hearing loss and syndromic retinitis pigmentosa. BMC Ophthalmol. 2022, 22, 441. [Google Scholar] [CrossRef]
- Grotz, S.; Schafer, J.; Wunderlich, K.A.; Ellederova, Z.; Auch, H.; Bahr, A.; Runa-Vochozkova, P.; Fadl, J.; Arnold, V.; Ardan, T.; et al. Early disruption of photoreceptor cell architecture and loss of vision in a humanized pig model of usher syndromes. EMBO Mol. Med. 2022, 14, e14817. [Google Scholar] [CrossRef] [PubMed]
- Riaz, S.; Sethna, S.; Duncan, T.; Naeem, M.A.; Redmond, T.M.; Riazuddin, S.; Riazuddin, S.; Carvalho, L.S.; Ahmed, Z.M. Dual AAV-based PCDH15 gene therapy achieves sustained rescue of visual function in a mouse model of Usher syndrome 1F. Mol. Ther. 2023, 31, 3490–3501. [Google Scholar] [CrossRef]
- Gilmore, W.B.; Hultgren, N.W.; Chadha, A.; Barocio, S.B.; Zhang, J.; Kutsyr, O.; Flores-Bellver, M.; Canto-Soler, M.V.; Williams, D.S. Expression of two major isoforms of MYO7A in the retina: Considerations for gene therapy of Usher syndrome type 1B. Vision. Res. 2023, 212, 108311. [Google Scholar] [CrossRef]
- Schafer, J.; Wenck, N.; Janik, K.; Linnert, J.; Stingl, K.; Kohl, S.; Nagel-Wolfrum, K.; Wolfrum, U. The Usher syndrome 1C protein harmonin regulates canonical Wnt signaling. Front. Cell Dev. Biol. 2023, 11, 1130058. [Google Scholar] [CrossRef] [PubMed]
- Leong, Y.C.; Di Foggia, V.; Pramod, H.; Bitner-Glindzicz, M.; Patel, A.; Sowden, J.C. Molecular pathology of Usher 1B patient-derived retinal organoids at single cell resolution. Stem Cell Rep. 2022, 17, 2421–2437. [Google Scholar] [CrossRef] [PubMed]
- Miles, A.; Blair, C.; Emili, A.; Tropepe, V. Usher syndrome type 1-associated gene, pcdh15b, is required for photoreceptor structural integrity in zebrafish. Dis. Model. Mech. 2021, 14, dmm048965. [Google Scholar] [CrossRef] [PubMed]
- Jouret, G.; Poirsier, C.; Spodenkiewicz, M.; Jaquin, C.; Gouy, E.; Arndt, C.; Labrousse, M.; Gaillard, D.; Doco-Fenzy, M.; Lebre, A.S. Genetics of Usher Syndrome: New Insights From a Meta-analysis. Otol. Neurotol. 2019, 40, 121–129. [Google Scholar] [CrossRef] [PubMed]
- Serra, R.; Rallo, V.; Steri, M.; Olla, S.; Piras, M.G.; Marongiu, M.; Gorospe, M.; Schlessinger, D.; Pinna, A.; Fiorillo, E.; et al. A large-scale screening identified in USH2A gene the P3272L founder pathogenic variant explaining familial Usher syndrome in Sardinia, Italy. BMC Ophthalmol. 2024, 24, 306. [Google Scholar] [CrossRef]
- Daich Varela, M.; Wong, S.W.; Kiray, G.; Schlottmann, P.G.; Arno, G.; Shams, A.N.A.; Mahroo, O.A.; Webster, A.R.; AlTalbishi, A.; Michaelides, M. Detailed Clinical, Ophthalmic, and Genetic Characterization of ADGRV1-Associated Usher Syndrome. Am. J. Ophthalmol. 2023, 256, 186–195. [Google Scholar] [CrossRef] [PubMed]
- Stemerdink, M.; Broekman, S.; Peters, T.; Kremer, H.; de Vrieze, E.; van Wijk, E. Generation and Characterization of a Zebrafish Model for ADGRV1-Associated Retinal Dysfunction Using CRISPR/Cas9 Genome Editing Technology. Cells 2023, 12, 1598. [Google Scholar] [CrossRef]
- Smirnov, V.M.; Nassisi, M.; Mohand-Said, S.; Bonnet, C.; Aubois, A.; Devisme, C.; Dib, T.; Zeitz, C.; Loundon, N.; Marlin, S.; et al. Retinal Phenotype of Patients with CLRN1-Associated Usher 3A Syndrome in French Light4Deaf Cohort. Investig. Ophthalmol. Vis. Sci. 2022, 63, 25. [Google Scholar] [CrossRef] [PubMed]
- Igelman, A.D.; Ku, C.; da Palma, M.M.; Georgiou, M.; Schiff, E.R.; Lam, B.L.; Sankila, E.M.; Ahn, J.; Pyers, L.; Vincent, A.; et al. Expanding the clinical phenotype in patients with disease causing variants associated with atypical Usher syndrome. Ophthalmic Genet. 2021, 42, 664–673. [Google Scholar] [CrossRef] [PubMed]
- Fowler, N.H.; El-Rashedy, M.I.; Chishti, E.A.; Vander Kooi, C.W.; Maldonado, R.S. Multimodal imaging and genetic findings in a case of ARSG-related atypical Usher syndrome. Ophthalmic Genet. 2021, 42, 338–343. [Google Scholar] [CrossRef]
- Stingl, K.; Kurtenbach, A.; Hahn, G.; Kernstock, C.; Hipp, S.; Zobor, D.; Kohl, S.; Bonnet, C.; Mohand-Said, S.; Audo, I.; et al. Full-field electroretinography, visual acuity and visual fields in Usher syndrome: A multicentre European study. Doc. Ophthalmol. 2019, 139, 151–160. [Google Scholar] [CrossRef]
- Micevych, P.S.; Wong, J.; Zhou, H.; Wang, R.K.; Porco, T.C.; Carroll, J.; Roorda, A.; Duncan, J.L. Cone Structure and Function in RPGR- and USH2A-Associated Retinal Degeneration. Am. J. Ophthalmol. 2023, 250, 1–11. [Google Scholar] [CrossRef]
- Young, S.L.; Stanton, C.M.; Livesey, B.J.; Marsh, J.A.; Cackett, P.D. Novel biallelic USH2A variants in a patient with usher syndrome type IIA- a case report. BMC Ophthalmol. 2022, 22, 140. [Google Scholar] [CrossRef]
- Seeliger, M.W.; Zrenner, E.; Apfelstedt-Sylla, E.; Jaissle, G.B. Identification of Usher syndrome subtypes by ERG implicit time. Investig. Ophthalmol. Vis. Sci. 2001, 42, 3066–3071. [Google Scholar]
- Langwinska-Wosko, E.; Broniek-Kowalik, K.; Szulborski, K. A clinical case study of a Wolfram syndrome-affected family: Pattern-reversal visual evoked potentials and electroretinography analysis. Doc. Ophthalmol. 2012, 124, 133–141. [Google Scholar] [CrossRef]
- Barrett, T.G.; Bundey, S.E.; Fielder, A.R.; Good, P.A. Optic atrophy in Wolfram (DIDMOAD) syndrome. Eye 1997, 11 Pt 6, 882–888. [Google Scholar] [CrossRef] [PubMed]
- Scaramuzzi, M.; Kumar, P.; Peachey, N.; Nucci, P.; Traboulsi, E.I. Evidence of retinal degeneration in Wolfram syndrome. Ophthalmic Genet. 2019, 40, 34–38. [Google Scholar] [CrossRef]
- Strom, T.M.; Hortnagel, K.; Hofmann, S.; Gekeler, F.; Scharfe, C.; Rabl, W.; Gerbitz, K.D.; Meitinger, T. Diabetes insipidus, diabetes mellitus, optic atrophy and deafness (DIDMOAD) caused by mutations in a novel gene (wolframin) coding for a predicted transmembrane protein. Hum. Mol. Genet. 1998, 7, 2021–2028. [Google Scholar] [CrossRef] [PubMed]
- Inoue, H.; Tanizawa, Y.; Wasson, J.; Behn, P.; Kalidas, K.; Bernal-Mizrachi, E.; Mueckler, M.; Marshall, H.; Donis-Keller, H.; Crock, P.; et al. A gene encoding a transmembrane protein is mutated in patients with diabetes mellitus and optic atrophy (Wolfram syndrome). Nature Genet. 1998, 20, 143–148. [Google Scholar] [CrossRef] [PubMed]
- Bonnet Wersinger, D.; Benkafadar, N.; Jagodzinska, J.; Hamel, C.; Tanizawa, Y.; Lenaers, G.; Delettre, C. Impairment of visual function and retinal ER stress activation in Wfs1-deficient mice. PLoS ONE 2014, 9, e97222. [Google Scholar] [CrossRef] [PubMed]
- Mozzillo, E.; Delvecchio, M.; Carella, M.; Grandone, E.; Palumbo, P.; Salina, A.; Aloi, C.; Buono, P.; Izzo, A.; D’Annunzio, G.; et al. A novel CISD2 intragenic deletion, optic neuropathy and platelet aggregation defect in Wolfram syndrome type 2. BMC Med. Genet. 2014, 15, 88. [Google Scholar] [CrossRef]
- Amr, S.; Heisey, C.; Zhang, M.; Xia, X.J.; Shows, K.H.; Ajlouni, K.; Pandya, A.; Satin, L.S.; El-Shanti, H.; Shiang, R. A homozygous mutation in a novel zinc-finger protein, ERIS, is responsible for Wolfram syndrome 2. Am. J. Hum. Genet. 2007, 81, 673–683. [Google Scholar] [CrossRef]
- Reardon, W.; Ross, R.J.; Sweeney, M.G.; Luxon, L.M.; Pembrey, M.E.; Harding, A.E.; Trembath, R.C. Diabetes mellitus associated with a pathogenic point mutation in mitochondrial DNA. Lancet 1992, 340, 1376–1379. [Google Scholar] [CrossRef]
- Ballinger, S.W.; Shoffner, J.M.; Hedaya, E.V.; Trounce, I.; Polak, M.A.; Koontz, D.A.; Wallace, D.C. Maternally transmitted diabetes and deafness associated with a 10.4 kb mitochondrial DNA deletion. Nat. Genet. 1992, 1, 11–15. [Google Scholar] [CrossRef]
- Guillausseau, P.J.; Massin, P.; Dubois-LaForgue, D.; Timsit, J.; Virally, M.; Gin, H.; Bertin, E.; Blickle, J.F.; Bouhanick, B.; Cahen, J.; et al. Maternally inherited diabetes and deafness: A multicenter study. Ann. Intern. Med. 2001, 134, 721–728. [Google Scholar] [CrossRef] [PubMed]
- Massin, P.; Virally-Monod, M.; Vialettes, B.; Paques, M.; Gin, H.; Porokhov, B.; Caillat-Zucman, S.; Froguel, P.; Paquis-Fluckinger, V.; Gaudric, A.; et al. Prevalence of macular pattern dystrophy in maternally inherited diabetes and deafness. GEDIAM Group. Ophthalmology 1999, 106, 1821–1827. [Google Scholar] [CrossRef]
- Ogun, O.; Sheldon, C.; Barton, J.J. Pearls & oy-sters: Maternally inherited diabetes and deafness presenting with ptosis and macular pattern dystrophy. Neurology 2012, 79, e54–e56. [Google Scholar] [CrossRef]
- Feigl, B.; Morris, C.P. Visual function and risk genotypes in maternally inherited diabetes and deafness. Can. J. Ophthalmol. 2013, 48, e111–e114. [Google Scholar] [CrossRef]
- Rath, P.P.; Jenkins, S.; Michaelides, M.; Smith, A.; Sweeney, M.G.; Davis, M.B.; Fitzke, F.W.; Bird, A.C. Characterisation of the macular dystrophy in patients with the A3243G mitochondrial DNA point mutation with fundus autofluorescence. Br. J. Ophthalmol. 2008, 92, 623–629. [Google Scholar] [CrossRef]
- Strauss, D.S.; Freund, K.B. Diagnosis of maternally inherited diabetes and deafness (mitochondrial A3243G mutation) based on funduscopic appearance in an asymptomatic patient. Br. J. Ophthalmol. 2012, 96, 604. [Google Scholar] [CrossRef] [PubMed]
- Robinson, K.N.; Terrazas, S.; Giordano-Mooga, S.; Xavier, N.A. The Role of Heteroplasmy in the Diagnosis and Management of Maternally Inherited Diabetes and Deafness. Endocr. Pract. 2020, 26, 241–246. [Google Scholar] [CrossRef] [PubMed]
- Bellmann, C.; Neveu, M.M.; Scholl, H.P.; Hogg, C.R.; Rath, P.P.; Jenkins, S.; Bird, A.C.; Holder, G.E. Localized retinal electrophysiological and fundus autofluorescence imaging abnormalities in maternal inherited diabetes and deafness. Investig. Ophthalmol. Vis. Sci. 2004, 45, 2355–2360. [Google Scholar] [CrossRef] [PubMed]
- Smith, P.R.; Bain, S.C.; Good, P.A.; Hattersley, A.T.; Barnett, A.H.; Gibson, J.M.; Dodson, P.M. Pigmentary retinal dystrophy and the syndrome of maternally inherited diabetes and deafness caused by the mitochondrial DNA 3243 tRNA(Leu) A to G mutation. Ophthalmology 1999, 106, 1101–1108. [Google Scholar] [CrossRef] [PubMed]
- Liang, Y.; Zhao, D.; Ji, Q.; Liu, M.; Dai, S.; Hou, S.; Liu, Z.; Mao, Y.; Tian, Z.; Yang, Y. Effects of coenzyme Q10 supplementation on glycemic control: A GRADE-assessed systematic review and dose-response meta-analysis of randomized controlled trials. eClinicalMedicine 2022, 52, 101602. [Google Scholar] [CrossRef] [PubMed]
- Birtel, J.; von Landenberg, C.; Gliem, M.; Gliem, C.; Reimann, J.; Kunz, W.S.; Herrmann, P.; Betz, C.; Caswell, R.; Nesbitt, V.; et al. Mitochondrial Retinopathy. Ophthalmol. Retina 2022, 6, 65–79. [Google Scholar] [CrossRef]
- Trivedi, M.; Goldstein, A.; Arora, G. Prophylactic pacemaker placement at first signs of conduction disease in Kearns-Sayre syndrome. Cardiol. Young 2018, 28, 1487–1488. [Google Scholar] [CrossRef]
- Wiseman, K.; Gor, D.; Udongwo, N.; Alshami, A.; Upadhaya, V.; Daniels, S.J.; Chung, W.K.; Koo, C.H. Ventricular arrhythmias in Kearns-Sayre syndrome: A cohort study using the National Inpatient Sample database 2016–2019. Pacing Clin. Electrophysiol. 2022, 45, 1357–1363. [Google Scholar] [CrossRef] [PubMed]
- Kozak, I.; Oystreck, D.T.; Abu-Amero, K.K.; Nowilaty, S.R.; Alkhalidi, H.; Elkhamary, S.M.; Mohamed, S.; Hamad, M.H.; Salih, M.A.; Blakely, E.L.; et al. New Observations Regarding the Retinopathy of Genetically Confirmed Kearns-Sayre Syndrome. Retin. Cases Brief Rep. 2018, 12, 349–358. [Google Scholar] [CrossRef]
- Proto, F.; Iannaccone, A.; Giusti, G.; De Leo, A. Kearns-Sayre syndrome (KSS): Case report and review of the literature [Italian]. Ann. Ottalmol. Clin. Ocul. 1994, 120, 149–154. [Google Scholar]
- Ohkoshi, K.; Ishida, N.; Yamaguchi, T.; Kanki, K. Corneal endothelium in a case of mitochondrial encephalomyopathy (Kearns-Sayre syndrome). Cornea 1989, 8, 210–214. [Google Scholar] [CrossRef] [PubMed]
- Finsterer, J.; Zarrouk-Mahjoub, S. Corneal Involvement in Kearns-Sayre Syndrome Responsive to Coenzyme-Q? Cornea 2016, 35, e39. [Google Scholar] [CrossRef] [PubMed]
- Kim, J.; Medsinge, A.; Chauhan, B.; Wiest, C.; Scanga, H.; Monaghan, R.; Moore, W.H.; Nischal, K.K. Coenzyme Q10 in the Treatment of Corneal Edema in Kearns-Sayre: Is There an Application in Fuchs Endothelial Corneal Dystrophy? Cornea 2016, 35, 1250–1254. [Google Scholar] [CrossRef] [PubMed]
- Shemesh, A.; Margolin, E. Kearns-Sayre Syndrome. In StatPearls; StatPearls Publishing: Treasure Island, FL, USA, 2024. [Google Scholar]
- Gronlund, M.A.; Honarvar, A.K.; Andersson, S.; Moslemi, A.R.; Oldfors, A.; Holme, E.; Tulinius, M.; Darin, N. Ophthalmological findings in children and young adults with genetically verified mitochondrial disease. Br. J. Ophthalmol. 2010, 94, 121–127. [Google Scholar] [CrossRef]
- Holt, I.J.; Harding, A.E.; Petty, R.K.; Morgan-Hughes, J.A. A new mitochondrial disease associated with mitochondrial DNA heteroplasmy. Am. J. Hum. Genet. 1990, 46, 428–433. [Google Scholar]
- Rabinovich, M.; Zambrowski, O.; Miere, A.; Bhouri, R.; Souied, E. Neuropathy, ataxia, retinitis pigmentosa: A case of a mother and two siblings. Ophthalmic Genet. 2024, 45, 193–200. [Google Scholar] [CrossRef] [PubMed]
- Baranowska, E.; Niedzwiecka, K.; Panja, C.; Charles, C.; Dautant, A.; di Rago, J.P.; Tribouillard-Tanvier, D.; Kucharczyk, R. Molecular basis of diseases induced by the mitochondrial DNA mutation m.9032T>C. Hum. Mol. Genet. 2023, 32, 1313–1323. [Google Scholar] [CrossRef]
- Fryer, A.; Appleton, R.; Sweeney, M.G.; Rosenbloom, L.; Harding, A.E. Mitochondrial DNA 8993 (NARP) mutation presenting with a heterogeneous phenotype including ‘cerebral palsy’. Arch. Dis. Child. 1994, 71, 419–422. [Google Scholar] [CrossRef]
- Lemoine, S.; Panaye, M.; Rabeyrin, M.; Errazuriz-Cerda, E.; Mousson de Camaret, B.; Petiot, P.; Juillard, L.; Guebre-Egziabher, F. Renal Involvement in Neuropathy, Ataxia, Retinitis Pigmentosa (NARP) Syndrome: A Case Report. Am. J. Kidney Dis. 2018, 71, 754–757. [Google Scholar] [CrossRef] [PubMed]
- Chowers, I.; Lerman-Sagie, T.; Elpeleg, O.N.; Shaag, A.; Merin, S. Cone and rod dysfunction in the NARP syndrome. Br. J. Ophthalmol. 1999, 83, 190–193. [Google Scholar] [CrossRef] [PubMed]
- Bardet, G. On congenital obesity syndrome with polydactyly and retinitis pigmentosa (a contribution to the study of clinical forms of hypophyseal obesity). 1920. Obes. Res. 1995, 3, 387–399. [Google Scholar] [CrossRef] [PubMed]
- Levin, A.; Zanolli, M.; Capasso, J. Wills Eye Handbook of Ocular Genetics, 1st ed.; Thieme: New York, NY, USA, 2018. [Google Scholar]
- Tobin, J.L.; Beales, P.L. Bardet-Biedl syndrome: Beyond the cilium. Pediatr. Nephrol. 2007, 22, 926–936. [Google Scholar] [CrossRef] [PubMed]
- Chandra, B.; Tung, M.L.; Hsu, Y.; Scheetz, T.; Sheffield, V.C. Retinal ciliopathies through the lens of Bardet-Biedl Syndrome: Past, present and future. Prog. Retin. Eye Res. 2022, 89, 101035. [Google Scholar] [CrossRef] [PubMed]
- Lechtreck, K. Cargo adapters expand the transport range of intraflagellar transport. J. Cell Sci. 2022, 135, jcs260408. [Google Scholar] [CrossRef]
- Dilan, T.L.; Singh, R.K.; Saravanan, T.; Moye, A.; Goldberg, A.F.X.; Stoilov, P.; Ramamurthy, V. Bardet-Biedl syndrome-8 (BBS8) protein is crucial for the development of outer segments in photoreceptor neurons. Hum. Mol. Genet. 2018, 27, 283–294. [Google Scholar] [CrossRef]
- Daniels, A.B.; Sandberg, M.A.; Chen, J.; Weigel-DiFranco, C.; Fielding Hejtmancic, J.; Berson, E.L. Genotype-phenotype correlations in Bardet-Biedl syndrome. Arch. Ophthalmol. 2012, 130, 901–907. [Google Scholar] [CrossRef]
- Tian, X.; Zhao, H.; Zhou, J. Organization, functions, and mechanisms of the BBSome in development, ciliopathies, and beyond. elife 2023, 12, e87623. [Google Scholar] [CrossRef] [PubMed]
- Meng, X.; Long, Y.; Ren, J.; Wang, G.; Yin, X.; Li, S. Ocular Characteristics of Patients With Bardet-Biedl Syndrome Caused by Pathogenic BBS Gene Variation in a Chinese Cohort. Front. Cell Dev. Biol. 2021, 9, 635216. [Google Scholar] [CrossRef]
- Milibari, D.; Nowilaty, S.R.; Ba-Abbad, R. The Clinical and Mutational Spectrum of Bardet-Biedl Syndrome in Saudi Arabia. Genes 2024, 15, 762. [Google Scholar] [CrossRef]
- Nasser, F.; Kohl, S.; Kurtenbach, A.; Kempf, M.; Biskup, S.; Zuleger, T.; Haack, T.B.; Weisschuh, N.; Stingl, K.; Zrenner, E. Ophthalmic and Genetic Features of Bardet Biedl Syndrome in a German Cohort. Genes 2022, 13, 1218. [Google Scholar] [CrossRef]
- Grudzinska Pechhacker, M.K.; Jacobson, S.G.; Drack, A.V.; Scipio, M.D.; Strubbe, I.; Pfeifer, W.; Duncan, J.L.; Dollfus, H.; Goetz, N.; Muller, J.; et al. Comparative Natural History of Visual Function From Patients With Biallelic Variants in BBS1 and BBS10. Invest. Ophthalmol. Vis. Sci. 2021, 62, 26. [Google Scholar] [CrossRef] [PubMed]
- Praidou, A.; Hagan, R.; Nayak, H.; Chandna, A. Multifocal electroretinogram contributes to differentiation of various clinical pictures within a family with Bardet-Biedl syndrome. Eye 2014, 28, 1136–1142. [Google Scholar] [CrossRef][Green Version]
- Senatore, A.; Kheir, W.J.; Yu, M.; Racioppi, A.; Gattegna, R.; Creel, D.; Iannaccone, A. Syndromic disorders. In Handbook of Clinical Electrophysiology of Vision, 1st ed.; Yu, M., Creel, D., Iannaccone, A., Eds.; Springer: Cham, Switzerland, 2019; pp. 111–145. [Google Scholar]
- Marshall, J.D.; Hinman, E.G.; Collin, G.B.; Beck, S.; Cerqueira, R.; Maffei, P.; Milan, G.; Zhang, W.; Wilson, D.I.; Hearn, T.; et al. Spectrum of ALMS1 variants and evaluation of genotype-phenotype correlations in Alstrom syndrome. Hum. Mutat. 2007, 28, 1114–1123. [Google Scholar] [CrossRef] [PubMed]
- Marshall, J.D.; Maffei, P.; Collin, G.B.; Naggert, J.K. Alstrom syndrome: Genetics and clinical overview. Curr. Genomics 2011, 12, 225–235. [Google Scholar] [CrossRef] [PubMed]
- Marshall, J.D.; Beck, S.; Maffei, P.; Naggert, J.K. Alstrom syndrome. Eur. J. Hum. Genet. 2007, 15, 1193–1202. [Google Scholar] [CrossRef] [PubMed]
- Xu, H.; Wang, Z.; Sa, S.; Yang, Y.; Zhang, X.; Li, D. Identification of novel compound heterozygous variants of the ALMS1 gene in a child with Alstrom syndrome by whole genome sequencing. Gene 2024, 929, 148827. [Google Scholar] [CrossRef]
- Hu, M.; Chen, S.; Wu, J.; Wang, R. Whole-exome sequencing revealed a novel mutation of the ALMS1 gene in a Chinese family with Alstrom syndrome: A case report. BMC Pediatr. 2024, 24, 494. [Google Scholar] [CrossRef]
- Gosadi, G.; Busehail, M.; Rahbeeni, Z. Alstrom’s Syndrome: An Experience of Tertiary Care Center. J. Pediatr. Genet. 2024, 13, 133–138. [Google Scholar] [CrossRef]
- Queiroz, I.C.; Carasek, N.; Ferreira, L.C.V.; Oliveira, L.A.T.; Correia, F.M.; Elias, T.G.A.; Bahmad, F., Jr. New variants of ALMS1 gene and familial Alstrom syndrome case series. Braz. J. Otorhinolaryngol. 2024, 90, 101402. [Google Scholar] [CrossRef]
- Katagiri, S.; Yoshitake, K.; Akahori, M.; Hayashi, T.; Furuno, M.; Nishino, J.; Ikeo, K.; Tsuneoka, H.; Iwata, T. Whole-exome sequencing identifies a novel ALMS1 mutation (p.Q2051X) in two Japanese brothers with Alstrom syndrome. Mol. Vis. 2013, 19, 2393–2406. [Google Scholar]
- Malm, E.; Ponjavic, V.; Nishina, P.M.; Naggert, J.K.; Hinman, E.G.; Andreasson, S.; Marshall, J.D.; Moller, C. Full-field electroretinography and marked variability in clinical phenotype of Alstrom syndrome. Arch. Ophthalmol. 2008, 126, 51–57. [Google Scholar] [CrossRef]
- Hung, Y.J.; Jeng, C.; Pei, D.; Chou, P.I.; Wu, D.A. Alstrom syndrome in two siblings. J. Formos. Med. Assoc. 2001, 100, 45–49. [Google Scholar]
- Russell-Eggitt, I.M.; Clayton, P.T.; Coffey, R.; Kriss, A.; Taylor, D.S.; Taylor, J.F. Alstrom syndrome. Report of 22 cases and literature review. Ophthalmology 1998, 105, 1274–1280. [Google Scholar] [CrossRef]
- Michaud, J.L.; Heon, E.; Guilbert, F.; Weill, J.; Puech, B.; Benson, L.; Smallhorn, J.F.; Shuman, C.T.; Buncic, J.R.; Levin, A.V.; et al. Natural history of Alstrom syndrome in early childhood: Onset with dilated cardiomyopathy. J. Pediatr. 1996, 128, 225–229. [Google Scholar] [CrossRef] [PubMed]
- Tremblay, F.; LaRoche, R.G.; Shea, S.E.; Ludman, M.D. Longitudinal study of the early electroretinographic changes in Alstrom’s syndrome. Am. J. Ophthalmol. 1993, 115, 657–665. [Google Scholar] [CrossRef] [PubMed]
- Herranz-Heras, J.C.; Barcelo, A.; Quesada-Espinosa, J.F.; Dorado-Lopez-Rosado, A.M.; Tejada-Palacios, P.; Munoz-Gallego, A. Alstrom syndrome: Two clinical cases with two novel pathogenic variants. Eur. J. Ophthalmol. 2023, 33, NP27–NP31. [Google Scholar] [CrossRef]
- Wang, Y.; Huang, L.; Sun, L.; Li, S.; Zhang, Z.; Zhang, T.; Lai, Y.; Ding, X. Ocular findings and genetic test in Alstrom syndrome in childhood. Exp. Eye Res. 2022, 225, 109277. [Google Scholar] [CrossRef]
- Chandler, K.E.; Kidd, A.; Al-Gazali, L.; Kolehmainen, J.; Lehesjoki, A.E.; Black, G.C.; Clayton-Smith, J. Diagnostic criteria, clinical characteristics, and natural history of Cohen syndrome. J. Med. Genet. 2003, 40, 233–241. [Google Scholar] [CrossRef] [PubMed]
- Kolehmainen, J.; Black, G.C.; Saarinen, A.; Chandler, K.; Clayton-Smith, J.; Traskelin, A.L.; Perveen, R.; Kivitie-Kallio, S.; Norio, R.; Warburg, M.; et al. Cohen syndrome is caused by mutations in a novel gene, COH1, encoding a transmembrane protein with a presumed role in vesicle-mediated sorting and intracellular protein transport. Am. J. Hum. Genet. 2003, 72, 1359–1369. [Google Scholar] [CrossRef]
- Daich Varela, M.; Motta, F.L.; Webster, A.R.; Arno, G. A rare canonical splice-site variant in VPS13B causes attenuated Cohen syndrome. Ophthalmic Genet. 2022, 43, 110–115. [Google Scholar] [CrossRef]
- Seifert, W.; Holder-Espinasse, M.; Kuhnisch, J.; Kahrizi, K.; Tzschach, A.; Garshasbi, M.; Najmabadi, H.; Walter Kuss, A.; Kress, W.; Laureys, G.; et al. Expanded mutational spectrum in Cohen syndrome, tissue expression, and transcript variants of COH1. Hum. Mutat. 2009, 30, E404–E420. [Google Scholar] [CrossRef]
- Wang, H.; Falk, M.J.; Wensel, C.; Traboulsi, E.I. Cohen Syndrome. In GeneReviews®; Pagon, R.A., Adam, M.P., Ardinger, H.H., Wallace, S.E., Amemiya, A., Bean, L.J.H., Bird, T.D., Ledbetter, N., Mefford, H.C., Smith, R.J.H., et al., Eds.; University of Washington: Seattle, WA, USA, 1993. [Google Scholar]
- Dastan, J.; Chijiwa, C.; Tang, F.; Martell, S.; Qiao, Y.; Rajcan-Separovic, E.; Lewis, M.E. Exome sequencing identifies pathogenic variants of VPS13B in a patient with familial 16p11.2 duplication. BMC Med. Genet. 2016, 17, 78. [Google Scholar] [CrossRef][Green Version]
- Gillentine, M.A.; Schaaf, C.P.; Patel, A. The importance of phase analysis in multiexon copy number variation detected by aCGH in autosomal recessive disorder loci. Am. J. Med. Genet. A 2017, 173, 2485–2488. [Google Scholar] [CrossRef] [PubMed]
- Rodrigues, J.M.; Fernandes, H.D.; Caruthers, C.; Braddock, S.R.; Knutsen, A.P. Cohen Syndrome: Review of the Literature. Cureus 2018, 10, e3330. [Google Scholar] [CrossRef]
- Carey, J.; Battaglia, A.; Viskochil, D.; Cassidy, S.B. (Eds.) Cassidy and Allanson’s Management of Genetic Syndromes, 1 ed.; John Wiley & Sons, Inc.: Hoboken, NJ, USA, 2020. [Google Scholar]
- Vacca, F.; Yalcin, B.; Ansar, M. Exploring the pathological mechanisms underlying Cohen syndrome. Front. Neurosci. 2024, 18, 1431400. [Google Scholar] [CrossRef] [PubMed]
- Parri, V.; Katzaki, E.; Uliana, V.; Scionti, F.; Tita, R.; Artuso, R.; Longo, I.; Boschloo, R.; Vijzelaar, R.; Selicorni, A.; et al. High frequency of COH1 intragenic deletions and duplications detected by MLPA in patients with Cohen syndrome. Eur. J. Hum. Genet. 2010, 18, 1133–1140. [Google Scholar] [CrossRef]
- Yang, C.; Hou, M.; Li, Y.; Sun, D.; Guo, Y.; Liu, P.; Liu, Y.; Song, J.; Zhang, N.; Wei, W.; et al. Gene analysis: A rare gene disease of intellectual deficiency-Cohen syndrome. Int. J. Dev. Neurosci. 2018, 68, 83–88. [Google Scholar] [CrossRef]
- Chandler, K.E.; Biswas, S.; Lloyd, I.C.; Parry, N.; Clayton-Smith, J.; Black, G.C. The ophthalmic findings in Cohen syndrome. Br. J. Ophthalmol. 2002, 86, 1395–1398. [Google Scholar] [CrossRef]
- Warburg, M.; Pedersen, S.A.; Horlyk, H. The Cohen syndrome. Retinal lesions and granulocytopenia. Ophthalmic Paediatr. Genet. 1990, 11, 7–13. [Google Scholar] [CrossRef]
- Quinn, M.P.; MacKeen, L.D.; Vincent, A.; Strube, Y.N.J. Early ocular findings in Cohen syndrome: Case report and Canadian survey study. Can. J. Ophthalmol. 2021, 56, e26–e28. [Google Scholar] [CrossRef]
- Hennies, H.C.; Rauch, A.; Seifert, W.; Schumi, C.; Moser, E.; Al-Taji, E.; Tariverdian, G.; Chrzanowska, K.H.; Krajewska-Walasek, M.; Rajab, A.; et al. Allelic heterogeneity in the COH1 gene explains clinical variability in Cohen syndrome. Am. J. Hum. Genet. 2004, 75, 138–145. [Google Scholar] [CrossRef] [PubMed]
- Alagille, D.; Odievre, M.; Gautier, M.; Dommergues, J.P. Hepatic ductular hypoplasia associated with characteristic facies, vertebral malformations, retarded physical, mental, and sexual development, and cardiac murmur. J. Pediatr. 1975, 86, 63–71. [Google Scholar] [CrossRef] [PubMed]
- Oda, T.; Elkahloun, A.G.; Pike, B.L.; Okajima, K.; Krantz, I.D.; Genin, A.; Piccoli, D.A.; Meltzer, P.S.; Spinner, N.B.; Collins, F.S.; et al. Mutations in the human Jagged1 gene are responsible for Alagille syndrome. Nat. Genet. 1997, 16, 235–242. [Google Scholar] [CrossRef]
- Law, C.; Pattathil, N.; Simpson, H.; Ward, M.J.; Lampen, S.; Kamath, B.; Aleman, T.S. Intraretinal hemorrhages and detailed retinal phenotype of three patients with Alagille syndrome. Ophthalmic Genet. 2024, 45, 522–531. [Google Scholar] [CrossRef] [PubMed]
- Ruiz-Chavolla, D.; Barragan-Arevalo, T.; Cortes-Munoz, D.; Sanchez-Ruiz, J.; Zenteno, J.C.; Ledesma-Gil, G. Macular atrophy and focal choroidal excavation in a patient with JAG1- related alagille syndrome. Ophthalmic Genet. 2024, 45, 299–302. [Google Scholar] [CrossRef]
- Kim, B.J.; Fulton, A.B. The genetics and ocular findings of Alagille syndrome. Semin. Ophthalmol. 2007, 22, 205–210. [Google Scholar] [CrossRef]
- Crosnier, C.; Attie-Bitach, T.; Encha-Razavi, F.; Audollent, S.; Soudy, F.; Hadchouel, M.; Meunier-Rotival, M.; Vekemans, M. JAGGED1 gene expression during human embryogenesis elucidates the wide phenotypic spectrum of Alagille syndrome. Hepatology 2000, 32, 574–581. [Google Scholar] [CrossRef] [PubMed]
- Kamath, B.M.; Bauer, R.C.; Loomes, K.M.; Chao, G.; Gerfen, J.; Hutchinson, A.; Hardikar, W.; Hirschfield, G.; Jara, P.; Krantz, I.D.; et al. NOTCH2 mutations in Alagille syndrome. J. Med. Genet. 2012, 49, 138–144. [Google Scholar] [CrossRef] [PubMed]
- Grochowski, C.M.; Loomes, K.M.; Spinner, N.B. Jagged1 (JAG1): Structure, expression, and disease associations. Gene 2016, 576, 381–384. [Google Scholar] [CrossRef]
- Emerick, K.M.; Rand, E.B.; Goldmuntz, E.; Krantz, I.D.; Spinner, N.B.; Piccoli, D.A. Features of Alagille syndrome in 92 patients: Frequency and relation to prognosis. Hepatology 1999, 29, 822–829. [Google Scholar] [CrossRef] [PubMed]
- Kamath, B.M.; Loomes, K.M.; Oakey, R.J.; Emerick, K.E.; Conversano, T.; Spinner, N.B.; Piccoli, D.A.; Krantz, I.D. Facial features in Alagille syndrome: Specific or cholestasis facies? Am. J. Med. Genet. 2002, 112, 163–170. [Google Scholar] [CrossRef]
- Diaz-Frias, J.; Kondamudi, N.P. Alagille Syndrome. In StatPearls; StatPearls Publishing: Treasure Island, FL, USA, 2024. [Google Scholar]
- Nischal, K.K.; Hingorani, M.; Bentley, C.R.; Vivian, A.J.; Bird, A.C.; Baker, A.J.; Mowat, A.P.; Mieli-Vergani, G.; Aclimandos, W.A. Ocular ultrasound in Alagille syndrome: A new sign. Ophthalmology 1997, 104, 79–85. [Google Scholar] [CrossRef] [PubMed]
- El-Koofy, N.M.; El-Mahdy, R.; Fahmy, M.E.; El-Hennawy, A.; Farag, M.Y.; El-Karaksy, H.M. Alagille syndrome: Clinical and ocular pathognomonic features. Eur. J. Ophthalmol. 2011, 21, 199–206. [Google Scholar] [CrossRef] [PubMed]
- Puklin, J.E.; Riely, C.A.; Simon, R.M.; Cotlier, E. Anterior segment and retinal pigmentary abnormalities in arteriohepatic dysplasia. Ophthalmology 1981, 88, 337–347. [Google Scholar] [CrossRef]
- Romanchuk, K.G.; Judisch, G.F.; LaBrecque, D.R. Ocular findings in arteriohepatic dysplasia (Alagille’s syndrome). Can. J. Ophthalmol. 1981, 16, 94–99. [Google Scholar]
- Mayer, U.; Grosse, K.P. Clinical picture and inheritance of ocular symptoms in arteriohepatic dysplasia (author’s transl). Klin. Monbl. Augenheilkd. 1982, 180, 290–293. [Google Scholar] [CrossRef] [PubMed]
- Hingorani, M.; Nischal, K.K.; Davies, A.; Bentley, C.; Vivian, A.; Baker, A.J.; Mieli-Vergani, G.; Bird, A.C.; Aclimandos, W.A. Ocular abnormalities in Alagille syndrome. Ophthalmology 1999, 106, 330–337. [Google Scholar] [CrossRef] [PubMed]
- Brodsky, M.C.; Cunniff, C. Ocular anomalies in the alagille syndrome (arteriohepatic dysplasia). Ophthalmology 1993, 100, 1767–1774. [Google Scholar] [CrossRef] [PubMed]
- Umemura, K.; Fujita, K.; Kamei, M. Three-Year Follow-up of Progressive Chorioretinal Atrophy in Atypical Alagille Syndrome: A Case Report. Retin. Cases Brief. Rep. 2024, 18, 247–250. [Google Scholar] [CrossRef]
- Cheema, M.R.; Stone, L.G.; Sellar, P.W.; Quinn, S.; Clark, S.C.; Martin, R.J.; O’Brien, J.M.; Warriner, C.; Browning, A.C. Long-term follow-up of a patient with JAG1-associated retinopathy. Doc. Ophthalmol. 2021, 143, 237–247. [Google Scholar] [CrossRef] [PubMed]
- da Palma, M.M.; Igelman, A.D.; Ku, C.; Burr, A.; You, J.Y.; Place, E.M.; Wang, N.K.; Oh, J.K.; Branham, K.E.; Zhang, X.; et al. Characterization of the Spectrum of Ophthalmic Changes in Patients With Alagille Syndrome. Investig. Ophthalmol. Vis. Sci. 2021, 62, 27. [Google Scholar] [CrossRef]
- Fukumoto, M.; Ikeda, T.; Sugiyama, T.; Ueki, M.; Sato, T.; Ishizaki, E. A case of Alagille syndrome complicated by intraocular lens subluxation and rhegmatogenous retinal detachment. Clin. Ophthalmol. 2013, 7, 1463–1465. [Google Scholar] [CrossRef] [PubMed]
- Misawa, M.; Tampo, H.; Makino, S. Atypical Focal Choroidal Excavation with Macular Hole in a Patient with Alagille Syndrome. Case Rep. Ophthalmol. Med. 2022, 2022, 8136115. [Google Scholar] [CrossRef] [PubMed]
- Fea, A.; Grosso, A.; Rabbione, M.; Grignolo, F. Alagille syndrome and optic pit. Graefes Arch. Clin. Exp. Ophthalmol. 2007, 245, 315–317. [Google Scholar] [CrossRef]
- Voykov, B.; Guenova, E.; Sturm, E.; Deuter, C. Alagille syndrome associated with myelinated retinal nerve fibers. Ophthalmologica 2009, 223, 348–350. [Google Scholar] [CrossRef] [PubMed]
- Tanino, T.; Ishihara, A.; Naganuma, K.; Nakahata, T. Electrophysiological findings in a family with congenital arteriohepatic dysplasia (Alagille syndrome). Doc. Ophthalmol. 1986, 63, 83–89. [Google Scholar] [CrossRef]
- Bassen, F.A.; Kornzweig, A.L. Malformation of the erythrocytes in a case of atypical retinitis pigmentosa. Blood 1950, 5, 381–387. [Google Scholar] [CrossRef]
- Benayoun, L.; Granot, E.; Rizel, L.; Allon-Shalev, S.; Behar, D.M.; Ben-Yosef, T. Abetalipoproteinemia in Israel: Evidence for a founder mutation in the Ashkenazi Jewish population and a contiguous gene deletion in an Arab patient. Mol. Genet. Metab. 2007, 90, 453–457. [Google Scholar] [CrossRef] [PubMed]
- Shoulders, C.C.; Brett, D.J.; Bayliss, J.D.; Narcisi, T.M.; Jarmuz, A.; Grantham, T.T.; Leoni, P.R.; Bhattacharya, S.; Pease, R.J.; Cullen, P.M.; et al. Abetalipoproteinemia is caused by defects of the gene encoding the 97 kDa subunit of a microsomal triglyceride transfer protein. Hum. Mol. Genet. 1993, 2, 2109–2116. [Google Scholar] [CrossRef]
- Wang, J.; Hegele, R.A. Microsomal triglyceride transfer protein (MTP) gene mutations in Canadian subjects with abetalipoproteinemia. Hum. Mutat. 2000, 15, 294–295. [Google Scholar] [CrossRef]
- Burnett, J.R.; Hooper, A.J.; Hegele, R.A. Abetalipoproteinemia. In GeneReviews®; Adam, M.P., Ardinger, H.H., Pagon, R.A., Wallace, S.E., Bean, L.J.H., Stephens, K., Amemiya, A., Eds.; University of Washington: Seattle, WA, USA, 1993. [Google Scholar]
- Harcourt, B.; Hopkins, D. Tapetoretinal degeneration in childhood presenting as a disturbance of behaviour. Br. Med. J. 1972, 1, 202–205. [Google Scholar] [CrossRef] [PubMed][Green Version]
- Brin, M.F.; Pedley, T.A.; Lovelace, R.E.; Emerson, R.G.; Gouras, P.; MacKay, C.; Kayden, H.J.; Levy, J.; Baker, H. Electrophysiologic features of abetalipoproteinemia: Functional consequences of vitamin E deficiency. Neurology 1986, 36, 669–673. [Google Scholar] [CrossRef] [PubMed]
- Berson, E.L.; Rosner, B.; Sandberg, M.A.; Hayes, K.C.; Nicholson, B.W.; Weigel-DiFranco, C.; Willett, W. A randomized trial of vitamin A and vitamin E supplementation for retinitis pigmentosa. Arch. Ophthalmol. 1993, 111, 761–772. [Google Scholar] [CrossRef]
- Fagan, E.R.; Taylor, M.J. Longitudinal multimodal evoked potential studies in abetalipoproteinaemia. Can. J. Neurol. Sci. 1987, 14, 617–621. [Google Scholar] [PubMed]
- Lowry, N.J.; Taylor, M.J.; Belknapp, W.; Logan, W.J. Electrophysiological studies in five cases of abetalipoproteinemia. Can. J. Neurol. Sci. 1984, 11, 60–63. [Google Scholar] [CrossRef]
- Hanawalt, P.C. DNA repair. The bases for Cockayne syndrome. Nature 2000, 405, 415–416. [Google Scholar] [CrossRef] [PubMed]
- Friedberg, E.C. Cockayne syndrome—A primary defect in DNA repair, transcription, both or neither? Bioessays 1996, 18, 731–738. [Google Scholar] [CrossRef]
- Wu, Y.; Zheng, Y.; Yan, X.; Huang, Y.; Jiang, Y.; Li, H. Ocular findings in a patient with Cockayne syndrome with two mutations in the ERCC6 gene. Ophthalmic Genet. 2017, 38, 175–177. [Google Scholar] [CrossRef]
- Ozdirim, E.; Topcu, M.; Ozon, A.; Cila, A. Cockayne syndrome: Review of 25 cases. Pediatr. Neurol. 1996, 15, 312–316. [Google Scholar] [CrossRef]
- Dollfus, H.; Porto, F.; Caussade, P.; Speeg-Schatz, C.; Sahel, J.; Grosshans, E.; Flament, J.; Sarasin, A. Ocular manifestations in the inherited DNA repair disorders. Surv. Ophthalmol. 2003, 48, 107–122. [Google Scholar] [CrossRef] [PubMed]
- Scaioli, V.; D’Arrigo, S.; Pantaleoni, C. Unusual neurophysiological features in Cockayne’s syndrome: A report of two cases as a contribution to diagnosis and classification. Brain Dev. 2004, 26, 273–280. [Google Scholar] [CrossRef]
- Ikeda, N.; Yamamoto, S.; Hayasaka, S.; Fukuo, Y.; Koike, T. Nondetectable cone and rod electroretinographic responses in a patient with Cockayne syndrome. Jpn. J. Ophthalmol. 1995, 39, 420–423. [Google Scholar] [PubMed]
- Figueras-Roca, M.; Budi, V.; Morato, M.; Camos-Carreras, A.; Munoz, J.E.; Sanchez-Dalmau, B. Cockayne syndrome in adults: Complete retinal dysfunction exploration of two case reports. Doc. Ophthalmol. 2019, 138, 241–246. [Google Scholar] [CrossRef] [PubMed]
- Cho, S.; Traboulsi, E.I.; Chiang, J.; Sierpina, D. Multimodal imaging in a family with Cockayne syndrome with a novel pathogenic mutation in the ERCC8 gene, and significant phenotypic variability. Doc. Ophthalmol. 2020, 141, 89–97. [Google Scholar] [CrossRef] [PubMed]
- Schalk, A.; Greff, G.; Drouot, N.; Obringer, C.; Dollfus, H.; Laugel, V.; Chelly, J.; Calmels, N. Deep intronic variation in splicing regulatory element of the ERCC8 gene associated with severe but long-term survival Cockayne syndrome. Eur. J. Hum. Genet. 2018, 26, 527–536. [Google Scholar] [CrossRef] [PubMed]
- Joubert, M.; Eisenring, J.J.; Robb, J.P.; Andermann, F. Familial agenesis of the cerebellar vermis. A syndrome of episodic hyperpnea, abnormal eye movements, ataxia, and retardation. Neurology 1969, 19, 813–825. [Google Scholar] [CrossRef] [PubMed]
- Wang, S.F.; Kowal, T.J.; Ning, K.; Koo, E.B.; Wu, A.Y.; Mahajan, V.B.; Sun, Y. Review of Ocular Manifestations of Joubert Syndrome. Genes 2018, 9, 605. [Google Scholar] [CrossRef]
- Nozaki, S.; Katoh, Y.; Terada, M.; Michisaka, S.; Funabashi, T.; Takahashi, S.; Kontani, K.; Nakayama, K. Regulation of ciliary retrograde protein trafficking by the Joubert syndrome proteins ARL13B and INPP5E. J. Cell Sci. 2017, 130, 563–576. [Google Scholar] [CrossRef] [PubMed]
- Varadi, V.; Szabo, L.; Papp, Z. Syndrome of polydactyly, cleft lip/palate or lingual lump, and psychomotor retardation in endogamic gypsies. J. Med. Genet. 1980, 17, 119–122. [Google Scholar] [CrossRef]
- Ullah, I.; Khan, K.S.; Afridi, R.U.; Shirazi, F.; Naz, I.; Ambreen, A.; Singh, M.; Asghar, M.S. Joubert syndrome a rare entity and role of radiology: A case report. Ann. Med. Surg. 2022, 79, 104113. [Google Scholar] [CrossRef] [PubMed]
- Brancati, F.; Dallapiccola, B.; Valente, E.M. Joubert Syndrome and related disorders. Orphanet J. Rare Dis. 2010, 5, 20. [Google Scholar] [CrossRef]
- Parisi, M.A. Clinical and molecular features of Joubert syndrome and related disorders. Am. J. Med. Genet. C Semin. Med. Genet. 2009, 151C, 326–340. [Google Scholar] [CrossRef] [PubMed]
- Toma, C.; Ruberto, G.; Marzi, F.; Vandelli, G.; Signorini, S.; Valente, E.M.; Antonini, M.; Bertone, C.; Bianchi, P.E. Macular staphyloma in patients affected by Joubert syndrome with retinal dystrophy: A new finding detected by SD-OCT. Doc. Ophthalmol. 2018, 137, 25–36. [Google Scholar] [CrossRef] [PubMed]
- Khan, A.O.; Oystreck, D.T.; Seidahmed, M.Z.; AlDrees, A.; Elmalik, S.A.; Alorainy, I.A.; Salih, M.A. Ophthalmic features of Joubert syndrome. Ophthalmology 2008, 115, 2286–2289. [Google Scholar] [CrossRef] [PubMed]
- Hodgkins, P.R.; Harris, C.M.; Shawkat, F.S.; Thompson, D.A.; Chong, K.; Timms, C.; Russell-Eggitt, I.; Taylor, D.S.; Kriss, A. Joubert syndrome: Long-term follow-up. Dev. Med. Child. Neurol. 2004, 46, 694–699. [Google Scholar] [CrossRef] [PubMed]
- Ruberto, G.; Parisi, V.; Bertone, C.; Signorini, S.; Antonini, M.; Valente, E.M.; Manzoni, F.; Serpieri, V.; Fausto, R.; Quaranta, L. Electroretinographic Assessment in Joubert Syndrome: A Suggested Objective Method to Evaluate the Effectiveness of Future Targeted Treatment. Adv. Ther. 2020, 37, 3827–3838. [Google Scholar] [CrossRef]
- Ruberto, G.; Parisi, V.; Bertone, C.; Signorini, S.; Antonini, M.; Valente, E.M.; Manzoni, F.; Serpieri, V.; Fausto, R.; Quaranta, L. Visual Evoked Potentials in Joubert Syndrome: A Suggested Useful Method for Evaluating Future Approaches Targeted to Improve Visual Pathways’ Function. Adv. Ther. 2021, 38, 278–289. [Google Scholar] [CrossRef] [PubMed]
- Safary, A.; Akbarzadeh Khiavi, M.; Omidi, Y.; Rafi, M.A. Targeted enzyme delivery systems in lysosomal disorders: An innovative form of therapy for mucopolysaccharidosis. Cell. Mol. Life Sci. 2019, 76, 3363–3381. [Google Scholar] [CrossRef]
- Scott, H.S.; Litjens, T.; Hopwood, J.J.; Morris, C.P. A common mutation for mucopolysaccharidosis type I associated with a severe Hurler syndrome phenotype. Hum. Mutat. 1992, 1, 103–108. [Google Scholar] [CrossRef]
- Clarke, L.A. Mucopolysaccharidosis Type I. In GeneReviews®; Adam, M.P., Feldman, J., Mirzaa, G.M., Pagon, R.A., Wallace, S.E., Amemiya, A., Eds.; University of Washington: Seattle, WA, USA, 1993. [Google Scholar]
- Sornalingam, K.; Javed, A.; Aslam, T.; Sergouniotis, P.; Jones, S.; Ghosh, A.; Ashworth, J. Variability in the ocular phenotype in mucopolysaccharidosis. Br. J. Ophthalmol. 2019, 103, 504–510. [Google Scholar] [CrossRef] [PubMed]
- Mack, H.G.; Symons, R.C.A.; de Jong, G. Bull’s eye maculopathy and subfoveal deposition in two mucopolysaccharidosis type I patients on long-term enzyme replacement therapy. Am. J. Ophthalmol. Case Rep. 2018, 9, 1–6. [Google Scholar] [CrossRef] [PubMed]
- Lin, H.Y.; Chan, W.C.; Chen, L.J.; Lee, Y.C.; Yeh, S.I.; Niu, D.M.; Chiu, P.C.; Tsai, W.H.; Hwu, W.L.; Chuang, C.K.; et al. Ophthalmologic manifestations in Taiwanese patients with mucopolysaccharidoses. Mol. Genet. Genomic Med. 2019, 7, e00617. [Google Scholar] [CrossRef]
- Muenzer, J.; Beck, M.; Eng, C.M.; Escolar, M.L.; Giugliani, R.; Guffon, N.H.; Harmatz, P.; Kamin, W.; Kampmann, C.; Koseoglu, S.T.; et al. Multidisciplinary management of Hunter syndrome. Pediatrics 2009, 124, e1228–e1239. [Google Scholar] [CrossRef]
- Salvucci, I.D.M.; Finzi, S.; Oyamada, M.K.; Kim, C.A.; Pimentel, S.L.G. Multimodal image analysis of the retina in Hunter syndrome (mucopolysaccharidosis type II): Case report. Ophthalmic Genet. 2018, 39, 103–107. [Google Scholar] [CrossRef] [PubMed]
- Wilkin, J.; Kerr, N.C.; Byrd, K.W.; Ward, J.C.; Iannaccone, A. Characterization of a Case of Pigmentary Retinopathy in Sanfilippo Syndrome Type IIIA Associated with Compound Heterozygous Mutations in the SGSH Gene. Ophthalmic Genet. 2016, 37, 217–227. [Google Scholar] [CrossRef]
- Caruso, R.C.; Kaiser-Kupfer, M.I.; Muenzer, J.; Ludwig, I.H.; Zasloff, M.A.; Mercer, P.A. Electroretinographic findings in the mucopolysaccharidoses. Ophthalmology 1986, 93, 1612–1616. [Google Scholar] [CrossRef]
- D’Avanzo, F.; Zanetti, A.; De Filippis, C.; Tomanin, R. Mucopolysaccharidosis Type VI, an Updated Overview of the Disease. Int. J. Mol. Sci. 2021, 22, 13456. [Google Scholar] [CrossRef]
- Spalton, D.J.; Taylor, D.S.; Sanders, M.D. Juvenile Batten’s disease: An ophthalmological assessment of 26 patients. Br. J. Ophthalmol. 1980, 64, 726–732. [Google Scholar] [CrossRef]
- Dolisca, S.B.; Mehta, M.; Pearce, D.A.; Mink, J.W.; Maria, B.L. Batten disease: Clinical aspects, molecular mechanisms, translational science, and future directions. J. Child. Neurol. 2013, 28, 1074–1100. [Google Scholar] [CrossRef]
- Bennett, M.J.; Hofmann, S.L. The neuronal ceroid-lipofuscinoses (Batten disease): A new class of lysosomal storage diseases. J. Inherit. Metab. Dis. 1999, 22, 535–544. [Google Scholar] [CrossRef]
- Anderson, G.W.; Goebel, H.H.; Simonati, A. Human pathology in NCL. Biochim. Biophys. Acta 2013, 1832, 1807–1826. [Google Scholar] [CrossRef] [PubMed]
- Bose, A.; Tripathy, K. Batten Disease (Juvenile Neuronal Ceroid Lipofuscinosis). In StatPearls; StatPearls Publishing: Treasure Island, FL, USA, 2024. [Google Scholar]
- Sakti, D.H.; Cornish, E.E.; Fraser, C.L.; Nash, B.M.; Sandercoe, T.M.; Jones, M.M.; Rowe, N.A.; Jamieson, R.V.; Johnson, A.M.; Grigg, J.R. Early recognition of CLN3 disease facilitated by visual electrophysiology and multimodal imaging. Doc. Ophthalmol. 2023, 146, 241–256. [Google Scholar] [CrossRef] [PubMed]
- Preising, M.N.; Abura, M.; Jager, M.; Wassill, K.H.; Lorenz, B. Ocular morphology and function in juvenile neuronal ceroid lipofuscinosis (CLN3) in the first decade of life. Ophthalmic Genet. 2017, 38, 252–259. [Google Scholar] [CrossRef]
- Santavuori, P.; Vanhanen, S.L.; Sainio, K.; Nieminen, M.; Wallden, T.; Launes, J.; Raininko, R. Infantile neuronal ceroid-lipofuscinosis (INCL): Diagnostic criteria. J. Inherit. Metab. Dis. 1993, 16, 227–229. [Google Scholar] [CrossRef] [PubMed]
- Lu, J.Y.; Verkruyse, L.A.; Hofmann, S.L. Lipid thioesters derived from acylated proteins accumulate in infantile neuronal ceroid lipofuscinosis: Correction of the defect in lymphoblasts by recombinant palmitoyl-protein thioesterase. Proc. Natl. Acad. Sci. USA 1996, 93, 10046–10050. [Google Scholar] [CrossRef]
- Weleber, R.G.; Gupta, N.; Trzupek, K.M.; Wepner, M.S.; Kurz, D.E.; Milam, A.H. Electroretinographic and clinicopathologic correlations of retinal dysfunction in infantile neuronal ceroid lipofuscinosis (infantile Batten disease). Mol. Genet. Metab. 2004, 83, 128–137. [Google Scholar] [CrossRef]
- Liu, C.G.; Sleat, D.E.; Donnelly, R.J.; Lobel, P. Structural organization and sequence of CLN2, the defective gene in classical late infantile neuronal ceroid lipofuscinosis. Genomics 1998, 50, 206–212. [Google Scholar] [CrossRef]
- Thompson, D.A.; Handley, S.E.; Henderson, R.H.; Marmoy, O.R.; Gissen, P. An ERG and OCT study of neuronal ceroid lipofuscinosis CLN2 Battens retinopathy. Eye 2021, 35, 2438–2448. [Google Scholar] [CrossRef] [PubMed]
- Johnson, T.B.; Cain, J.T.; White, K.A.; Ramirez-Montealegre, D.; Pearce, D.A.; Weimer, J.M. Therapeutic landscape for Batten disease: Current treatments and future prospects. Nat. Rev. Neurol. 2019, 15, 161–178. [Google Scholar] [CrossRef] [PubMed]
- Weleber, R.G. The dystrophic retina in multisystem disorders: The electroretinogram in neuronal ceroid lipofuscinoses. Eye 1998, 12 Pt 3b, 580–590. [Google Scholar] [CrossRef]
- Quagliato, E.; Rocha, D.M.; Sacai, P.Y.; Watanabe, S.S.; Salomao, S.R.; Berezovsky, A. Retinal function in patients with the neuronal ceroid lipofuscinosis phenotype. Arq. Bras. Oftalmol. 2017, 80, 215–219. [Google Scholar] [CrossRef]
- Dozieres-Puyravel, B.; Nasser, H.; Elmaleh-Berges, M.; Lopez Hernandez, E.; Gelot, A.; Ilea, A.; Delanoe, C.; Puech, J.P.; Caillaud, C.; Pichard, S.; et al. Paediatric-onset neuronal ceroid lipofuscinosis: First symptoms and presentation at diagnosis. Dev. Med. Child Neurol. 2020, 62, 528–530. [Google Scholar] [CrossRef] [PubMed]
- Modrzejewska, M.; Kirkiewicz, M.; Kiszkielis, A.; Lubiński, W. Ophthalmologic symptoms and diagnosis of a patient with Jansky-Bielschowsky disease. Klinika Oczna 2020, 122, 27–30. [Google Scholar] [CrossRef]
- Kovacs, K.D.; Patel, S.; Orlin, A.; Kim, K.; Van Everen, S.; Conner, T.; Sondhi, D.; Kaminsky, S.M.; D’Amico, D.J.; Crystal, R.G.; et al. Symmetric Age Association of Retinal Degeneration in Patients with CLN2-Associated Batten Disease. Ophthalmol. Retina 2020, 4, 728–736. [Google Scholar] [CrossRef] [PubMed]
- Lee, H.; Purohit, R.; Patel, A.; Papageorgiou, E.; Sheth, V.; Maconachie, G.; Pilat, A.; McLean, R.J.; Proudlock, F.A.; Gottlob, I. In Vivo Foveal Development Using Optical Coherence Tomography. Investig. Ophthalmol. Vis. Sci. 2015, 56, 4537–4545. [Google Scholar] [CrossRef]
- Dawson, W.W.; Armstrong, D.; Greer, M.; Maida, T.M.; Samuelson, D.A. Disease-specific electrophysiological findings in adult ceroid-lipofuscinosis (Kufs disease). Doc. Ophthalmol. 1985, 60, 163–171. [Google Scholar] [CrossRef]
- Tsang, S.H.; Aycinena, A.R.P.; Sharma, T. Ciliopathy: Senior-Loken Syndrome. Adv. Exp. Med. Biol. 2018, 1085, 175–178. [Google Scholar] [CrossRef]
- Senior, B.; Friedmann, A.I.; Braudo, J.L. Juvenile familial nephropathy with tapetoretinal degeneration. A new oculorenal dystrophy. Am. J. Ophthalmol. 1961, 52, 625–633. [Google Scholar] [CrossRef] [PubMed]
- Loken, A.C.; Hanssen, O.; Halvorsen, S.; Jolster, N.J. Hereditary renal dysplasia and blindness. Acta Paediatr. 1961, 50, 177–184. [Google Scholar] [CrossRef]
- Shimada, H.; Lu, Q.; Insinna-Kettenhofen, C.; Nagashima, K.; English, M.A.; Semler, E.M.; Mahgerefteh, J.; Cideciyan, A.V.; Li, T.; Brooks, B.P.; et al. In Vitro Modeling Using Ciliopathy-Patient-Derived Cells Reveals Distinct Cilia Dysfunctions Caused by CEP290 Mutations. Cell Rep. 2017, 20, 384–396. [Google Scholar] [CrossRef] [PubMed]
- Boye, S.E.; Huang, W.C.; Roman, A.J.; Sumaroka, A.; Boye, S.L.; Ryals, R.C.; Olivares, M.B.; Ruan, Q.; Tucker, B.A.; Stone, E.M.; et al. Natural history of cone disease in the murine model of Leber congenital amaurosis due to CEP290 mutation: Determining the timing and expectation of therapy. PLoS ONE 2014, 9, e92928. [Google Scholar] [CrossRef]
- Jacobson, S.G.; Cideciyan, A.V.; Sumaroka, A.; Roman, A.J.; Charng, J.; Lu, M.; Choi, W.; Sheplock, R.; Swider, M.; Kosyk, M.S.; et al. Outcome Measures for Clinical Trials of Leber Congenital Amaurosis Caused by the Intronic Mutation in the CEP290 Gene. Investig. Ophthalmol. Vis. Sci. 2017, 58, 2609–2622. [Google Scholar] [CrossRef]
- Sen, S.; Fabozzi, L.; Fujinami, K.; Fujinami-Yokokawa, Y.U.; Wright, G.A.; Webster, A.; Mahroo, O.; Robson, A.G.; Georgiou, M.; Michaelides, M. IQCB1 (NPHP5)-Retinopathy: Clinical and Genetic Characterization and Natural History. Am. J. Ophthalmol. 2024, 264, 205–215. [Google Scholar] [CrossRef]
- Adams, N.A.; Awadein, A.; Toma, H.S. The retinal ciliopathies. Ophthalmic Genet. 2007, 28, 113–125. [Google Scholar] [CrossRef] [PubMed]
- Suiwal, S.; Dembla, M.; Schwarz, K.; Katiyar, R.; Jung, M.; Carius, Y.; Maxeiner, S.; Lauterbach, M.A.; Lancaster, C.R.D.; Schmitz, F. Ciliary Proteins Repurposed by the Synaptic Ribbon: Trafficking Myristoylated Proteins at Rod Photoreceptor Synapses. Int. J. Mol. Sci. 2022, 23, 7135. [Google Scholar] [CrossRef] [PubMed]
- Yahalom, C.; Volovelsky, O.; Macarov, M.; Altalbishi, A.; Alsweiti, Y.; Schneider, N.; Hanany, M.; Khan, M.I.; Cremers, F.P.M.; Anteby, I.; et al. SENIOR-LOKEN SYNDROME: A Case Series and Review of the Renoretinal Phenotype and Advances of Molecular Diagnosis. Retina 2021, 41, 2179–2187. [Google Scholar] [CrossRef] [PubMed]
- Wang, J.; Li, S.; Jiang, Y.; Wang, Y.; Ouyang, J.; Yi, Z.; Sun, W.; Jia, X.; Xiao, X.; Wang, P.; et al. Pathogenic Variants in CEP290 or IQCB1 Cause Earlier-Onset Retinopathy in Senior-Loken Syndrome Compared to Those in INVS, NPHP3, or NPHP4. Am. J. Ophthalmol. 2023, 252, 188–204. [Google Scholar] [CrossRef] [PubMed]










| Test | Purpose | Key Features | Common Applications |
|---|---|---|---|
| ffERG | Assess overall retinal function | Global responses of photoreceptors (a-wave) and bipolar cells (b-wave) in either rod or cone pathways | Detects diffuse retinal disorders |
| mfERG | Assess localized retinal function | Multiple ERG responses across different retinal regions from photoreceptors and bipolar cells in cone pathway | Identifies localized abnormalities |
| PERG | Evaluate RGC function | N95 reflects RGC function | Diagnosis of diseases affecting RGC function |
| VEP | Evaluate function of optic nerve and visual pathway | Measures electrical responses to visual stimuli from visual cortex, reflects the function from ganglion cells to visual cortex | Detects optic neuropathies |
| EOG | Assess the function of RPE | Measures the standing potential between the cornea and retina related to RPE during dark adaptation and light adaptation | Detects RPE dysfunction |
| Syndrome | Key Features | Ocular Manifestations * |
|---|---|---|
| Refsum Disease | Metabolic disorder (phytanic acid accumulation). Retinal degeneration, hearing loss, ataxia, neuropathy. | Rod–cone RP, ffERG: rod–cone ↓↓, Phytanic acid toxic to rods, secondary cone loss. |
| USH | AR disorder. Hearing loss, vision impairment (Types I–III). Late-onset ring macular changes in Type IV. | Severe RP. ffERG: rod–cone ↓↓. mfERG: peripheral amplitude ↓↓ and latency ↑. |
| WS | AR disorder (DIDMOAD): Diabetes insipidus, DM, optic atrophy, deafness. Brainstem atrophy, urinary tract issues. | Rod ERG ↓, Cone ERG ↓↓, VEP latency ↑/amplitude ↓ |
| Syndrome | Key Features | Ocular Manifestations * |
|---|---|---|
| MIDD | Diabetes, hearing loss | Spoke–wheel macular RPE changes, mfERG amplitudes in affected area ↓, PERG P50 ↓. FAF, fluorescein angiography are diagnostic. |
| KSS | Large mtDNA deletions. External ophthalmoplegia, ptosis, systemic issues (heart conduction defects). | Pigmentary retinopathy with “Salt-and pepper” fundus appearance, RPE atrophy. ERG: early rod–cone ↓. |
| NARP | Night blindness, photophobia, peripheral vision loss, neuropathy, ataxia, hearing loss. | “Salt-and-pepper” fundus appearance, optic atrophy. ffERG: cone–rod responses ↓, non-recordable in advanced stages. |
| Syndrome | Key Features | Ocular Manifestations * |
|---|---|---|
| BBS | Autosomal recessive ciliopathy. Obesity, polydactyly, kidney issues, learning difficulties. Rod–cone dystrophy. | ffERG: rod and cone responses ↓↓↓, mfERG: central ↓. |
| Alström Syndrome | Autosomal recessive ciliopathy. Obesity, cardiomyopathy, hearing loss, diabetes. Cone–rod dystrophy with photophobia, bull’s-eye maculopathy. | ffERG: cone response early ↓→ rod response ↓, mfERG: start from central retina ↓. |
| CS | Autosomal recessive ciliopathy-like disorder. Intellectual disability, neutropenia, obesity, RP-like chorioretinal dystrophy. Finnish and Ashkenazi populations. | ffERG: Progressive rod–cone dysfunction |
| Syndrome | Key Features | Electrophysiology * |
|---|---|---|
| AGS | Liver disease, facial anomalies, cardiovascular issues, pigmentary retinopathy, optic disc drusen. | ffERG: ↓, PERG: ↓. |
| ABL | Fat malabsorption, ataxia, acanthocytosis, RP-like progressive retinal degeneration. | rod/cone ffERG: early ↓→ undetectable, VEP P100 latency: ↑. |
| CS | Growth failure, microcephaly, photosensitivity, salt-and-pepper retina, cataracts. | Attenuated FVEP, variable ffERG responses. |
| JS | Ciliopathy with ataxia, breathing abnormalities, brain malformations, RP-like retinal dystrophy. | rod/cone ffERG: ↓, mfERG: ↓, VEP latency: ↑. |
| MPS | Hurler, Hunter, Sanfilippo, Morquio, Maroteaux–Lamy: RP-like degeneration, optic nerve issues. | ffERG ↓ varies in different subtypes. |
| NCLs | Batten’s disease, vision loss, retinal degeneration, optic disc pallor, arteriolar attenuation. | rod/cone ffERG ↓, electronegative in INCL, mfERG in JNCL ↓. |
| SLS | Ciliopathy with kidney disease, LCA-like retinopathy, photophobia, nystagmus. | ffERG ↓↓↓. |
| Category | Syndrome | Electrophysiology * | Differentiation |
|---|---|---|---|
| Hearing Loss | USH | Rod ERG ↓↓↓, Cone ERG ↓↓ | USH vs. non-syndromic RP |
| WS | Rod ERG ↓, Cone ERG ↓↓, VEP latency ↑/amplitude ↓ | WS vs. mitochondrial diseases | |
| Mitochondrial | KSS | Rod ERG ↓, Cone ERG ↓ | KSS vs. USH/non-syndromic RP |
| NARP | Rod ERG ↓↓, Cone ERG ↓↓↓ | NARP vs. isolated retinal diseases with systemic features (ataxia, neuropathy) | |
| Obesity | BBS | ffERG: Early/progressive rod and/or cone dysfunction | BBS vs. AS, other ciliopathies |
| AS | ffERG: Cone–rod dysfunction | AS vs. BBS | |
| Others | CS | ffERG: Progressive rod–cone dysfunction | CS vs. non-syndromic RP |
| MPS | Rod ERG: a-wave ↓↓, b-wave ↓↓↓, Cone ERG intact | MPS vs. syndromic RP | |
| NCL (BD) | Rod ERG: a-wave ↓↓, b-wave ↓↓, Cone ERG ↓↓↓ | Diagnosis with systemic neurodegeneration (seizures, cognitive decline) | |
| SLS | Rod and Cone ERG ↓↓↓ | SLS vs. other retinal degenerations |
Disclaimer/Publisher’s Note: The statements, opinions and data contained in all publications are solely those of the individual author(s) and contributor(s) and not of MDPI and/or the editor(s). MDPI and/or the editor(s) disclaim responsibility for any injury to people or property resulting from any ideas, methods, instructions or products referred to in the content. |
© 2025 by the authors. Licensee MDPI, Basel, Switzerland. This article is an open access article distributed under the terms and conditions of the Creative Commons Attribution (CC BY) license (https://creativecommons.org/licenses/by/4.0/).
Share and Cite
Yu, M.; Vieta-Ferrer, E.R.; Bakdalieh, A.; Tsai, T. The Role of Visual Electrophysiology in Systemic Hereditary Syndromes. Int. J. Mol. Sci. 2025, 26, 957. https://doi.org/10.3390/ijms26030957
Yu M, Vieta-Ferrer ER, Bakdalieh A, Tsai T. The Role of Visual Electrophysiology in Systemic Hereditary Syndromes. International Journal of Molecular Sciences. 2025; 26(3):957. https://doi.org/10.3390/ijms26030957
Chicago/Turabian StyleYu, Minzhong, Emile R. Vieta-Ferrer, Anas Bakdalieh, and Travis Tsai. 2025. "The Role of Visual Electrophysiology in Systemic Hereditary Syndromes" International Journal of Molecular Sciences 26, no. 3: 957. https://doi.org/10.3390/ijms26030957
APA StyleYu, M., Vieta-Ferrer, E. R., Bakdalieh, A., & Tsai, T. (2025). The Role of Visual Electrophysiology in Systemic Hereditary Syndromes. International Journal of Molecular Sciences, 26(3), 957. https://doi.org/10.3390/ijms26030957

