Disease-Associated Signatures Persist in Extracellular Vesicles from Reprogrammed Cells of Osteoarthritis Patients
Abstract
1. Introduction
2. Results
2.1. iPSC-Derived Cells Exhibit a Mesenchymal-like Phenotype
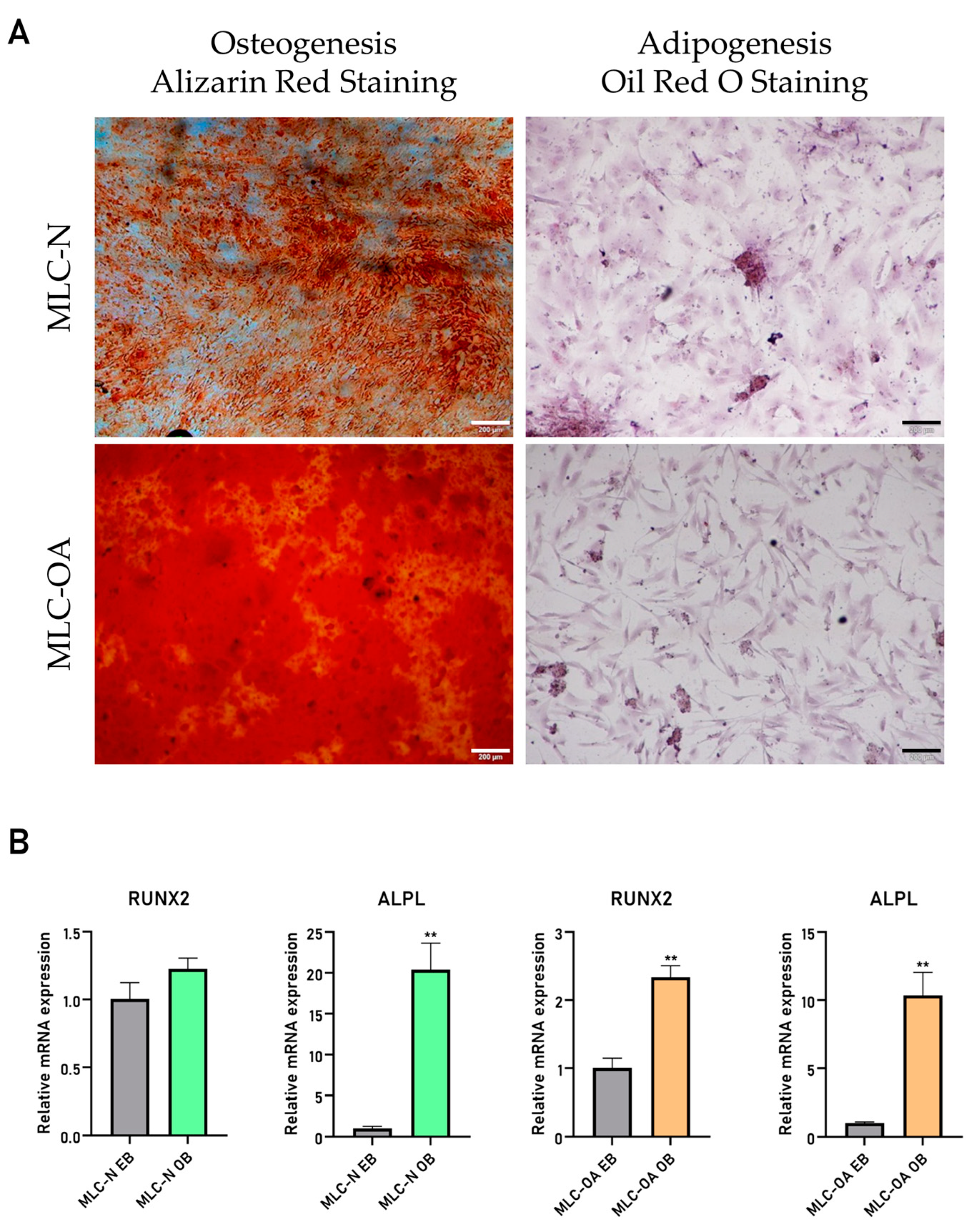
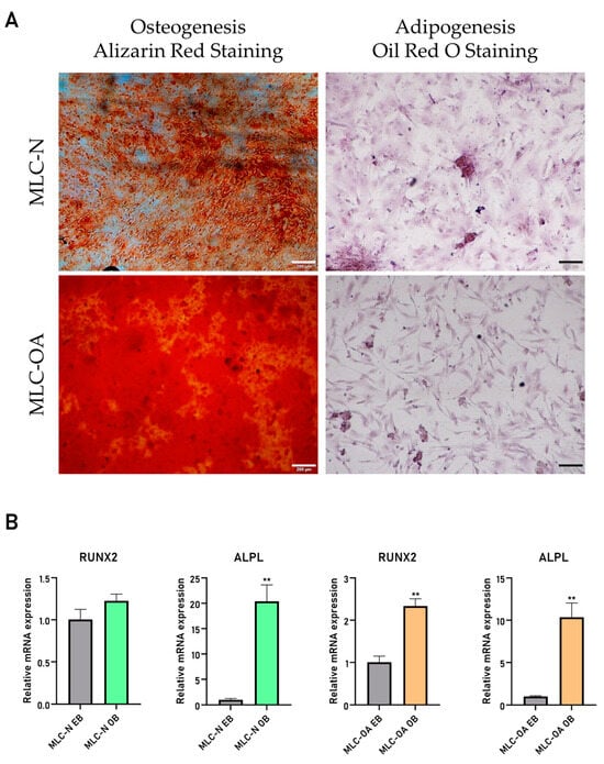
2.2. MLCs Exhibit Osteogenic and Chondrogenic Potential but Lack Adipogenic Capacity
2.3. Healthy and OA MLCs Secrete sEVs with Similar Characteristics
2.4. Upregulated Proteins in OA MLC-Derived sEVs Are Associated with OA Pathology
| UniProt | Protein | Ratio | q-Value | Potential Role in OA |
|---|---|---|---|---|
| P26022 | PTX3 | 38.15 | 0.0450 | Cartilage degradation [35] |
| P07585 | DCN | 25.37 | 0.0312 | Cartilage protection [29,36] |
| Q9GZP0 | PDGFD | 14.28 | 0.0254 | Unknown |
| P00736 | C1R | 11.59 | 0.0409 | Cartilage degradation [37] |
| P08603 | CFH | 11.33 | 0.0409 | Anti-inflammatory [38] |
| P12111 | COL6A3 | 9.46 | 0.0466 | Cartilage degradation [39] |
| P55083 | MFAP4 | 8.36 | 0.0312 | Vascular remodeling [33] |
| P12109 | COL6A1 | 7.82 | 0.0254 | Cartilage degradation [39] |
| Q96SM3 | CPXM1 | 7.65 | 0.0466 | Unknown |
| P10909 | CLU | 6.51 | 0.0001 | Cartilage protection [30] |
| Q9UBX5 | FBLN5 | 6.36 | 0.0439 | Cartilage protection [40] |
| P21810 | BGN | 6.35 | 0.0157 | Cartilage protection [29] |
| O00391 | QSOX1 | 3.60 | 0.0312 | Unknown |
| Q6UVK1 | CSPG4 | 3.48 | 0.0312 | Cartilage protection [41] |
| O43488 | AKR7A2 | 3.42 | 0.0254 | Unknown |
| Q14112 | NID2 | 3.34 | 0.0411 | Pro-chondrogenic [42] |
| P21399 | ACO1 | 2.74 | 0.0362 | Unknown |
| P25940 | COL5A3 | 2.63 | 0.0362 | Bone formation [43] |
| O95967 | EFEMP2 | 2.53 | 0.0409 | Cartilage degradation [44] |
| Q9UN67 | PCDHB10 | 2.41 | 0.0493 | Unknown |
| Q4LDE5 | SVEP1 | 2.38 | 0.0466 | Bone formation [45] |
| P01130 | LDLR | 2.33 | 0.0254 | Unknown |
| P08253 | MMP2 | 2.32 | 0.0439 | Cartilage degradation [46] |
| Q16363 | LAMA4 | 2.24 | 0.0409 | Cartilage degradation [47,48] |
| P16035 | TIMP2 | 2.12 | 0.0362 | Cartilage protection [49,50] |
| O75718 | CRTAP | 1.84 | 0.0409 | Bone formation [51] |
| Q9UHY1 | NRBP1 | 1.69 | 0.0466 | Unknown |
| UniProt | Protein | Ratio | q-Value | Potential Role in OA |
|---|---|---|---|---|
| Q53GG5 | PDLIM3 | 0.0768 | 0.0439 | Unknown |
| P29400 | COL4A5 | 0.1039 | 0.0312 | Unknown |
| P55290 | CDH13 | 0.1314 | 0.0342 | Inhibition of osteoclast differentiation [62] |
| P13521 | SCG2 | 0.1400 | 0.0439 | Anoikis [52] |
| P61812 | TGFB2 | 0.1626 | 0.0415 | Pro-chondrogenic [55] |
| Q9Y281 | CFL2 | 0.2079 | 0.0466 | Unknown |
| Q8N6G6 | ADAMTSL1 | 0.2098 | 0.0312 | Chondro-proliferative [63] |
| P52926 | HMGA2 | 0.2297 | 0.0254 | Cartilage protection [56] |
| P30837 | ALDH1B1 | 0.2525 | 0.0015 | Unknown |
| P12429 | ANXA3 | 0.2628 | 0.0470 | Unknown |
| P05556 | ITGB1 | 0.2993 | 0.0254 | Cartilage protection [57] |
| P15586 | GNS | 0.3035 | 0.0362 | Unknown |
| O95721 | SNAP29 | 0.3231 | 0.0486 | Unknown |
| P21980 | TGM2 | 0.3324 | 0.0312 | Unknown |
| Q15942 | ZYX | 0.3400 | 0.0466 | Unknown |
| O43155 | FLRT2 | 0.3588 | 0.0312 | Pro-chondrogenic [64] |
| P07339 | CTSD | 0.3784 | 0.0312 | Pro-autophagic [58] |
| P78324 | SIRPA | 0.4186 | 0.0312 | Unknown |
| P35527 | KRT9 | 0.4252 | 0.0098 | Unknown |
| Q99439 | CNN2 | 0.4314 | 0.0065 | Unknown |
| O75083 | WDR1 | 0.4349 | 0.0450 | Unknown |
| P15924 | DSP | 0.4353 | 0.0466 | Unknown |
| P07602 | PSAP | 0.4385 | 0.0342 | Unknown |
| P29692 | EEF1D | 0.4462 | 0.0409 | Unknown |
| P30086 | PEBP1 | 0.4510 | 0.0312 | Anti-ferroptotic [59] |
| P04264 | KRT1 | 0.4681 | 0.0312 | Unknown |
| P27816 | MAP4 | 0.4691 | 0.0466 | Unknown |
| P37802 | TAGLN2 | 0.4751 | 0.0439 | Unknown |
| P40123 | CAP2 | 0.4811 | 0.0254 | Unknown |
| P04004 | VTN | 0.5033 | 0.0466 | Inhibition of osteoclast activity [65,66] |
| P10155 | RO60 | 0.6230 | 0.0466 | Unknown |
3. Discussion
4. Materials and Methods
4.1. Culture and Differentiation of iPSCs
4.2. Flow Cytometry
4.3. Tri-Lineage Differentiation of MLCs
4.4. Histological Analysis
4.5. Gene Expression Analysis
4.6. Isolation of Small Extracellular Vesicles
4.7. Western Blotting
4.8. Transmission Electron Microscopy
4.9. Nanoparticle Tracking Analysis
4.10. Proteomic Analysis
Supplementary Materials
Author Contributions
Funding
Institutional Review Board Statement
Informed Consent Statement
Data Availability Statement
Acknowledgments
Conflicts of Interest
References
- Kraus, V.B.; Blanco, F.J.; Englund, M.; Karsdal, M.A.; Lohmander, L.S. Call for standardized definitions of osteoarthritis and risk stratification for clinical trials and clinical use. Osteoarthr. Cartil. 2015, 23, 1233–1241. [Google Scholar] [CrossRef] [PubMed]
- Krakowski, P.; Rejniak, A.; Sobczyk, J.; Karpiński, R. Cartilage Integrity: A Review of Mechanical and Frictional Properties and Repair Approaches in Osteoarthritis. Healthcare 2024, 12, 1648. [Google Scholar] [CrossRef] [PubMed]
- Sharma, L. Osteoarthritis of the Knee. N. Engl. J. Med. 2021, 384, 51–59. [Google Scholar] [CrossRef] [PubMed]
- Tschon, M.; Contartese, D.; Pagani, S.; Borsari, V.; Fini, M. Gender and Sex Are Key Determinants in Osteoarthritis Not Only Confounding Variables. A Systematic Review of Clinical Data. J. Clin. Med. 2021, 10, 3178. [Google Scholar] [CrossRef]
- Perruccio, A.V.; Young, J.J.; Wilfong, J.M.; Denise Power, J.; Canizares, M.; Badley, E.M. Osteoarthritis year in review 2023: Epidemiology & therapy. Osteoarthr. Cartil. 2024, 32, 159–165. [Google Scholar] [CrossRef]
- Mancuso, P.; Raman, S.; Glynn, A.; Barry, F.; Murphy, J.M. Mesenchymal stem cell therapy for osteoarthritis: The critical role of the cell secretome. Front. Bioeng. Biotechnol. 2019, 7, 9. [Google Scholar] [CrossRef] [PubMed]
- You, B.; Zhou, C.; Yang, Y. MSC-EVs alleviate osteoarthritis by regulating microenvironmental cells in the articular cavity and maintaining cartilage matrix homeostasis. Ageing Res. Rev. 2023, 85, 101864. [Google Scholar] [CrossRef] [PubMed]
- Liang, Q.; Cheng, Z.; Qin, L. Advanced nanoparticles in osteoarthritis treatment. Biomater. Transl. 2024, 5, 95–113. [Google Scholar] [CrossRef] [PubMed]
- Rizzo, M.G.; Best, T.M.; Huard, J.; Philippon, M.; Hornicek, F.; Duan, Z.; Griswold, A.J.; Kaplan, L.D.; Hare, J.M.; Kouroupis, D. Therapeutic Perspectives for Inflammation and Senescence in Osteoarthritis Using Mesenchymal Stem Cells, Mesenchymal Stem Cell-Derived Extracellular Vesicles and Senolytic Agents. Cells 2023, 12, 1421. [Google Scholar] [CrossRef]
- Sanjurjo-Rodríguez, C.; Crossland, R.E.; Reis, M.; Pandit, H.; Wang, X.N.; Jones, E. Characterization and miRNA Profiling of Extracellular Vesicles from Human Osteoarthritic Subchondral Bone Multipotential Stromal Cells (MSCs). Stem Cells Int. 2021, 2021, 7232773. [Google Scholar] [CrossRef]
- Karoichan, A.; Boucenna, S.; Tabrizian, M. Therapeutics of the future: Navigating the pitfalls of extracellular vesicles research from an osteoarthritis perspective. J. Extracell. Vesicles 2024, 13, e12435. [Google Scholar] [CrossRef]
- Olmedo-Moreno, L.; Aguilera, Y.; Baliña-Sánchez, C.; Martín-Montalvo, A.; Capilla-González, V. Heterogeneity of In Vitro Expanded Mesenchymal Stromal Cells and Strategies to Improve Their Therapeutic Actions. Pharmaceutics 2022, 14, 1112. [Google Scholar] [CrossRef] [PubMed]
- Piñeiro-Ramil, M.; Sanjurjo-Rodríguez, C.; Rodríguez-Fernández, S.; Castro-Viñuelas, R.; Hermida-Gómez, T.; Blanco-García, F.J.; Fuentes-Boquete, I.; Díaz-Prado, S. Generation of mesenchymal cell lines derived from aged donors. Int. J. Mol. Sci. 2021, 22, 10667. [Google Scholar] [CrossRef] [PubMed]
- Levy, O.; Kuai, R.; Siren, E.M.J.; Bhere, D.; Milton, Y.; Nissar, N.; de Biasio, M.; Heinelt, M.; Reeve, B.; Abdi, R.; et al. Shattering barriers toward clinically meaningful MSC therapies. Sci. Adv. 2020, 6, eaba6884. [Google Scholar] [CrossRef]
- Lee, H.R.; Kim, S.; Shin, S.; Jeong, S.Y.; Lee, D.W.; Lim, S.U.; Kang, J.Y.; Son, M.Y.; Lee, C.; Yu, K.R.; et al. iPSC-Derived MSCs Are a Distinct Entity of MSCs with Higher Therapeutic Potential than Their Donor-Matched Parental MSCs. Int. J. Mol. Sci. 2023, 24, 881. [Google Scholar] [CrossRef] [PubMed]
- Yang, Y.; Zhu, Z.; Gao, R.; Yuan, J.; Zhang, J.; Li, H.; Xie, Z.; Wang, Y. Controlled release of MSC-derived small extracellular vesicles by an injectable Diels-Alder crosslinked hyaluronic acid/PEG hydrogel for osteoarthritis improvement. Acta Biomater. 2021, 128, 163–174. [Google Scholar] [CrossRef]
- Feng, K.; Xie, X.; Yuan, J.; Gong, L.; Zhu, Z.; Zhang, J.; Li, H.; Yang, Y.; Wang, Y. Reversing the surface charge of MSC-derived small extracellular vesicles by εPL-PEG-DSPE for enhanced osteoarthritis treatment. J. Extracell. Vesicles 2021, 10, e12160. [Google Scholar] [CrossRef] [PubMed]
- Zhu, Y.; Wang, Y.; Zhao, B.; Niu, X.; Hu, B.; Li, Q.; Zhang, J.; Ding, J.; Chen, Y.; Wang, Y. Comparison of exosomes secreted by induced pluripotent stem cell-derived mesenchymal stem cells and synovial membrane-derived mesenchymal stem cells for the treatment of osteoarthritis. Stem Cell Res. Ther. 2017, 8, 64. [Google Scholar] [CrossRef]
- Kim, H.; Zhao, Q.; Barreda, H.; Kaur, G.; Hai, B.; Choi, J.M.; Jung, S.Y.; Liu, F.; Lee, R.H. Identification of Molecules Responsible for Therapeutic Effects of Extracellular Vesicles Produced from iPSC-Derived MSCs on Sjögren’s Syndrome. Aging Dis. 2021, 12, 1409–1422. [Google Scholar] [CrossRef] [PubMed]
- Castro-Viñuelas, R.; Sanjurjo-Rodríguez, C.; Piñeiro-Ramil, M.; Hermida-Gómez, T.; Rodríguez-Fernández, S.; Oreiro, N.; de Toro, J.; Fuentes, I.; Blanco, F.J.; Díaz-Prado, S. Generation and characterization of human induced pluripotent stem cells (iPSCs) from hand osteoarthritis patient-derived fibroblasts. Sci. Rep. 2020, 10, 4272. [Google Scholar] [CrossRef] [PubMed]
- Castro-Viñuelas, R.; Sanjurjo-Rodríguez, C.; Piñeiro-Ramil, M.; Rodríguez-Fernández, S.; Fuentes-Boquete, I.M.; Blanco, F.J.; Díaz-Prado, S.M. Generation of a human control iPS cell line (ESi080-A) from a donor with no rheumatic diseases. Stem Cell Res. 2020, 43, 101683. [Google Scholar] [CrossRef] [PubMed]
- Visconti, V.V.; Greggi, C.; Fittipaldi, S.; Casamassima, D.; Tallarico, M.G.; Romano, F.; Botta, A.; Tarantino, U. The long pentraxin PTX3: A novel serum marker to improve the prediction of osteoporosis and osteoarthritis bone-related phenotypes. J. Orthop. Surg. Res. 2021, 16, 1–7. [Google Scholar] [CrossRef] [PubMed]
- Kraus, V.B.; Reed, A.; Soderblom, E.J.; Moseley, M.A.; Hsueh, M.F.; Attur, M.G.; Samuels, J.; Abramson, S.B.; Li, Y.J. Serum proteomic panel validated for prediction of knee osteoarthritis progression. Osteoarthr. Cartil. Open 2023, 6, 100425. [Google Scholar] [CrossRef] [PubMed]
- Li, Z.; Ye, D.; Dai, L.; Xu, Y.; Wu, H.; Luo, W.; Liu, Y.; Yao, X.; Wang, P.; Miao, H.; et al. Single-Cell RNA Sequencing Reveals the Difference in Human Normal and Degenerative Nucleus Pulposus Tissue Profiles and Cellular Interactions. Front. Cell Dev. Biol. 2022, 10, 910626. [Google Scholar] [CrossRef]
- Jin, L.; Ma, J.; Chen, Z.; Wang, F.; Li, Z.; Shang, Z.; Dong, J. Osteoarthritis related epigenetic variations in miRNA expression and DNA methylation. BMC Med. Genom. 2023, 16, 163. [Google Scholar] [CrossRef] [PubMed]
- Song, S.; Yu, J. Identification of the shared genes in type 2 diabetes mellitus and osteoarthritis and the role of quercetin. J. Cell. Mol. Med. 2024, 28, e18127. [Google Scholar] [CrossRef]
- Zheng, L.; Chen, W.; Xian, G.; Pan, B.; Ye, Y.; Gu, M.; Ma, Y.; Zhang, Z.; Sheng, P. Identification of abnormally methylated-differentially expressed genes and pathways in osteoarthritis: A comprehensive bioinformatic study. Clin. Rheumatol. 2021, 40, 3247–3256. [Google Scholar] [CrossRef] [PubMed]
- You, X.; Ye, Y.; Lin, S.; Zhang, Z.; Guo, H.; Ye, H. Identification of key genes and immune infiltration in osteoarthritis through analysis of zinc metabolism-related genes. BMC Musculoskelet. Disord. 2024, 25, 227. [Google Scholar] [CrossRef]
- Bock, H.C.; Michaeli, P.; Bode, C.; Schultz, W.; Kresse, H.; Herken, R.; Miosge, N. The small proteoglycans decorin and biglycan in human articular cartilage of late-stage osteoarthritis. Osteoarthr. Cartil. 2001, 9, 654–663. [Google Scholar] [CrossRef] [PubMed]
- Tarquini, C.; Pucci, S.; Scioli, M.G.; Doldo, E.; Agostinelli, S.; D’Amico, F.; Bielli, A.; Ferlosio, A.; Caredda, E.; Tarantino, U.; et al. Clusterin exerts a cytoprotective and antioxidant effect in human osteoarthritic cartilage. Aging 2020, 12, 10129–10146. [Google Scholar] [CrossRef] [PubMed]
- Zhang, X.; Ma, S.; Naz, S.I.; Jain, V.; Soderblom, E.J.; Aliferis, C.; Kraus, V.B. Comprehensive characterization of pathogenic synovial fluid extracellular vesicles from knee osteoarthritis. Clin. Immunol. 2023, 257, 109812. [Google Scholar] [CrossRef]
- Kruegel, J.; Sadowski, B.; Miosge, N. Nidogen-1 and nidogen-2 in healthy human cartilage and in late-stage osteoarthritis cartilage. Arthritis Rheum. 2008, 58, 1422–1432. [Google Scholar] [CrossRef] [PubMed]
- Christensen, A.F.; Sorensen, G.L.; Junker, K.; Revald, P.; Varnum, C.; Issa, S.F.; Junker, P.; Sorensen, F.B. Site-specific absence of microfibrillar-associated protein 4 (MFAP4) from the internal elastic membrane of arterioles in the rheumatoid arthritis synovial membrane: An immunohistochemical study in patients with advanced rheumatoid arthritis versus osteoarthritis. APMIS 2019, 127, 588–593. [Google Scholar] [CrossRef] [PubMed]
- Paz-González, R.; Turkiewicz, A.; Ali, N.; Ruiz-Romero, C.; Blanco, F.J.; Englund, M.; Önnerfjord, P. Proteomic profiling of human menisci from mild joint degeneration and end-stage osteoarthritis versus healthy controls. Osteoarthr. Cartil. Open 2023, 5, 100417. [Google Scholar] [CrossRef] [PubMed]
- Yin, J.; Zeng, H.; Fan, K.; Xie, H.; Shao, Y.; Lu, Y.; Zhu, J.; Yao, Z.; Liu, L.; Zhang, H.; et al. Pentraxin 3 regulated by miR-224-5p modulates macrophage reprogramming and exacerbates osteoarthritis associated synovitis by targeting CD32. Cell Death Dis. 2022, 13, 567. [Google Scholar] [CrossRef] [PubMed]
- Li, Q.; Han, B.; Wang, C.; Tong, W.; Wei, Y.; Tseng, W.J.; Han, L.H.; Liu, X.S.; Enomoto-Iwamoto, M.; Mauck, R.L.; et al. Mediation of Cartilage Matrix Degeneration and Fibrillation by Decorin in Post-traumatic Osteoarthritis. Arthritis Rheumatol. 2020, 72, 1266–1277. [Google Scholar] [CrossRef]
- Viiklepp, K.; Nissinen, L.; Ojalill, M.; Riihilä, P.; Kallajoki, M.; Meri, S.; Heino, J.; Kähäri, V.M. C1r Upregulates Production of Matrix Metalloproteinase-13 and Promotes Invasion of Cutaneous Squamous Cell Carcinoma. J. Investig. Dermatol. 2022, 142, 1478–1488.e9. [Google Scholar] [CrossRef]
- Jia, Y.; Feng, B.; Ji, X.; Tian, X.; Zhao, L.; Zhou, J.; Zhang, W.; Li, M.; Fei, Y.; Wu, X. Complement factor H attenuates TNF-α-induced inflammation by upregulating EIF3C in rheumatoid arthritis. J. Transl. Med. 2023, 21, 846. [Google Scholar] [CrossRef] [PubMed]
- Xu, W.B.; Kotheeranurak, V.; Zhang, H.L.; Feng, J.Y.; Liu, J.W.; Chen, C.M.; Lin, G.X.; Rui, G. Identification of the circRNA-miRNA-mRNA regulatory network in osteoarthritis using bioinformatics analysis. Front. Genet. 2022, 13, 994163. [Google Scholar] [CrossRef] [PubMed]
- Gao, J.B.; Lin, L.; Men, X.Q.; Zhao, J.B.; Zhang, M.H.; Jin, L.P.; Gao, S.J.; Zhao, S.Q.; Dong, J.T. Fibulin-5 protects the extracellular matrix of chondrocytes by inhibiting the Wnt/β-catenin signaling pathway and relieves osteoarthritis. Eur. Rev. Med. Pharmacol. Sci. 2020, 24, 5249–5258. [Google Scholar] [CrossRef] [PubMed]
- Reed, D.A.; Zhao, Y.; Bagheri Varzaneh, M.; Shin, J.S.; Rozynek, J.; Miloro, M.; Han, M. NG2/CSPG4 regulates cartilage degeneration during TMJ osteoarthritis. Front. Dent. Med. 2022, 3, 1004942. [Google Scholar] [CrossRef] [PubMed]
- Zhou, S.; Chen, S.; Pei, Y.A.; Pei, M. Nidogen: A matrix protein with potential roles in musculoskeletal tissue regeneration. Genes Dis. 2021, 9, 598. [Google Scholar] [CrossRef] [PubMed]
- Yun-Feng, W.; Matsuo, N.; Sumiyoshi, H.; Yoshioka, H. Sp7/Osterix up-regulates the mouse pro-alpha3(V) collagen gene (Col5a3) during the osteoblast differentiation. Biochem. Biophys. Res. Commun. 2010, 394, 503–508. [Google Scholar] [CrossRef] [PubMed]
- Shangguan, L.; Ning, G.; Luo, Z.; Zhou, Y. Fibulin-4 reduces extracellular matrix production and suppresses chondrocyte differentiation via DKK1- mediated canonical Wnt/β-catenin signaling. Int. J. Biol. Macromol. 2017, 99, 293–299. [Google Scholar] [CrossRef] [PubMed]
- Shur, I.; Socher, R.; Hameiri, M.; Fried, A.; Benayahu, D. Molecular and cellular characterization of SEL-OB/SVEP1 in osteogenic cells in vivo and in vitro. J. Cell. Physiol. 2006, 206, 420–427. [Google Scholar] [CrossRef] [PubMed]
- Conte, R.; Finicelli, M.; Borrone, A.; Margarucci, S.; Peluso, G.; Calarco, A.; Bosetti, M. MMP-2 Silencing through siRNA Loaded Positively-Charged Nanoparticles (AcPEI-NPs) Counteracts Chondrocyte De-Differentiation. Polymers 2023, 15, 1172. [Google Scholar] [CrossRef]
- Moazedi-Fuerst, F.C.; Gruber, G.; Stradner, M.H.; Guidolin, D.; Jones, J.C.; Bodo, K.; Wagner, K.; Peischler, D.; Krischan, V.; Weber, J.; et al. Effect of Laminin-A4 inhibition on cluster formation of human osteoarthritic chondrocytes. J. Orthop. Res. 2016, 34, 419–426. [Google Scholar] [CrossRef]
- Fuerst, F.C.; Gruber, G.; Stradner, M.H.; Jones, J.C.; Kremser, M.L.; Angerer, H.; Setznagl, D.; Glehr, M.; Windhager, R.; Leithner, A.; et al. Regulation of MMP3 by laminin alpha 4 in human osteoarthritic cartilage. Scand. J. Rheumatol. 2011, 40, 494. [Google Scholar] [CrossRef] [PubMed]
- Tan, F.; Wang, D.; Yuan, Z. The Fibroblast-Like Synoviocyte Derived Exosomal Long Non-coding RNA H19 Alleviates Osteoarthritis Progression Through the miR-106b-5p/TIMP2 Axis. Inflammation 2020, 43, 1498–1509. [Google Scholar] [CrossRef]
- Liu, J.; Wu, X.; Lu, J.; Huang, G.; Dang, L.; Zhang, H.; Zhong, C.; Zhang, Z.; Li, D.; Li, F.; et al. Exosomal transfer of osteoclast-derived miRNAs to chondrocytes contributes to osteoarthritis progression. Nat. Aging 2021, 1, 368–384. [Google Scholar] [CrossRef] [PubMed]
- Zieba, J.; Munivez, E.; Castellon, A.; Jiang, M.M.; Dawson, B.; Ambrose, C.G.; Lee, B. Fracture Healing in Collagen-Related Preclinical Models of Osteogenesis Imperfecta. J. Bone Miner. Res. 2020, 35, 1132–1148. [Google Scholar] [CrossRef] [PubMed]
- Zhang, J.S.; Pan, R.S.; Li, G.L.; Teng, J.X.; Zhao, H.B.; Zhou, C.H.; Zhu, J.S.; Zheng, H.; Tian, X. Bin Comprehensive analysis of anoikis-related genes in diagnosis osteoarthritis: Based on machine learning and single-cell RNA sequencing data. Artif. Cells Nanomed. Biotechnol. 2024, 52, 156–174. [Google Scholar] [CrossRef]
- Wang, M.; Liu, C.; Zhang, Y.; Hao, Y.; Zhang, X.; Zhang, Y.M. Protein interaction and microRNA network analysis in osteoarthritis meniscal cells. Genet. Mol. Res. 2013, 12, 738–746. [Google Scholar] [CrossRef] [PubMed]
- Cobraiville, G.; Fillet, M.; Sharif, M.; Ourradi, K.; Nys, G.; Malaise, M.G.; de Seny, D. Validation of a new method by nano-liquid chromatography on chip tandem mass spectrometry for combined quantitation of C3f and the V65 vitronectin fragment as biomarkers of diagnosis and severity of osteoarthritis. Talanta 2017, 169, 170–180. [Google Scholar] [CrossRef] [PubMed]
- Hou, C.; Yang, Z.; Kang, Y.; Zheng, Z.; Fu, M.; He, A.; Zhang, Z.; Liao, W. MiR-193b regulates early chondrogenesis by inhibiting the TGF-beta2 signaling pathway. FEBS Lett. 2015, 589, 1040–1047. [Google Scholar] [CrossRef] [PubMed]
- Jouan, Y.; Bouchemla, Z.; Bardèche-Trystram, B.; Sana, J.; Andrique, C.; Ea, H.K.; Richette, P.; Latourte, A.; Cohen-Solal, M.; Hay, E. Lin28a induces SOX9 and chondrocyte reprogramming via HMGA2 and blunts cartilage loss in mice. Sci. Adv. 2022, 8, eabn3106. [Google Scholar] [CrossRef] [PubMed]
- Xie, L.; Li, Z.; Chen, Z.; Li, M.; Tao, J. ITGB1 alleviates osteoarthritis by inhibiting cartilage inflammation and apoptosis via activating cAMP pathway. J. Orthop. Surg. Res. 2023, 18, 849. [Google Scholar] [CrossRef] [PubMed]
- Shi, H.; Li, B.; Zhang, D.; Han, H.; He, H.; Zhu, J.; Wang, H.; Chen, L. Autophagy inhibition mediated by intrauterine miR-1912-3p/CTSD programming participated in the susceptibility to osteoarthritis induced by prenatal dexamethasone exposure in male adult offspring rats. FASEB J. 2023, 37, e23011. [Google Scholar] [CrossRef]
- Sun, W.; Lv, Z.; Li, W.; Lu, J.; Xie, Y.; Wang, P.; Jiang, R.; Dong, J.; Guo, H.; Liu, Z.; et al. XJB-5-131 protects chondrocytes from ferroptosis to alleviate osteoarthritis progression via restoring Pebp1 expression. J. Orthop. Transl. 2024, 44, 114–124. [Google Scholar] [CrossRef] [PubMed]
- Guo, D.; Tan, W.; Wang, F.; Lv, Z.; Hu, J.; Lv, T.; Chen, Q.; Gu, X.; Wan, B.; Zhang, Z. Proteomic analysis of human articular cartilage: Identification of differentially expressed proteins in knee osteoarthritis. Jt. Bone Spine 2008, 75, 439–444. [Google Scholar] [CrossRef]
- Clements, D.N.; Fitzpatrick, N.; Carter, S.D.; Day, P.J.R. Cartilage gene expression correlates with radiographic severity of canine elbow osteoarthritis. Vet. J. 2009, 179, 211–218. [Google Scholar] [CrossRef] [PubMed]
- Yang, Y.R.; Kabir, M.H.; Park, J.H.; Park, J.I.; Kang, J.S.; Ju, S.; Shin, Y.J.; Lee, S.M.; Lee, J.; Kim, S.; et al. Plasma proteomic profiling of young and old mice reveals cadherin-13 prevents age-related bone loss. Aging 2020, 12, 8652–8668. [Google Scholar] [CrossRef] [PubMed]
- Campbell, V.T.; Nadesan, P.; Ali, S.A.; Wang, C.Y.Y.; Whetstone, H.; Poon, R.; Wei, Q.; Keilty, J.; Proctor, J.; Wang, L.W.; et al. Hedgehog pathway inhibition in chondrosarcoma using the smoothened inhibitor IPI-926 directly inhibits sarcoma cell growth. Mol. Cancer Ther. 2014, 13, 1259–1269. [Google Scholar] [CrossRef] [PubMed]
- Xie, T.; Zhu, F.; Cheng, R.; Gao, J.; Hong, Y.; Deng, P.; Liu, C.; Xu, Y. FLRT2 mediates chondrogenesis of nasal septal cartilage and mandibular condyle cartilage. Open Med. 2024, 19, 20240902. [Google Scholar] [CrossRef]
- Date, K.; Sakagami, H.; Yura, K. Regulatory properties of vitronectin and its glycosylation in collagen fibril formation and collagen-degrading enzyme cathepsin K activity. Sci. Rep. 2021, 11, 12023. [Google Scholar] [CrossRef] [PubMed]
- Nakashima, M.; Suzuki, A.; Hashimoto, K.; Yamashita, M.; Fujiwara, Y.; Miyamoto, Y. Vitronectin regulates osteoclastogenesis and bone remodeling in a mouse model of osteoporosis. Anat. Cell Biol. 2024, 57, 305–315. [Google Scholar] [CrossRef] [PubMed]
- Harting, M.T.; Jimenez, F.; Pati, S.; Baumgartner, J.; Cox, C.S. Immunophenotype characterization of rat mesenchymal stromal cells. Cytotherapy 2008, 10, 243–253. [Google Scholar] [CrossRef] [PubMed]
- Takada, I.; Kouzmenko, A.P.; Kato, S. Molecular switching of osteoblastogenesis versus adipogenesis: Implications for targeted therapies. Expert Opin. Ther. Targets 2009, 13, 593–603. [Google Scholar] [CrossRef]
- Bianco, P. “Mesenchymal” stem cells. Annu. Rev. Cell Dev. Biol. 2014, 30, 677–704. [Google Scholar] [CrossRef]
- Ok, J.S.; Song, S.B.; Hwang, E.S. Enhancement of replication and differentiation potential of human bone marrow stem cells by nicotinamide treatment. Int. J. Stem Cells 2018, 11, 13–25. [Google Scholar] [CrossRef] [PubMed]
- Zhang, J.; Yang, Y.; Li, X.; Li, G.; Mizukami, T.; Liu, Y.; Wang, Y.; Xu, G.; Roder, H.; Zhang, L.; et al. PDLIM3 supports hedgehog signaling in medulloblastoma by facilitating cilia formation. Cell Death Differ. 2023, 30, 1198–1210. [Google Scholar] [CrossRef] [PubMed]
- Lewis, J.W.; Frost, K.; Neag, G.; Wahid, M.; Finlay, M.; Northall, E.H.; Abudu, O.; Davis, E.T.; Powell, E.; Palmer, C.; et al. Therapeutic avenues in bone repair: Harnessing an anabolic osteopeptide, PEPITEM, to boost bone growth and prevent bone loss. Cell Rep. Med. 2024, 5, 101574. [Google Scholar] [CrossRef]
- Tchetina, E.V.; Antoniou, J.; Tanzer, M.; Zukor, D.J.; Poole, A.R. Transforming growth factor-beta2 suppresses collagen cleavage in cultured human osteoarthritic cartilage, reduces expression of genes associated with chondrocyte hypertrophy and degradation, and increases prostaglandin E(2) production. Am. J. Pathol. 2006, 168, 131–140. [Google Scholar] [CrossRef]
- Konteles, V.; Papathanasiou, I.; Tzetis, M.; Goussetis, E.; Trachana, V.; Mourmoura, E.; Balis, C.; Malizos, K.; Tsezou, A. Integration of Transcriptome and MicroRNA Profile Analysis of iMSCs Defines Their Rejuvenated State and Conveys Them into a Novel Resource for Cell Therapy in Osteoarthritis. Cells 2023, 12, 1756. [Google Scholar] [CrossRef]
- Chen, Z.; Zhou, T.; Luo, H.; Wang, Z.; Wang, Q.; Shi, R.; Li, Z.; Pang, R.; Tan, H. HWJMSC-EVs promote cartilage regeneration and repair via the ITGB1/TGF-β/Smad2/3 axis mediated by microfractures. J. Nanobiotechnol. 2024, 22, 177. [Google Scholar] [CrossRef] [PubMed]
- Kanawa, M.; Igarashi, A.; Fujimoto, K.; Higashi, Y.; Kurihara, H.; Sugiyama, M.; Saskianti, T.; Kato, Y.; Kawamoto, T. Genetic Markers Can Predict Chondrogenic Differentiation Potential in Bone Marrow-Derived Mesenchymal Stromal Cells. Stem Cells Int. 2018, 2018, 9530932. [Google Scholar] [CrossRef] [PubMed]
- Ratushnyy, A.Y.; Rudimova, Y.V.; Buravkova, L.B. Replicative Senescence and Expression of Autophagy Genes in Mesenchymal Stromal Cells. Biochemistry 2020, 85, 1169–1177. [Google Scholar] [CrossRef] [PubMed]
- Han, J.; Luo, Z.; Wang, Y.; Liang, Y. LncRNA ZFAS1 protects chondrocytes from IL-1β-induced apoptosis and extracellular matrix degradation via regulating miR-7-5p/FLRT2 axis. J. Orthop. Surg. Res. 2023, 18, 320. [Google Scholar] [CrossRef]
- Ramesova, A.; Svandova, E.; Vesela, B.; Vacek, L.; Lesot, H.; Matalova, E. Autophagy-related proteases accompany the transition of pre-chondrogenic cells into chondroblasts. Ann. Anat. 2022, 239, 151781. [Google Scholar] [CrossRef] [PubMed]
- Chen, Y.; Zhang, Y.; Ge, Y.; Ren, H. Integrated single-cell and bulk RNA sequencing analysis identified pyroptosis-related signature for diagnosis and prognosis in osteoarthritis. Sci. Rep. 2023, 13, 17757. [Google Scholar] [CrossRef] [PubMed]
- Li, G.; Song, X.; Li, R.; Sun, L.; Gong, X.; Chen, C.; Yang, L. Zyxin-involved actin regulation is essential in the maintenance of vinculin focal adhesion and chondrocyte differentiation status. Cell Prolif. 2019, 52, e12532. [Google Scholar] [CrossRef] [PubMed]
- Tay, L.X.; Lim, C.K.; Mansor, A.; Kamarul, T. Differential protein expression between chondrogenic differentiated MSCs, undifferentiated MSCs and adult chondrocytes derived from Oryctolagus cuniculus in vitro. Int. J. Med. Sci. 2013, 11, 24–33. [Google Scholar] [CrossRef] [PubMed][Green Version]
- Fonseka, P.; Pathan, M.; Chitti, S.V.; Kang, T.; Mathivanan, S. FunRich enables enrichment analysis of OMICs datasets. J. Mol. Biol. 2021, 433, 166747. [Google Scholar] [CrossRef] [PubMed]
- Chen, E.Y.; Tan, C.M.; Kou, Y.; Duan, Q.; Wang, Z.; Meirelles, G.V.; Clark, N.R.; Ma’ayan, A. Enrichr: Interactive and collaborative HTML5 gene list enrichment analysis tool. BMC Bioinform. 2013, 14, 128. [Google Scholar] [CrossRef]
- Szklarczyk, D.; Kirsch, R.; Koutrouli, M.; Nastou, K.; Mehryary, F.; Hachilif, R.; Gable, A.L.; Fang, T.; Doncheva, N.T.; Pyysalo, S.; et al. The STRING database in 2023: Protein-protein association networks and functional enrichment analyses for any sequenced genome of interest. Nucleic Acids Res. 2023, 51, D638–D646. [Google Scholar] [CrossRef]
- Goedhart, J.; Luijsterburg, M.S. VolcaNoseR is a web app for creating, exploring, labeling and sharing volcano plots. Sci. Rep. 2020, 10, 20560. [Google Scholar] [CrossRef] [PubMed]





| Cells | CD29 | CD44 | CD73 | CD90 | CD105 | CD34 | CD45 |
|---|---|---|---|---|---|---|---|
| MLC-N | 94.61% | 95.52% | 80.56% | 93.30% | 38.20% | 1.63% | 2.18% |
| MLC-OA | 93.06% | 94.49% | 82.85% | 84.50% | 29.29% | 0.72% | 2.08% |
| Antibody | Dilution | Specificity | Clone | Source |
|---|---|---|---|---|
| FITC Mouse IgG1 Isotype Control | 1:50 | - | ICIG1 | Immunostep |
| PE Mouse IgG1 Isotype Control | 1:50 | - | B11/6 | Immunostep |
| PECy5 Mouse IgG1 Isotype Control | 2:25 | - | 1F8 | Abcam |
| PE Mouse Anti-Human CD29 | 3:50 | Human integrin β1 (ITGB1) | VJ1/14 | Immunostep |
| PE Mouse Anti-Human CD34 | 2:25 | Hematopoietic progenitor cell antigen 1 (HPCA1) | 581 | BD Pharmingen |
| FITC Mouse Anti-Human CD44 | 1:50 | Homing cellular adhesion molecule (HCAM) | IM7 | BD Pharmingen |
| FITC Mouse Anti-Human CD45 | 3:50 | Leukocyte common antigen (LCA) | D3/9 | Immunostep |
| PE Mouse Anti-Human CD73 | 3:50 | Ecto-5′-nucleotidase (NT5E) | AD2 | Immunostep |
| PECy5 Mouse Anti-Human CD90 | 1:50 | Thymocyte differentiation antigen 1 (Thy-1) | 5E10 | Immunostep |
| FITC Mouse Anti-Human CD105 | 1:50 | Human Endoglin (ENG) | SN6 | AbD Serotec |
| Gene | Forward Primer 5′→3′ | Reverse Primer 5′→3′ |
|---|---|---|
| Tyrosine 3-monooxygenase/tryptophan 5-monooxygenase activation protein zeta (YWHAZ) | GATCCCCAATGCTTCACAAG | TGCTTGTTGTGACTGATCGAC |
| Homosapien Runt-related transcription factor 2 (RUNX2) | TTACTTACACCCCGCCAGTC | TATGGAGTGCTGCTGGTCTG |
| Alkaline phosphatase, biomineralization associated (ALPL) | GACGGACCCGTCACTCTC | GTGCCCGTGGTCAATTCT |
Disclaimer/Publisher’s Note: The statements, opinions and data contained in all publications are solely those of the individual author(s) and contributor(s) and not of MDPI and/or the editor(s). MDPI and/or the editor(s) disclaim responsibility for any injury to people or property resulting from any ideas, methods, instructions or products referred to in the content. |
© 2025 by the authors. Licensee MDPI, Basel, Switzerland. This article is an open access article distributed under the terms and conditions of the Creative Commons Attribution (CC BY) license (https://creativecommons.org/licenses/by/4.0/).
Share and Cite
Piñeiro-Ramil, M.; Gómez-Seoane, I.; Rodríguez-Cendal, A.I.; Sanjurjo-Rodríguez, C.; Riva-Mendoza, S.; Fuentes-Boquete, I.; De Toro-Santos, J.; Señarís-Rodríguez, J.; Díaz-Prado, S. Disease-Associated Signatures Persist in Extracellular Vesicles from Reprogrammed Cells of Osteoarthritis Patients. Int. J. Mol. Sci. 2025, 26, 870. https://doi.org/10.3390/ijms26030870
Piñeiro-Ramil M, Gómez-Seoane I, Rodríguez-Cendal AI, Sanjurjo-Rodríguez C, Riva-Mendoza S, Fuentes-Boquete I, De Toro-Santos J, Señarís-Rodríguez J, Díaz-Prado S. Disease-Associated Signatures Persist in Extracellular Vesicles from Reprogrammed Cells of Osteoarthritis Patients. International Journal of Molecular Sciences. 2025; 26(3):870. https://doi.org/10.3390/ijms26030870
Chicago/Turabian StylePiñeiro-Ramil, María, Iván Gómez-Seoane, Ana Isabel Rodríguez-Cendal, Clara Sanjurjo-Rodríguez, Selva Riva-Mendoza, Isaac Fuentes-Boquete, Javier De Toro-Santos, José Señarís-Rodríguez, and Silvia Díaz-Prado. 2025. "Disease-Associated Signatures Persist in Extracellular Vesicles from Reprogrammed Cells of Osteoarthritis Patients" International Journal of Molecular Sciences 26, no. 3: 870. https://doi.org/10.3390/ijms26030870
APA StylePiñeiro-Ramil, M., Gómez-Seoane, I., Rodríguez-Cendal, A. I., Sanjurjo-Rodríguez, C., Riva-Mendoza, S., Fuentes-Boquete, I., De Toro-Santos, J., Señarís-Rodríguez, J., & Díaz-Prado, S. (2025). Disease-Associated Signatures Persist in Extracellular Vesicles from Reprogrammed Cells of Osteoarthritis Patients. International Journal of Molecular Sciences, 26(3), 870. https://doi.org/10.3390/ijms26030870

