Insulin Receptor Substrate-2 Regulates the Secretion of Growth Factors in Response to Amino Acid Deprivation
Abstract
1. Introduction
2. Results
2.1. Amino Acid Deprivation Upregulates Both IRS2 Transcription and Translation in Hepatocyte-Derived Cells
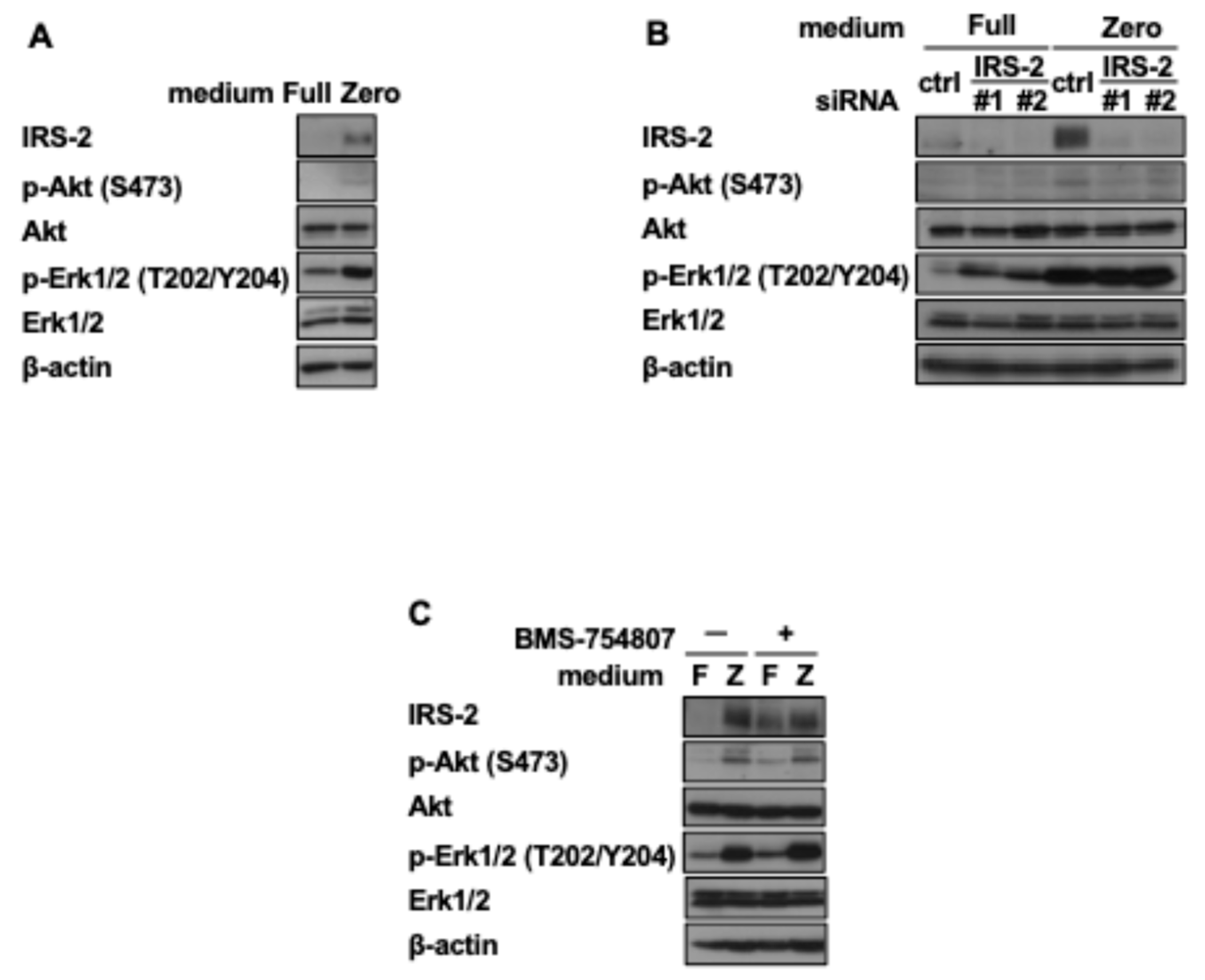
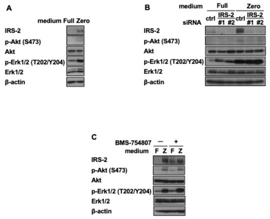
2.2. Amino Acid Deprivation Activates the PI 3-Kinase Pathway in an IRS-2-Dependent Manner
2.3. IRS-2 Promotes VEGF-D Secretion in an Insulin-Independent Manner
2.4. IRS-2 Promotes Microvesicle (MV) Secretion, Including VEGF-D
3. Discussion
4. Materials and Methods
4.1. Materials
4.2. Cell Culture and Cell Experiments
4.3. Plasmid Preparation
4.4. siRNAs
4.5. Transfection with Plasmids or siRNAs
4.6. RNA Extraction and Real-Time Quantitative PCR (qPCR)
4.7. Luciferase Reporter Assay
4.8. Nascent mRNA Analysis
4.9. Preparation of Conditioned Medium
4.10. Immunoblotting
4.11. Nascent Protein Measurement and Analysis
4.12. Antibody Array
4.13. Quantification and Statistical Analysis
Supplementary Materials
Author Contributions
Funding
Institutional Review Board Statement
Informed Consent Statement
Data Availability Statement
Conflicts of Interest
References
- Yenush, L.; White, M. The IRS-signalling system during insulin and cytokine action. Bioessays 1997, 19, 491–500. [Google Scholar] [CrossRef] [PubMed]
- White, M. IRS proteins and the common path to diabetes. Am. J. Physiol.-Endocrinol. Metab. 2002, 283, E413–E422. [Google Scholar] [CrossRef] [PubMed]
- Thirone, A.; Huang, C.; Klip, A. Tissue-specific roles of IRS proteins in insulin signaling and glucose transport. Trends Endocrinol. Metab. 2006, 17, 70–76. [Google Scholar] [CrossRef] [PubMed]
- Araki, E.; Lipes, M.; Patti, M.; Bruning, J.; Haag, B.; Johnson, R.; Kahn, C. Alternative pathway of insulin signaling in mice with targeted disruption of the irs-1 gene. Nature 1994, 372, 186–190. [Google Scholar] [CrossRef] [PubMed]
- Tamemoto, H.; Kadowaki, T.; Tobe, K.; Yagi, T.; Sakura, H.; Hayakawa, T.; Terauchi, Y.; Ueki, K.; Kaburagi, Y.; Satoh, S.; et al. Insulin-resistance and growth-retardation in mice lacking insulin-receptor substrate-1. Nature 1994, 372, 182–186. [Google Scholar] [CrossRef]
- Yamauchi, T.; Tobe, K.; Tamemoto, H.; Ueki, K.; Kaburagi, Y.; YamamotoHonda, R.; Takahashi, Y.; Yoshizawa, F.; Aizawa, S.; Akanuma, Y.; et al. Insulin signalling and insulin actions in the muscles and livers of insulin-resistant, insulin receptor substrate 1-deficient mice. Mol. Cell. Biol. 1996, 16, 3074–3084. [Google Scholar] [CrossRef]
- Withers, D.; Gutierrez, J.; Towery, H.; Burks, D.; Ren, J.; Previs, S.; Zhang, Y.; Bernal, D.; Pons, S.; Shulman, G.; et al. Disruption of IRS-2 causes type 2 diabetes in mice. Nature 1998, 391, 900–904. [Google Scholar] [CrossRef]
- Kubota, N.; Tobe, K.; Terauchi, Y.; Eto, K.; Yamauchi, T.; Suzuki, R.; Tsubamoto, Y.; Komeda, K.; Nakano, I.; Miki, H.; et al. Disruption of insulin receptor substrate 2 causes type 2 diabetes because of liver insulin resistance and lack of compensatory β-cell hyperplasia. Diabetes 2000, 49, 1880–1889. [Google Scholar] [CrossRef]
- Kido, Y.; Burks, D.; Withers, D.; Bruning, J.; Kahn, C.; White, M.; Accili, D. Tissue-specific insulin resistance in mice with mutations in the insulin receptor, IRS-1, and IRS-2. J. Clin. Investig. 2000, 105, 199–205. [Google Scholar] [CrossRef]
- Kadowaki, T.; Tamemoto, H.; Tobe, K.; Terauchi, Y.; Ueki, K.; Kaburagi, Y.; Yamauchi, T.; Satoh, S.; Sekihara, H.; Aizawa, S.; et al. Insulin resistance and growth retardation in mice lacking insulin receptor substrate-1 and identification of insulin receptor substrate-2. Diabet. Med. 1996, 13, S103–S108. [Google Scholar] [CrossRef]
- Withers, D.; Burks, D.; Towery, H.; Altamuro, S.; Flint, C.; White, M. Irs-2 coordinates Igf-1 receptor-mediated β-cell development and peripheral insulin signalling. Nat. Genet. 1999, 23, 32–40. [Google Scholar] [CrossRef] [PubMed]
- Kubota, N.; Terauchi, Y.; Tobe, K.; Yano, W.; Suzuki, R.; Ueki, K.; Takamoto, I.; Satoh, H.; Maki, T.; Kubota, T.; et al. Insulin receptor substrate 2 plays a crucial role in β cells and the hypothalamus. J. Clin. Investig. 2004, 114, 917–927. [Google Scholar] [CrossRef] [PubMed]
- Lin, X.; Taguchi, A.; Park, S.; Kushner, J.; Li, F.; Li, Y.; White, M. Dysregulation of insulin receptor substrate 2 in β cells and brain causes obesity and diabetes. J. Clin. Investig. 2004, 114, 908–916. [Google Scholar] [CrossRef]
- Toyoshima, Y.; Nakamura, K.; Tokita, R.; Teramoto, N.; Sugihara, H.; Kato, H.; Yamanouchi, K.; Minami, S. Disruption of insulin receptor substrate-2 impairs growth but not insulin function in rats. J. Biol. Chem. 2020, 295, 11914–11927. [Google Scholar] [CrossRef] [PubMed]
- Toyoshima, Y.; Tokita, R.; Ohne, Y.; Hakuno, F.; Noguchi, T.; Minami, S.; Kato, H.; Takahashi, S. Dietary protein deprivation upregulates insulin signaling and inhibits gluconeogenesis in rat liver. J. Mol. Endocrinol. 2010, 45, 329–340. [Google Scholar] [CrossRef] [PubMed]
- Toyoshima, Y.; Tokita, R.; Taguchi, Y.; Akiyama-Akanishi, N.; Takenaka, A.; Kato, H.; Chida, K.; Hakuno, F.; Minami, S.; Takahashi, S. Tissue-specific effects of protein malnutrition on insulin signaling pathway and lipid accumulation in growing rats. Endocr. J. 2014, 61, 499–512. [Google Scholar] [CrossRef]
- Nishi, H.; Yamanaka, D.; Kamei, H.; Goda, Y.; Kumano, M.; Toyoshima, Y.; Takenaka, A.; Masuda, M.; Nakabayashi, Y.; Shioya, R.; et al. Importance of Serum Amino Acid Profile for Induction of Hepatic Steatosis under Protein Malnutrition. Sci. Rep. 2018, 8, 5461. [Google Scholar] [CrossRef]
- Fukushima, S.; Nishi, H.; Kumano, M.; Yamanaka, D.; Kataoka, N.; Hakuno, F.; Takahashi, S. A novel amino acid signaling process governs glucose-6-phosphatase transcription. Iscience 2021, 24, 102778. [Google Scholar] [CrossRef]
- Nishi, H.; Goda, Y.; Okino, R.; Iwai, R.; Maezawa, R.; Ito, K.; Takahashi, S.; Yamanaka, D.; Hakuno, F. Metabolic Effects of Short-Term High-Fat Intake Vary Depending on Dietary Amino Acid Composition. Curr. Dev. Nutr. 2024, 8, 103768. [Google Scholar] [CrossRef]
- Tatara, Y.; Yamazaki, H.; Katsuoka, F.; Chiba, M.; Saigusa, D.; Kasai, S.; Nakamura, T.; Inoue, J.; Aoki, Y.; Shoji, M.; et al. Multiomics and artificial intelligence enabled peripheral blood-based prediction of amnestic mild cognitive impairment. Curr. Res. Transl. Med. 2023, 71, 103367. [Google Scholar] [CrossRef]
- Kilberg, M.; Shan, J.; Su, N. ATF4-dependent transcription mediates signaling of amino acid limitation. Trends Endocrinol. Metab. 2009, 20, 436–443. [Google Scholar] [CrossRef] [PubMed]
- Wu, C.; Peterson, A.; Zinshteyn, B.; Regot, S.; Green, R. Ribosome Collisions Trigger General Stress Responses to Regulate Cell Fate. Cell 2020, 182, 404–416. [Google Scholar] [CrossRef] [PubMed]
- Siu, F.; Bain, P.; LeBlanc-Chaffin, R.; Chen, H.; Kilberg, M. ATF4 is a mediator of the nutrient-sensing response pathway that activates the human asparagine synthetase gene. J. Biol. Chem. 2002, 277, 24120–24127. [Google Scholar] [CrossRef]
- Chen, H.; Pan, Y.; Dudenhausen, E.; Kilberg, M. Amino acid deprivation induces the transcription rate of the human asparagine synthetase gene through a timed program of expression and promoter binding of nutrient-responsive basic region/leucine zipper transcription factors as well as localized histone acetylation. J. Biol. Chem. 2004, 279, 50829–50839. [Google Scholar] [CrossRef] [PubMed]
- Carraro, V.; Maurin, A.; Lambert-Langlais, S.; Averous, J.; Chaveroux, C.; Parry, L.; Jousse, C.; Örd, D.; Örd, T.; Fafournoux, P.; et al. Amino Acid Availability Controls TRB3 Transcription in Liver through the GCN2/eIF2α/ATF4 Pathway. PLoS ONE 2010, 5, e15716. [Google Scholar] [CrossRef]
- Furuta, H.; Sheng, Y.; Takahashi, A.; Nagano, R.; Kataoka, N.; Perks, C.; Barker, R.; Hakuno, F.; Takahashi, S. The IGF-Independent Role of IRS-2 in the Secretion of MMP-9 Enhances the Growth of Prostate Carcinoma Cell Line PC3. Int. J. Mol. Sci. 2023, 24, 15065. [Google Scholar] [CrossRef]
- Menck, K.; Sönmezer, C.; Worst, T.; Schulz, M.; Dihazi, G.; Streit, F.; Erdmann, G.; Kling, S.; Boutros, M.; Binder, C.; et al. Neutral sphingomyelinases control extracellular vesicles budding from the plasma membrane. J. Extracell. Vesicles 2017, 6, 1378056. [Google Scholar] [CrossRef]
- Catalano, M.; O’Driscoll, L. Inhibiting extracellular vesicles formation and release: A review of EV inhibitors. J. Extracell. Vesicles 2020, 9, 1703244. [Google Scholar] [CrossRef]
- Takahashi, H.; Shibuya, M. The vascular endothelial growth factor (VEGF)/VEGF receptor system and its role under physiological and pathological conditions. Clin. Sci. 2005, 109, 227–241. [Google Scholar] [CrossRef]
- Yamazaki, Y.; Morita, T. Molecular and functional diversity of vascular endothelial growth factors. Mol. Divers. 2006, 10, 515–527. [Google Scholar] [CrossRef]
- Iyer, S.; Acharya, K. Tying the knot: The cystine signature and molecular-recognition processes of the vascular endothelial growth factor family of angiogenic cytokines. FEBS J. 2011, 278, 4304–4322. [Google Scholar] [CrossRef] [PubMed]
- Melincovici, C.; Bosca, A.; Susman, S.; Marginean, M.; Mihu, C.; Istrate, M.; Moldovan, I.; Roman, A.; Mihu, C. Vascular endothelial growth factor (VEGF)—Key factor in normal and pathological angiogenesis. Rom. J. Morphol. Embryol. 2018, 59, 455–467. [Google Scholar] [PubMed]
- Senger, D.; Galli, S.; Dvorak, A.; Perruzzi, C.; Harvey, V.; Dvorak, H. Tumor-cells secrete a vascular-permeability factor that promotes accumulation of ascites-fluid. Science 1983, 219, 983–985. [Google Scholar] [CrossRef] [PubMed]
- Shibuya, M. Differential roles of vascular endothelial growth factor receptor-1 and receptor-2 in angiogenesis. J. Biochem. Mol. Biol. 2006, 39, 469–478. [Google Scholar] [CrossRef]
- Kunnapuu, J.; Bokharaie, H.; Jeltsch, M. Proteolytic Cleavages in the VEGF Family: Generating Diversity among Angiogenic VEGFs, Essential for the Activation of Lymphangiogenic VEGFs. Biology 2021, 10, 167. [Google Scholar] [CrossRef]
- Koistinen, H.; Kunnapuu, J.; Jeltsch, M. KLK3 in the Regulation of Angiogenesis-Tumorigenic or Not? Int. J. Mol. Sci. 2021, 22, 13545. [Google Scholar] [CrossRef]
- Bokhari, S.; Hamar, P. Vascular Endothelial Growth Factor-D (VEGF-D): An Angiogenesis Bypass in Malignant Tumors. Int. J. Mol. Sci. 2023, 24, 13317. [Google Scholar] [CrossRef]
- Tirronen, A.; Vuorio, T.; Kettunen, S.; Hokkanen, K.; Ramms, B.; Niskanen, H.; Laakso, H.; Kaikkonen, M.; Jauhiainen, M.; Gordts, P.; et al. Deletion of Lymphangiogenic and Angiogenic Growth Factor VEGF-D Leads to Severe Hyperlipidemia and Delayed Clearance of Chylomicron Remnants. Arterioscler. Thromb. Vasc. Biol. 2018, 38, 2327–2337. [Google Scholar] [CrossRef]
- Baldwin, M.; Roufail, S.; Halford, M.; Alitalo, K.; Stacker, S.; Achen, M. Multiple forms of mouse vascular endothelial growth factor-D are generated by RNA splicing and proteolysis. J. Biol. Chem. 2001, 276, 44307–44314. [Google Scholar] [CrossRef]
- McColl, B.; Paavonen, K.; Karnezis, T.; Harris, N.; Davydova, N.; Rothacker, J.; Nice, E.; Harder, K.; Roufail, S.; Hibbs, M.; et al. Proprotein convertases promote processing of VEGF-D, a critical step for binding the angiogenic receptor VEGFR-2. FASEB J. 2007, 21, 1088–1098. [Google Scholar] [CrossRef]
- Hakuno, F.; Fukushima, T.; Yoneyama, Y.; Kamei, H.; Ozoe, A.; Yoshihara, H.; Yamanaka, D.; Shibano, T.; Sone-Yonezawa, M.; Yu, B.; et al. The novel functions of high-molecular-mass complexes containing insulin receptor substrates in mediation and modulation of insulin-like activities: Emerging concept of diverse functions by IRS-associated proteins. Front. Endocrinol. 2015, 6, 73. [Google Scholar] [CrossRef] [PubMed]
- Colombo, M.; Raposo, G.; Théry, C. Biogenesis, Secretion, and Intercellular Interactions of Exosomes and Other Extracellular Vesicles. Annu. Rev. Cell Dev. Biol. 2014, 30, 255–289. [Google Scholar] [CrossRef] [PubMed]
- Lo Cicero, A.; Stahl, P.; Raposo, G. Extracellular vesicles shuffling intercellular messages: For good or for bad. Curr. Opin. Cell Biol. 2015, 35, 69–77. [Google Scholar] [CrossRef] [PubMed]
- van Niel, G.; D’Angelo, G.; Raposo, G. Shedding light on the cell biology of extracellular vesicles. Nat. Rev. Mol. Cell Biol. 2018, 19, 213–228. [Google Scholar] [CrossRef]
- Fukushima, T.; Yoshihara, H.; Furuta, H.; Kamei, H.; Hakuno, F.; Luan, J.; Duan, C.; Saeki, Y.; Tanaka, K.; Iemura, S.; et al. Nedd4-induced monoubiquitination of IRS-2 enhances IGF signalling and mitogenic activity. Nat. Commun. 2015, 6, 6780. [Google Scholar] [CrossRef]




| Full | Zero | |
|---|---|---|
| Glycine | 30.0 | 0 |
| L-Alanine | 35.6 | 0 |
| L-Serine | 42.0 | 0 |
| L-Threonine | 95.0 | 0 |
| L-Cystine | 48.0 | 0 |
| L-Methionine | 30.0 | 0 |
| L-Glutamine | 584.0 | 0 |
| L-Asparagine·H2O | 60.0 | 0 |
| L-Glutamic acid | 58.8 | 0 |
| L-Aspartic acid | 53.2 | 0 |
| L-Valine | 94.0 | 0 |
| L-Leucine | 105.0 | 0 |
| L-Isoleucine | 105.0 | 0 |
| L-Phenylalanine | 66.0 | 0 |
| L-Tyrosine | 72.4 | 0 |
| L-Tryptophan | 16.0 | 0 |
| L-Lysine·HCl | 146.0 | 0 |
| L-Arginine·HCl | 84.0 | 0 |
| L-Histidine | 31.0 | 0 |
| L-Proline | 46.0 | 0 |
| EBSS | 10% | 10% |
| vitamin solution | 1% | 1% |
| NaHCO3 | 2.2 | 2.2 |
| D-glucose | 4.5 | 4.5 |
| Antibody | Species | Company | Concentration |
|---|---|---|---|
| Anti-IRS-1 #06-248 | Rabbit | Sigma-Aldrich | 1:1000 |
| Anti-IRS-2 (B-5): sc-390761 | Mouse | Santa Cruz Biotechnology | 1:200 |
| Anti-ATF4 (D4B8) #11815 | Rabbit | Cell Signaling Technology | 1:1000 |
| Anti-Akt #9272 | Rabbit | Cell Signaling Technology | 1:1000 |
| Anti-phospho-Akt (Ser473) #9271 | Rabbit | Cell Signaling Technology | 1:1000 |
| Anti-p42/44MAPK (Erk1/2) #9102 | Rabbit | Cell Signaling Technology | 1:1000 |
| Anti-phospho-p42/44MAPK (Erk1/2) (Thr202/Tyr204) #9101 | Rabbit | Cell Signaling Technology | 1:1000 |
| Anti-VEGFD [EPR8457] (ab155288) | Rabbit | Abcam | 1:1000 |
| Anti-β-actin #A2228 | Mouse | Sigma-Aldrich | 1:20,000 |
| HRP-conjugated streptavidin #N100 | Goat | Thermo Fisher Scientific | 1:1000 |
| HRP-conjugated anti-mouse IgG #NA931V | Goat | GE Healthcare | 1:10,000 |
| HRP-conjugated anti-rabbit IgG #NA934V | Goat | GE Healthcare | 1:10,000 |
Disclaimer/Publisher’s Note: The statements, opinions and data contained in all publications are solely those of the individual author(s) and contributor(s) and not of MDPI and/or the editor(s). MDPI and/or the editor(s) disclaim responsibility for any injury to people or property resulting from any ideas, methods, instructions or products referred to in the content. |
© 2025 by the authors. Licensee MDPI, Basel, Switzerland. This article is an open access article distributed under the terms and conditions of the Creative Commons Attribution (CC BY) license (https://creativecommons.org/licenses/by/4.0/).
Share and Cite
Takahashi, A.; Furuta, H.; Nishi, H.; Kamei, H.; Takahashi, S.-I.; Hakuno, F. Insulin Receptor Substrate-2 Regulates the Secretion of Growth Factors in Response to Amino Acid Deprivation. Int. J. Mol. Sci. 2025, 26, 841. https://doi.org/10.3390/ijms26020841
Takahashi A, Furuta H, Nishi H, Kamei H, Takahashi S-I, Hakuno F. Insulin Receptor Substrate-2 Regulates the Secretion of Growth Factors in Response to Amino Acid Deprivation. International Journal of Molecular Sciences. 2025; 26(2):841. https://doi.org/10.3390/ijms26020841
Chicago/Turabian StyleTakahashi, Ayaka, Haruka Furuta, Hiroki Nishi, Hiroyasu Kamei, Shin-Ichiro Takahashi, and Fumihiko Hakuno. 2025. "Insulin Receptor Substrate-2 Regulates the Secretion of Growth Factors in Response to Amino Acid Deprivation" International Journal of Molecular Sciences 26, no. 2: 841. https://doi.org/10.3390/ijms26020841
APA StyleTakahashi, A., Furuta, H., Nishi, H., Kamei, H., Takahashi, S.-I., & Hakuno, F. (2025). Insulin Receptor Substrate-2 Regulates the Secretion of Growth Factors in Response to Amino Acid Deprivation. International Journal of Molecular Sciences, 26(2), 841. https://doi.org/10.3390/ijms26020841

