Methanolic Leaves Extract of Ziziphus spina-christi Inhibits Cell Proliferation and Migration of HER2-Positive Breast Cancer via p38 MAPK Signaling Pathway
Abstract
1. Introduction
2. Results
2.1. Plant Extract Standardization Using Reversed Phase High-Performance Liquid Chromatography (RP-HPLC)
2.2. Anti-Cancer Screening
2.2.1. The Effect of ZSC on HER2-Positive Breast Cancer Cells
2.2.2. The Effect of Rutin and Quercetin
2.2.3. Morphological Examination
2.2.4. Colony Formation
2.2.5. Cell Migration
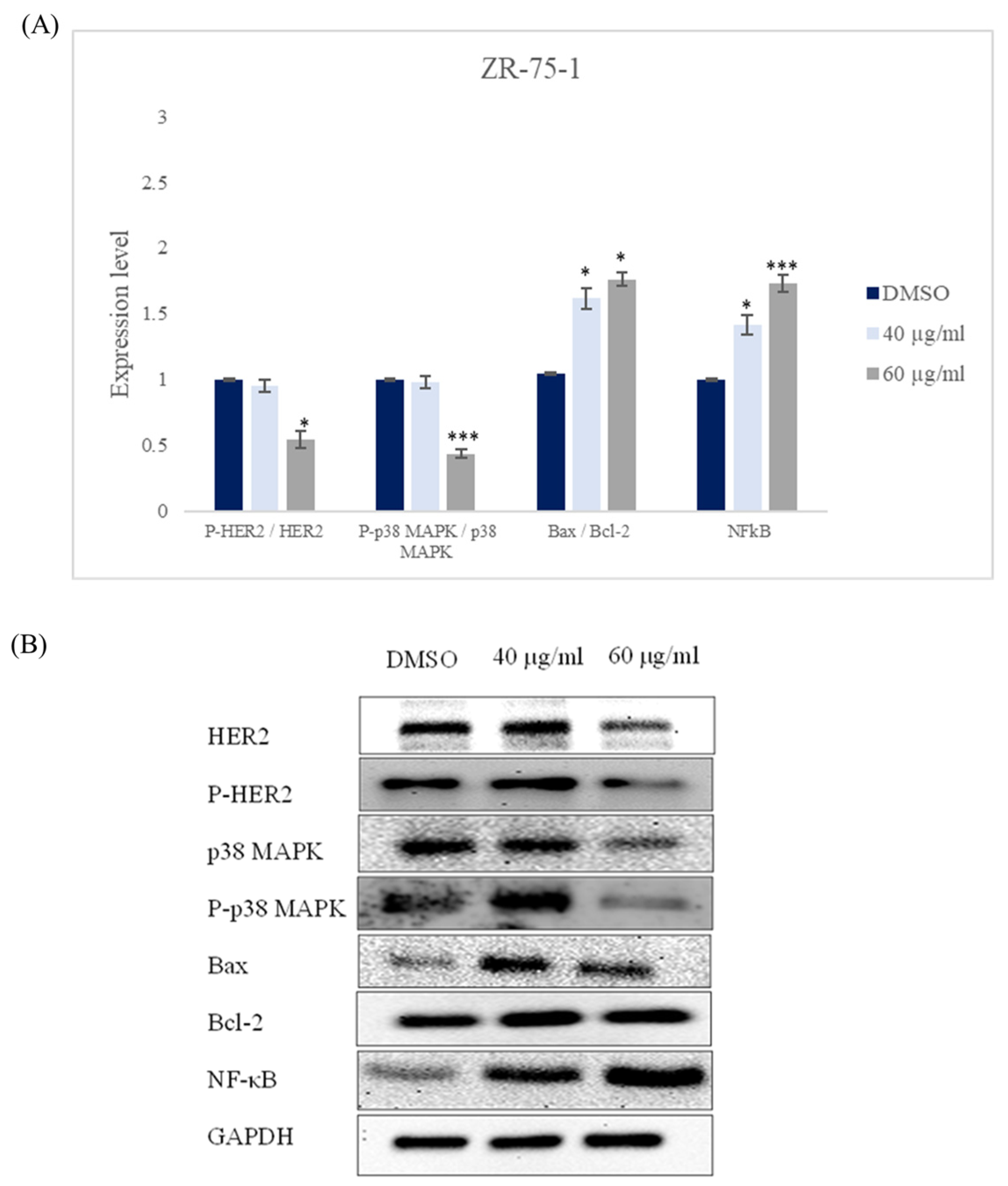
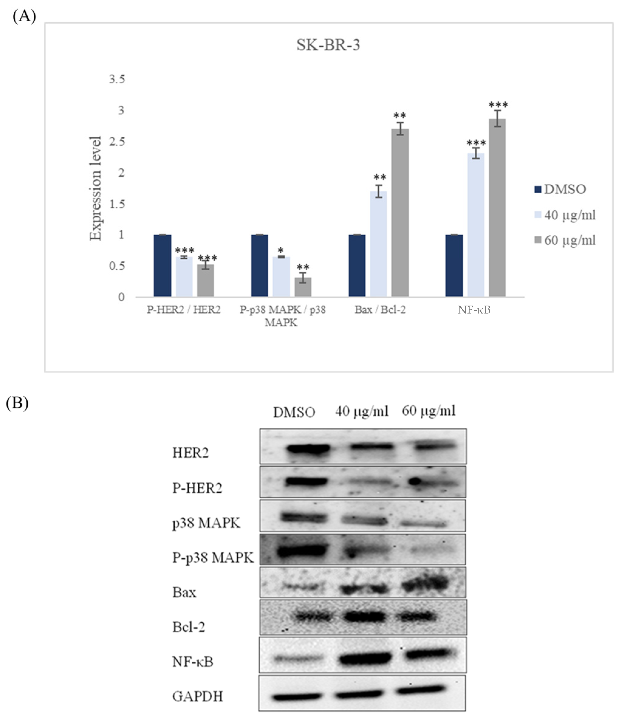
2.2.6. Gene Expression and Molecular Pathway Study
2.3. Angigenesis Study
3. Discussion
4. Materials and Methods
4.1. Plant Collection and Extraction
4.2. Yield of Extraction
4.3. Plant Extract Standardization Using Reversed Phase High-Performance Liquid Chromatography (RP-HPLC)
4.4. Cell Culture
4.5. Cell Viability Assay
4.6. Morphology Assay
4.7. Colony Formation Assay
4.8. Migration Assay
4.9. Western Blot Analysis
4.10. In Ovo Angiogenesis Assay
4.11. Statistical Analysis
5. Conclusions
Author Contributions
Funding
Institutional Review Board Statement
Informed Consent Statement
Data Availability Statement
Acknowledgments
Conflicts of Interest
References
- Ferlay, J.; Colombet, M.; Soerjomataram, I.; Mathers, C.; Parkin, D.M.; Piñeros, M.; Znaor, A.; Bray, F. Estimating the global cancer incidence and mortality in 2018: Globocan sources and methods. Int. J. Cancer 2019, 144, 1941–1953. [Google Scholar] [CrossRef] [PubMed]
- Sung, H.; Ferlay, J.; Siegel, R.L.; Laversanne, M.; Soerjomataram, I.; Jemal, A.; Bray, F. Global Cancer Statistics 2020: Globocan estimates of incidence and mortality worldwide for 36 cancers in 185 countries. CA Cancer J. Clin. 2021, 71, 209–249. [Google Scholar] [CrossRef] [PubMed]
- Joshi, H.; Press, M.F. 22-Molecular Oncology of Breast Cancer. In Breast, 5th ed.; Bland, K.I., Copeland, E.M., Klimberg, V.S., Gradishar, W.J., Eds.; Elsevier: Amsterdam, The Netherlands, 2018; pp. 282–307.e5. [Google Scholar]
- Wellings, S.R.; Jensen, H.M.; Marcum, R.G. An atlas of subgross pathology of the human breast with special reference to possible precancerous lesions. J. Natl. Cancer Inst. 1975, 55, 231–273. [Google Scholar] [CrossRef] [PubMed]
- Khan, M.I.; Bouyahya, A.; Hachlafi, N.E.L.; El Menyiy, N.; Akram, M.; Sultana, S.; Zengin, G.; Ponomareva, L.; Shariati, M.A.; Ojo, O.A.; et al. Anticancer properties of medicinal plants and their bioactive compounds against breast cancer: A review on recent investigations. Environ. Sci. Pollut. Res. 2022, 29, 24411–24444. [Google Scholar] [CrossRef]
- Tower, H.; Ruppert, M.; Britt, K. The immune microenvironment of breast cancer progression. Cancers 2019, 11, 1375. [Google Scholar] [CrossRef]
- Kallioniemi, O.P.; Kallioniemi, A.; Kurisu, W.; Thor, A.; Chen, L.C.; Smith, H.S.; Waldman, F.M.; Pinkel, D.; Gray, J.W. Erbb2 amplification in breast cancer analyzed by fluorescence in situ hybridization. Proc. Natl. Acad. Sci. USA 1992, 89, 5321–5325. [Google Scholar] [CrossRef]
- Slamon, D.J.; Clark, G.M.; Wong, S.G.; Levin, W.J.; Ullrich, A.; McGuire, W.L. Human breast cancer: Correlation of relapse and survival with amplification of the her-2/neu oncogene. Science 1987, 235, 177–182. [Google Scholar] [CrossRef]
- Slamon, D.J.; Godolphin, W.; Jones, L.A.; Holt, J.A.; Wong, S.G.; Keith, D.E.; Levin, W.J.; Stuart, S.G.; Udove, J.; Ullrich, A.; et al. Studies of the her-2/neu proto-oncogene in human breast and ovarian cancer. Science 1989, 244, 707–712. [Google Scholar] [CrossRef]
- Sareyeldin, R.M.; Gupta, I.; Al-Hashimi, I.; Al-Thawadi, H.A.; Al Farsi, H.F.; Vranic, S.; Al Moustafa, A.-E. Gene expression and mirnas profiling: Function and regulation in human epidermal growth factor receptor 2 (her2)-positive breast cancer. Cancers 2019, 11, 646. [Google Scholar] [CrossRef]
- Asif, H.M.; Sultana, S.; Ahmed, S.; Akhtar, N.; Tariq, M. Her-2 positive breast cancer-a mini-review. Asian Pac. J. Cancer Prev. 2016, 17, 1609–1615. [Google Scholar] [CrossRef]
- Riese, D.J., 2nd; Stern, D.F. Specificity within the egf family/erbb receptor family signaling network. Bioessays 1998, 20, 41–48. [Google Scholar] [CrossRef]
- Lin, N.U.; Winer, E.P. New targets for therapy in breast cancer: Small molecule tyrosine kinase inhibitors. Breast Cancer Res. 2004, 6, 204–210. [Google Scholar] [CrossRef] [PubMed]
- Atalay, G.; Cardoso, F.; Awada, A.; Piccart, M.J. Novel therapeutic strategies targeting the epidermal growth factor receptor (EGFR) family and its downstream effectors in breast cancer. Ann. Oncol. 2003, 14, 1346–1363. [Google Scholar] [CrossRef]
- Rosen, L.S.; Ashurst, H.L.; Chap, L. Targeting signal transduction pathways in metastatic breast cancer: A comprehensive review. Oncologist 2010, 15, 216–235. [Google Scholar] [CrossRef]
- Giordano, S.H.; Temin, S.; Chandarlapaty, S.; Crews, J.R.; Esteva, F.J.; Kirshner, J.J.; Krop, I.E.; Levinson, J.; Lin, N.U.; Modi, S.; et al. Systemic therapy for patients with advanced human epidermal growth factor receptor 2–positive breast cancer: Asco clinical practice guideline update. J. Clin. Oncol. 2018, 36, 2736–2740. [Google Scholar] [CrossRef]
- Perez, E.A.; Romond, E.H.; Suman, V.J.; Jeong, J.; Sledge, G.; Geyer, C.E., Jr.; Martino, S.; Rastogi, P.; Gralow, J.; Swain, S.; et al. Trastuzumab plus adjuvant chemotherapy for human epidermal growth factor receptor 2–positive breast cancer: Planned joint analysis of overall survival from nsabp b-31 and ncctg n9831. J. Clin. Oncol. 2014, 32, 3744–3752. [Google Scholar] [CrossRef]
- Arteaga, C.L.; Sliwkowski, M.X.; Osborne, C.K.; Perez, E.A.; Puglisi, F.; Gianni, L. Treatment of her2-positive breast cancer: Current status and future perspectives. Nat. Rev. Clin. Oncol. 2011, 9, 16–32. [Google Scholar] [CrossRef]
- Larionov, A.A. Current therapies for human epidermal growth factor receptor 2-positive metastatic breast cancer patients. Front. Oncol. 2018, 8, 89. [Google Scholar] [CrossRef]
- Cesca, M.G.; Vian, L.; Cristóvão-Ferreira, S.; Pondé, N.; de Azambuja, E. Her2-positive advanced breast cancer treatment in 2020. Cancer Treat. Rev. 2020, 88, 102033. [Google Scholar] [CrossRef]
- Jaques, R.; Xu, S.; Matsakas, A. Evaluating trastuzumab in the treatment of her2 positive breast cancer. Histol. Histopathol. 2020, 35, 1059–1075. [Google Scholar] [CrossRef]
- Leemasawat, K.; Phrommintikul, A.; Chattipakorn, S.C.; Chattipakorn, N. Mechanisms and potential interventions associated with the cardiotoxicity of erbb2-targeted drugs: Insights from in vitro, in vivo, and clinical studies in breast cancer patients. Cell Mol. Life Sci. 2019, 77, 1571–1589. [Google Scholar] [CrossRef] [PubMed]
- de Azambuja, E.; Procter, M.J.; van Veldhuisen, D.J.; Agbor-Tarh, D.; Metzger-Filho, O.; Steinseifer, J.; Untch, M.; Smith, I.E.; Gianni, L.; Baselga, J.; et al. Trastuzumab-associated cardiac events at 8 years of median follow-up in the herceptin adjuvant trial (big 1-01). J. Clin. Oncol. 2014, 32, 2159–2165. [Google Scholar] [CrossRef] [PubMed]
- Vernieri, C.; Milano, M.; Brambilla, M.; Mennitto, A.; Maggi, C.; Cona, M.S.; Prisciandaro, M.; Fabbroni, C.; Celio, L.; Mariani, G.; et al. Resistance mechanisms to anti-her2 therapies in her2-positive breast cancer: Current knowledge, new research directions and therapeutic perspectives. Crit. Rev. Oncol. Hematol. 2019, 139, 53–66. [Google Scholar] [CrossRef] [PubMed]
- Rimawi, M.F.; De Angelis, C.; Schiff, R. Resistance to anti-her2 therapies in breast cancer. Am. Soc. Clin. Oncol. Educ. Book 2015, 35, e157–e164. [Google Scholar] [CrossRef]
- Rashed, K.N. Medicinal plants as a safe target for treatment of cancer. Nat. Prod. Chem. Res. 2014, 2, 6836. [Google Scholar] [CrossRef]
- Ahmed, M.; Khan, M.I.; Khan, M.R.; Muhammad, N.; Khan, A.U.; Khan, R.A. Role of medicinal plants in oxidative stress and cancer. Open Access Sci. Rep. 2013, 2, 641–643. [Google Scholar]
- Teiten, M.-H.; Gaascht, F.; Dicato, M.; Diederich, M. Anticancer bioactivity of compounds from medicinal plants used in european medieval traditions. Biochem. Pharmacol. 2013, 86, 1239–1247. [Google Scholar] [CrossRef]
- Atanasov, A.G.; Waltenberger, B.; Pferschy-Wenzig, E.-M.; Linder, T.; Wawrosch, C.; Uhrin, P.; Temml, V.; Wang, L.; Schwaiger, S.; Heiss, E.H.; et al. Discovery and resupply of pharmacologically active plant-derived natural products: A review. Biotechnol. Adv. 2015, 33, 1582–1614. [Google Scholar] [CrossRef]
- Harvey, A.L.; Edrada-Ebel, R.; Quinn, R.J. The re-emergence of natural products for drug discovery in the genomics era. Nat. Rev. Drug Discov. 2015, 14, 111–129. [Google Scholar] [CrossRef]
- Newman, D.J.; Cragg, G.M. Natural products as sources of new drugs over the nearly four decades from 01/1981 to 09/2019. J. Nat. Prod. 2020, 83, 770–803. [Google Scholar] [CrossRef]
- Mariod, A.A.; Mirghani, M.E.S.; Hussein, I. Chapter 36—Ziziphus spina-christi (christ’s thorn jujube). In Unconventional Oilseeds and Oil Sources; Mariod, A.A., Mirghani, M.E.S., Hussein, I., Eds.; Academic Press: New York, NY, USA, 2017; pp. 243–249. [Google Scholar]
- Abdulrahman, M.D.; Zakariya, A.M.; Hama, H.A.; Hamad, S.W.; Al-Rawi, S.S.; Bradosty, S.W.; Ibrahim, A.H. Ethnopharmacology, biological evaluation, and chemical composition of Ziziphus spina-christi (L.) desf.: A review. Adv. Pharmacol. Pharm. Sci. 2022, 2022, 4495688. [Google Scholar] [CrossRef] [PubMed]
- Ghafoor, A.O.; Qadir, H.K.; Fakhri, N.A. Analysis of phenolic compounds in extracts of Ziziphus spina-christi using rphplc method. J. Chem. Pharm. Res. 2012, 4, 3158–3163. [Google Scholar]
- El-Shahir, A.A.; El-Wakil, D.A.; Latef, A.A.H.A.; Youssef, N.H. Bioactive compounds and antifungal activity of leaves and fruits methanolic extracts of Ziziphus spina-christi L. Plants 2022, 11, 746. [Google Scholar] [CrossRef]
- Azizah, Y.N. Ormulation, antioxidant and antibacteria activities of peel-off gel mask, enriched with Bidara leaf (Ziziphus spina-christi L.) extract. GEOMATE J. 2020, 18, 66–72. [Google Scholar]
- Dkhil, M.A.; Al-Quraishy, S.; Moneim, A.E.A. Ziziphus spina-christi leaf extract pretreatment inhibits liver and spleen injury in a mouse model of sepsis via anti-oxidant and anti-inflammatory effects. Inflammopharmacology 2018, 26, 779–791. [Google Scholar] [CrossRef] [PubMed]
- Jafarian, A.; Zolfaghari, B.; Shirani, K. Cytotoxicity of different extracts of arial parts of Ziziphus spina-christi on Hela and mda-mb-468 tumor cells. Adv. Biomed. Res. 2014, 3, 38. [Google Scholar] [CrossRef]
- Selvakumar, P.; Badgeley, A.; Murphy, P.; Anwar, H.; Sharma, U.; Lawrence, K.; Lakshmikuttyamma, A. Flavonoids and other polyphenols act as epigenetic modifiers in breast cancer. Nutrients 2020, 12, 761. [Google Scholar] [CrossRef]
- Hazafa, A.; Rehman, K.-U.; Jahan, N.; Jabeen, Z. The role of polyphenol (flavonoids) compounds in the treatment of cancer cells. Nutr. Cancer 2019, 72, 386–397. [Google Scholar] [CrossRef]
- Ghaffari, K.; Ahmadi, R.; Saberi, B.; Moulavi, P. Anti-proliferative effects of ziziphus spina-christi and Phlomis russeliana leaf extracts on hek293 and mcf-7 cell lines and evaluation of bax and bcl-2 genes expression level in mScf-7 cells. Asian Pac. J. Cancer Prev. 2021, 22, 81–87. [Google Scholar] [CrossRef]
- Farmani, F.; Moein, M.; Amanzadeh, A.; Kandelous, H.M.; Ehsanpour, Z.; Salimi, M. Antiproliferative evaluation and apoptosis induction in mcf-7 cells by Ziziphus spina-christi leaf extracts. Asian Pac. J. Cancer Prev. 2016, 17, 315–321. [Google Scholar] [CrossRef]
- El-Din, M.S.; Taha, A.M.; Sayed, A.A.; Salem, A.M. Ziziphus spina-christi leaves methanolic extract alleviates diethylnitrosamine-induced hepatocellular carcinoma in rats. Biochem. Cell Biol. 2019, 97, 437–445. [Google Scholar] [CrossRef]
- Soliman, S.; Hamoda, A.M.; El-Shorbagi, A.A.; El-Keblawy, A.A. Novel betulin derivative is responsible for the anticancer folk use of Ziziphus spina-christi from the hot environmental habitat of uae. J. Ethnopharmacol. 2018, 231, 403–408. [Google Scholar] [CrossRef] [PubMed]
- Ali, N.; Jülich, W.D.; Kusnick, C.; Lindequist, U. Screening of yemeni medicinal plants for antibacterial and cytotoxic activities. J. Ethnopharmacol. 2001, 74, 173–179. [Google Scholar] [CrossRef]
- Ads, E.N.; Rajendrasozhan, S.; Hassan, S.I.; Sharawy, S.M.S.; Humaidi, J.R. Phytochemical, antimicrobial and cytotoxic evaluation of Ziziphus spina-christi (L.) stem bark. Biomed. Res. 2017, 28, 6646–6653. [Google Scholar]
- Guizani, N.; Waly, M.I.; Singh, V.; Rahman, M.S. Nabag (Zizyphus spina-christi) extract prevents aberrant crypt foci development in colons of azoxymethane-treated rats by abrogating oxidative stress and inducing apoptosis. Asian Pac. J. Cancer Prev. 2013, 14, 5031–5035. [Google Scholar] [CrossRef]
- Batra, P.; Sharma, A.K. Anti-cancer potential of flavonoids: Recent trends and future perspectives. Biotech 2013, 3, 439–459. [Google Scholar] [CrossRef]
- Ward, A.B.; Mir, H.; Kapur, N.; Gales, D.N.; Carriere, P.P.; Singh, S. Quercetin inhibits prostate cancer by attenuating cell survival and inhibiting anti-apoptotic pathways. World J. Surg. Oncol. 2018, 16, 1–12. [Google Scholar] [CrossRef]
- Reyes-Farias, M.; Carrasco-Pozo, C. The anti-cancer effect of quercetin: Molecular implications in cancer metabolism. Int. J. Mol. Sci. 2019, 20, 3177. [Google Scholar] [CrossRef]
- Guo, H.; Ding, H.; Tang, X.; Liang, M.; Li, S.; Zhang, J.; Cao, J. Quercetin induces pro-apoptotic autophagy via sirt1/ampk signaling pathway in human lung cancer cell lines a549 and h1299 in vitro. Thorac. Cancer 2021, 12, 1415–1422. [Google Scholar] [CrossRef]
- Özsoy, S.; Becer, E.; Kabadayı, H.; Vatansever, H.S.; Yücecan, S. Quercetin-mediated apoptosis and cellular senescence in human colon cancer. Anti-Cancer Agents Med. Chem. 2020, 20, 1387–1396. [Google Scholar] [CrossRef]
- Wang, L.; Du, X.; Yue, D.; Chen, X. Catechin, rutin and quercetin in quercus Mongolica fisch leaves exert inhibitory effects on multiple cancer cells. J. Food Biochem. 2022, 46, e14486. [Google Scholar] [CrossRef] [PubMed]
- Imani, A.; Maleki, N.; Bohlouli, S.; Kouhsoltani, M.; Sharifi, S.; Dizaj, S.M. Molecular mechanisms of anticancer effect of rutin. Phytother. Res. 2020, 35, 2500–2513. [Google Scholar] [CrossRef] [PubMed]
- Scherbakov, A.M.; Andreeva, O.E. Apigenin inhibits growth of breast cancer cells: The role of erα and her2/neu. Acta Nat. 2015, 7, 133–139. [Google Scholar] [CrossRef]
- Khorsandi, L.; Orazizadeh, M.; Niazvand, F.; Abbaspour, M.R.; Mansouri, E.; Khodadadi, A. Quercetin induces apoptosis and necroptosis in mcf-7 breast cancer cells. Bratisl. Med. J. 2017, 118, 123–128. [Google Scholar] [CrossRef]
- Saleh, A.; ElFayoumi, H.M.; Youns, M.; Barakat, W. Rutin and orlistat produce antitumor effects via antioxidant and apoptotic actions. Naunyn-Schmiedeberg’s Arch. Pharmacol. 2018, 392, 165–175. [Google Scholar] [CrossRef]
- Ganeshpurkar, A.; Saluja, A.K. The pharmacological potential of rutin. Saudi. Pharm. J. 2016, 25, 149–164. [Google Scholar] [CrossRef]
- Vásquez-Garzón, V.R.; Macias-Pérez, J.R.; Jiménez-García, M.N.; Villegas, V.; Fattel-Fazenta, S.; Villa-Treviño, S. The chemopreventive capacity of quercetin to induce programmed cell death in hepatocarcinogenesis. Toxicol. Pathol. 2012, 41, 857–865. [Google Scholar] [CrossRef]
- Khan, F.; Pandey, P.; Jha, N.K.; Khalid, M.; Ojha, S. Rutin mediated apoptotic cell death in caski cervical cancer cells via notch-1 and hes-1 downregulation. Life 2021, 11, 761. [Google Scholar] [CrossRef]
- Chan, C.-Y.; Lien, C.-H.; Lee, M.-F.; Huang, C.-Y. Quercetin suppresses cellular migration and invasion in human head and neck squamous cell carcinoma (hnscc). Biomedicine 2016, 6, 1–6. [Google Scholar] [CrossRef]
- Lai, W.-W.; Hsu, S.-C.; Chueh, F.-S.; Chen, Y.-Y.; Yang, J.-S.; Lin, J.-P.; Lien, J.-C.; Tsai, C.-H.; Chung, J.-G. Quercetin inhibits migration and invasion of sas human oral cancer cells through inhibition of nf-κb and matrix metalloproteinase-2/-9 signaling pathways. Anticancer. Res. 2013, 33, 1941–1950. [Google Scholar]
- Park, M.H. Quercetin-induced downregulation of phospholipase D1 inhibits proliferation and invasion in U87 glioma cells. Biochem. Biophys. Res. Commun. 2011, 412, 710–715. [Google Scholar] [CrossRef] [PubMed]
- Senthilkumar, K.; Arunkumar, R.; Elumalai, P.; Sharmila, G.; Gunadharini, D.N.; Banudevi, S.; Krishnamoorthy, G.; Benson, C.S.; Arunakaran, J. Quercetin inhibits invasion, migration and signalling molecules involved in cell survival and proliferation of prostate cancer cell line (pc-3). Cell Biochem. Funct. 2011, 29, 87–95. [Google Scholar] [CrossRef] [PubMed]
- Gibellini, L.; Pinti, M.; Nasi, M.; Montagna, J.P.; De Biasi, S.; Roat, E.; Bertoncelli, L.; Cooper, E.L.; Cossarizza, A. quercetin and cancer chemoprevention. Evid.-Based Complement. Altern. Med. 2011, 1, 591356. [Google Scholar] [CrossRef] [PubMed]
- Brito, A.F.; Ribeiro, M.; Abrantes, A.M.; Pires, A.S.; Teixo, R.J.; Tralhao, J.G.; Filomena Botelho, M.F. Quercetin in cancer treatment, alone or in combination with conventional therapeutics? Curr. Med. Chem. 2015, 22, 3025–3039. [Google Scholar] [CrossRef] [PubMed]
- Ezzati, M.; Yousefi, B.; Velaei, K.; Safa, A. A review on anti-cancer properties of quercetin in breast cancer. Life Sci. 2020, 248, 117463. [Google Scholar] [CrossRef] [PubMed]
- Al-Dhabi, N.A.; Arasu, M.V.; Park, C.H.; Park, S.U. An up-to-date review of rutin and its biological and pharmacological activities. EXCLI J. 2015, 14, 59–63. [Google Scholar] [CrossRef]
- Ross, J.A.; Kasum, C.M. Dietary flavonoids: Bioavailability, metabolic effects, and safety. Annu. Rev. Nutr. 2002, 22, 19–34. [Google Scholar] [CrossRef]
- ben Sghaier, M.; Pagano, A.; Mousslim, M.; Ammari, Y.; Kovacic, H.; Luis, J. Rutin inhibits proliferation, attenuates superoxide production and decreases adhesion and migration of human cancerous cells. Biomed. Pharmacother. 2016, 84, 1972–1978. [Google Scholar] [CrossRef]
- Iriti, M.; Kubina, R.; Cochis, A.; Sorrentino, R.; Varoni, E.M.; Kabała-Dzik, A.; Azzimonti, B.; Dziedzic, A.; Rimondini, L.; Wojtyczka, R.D. Rutin, a quercetin glycoside, restores chemosensitivity in human breast cancer cells. Phytother. Res. 2017, 31, 1529–1538. [Google Scholar] [CrossRef]
- Iqbal, N. Human epidermal growth factor receptor 2 (HER2) in cancers: Overexpression and therapeutic implications. Mol. Biol. Int. 2014, 2014, 852748. [Google Scholar] [CrossRef]
- Donnelly, S.; Paplomata, E.; Peake, B.; Sanabria, E.; Chen, Z.; Nahta, R. P38 mapk contributes to resistance and invasiveness of her2- overexpressing breast cancer. Curr. Med. Chem. 2014, 21, 501–510. [Google Scholar] [CrossRef] [PubMed]
- Merlin, J.-L.; Harlé, A.; Lion, M.; Ramacci, C.; Leroux, A. Expression and activation of p38 map kinase in invasive ductal breast cancers: Correlation with expression of the estrogen receptor, her2 and downstream signaling phosphorylated proteins. Oncol. Rep. 2013, 30, 1943–1948. [Google Scholar] [CrossRef] [PubMed]
- Gutierrez, M.C.; Detre, S.; Johnston, S.; Mohsin, S.K.; Shou, J.; Allred, D.C.; Schiff, R.; Osborne, C.K.; Dowsett, M. Molecular changes in tamoxifen-resistant breast cancer: Relationship between estrogen receptor, her-2, and p38 mitogen-activated protein kinase. J. Clin. Oncol. 2005, 23, 2469–2476. [Google Scholar] [CrossRef]
- Tang, L.; Han, X. The urokinase plasminogen activator system in breast cancer invasion and metastasis. Biomed. Pharmacother. 2013, 67, 179–182. [Google Scholar] [CrossRef]
- Xiao, X.; Yang, G.; Bai, P.; Gui, S.; Nyuyen, T.M.B.; Mercado-Uribe, I.; Yang, M.; Zou, J.; Li, Q.; Xiao, J.; et al. Inhibition of nuclear factor-kappa b enhances the tumor growth of ovarian cancer cell line derived from a low-grade papillary serous carcinoma in p53-independent pathway. BMC Cancer 2016, 16, 582. [Google Scholar] [CrossRef]
- Bhoopathi, P.; Chetty, C.; Kunigal, S.; Vanamala, S.K.; Rao, J.S.; Lakka, S.S. Blockade of tumor growth due to matrix metalloproteinase-9 inhibition is mediated by sequential activation of beta1-integrin, erk, and nf-kappab. J. Biol. Chem. 2008, 283, 1545–1552. [Google Scholar] [CrossRef]
- Régnier, C.H.; Song, H.Y.; Gao, X.; Goeddel, D.V.; Cao, Z.; Rothe, M. Identification and characterization of an ikappab kinase. Cell 1997, 90, 373–383. [Google Scholar] [CrossRef]
- Rangaswami, H.; Bulbule, A.; Kundu, G.C. Nuclear factor-inducing kinase plays a crucial role in osteopontin-induced mapk/ikappabα kinase-dependent nuclear factor kappab-mediated promatrix metalloproteinase-9 activation. J. Biol. Chem. 2004, 279, 38921–38935. [Google Scholar] [CrossRef]
- Uberti, D.; Grilli, M.; Memo, M. Contribution of nf-kappab and p53 in the glutamate-induced apoptosis. Int. J. Dev. Neurosci. 2000, 18, 447–454. [Google Scholar] [CrossRef]
- Dajee, M.; Lazarov, M.; Zhang, J.Y.; Cai, T.; Green, C.L.; Russell, A.J.; Marinkovich, M.P.; Tao, S.; Lin, Q.; Kubo, Y.; et al. NF-kappab blockade and oncogenic ras trigger invasive human epidermal neoplasia. Nature 2003, 421, 639–643. [Google Scholar] [CrossRef]
- van Hogerlinden, M.; Auer, G.; Toftgård, R. Inhibition of rel/nuclear factor-kappab signaling in skin results in defective DNA damage-induced cell cycle arrest and Ha-ras- and p53-independent tumor development. Oncogene 2002, 21, 4969–4977. [Google Scholar] [CrossRef] [PubMed][Green Version]
- Maeda, S.; Kamata, H.; Luo, J.-L.; Leffert, H.; Karin, M. IKKβ couples hepatocyte death to cytokine-driven compensatory proliferation that promotes chemical hepatocarcinogenesis. Cell 2005, 121, 977–990. [Google Scholar] [CrossRef] [PubMed]
- Dumont, A.; Hehner, S.P.; Hofmann, T.G.; Ueffing, M.; Dröge, W.; Schmitz, M.L. Hydrogen peroxide-induced apoptosis is cd95-independent, requires the release of mitochondria-derived reactive oxygen species and the activation of nf-kappab. Oncogene 1999, 18, 747–757. [Google Scholar] [CrossRef] [PubMed]
- Kimura, K.; Gelmann, E.P. Propapoptotic effects of nf-kappab in lncap prostate cancer cells lead to serine protease activation. Cell Death Differ. 2002, 9, 972–980. [Google Scholar] [CrossRef][Green Version]
- Liu, F.; Bardhan, K.; Yang, D.; Thangaraju, M.; Ganapathy, V.; Waller, J.L.; Liles, G.B.; Lee, J.R.; Liu, K. NF-kappab directly regulates fas transcription to modulate fas-mediated apoptosis and tumor suppression. J. Biol. Chem. 2012, 287, 25530–25540. [Google Scholar] [CrossRef]
- Fujioka, S.; Schmidt, C.; Sclabas, G.M.; Li, Z.; Pelicano, H.; Peng, B.; Yao, A.; Niu, J.; Zhang, W.; Evans, D.B.; et al. Stabilization of p53 is a novel mechanism for proapoptotic function of nf-kappab. J. Biol. Chem. 2004, 279, 27549–27559. [Google Scholar] [CrossRef]
- Kaltschmidt, B.; Kaltschmidt, C.; Hofmann, T.G.; Hehner, S.P.; Dröge, W.; Schmitz, M.L. The pro- or anti-apoptotic function of nf-kappab is determined by the nature of the apoptotic stimulus. Eur. J. Biochem. 2000, 267, 3828–3835. [Google Scholar] [CrossRef]
- Kumar, R.; Yarmand-Bagheri, R. The role of her2 in angiogenesis. Semin. Oncol. 2001, 28, 27–32. [Google Scholar] [CrossRef]
- Jones, W.P.; Kinghorn, A.D. Extraction of plant secondary metabolites. Methods Mol. Biol. 2012, 864, 341–366. [Google Scholar] [CrossRef]
- Hassan, A.F.; Hussein, O.; Al-Barazenji, T.; Allouch, A.; Kamareddine, L.; Malki, A.; Al Moustafa, A.; Khalil, A. The effect of novel nitrogen-based chalcone analogs on colorectal cancer cells: Insight into the molecular pathways. Heliyon 2024, 10, e27002. [Google Scholar] [CrossRef]
- Kheraldine, H.; Hassan, A.F.; Alhussain, H.; Al-Thawadi, H.; Vranic, S.; Al Moustafa, A.-E. Effects of neratinib on angiogenesis and the early stage of the embryo using chicken embryo as a model. Biomol. Biomed. 2024, 24, 575–581. [Google Scholar] [CrossRef]















Disclaimer/Publisher’s Note: The statements, opinions and data contained in all publications are solely those of the individual author(s) and contributor(s) and not of MDPI and/or the editor(s). MDPI and/or the editor(s) disclaim responsibility for any injury to people or property resulting from any ideas, methods, instructions or products referred to in the content. |
© 2025 by the authors. Licensee MDPI, Basel, Switzerland. This article is an open access article distributed under the terms and conditions of the Creative Commons Attribution (CC BY) license (https://creativecommons.org/licenses/by/4.0/).
Share and Cite
Saeed, S.; Hassan, A.F.; Suliman, A.; Moustafa, A.-E.A.; Alali, F. Methanolic Leaves Extract of Ziziphus spina-christi Inhibits Cell Proliferation and Migration of HER2-Positive Breast Cancer via p38 MAPK Signaling Pathway. Int. J. Mol. Sci. 2025, 26, 654. https://doi.org/10.3390/ijms26020654
Saeed S, Hassan AF, Suliman A, Moustafa A-EA, Alali F. Methanolic Leaves Extract of Ziziphus spina-christi Inhibits Cell Proliferation and Migration of HER2-Positive Breast Cancer via p38 MAPK Signaling Pathway. International Journal of Molecular Sciences. 2025; 26(2):654. https://doi.org/10.3390/ijms26020654
Chicago/Turabian StyleSaeed, Sumayyah, Arij Fouzat Hassan, Azza Suliman, Ala-Eddin Al Moustafa, and Feras Alali. 2025. "Methanolic Leaves Extract of Ziziphus spina-christi Inhibits Cell Proliferation and Migration of HER2-Positive Breast Cancer via p38 MAPK Signaling Pathway" International Journal of Molecular Sciences 26, no. 2: 654. https://doi.org/10.3390/ijms26020654
APA StyleSaeed, S., Hassan, A. F., Suliman, A., Moustafa, A.-E. A., & Alali, F. (2025). Methanolic Leaves Extract of Ziziphus spina-christi Inhibits Cell Proliferation and Migration of HER2-Positive Breast Cancer via p38 MAPK Signaling Pathway. International Journal of Molecular Sciences, 26(2), 654. https://doi.org/10.3390/ijms26020654

