Detection and Clinical Associations of Autoantibodies to Heterogeneous Nuclear Ribonucleoprotein (hnRNP) A2/B1 in Patients with Systemic Sclerosis
Abstract
1. Introduction
2. Results
2.1. Patients’ Characteristics
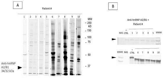
2.2. Detection of Autoantibodies Towards hnRNP Antigens
2.3. Characteristics of SSc Patients with Anti-hnRNP A2/B1
3. Discussion
4. Materials and Methods
4.1. Patients, Sera, and Study Procedures
4.2. Autoantibody Detection by Indirect Immunofluorescence (IFI), Protein-IP, and IP-Western Blot (WB)
4.3. Statistical Analysis
5. Conclusions
Author Contributions
Funding
Institutional Review Board Statement
Informed Consent Statement
Conflicts of Interest
References
- van den Hoogen, F.; Khanna, D.; Fransen, J.; Johnson, S.R.; Baron, M.; Tyndall, A.; Matucci-Cerinic, M.; Naden, R.P.; Medsger, T.A.; Carreira, P.E.; et al. 2013 classification criteria for systemic sclerosis: An American college of rheumatology/European league against rheumatism collaborative initiative. Ann. Rheum. Dis. 2013, 72, 1747–1755. [Google Scholar] [CrossRef]
- Cavazzana, I.; Vojinovic, T.; Airo’, P.; Fredi, M.; Ceribelli, A.; Pedretti, E.; Lazzaroni, M.G.; Garrafa, E.; Franceschini, F. Systemic Sclerosis-Specific Antibodies: Novel and Classical Biomarkers. Clin. Rev. Allergy Immunol. 2022, 64, 412–430. [Google Scholar] [CrossRef]
- Igusa, T.; Hummers, L.K.; Visvanathan, K.; Richardson, C.; Wigley, F.M.; Casciola-Rosen, L.; Rosen, A.; Shah, A.A. Autoantibodies and scleroderma phenotype define subgroups at high-risk and low-risk for cancer. Ann. Rheum. Dis. 2018, 77, 1179–1186. [Google Scholar] [CrossRef]
- Tonutti, A.; Motta, F.; Isailovic, N.; Ceribelli, A.; Ragusa, R.; Nappi, E.; Bonovas, S.; Selmi, C.; De Santis, M. Autoantibodies, cutaneous subset and immunosuppressants contribute to the cancer risk in systemic sclerosis. RMD Open 2024, 10, e004492. [Google Scholar] [CrossRef] [PubMed]
- Ceribelli, A.; Cavazzana, I.; Franceschini, F.; Airò, P.; Tincani, A.; Cattaneo, R.; Pauley, B.A.; Chan, E.K.L.; Satoh, M. Anti-Th/To are common antinucleolar autoantibodies in Italian patients with scleroderma. J. Rheumatol. 2010, 37, 2071–2075. [Google Scholar] [CrossRef]
- Satoh, M.; Ceribelli, A.; Hasegawa, T.; Tanaka, S. Clinical Significance of Antinucleolar Antibodies: Biomarkers for Autoimmune Diseases, Malignancies, and others. Clin. Rev. Allergy Immunol. 2022, 63, 210–239. [Google Scholar] [CrossRef] [PubMed]
- Lazzaroni, M.-G.; Marasco, E.; Campochiaro, C.; DeVries-Bouwstra, J.; Gonzalez-Perez, M.-I.; Rojas-Serrano, J.; Hachulla, E.; Zanatta, E.; Barsotti, S.; Furini, F.; et al. The clinical phenotype of systemic sclerosis patients with anti-PM/Scl antibodies: Results from the EUSTAR cohort. Rheumatology 2021, 60, 5028–5041. [Google Scholar] [CrossRef]
- Carbonell, C.; Marcos, M.; Guillén-Del-Castillo, A.; Rubio-Rivas, M.; Argibay, A.; Marín-Ballvé, A.; Rodríguez-Pintó, I.; Baldà-Masmiquel, M.; Callejas-Moraga, E.; Colunga, D.; et al. Standardized incidence ratios and risk factors for cancer in patients with systemic sclerosis: Data from the Spanish Scleroderma Registry (RESCLE). Autoimmun. Rev. 2022, 21, 103167. [Google Scholar] [CrossRef]
- Denton, C.P.; Khanna, D. Systemic sclerosis. Lancet 2017, 390, 1685–1699. [Google Scholar] [CrossRef] [PubMed]
- Volkmann, E.R.; Andréasson, K.; Smith, V. Systemic sclerosis. Lancet 2022, 401, 304–318. [Google Scholar] [CrossRef]
- De Santis, M.; Tonutti, A.; Motta, F.; Rodolfi, S.; Isailovic, N.; Selmi, C. Serum autoantibodies and the risk of cancer in systemic sclerosis over time. Arthritis Rheumatol. 2024, 76, 314–315. [Google Scholar] [CrossRef]
- Lazzaroni, M.-G.; Cavazzana, I.; Colombo, E.; Dobrota, R.; Hernandez, J.; Hesselstrand, R.; Varju, C.; Nagy, G.; Smith, V.; Caramaschi, P.; et al. Malignancies in Patients with Anti-RNA Polymerase III Antibodies and Systemic Sclerosis: Analysis of the EULAR Scleroderma Trials and Research Cohort and Possible Recommendations for Screening. J. Rheumatol. 2017, 44, 639–647. [Google Scholar] [CrossRef]
- Caporali, R.; Bugatti, S.; Bruschi, E.; Cavagna, L.; Montecucco, C. Autoantibodies to heterogeneous nuclear ribonucleoproteins. Autoimmunity 2005, 38, 25–32. [Google Scholar] [CrossRef]
- Dangli, A.; Guialis, A.; Vretou, E.; Sekeris, C.E. Autoantibodies to the core proteins of hnRNPs. FEBS Lett. 1988, 231, 118–124. [Google Scholar] [CrossRef] [PubMed]
- Schett, G.; Dumortier, H.; Hoefler, E.; Muller, S.; Steiner, G. B cell epitopes of the heterogeneous nuclear ribonucleoprotein A2: Identification of a new specific antibody marker for active lupus disease. Ann. Rheum. Dis. 2009, 68, 729–735. [Google Scholar] [CrossRef] [PubMed]
- Maslyanskiy, A.; Lazareva, N.; Olinek, P.; Schierack, P.; Hentschel, C.; Cuccato, J.; Bogdanos, D.P.; Lapin, S.V.; Roggenbuck, D. Anti-hnRNP B1 (RA33) autoantibodies are associated with the clinical phenotype in Russian patients with rheumatoid arthritis and systemic sclerosis. J. Immunol. Res. 2014, 2014, 516593. [Google Scholar] [CrossRef]
- Generini, S.; Steiner, G.; Miniati, I.; Conforti, M.L.; Guiducci, S.; Skriner, K.; Kaloudi, O.; Giacomelli, R.; Smolen, J.; Matucci-Cerinic, M. Anti-hnRNP and other autoantibodies in systemic sclerosis with joint involvement. Rheumatology 2009, 48, 920–925. [Google Scholar] [CrossRef] [PubMed][Green Version]
- Konig, M.F.; Giles, J.T.; Nigrovic, P.A.; Andrade, F. Antibodies to native and citrullinated RA33 (hnRNP A2/B1) challenge citrullination as the inciting principle underlying loss of tolerance in rheumatoid arthritis. Ann. Rheum. Dis. 2016, 75, 2022–2028. [Google Scholar] [CrossRef]
- Montecucco, C.; Caporali, R.; Cobianchi, F.; Biamonti, G. Identification of autoantibodies to the I protein of the heterogeneous nuclear ribonucleoprotein complex in patients with systemic sclerosis. Arthritis Rheum. 1996, 39, 1669–1676. [Google Scholar] [CrossRef]
- Mahler, M.; Fritzler, M.J. Detection of myositis-specific antibodies: Additional notes. Ann. Rheum. Dis. 2019, 78, e45. [Google Scholar] [CrossRef]
- Vulsteke, J.-B.; Smith, V.; Bonroy, C.; Lenaerts, J.L.; Derua, R.; Wuyts, W.A.; Blockmans, D.; De Haes, P.; Piette, Y.; De Langhe, E.; et al. Autoantibodies against the NineTeen complex and U5 RNP in systemic sclerosis. J. Autoimmun. 2023, 139, 103056. [Google Scholar] [CrossRef]
- Chevalier, K.; Chassagnon, G.; Leonard-Louis, S.; Cohen, P.; Dunogue, B.; Regent, A.; Thoreau, B.; Mouthon, L.; Chaigne, B. Anti-U1RNP antibodies are associated with a distinct clinical phenotype and a worse survival in patients with systemic sclerosis. J. Autoimmun. 2024, 146, 103220. [Google Scholar] [CrossRef]
- Mayeda, A.; Krainer, A.R. Regulation of alternative pre-mRNA splicing by hnRNP A1 and splicing factor SF2. Cell 1992, 68, 365–375. [Google Scholar] [CrossRef]
- Xie, S.; Bao, D.; Xiao, Y.; Li, H.; Guo, M.; Dai, B.; Liu, S.; Huang, J.; Li, M.; Ding, L.; et al. Alternative splicing and intron retention: Their profiles and roles in cutaneous fibrosis of systemic sclerosis. J. Autoimmun. 2024, 149, 103306. [Google Scholar] [CrossRef] [PubMed]
- Hassfeld, W.; Steiner, G.; Studnicka-Benke, A.; Skriner, K.; Graninger, W.; Fischer, I.; Smolen, J.S. Autoimmune response to the spliceosome. An immunologic link between rheumatoid arthritis, mixed connective tissue disease, and systemic lupus erythematosus. Arthritis Rheum. 1995, 38, 777–785. [Google Scholar] [CrossRef] [PubMed]
- Zhou, X.; Li, Q.; He, J.; Zhong, L.; Shu, F.; Xing, R.; Lv, D.; Lei, B.; Wan, B.; Yang, Y.; et al. HnRNP-L promotes prostate cancer progression by enhancing cell cycling and inhibiting apoptosis. Oncotarget 2017, 8, 19342–19353. [Google Scholar] [CrossRef]
- Gu, J.; Chen, Z.; Chen, X.; Wang, Z. Heterogeneous nuclear ribonucleoprotein (hnRNPL) in cancer. Clin. Chim. Acta 2020, 507, 286–294. [Google Scholar] [CrossRef]
- Yoneyama, K.; Kojima, S.; Kodani, Y.; Yamaguchi, N.; Igarashi, A.; Kurose, K.; Kawase, R.; Takeshita, T.; Hattori, S.; Nagata, K. Proteomic identification of autoantibodies in sera from patients with ovarian cancer as possible diagnostic biomarkers. Anticancer Res. 2015, 35, 881–889. [Google Scholar] [PubMed]
- Hansell, D.M.; Bankier, A.A.; MacMahon, H.; McLoud, T.C.; Müller, N.L.; Remy, J. Fleischner Society: Glossary of terms for thoracic imaging. Radiology 2008, 246, 697–722. [Google Scholar] [CrossRef]
- Humbert, M.; Kovacs, G.; Hoeper, M.M.; Badagliacca, R.; Berger, R.M.F.; Brida, M.; Carlsen, J.; Coats, A.J.S.; Escribano-Subias, P.; Ferrari, P.; et al. 2022 ESC/ERS Guidelines for the diagnosis and treatment of pulmonary hypertension: Developed by the task force for the diagnosis and treatment of pulmonary hypertension of the European Society of Cardiology (ESC) and the European Respiratory Society (ERS). Endorsed by the International Society for Heart and Lung Transplantation (ISHLT) and the European Reference Network on rare respiratory diseases (ERN-LUNG). Eur. Heart J. 2022, 43, 3618–3731, Erratum in Eur. Heart J. 2023, 44, 1312. [Google Scholar] [CrossRef]
- Bruni, C.; Buch, M.H.; Djokovic, A.; De Luca, G.; Dumitru, R.B.; Giollo, A.; Galetti, I.; Steelandt, A.; Bratis, K.; Suliman, Y.A.; et al. Consensus on the assessment of systemic sclerosis-associated primary heart involvement: World Scleroderma Foundation/Heart Failure Association guidance on screening, diagnosis, and follow-up assessment. J. Scleroderma Relat. Disord. 2023, 8, 169–182. [Google Scholar] [CrossRef] [PubMed]
- Available online: https://anapatterns.org (accessed on 10 August 2025).
- Yamasaki, Y.; Narain, S.; Yoshida, H.; Hernandez, L.; Barker, T.; Hahn, P.C.; Sobel, E.S.; Segal, M.S.; Richards, H.B.; Chan, E.K.L.; et al. Autoantibodies to RNA helicase A: A new serologic marker of early lupus. Arthritis Rheum. 2007, 56, 596–604. [Google Scholar] [CrossRef] [PubMed]

| Overall | ACA+ | lcSSc | ||||||||
|---|---|---|---|---|---|---|---|---|---|---|
| Overall (25) | hnRNP A2/B1+ (10) | hnRNP A2/B1− (15) | p | hnRNP A2/B1+ (6) | hnRNP A2/B1− (9) | p | hnRNP A2/B1+ (7) | hnRNP A2/B1− (14) | p | |
| Age at onset | 53 (14) | 58 (10) | 50 (15) | 0.118 | 56 (11) | 47 (16) | 0.209 | 560 (10.61) | 500 (15.10) | 0.307 |
| Duration | 16 (10) | 16.5 (9.5) | 15 (9) | 0.779 | 16 (10.5) | 19 (8.5) | 0.630 | 19.29 (9.79) | 167 (9.38) | 0.486 |
| Sex | 4 (16) | 3 (30) | 1 (7) | 0.267 | 1 (17) | 0 (0) | 0.400 | 0 (0) | 1 (7) | 1.000 |
| Smoke | 8 (32) | 2 (20) | 6 (40) | 0.402 | 1 (17) | 2 (22) | 1.000 | 0 (0) | 5 (36) | 0.124 |
| Cancer | 4 (16) | 0 (0) | 4 (27) | 0.125 | 0 (0) | 2 (22) | 0.486 | 0 (0) | 4 (29) | 0.255 |
| Alive | 20 (80) | 7 (70) | 13 (87) | 0.358 | 5 (83) | 7 (78) | 1.000 | 6 (86) | 12 (86) | 1.000 |
| dcSSc | 4 (16) | 3 (30) | 1 (7) | 0.267 | 1 (17) | 0 (0) | 0.400 | 0 (0) | 0 (0) | 1.000 |
| mRSS | 4 (2–8) | 6 (3–11) | 3 (2–8) | 0.186 | 4 (2–6) | 3 (2–6) | 0.669 | 4 (2.5–7.5) | 3 (2–6.8) | 0.423 |
| ILD | 5 (20) | 1 (10) | 4 (27) | 0.615 | 0 (0) | 1 (11) | 1.000 | 0 (0) | 3 (21) | 0.521 |
| pHI | 5 (20) | 3 (30) | 2 (13) | 0.358 | 1 (17) | 1 (11) | 1.000 | 2 (29) | 1 (7) | 0.247 |
| RHC-PAH | 2 (8) | 1 (10) | 1 (7) | 1.000 | 1 (17) | 1 (11) | 1.000 | 1 (14) | 1 (7) | 1.000 |
| GI involvement | 12 (48) | 8 (80) | 4 (27) | 0.015 * | 6 (100) | 3 (33) | 0.028 * | 6 (86) | 3 (21) | 0.016 * |
| Arthritis | 5 (20) | 2 (20) | 3 (20) | 1.000 | 0 (0) | 1 (11) | 1.000 | 1 (14) | 2 (14) | 1.000 |
| SRC | 0 (0) | 0 (0) | 0 (0) | 0.317 | 0 (0) | 0 (0) | 0.439 | 0 (0) | 0 (0) | 0.127 |
| Digital ulcers | 11 (44) | 4 (40) | 7 (47) | 1.000 | 3 (50) | 6 (67) | 0.622 | 3 (43) | 6 (43) | 1.000 |
| Telangiectasias | 15 (60) | 5 (50) | 10 (67) | 0.677 | 4 (67) | 7 (78) | 1.000 | 5 (71) | 10 (71) | 1.000 |
| Calcinosis | 7 (28) | 2 (20) | 5 (33) | 0.659 | 1 (17) | 5 (56) | 0.287 | 2 (29) | 5 (36) | 1.000 |
| Myositis | 0 (0) | 0 (0) | 0 (0) | 0.317 | 0 (0) | 0 (0) | 0.439 | 0 (0) | 0 (0) | 0.127 |
| ACA | 15 (60) | 6 (60) | 9 (60) | 1.000 | 6 (100) | 9 (100) | 1.000 | 5 (71) | 9 (64) | 1.000 |
| anti-TOPO1 | 4 (16) | 2 (20) | 2 (13) | 1.000 | 0 (0) | 0 (0) | 1.000 | 1 (14) | 1 (7) | 1.000 |
| anti-POLR3 | 3 (12) | 1 (10) | 2 (13) | 1.000 | 0 (0) | 2 (22) | 0.486 | 0 (0) | 2 (14) | 0.533 |
| anti-SSA | 5 (20) | 2 (20) | 3 (20) | 1.000 | 1 (17) | 1 (11) | 1.000 | 1 (14) | 2 (14) | 1.000 |
| anti-nucleolar | 5 (25) | 0 (0) | 5 (33) | 0.061 | 0 (0) | 0 (0) | 0.439 | 0 (0) | 4 (29) | 0.255 |
Disclaimer/Publisher’s Note: The statements, opinions and data contained in all publications are solely those of the individual author(s) and contributor(s) and not of MDPI and/or the editor(s). MDPI and/or the editor(s) disclaim responsibility for any injury to people or property resulting from any ideas, methods, instructions or products referred to in the content. |
© 2025 by the authors. Licensee MDPI, Basel, Switzerland. This article is an open access article distributed under the terms and conditions of the Creative Commons Attribution (CC BY) license (https://creativecommons.org/licenses/by/4.0/).
Share and Cite
Tonutti, A.; Isailovic, N.; Frischknecht, L.; Motta, F.; Satoh, M.; Selmi, C.; De Santis, M.; Ceribelli, A. Detection and Clinical Associations of Autoantibodies to Heterogeneous Nuclear Ribonucleoprotein (hnRNP) A2/B1 in Patients with Systemic Sclerosis. Int. J. Mol. Sci. 2025, 26, 8892. https://doi.org/10.3390/ijms26188892
Tonutti A, Isailovic N, Frischknecht L, Motta F, Satoh M, Selmi C, De Santis M, Ceribelli A. Detection and Clinical Associations of Autoantibodies to Heterogeneous Nuclear Ribonucleoprotein (hnRNP) A2/B1 in Patients with Systemic Sclerosis. International Journal of Molecular Sciences. 2025; 26(18):8892. https://doi.org/10.3390/ijms26188892
Chicago/Turabian StyleTonutti, Antonio, Natasa Isailovic, Lukas Frischknecht, Francesca Motta, Minoru Satoh, Carlo Selmi, Maria De Santis, and Angela Ceribelli. 2025. "Detection and Clinical Associations of Autoantibodies to Heterogeneous Nuclear Ribonucleoprotein (hnRNP) A2/B1 in Patients with Systemic Sclerosis" International Journal of Molecular Sciences 26, no. 18: 8892. https://doi.org/10.3390/ijms26188892
APA StyleTonutti, A., Isailovic, N., Frischknecht, L., Motta, F., Satoh, M., Selmi, C., De Santis, M., & Ceribelli, A. (2025). Detection and Clinical Associations of Autoantibodies to Heterogeneous Nuclear Ribonucleoprotein (hnRNP) A2/B1 in Patients with Systemic Sclerosis. International Journal of Molecular Sciences, 26(18), 8892. https://doi.org/10.3390/ijms26188892

