Histiocytic Sarcoma: A Review and Update
Abstract
1. Introduction
2. Clinical Features and Prognosis
3. Imaging Features
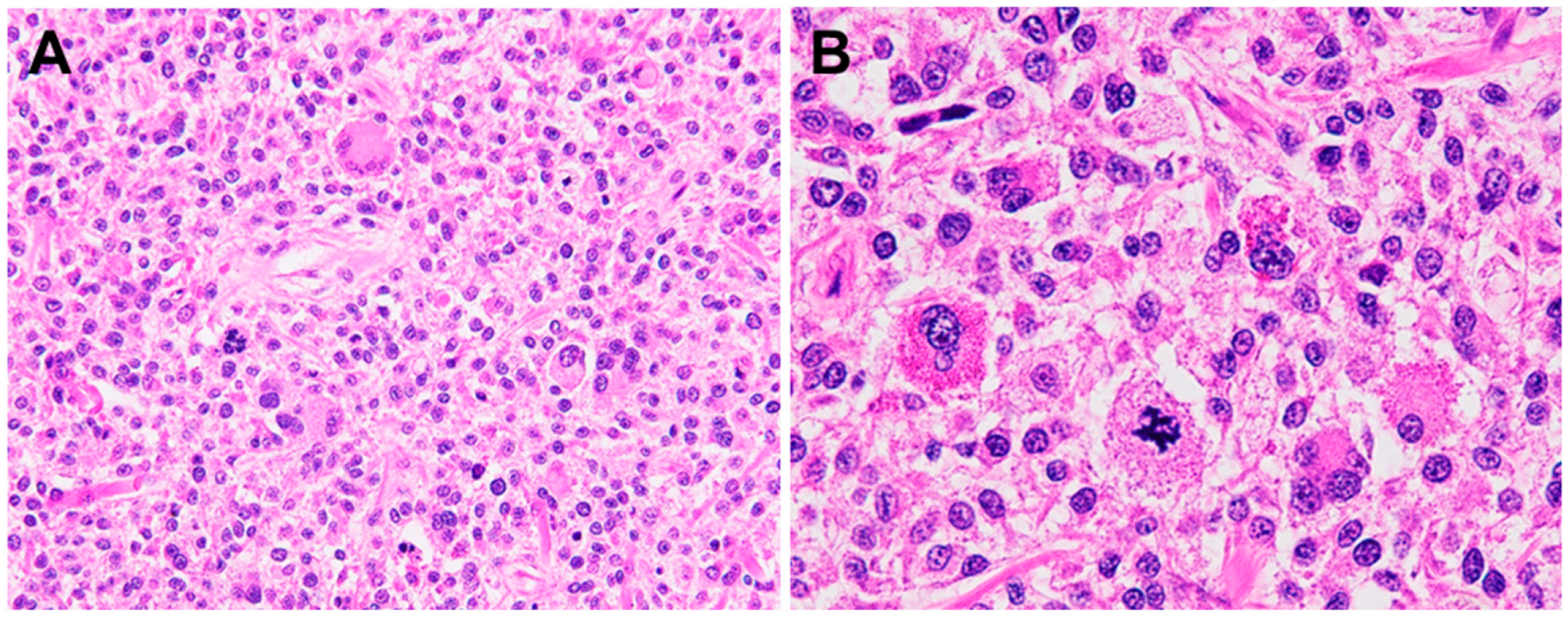
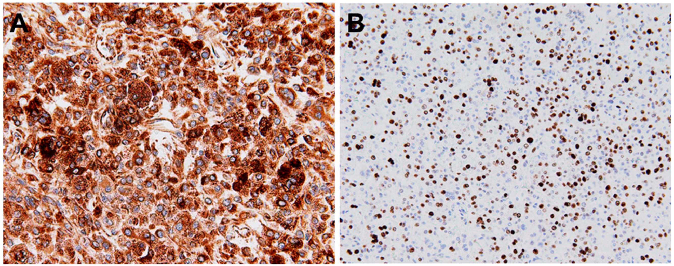
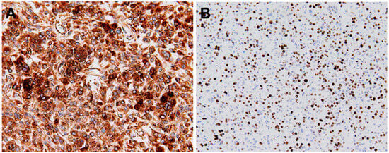
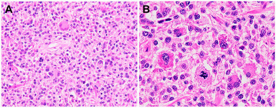
4. Histopathological and Immunohistochemical Features
5. Pathogenesis
6. Management
6.1. Unifocal/Localized Disease
6.2. Multifocal/Disseminated Disease
| Treatment Modalities | Agents | Reference |
|---|---|---|
| Chemotherapy | CHOP (first-line treatment) | [51,52,53,54,55,56,57,58,59] |
| ICE | [60,61,62] | |
| ABVD | [51] | |
| CLAG-M | [62] | |
| Temozolomide | [65] | |
| Targeted Therapy | Vemurafenib (BRAF inhibitor) | [67,68] |
| Dabrafenib (BRAF inhibitor) | [69,70,71] | |
| Trametinib (MEK1/2 inhibitor) | [69,70,71,72,73,74,75] | |
| Cobimetinib (MEK1/2 inhibitor) | [23] | |
| Sirolimus (mTOR inhibitor) | [70,79] | |
| Alemtuzumab (humanized anti-CD52 monoclonal antibody) | [81,82] | |
| Thalidomide (antiangiogenic and immunomodulatory properties) | [85,86,87,88,89,90] | |
| Nivolumab (PD-1 inhibitor) | [98,99,100,101] | |
| Pembrolizumab (PD-1 inhibitor) | [94,101,102,103] |
7. Conclusions and Future Directions
Author Contributions
Funding
Data Availability Statement
Conflicts of Interest
References
- Takahashi, E.; Hung, Y.P. Histiocytic sarcoma. In World Health Organization (WHO) Classification of Haematolymphoid Tumours, 5th ed.; International Agency for Research on Cancer (IARC): Lyon, France, 2024; pp. 255–257. [Google Scholar]
- Kommalapati, A.; Tella, S.H.; Durkin, M.; Go, R.S.; Goyal, G. Histiocytic sarcoma: A population-based analysis of incidence, demographic disparities, and long-term outcomes. Blood 2018, 131, 265–268. [Google Scholar] [CrossRef] [PubMed]
- Takahashi, E.; Nakamura, S. Histiocytic Sarcoma: An updated literature review based on the 2008 WHO classification. J. Clin. Exp. Hematop. 2013, 53, 1–8. [Google Scholar] [CrossRef] [PubMed]
- Kommalapati, A.; Tella, S.H.; Go, R.S.; Goyal, G. Predictors of survival, treatment patterns, and outcomes in histiocytic sarcoma. Leuk. Lymphoma 2019, 60, 553–555. [Google Scholar] [CrossRef]
- Hornick, J.L.; Jaffe, E.S.; Fletcher, C.D. Extranodal histiocytic sarcoma: Clinicopathologic analysis of 14 cases of a rare epithelioid malignancy. Am. J. Surg. Pathol. 2004, 28, 1133–1144. [Google Scholar] [CrossRef]
- Ansari, J.; Naqash, A.R.; Munker, R.; El-Osta, H.; Master, S.; Cotelingam, J.D.; Griffiths, E.; Greer, A.H.; Yin, H.; Peddi, P.; et al. Histiocytic sarcoma as a secondary malignancy: Pathology, diagnosis, and treatment. Eur. J. Haematol. 2016, 97, 9–16. [Google Scholar] [CrossRef]
- Ladanyi, M.; Roy, I. Mediastinal germ cell tumors and histiocytosis. Hum. Pathol. 1988, 19, 586–590. [Google Scholar] [CrossRef]
- Song, S.Y.; Ko, Y.H.; Ahn, G. Mediastinal germ cell tumor associated with histiocytic sarcoma of the spleen: Case report of an unusual association. Int. J. Surg. Pathol. 2005, 13, 299–303. [Google Scholar] [CrossRef] [PubMed]
- Broadwater, D.R.; Conant, J.L.; Czuchlewski, D.R.; Hall, J.M.; Wei, S.; Siegal, G.P.; Peker, D. Clinicopathologic features and clinical outcome differences in de novo versus secondary histiocytic sarcomas: A multi-institutional experience and review of the literature. Clin. Lymphoma Myeloma Leuk. 2018, 18, e427–e435. [Google Scholar] [CrossRef]
- Shimono, J.; Miyoshi, H.; Arakawa, F.; Sato, K.; Furuta, T.; Muto, R.; Yanagida, E.; Sasaki, Y.; Kurita, D.; Kawamoto, K.; et al. Prognostic factors for histiocytic and dendritic cell neoplasms. Oncotarget 2017, 8, 98723–98732. [Google Scholar] [CrossRef]
- Huynh, K.N.; Nguyen, B.D. Histiocytosis and neoplasms of macrophage-dendritic cell lineages: Multimodality imaging with emphasis on PET/CT. Radiographics 2021, 41, 576–594. [Google Scholar] [CrossRef]
- Bang, S.; Kim, Y.; Chung, M.S.; Park, J.S.; Choi, Y.Y.; Shin, S.J. Primary histiocytic sarcoma presenting as a breast mass: A case report. J. Breast Cancer 2019, 22, 491–496. [Google Scholar] [CrossRef]
- Khil, E.K.; Cha, J.G.; Yoon, Y.S.; Kim, H.K. Histiocytic sarcoma mimicking localized tenosynovial giant cell tumor in the pediatric foot: A rare case report with MRI findings. Radiol. Case Rep. 2024, 19, 1149–1153. [Google Scholar] [CrossRef] [PubMed]
- Saboo, S.S.; Krajewski, K.M.; Shinagare, A.B.; Jagannathan, J.P.; Hornick, J.L.; Ramaiya, N. Imaging features of primary extranodal histiocytic sarcoma: Report of two cases and a review of the literature. Cancer Imaging 2012, 12, 253–258. [Google Scholar] [CrossRef] [PubMed]
- Makis, W.; Ciarallo, A.; Derbekyan, V.; Lisbona, R. Histiocytic sarcoma involving lymph nodes: Imaging appearance on gallium-67 and F-18 FDG PET/CT. Clin. Nucl. Med. 2011, 36, e37–e38. [Google Scholar] [CrossRef] [PubMed]
- Dong, A.; Wang, Y.; Cui, Y.; Zuo, C. Enhanced CT and FDG PET/CT in histiocytic sarcoma of the pericardium. Clin. Nucl. Med. 2016, 41, 326–327. [Google Scholar] [CrossRef]
- Gan, M.; He, X.; Zheng, X. FDG PET/CT imaging of liver and spleen histiocytic sarcoma. Clin. Nucl. Med. 2024, 49, 272–273. [Google Scholar] [CrossRef]
- Patwardhan, P.P.; Bailey, N.G.; Monaghan, S.A.; Singhi, A.D.; Aggarwal, N.; Djokic, M.; Moore, E.M.; Rea, B. IRF8 demonstrates positivity in a significant subset of histiocytic and dendritic cell neoplasms. Am. J. Surg. Pathol. 2025, 49, 98–103. [Google Scholar] [CrossRef]
- Sullivan, L.M.; Folpe, A.L.; Pawel, B.R.; Judkins, A.R.; Biegel, J.A. Epithelioid sarcoma is associated with a high percentage of SMARCB1 deletions. Mod. Pathol. 2013, 26, 385–392. [Google Scholar] [CrossRef]
- Cannatella, J.; Ganapathi, K.; Horvai, A. Hematolymphoid neoplasms rarely mimic undifferentiated pleomorphic sarcoma of soft tissue. Arch. Pathol. Lab. Med. 2020, 144, 1547–1552. [Google Scholar] [CrossRef]
- Alexiev, B.A.; Sailey, C.J.; McClure, S.A.; Ord, R.A.; Zhao, X.F.; Papadimitriou, J.C. Primary histiocytic sarcoma arising in the head and neck with predominant spindle cell component. Diagn. Pathol. 2007, 2, 7. [Google Scholar] [CrossRef]
- Alonso-Dominguez, J.M.; Calbacho, M.; Talavera, M.; Villalon, C.; Abalo, L.; Garcia-Gutierrez, J.V.; Lozano, S.; Tenorio, M.; Villarrubia, J.; Lopez-Jimenez, J.; et al. Cytogenetics findings in a histiocytic sarcoma case. Case Rep. Hematol. 2012, 2012, 428279. [Google Scholar] [CrossRef][Green Version]
- Shanmugam, V.; Griffin, G.K.; Jacobsen, E.D.; Fletcher, C.D.M.; Sholl, L.M.; Hornick, J.L. Identification of diverse activating mutations of the RAS-MAPK pathway in histiocytic sarcoma. Mod. Pathol. 2019, 32, 830–843. [Google Scholar] [CrossRef]
- Massoth, L.R.; Hung, Y.P.; Ferry, J.A.; Hasserjian, R.P.; Nardi, V.; Nielsen, G.P.; Sadigh, S.; Venkataraman, V.; Selig, M.; Friedmann, A.M.; et al. Histiocytic and dendritic cell sarcomas of hematopoietic origin share targetable genomic alterations distinct from follicular dendritic cell sarcoma. Oncologist 2021, 26, e1263–e1272. [Google Scholar] [CrossRef]
- Egan, C.; Nicolae, A.; Lack, J.; Chung, H.-J.; Skarshaug, S.; Pham, T.A.; Navarro, W.; Abdullaev, Z.; Aguilera, N.S.; Xi, L.; et al. Genomic profiling of primary histiocytic sarcoma reveals two molecular subgroups. Haematologica 2020, 105, 951–960. [Google Scholar] [CrossRef]
- Egan, C.; Lack, J.; Skarshaug, S.; Pham, T.A.; Abdullaev, Z.; Xi, L.; Pack, S.; Pittaluga, S.; Jaffe, E.S.; Raffeld, M. The mutational landscape of histiocytic sarcoma associated with lymphoid malignancy. Mod. Pathol. 2021, 34, 336–347. [Google Scholar] [CrossRef] [PubMed]
- Go, H.; Jeon, Y.K.; Huh, J.; Choi, S.J.; Choi, Y.D.; Cha, H.J.; Kim, H.J.; Park, G.; Min, S.; Kim, J.E. Frequent detection of BRAF(V600E) mutations in histiocytic and dendritic cell neoplasms. Histopathology 2014, 65, 261–272. [Google Scholar] [CrossRef] [PubMed]
- Carrasco, D.R.; Fenton, T.; Sukhdeo, K.; Protopopova, M.; Enos, M.; You, M.J.; Di Vizio, D.; Nogueira, C.; Stommel, J.; Pinkus, G.S.; et al. The PTEN and INK4/ARF tumor suppressors maintain myelolymphoid homeostasis and cooperate to constrain histiocytic sarcoma development in humans. Cancer Cell 2006, 9, 379–390. [Google Scholar] [CrossRef]
- Durham, B.H.; Lopez Rodrigo, E.; Picarsic, J.; Abramson, D.; Rotemberg, V.; De Munck, S.; Pannecoucke, E.; Lu, S.X.; Pastore, A.; Yoshimi, A.; et al. Activating mutations in CSF1R and additional receptor tyrosine kinases in histiocytic neoplasms. Nat. Med. 2019, 25, 1839–1842. [Google Scholar] [CrossRef]
- Hung, Y.P.; Lovitch, S.B.; Qian, X. Histiocytic sarcoma: New insights into FNA cytomorphology and molecular characteristics. Cancer Cytopathol. 2017, 125, 604–614. [Google Scholar] [CrossRef] [PubMed]
- Hayase, E.; Kurosawa, M.; Yonezumi, M.; Suzuki, S.; Suzuki, H. Aggressive sporadic histiocytic sarcoma with immunoglobulin heavy chain gene rearrangement and t(14;18). Int. J. Hematol. 2010, 92, 659–663. [Google Scholar] [CrossRef]
- Wang, E.; Hutchinson, C.B.; Huang, Q.; Sebastian, S.; Rehder, C.; Kanaly, A.; Moore, J.; Datto, M. Histiocytic sarcoma arising in indolent small B-cell lymphoma: Report of two cases with molecular/genetic evidence suggestive of a ‘transdifferentiation’ during the clonal evolution. Leuk. Lymphoma 2010, 51, 802–812. [Google Scholar] [CrossRef]
- Fernandez-Pol, S.; Bangs, C.D.; Cherry, A.; Arber, D.A.; Gratzinger, D. Two cases of histiocytic sarcoma with BCL2 translocations and occult or subsequent follicular lymphoma. Hum. Pathol. 2016, 55, 39–43. [Google Scholar] [CrossRef]
- Cecchi, R.; Guptil, D.; Haslett, N.; Hristov, A.; Bledsoe, J.R.; Tsai, H.; DeWitt, J.; Ferris, S.P. Primary CNS histiocytic sarcoma: Two case reports highlighting a novel MIGA2::BRAF gene fusion and genome-wide DNA methylation profiling results. J. Neuropathol. Exp. Neurol. 2024, 83, 882–886. [Google Scholar] [CrossRef] [PubMed]
- Zhang, L.; Zhang, G.; Zheng, H.; Jiang, B.; Ju, Y.; Duan, Q.; An, L.; Shi, H. A rare case of primary central nervous system histiocytic sarcoma harboring a novel ARHGAP45::BRAF fusion: A case report and literature review. Brain Tumor Pathol. 2024, 41, 18–29. [Google Scholar] [CrossRef] [PubMed]
- Chen, W.; Lau, S.K.; Fong, D.; Wang, J.; Wang, E.; Arber, D.A.; Weiss, L.M.; Huang, Q. High frequency of clonal immunoglobulin receptor rearrangements in sporadic histiocytic/dendritic sarcomas. Am. J. Surg. Pathol. 2009, 33, 863–873. [Google Scholar] [CrossRef]
- Feldman, A.L.; Arber, D.A.; Pittaluga, S.; Martinez, A.; Burke, J.S.; Raffeld, M.; Camos, M.; Warnke, R.; Jaffe, E.S. Clonally related follicular lymphomas and histiocytic/dendritic cell sarcomas: Evidence for transdifferentiation of the follicular lymphoma clone. Blood 2008, 111, 5433–5439. [Google Scholar] [CrossRef] [PubMed]
- Wang, E.; Papalas, J.; Hutchinson, C.B.; Kulbacki, E.; Huang, Q.; Sebastian, S.; Rehder, C.; Silbermins, D.; Moore, J.; Datto, M. Sequential development of histiocytic sarcoma and diffuse large B-cell lymphoma in a patient with a remote history of follicular lymphoma with genotypic evidence of a clonal relationship: A divergent (bilineal) neoplastic transformation of an indolent B-cell lymphoma in a single individual. Am. J. Surg. Pathol. 2011, 35, 457–463. [Google Scholar]
- Shao, H.; Xi, L.; Raffeld, M.; Feldman, A.L.; Ketterling, R.P.; Knudson, R.; Rodriguez-Canales, J.; Hanson, J.; Pittaluga, S.; Jaffe, E.S. Clonally related histiocytic/dendritic cell sarcoma and chronic lymphocytic leukemia/small lymphocytic lymphoma: A study of seven cases. Mod. Pathol. 2011, 24, 1421–1432. [Google Scholar] [CrossRef]
- Hure, M.C.; Elco, C.P.; Ward, D.; Hutchinson, L.; Meng, X.; Dorfman, D.M.; Yu, H. Histiocytic sarcoma arising from clonally related mantle cell lymphoma. J. Clin. Oncol. 2012, 30, e49–e53. [Google Scholar] [CrossRef]
- Bassarova, A.; Trøen, G.; Fosså, A.; Ikonomou, I.M.; Beiske, K.; Nesland, J.M.; Delabie, J. Transformation of B cell lymphoma to histiocytic sarcoma: Somatic mutations of PAX-5 gene with loss of expression cannot explain transdifferentiation. J. Hematop. 2009, 2, 135–141. [Google Scholar] [CrossRef]
- Zeng, W.; Meck, J.; Cheson, B.D.; Ozdemirli, M. Histiocytic sarcoma transdifferentiated from follicular lymphoma presenting as a cutaneous tumor. J. Cutan. Pathol. 2011, 38, 999–1003. [Google Scholar] [CrossRef]
- Seth, N.; Naing, P.T.; Singh, R.; Geetha, S.; Reddy, K.; Zhang, X.; Yang, T.; Caro, J.; Tam, W. Transdifferentiation of multiple myeloma into histiocytic sarcoma: Case report of a highly unusual phenomenon. Pathobiology 2025. [Google Scholar] [CrossRef] [PubMed]
- Huang, W.; Qiu, T.; Zeng, L.; Zheng, B.; Ying, J.; Feng, X. High frequency of clonal IG and T-cell receptor gene rearrangements in histiocytic and dendritic cell neoplasms. Oncotarget 2016, 7, 78355–78362. [Google Scholar] [CrossRef] [PubMed]
- Tseng, Y.D.; Ng, A.K. Hematologic malignancies. Hematol. Oncol. Clin. N. Am. 2020, 34, 127–142. [Google Scholar] [CrossRef] [PubMed]
- Dalia, S.; Shao, H.; Sagatys, E.; Cualing, H.; Sokol, L. Dendritic cell and histiocytic neoplasms: Biology, diagnosis, and treatment. Cancer Control 2014, 21, 290–300. [Google Scholar] [CrossRef]
- Yanchu, L.; Li, Z.; Qiongwen, Z.; Jiayu, D.; Feng, W. Case report: Treatment of a rare primary cerebellum histiocytic sarcoma with surgery and radiotherapy. Front. Oncol. 2024, 14, 1398350. [Google Scholar] [CrossRef]
- Iyizoba-Ebozue, Z.; Burton, C.; Prestwich, R.J.D. Histiocytic sarcoma of the base of tongue treated with radical radiotherapy: A case report and review of the literature. Clin. Transl. Radiat. Oncol. 2020, 21, 66–68. [Google Scholar] [CrossRef]
- Kobayashi, S.; Kimura, F.; Hama, Y.; Ogura, K.; Torikai, H.; Kobayashi, A.; Ikeda, T.; Sato, K.; Aida, S.; Kosuda, S.; et al. Histiocytic sarcoma of the spleen: Case report of asymptomatic onset of thrombocytopenia and complex imaging features. Int. J. Hematol. 2008, 87, 83–87. [Google Scholar] [CrossRef]
- Gounder, M.M.; Desai, V.; Kuk, D.; Agaram, N.P.; Arcila, M.; Durham, B.; Keohan, M.L.; Dickson, M.A.; D’Angelo, S.P.; Shukla, N.; et al. Impact of surgery, radiation and systemic therapy on the outcomes of patients with dendritic cell and histiocytic sarcomas. Eur. J. Cancer 2015, 51, 2413–2422. [Google Scholar] [CrossRef]
- Susan Joy Philip, D.; Sherief, A.; Narayanan, G.; Nair, S.G.; Av, J. Histiocytic sarcoma: Clinical features and outcomes of patients treated as a tertiary cancer care center. Cureus 2022, 14, e25814. [Google Scholar] [CrossRef]
- Oka, S.; Ono, K.; Nohgawa, M. Successful treatment of incidental histiocytic sarcoma concomitant with laryngeal carcinoma. Intern. Med. 2021, 60, 2659–2662. [Google Scholar] [CrossRef]
- Oto, M.; Maeda, A.; Nose, T.; Ueda, Y.; Uneda, S.; Inadome, A.; Oshima, K.; Yoshida, M. Retroperitoneal bulky histiocytic sarcoma successfully treated with induction chemotherapy followed by curative surgery. Intern. Med. 2017, 56, 2765–2768. [Google Scholar] [CrossRef][Green Version]
- Narita, K.; Noro, R.; Seike, M.; Matsumoto, M.; Fujita, K.; Matsumura, J.; Takahashi, M.; Kawamoto, M.; Gemma, A. Successful treatment of histiocytic sarcoma and concurrent HIV infection using a combination of CHOP and antiretroviral therapy. Intern. Med. 2013, 52, 2805–2809. [Google Scholar] [CrossRef][Green Version]
- Zhao, J.; Niu, X.; Wang, Z.; Lu, H.; Lin, X.; Lu, Q. Histiocytic sarcoma combined with acute monocytic leukemia: A case report. Diagn. Pathol. 2015, 10, 110. [Google Scholar] [CrossRef] [PubMed]
- Chen, X.; Zhang, L.; Wang, J.; Gu, Y.; Tuan, J.; Ma, X.; Hong, X.; Yu, X.; Guo, X. Complete response after chemotherapy and radiotherapy of a tonsillar histiocytic sarcoma with regional lymph node involvement: A case report and review of the literature. Int. J. Clin. Exp. Med. 2015, 8, 16808–16812. [Google Scholar] [PubMed]
- Sundersingh, S.; Majhi, U.; Seshadhri, R.A.; Tenali, G.S. Multifocal histiocytic sarcoma of the gastrointestinal tract. Indian J. Pathol. Microbiol. 2012, 55, 233–235. [Google Scholar] [CrossRef] [PubMed]
- Wehrmann, S.; Rudolph, H.; Ernst, D.; Siepmann, T.; Kaltofen, D.; Hänel, M.; Mirow, L. Case report: Eighteen month relapse-free survival following radical multidisciplinary oncological treatment in a 68-year-old male patient with histiocytic sarcoma. Front. Oncol. 2021, 11, 633215. [Google Scholar] [CrossRef]
- Tsujimura, H.; Miyaki, T.; Yamada, S.; Sugawara, T.; Ise, M.; Iwata, S.; Yonemoto, T.; Ikebe, D.; Itami, M.; Kumagai, K. Successful treatment of histiocytic sarcoma with induction chemotherapy consisting of dose-escalated CHOP plus etoposide and upfront consideration auto-transplantation. Int. J. Hematol. 2014, 100, 507–510. [Google Scholar] [CrossRef]
- Hussein, S.K.H.; Tcacenco, O. Histiocytic sarcoma involving multiple abdominal sites: A rare case with KRAS mutation and response to ICE chemotherapy. Radiol. Case Rep. 2025, 20, 3290–3294. [Google Scholar] [CrossRef]
- Cai, J.; Fernandez-Hazoury, D.; Yoshikawa, G.; Minja, A.; Huang, H.; Hwang, A.; Qing, X. Transformation of chronic lymphocytic leukemia/small lymphocytic lymphoma to histiocytic/dendritic cell sarcoma. J. Hematol. 2024, 13, 216–223. [Google Scholar] [CrossRef]
- Tomlin, J.; Orosco, R.K.; Boles, S.; Tipps, A.; Wang, H.Y.; Husseman, J.; Wieduwilt, M. Successful treatment of multifocal histiocytic sarcoma occurring after renal transplantation with cladribine, high-dose cytarabine, G-CSF, and mitoxantrone (CLAG-M) followed by allogeneic hematopoietic stem cell transplantation. Case Rep. Hematol. 2015, 2015, 728260. [Google Scholar] [CrossRef] [PubMed]
- Iwabuchi, H.; Kawashima, H.; Umezu, H.; Takachi, T.; Imamura, M.; Saitoh, A.; Ogose, A.; Imai, C. Successful treatment of histiocytic sarcoma with cladribine and high-dose cytosine arabinoside in a child. Int. J. Hematol. 2017, 106, 299–303. [Google Scholar] [CrossRef] [PubMed]
- Farris, M.; Hughes, R.T.; Lamar, Z.; Soike, M.H.; Menke, J.R.; Ohgami, R.S.; Winkfield, K. Histiocytic sarcoma associated with follicular lymphoma: Evidence for dramatic response with rituximab and bendamustine alone and a review of the literature. Clin. Lymphoma Myeloma Leuk. 2019, 19, e1–e8. [Google Scholar] [CrossRef]
- Foster, M.; Kamaly-Asl, I.; Stivaros, S.; Kelsey, A.; Gattamenini, R.; Kilday, J.P. Primary cerebral histiocytic sarcoma in childhood: A case report of protracted survival and review of the literature. Childs Nerv. Syst. 2015, 31, 2363–2368. [Google Scholar] [CrossRef]
- Diamond, E.L.; Subbiah, V.; Lockhart, A.C.; Blay, J.Y.; Puzanov, I.; Chau, I.; Raje, N.S.; Wolf, J.; Erinjeri, J.P.; Torrisi, J.; et al. Vemurafenib for BRAF V600-mutant Erdheim-Chester disease and Langerhans cell histiocytosis: Analysis of data from the histology-independent, phase 2 open-label VE-BASKET study. JAMA Oncol. 2018, 4, 384–388. [Google Scholar] [CrossRef]
- Idbaih, A.; Mokhtari, K.; Emile, J.-F.; Galanaud, D.; Belaid, H.; de Bernard, S.; Benameur, N.; Barlog, V.-C.; Psimaras, D.; Donadieu, J.; et al. Dramatic response of a BRAF V600E-mutated primary CNS histiocytic sarcoma to vemurafenib. Neurology 2014, 83, 1478–1480. [Google Scholar] [CrossRef]
- Facchetti, F.; Pileri, S.A.; Lorenzi, L.; Tabanelli, V.; Rimsza, L.; Pittaluga, S.; Dirnhofer, S.; Copie-Bergman, C.; de Leval, L.; Rosenwald, A.; et al. Histiocytic and dendritic cell neoplasms: What have we learnt by studying 67 cases. Virchows Arch. 2017, 471, 467–489. [Google Scholar] [CrossRef]
- Rassidakis, G.Z.; Stromberg, O.; Xagoraris, I.; Jatta, K.; Sonnevi, K. Trametinib and dabrafenib in histiocytic sarcoma transdifferentiated from chronic lymphocytic leukemia with a K-RAS and a unique BRAF mutation. Ann. Hematol. 2020, 99, 649–651. [Google Scholar] [CrossRef]
- Venkataraman, V.; Massoth, L.R.; Sullivan, R.J.; Friedmann, A.M. Secondary histiocytic sarcoma with BRAFV600E mutation after T-cell acute lymphoblastic leukemia in a very young child with dramatic response to dabrafenib and trametinib. Pediatr. Blood Cancer 2020, 67, e28200. [Google Scholar] [CrossRef] [PubMed]
- Tan, S.L.; Ho, B.L.S.; Yew, T.T.; Yunus, D. an 8-year-old girl with secondary histiocytic sarcoma with BRAFV600 mutation following T-cell acute lymphoblastic leukemia demonstrating stable disease for 3 years on dabrafenib and trametinib-a case report and literature review. BMC Pediatr. 2025, 25, 178. [Google Scholar] [CrossRef] [PubMed]
- Gounder, M.M.; Solit, D.B.; Tap, W.D. Trametinib in histiocytic sarcoma with an activating MAP2K1 (MEK1) mutation. N. Engl. J. Med. 2018, 378, 1945–1947. [Google Scholar] [CrossRef]
- Kumamoto, T.; Aoki, Y.; Sonoda, T.; Yamanishi, M.; Arakawa, A.; Sugiyama, M.; Shirakawa, N.; Ishimaru, S.; Saito, Y.; Maeshima, A.; et al. A case of recurrent histiocytic sarcoma with MAP2K1 pathogenic variant treated with the MEK inhibitor trametinib. Int. J. Hematol. 2019, 109, 228–232. [Google Scholar] [CrossRef]
- Hu, B.; Patel, J.L.; Tao, R.; Cannon, R.B.; Monroe, M.; Goyal, G. Near complete response to trametinib treatment in histiocytic sarcoma harboring a somatic KRAS mutation. J. Natl. Compr. Canc. Netw. 2022, 20, 618–621. [Google Scholar] [CrossRef]
- Kemps, P.G.; Woei-A-Jin, F.J.S.H.; Schöffski, P.; Tousseyn, T.; Vanden Bempt, I.; Meyer-Wentrup, F.A.G.; Dors, N.; van Eijkelenburg, N.K.A.; Scheijde-Vermeulen, M.A.; Jazet, I.M.; et al. Real-world experience with targeted therapy in patients with histiocytic neoplasms in the Netherlands and in Belgium. Blood Neoplasia 2024, 1, 100023. [Google Scholar] [CrossRef]
- Voruz, S.; Cairoli, A.; Naveiras, O.; de Leval, L.; Missiaglia, E.; Homicsko, K.; Michielin, O.; Blum, S. Response to MEK inhibition with trametinib and tyrosine kinase inhibition with imatinib in multifocal histiocytic sarcoma. Haematologica 2018, 103, e39–e41. [Google Scholar] [CrossRef]
- Diamond, E.L.; Durham, B.H.; Ulaner, G.A.; Drill, E.; Buthorn, J.; Ki, M.; Bitner, L.; Cho, H.; Young, R.J.; Francis, J.H.; et al. Efficacy of MEK inhabitation in patients with histiocytic neoplasms. Nature 2019, 567, 521–524. [Google Scholar] [CrossRef]
- Gianfreda, D.; Nicastro, M.; Galetti, M.; Alberici, F.; Corradi, D.; Becchi, G.; Baldari, G.; De Filippo, M.; Ferretti, S.; Moroni, G.; et al. Sirolimus plus prednisone for Erdheim-Chester disease: An open-label trial. Blood 2015, 126, 1163–1171. [Google Scholar] [CrossRef] [PubMed]
- Chohan, K.L.; Abeykoon, J.P.; Young, J.R.; Tobin, W.O.; Koster, M.J.; Shah, M.V.; Ryu, J.H.; Vassallo, R.; Rech, K.L.; Ravindran, A.; et al. Sirolimus as frontline therapy for PTEN-mutated histiocytic sarcoma. Haematologica 2023, 108, 1702–1706. [Google Scholar] [CrossRef] [PubMed]
- Durham, B.H.; Hershkovitz-Rokah, O.; Abdel-Wahab, O.; Yabe, M.; Chung, Y.R.; Itchaki, G.; Ben-Sasson, M.; Asher-Guz, V.A.; Groshar, D.; Doe-Tetteh, S.A.; et al. Mutant PIK3CA is a targetable driver alteration in histiocytic neoplasms. Blood Adv. 2023, 7, 7319–7328. [Google Scholar] [CrossRef] [PubMed]
- Shukla, N.; Kobos, R.; Renaud, T.; Teruya-Feldstein, J.; Price, A.; McAllister-Lucas, L.; Steinherz, P. Successful treatment of refractory metastatic histiocytic sarcoma with alemtuzumab. Cancer 2012, 118, 3719–3724. [Google Scholar] [CrossRef]
- Valera, E.T.; Brassesco, M.S.; Reis, M.B.F.D.; Maggioni, G.; Guerino-Cunha, R.L.; Grecco, C.E.; Jr, J.E.; Kato, M.; Tone, L.G. Short-term response to alemtuzumab in CD52-positive secondary histiocytic sarcoma in a child: Is it time to consider new targets? Pediatr. Hematol. Oncol. 2021, 38, 89–96. [Google Scholar] [CrossRef]
- Abeykoon, J.P.; Lasho, T.L.; Dasari, S.; Rech, K.L.; Ranatunga, W.K.; Manske, M.K.; Tischer, A.; Ravindran, A.; Young, J.R.; Tobin, W.O.; et al. Sustained, complete response to pexidartinib in a patient with CSF1R-mutated Erdheim-Chester disease. Am. J. Hematol. 2022, 97, 293–302. [Google Scholar] [CrossRef] [PubMed]
- Smith, K.E.R.; Acosta-Medina, A.A.; Dasari, S.; Ranatunga, W.; Rech, K.L.; Ravindran, A.; Young, J.R.; McGarrah, P.W.; Ruan, G.J.; Zanwar, S.S.; et al. Personalized medicine in histiocytic disorders: Novel targets in patients without MAPK alterations. JCO Precis. Oncol. 2024, 8, e2400471. [Google Scholar] [CrossRef] [PubMed]
- Dalle, J.H.; Leblond, P.; Decouvelaere, A.; Yakoub-Agha, I.; Preudhomme, C.; Nelken, B.; Mazingue, F. Efficacy of thalidomide in a child with histiocytic sarcoma following allogeneic bone marrow transplantation for T-ALL. Leukemia 2003, 17, 2056–2057. [Google Scholar] [CrossRef]
- Abidi, M.H.; Tove, I.; Ibrahim, R.B.; Maria, D.; Peres, E. Thalidomide for the treatment of histiocytic sarcoma after hematopoietic stem cell transplant. Am. J. Hematol. 2007, 82, 932–933. [Google Scholar] [CrossRef]
- Gergis, U.; Dax, H.; Ritchie, E.; Marcus, R.; Wissa, U.; Orazi, A. Autologous hematopoietic stem-cell transplantation in combination with thalidomide as treatment for histiocytic sarcoma: A case report and review of the literature. J. Clin. Oncol. 2011, 29, e251–e253. [Google Scholar] [CrossRef] [PubMed]
- Bailey, K.M.; Castle, V.P.; Hummel, J.M.; Piert, M.; Moyer, J.; McAllister-Lucas, L.M. Thalidomide therapy for aggressive histiocytic lesions in the pediatric population. J. Pediatr. Hematol. Oncol. 2012, 34, 480–483. [Google Scholar] [CrossRef]
- Ventura Aguiar, P.; Dias, C.; Azevedo, P.; Silva, H.N.; Almeida, M.; Pedroso, S.; Martins, L.S.; Dias, L.; Rodrigues, A.; Viscaíño, R. Histiocytic sarcoma: Case report of a rare disease in a kidney transplant recipient. J. Nephropathol. 2015, 4, 97–100. [Google Scholar]
- Liu, Z.; Xiao, Y.; Liu, X.; Li, Q.; Liu, T.; Zhu, F.; Wu, G.; Zhang, L. Case report: Long-term response to radiotherapy combined with targeted therapy in histiocytic sarcoma harboring mutations in MAPK and PI3K/AKT pathways. Front. Oncol. 2021, 11, 755893. [Google Scholar] [CrossRef]
- Mainardi, C.; D’Amore, E.S.; Pillon, M.; Toffolutti, T.; Rosolen, A. A case of resistant pediatric histiocytic sarcoma successfully treated with chemo-radiotherapy and autologous peripheral blood stem cell transplant. Leuk. Lymphoma 2011, 52, 1367–1371. [Google Scholar] [CrossRef]
- Abu-Sanad, A.; Warsi, A.; Michel, R.P.; Nahal, A.; Popradi, G.; Storring, J.M.; Liberman, A.S.; Alcindor, T. long-term remission after autologous stem-cell transplantation for relapsed histiocytic sarcoma. Curr. Oncol. 2012, 19, e289–e291. [Google Scholar] [CrossRef]
- Zeidan, A.; Bolaños-Meade, J.; Kasamon, Y.; Aoki, J.; Borowitz, M.; Swinnen, L.; Symons, H.; Luznik, L.; Fuchs, E.; Jones, R.; et al. Human leukocyte antigen-haploidentical hematopoietic stem cell transplant for a patient with histiocytic sarcoma. Leuk. Lymphoma 2013, 54, 655–657. [Google Scholar] [CrossRef]
- Huff, D.; Fortin Ensign, S.; Ryan, M.S.; Palmer, J.; Munoz, J. Histiocytic sarcoma treated with pembrolizumab: A case report and literature review. J. Immunother. Precis. Oncol. 2023, 6, 198–202. [Google Scholar] [CrossRef]
- Nam, H.; Min, G.J.; Kim, T.Y.; Jeon, Y.; Cho, S.G. Case report: A case series on histiocytic sarcoma-various clinical features and patient outcomes. Front. Oncol. 2025, 15, 1505737. [Google Scholar] [CrossRef]
- Tang, L.; Huang, Z.; Mei, H.; Hu, Y. Immunotherapy in hematologic malignancies: Achievements, challenges and future prospects. Signal Transduct. Target. Ther. 2023, 8, 306. [Google Scholar] [CrossRef]
- Xu, J.; Sun, H.H.; Fletcher, C.D.; Hornick, J.L.; Morgan, E.A.; Freeman, G.J.; Hodi, F.S.; Pinkus, G.S.; Rodig, S.J. Expression of programmed cell death 1 ligands (PD-L1 and PD-L2) in histiocytic and dendritic cell disorders. Am. J. Surg. Pathol. 2016, 40, 443–453. [Google Scholar] [CrossRef]
- Bose, S.; Robles, J.; McCall, C.M.; Lagoo, A.S.; Wechsler, D.S.; Schooler, G.R.; Van Mater, D. Favorable response to nivolumab in a young adult patient with metastatic histiocytic sarcoma. Pediatr. Blood Cancer 2019, 66, e27491. [Google Scholar] [CrossRef] [PubMed]
- Campedel, L.; Kharroubi, D.; Vozy, A.; Spano, J.P.; Emile, J.F.; Haroche, J. Malignant histiocytosis with PD-L1 expression-dramatic response to nivolumab. Mayo Clin. Proc. 2022, 97, 1401–1403, Erratum in Mayo Clin. Proc. 2023, 98, 640. [Google Scholar] [CrossRef] [PubMed]
- Imataki, O.; Uemura, M.; Fujita, H.; Kadowaki, N. Application of PD-L1 blockade in refractory histiocytic sarcoma: A case report. Mol. Clin. Oncol. 2022, 17, 136. [Google Scholar] [CrossRef] [PubMed]
- Lin, Y.; Cao, Q.; Hong, A.; Liang, X. Primary pulmonary histiocytic sarcoma with high PD-L1 expression benefited from immunotherapy: A case report and bioinformatic analysis. Clin. Respir. J. 2024, 18, e13741. [Google Scholar] [CrossRef]
- Nguyen, L.T.; Pham, G.H.; Vu, P.T.; Yi, H.G. Favorable outcome of a histiocytic sarcoma patient treated with immune checkpoint inhibitor: A case report. Ann. Med. Surg. 2023, 85, 6274–6278. [Google Scholar] [CrossRef]
- Gao, J.; Li, M.; Liu, C.; Jing, H. Pembrolizumab combined with GDP regimen inducing sustained remission in histiocytic sarcoma: A case report. J. Investig. High Impact Case Rep. 2024, 12, 23247096241274561. [Google Scholar] [CrossRef] [PubMed]
- Furui, Y.; Kurata, T.; Komori, K.; Uchida, E.; Miyairi, Y.; Chiba, A.; Ogiso, Y.; Sakashita, K. A case of refractory cervical primary histiocytic sarcoma treated with pembrolizumab. Int. Cancer Conf. J. 2022, 30, 280–285. [Google Scholar] [CrossRef]
- Merrill, M.H.; Redd, R.A.; Fisher, D.C.; Abramson, J.S.; Barnes, J.; Choi, J.; Jacobson, C.A.; Kim, A.I.; Lunning, M.A.; Jester, H.D.; et al. A phase-2 study of pembrolizumab in patients with biologically selected subtypes of relapsed/refractory aggressive lymphomas. Leuk. Lymphoma 2025, 66, 1354–1357. [Google Scholar] [CrossRef] [PubMed]
- Zhang, M.; Xiao, F.; Fang, J.; Liu, Z.; Shen, Y.; Zhu, D.; Zhang, Y.; Hou, J.; Huang, H. Long-term remission with novel combined immune-targeted treatment for histiocytic sarcoma accompanied by follicular lymphoma: Case report and literature review. Int. J. Mol. Sci. 2024, 25, 7293. [Google Scholar] [CrossRef] [PubMed]


| Neoplasm | Histological Features | IHC Markers |
|---|---|---|
| HS | Large round to oval cells with abundant eosinophilic cytoplasm, prominent inflammatory background | Histiocytic markers (CD163, CD68, lysozyme), PU.1, CD4, CD31, CD45, CD45RO, factor XIIIa |
| ALCL | “Hallmark” cells characterized by eccentric, horseshoe-or kidney-shaped nuclei, “doughnut” cells | CD30, T-cell markers (variable), negative for histiocytic markers |
| LCS | Langerhans cells with marked cytologic atypia and occasionally nuclear groove, coagulative necrosis, eosinophil-rich inflammatory background | CD1a, CD207, S100, CD68 (variable) |
| IDCS | Round, oval, or spindle cells with abundant pale-pink cytoplasm, characteristic paracortical involvement | S100 (diffuse, strong), CD68 (variable, weak) |
| FDCS | Spindle to ovoid cells with indistinct cell borders, abundant reactive small lymphocytes | CD21, CD23, CD35, CD68 (variable) |
| MS | Myeloid blasts (much smaller than HS cells with a higher N/C ratio) | CD13, CD33, CD68, MPO |
| Melanoma | Epithelioid and spindle cells with marked cytologic atypia, intracytoplasmic pigment | SOX10, HMB45, S100, typically negative for histiocytic markers |
| Carcinoma | Large epithelioid and round cells | Cytokeratins, EMA, typically negative for histiocytic markers |
| EPS | Large ovoid or polygonal epithelioid cells with abundant eosinophilic cytoplasm, plump spindle cells, prominent necrosis | Cytokeratins, EMA, SMARCB1 (expression loss), CD34 (variable) |
| UPS | Predominantly pleomorphic spindle cells | Negative for all distinct lineage markers |
| Pathway/Function | Gene | Genetic Alterations | Frequency (%) | Reference |
|---|---|---|---|---|
| RAS/MAPK pathway | MAP2K1 | Mutations | 15–24 | [23,24,25] |
| KRAS | Mutations | 12–50 | [24,25,26] | |
| BRAF V600E | Mutations | 62.5 | [27] | |
| NF1 | Mutations | 7–29 | [24,25] | |
| NRAS | Mutations | 5–7 | [24,25] | |
| PTPN11 | Mutations | 5–19 | [24,25] | |
| CBL | Mutations | 12 | [24] | |
| PI3K/AKT/MTOR pathway | PTEN | Mutations | 7–12 | [23] |
| MTOR | Mutations | 7 | [23] | |
| Cell cycle regulation | CDKN2A | Mutations/Deletions | 39–46 | [23,24] |
| DNA damage | TP53 | Mutations | 24 | [24] |
| Receptor tyrosine kinase | CSF1R | Mutations | 7–17 | [24,29] |
| Epigenetic regulation | KMT2D | Mutations | 18 | [23] |
| Immunoglobulin | IGH | Rearrangements | 39 | [36] |
Disclaimer/Publisher’s Note: The statements, opinions and data contained in all publications are solely those of the individual author(s) and contributor(s) and not of MDPI and/or the editor(s). MDPI and/or the editor(s) disclaim responsibility for any injury to people or property resulting from any ideas, methods, instructions or products referred to in the content. |
© 2025 by the authors. Licensee MDPI, Basel, Switzerland. This article is an open access article distributed under the terms and conditions of the Creative Commons Attribution (CC BY) license (https://creativecommons.org/licenses/by/4.0/).
Share and Cite
Shinohara, Y.; Nakayama, S.; Aoki, M.; Nishio, J. Histiocytic Sarcoma: A Review and Update. Int. J. Mol. Sci. 2025, 26, 8554. https://doi.org/10.3390/ijms26178554
Shinohara Y, Nakayama S, Aoki M, Nishio J. Histiocytic Sarcoma: A Review and Update. International Journal of Molecular Sciences. 2025; 26(17):8554. https://doi.org/10.3390/ijms26178554
Chicago/Turabian StyleShinohara, Yuki, Shizuhide Nakayama, Mikiko Aoki, and Jun Nishio. 2025. "Histiocytic Sarcoma: A Review and Update" International Journal of Molecular Sciences 26, no. 17: 8554. https://doi.org/10.3390/ijms26178554
APA StyleShinohara, Y., Nakayama, S., Aoki, M., & Nishio, J. (2025). Histiocytic Sarcoma: A Review and Update. International Journal of Molecular Sciences, 26(17), 8554. https://doi.org/10.3390/ijms26178554

