A Study on the Temperature-Dependent Behavior of Small Heat Shock Proteins from Methanogens
Abstract
1. Introduction
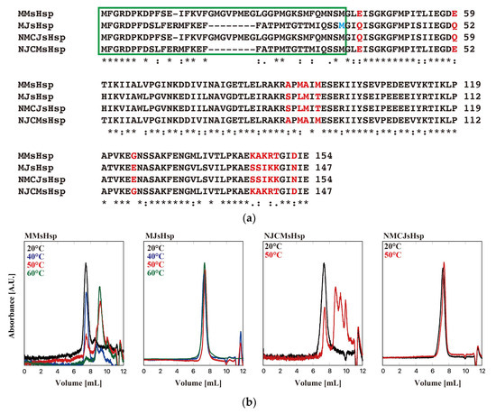
2. Results
3. Discussion
4. Materials and Methods
4.1. Creation of Genes for Wild-Type and Mutant sHsps
4.2. HPLC-SEC
4.3. AUC Measurements
4.4. Protein Aggregation Measurements
4.5. Monomer–C-Terminal Domain Docking Simulation
Supplementary Materials
Author Contributions
Funding
Institutional Review Board Statement
Informed Consent Statement
Data Availability Statement
Acknowledgments
Conflicts of Interest
Abbreviations
| MJsHsp | sHsp of Methanocaldococcus jannaschii with T33M mutation |
| MMsHsp | sHsp of Methanococcus maripaludis |
| HPLC-SEC | High-performance liquid chromatography–size-exclusion chromatography |
| AUC | Analytical ultracentrifugation |
| CS | Citrate synthase from porcine heart |
| NMCJsHsp | MJsHsp with the N-terminal domain of MMsHsp |
| NJCMsHsp | MMsHsp with the N-terminal domain of MJsHsp |
| MJsHsp-Q36E | MJsHsp with Q36E mutation |
| MJsHsp-Q52E | MJsHsp with Q52E mutation |
| MJsHsp-E118G | MJsHsp with E118G mutation |
| MJsHsp-N145D | MJsHsp with N145D mutation |
| MMsHsp-E43Q | MMsHsp with E43Q mutation |
| MMsHsp-E59Q | MMsHsp with E59Q mutation |
| MMsHsp-G125E | MMsHsp with G125E mutation |
| MMsHsp-D152N | MMsHsp with D152N mutation |
| MMsHsp-E43Q&D152N | MMsHsp with E43Q and D152N mutations |
| MJsHsp-Q36E&N145D | MJsHsp with Q36E and N145D mutations |
| NJCMsHsp-E43Q&D152N | NJCMsHsp with E43Q and D152N mutations |
| NMCJsHsp-Q36E&N145D | NMCJsHsp with Q36E and N145D mutations |
| MMsHsp-3M | MMsHsp with E43Q, G125E and D152 mutations |
| MJsHsp-3M | MJsHsp with Q36E, E118G and N145D mutations |
| NMCJsHsp-3M | NMCJsHsp with Q36E, E118G and N145D mutations |
| MMsHsp-Chimera | A chimera sHsp of NMCJsHsp-3M and MMsHsp-3M |
| MMsHsp-3M-A94M | MMsHsp with E43Q, A94M, G125E and D152 mutations |
| MMsHsp-3M-M96T | MMsHsp with E43Q, M96T, G125E and D152 mutations |
| MJsHsp-3M-T89M | MJsHsp with Q36E, T89M and N145D mutations |
| MJsHsp-Cmut | MJsHsp with K141R, K142T and N145D mutations |
| NMCJsHsp-Mut | NMCJsHsp with Q36E, S84A, L86M, M87A, T89M, E118G, S138K, S139A, I140K, K141R, K142T, and N145D mutations |
| A.U. | Arbitrary unit |
References
- Garrido, C.; Paul, C.; Seigneuric, R.; Kampinga, H.H. The small heat shock proteins family: The long forgotten chaperones. Int. J. Biochem. Cell Biol. 2012, 44, 1588–1592. [Google Scholar] [CrossRef]
- Peters, C.; Haslbeck, M.; Buchner, J. Catchers of folding gone awry: A tale of small heat shock proteins. Trends Biochem. Sci. 2024, 49, 1063–1078. [Google Scholar] [CrossRef]
- Carra, S.; Alberti, S.; Arrigo, P.A.; Benesch, J.L.; Benjamin, I.J.; Boelens, W.; Bartelt-Kirbach, B.; Brundel, B.; Buchner, J.; Bukau, B.; et al. The growing world of small heat shock proteins: From structure to functions. Cell Stress Chaperones 2017, 22, 601–611. [Google Scholar] [CrossRef]
- Bakthisaran, R.; Tangirala, R.; Rao Ch, M. Small heat shock proteins: Role in cellular functions and pathology. Biochim. Biophys. Acta 2015, 1854, 291–319. [Google Scholar] [CrossRef]
- Caspers, G.J.; Leunissen, J.A.; de Jong, W.W. The expanding small heat-shock protein family, and structure predictions of the conserved “alpha-crystallin domain”. J. Mol. Evol. 1995, 40, 238–248. [Google Scholar] [CrossRef]
- Delbecq, S.P.; Jehle, S.; Klevit, R. Binding determinants of the small heat shock protein, alphaB-crystallin: Recognition of the ‘IxI’ motif. EMBO J. 2012, 31, 4587–4594. [Google Scholar] [CrossRef]
- Santhanagopalan, I.; Degiacomi, M.T.; Shepherd, D.A.; Hochberg, G.K.A.; Benesch, J.L.P.; Vierling, E. It takes a dimer to tango: Oligomeric small heat shock proteins dissociate to capture substrate. J. Biol. Chem. 2018, 293, 19511–19521. [Google Scholar] [CrossRef]
- Kim, K.K.; Kim, R.; Kim, S.H. Crystal structure of a small heat-shock protein. Nature 1998, 394, 595–599. [Google Scholar] [CrossRef]
- Hanazono, Y.; Takeda, K.; Yohda, M.; Miki, K. Structural studies on the oligomeric transition of a small heat shock protein, StHsp14.0. J. Mol. Biol. 2012, 422, 100–108. [Google Scholar] [CrossRef] [PubMed]
- van Montfort, R.L.; Basha, E.; Friedrich, K.L.; Slingsby, C.; Vierling, E. Crystal structure and assembly of a eukaryotic small heat shock protein. Nat. Struct. Biol. 2001, 8, 1025–1030. [Google Scholar] [CrossRef] [PubMed]
- Hanazono, Y.; Takeda, K.; Oka, T.; Abe, T.; Tomonari, T.; Akiyama, N.; Aikawa, Y.; Yohda, M.; Miki, K. Nonequivalence observed for the 16-meric structure of a small heat shock protein, SpHsp16.0, from Schizosaccharomyces pombe. Structure 2013, 21, 220–228. [Google Scholar] [CrossRef]
- Fleckenstein, T.; Kastenmuller, A.; Stein, M.L.; Peters, C.; Daake, M.; Krause, M.; Weinfurtner, D.; Haslbeck, M.; Weinkauf, S.; Groll, M.; et al. The Chaperone Activity of the Developmental Small Heat Shock Protein Sip1 Is Regulated by pH-Dependent Conformational Changes. Mol. Cell 2015, 58, 1067–1078. [Google Scholar] [CrossRef] [PubMed]
- Kappe, G.; Franck, E.; Verschuure, P.; Boelens, W.C.; Leunissen, J.A.; de Jong, W.W. The human genome encodes 10 alpha-crystallin-related small heat shock proteins: HspB1-10. Cell Stress Chaperones 2003, 8, 53–61. [Google Scholar] [CrossRef]
- Nappi, L.; Aguda, A.H.; Nakouzi, N.A.; Lelj-Garolla, B.; Beraldi, E.; Lallous, N.; Thi, M.; Moore, S.; Fazli, L.; Battsogt, D.; et al. Ivermectin inhibits HSP27 and potentiates efficacy of oncogene targeting in tumor models. J. Clin. Investig. 2020, 130, 699–714. [Google Scholar] [CrossRef]
- Kurokawa, N.; Midorikawa, R.; Nakamura, M.; Noguchi, K.; Morishima, K.; Inoue, R.; Sugiyama, M.; Yohda, M. Oligomeric Structural Transition of HspB1 from Chinese Hamster. Int. J. Mol. Sci. 2021, 22, 10797. [Google Scholar] [CrossRef]
- Haslbeck, M.; Vierling, E. A first line of stress defense: Small heat shock proteins and their function in protein homeostasis. J. Mol. Biol. 2015, 427, 1537–1548. [Google Scholar] [CrossRef]
- Franzmann, T.M.; Wuhr, M.; Richter, K.; Walter, S.; Buchner, J. The activation mechanism of Hsp26 does not require dissociation of the oligomer. J. Mol. Biol. 2005, 350, 1083–1093. [Google Scholar] [CrossRef]
- Abe, T.; Oka, T.; Nakagome, A.; Tsukada, Y.; Yasunaga, T.; Yohda, M. StHsp14.0, a small heat shock protein of Sulfolobus tokodaii strain 7, protects denatured proteins from aggregation in the partially dissociated conformation. J. Biochem. 2011, 150, 403–409. [Google Scholar] [CrossRef]
- Kostenko, S.; Moens, U. Heat shock protein 27 phosphorylation: Kinases, phosphatases, functions and pathology. Cell Mol. Life Sci. 2009, 66, 3289–3307. [Google Scholar] [CrossRef]
- Sluzala, Z.B.; Hamati, A.; Fort, P.E. Key Role of Phosphorylation in Small Heat Shock Protein Regulation via Oligomeric Disaggregation and Functional Activation. Cells 2025, 14, 127. [Google Scholar] [CrossRef]
- Saji, H.; Iizuka, R.; Yoshida, T.; Abe, T.; Kidokoro, S.; Ishii, N.; Yohda, M. Role of the IXI/V motif in oligomer assembly and function of StHsp14.0, a small heat shock protein from the acidothermophilic archaeon, Sulfolobus tokodaii strain 7. Proteins 2008, 71, 771–782. [Google Scholar] [CrossRef] [PubMed]
- Liu, Y.; Whitman, W.B. Metabolic, phylogenetic, and ecological diversity of the methanogenic archaea. Ann. N. Y. Acad. Sci. 2008, 1125, 171–189. [Google Scholar] [CrossRef]
- Jones, W.J.; Leigh, J.A.; Mayer, F.; Woese, C.R.; Wolfe, R.S. Methanococcus-Jannaschii Sp-Nov, an Extremely Thermophilic Methanogen from a Submarine Hydrothermal Vent. Arch. Microbiol. 1983, 136, 254–261. [Google Scholar] [CrossRef]
- Bult, C.J.; White, O.; Olsen, G.J.; Zhou, L.; Fleischmann, R.D.; Sutton, G.G.; Blake, J.A.; FitzGerald, L.M.; Clayton, R.A.; Gocayne, J.D.; et al. Complete genome sequence of the methanogenic archaeon, Methanococcus jannaschii. Science 1996, 273, 1058–1073. [Google Scholar] [CrossRef]
- Shi, J.; Koteiche, H.A.; McDonald, E.T.; Fox, T.L.; Stewart, P.L.; McHaourab, H.S. Cryoelectron microscopy analysis of small heat shock protein 16.5 (Hsp16.5) complexes with T4 lysozyme reveals the structural basis of multimode binding. J. Biol. Chem. 2013, 288, 4819–4830. [Google Scholar] [CrossRef]
- Lee, J.; Ryu, B.; Kim, T.; Kim, K.K. Cryo-EM structure of a 16.5-kDa small heat-shock protein from Methanocaldococcus jannaschii. Int. J. Biol. Macromol. 2024, 258, 128763. [Google Scholar] [CrossRef]
- Jones, W.J.; Whitman, W.B.; Fields, R.D.; Wolfe, R.S. Growth and plating efficiency of methanococci on agar media. Appl. Environ. Microbiol. 1983, 46, 220–226. [Google Scholar] [CrossRef]
- Usui, K.; Hatipoglu, O.F.; Ishii, N.; Yohda, M. Role of the N-terminal region of the crenarchaeal sHsp, StHsp14.0, in thermal-induced disassembly of the complex and molecular chaperone activity. Biochem. Biophys. Res. Commun. 2004, 315, 113–118. [Google Scholar] [CrossRef]
- Fisher, C.L.; Pei, G.K. Modification of a PCR-based site-directed mutagenesis method. Biotechniques 1997, 23, 570–571, 574. [Google Scholar] [CrossRef]
- Zhu, B.; Cai, G.; Hall, E.O.; Freeman, G.J. In-fusion assembly: Seamless engineering of multidomain fusion proteins, modular vectors, and mutations. Biotechniques 2007, 43, 354–359. [Google Scholar] [CrossRef]
- Schuck, P. Size-distribution analysis of macromolecules by sedimentation velocity ultracentrifugation and lamm equation modeling. Biophys. J. 2000, 78, 1606–1619. [Google Scholar] [CrossRef] [PubMed]
- Trott, O.; Olson, A.J. AutoDock Vina: Improving the speed and accuracy of docking with a new scoring function, efficient optimization, and multithreading. J. Comput. Chem. 2010, 31, 455–461. [Google Scholar] [CrossRef] [PubMed]






| MMsHsp | ||||||
| c [mg/mL] | f/f0 | Peak | s20,w [S] | M [kDa] | N | w [%] |
| 1.0 | 1.46 | a | 2.37 | 34 | 2 | 16.8 |
| b | 5.81 | 132 | 8 | 4.6 | ||
| c | 9.72 | 285 | 17 | 5.3 | ||
| d | 12.33 | 408 | 24 | 73.3 | ||
| 0.1 | 1.43 | a | 2.25 | 31 | 2 | 31.3 |
| b | 5.81 | 128 | 8 | 4.2 | ||
| c | 10.31 | 303 | 18 | 10.9 | ||
| d | 12.44 | 402 | 24 | 53.6 | ||
| MJsHsp | ||||||
| c [mg/mL] | f/f0 | Peak | s20,w [S] | M [kDa] | N | w [%] |
| 1.0 | 1.37 | a | 4.57 | 82 | 5 | 2.1 |
| b | 7.62 | 176 | 11 | 1.7 | ||
| c | 8.97 | 225 | 14 | 2.0 | ||
| d | 12.87 | 386 | 23 | 38.7 | ||
| e | 16.08 | 540 | 33 | 8.8 | ||
| f | 18.45 | 663 | 40 | 27.6 | ||
| g | 22.01 | 864 | 52 | 12.1 | ||
| h | 25.39 | 1071 | 65 | 7.0 | ||
| 0.1 | 1.36 | a | 3.39 | 52 | 3 | 7.3 |
| b | 5.76 | 114 | 7 | 5.7 | ||
| c | 9.48 | 242 | 15 | 4.8 | ||
| d | 13.04 | 391 | 24 | 35.7 | ||
| e | 18.28 | 648 | 39 | 30.7 | ||
| f | 23.02 | 916 | 55 | 10.6 | ||
| g | 27.26 | 1179 | 71 | 5.2 | ||
| sHsp | Mutation | Sequence | ΔG (Kcal/mol) | ΔΔG |
|---|---|---|---|---|
| Hyperthermophilic (MJsHsp) | WT | KKGINIE | −12.87 | - |
| Mutant 1 | N145D | KKGIDIE | −12.81 | 0.059 |
| Mutant 2 | K142T | KTGINIE | −12.65 | 0.223 |
| Mutant 3 | K141R | RKGINIE | −12.53 | 0.346 |
| Thermophilic | K141R/K142R | RRGINIE | −12.68 | 0.189 |
| Mesophilic (MMsHsp) | K141R/K142T/N145D | RTGIDIE | −12.41 | 0.458 |
Disclaimer/Publisher’s Note: The statements, opinions and data contained in all publications are solely those of the individual author(s) and contributor(s) and not of MDPI and/or the editor(s). MDPI and/or the editor(s) disclaim responsibility for any injury to people or property resulting from any ideas, methods, instructions or products referred to in the content. |
© 2025 by the authors. Licensee MDPI, Basel, Switzerland. This article is an open access article distributed under the terms and conditions of the Creative Commons Attribution (CC BY) license (https://creativecommons.org/licenses/by/4.0/).
Share and Cite
Kurokawa, N.; Ogawa, M.; Midorikawa, R.; Kanno, A.; Naka, W.; Noguchi, K.; Morishima, K.; Inoue, R.; Sugiyama, M.; Yohda, M. A Study on the Temperature-Dependent Behavior of Small Heat Shock Proteins from Methanogens. Int. J. Mol. Sci. 2025, 26, 5748. https://doi.org/10.3390/ijms26125748
Kurokawa N, Ogawa M, Midorikawa R, Kanno A, Naka W, Noguchi K, Morishima K, Inoue R, Sugiyama M, Yohda M. A Study on the Temperature-Dependent Behavior of Small Heat Shock Proteins from Methanogens. International Journal of Molecular Sciences. 2025; 26(12):5748. https://doi.org/10.3390/ijms26125748
Chicago/Turabian StyleKurokawa, Nina, Mima Ogawa, Rio Midorikawa, Arisa Kanno, Wakaba Naka, Keiichi Noguchi, Ken Morishima, Rintaro Inoue, Masaaki Sugiyama, and Masafumi Yohda. 2025. "A Study on the Temperature-Dependent Behavior of Small Heat Shock Proteins from Methanogens" International Journal of Molecular Sciences 26, no. 12: 5748. https://doi.org/10.3390/ijms26125748
APA StyleKurokawa, N., Ogawa, M., Midorikawa, R., Kanno, A., Naka, W., Noguchi, K., Morishima, K., Inoue, R., Sugiyama, M., & Yohda, M. (2025). A Study on the Temperature-Dependent Behavior of Small Heat Shock Proteins from Methanogens. International Journal of Molecular Sciences, 26(12), 5748. https://doi.org/10.3390/ijms26125748

