Comparison Between Nano-Hydroxyapatite/Beta-Tricalcium Phosphate Composite and Autogenous Bone Graft in Bone Regeneration Applications: Biochemical Mechanisms and Morphological Analysis
Abstract
1. Introduction
2. Results
2.1. X-Ray Diffraction
2.2. Goldner’s Trichromic Staining
2.3. Picrosirius Red (PSR)
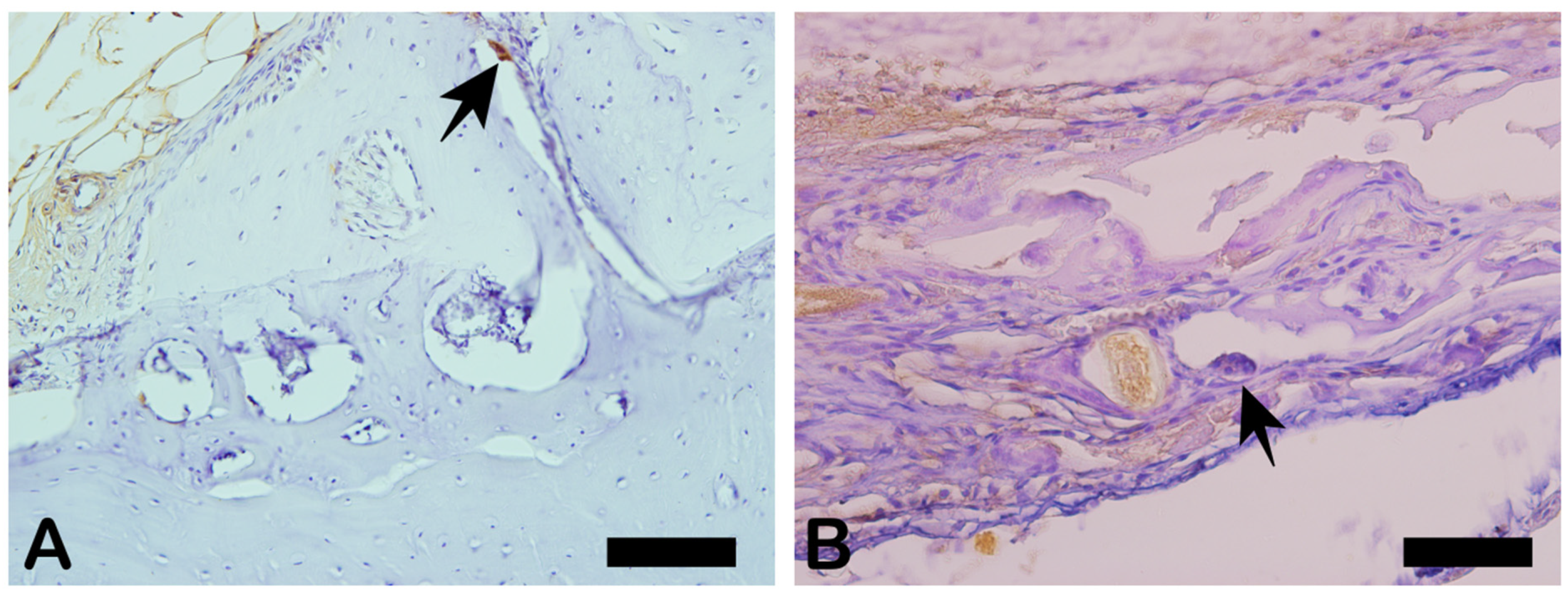
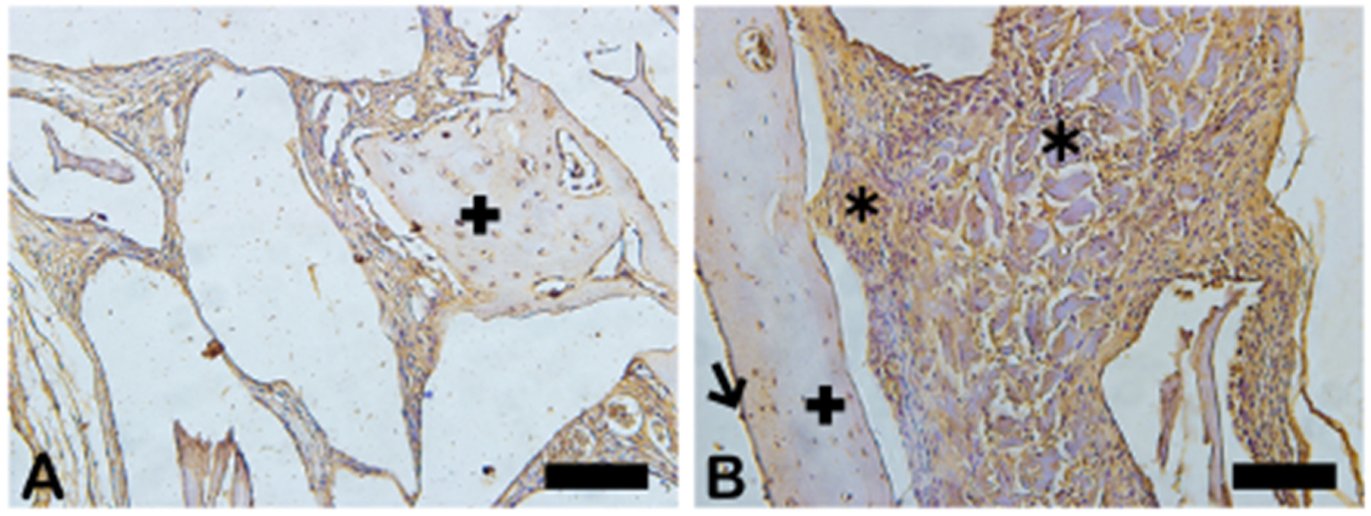
2.4. Cathepsin K
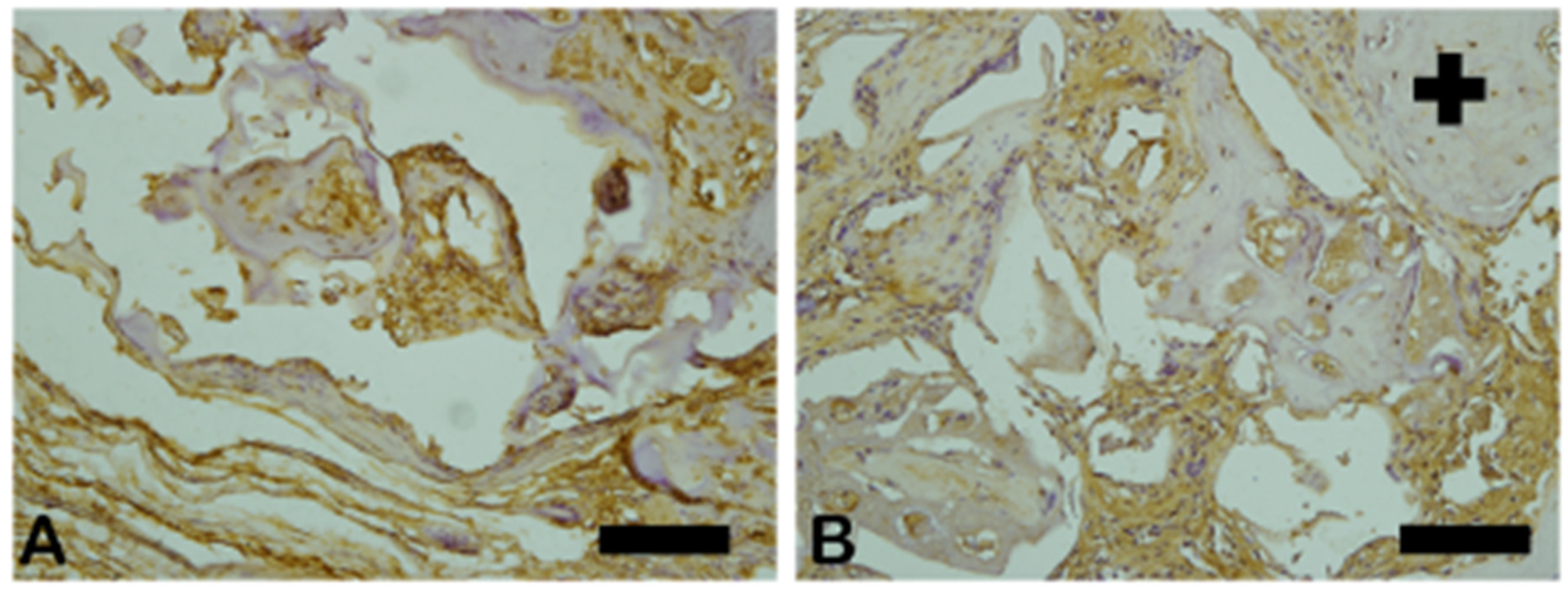
2.5. Transforming Growth Factor Beta (TGF-β)
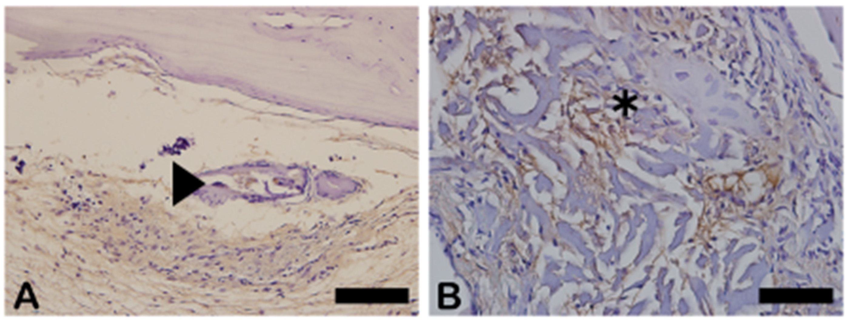
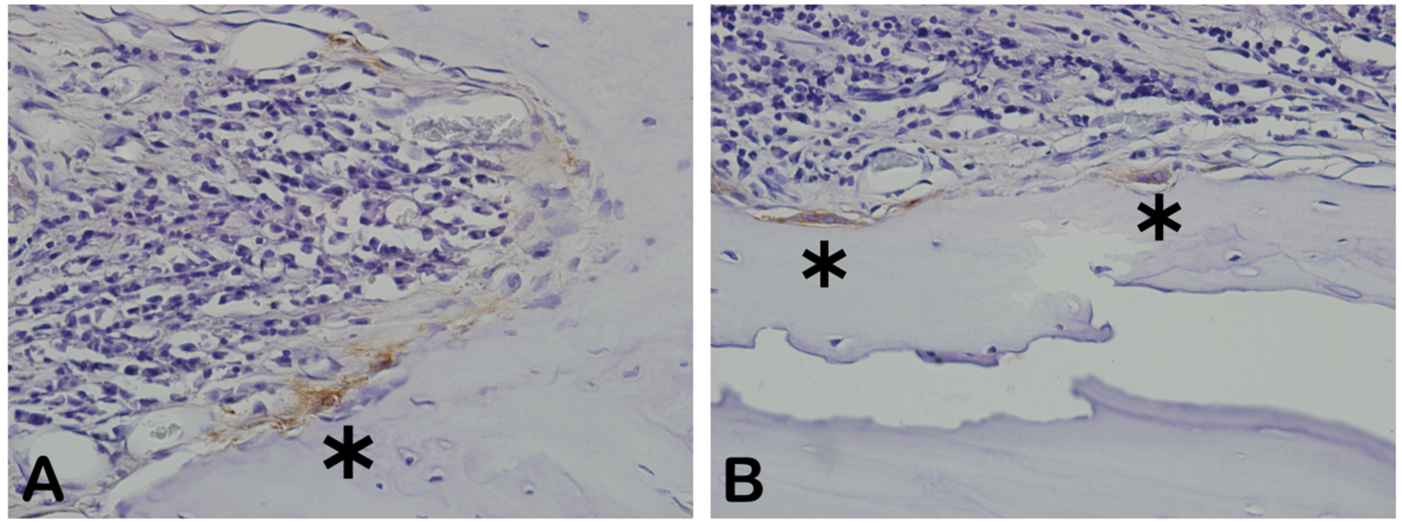
2.6. Osteopontin (OPN)
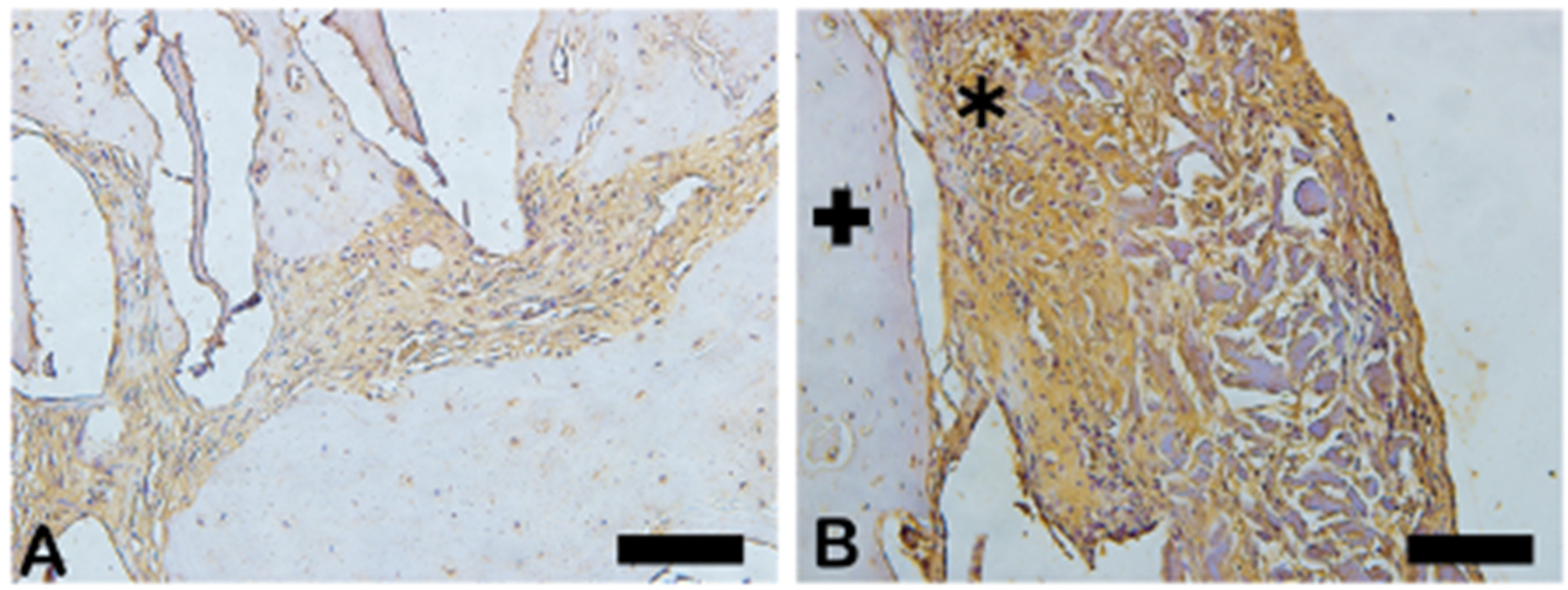
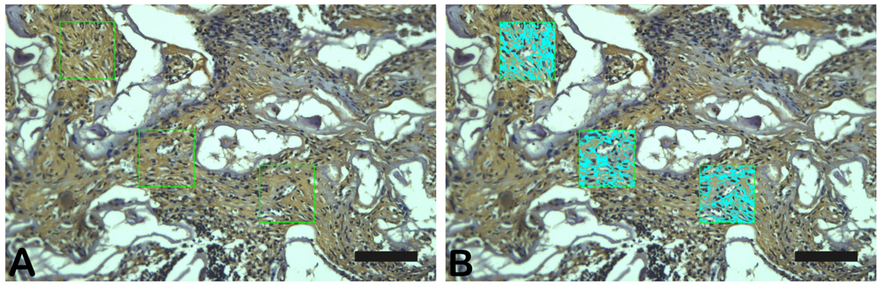
2.7. Vascular Endothelial Growth Factor (VEGF)
2.8. Nuclear Factor Kappa-Beta (NFκ-β)
2.9. Metalloproteinase-9 (MMP-9)
2.10. MMP-2 (Metalloproteinase-2)
2.11. Schiff’s Periodic Acid (PAS)
2.12. Bone Morphogenic Protein-2 (BMP-2)
2.13. Real-Time Polimerase Chain Reaction (RT-qPCR)
2.14. Validation Test for Analysis of Acid Phosphatase (AP) Activity in Bone
2.15. Acid Phosphatase Assay
2.16. MEV (Scanning Electron Microscopy)
3. Discussion
4. Material and Methods
4.1. X-Ray Diffraction
4.2. Morphological Analysis Protocol
4.3. Image Acquisition and Histomorphometry
4.4. RNA Isolation, Reverse Transcription, and Quantitative Real-Time PCR (qRT-PCR) Analysis
4.5. ELISA Validation Test for Analysis of Acid Phosphatase (AP) Activity in Bone
4.6. Acid Phosphatase Assay
4.7. Scanning Electron Microscopy
5. Conclusions
- Nanogeometry creates a more favorable structure for cell adhesion and development.
- There was an intense formation of bone matrix in Goldener’s trichrome staining (PAS and PSR).
- In the immunohistochemistry, there was a prevalence of cells such as osteoblasts and osteoclasts for nanohydroxyapatite, in addition to several potentially more abundant blood vessels, when analyzed with VEGF.
- The rt-PCR test and Elisa test also confirmed the results shown in the previous tests, demonstrating a significantly more favorable response for the bone maturation process in the case of the nanohydroxyapatite/beta-tricalcium phosphate composite.
- In the ultrastructural analysis, it was possible to describe that in the same period, the bone physiology was better defined and structured in the nanohydroxyapatite than in the autogenous bone.
6. Future Perspectives
Author Contributions
Funding
Institutional Review Board Statement
Informed Consent Statement
Data Availability Statement
Conflicts of Interest
References
- Archunan, M.W.; Petronis, S. Bone Grafts in Trauma and Orthopaedics. Cureus 2021, 13, e17705. [Google Scholar] [CrossRef] [PubMed]
- Bone Grafts and Substitutes Market Size, Share & Trends Analysis Report by Material Type (Allograft, Synthetic), by Application (Spinal Fusion, Foot & Ankle, Joint Reconstruction), by Region, and Segment Forecasts, 2022–2023. Available online: https://www.grandviewresearch.com/industry-analysis/bone-grafts-substitutes-market (accessed on 5 May 2023).
- Veronesi, F.; Maglio, M.; Brogini, S.; Fini, M. In vivo studies on osteoinduction: A systematic review on animal models, implant site, and type and postimplantation investigation. J. Biomed. Mater. Res. 2020, 108, 1834–1866. [Google Scholar] [CrossRef] [PubMed]
- Steijvers, E.; Ghei, A.; Xia, Z. Manufacturing artificial bone allografts: A perspective. Biomater. Transl. 2022, 3, 65–80. [Google Scholar] [CrossRef]
- Wang, T.; Yang, X.; Qi, X.; Jiang, C. Osteoinduction and proliferation of bone-marrow stromal cells in three-dimensional poly (ε-caprolactone)/hydroxyapatite/collagen scaffolds. J. Transl. Med. 2015, 13, 152. [Google Scholar] [CrossRef]
- Weber, F.E. Reconsidering Osteoconduction in the Era of Additive Manufacturing. Tissue Eng. Part B Rev. 2019, 25, 375–386. [Google Scholar] [CrossRef]
- Tansavatdi, K.; Mangat, D.S. Calcium hydroxyapatite fillers. Facial Plast. Surg. 2011, 27, 510–516. [Google Scholar] [CrossRef]
- Liu, Y.J.; Yang, Z.Y.; Tan, L.L.; Li, H.; Zhang, Y.Z. An animal experimental study of porous magnesium scaffold degradation and osteogenesis. Braz. J. Med. Biol. Res. 2014, 47, 715–720. [Google Scholar] [CrossRef]
- Paulo, M.J.E.; Dos Santos, M.A.; Cimatti, B.; Gava, N.F.; Riberto, M.; Engel, E.E. Osteointegration of porous absorbable bone substitutes: A systematic review of the literature. Clinics 2017, 72, 449–453. [Google Scholar] [CrossRef]
- Xu, Y.; Shao, B.; Zeng, X.; Song, Z.; Jia, M.; Gong, Z. Biofunctional Extracellular Matrix-Polycaprolactone-Hydroxyapatite Scaffold and Synovium Mesenchymal Stem Cells/Chondrocytes for Repairing Cartilage Defects. Tissue Eng. 2021, 27, 1250–1263. [Google Scholar] [CrossRef]
- Yang, Y.; Lin, H.; Shen, H.; Wang, B.; Lei, G.; Tuan, R.S. Mesenchymal stem cell-derived extracellular matrix enhances chondrogenic phenotype of and cartilage formation by encapsulated chondrocytes in vitro and in vivo. Acta Biomater. 2018, 69, 71–82. [Google Scholar] [CrossRef]
- Corduff, N. Introducing aesthetic regenerative scaffolds: An immunological perspective. J. Cosmet. Dermatol. 2023, 22, 8–14. [Google Scholar] [CrossRef] [PubMed]
- Fitzpatrick, V.; Martín-Moldes, Z.; Deck, A.; Torres-Sanchez, R.; Valat, A.; Cairns, D.; Li, C.; Kaplan, D.L. Functionalized 3D-printed silk-hydroxyapatite scaffolds for enhanced bone regeneration with innervation and vascularization. Biomaterials 2021, 276, 120995. [Google Scholar] [CrossRef] [PubMed]
- Chen, S.; Shi, Y.; Zhang, X.; Ma, J. Evaluation of BMP-2 and VEGF loaded 3D printed hydroxyapatite composite scaffolds with enhanced osteogenic capacity in vitro and in vivo. Mater. Sci. Eng. C Mater. Biol. Appl. 2020, 112, 110893. [Google Scholar] [CrossRef]
- Sritharan, S.; Kannan, T.P.; Norazmi, M.N.; Nurul, A.A. The synergistic effects of IL-6/IL-17A promote osteogenic differentiation by improving OPG/RANKL ratio and adhesion of MC3T3-E1 cells on hydroxyapatite. J. Craniomaxillofac. Surg. 2018, 46, 1361–1367. [Google Scholar] [CrossRef]
- Talal, A.; McKay, I.J.; Tanner, K.E.; Hughes, F.J. Effects of hydroxyapatite and PDGF concentrations on osteoblast growth in a nanohydroxyapatite-polylactic acid composite for guided tissue regeneration. J. Mater. Sci. Mater. Med. 2013, 24, 2211–2221. [Google Scholar] [CrossRef]
- Jakobsen, S.S.; Larsen, A.; Stoltenberg, M.; Bruun, J.M.; Soballe, K. Hydroxyapatite coatings did not increase TGF-beta and BMP-2 secretion in murine J774A.1 macrophages but induced a pro-inflammatory cytokine response. J. Biomater. Sci. Polym. Ed. 2009, 20, 455–465. [Google Scholar] [CrossRef]
- Binatti, E.; Zoccatelli, G.; Zanoni, F.; Donà, G.; Mainente, F.; Chignola, R. Phagocytosis of Astaxanthin-Loaded Microparticles Modulates TGFβ Production and Intracellular ROS Levels in J774A.1 Macrophages. Mar. Drugs 2021, 19, 163. [Google Scholar] [CrossRef]
- Guo, P.; Liu, X.; Zhang, P.; He, Z.; Li, Z.; Alini, M.; Richards, R.G.; Grad, S.; Stoddart, M.J.; Zhou, G.; et al. A single-cell transcriptome of mesenchymal stromal cells to fabricate bioactive hydroxyapatite materials for bone regeneration. Bioact. Mater. 2021, 9, 281–298. [Google Scholar] [CrossRef]
- Manzini, B.M.; Machado, L.M.R.; Noritomi, P.Y.; da Silva, J.V.L. Advances in Bone tissue engineering: A fundamental review. J. Biosci. 2021, 46, 17. [Google Scholar] [CrossRef]
- Ralston, S.H. Bone structure and metabolism. Medicine 2017, 9, 560–564. [Google Scholar] [CrossRef]
- Salhotra, A.; Shah, H.N.; Levi, B.; Longaker, M.T. Mechanisms of bone development and repair. Nat. Rev. Mol. Cell Biol. 2020, 21, 696–711. [Google Scholar] [CrossRef] [PubMed]
- Proff, P.; Römer, P. The molecular mechanism behind bone remodelling: A review. Clin. Oral. Investig. 2009, 13, 355–362. [Google Scholar] [CrossRef] [PubMed]
- Eriksen, E.F. Cellular mechanisms of bone remodeling. Rev. Endocr. Metab. Disord. 2010, 11, 219–227. [Google Scholar] [CrossRef] [PubMed]
- Allori, A.C.; Sailon, A.M.; Warren, S.M. Biological basis of bone formation, remodeling, and repair-part I: Biochemical signaling molecules. Tissue Eng. Part B Rev. 2008, 14, 259–273. [Google Scholar] [CrossRef]
- Filip, D.G.; Surdu, V.A.; Paduraru, A.V.; Andronescu, E. Current Development in Biomaterials-Hydroxyapatite and Bioglass for Applications in Biomedical Field: A Review. J. Funct. Biomater. 2022, 13, 248. [Google Scholar] [CrossRef]
- Wang, C.; Liao, H.; Cao, Z. Role of Osterix and MicroRNAs in Bone Formation and Tooth Development. Med Sci. Monit. 2016, 22, 2934–2942. [Google Scholar] [CrossRef]
- Guo, L.; Xin, H.; Luo, X.; Zhang, C. Phase evolution, mechanical properties and MRI contrast behavior of GdPO4 doped hydroxyapatite for dental applications. Mater. Biol. Appl. 2020, 111, 110858. [Google Scholar] [CrossRef]
- Lu, J.; Yu, H.; Chen, C. Biological properties of calcium phosphate biomaterials for bone repair: A review. RSC Adv. 2018, 8, 2015–2033. [Google Scholar] [CrossRef]
- Li, Q.; Feng, C.; Cao, Q.; Wang, W.; Ma, Z.; Wu, Y.; He, T.; Jing, Y.; Tan, W.; Liao, T.; et al. Strategies of strengthening mechanical properties in the osteoinductive calcium phosphate bioceramics. Regen. Biomater. 2023, 10, rbad013. [Google Scholar] [CrossRef]
- Dayan, D.; Hiss, Y.; Hirshberg, A.; Bubis, J.J.; Wolman, M. Are the polarization colors of picrosirius red-stained collagen determined only by the diameter of the fibers? Histochemistry 1989, 93, 27–29. [Google Scholar] [CrossRef]
- Liang, H.P.H.; Xu, J.; Xue, M.; Jackson, C.J. Matrix metalloproteinases in bone development and pathology: Current knowledge and potential clinical utility. Met. Med. 2016, 3, 93–102. [Google Scholar] [CrossRef]
- Raina, V. Normal osteoid tissue. J. Clin. Pathol. 1972, 25, 229–232. [Google Scholar] [CrossRef] [PubMed] [PubMed Central]
- Ribeiro, L.A.; Magalhães, H.I.R.; Silva, A.F.; Silva, F.O.C.E. Macroscopic, morphometric, and tomographic features of the mandible of the collared peccary (Pecari tajacu) applied to clinical morpho-physiology and imaging. Anat. Rec. 2022, 305, 3178–3191. [Google Scholar] [CrossRef]
- Gruber, H.E. Adaptations of Goldner’s Masson trichrome stain for the study of undecalcified plastic embedded bone. Biotech. Histochem. 1992, 67, 30–34. [Google Scholar] [CrossRef]
- Lattouf, R.; Younes, R.; Lutomski, D.; Naaman, N.; Godeau, G.; Senni, K.; Changotade, S. Picrosirius red staining: A useful tool to appraise collagen networks in normal and pathological tissues. J. Histochem. Cytochem. 2014, 62, 751–758. [Google Scholar] [CrossRef]
- Kjosness, K.M.; Reno, P.L.; Serrat, M.A. Modified Periodic Acid-Schiff (PAS) Is an Alternative to Safranin O for Discriminating Bone–Cartilage Interfaces. JBMR Plus 2023, 7, e10742. [Google Scholar] [CrossRef]
- Sharma, U.; Pal, D.; Prasad, R. Alkaline phosphatase: An overview. Indian J. Clin. Biochem. 2014, 29, 269–278. [Google Scholar] [CrossRef]
- Halling Linder, C.; Ek-Rylander, B.; Krumpel, M.; Norgård, M.; Narisawa, S.; Millán, J.L.; Andersson, G.; Magnusson, P. Bone Alkaline Phosphatase and Tartrate-Resistant Acid Phosphatase: Potential Co-regulators of Bone Mineralization. Calcif. Tissue Int. 2017, 101, 92–101. [Google Scholar] [CrossRef]
- Vimalraj, S. Alkaline phosphatase: Structure, expression and its function in bone mineralization. Gene 2020, 754, 144855. [Google Scholar] [CrossRef]
- Dai, R.; Wu, Z.; Chu, H.Y.; Lu, J.; Lyu, A.; Liu, J.; Zhang, G. Cathepsin K: The Action in and Beyond Bone. Front. Cell Dev. Biol. 2020, 8, 433. [Google Scholar] [CrossRef]
- Kumar, A.; Mahendra, J.; Mahendra, L.; Abdulkarim, H.H.; Sayed, M.; Mugri, M.H.; Ahmad, Z.H.; Bhati, A.K.; Faqehi, H.H.; Algregri, W.O.; et al. Synergistic Effect of Biphasic Calcium Phosphate and Platelet-Rich Fibrin Attenuate Markers for Inflammation and Osteoclast Differentiation by Suppressing NF-κB/MAPK Signaling Pathway in Chronic Periodontitis. Molecules 2021, 26, 6578. [Google Scholar] [CrossRef] [PubMed]
- Jann, J.; Gascon, S.; Roux, S.; Faucheux, N. Influence of the TGF-β Superfamily on Osteoclasts/Osteoblasts Balance in Physiological and Pathological Bone Conditions. Int. J. Mol. Sci. 2020, 21, 7597. [Google Scholar] [CrossRef]
- Paiva, K.B.S.; Granjeiro, J.M. Matrix Metalloproteinases in Bone Resorption, Remodeling, and Repair. Prog. Mol. Biol. Transl. Sci. 2017, 148, 203–303. [Google Scholar] [CrossRef]
- Lieu, S.; Hansen, E.; Dedini, R.; Behonick, D.; Werb, Z.; Miclau, T.; Marcucio, R.; Colnot, C. Impaired remodeling phase of fracture repair in the absence of matrix metalloproteinase-2. Dis. Model. Mech. 2011, 4, 203–211. [Google Scholar] [CrossRef] [PubMed] [PubMed Central]
- Hu, K.; Olsen, B.R. The roles of vascular endothelial growth factor in bone repair and regeneration. Bone 2016, 91, 30–38. [Google Scholar] [CrossRef] [PubMed] [PubMed Central]
- Chan, W.C.W.; Tan, Z.; To, M.K.T.; Chan, D. Regulation and Role of Transcription Factors in Osteogenesis. Int. J. Mol. Sci. 2021, 22, 5445. [Google Scholar] [CrossRef]
- Narayanan, A.; Srinaath, N.; Rohini, M.; Selvamurugan, N. Regulation of Runx2 by MicroRNAs in osteoblast differentiation. Life Sci. 2019, 232, 116676. [Google Scholar] [CrossRef]
- Rossi, M.; Battafarano, G.; Pepe, J.; Minisola, S.; Del Fattore, A. The Endocrine Function of Osteocalcin Regulated by Bone Resorption: A Lesson from Reduced and Increased Bone Mass Diseases. Int. J. Mol. Sci. 2019, 20, 4502. [Google Scholar] [CrossRef] [PubMed] [PubMed Central]
- Komori, T. Functions of Osteocalcin in Bone, Pancreas, Testis, and Muscle. Int. J. Mol. Sci. 2020, 21, 7513. [Google Scholar] [CrossRef]
- Leng, Q.; Chen, L.; Lv, Y. RNA-based scaffolds for bone regeneration: Application and mechanisms of mRNA, miRNA and siRNA. Theranostics 2020, 10, 3190–3205. [Google Scholar] [CrossRef] [PubMed] [PubMed Central]
































| Primer | Forward | Reverse | |
|---|---|---|---|
| β-actin | 5′-CAGAGCAAGAGAGGCATCCT-3′ | 5′-GTCATCTTTTCACGGTTGGC-3′ | |
| RANKL | 5′-TCGCTCTGTTCCTGTACT-3′ | 5′-AGTGCTTCTGTGTCTTCG-3′ | |
| Osteocalcin | 5′-CACAGGGAGGTGTGTGAG-3′ | 5′-TGTGCCGTCCATACTTTC-3′ | |
| ALP | 5′-GCCTGGACCTCATCAGCATT-3′ | 5′-GGGAAGGGTCAGTCAGGTTG-3′ | |
| Osterix | 5′-GCCTACTTACCCGTCTGA-3′ | 5′-CTCCAGTTGCCCACTATT-3′ | |
| Runx2 | 5′-TAACGGTCTTCACAAATCCTC-3′ | 5′-GGCGGTCAGAGAACAAACTA-3′ |
Disclaimer/Publisher’s Note: The statements, opinions and data contained in all publications are solely those of the individual author(s) and contributor(s) and not of MDPI and/or the editor(s). MDPI and/or the editor(s) disclaim responsibility for any injury to people or property resulting from any ideas, methods, instructions or products referred to in the content. |
© 2024 by the authors. Licensee MDPI, Basel, Switzerland. This article is an open access article distributed under the terms and conditions of the Creative Commons Attribution (CC BY) license (https://creativecommons.org/licenses/by/4.0/).
Share and Cite
Brum, I.d.S.; Frigo, L.; Ribeiro da Silva, J.F.; Ciambarella, B.T.; Nascimento, A.L.R.; Pereira, M.J.d.S.; Elias, C.N.; de Carvalho, J.J. Comparison Between Nano-Hydroxyapatite/Beta-Tricalcium Phosphate Composite and Autogenous Bone Graft in Bone Regeneration Applications: Biochemical Mechanisms and Morphological Analysis. Int. J. Mol. Sci. 2025, 26, 52. https://doi.org/10.3390/ijms26010052
Brum IdS, Frigo L, Ribeiro da Silva JF, Ciambarella BT, Nascimento ALR, Pereira MJdS, Elias CN, de Carvalho JJ. Comparison Between Nano-Hydroxyapatite/Beta-Tricalcium Phosphate Composite and Autogenous Bone Graft in Bone Regeneration Applications: Biochemical Mechanisms and Morphological Analysis. International Journal of Molecular Sciences. 2025; 26(1):52. https://doi.org/10.3390/ijms26010052
Chicago/Turabian StyleBrum, Igor da Silva, Lucio Frigo, Jemima Fuentes Ribeiro da Silva, Bianca Torres Ciambarella, Ana Lucia Rosa Nascimento, Mario José dos Santos Pereira, Carlos Nelson Elias, and Jorge José de Carvalho. 2025. "Comparison Between Nano-Hydroxyapatite/Beta-Tricalcium Phosphate Composite and Autogenous Bone Graft in Bone Regeneration Applications: Biochemical Mechanisms and Morphological Analysis" International Journal of Molecular Sciences 26, no. 1: 52. https://doi.org/10.3390/ijms26010052
APA StyleBrum, I. d. S., Frigo, L., Ribeiro da Silva, J. F., Ciambarella, B. T., Nascimento, A. L. R., Pereira, M. J. d. S., Elias, C. N., & de Carvalho, J. J. (2025). Comparison Between Nano-Hydroxyapatite/Beta-Tricalcium Phosphate Composite and Autogenous Bone Graft in Bone Regeneration Applications: Biochemical Mechanisms and Morphological Analysis. International Journal of Molecular Sciences, 26(1), 52. https://doi.org/10.3390/ijms26010052

