Local Application of Minimally Manipulated Autologous Stromal Vascular Fraction (SVF) Reduces Inflammation and Improves Bilio-Biliary Anastomosis Integrity
Abstract
1. Introduction
2. Results
2.1. SVF Characterization
2.2. Follow-Up Assessment
2.3. Macroscopic Observation
2.4. Histological Staining Studies
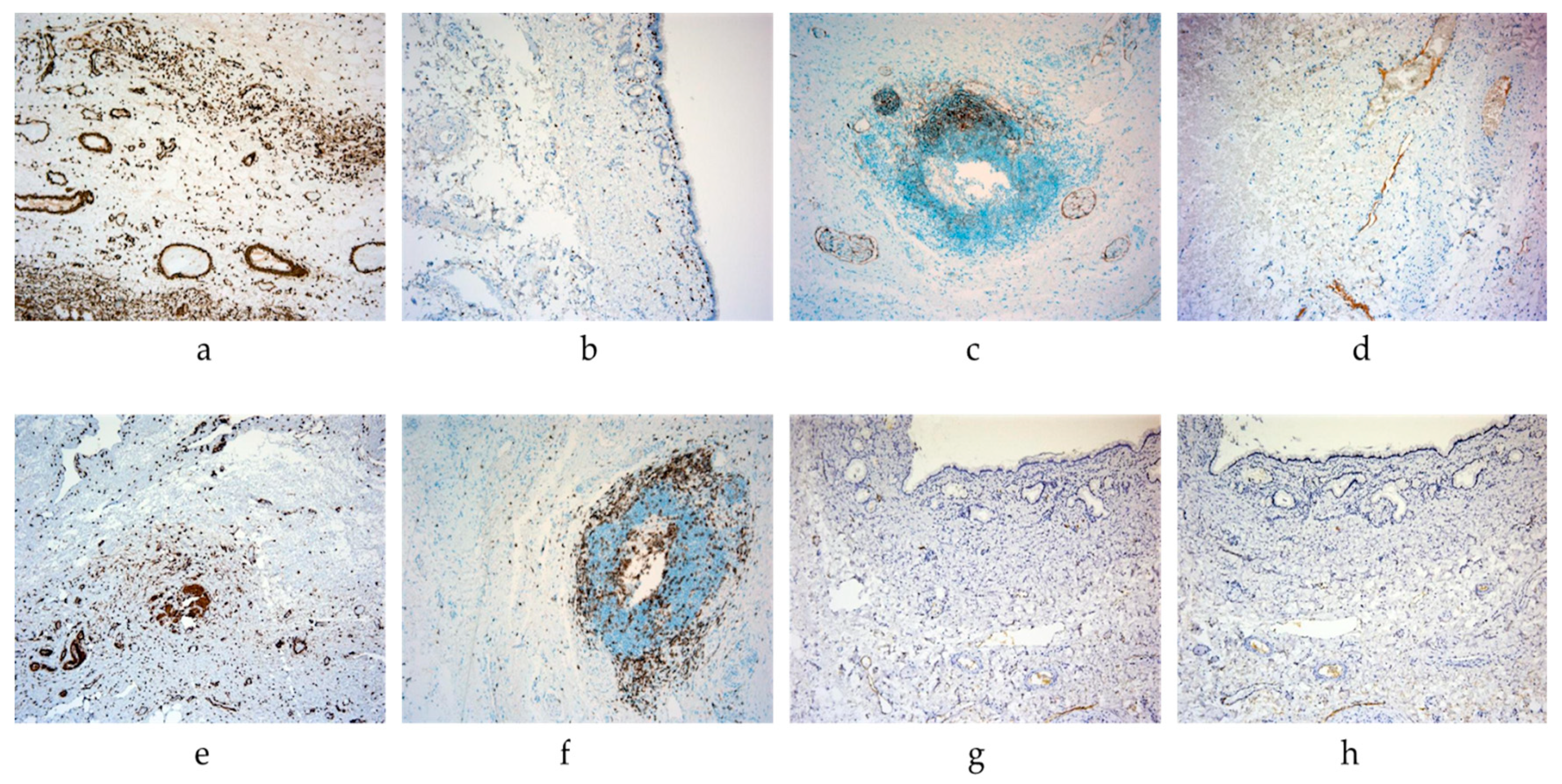
2.5. Immunohistochemical Staining Studies
2.6. Quantitative Morphometry
2.7. Mast Cell Responses
3. Discussion
4. Materials and Methods
4.1. Experimental Animals
4.2. Procedure for the Collection of Biological Material and the Cell Derivation
4.3. Experimental Study Design
4.4. Animal Anesthesia and Samples Collection
4.5. Morphological Assessment
4.6. Statistical Analysis
5. Conclusions
Author Contributions
Funding
Institutional Review Board Statement
Informed Consent Statement
Data Availability Statement
Conflicts of Interest
References
- Takahashi, K.; Nagai, S.; Putchakayala, K.G.; Safwan, M.; Gosho, M.; Li, A.Y.; Kane, W.J.; Singh, P.L.; Rizzari, M.D.; Collins, K.M.; et al. Prediction of biliary anastomotic stricture after deceased donor liver transplantation: The impact of platelet counts–a retrospective study. Transpl. Int. 2017, 30, 1032–1040. [Google Scholar] [CrossRef] [PubMed]
- Boeva, I.; Karagyozov, P.I.; Tishkov, I. Post-liver transplant biliary complications: Current knowledge and therapeutic advances. World J. Hepatol. 2021, 13, 66. [Google Scholar] [CrossRef] [PubMed]
- Jung, D.H.; Ikegami, T.; Balci, D.; Bhangui, P. Biliary reconstruction and complications in living donor liver transplantation. Int. J. Surg. 2020, 82, 138–144. [Google Scholar] [CrossRef] [PubMed]
- Klabukov, I.D.; Baranovskii, D.S.; Shegay, P.V.; Kaprin, A.D. Pitfalls and promises of bile duct alternatives: There is plenty of room in the regenerative surgery. World J. Gastroenterol. 2023, 29, 4701. [Google Scholar] [CrossRef] [PubMed]
- Sun, Q.; Shen, Z.; Liang, X.; He, Y.; Kong, D.; Midgley, A.C.; Wang, K. Progress and current limitations of materials for artificial bile duct engineering. Materials 2021, 14, 7468. [Google Scholar] [CrossRef] [PubMed]
- Evstratova, E.; Smirnova, A.; Skornyakova, E.; Baranovskii, D.; Klabukov, I. Recombinant collagen coating 3D printed PEGDA hydrogel tube loading with differentiable BMSCs to repair bile duct injury: The Deficiency of Engineering Approaches in Tissue Engineering Research. Colloids Surf. B Biointerfaces 2025, 245, 114282. [Google Scholar] [CrossRef]
- Pesce, A.; Palmucci, S.; La Greca, G.; Puleo, S. Iatrogenic bile duct injury: Impact and management challenges. Clin. Exp. Gastroenterol. 2019, 12, 121–128. [Google Scholar] [CrossRef] [PubMed]
- Martinez-Isla, A.; Acosta-Mérida, M.A.; Navaratne, L.; Ashrafian, H. History of Bile Duct Surgery. In Laparoscopic Common Bile Duct Exploration; Springer International Publishing: Cham, Switzerland, 2022; pp. 1–41. [Google Scholar]
- Jabłońska, B.; Lampe, P. Iatrogenic bile duct injuries: Etiology, diagnosis and management. World J. Gastroenterol. WJG 2009, 15, 4097. [Google Scholar] [CrossRef] [PubMed]
- Klabukov, I.; Tenchurin, T.; Shepelev, A.; Baranovskii, D.; Mamagulashvili, V.; Dyuzheva, T.; Krasilnikova, O.; Balyasin, M.; Lyundup, A.; Krasheninnikov, M.; et al. Biomechanical Behaviors and Degradation Properties of Multilayered Polymer Scaffolds: The Phase Space Method for Bile Duct Design and Bioengineering. Biomedicines. 2023, 11, 745. [Google Scholar] [CrossRef]
- Lee, M.C.; Pan, C.T.; Huang, R.J.; Ou, H.Y.; Yu, C.Y.; Shiue, Y.L. Investigation of Degradation and Biocompatibility of Indirect 3D-Printed Bile Duct Stents. Bioengineering 2024, 11, 731. [Google Scholar] [CrossRef]
- Shestakova, V.A.; Klabukov, I.D.; Baranovskii, D.S.; Shegay, P.V.; Kaprin, A.D. Assessment of immunological responses-a novel challenge in tissue engineering and regenerative medicine. Biomed. Res. Ther. 2022, 9, 5384–5386. [Google Scholar] [CrossRef]
- Petrus-Reurer, S.; Romano, M.; Howlett, S.; Jones, J.L.; Lombardi, G.; Saeb-Parsy, K. Immunological considerations and challenges for regenerative cellular therapies. Commun. Biol. 2021, 4, 798. [Google Scholar] [CrossRef] [PubMed]
- Tekant, Y.; Serin, K.R.; İbiş, A.C.; Ekiz, F.; Baygül, A.; Özden, İ. Surgical reconstruction of major bile duct injuries: Long-term results and risk factors for restenosis. Surgeon 2023, 21, e32–e41. [Google Scholar] [CrossRef]
- Biesel, E.A.; Kuesters, S.; Chikhladze, S.; Ruess, D.A.; Hipp, J.; Hopt, U.T.; Fichtner-Feigl, S.; Wittel, U.A. Surgical complications requiring late surgical revisions after pancreatoduodenectomy increase postoperative morbidity and mortality. Scand. J. Surg. 2024, 113, 88–97. [Google Scholar] [CrossRef] [PubMed]
- Lan, T.; Qian, S.; Tang, C.; Gao, J. Role of immune cells in biliary repair. Front. Immunol. 2022, 13, 866040. [Google Scholar] [CrossRef] [PubMed]
- Yu, Y.; Yue, Z.; Xu, M.; Zhang, M.; Shen, X.; Ma, Z.; Li, J.; Xie, X. Macrophages play a key role in tissue repair and regeneration. PeerJ 2022, 10, e14053. [Google Scholar] [CrossRef] [PubMed]
- Björkström, N.K. Immunobiology of the biliary tract system. J. Hepatol. 2022, 77, 1657–1669. [Google Scholar] [CrossRef]
- Zhao, J.; Yue, P.; Mi, N.; Li, M.; Fu, W.; Zhang, X.; Gao, L.; Bai, M.; Tian, L.; Jiang, N.; et al. Biliary fibrosis is an important but neglected pathological feature in hepatobiliary disorders: From molecular mechanisms to clinical implications. Med. Rev. 2024, 4, 326–365. [Google Scholar] [CrossRef]
- Laloze, J.; Fiévet, L.; Desmoulière, A. Adipose-derived mesenchymal stromal cells in regenerative medicine: State of play, current clinical trials, and future prospects. Adv. Wound Care 2021, 10, 24–48. [Google Scholar] [CrossRef]
- Zhidu, S.; Ying, T.; Rui, J.; Chao, Z. Translational potential of mesenchymal stem cells in regenerative therapies for human diseases: Challenges and opportunities. Stem Cell Res. Ther. 2024, 15, 266. [Google Scholar] [CrossRef]
- Zhang, J.; Liu, Y.; Chen, Y.; Yuan, L.; Liu, H.; Wang, J.; Liu, Q.; Zhang, Y. Adipose-Derived stem cells: Current applications and future directions in the regeneration of multiple tissues. Stem Cells Int. 2020, 2020, 8810813. [Google Scholar] [CrossRef]
- Semon, J.A.; Maness, C.; Zhang, X.; Sharkey, S.A.; Beuttler, M.M.; Shah, F.S.; Pandey, A.C.; Gimble, J.M.; Zhang, S.; Scruggs, B.A.; et al. Comparison of human adult stem cells from adipose tissue and bone marrow in the treatment of experimental autoimmune encephalomyelitis. Stem Cell Res. Ther. 2014, 5, 2. [Google Scholar] [CrossRef] [PubMed]
- Mazini, L.; Rochette, L.; Amine, M.; Malka, G. Regenerative capacity of adipose derived stem cells (ADSCs), comparison with mesenchymal stem cells (MSCs). Int. J. Mol. Sci. 2019, 20, 2523. [Google Scholar] [CrossRef] [PubMed]
- Ryabkov, M.G.; Egorikhina, M.N.; Koloshein, N.A.; Petrova, K.S.; Volovik, M.G.; Orlinskaya, N.Y.; Moskovchenko, A.O.; Charykova, I.N.; Aleynik, D.Y.; Linkova, D.D.; et al. Effectiveness and Safety of Transplantation of the Stromal Vascular Fraction of Autologous Adipose Tissue for Wound Healing in the Donor Site in Patients with Third-Degree Skin Burns: A Randomized Trial. Med. J. Islam. Repub. Iran 2023, 37, 560–568. [Google Scholar] [CrossRef]
- Goncharov, E.N.; Koval, O.A.; Bezuglov, E.N.; Engelgard, M.; Eremin, I.I.; Kotenko, K.V.; Ramirez, M.D.J.E.; Montemurro, N. Comparative Analysis of Stromal Vascular Fraction and Alternative Mechanisms in Bone Fracture Stimulation to Bridge the Gap between Nature and Technological Advancement: A Systematic Review. Biomedicines 2024, 12, 342. [Google Scholar] [CrossRef]
- Krasilnikova, O.A.; Klabukov, I.D.; Baranovskii, D.S.; Shegay, P.V.; Kaprin, A.D. The new legal framework for minimally manipulated cells expands the possibilities for cell therapy in Russia. Cytotherapy 2021, 23, 754–755. [Google Scholar] [CrossRef]
- Baranovskii, D.S.; Klabukov, I.D.; Arguchinskaya, N.V.; Yakimova, A.O.; Kisel, A.A.; Yatsenko, E.M.; Ivanov, S.A.; Shegay, P.V.; Kaprin, A.D. Adverse events, side effects and complications in mesenchymal stromal cell-based therapies. Stem Cell Investig. 2022, 9, 7. [Google Scholar] [CrossRef]
- Baranovskii, D.S.; Akhmedov, B.G.; Demchenko, A.G.; Krasheninnikov, M.E.; Balyasin, M.V.; Pavlova, O.Y.; Serova, N.S.; Krasil’nikova, O.A.; Shegai, P.V.; Kaprin, A.D.; et al. Minimally Manipulated Bone Marrow-Derived Cells Can Be Used for Tissue Engineering In Situ and Simultaneous Formation of Personalized Tissue Models. Bull. Exp. Biol. Med. 2022, 173, 139–145. [Google Scholar] [CrossRef]
- Prins, H.J.; Schulten, E.A.; Ten Bruggenkate, C.M.; Klein-Nulend, J.; Helder, M.N. Bone regeneration using the freshly isolated autologous stromal vascular fraction of adipose tissue in combination with calcium phosphate ceramics. Stem Cells Transl. Med. 2016, 5, 1362–1374. [Google Scholar] [CrossRef] [PubMed]
- Hara, T.; Soyama, A.; Adachi, T.; Kobayashi, S.; Sakai, Y.; Maruya, Y.; Kugiyama, T.; Hidaka, M.; Okada, S.; Hamada, T.; et al. Ameliorated healing of biliary anastomosis by autologous adipose-derived stem cell sheets. Regen. Ther. 2020, 14, 79–86. [Google Scholar] [CrossRef] [PubMed]
- Francis, H.; Meininger, C.J. A review of mast cells and liver disease: What have we learned? Dig. Liver Dis. 2010, 42, 529–536. [Google Scholar] [CrossRef]
- Trussoni, C.E.; O’Hara, S.P.; LaRusso, N.F. Cellular senescence in the cholangiopathies: A driver of immunopathology and a novel therapeutic target. Semin. Immunopathol. 2022, 44, 527–544. [Google Scholar] [CrossRef]
- Chiche, L.; Guieu, M.; Bachellier, P.; Suc, B.; Soubrane, O.; Boudjema, K.; Navarro, F.; Adam, R.; Vaillant, J.-C.; Salame, E.; et al. Liver transplantation for iatrogenic bile duct injury during cholecystectomy: A French retrospective multicenter study. HPB 2022, 24, 94–100. [Google Scholar] [CrossRef]
- Xie, Z.; Yu, W.; Ye, G.; Li, J.; Zheng, G.; Liu, W.; Lin, J.; Su, Z.; Che, Y.; Ye, F.; et al. Single-cell RNA sequencing analysis of human bone-marrow-derived mesenchymal stem cells and functional subpopulation identification. Exp. Mol. Med. 2022, 54, 483–492. [Google Scholar] [CrossRef]
- Ma, D.H.-K.; Hsueh, Y.-J.; Ma, K.S.-K.; Tsai, Y.-J.; Huang, S.-F.; Chen, H.-C.; Sun, C.-C.; Kuo, M.-T.; Chao, A.-S.; Lai, J.-Y. Long-term survival of cultivated oral mucosal epithelial cells in human cornea: Generating cell sheets using an animal product-free culture protocol. Stem Cell Res. Ther. 2021, 12, 524. [Google Scholar] [CrossRef]
- Ohki, T.; Ota, M.; Takagi, R.; Okano, T.; Yamamoto, M. Long-term outcomes of regenerative treatment by endoscopic oral mucosal epithelial cell sheet transplantation for the prevention of esophageal stricture after endoscopic resection. J. Immunol. Regen. Med. 2023, 19, 100067. [Google Scholar] [CrossRef]
- Iwamoto, K.; Saito, T.; Takemoto, Y.; Ueno, K.; Yanagihara, M.; Furuya-Kondo, T.; Kurazumi, H.; Tanaka, Y.; Taura, Y.; Harada, E.; et al. Autologous transplantation of multilayered fibroblast sheets prevents postoperative pancreatic fistula by regulating fibrosis and angiogenesis. Am. J. Transl. Res. 2021, 13, 1257. [Google Scholar] [PubMed]
- Guillamat-Prats, R. The role of MSC in wound healing, scarring and regeneration. Cells 2021, 10, 1729. [Google Scholar] [CrossRef]
- Zhao, K.; Lin, R.; Fan, Z.; Chen, X.; Wang, Y.; Huang, F.; Xu, N.; Zhang, X.; Xuan, L.; Wang, S.; et al. Mesenchymal stromal cells plus basiliximab, calcineurin inhibitor as treatment of steroid-resistant acute graft-versus-host disease: A multicenter, randomized, phase 3, open-label trial. J. Hematol. Oncol. 2022, 15, 22. [Google Scholar] [CrossRef]
- Joo, H.H.; Jo, H.J.; Jung, T.D.; Ahn, M.S.; Bae, K.B.; Hong, K.H.; Kim, J.; Kim, J.T.; Kim, S.H.; Yang, Y.I. Adipose-derived stem cells on the healing of ischemic colitis: A therapeutic effect by angiogenesis. Int. J. Color. Dis. 2012, 27, 1437–1443. [Google Scholar] [CrossRef]
- Shang, Q.; Chu, Y.; Li, Y.; Han, Y.; Yu, D.; Liu, R.; Zheng, Z.; Song, L.; Fang, J.; Li, X.; et al. Adipose-derived mesenchymal stromal cells promote corneal wound healing by accelerating the clearance of neutrophils in cornea. Cell Death Dis. 2020, 11, 707. [Google Scholar] [CrossRef]
- Li, M.; Yang, T.; Zhao, J.; Ma, X.; Cao, Y.; Hu, X.; Zhao, S.; Zhou, L. Cell sheet formation enhances the therapeutic effects of adipose-derived stromal vascular fraction on urethral stricture. Mater. Today Bio 2024, 25, 101012. [Google Scholar] [CrossRef] [PubMed]
- Liu, Y.; Wang, M.; Yu, Y.; Li, C.; Zhang, C. Advances in the study of exosomes derived from mesenchymal stem cells and cardiac cells for the treatment of myocardial infarction. Cell Commun. Signal. 2023, 21, 202. [Google Scholar] [CrossRef]
- Kostecka, A.; Kalamon, N.; Skoniecka, A.; Koczkowska, M.; Skowron, P.M.; Piotrowski, A.; Pikuła, M. Adipose-derived mesenchymal stromal cells in clinical trials: Insights from single-cell studies. Life Sci. 2024, 351, 122761. [Google Scholar] [CrossRef] [PubMed]
- Maruya, Y.; Kanai, N.; Kobayashi, S.; Koshino, K.; Okano, T.; Eguchi, S.; Yamato, M. Autologous adipose-derived stem cell sheets enhance the strength of intestinal anastomosis. Regen. Ther. 2017, 7, 24–33. [Google Scholar] [CrossRef] [PubMed]
- Hosseiniasl, S.M.; Felgendreff, P.; Tharwat, M.; Amiot, B.; AbuRmilah, A.; Minshew, A.M.; Bornschlegl, A.M.; Jalan-Sakrikar, N.; Smart, M.; Dietz, A.B.; et al. Biodegradable biliary stents coated with mesenchymal stromal cells in a porcine choledochojejunostomy model. Cytotherapy 2023, 25, 483–489. [Google Scholar] [CrossRef]
- Kallmeyer, K.; André-Lévigne, D.; Baquié, M.; Krause, K.H.; Pepper, M.S.; Pittet-Cuénod, B.; Modarressi, A. Fate of systemically and locally administered adipose-derived mesenchymal stromal cells and their effect on wound healing. Stem Cells Transl. Med. 2020, 9, 131–144. [Google Scholar] [CrossRef]
- Kulakov, A.; Kogan, E.; Brailovskaya, T.; Vedyaeva, A.; Zharkov, N.; Krasilnikova, O.; Krasheninnikov, M.; Baranovskii, D.; Rasulov, T.; Klabukov, I. Mesenchymal stromal cells enhance vascularization and epithelialization within 7 days after gingival augmentation with collagen matrices in rabbits. Dent. J. 2021, 9, 101. [Google Scholar] [CrossRef]
- Zhang, Y.; Sharma, A.; Joo, D.J.; Nelson, E.; AbuRmilah, A.; Amiot, B.P.; Boyer, C.J.; Alexander, J.S.; Jalan-Sakrikar, N.; Martin, J.; et al. Autologous adipose tissue–derived mesenchymal stem cells introduced by biliary stents or local immersion in porcine bile duct anastomoses. Liver Transplant. 2020, 26, 100–112. [Google Scholar] [CrossRef]
- Atiakshin, D.; Buchwalow, I.; Samoilova, V.; Tiemann, M. Tryptase as a polyfunctional component of mast cells. Histochem. Cell Biol. 2018, 149, 461–477. [Google Scholar] [CrossRef]
- Elieh Ali Komi, D.; Kuebler, W.M. Significance of Mast Cell Formed Extracellular Traps in Microbial Defense. Clin. Rev. Allergy Immunol. 2022, 62, 160–179. [Google Scholar] [CrossRef]
- Ma, C.; Li, H.; Lu, S.; Li, X.; Wang, S.; Wang, W. Tryptase and Exogenous Trypsin: Mechanisms and Ophthalmic Applications. J. Inflamm. Res. 2023, 16, 927–939. [Google Scholar] [CrossRef]
- Caughey, G.H. Update on Mast Cell Proteases as Drug Targets. Immunol. Allergy Clin. N. Am. 2023, 43, 777–787. [Google Scholar] [CrossRef]
- O’Connell, M.P.; Lyons, J.J. Resolving the genetics of human tryptases: Implications for health, disease, and clinical use as a biomarker. Curr. Opin. Allergy Clin. Immunol. 2022, 22, 143–152. [Google Scholar] [CrossRef] [PubMed]
- Ong, W.K.; Chakraborty, S.; Sugii, S. Adipose tissue: Understanding the heterogeneity of stem cells for regenerative medicine. Biomolecules 2021, 11, 918. [Google Scholar] [CrossRef]
- Zoletil Dosage Guideline. Available online: https://www.vetpharm.uzh.ch/TAK/PDFSPC/06000000/06240501-LF-EN.pdf (accessed on 30 September 2024).
- Ausems, E.J. The European Convention for the Protection of Vertebrate Animals Used for Experimental and Other Scientific Purposes. Z. Fur. Vers. 1986, 28, 219. [Google Scholar]
- Forbes, D.; Blom, H.; Kostomitsopoulos, N.; Moore, G.; Perretta, G. FELASA Euroguide: On the Accommodation and Care of Animals Used for Experimental and Other Scientific Purposes; The Royal Society of Medicine Press Ltd.: London, UK, 2007. [Google Scholar]
- Wang, L.; Yang, B.; Jiang, H.; Wei, L.; Zhao, Y.; Chen, Z.; Chen, D. Individualized Biliary Reconstruction Techniques in Liver Transplantation: Five Years’ Experience of a Single Institution. J. Gastrointest. Surg. 2023, 27, 1188–1196. [Google Scholar] [CrossRef] [PubMed]
- Simo, K.A.; Hanna, E.M.; Imagawa, D.K.; Iannitti, D.A. Hemostatic agents in hepatobiliary and pancreas surgery: A review of the literature and critical evaluation of a novel carrier-bound fibrin sealant (TachoSil). Int. Sch. Res. Not. 2012, 2012, 729086. [Google Scholar] [CrossRef]








| Sample No. | #1 | #2 | #3 |
|---|---|---|---|
| Value of adipose tissue, ml | 4 | 3.5 | 3 |
| Total count of derived cells, ×106 | 3.6 | 3.85 | 2.94 |
| Cell viability, % | 95 | 92 | 94 |
| Cells per 1 mL of adipose tissue, ×106 | 0.9 | 1.1 | 0.98 |
| Cell doubling time, hours | 22 | 25 | 23 |
| IHC Marker | SVF-Treated Group | Control Group |
|---|---|---|
| α-SMA (α-smooth muscle actin) | Strong expression in fibroblasts (+++) | Moderate expression in fibroblasts (++) |
| CD3 | Moderate expression in T-lymphocytes (++) | Strong expression in T-lymphocytes (+++) |
| CD10 | Moderate expression in some cells of the infiltrate (++) | Undetected |
| CD34 | Weak expression in vascular endothelium (+) | Undetected |
Disclaimer/Publisher’s Note: The statements, opinions and data contained in all publications are solely those of the individual author(s) and contributor(s) and not of MDPI and/or the editor(s). MDPI and/or the editor(s) disclaim responsibility for any injury to people or property resulting from any ideas, methods, instructions or products referred to in the content. |
© 2024 by the authors. Licensee MDPI, Basel, Switzerland. This article is an open access article distributed under the terms and conditions of the Creative Commons Attribution (CC BY) license (https://creativecommons.org/licenses/by/4.0/).
Share and Cite
Klabukov, I.; Shatveryan, G.; Bagmet, N.; Aleshina, O.; Ivanova, E.; Savina, V.; Gilmutdinova, I.; Atiakshin, D.; Ignatyuk, M.; Baranovskii, D.; et al. Local Application of Minimally Manipulated Autologous Stromal Vascular Fraction (SVF) Reduces Inflammation and Improves Bilio-Biliary Anastomosis Integrity. Int. J. Mol. Sci. 2025, 26, 222. https://doi.org/10.3390/ijms26010222
Klabukov I, Shatveryan G, Bagmet N, Aleshina O, Ivanova E, Savina V, Gilmutdinova I, Atiakshin D, Ignatyuk M, Baranovskii D, et al. Local Application of Minimally Manipulated Autologous Stromal Vascular Fraction (SVF) Reduces Inflammation and Improves Bilio-Biliary Anastomosis Integrity. International Journal of Molecular Sciences. 2025; 26(1):222. https://doi.org/10.3390/ijms26010222
Chicago/Turabian StyleKlabukov, Ilya, Garnik Shatveryan, Nikolay Bagmet, Olga Aleshina, Elena Ivanova, Victoria Savina, Ilmira Gilmutdinova, Dmitry Atiakshin, Michael Ignatyuk, Denis Baranovskii, and et al. 2025. "Local Application of Minimally Manipulated Autologous Stromal Vascular Fraction (SVF) Reduces Inflammation and Improves Bilio-Biliary Anastomosis Integrity" International Journal of Molecular Sciences 26, no. 1: 222. https://doi.org/10.3390/ijms26010222
APA StyleKlabukov, I., Shatveryan, G., Bagmet, N., Aleshina, O., Ivanova, E., Savina, V., Gilmutdinova, I., Atiakshin, D., Ignatyuk, M., Baranovskii, D., Shegay, P., Kaprin, A., Eremin, I., & Chardarov, N. (2025). Local Application of Minimally Manipulated Autologous Stromal Vascular Fraction (SVF) Reduces Inflammation and Improves Bilio-Biliary Anastomosis Integrity. International Journal of Molecular Sciences, 26(1), 222. https://doi.org/10.3390/ijms26010222

