Comparative Transcriptomics Reveal Differential Expression of Coding and Non-Coding RNAs in Clinical Strains of Mycobacterium tuberculosis
Abstract
1. Introduction
2. Results and Discussion
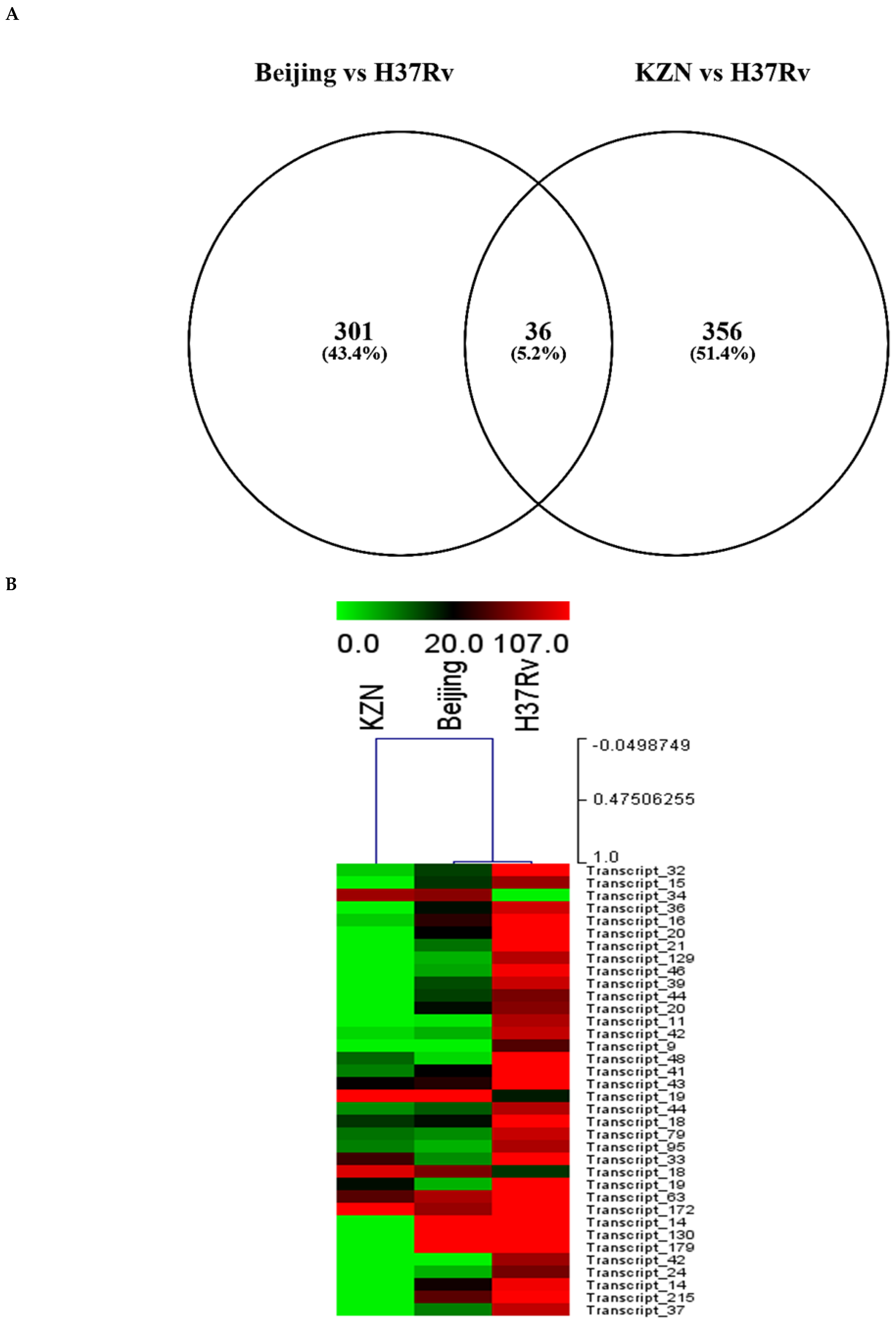
2.1. The Beijing Strain Induced a Higher Number of Significantly Differentially Expressed Transcripts Compared to the F15/LAM4/KZN Strain
2.2. Clinical Strains of M. tuberculosis Exhibit High Antisense Regulatory ncRNA Transcripts
2.3. Highly Expressed Sense ncRNAs Regulate Metabolism and Cell Wall Processes in Clinical Strains of M. tuberculosis
| Transcription Start | Transcription Stop | Strand | Expression (RPKM) | Transcript Length |
|---|---|---|---|---|
| 4087068 | 4086907 | − | 119182 | 161 |
| 4340712 | 4340797 | + | 8378 | 85 |
| 2335625 | 2335561 | − | 5538 | 64 |
| 3124881 | 3124715 | − | 5014 | 166 |
| 613142 | 613226 | + | 3280 | 84 |
| 65640 | 65532 | − | 3015 | 108 |
| 2366409 | 2366548 | + | 2846 | 139 |
| 1432800 | 1432621 | − | 2832 | 179 |
| 2744204 | 2744067 | − | 2540 | 137 |
| 3584108 | 3584007 | − | 2409 | 101 |
| Target mRNA/s | Target mRNA Expression and Function | p-Value | Probability | Energy (kcal/mol) | |
|---|---|---|---|---|---|
![]() smRNA Seq Transcript 161 −123.10 kcal/mol | Rv1000c Total = 139 | RPKM = 39 Conserved hypothetical protein | 0.000504 | 0.797 | −43.47 |
![]() smRNA Seq Transcript 85 −42.68 kcal/mol | No mRNA targets | - | - | - | - |
![]() smRNA Seq Transcript 64 −104.24 kcal/mol | cysG (Rv2847c) Total = 4 | RPKM = 28 Intermediary metabolism and respiration | 2.7 × e−04 | 0.67 | −46.38 |
![]() Total Seq Transcript 433_7H9 −224.81 kcal/mol | thrB (Rv1296) Total = 165 | RPKM = 208 Intermediary metabolism and respiration | 3.8 × e−04 | 0.85 | −57.15 kcal/mol |
| Transcription Start | Transcription Stop | Strand | Expression Beijing (RPKM) | Transcript Length |
|---|---|---|---|---|
| 4099112 | 4098758 | − | 55,889 | 354 |
| 4153112 | 4153320 | + | 8389 | 208 |
| 1286909 | 1287206 | + | 6450 | 297 |
| 1166794 | 1166689 | − | 4574 | 105 |
| 333401 | 333325 | − | 3969 | 76 |
| 2445202 | 2445159 | − | 3390 | 43 |
| 1728439 | 1728505 | + | 3310 | 66 |
| 2546571 | 2546665 | + | 3284 | 94 |
| 2052499 | 2052601 | + | 3276 | 102 |
| 3362906 | 3362670 | − | 2961 | 236 |
| Target mRNA/s | Target mRNA Expression and Function | p-Value | Probability | Energy (kcal/mol) | |
|---|---|---|---|---|---|
![]() smRNA Seq Transcript 354 −153.60 kcal/mol | Rv1000c Total = 130 | RPKM = 84 Conserved hypothetical protein | 4.9 × e−04 | 0.80 | −43.04 |
![]() smRNA Seq Transcript 208 −106.80 kcal/mol | ask (Rv3709c) Total = 59 | RPKM = 79 Intermediary metabolism and respiration | 2.5 × e−03 | 0.92 | −280.09 |
![]() smRNA Seq Transcript 297 −118.90 kcal/mol | kdpC (Rv1031) Total = 3 | RPKM = 91 Cell wall and cell processes | 2.6 × e−04 | 0.60 | −43.43 kcal/mol |
![]() Total Seq Transcript 436_7H9 −184.80 kcal/mol | murD (Rv2155c) Total = 159 | RPKM = 19 Cell wall and cell processes | 9.6 × e−04 | 0.82 | −42.11 |
| Transcription Start | Transcription Stop | Strand | Expression (RPKM) | Transcript Length |
|---|---|---|---|---|
| 3907698 | 3907574 | − | 15,406 | 124 |
| 612907 | 613040 | + | 7520 | 133 |
| 65536 | 65380 | − | 5360 | 156 |
| 1923729 | 1923835 | + | 4942 | 106 |
| 3363210 | 3363041 | − | 3932 | 169 |
| 4093743 | 4093810 | + | 3585 | 67 |
| 3726140 | 3726280 | + | 3547 | 140 |
| 2056349 | 2056213 | − | 3326 | 136 |
| 2150827 | 2150904 | + | 3268 | 77 |
| 3753558 | 3753668 | + | 3151 | 110 |
| Target mRNA/s | Target mRNA Expression and Function | p-Value | Probability | Energy (kcal/mol) | |
|---|---|---|---|---|---|
![]() smRNA Seq Transcript 124 −34.20 kcal/mol | No mRNA targets | - | - | - | - |
![]() smRNA Seq Transcript 133 −−52.70 kcal/mol | No mRNA targets | - | - | - | - |
![]() smRNA Seq Transcript 156 −65.60 kcal/mol | Rv0061c Total = 1 | RPKM = 281 Hypothetical protein | 1.1 × e−09 | 0.94 | −227.44 |
![]() Total Seq Transcript 470_7H9 −244.20 kcal/mol | PE_PGRS2 (Rv0124) Total = 159 | RPKM = 10 PE/PPE | 1.3 × e−04 | 0.92 | −41.64 |
2.4. The Laboratory Strain Exhibits High Expression of the Common Sense ncRNAs Expression
3. Materials and Methods
3.1. Mycobacterium tuberculosis Strains and Culture Conditions
3.2. Total RNA Isolation
3.3. Library Preparation and RNA Sequencing
3.4. Read Mapping, Transcript Assembly, and Differential Expression
3.5. Non-Coding RNA Detection
3.6. In Silico Characterization of Regulatory Noncoding RNA Transcripts
4. Conclusions
Supplementary Materials
Author Contributions
Funding
Institutional Review Board Statement
Data Availability Statement
Conflicts of Interest
References
- WHO. Global Tuberculosis Report 2021: Supplementary Material; WHO: Geneva, Switzerland, 2022. [Google Scholar]
- Gandhi, N.R.; Brust, J.C.; Moodley, P.; Weissman, D.; Heo, M.; Ning, Y.; Moll, A.P.; Friedland, G.H.; Sturm, A.W.; Shah, N.S. Minimal diversity of drug-resistant Mycobacterium tuberculosis strains, South Africa. Emerg. Infect Dis. 2014, 20, 426–433. [Google Scholar] [CrossRef]
- Pillay, M.; Sturm, A.W. Evolution of the extensively drug-resistant F15/LAM4/KZN strain of Mycobacterium tuberculosis in KwaZulu-Natal, South Africa. Clin. Infect. Dis. 2007, 45, 1409–1414. [Google Scholar] [CrossRef]
- World Health Organization. Global Tuberculosis Report 2021; 978-92-4-003702-1; World Health Organization: Geneva, Switzerland, 2021. [Google Scholar]
- Ostrik, A.A.; Salina, E.G.; Skvortsova, Y.V.; Grigorov, A.S.; Bychenko, O.S.; Kaprelyants, A.S.; Azhikina, T.L. Small RNAs of Mycobacterium tuberculosis in Adaptation to Host-Like Stress Conditions in vitro. Appl. Biochem. Microbiol. 2020, 56, 381–386. [Google Scholar] [CrossRef]
- Arnvig, K.B.; Young, D.B. Identification of small RNAs in Mycobacterium tuberculosis. Mol. Microbiol. 2009, 73, 397–408. [Google Scholar] [CrossRef] [PubMed]
- Arnvig, K.B.; Comas, I.; Thomson, N.R.; Houghton, J.; Boshoff, H.I.; Croucher, N.J.; Rose, G.; Perkins, T.T.; Parkhill, J.; Dougan, G. Sequence-based analysis uncovers an abundance of non-coding RNA in the total transcriptome of Mycobacterium tuberculosis. PLoS Pathog. 2011, 7, e1002342. [Google Scholar] [CrossRef] [PubMed]
- Solans, L.; Gonzalo-Asensio, J.; Sala, C.; Benjak, A.; Uplekar, S.; Rougemont, J.; Guilhot, C.; Malaga, W.; Martin, C.; Cole, S.T. The PhoP-dependent ncRNA Mcr7 modulates the TAT secretion system in Mycobacterium tuberculosis. PLoS Pathog. 2014, 10, e1004183. [Google Scholar] [CrossRef] [PubMed]
- Salina, E.G.; Grigorov, A.; Skvortsova, Y.; Majorov, K.; Bychenko, O.; Ostrik, A.; Logunova, N.; Ignatov, D.; Kaprelyants, A.; Apt, A.; et al. MTS1338, A Small Mycobacterium tuberculosis RNA, Regulates Transcriptional Shifts Consistent With Bacterial Adaptation for Entering Into Dormancy and Survival Within Host Macrophages. Front. Cell. Infect. Microbiol. 2019, 9, 405. [Google Scholar] [CrossRef] [PubMed]
- Gerrick, E.R.; Barbier, T.; Chase, M.R.; Xu, R.; Francois, J.; Lin, V.H.; Szucs, M.J.; Rock, J.M.; Ahmad, R.; Tjaden, B.; et al. Small RNA profiling in Mycobacterium tuberculosis identifies MrsI as necessary for an anticipatory iron sparing response. Proc. Natl. Acad. Sci. USA 2018, 115, 6464–6469. [Google Scholar] [CrossRef] [PubMed]
- Storz, G.; Vogel, J.; Wassarman, K.M. Regulation by small RNAs in bacteria: Expanding frontiers. Mol. Cell. 2011, 43, 880–891. [Google Scholar] [CrossRef] [PubMed]
- Michaux, C.; Verneuil, N.; Hartke, A.; Giard, J.C. Physiological roles of small RNA molecules. Microbiology 2014, 160, 1007–1019. [Google Scholar] [CrossRef]
- Haning, K.; Cho, S.H.; Contreras, L.M. Small RNAs in mycobacteria: An unfolding story. Front. Cell. Infect. Microbiol. 2014, 4, 96. [Google Scholar] [CrossRef] [PubMed]
- Homolka, S.; Niemann, S.; Russell, D.G.; Rohde, K.H. Functional genetic diversity among Mycobacterium tuberculosis complex clinical isolates: Delineation of conserved core and lineage-specific transcriptomes during intracellular survival. PLoS Pathog. 2010, 6, e1000988. [Google Scholar] [CrossRef] [PubMed]
- Alvarez-Eraso, K.L.; Muñoz-Martínez, L.M.; Alzate, J.F.; Barrera, L.F.; Baena, A. Modulatory Impact of the sRNA Mcr11 in Two Clinical Isolates of Mycobacterium tuberculosis. Curr. Microbiol. 2022, 79, 39. [Google Scholar] [CrossRef]
- Jumat, M.I.; Chin, K.L. Transcriptome analysis and molecular characterization of novel small RNAs in Mycobacterium tuberculosis Lineage 1. World J. Microbiol. Biotechnol. 2024, 40, 279. [Google Scholar] [CrossRef] [PubMed]
- Ami, V.K.G.; Balasubramanian, R.; Hegde, S.R. Genome-wide identification of the context-dependent sRNA expression in Mycobacterium tuberculosis. BMC Genom. 2020, 21, 167. [Google Scholar] [CrossRef] [PubMed]
- Portevin, D.; Gagneux, S.; Comas, I.; Young, D. Human macrophage responses to clinical isolates from the Mycobacterium tuberculosis complex discriminate between ancient and modern lineages. PLoS Pathog. 2011, 7, e1001307. [Google Scholar] [CrossRef] [PubMed]
- Gröschel, M.I.; Pérez-Llanos, F.J.; Diel, R.; Vargas, R.; Escuyer, V.; Musser, K.; Trieu, L.; Meissner, J.S.; Knorr, J.; Klinkenberg, D.; et al. Differential rates of Mycobacterium tuberculosis transmission associate with host–pathogen sympatry. Nat. Microbiol. 2024, 9, 2113–2127. [Google Scholar] [CrossRef]
- Manca, C.; Tsenova, L.; Barry, C.E.; Bergtold, A.; Freeman, S.; Haslett, P.A.; Musser, J.M.; Freedman, V.H.; Kaplan, G. Mycobacterium tuberculosis CDC1551 induces a more vigorous host response in vivo and in vitro, but is not more virulent than other clinical isolates. J. Immunol. 1999, 162, 6740–6746. [Google Scholar] [CrossRef] [PubMed]
- Manca, C.; Tsenova, L.; Bergtold, A.; Freeman, S.; Tovey, M.; Musser, J.M.; Barry III, C.E.; Freedman, V.H.; Kaplan, G. Virulence of a Mycobacterium tuberculosis clinical isolate in mice is determined by failure to induce Th1 type immunity and is associated with induction of IFN-α/β. Proc. Natl. Acad. Sci. USA 2001, 98, 5752–5757. [Google Scholar] [CrossRef]
- Manca, C.; Reed, M.B.; Freeman, S.; Mathema, B.; Kreiswirth, B.; Barry III, C.E.; Kaplan, G. Differential monocyte activation underlies strain-specific Mycobacterium tuberculosis pathogenesis. Infect. Immun. 2004, 72, 5511–5514. [Google Scholar] [CrossRef] [PubMed]
- Lin, Y.; Zhang, M.; Barnes, P.F. Chemokine production by a human alveolar epithelial cell line in response to Mycobacterium tuberculosis. Infect. Immun. 1998, 66, 1121–1126. [Google Scholar] [CrossRef]
- Mvubu, N.E.; Pillay, B.; McKinnon, L.R.; Pillay, M. Mycobacterium tuberculosis strains induce strain-specific cytokine and chemokine response in pulmonary epithelial cells. Cytokine 2018, 104, 53–64. [Google Scholar] [CrossRef] [PubMed]
- Reiling, N.; Homolka, S.; Walter, K.; Brandenburg, J.; Niwinski, L.; Ernst, M.; Herzmann, C.; Lange, C.; Diel, R.; Ehlers, S. Clade-specific virulence patterns of Mycobacterium tuberculosis complex strains in human primary macrophages and aerogenically infected mice. MBio 2013, 4, e00250-13. [Google Scholar] [CrossRef] [PubMed]
- Reed, M.B.; Gagneux, S.; DeRiemer, K.; Small, P.M.; Barry, C.E. The W-Beijing Lineage of Mycobacterium tuberculosis Overproduces Triglycerides and Has the DosR Dormancy Regulon Constitutively Upregulated. J. Bacteriol. 2007, 189, 2583–2589. [Google Scholar] [CrossRef] [PubMed]
- Moopanar, K.; Nyide, A.N.G.; Senzani, S.; Mvubu, N.E. Clinical strains of Mycobacterium tuberculosis exhibit differential lipid-metabolism associated transcriptome changes in in vitro cholesterol and infection models. Pathog. Dis. 2022, 81, ftac046. [Google Scholar] [CrossRef] [PubMed]
- Ribeiro, S.C.; Gomes, L.L.; Amaral, E.P.; Andrade, M.R.; Almeida, F.M.; Rezende, A.L.; Lanes, V.R.; Carvalho, E.C.; Suffys, P.N.; Mokrousov, I.; et al. Mycobacterium tuberculosis strains of the modern sublineage of the Beijing family are more likely to display increased virulence than strains of the ancient sublineage. J. Clin. Microbiol. 2014, 52, 2615–2624. [Google Scholar] [CrossRef] [PubMed]
- Bespyatykh, J.; Vinogradova, T.; Manicheva, O.; Zabolotnykh, N.; Dogonadze, M.; Vitovskaya, M.; Guliaev, A.; Zhuravlev, V.Y.; Shitikov, E.; Ilina, E. In vivo virulence of Beijing genotype Mycobacterium tuberculosis. Russ. J. Infect. Immun. 2019, 9, 173–182. [Google Scholar] [CrossRef]
- Vinogradova, T.; Dogonadze, M.; Zabolotnykh, N.; Badleeva, M.; Yarusova, I.; Vyazovaya, A.; Gerasimova, A.; Zhdanova, S.; Vitovskaya, M.; Solovieva, N.; et al. Extremely lethal and hypervirulent Mycobacterium tuberculosis strain cluster emerging in Far East, Russia. Emerg. Microbes Infect. 2021, 10, 1691–1701. [Google Scholar] [CrossRef]
- Wang, C.; Peyron, P.; Mestre, O.; Kaplan, G.; van Soolingen, D.; Gao, Q.; Gicquel, B.; Neyrolles, O. Innate Immune Response to Mycobacterium tuberculosis Beijing and Other Genotypes. PLoS ONE 2010, 5, e13594. [Google Scholar] [CrossRef] [PubMed]
- Luo, D.; Yu, S.; Huang, Y.; Zhan, J.; Chen, Q.; Yan, L.; Chen, K. Recent Transmission and Prevalent Characterization of the Beijing Family Mycobacterium tuberculosis in Jiangxi, China. Pol. J. Microbiol. 2022, 71, 371–380. [Google Scholar] [CrossRef]
- Zhu, C.; Yang, T.; Yin, J.; Jiang, H.; Takiff, H.E.; Gao, Q.; Liu, Q.; Li, W. The global success of Mycobacterium tuberculosis modern Beijing family is driven by a few recently emerged strains. Microbiol. Spectr. 2023, 11, e0333922. [Google Scholar] [CrossRef] [PubMed]
- Ashiru, O.T.; Pillay, M.; Sturm, A.W. Mycobacterium tuberculosis isolates grown under oxygen deprivation invade pulmonary epithelial cells. Anaerobe 2012, 18, 471–474. [Google Scholar] [CrossRef]
- Mvubu, N.E.; Pillay, B.; Gamieldien, J.; Bishai, W.; Pillay, M. Canonical pathways, networks and transcriptional factor regulation by clinical strains of Mycobacterium tuberculosis in pulmonary alveolar epithelial cells. Tuberculosis 2016, 97, 73–85. [Google Scholar] [CrossRef]
- Maitra, A.; Munshi, T.; Healy, J.; Martin, L.T.; Vollmer, W.; Keep, N.H.; Bhakta, S. Cell wall peptidoglycan in Mycobacterium tuberculosis: An Achilles’ heel for the TB-causing pathogen. FEMS Microbiol. Rev. 2019, 43, 548–575. [Google Scholar] [CrossRef] [PubMed]
- Kieser, K.J.; Baranowski, C.; Chao, M.C.; Long, J.E.; Sassetti, C.M.; Waldor, M.K.; Sacchettini, J.C.; Ioerger, T.R.; Rubin, E.J. Peptidoglycan synthesis in Mycobacterium tuberculosis is organized into networks with varying drug susceptibility. Proc. Natl. Acad. Sci. USA 2015, 112, 13087–13092. [Google Scholar] [CrossRef] [PubMed]
- Tjaden, B. De novo assembly of bacterial transcriptomes from RNA-seq data. Genome Biol. 2015, 16, 1. [Google Scholar] [CrossRef]
- Lloréns-Rico, V.; Cano, J.; Kamminga, T.; Gil, R.; Latorre, A.; Chen, W.-H.; Bork, P.; Glass, J.I.; Serrano, L.; Lluch-Senar, M. Bacterial antisense RNAs are mainly the product of transcriptional noise. Sci. Adv. 2016, 2, e1501363. [Google Scholar] [CrossRef] [PubMed]
- Roy, S.; Schmeier, S.; Kaczkowski, B.; Arner, E.; Alam, T.; Ozturk, M.; Tamgue, O.; Parihar, S.P.; Kawaji, H.; Itoh, M. Transcriptional landscape of Mycobacterium tuberculosis infection in macrophages. Sci. Rep. 2018, 8, 6758. [Google Scholar] [CrossRef]
- Martini, M.C.; Zhou, Y.; Sun, H.; Shell, S.S. Defining the Transcriptional and Post-transcriptional Landscapes of Mycobacterium smegmatis in Aerobic Growth and Hypoxia. Front. Microbiol. 2019, 10, 00591. [Google Scholar] [CrossRef] [PubMed]
- Wynn, E.A.; Dide-Agossou, C.; Reichlen, M.; Rossmassler, K.; Mubarak, R.A.; Reid, J.J.; Tabor, S.T.; Born, S.E.M.; Ransom, M.R.; Davidson, R.M.; et al. Transcriptional adaptation of Mycobacterium tuberculosis that survives prolonged multi-drug treatment in mice. mBio 2023, 14, e0236323. [Google Scholar] [CrossRef] [PubMed]
- Namouchi, A.; Gómez-Muñoz, M.; Frye, S.A.; Moen, L.V.; Rognes, T.; Tønjum, T.; Balasingham, S.V. The Mycobacterium tuberculosis transcriptional landscape under genotoxic stress. BMC Genom. 2016, 17, 791. [Google Scholar] [CrossRef]
- Tjaden, B. A computational system for identifying operons based on RNA-seq data. Methods 2020, 176, 62–70. [Google Scholar] [CrossRef]
- Giuliano, M.G.; Engl, C. The Lifecycle of Ribosomal RNA in Bacteria; Springer: Berlin/Heidelberg, Germany, 2021. [Google Scholar]
- Xia, J.; Liu, Y.; Ma, Y.; Yang, F.; Ruan, Y.; Xu, J.-F.; Pi, J. Advances of Long Non-Coding RNAs as Potential Biomarkers for Tuberculosis: New Hope for Diagnosis? Pharmaceutics 2023, 15, 2096. [Google Scholar] [CrossRef] [PubMed]
- Ambler, J.M. Transcription Analysis of Virulent Strains of Mycobacterium tuberculosis. Ph.D. Thesis, University of Cape Town, Cape Town, South Africa, 2018. [Google Scholar]
- Miotto, P.; Forti, F.; Ambrosi, A.; Pellin, D.; Veiga, D.F.; Balazsi, G.; Gennaro, M.L.; Di Serio, C.; Ghisotti, D.; Cirillo, D.M. Genome-wide discovery of small RNAs in Mycobacterium tuberculosis. PLoS ONE 2012, 7, e51950. [Google Scholar] [CrossRef] [PubMed]
- Youm, J.; Saier, M.H., Jr. Comparative analyses of transport proteins encoded within the genomes of Mycobacterium tuberculosis and Mycobacterium leprae. Biochim. Biophys. Acta 2012, 1818, 776–797. [Google Scholar] [CrossRef]
- Stupar, M.; Furness, J.; De Voss, C.J.; Tan, L.; West, N.P. Two-component sensor histidine kinases of Mycobacterium tuberculosis: Beacons for niche navigation. Mol. Microbiol. 2022, 117, 973–985. [Google Scholar] [CrossRef]
- Ashiru, O.T.; Pillay, M.; Sturm, A.W. Adhesion to and invasion of pulmonary epithelial cells by the F15/LAM4/KZN and Beijing strains of Mycobacterium tuberculosis. J. Med. Microbiol. 2010, 59, 528–533. [Google Scholar] [CrossRef]
- Gandhi, N.R.; Moll, A.; Sturm, A.W.; Pawinski, R.; Govender, T.; Lalloo, U.; Zeller, K.; Andrews, J.; Friedland, G. Extensively drug-resistant tuberculosis as a cause of death in patients co-infected with tuberculosis and HIV in a rural area of South Africa. Lancet 2006, 368, 1575–1580. [Google Scholar] [CrossRef]
- Liu, Q.; Wang, D.; Martinez, L.; Lu, P.; Zhu, L.; Lu, W.; Wang, J. Mycobacterium tuberculosis Beijing genotype strains and unfavourable treatment outcomes: A systematic review and meta-analysis. Clin. Microbiol. Infect. 2020, 26, 180–188. [Google Scholar] [CrossRef]
- Pérez-Lago, L.; Campos-Herrero, M.I.; Cañas, F.; Copado, R.; Sante, L.; Pino, B.; Lecuona, M.; Gil, Ó.D.; Martín, C.; Muñoz, P. A Mycobacterium tuberculosis Beijing strain persists at high rates and extends its geographic boundaries 20 years after importation. Sci. Rep. 2019, 9, 4687. [Google Scholar] [CrossRef]
- Majumder, R.; Ghosh, S.; Das, A.; Singh, M.K.; Samanta, S.; Saha, A.; Saha, R.P. Prokaryotic ncRNAs: Master regulators of gene expression. Curr. Res. Pharmacol. Drug Discov. 2022, 3, 100136. [Google Scholar] [CrossRef]
- Yang, Z.; Zeng, X.; Tsui, S.K. Investigating function roles of hypothetical proteins encoded by the Mycobacterium tuberculosis H37Rv genome. BMC Genom. 2019, 20, 394. [Google Scholar] [CrossRef] [PubMed]
- Raj, U.; Sharma, A.K.; Aier, I.; Varadwaj, P.K. In silico characterization of hypothetical proteins obtained from Mycobacterium tuberculosis H37Rv. Netw. Model. Anal. Health Inform. Bioinform 2017, 6, 5. [Google Scholar] [CrossRef]
- Sürken, M.; Keller, C.; Röhker, C.; Ehlers, S.; Bange, F.C. Anaerobic arginine metabolism of Mycobacterium tuberculosis is mediated by arginine deiminase (arcA), but is not essential for chronic persistence in an aerogenic mouse model of infection. Int. J. Med. Microbiol. 2008, 298, 657–661. [Google Scholar] [CrossRef] [PubMed]
- Warner, D.F. Mycobacterium tuberculosis metabolism. Cold Spring Harb. Perspect. Med. 2014, 5, a021121. [Google Scholar] [CrossRef]
- Huet, G.; Constant, P.; Malaga, W.; Lanéelle, M.-A.; Kremer, K.; Van Soolingen, D.; Daffé, M.; Guilhot, C. A lipid profile typifies the Beijing strains of Mycobacterium tuberculosis: Identification of a mutation responsible for a modification of the structures of phthiocerol dimycocerosates and phenolic glycolipids. J. Biol. Chem. 2009, 284, 27101–27113. [Google Scholar] [CrossRef]
- Reed, M.B.; Domenech, P.; Manca, C.; Su, H.; Barczak, A.K.; Kreiswirth, B.N.; Kaplan, G.; Barry, C.E., 3rd. A glycolipid of hypervirulent tuberculosis strains that inhibits the innate immune response. Nature 2004, 431, 84–87. [Google Scholar] [CrossRef] [PubMed]
- Portevin, D.; Sukumar, S.; Coscolla, M.; Shui, G.; Li, B.; Guan, X.L.; Bendt, A.K.; Young, D.; Gagneux, S.; Wenk, M.R. Lipidomics and genomics of Mycobacterium tuberculosis reveal lineage-specific trends in mycolic acid biosynthesis. MicrobiologyOpen 2014, 3, 823–835. [Google Scholar] [CrossRef]
- Feng, L.; Mundy, J.E.A.; Stevenson, C.E.M.; Mitchenall, L.A.; Lawson, D.M.; Mi, K.; Maxwell, A. The pentapeptide-repeat protein, MfpA, interacts with mycobacterial DNA gyrase as a DNA T-segment mimic. Proc. Natl. Acad. Sci. USA 2021, 118, e2016705118. [Google Scholar] [CrossRef] [PubMed]
- Khrapunov, S.; Cheng, H.; Hegde, S.; Blanchard, J.; Brenowitz, M. Solution structure and refolding of the Mycobacterium tuberculosis pentapeptide repeat protein MfpA. J. Biol. Chem. 2008, 283, 36290–36299. [Google Scholar] [CrossRef]
- DeOcesano-Pereira, C.; Machado, R.A.C.; Chudzinski-Tavassi, A.M.; Sogayar, M.C. Emerging Roles and Potential Applications of Non-Coding RNAs in Glioblastoma. Int. J. Mol. Sci. 2020, 21, 2611. [Google Scholar] [CrossRef]
- Qian, J.; Chen, R.; Wang, H.; Zhang, X. Role of the PE/PPE Family in Host-Pathogen Interactions and Prospects for Anti-Tuberculosis Vaccine and Diagnostic Tool Design. Front. Cell. Infect. Microbiol. 2020, 10, 594288. [Google Scholar] [CrossRef] [PubMed]
- Hiza, H.; Zwyer, M.; Hella, J.; Arbués, A.; Sasamalo, M.; Borrell, S.; Xu, Z.M.; Ross, A.; Brites, D.; Fellay, J.; et al. Bacterial diversity dominates variable macrophage responses of tuberculosis patients in Tanzania. Sci. Rep. 2024, 14, 9287. [Google Scholar] [CrossRef]
- Mvubu, N.E.; Jacoby, K. Mycobacterium tuberculosis complex molecular networks and their regulation: Implications of strain heterogeneity on epigenetic diversity and transcriptome regulation. Heliyon 2023, 9, e22611. [Google Scholar] [CrossRef] [PubMed]
- Sousa, J.; Cá, B.; Maceiras, A.R.; Simões-Costa, L.; Fonseca, K.L.; Fernandes, A.I.; Ramos, A.; Carvalho, T.; Barros, L.; Magalhães, C.; et al. Mycobacterium tuberculosis associated with severe tuberculosis evades cytosolic surveillance systems and modulates IL-1β production. Nat. Commun. 2020, 11, 1949. [Google Scholar] [CrossRef]
- Butman, H.S.; Kotzé, T.J.; Dowd, C.S.; Strauss, E. Vitamin in the Crosshairs: Targeting Pantothenate and Coenzyme A Biosynthesis for New Antituberculosis Agents. Front. Cell. Infect. Microbiol. 2020, 10, 605662. [Google Scholar] [CrossRef]
- Sugantino, M.; Zheng, R.; Yu, M.; Blanchard, J.S. Mycobacterium tuberculosis ketopantoate hydroxymethyltransferase: Tetrahydrofolate-independent hydroxymethyltransferase and enolization reactions with α-keto acids. Biochemistry 2003, 42, 191–199. [Google Scholar] [CrossRef]
- Chihota, V.N.; Muller, B.; Mlambo, C.K.; Pillay, M.; Tait, M.; Streicher, E.M.; Marais, E.; van der Spuy, G.D.; Hanekom, M.; Coetzee, G.; et al. Population structure of multi- and extensively drug-resistant Mycobacterium tuberculosis strains in South Africa. J. Clin. Microbiol. 2012, 50, 995–1002. [Google Scholar] [CrossRef]
- Streicher, E.M.; Victor, T.C.; Spuy, G.v.d.; Sola, C.; Rastogi, N.; Helden, P.D.v.; Warren, R.M. Spoligotype Signatures in the Mycobacterium tuberculosis Complex. J. Clin. Microbiol. 2007, 45, 237–240. [Google Scholar] [CrossRef] [PubMed][Green Version]
- Larsen, M.H.; Biermann, K.; Jacobs Jr, W.R. Laboratory maintenance of Mycobacterium tuberculosis. Curr. Protoc. Microbiol. 2007, 6, 10A.11.11–10A.11.18. [Google Scholar] [CrossRef]
- Mvubu, N.E.; Salig, A.; Moopanar, K.; Nyide, A.S.G.; Govender, D.; Mankayi, E. A quick, easy and efficient protocol for extracting high-quality RNA from Mycobacterium tuberculosis using a spin column commercial kit. BMC Res. Notes 2023, 16, 145. [Google Scholar] [CrossRef] [PubMed]
- Sambrook, J.; Russell, D.W. Molecular Cloning: A Laboratory Manual, 3rd ed.; Cold Spring Harbor Laboratory Press: Cold Spring Harbor, NY, USA, 2001. [Google Scholar]
- Andrews, S. FASTQC. A Quality Control Tool for High Throughput Sequence Data. 2010. Available online: https://www.bioinformatics.babraham.ac.uk/projects/fastqc/ (accessed on 15 October 2024).
- Bolger, A.M.; Lohse, M.; Usadel, B. Trimmomatic: A flexible trimmer for Illumina sequence data. Bioinformatics 2014, 30, 2114–2120. [Google Scholar] [CrossRef]
- Kim, D.; Langmead, B.; Salzberg, S.L. HISAT: A fast spliced aligner with low memory requirements. Nat. Methods 2015, 12, 357–360. [Google Scholar] [CrossRef]
- Arkin, A.P.; Cottingham, R.W.; Henry, C.S.; Harris, N.L.; Stevens, R.L.; Maslov, S.; Dehal, P.; Ware, D.; Perez, F.; Canon, S. KBase: The United States department of energy systems biology knowledgebase. Nat. Biotechnol. 2018, 36, 566–569. [Google Scholar] [CrossRef] [PubMed]
- Pertea, M.; Pertea, G.M.; Antonescu, C.M.; Chang, T.C.; Mendell, J.T.; Salzberg, S.L. StringTie enables improved reconstruction of a transcriptome from RNA-seq reads. Nat. Biotechnol. 2015, 33, 290–295. [Google Scholar] [CrossRef] [PubMed]
- Pertea, M.; Kim, D.; Pertea, G.M.; Leek, J.T.; Salzberg, S.L. Transcript-level expression analysis of RNA-seq experiments with HISAT, StringTie and Ballgown. Nat. Protoc. 2016, 11, 1650–1667. [Google Scholar] [CrossRef]
- Love, M.I.; Huber, W.; Anders, S. Moderated estimation of fold change and dispersion for RNA-seq data with DESeq2. Genome Biol. 2014, 15, 1–21. [Google Scholar] [CrossRef] [PubMed]
- Robinson, J.T.; Thorvaldsdóttir, H.; Winckler, W.; Guttman, M.; Lander, E.S.; Getz, G.; Mesirov, J.P. Integrative genomics viewer. Nat. Biotechnol. 2011, 29, 24–26. [Google Scholar] [CrossRef] [PubMed]
- Gruber, A.R.; Lorenz, R.; Bernhart, S.H.; Neuböck, R.; Hofacker, I.L. The Vienna RNA websuite. Nucleic Acids Res. 2008, 36, W70–W74. [Google Scholar] [CrossRef] [PubMed]
- Tjaden, B. TargetRNA3: Predicting prokaryotic RNA regulatory targets with machine learning. Genome Biol. 2023, 24, 276. [Google Scholar] [CrossRef] [PubMed]
- Szklarczyk, D.; Kirsch, R.; Koutrouli, M.; Nastou, K.; Mehryary, F.; Hachilif, R.; Gable, A.L.; Fang, T.; Doncheva, N.T.; Pyysalo, S.; et al. The STRING database in 2023: Protein-protein association networks and functional enrichment analyses for any sequenced genome of interest. Nucleic. Acids Res. 2023, 51, D638–D646. [Google Scholar] [CrossRef]
- Oliveros, J.C. VENNY. An Interactive Tool for Comparing Lists with Venn Diagrams. 2007. Available online: http://bioinfogp.cnb.csic.es/tools/venny/index.html (accessed on 30 October 2024).
- Howe, E.A.; Sinha, R.; Schlauch, D.; Quackenbush, J. RNA-Seq analysis in MeV. Bioinformatics 2011, 27, 3209–3210. [Google Scholar] [CrossRef] [PubMed]










| KZN vs. H37Rv | Beijing vs. H37Rv | |
|---|---|---|
| Total RNA Seq All SDETs | 856 | 1095 |
| Upregulated known transcripts | 257 | 308 |
| Upregulated unknown transcripts | 261 | 322 |
| Downregulated known transcripts | 158 | 219 |
| Downregulated unknown transcripts | 180 | 246 |
| smRNA Seq All SDETs | 423 | 524 |
| Upregulated known transcripts | 111 | 169 |
| Upregulated unknown transcripts | 110 | 143 |
| Downregulated known transcripts | 99 | 93 |
| Downregulated unknown transcripts | 103 | 119 |
| KZN | Beijing | H37Rv | |
|---|---|---|---|
| Total RNA Seq | |||
| 5′UTRs | 47 | 38 | 516 |
| 3′UTRs | 133 | 112 | 569 |
| Sense predicted RNAs | 10 | 29 | 13 |
| Antisense predicted RNAs | 195 | 370 | 244 |
| Annotated protein coding transcripts | 2426 | 2497 | 3178 |
| Hypothetical proteins transcripts | 1578 | 1616 | 861 |
| rRNA | 0 | 0 | 0 |
| tRNA | 45 | 45 | 45 |
| smRNA Seq | |||
| 5′UTRs | 926 | 888 | 893 |
| 3′UTRs | 751 | 721 | 722 |
| Sense predicted RNAs | 2310 | 2154 | 2193 |
| Antisense predicted RNAs | 9590 | 4880 | 8241 |
| Annotated protein coding transcripts | 2426 | 2497 | 3178 |
| Hypothetical proteins transcripts | 1578 | 1616 | 861 |
| rRNA | 0 | 0 | 0 |
| tRNA | 45 | 45 | 45 |
Disclaimer/Publisher’s Note: The statements, opinions and data contained in all publications are solely those of the individual author(s) and contributor(s) and not of MDPI and/or the editor(s). MDPI and/or the editor(s) disclaim responsibility for any injury to people or property resulting from any ideas, methods, instructions or products referred to in the content. |
© 2024 by the authors. Licensee MDPI, Basel, Switzerland. This article is an open access article distributed under the terms and conditions of the Creative Commons Attribution (CC BY) license (https://creativecommons.org/licenses/by/4.0/).
Share and Cite
Mvubu, N.E.; Govender, D.; Pillay, M. Comparative Transcriptomics Reveal Differential Expression of Coding and Non-Coding RNAs in Clinical Strains of Mycobacterium tuberculosis. Int. J. Mol. Sci. 2025, 26, 217. https://doi.org/10.3390/ijms26010217
Mvubu NE, Govender D, Pillay M. Comparative Transcriptomics Reveal Differential Expression of Coding and Non-Coding RNAs in Clinical Strains of Mycobacterium tuberculosis. International Journal of Molecular Sciences. 2025; 26(1):217. https://doi.org/10.3390/ijms26010217
Chicago/Turabian StyleMvubu, Nontobeko Eunice, Divenita Govender, and Manormoney Pillay. 2025. "Comparative Transcriptomics Reveal Differential Expression of Coding and Non-Coding RNAs in Clinical Strains of Mycobacterium tuberculosis" International Journal of Molecular Sciences 26, no. 1: 217. https://doi.org/10.3390/ijms26010217
APA StyleMvubu, N. E., Govender, D., & Pillay, M. (2025). Comparative Transcriptomics Reveal Differential Expression of Coding and Non-Coding RNAs in Clinical Strains of Mycobacterium tuberculosis. International Journal of Molecular Sciences, 26(1), 217. https://doi.org/10.3390/ijms26010217













