Galf-Specific Neolectins: Towards Promising Diagnostic Tools
Abstract
1. Introduction
2. Results
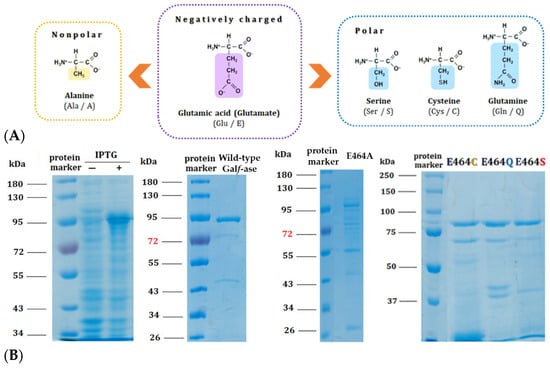
2.1. Design and Production of Novel Galf-Specific Neolectin (GalfNeoLect)
2.2. Kinetic Characterisation of Galf-Ase Mutant Variants—Identification of Novel Galf-Specific Neolectin (GalfNeoLect)
2.3. Galf-Conjugated BSA Neoglycoprotein (GalfNGP) as Novel Ligand for GalfNeoLect
2.4. Profiling GalfNeoLect Specificity
3. Discussion
4. Materials and Methods
4.1. Biological and Chemical Reagents
4.2. In Silico Sequence Analysis
4.3. Site-Directed Mutagenesis, Overexpression, and Mutant Galf-Ase Protein Purification
4.4. Kinetic Studies
4.5. General Procedure for the Preparation of β-d-Galactofuranosyl Azide (Galf-N3)
4.6. Synthesis of Galf-Conjugated BSA Neoglycoprotein (GalfNGP)—Conjugation of BSA-Alkynewith Galf-N3
4.7. Direct Binding Assays
4.8. Inhibition Assays
4.9. Preparation of Aspergillus Brasiliensis (ATCC 16404) Spores
5. Conclusions
6. Patents
| Patent No. | Kind | Date | Application N° | Date |
| FR3116062 | A1 | 13 May 2022 | FR2011444 | 6 November 2020 |
| WO2022096829 | A1 | 12 May 2022 | WO2021-FR51944 | 4 November 2021 |
Supplementary Materials
Author Contributions
Funding
Institutional Review Board Statement
Informed Consent Statement
Data Availability Statement
Acknowledgments
Conflicts of Interest
References
- Lindhorst, T.K. Essentials of Carbohydrate Chemistry and Biochemistry, 3rd ed.; Wiley-VCH Verlag GmbH & Co. KGaA: Weinheim, Germany, 2007; pp. 5–49. ISBN 978-3-527-31528-4. [Google Scholar]
- Varki, A.; Cummings, R.D.; Esko, J.D.; Freeze, H.H.; Stanley, P.; Bertozzi, C.R.; Hart, G.W.; Etzler, M.E. Essentials of Glycobiology, 2nd ed.; Cold Spring Harbor Laboratory Press: New York, NY, USA, 2009; ISBN 9780879697709. [Google Scholar]
- Campo, V.L.; Aragão-Leoneti, V.; Teixeira, M.B.M.; Carvalho, I. Carbohydrates and Glycoproteins: Cellular Recognition and Drug Design. In New Developments in Medicinal Chemistry; Taft, C.A., Ed.; Bentham Science: Sharjah, United Arab Emirates, 2010; Volume 1, pp. 133–151. [Google Scholar] [CrossRef]
- Taylor, M.E.; Drickamer, K. Introduction to Glycobiology, 3rd ed.; Oxford University Press: Oxford, UK, 2011; pp. 1–304. ISBN 978-0199569113. [Google Scholar]
- Lichtenthaler, F.W. Carbohydrates: Occurrence, Structures and Chemistry. In Ullmann’s Encyclopedia of Industrial Chemistry; Wiley-VCH Verlag GmbH & Co. KGaA: Weinheim, Germany, 2010; pp. 15–49. [Google Scholar] [CrossRef]
- Imamura, A.; Lowary, T. Chemical Synthesis of Furanose Glycosides. Trends Glycosci. Glycotechnol. 2011, 23, 134–152. [Google Scholar] [CrossRef]
- Lafite, P.; Daniellou, R. Rare and unusual glycosylation of peptides and proteins. Nat. Prod. Rep. 2012, 29, 729. [Google Scholar] [CrossRef] [PubMed]
- Marino, C.; Lederkremer, R. Galactose configurations in nature with emphasis on the biosynthesis of galactofuranose in glycans. In Galactose: Structure and Function in Biology and Medicine; Pomin, V.H., Ed.; Nova Science Publishers, Inc.: New York, NY, USA, 2014; pp. 107–133. [Google Scholar]
- Tefsen, B.; Ram, A.F.; van Die, I.; Routier, F.H. Galactofuranose in eukaryotes: Aspects of biosynthesis and functional impact. Glycobiology 2012, 22, 456–469. [Google Scholar] [CrossRef] [PubMed]
- Seničar, M.; Lafite, P.; Eliseeva, S.V.; Petoud, S.; Landemarre, L.; Daniellou, R. Galactofuranose-Related Enzymes: Challenges and Hopes. Int. J. Mol. Sci. 2020, 21, 3465. [Google Scholar] [CrossRef] [PubMed]
- Bishop, J.R.; Gagneux, P. Evolution of carbohydrate antigens—Microbial forces shaping host glycomes? Glycobiology 2007, 17, 23R–34R. [Google Scholar] [CrossRef] [PubMed]
- Stynen, D.; Sarfati, J.; Goris, A.; Prévost, M.C.; Lesourd, M.; Kamphuis, H.; Darras, V.; Latgé, J.P. Rat monoclonal antibodies against Aspergillus galactomannan. Infect. Immun. 1992, 60, 2237–2245. [Google Scholar] [CrossRef] [PubMed]
- Notermans, S.; Dufrenne, J.; Wijnands, L.M.; Engel, H.W.B. Human serum antibodies to extracellular polysaccharides (EPS) of moulds. J. Med. Vet. Mycol. 1988, 26, 41–48. [Google Scholar] [CrossRef] [PubMed]
- Notermans, S.; Veeneman, G.H.; van Zuylen, C.W.E.M.; Hoogerhout, P.; van Boom, J.H. (1→5)-linked β-D-galactofuranosides are immunodominant in extracellular polysaccharides of Penicillium and Aspergillus species. Mol. Immunol. 1988, 25, 975–979. [Google Scholar] [CrossRef] [PubMed]
- De Arruda, M.V.; Colli, W.; Zingales, B. Terminal β-D-galactofuranosyl epitopes recognized by antibodies that inhibit Trypanosoma cruzi internalization into mammalian cells. Eur. J. Biochem. 1989, 182, 413–421. [Google Scholar] [CrossRef]
- McConville, M.J.; Homans, S.W.; Thomas-Oates, J.E.; Dell, A.; Bacic, A. Structures of the glycoinositolphospholipids from Leishmania major. A family of novel galactofuranose-containing glycolipids. J. Biol. Chem. 1990, 265, 7385–7394. [Google Scholar] [CrossRef]
- Golgher, D.B.; Colli, W.; Souto-Padrón, T.; Zingales, B. Galactofuranose-containing glycoconjugates of epimastigote and trypomastigote forms of Trypanosoma cruzi. Mol. Biochem. Parasitol. 1993, 60, 249–264. [Google Scholar] [CrossRef] [PubMed]
- Latgé, J.P.; Kobayashi, H.; Debeaupuis, J.P.; Diaquin, M.; Sarfati, J.; Wieruszeski, J.M.; Parra, E.; Bouchara, J.P.; Fournet, B. Chemical and immunological characterization of the extracellular galactomannan of Aspergillus fumigatus. Infect. Immun. 1994, 62, 5424–5433. [Google Scholar] [CrossRef] [PubMed]
- Leitão, E.A.; Bittencourt, V.C.B.; Haido, R.M.T.; Valente, A.P.; Peter-Katalinic, J.; Letzel, M.; de Souza, L.M.; Barreto-Bergter, E. β-Galactofuranose-containing O-linked oligosaccharides present in the cell wall peptidogalactomannan of Aspergillus fumigatus contain immunodominant epitopes. Glycobiology 2003, 13, 681–692. [Google Scholar] [CrossRef] [PubMed]
- Morelle, W.; Bernard, M.; Debeaupuis, J.-P.; Buitrago, M.; Tabouret, M.; Latgé, J.-P. Galactomannoproteins of Aspergillus fumigatus. Eukaryot. Cell. 2005, 4, 1308–1316. [Google Scholar] [CrossRef] [PubMed]
- Mennink-Kersten, M.A.S.H.; Ruegebrink, D.; Klont, R.R.; Warris, A.; Blijlevens, N.M.A.; Donnelly, J.P.; Verweij, P.E. Improved detection of circulating Aspergillus antigen by use of a modified pretreatment procedure. J. Clin. Microbiol. 2008, 46, 1391–1397. [Google Scholar] [CrossRef] [PubMed]
- Krylov, V.B.; Solovev, A.S.; Argunov, D.A.; Latgé, J.-P.; Nifantiev, N.E. Reinvestigation of carbohydrate specificity of EB-A2 monoclonal antibody used in the immune detection of Aspergillus fumigatus galactomannan. Heliyon 2019, 31, e01173. [Google Scholar] [CrossRef] [PubMed]
- Toledo, M.S.; Suzuki, E.; Straus, A.H.; Takahashi, H.K. Glycolipids from Paracoccidioides brasiliensis. Isolation of a galactofuranose-containing glycolipid reactive with sera of patients with paracoccidioidomycosis. J. Med. Vet. Mycol. 1995, 33, 247–251. [Google Scholar] [CrossRef]
- Suzuki, E.; Toledo, M.S.; Takahashi, H.K.; Straus, A.H. A monoclonal antibody directed to terminal residue of β-galactofuranose of a glycolipid antigen isolated from Paracoccidioides brasiliensis: Cross-reactivity with Leishmania major and Trypanosoma cruzi. Glycobiology 1997, 7, 463–468. [Google Scholar] [CrossRef] [PubMed][Green Version]
- Toledo, M.S.; Tagliari, L.; Suzuki, E.; Silva, C.M.; Straus, A.H.; Takahashi, H.K. Effect of anti-glycosphingolipid monoclonal antibodies in pathogenic fungal growth and differentiation. Characterization of monoclonal antibody MEST-3 directed to Manp α1→3Manp α1→2IPC. BMC Microbiol. 2010, 10, 1–12. [Google Scholar] [CrossRef]
- Heesemann, L.; Kotz, A.; Echtenacher, B.; Broniszewska, M.; Routier, F.; Hoffmann, P.; Ebel, F. Studies on galactofuranose-containing glycostructures of the pathogenic mold Aspergillus fumigatus. Int. J. Med. Microbiol. 2011, 301, 523–530. [Google Scholar] [CrossRef]
- Dufresne, S.F.; Datta, K.; Li, X.; Dadachova, E.; Staab, J.F.; Patterson, T.F.; Feldmesser, M.; Marr, K.A. Detection of urinary excreted fungal galactomannan-like antigens for diagnosis of invasive aspergillosis. PLoS One 2012, 7, e42736. [Google Scholar] [CrossRef] [PubMed]
- Rolle, A.-M.; Hasenberg, M.; Thornton, C.R.; Solouk-Saran, D.; Männ, L.; Weski, J.; Maurer, A.; Fischer, E.; Spycher, P.R.; Schibli, R.; et al. ImmunoPET/MR imaging allows specific detection of Aspergillus fumigatus lung infection in vivo. Proc. Natl. Acad. Sci. USA 2016, 113, 1026–1033. [Google Scholar] [CrossRef] [PubMed]
- Davies, G.; Rolle, A.-M.; Maurer, A.; Spycher, P.R.; Schillinger, C.; Solouk-Saran, D.; Hasenberg, M.; Weski, J.; Fonslet, J.; Dubois, A.; et al. Towards translational immunoPET/MR imaging of invasive pulmonary aspergillosis: The humanised monoclonal antibody JF5 detects Aspergillus lung infections in vivo. Theranostics 2017, 7, 3398–3414. [Google Scholar] [CrossRef] [PubMed]
- Schubert, M.; Xue, S.; Ebel, F.; Vaggelas, A.; Krylov, V.B.; Nifantiev, N.E.; Chudobová, I.; Schillberg, S.; Nölke, G. Monoclonal antibody AP3 binds galactomannan antigens displayed by the pathogens Aspergillus flavus, A. fumigatus, and A. parasiticus. Front. Cell. Infect. Microbiol. 2019, 9, 234. [Google Scholar] [CrossRef] [PubMed]
- Matveev, A.L.; Krylov, V.B.; Emelyanova, L.A.; Solovev, A.S.; Khlusevich, Y.A.; Baykov, I.K.; Fontaine, T.; Latgé, J.-P.; Tikunova, N.V.; Nifantiev, N.E. Novel mouse monoclonal antibodies specifically recognize Aspergillus fumigatus galactomannan. PLoS One 2018, 13, 1–15. [Google Scholar] [CrossRef] [PubMed]
- Tsuji, S.; Uehori, J.; Matsumoto, M.; Suzuki, Y.; Matsuhisa, A.; Toyoshima, K.; Seya, T. Human intelectin is a novel soluble lectin that recognizes galactofuranose in carbohydrate chains of bacterial cell wall. J. Biol. Chem. 2001, 276, 23456–23463. [Google Scholar] [CrossRef] [PubMed]
- Wesener, D.A.; Wangkanont, K.; McBride, R.; Song, X.; Kraft, M.B.; Hodges, H.L.; Zarling, L.C.; Splain, R.A.; Smith, D.F.; Cummings, R.D.; et al. Recognition of microbial glycans by human intelectin-1. Nat. Struct. Mol. Biol. 2015, 22, 603–610. [Google Scholar] [CrossRef] [PubMed]
- Sharma, S.; Ramya TN, C. Saccharide binding by intelectins. Int. J. Biol. Macromol. 2018, 108, 1010–1016. [Google Scholar] [CrossRef] [PubMed]
- Tsuji, S.; Yamashita, M.; Nishiyama, A.; Shinohara, T.; Li, Z.; Myrvik, Q.N.; Hoffman, D.R.; Henriksen, R.A.; Shibata, Y. Differential structure and activity between human and mouse intelectin-1: Human intelectin-1 is a disulfide-linked trimer, whereas mouse homologue is a monomer. Glycobiology 2007, 17, 1045–1051. [Google Scholar] [CrossRef]
- Matsunaga, E.; Higuchi, Y.; Mori, K.; Tashiro, K.; Takegawa, K. Draft Genome Sequence of Streptomyces sp. JHA26, a Strain That Harbors a PA14 Domain Containing β-D-Galactofuranosidase. Genome Announc. 2017, 5, e00190-17. [Google Scholar] [CrossRef]
- Matsunaga, E.; Higuchi, Y.; Mori, K.; Yairo, N.; Toyota, S.; Oka, T.; Tashiro, K.; Takegawa, K. Characterization of a PA14 Domain-Containing Galactofuranose-Specific β-D-Galactofuranosidase from Streptomyces sp. Biosci. Biotechnol. Biochem. 2017, 81, 1314–1319. [Google Scholar] [CrossRef] [PubMed]
- Matsunaga, E.; Higuchi, Y.; Mori, K.; Tashiro, K.; Kuhara, S.; Takegawa, K. Draft Genome Sequence of Streptomyces sp. JHA19, a Strain That Possesses β-d-Galactofuranosidase Activity. Genome Announc. 2015, 3, e01171-15. [Google Scholar] [CrossRef] [PubMed]
- Matsunaga, E.; Higuchi, Y.; Mori, K.; Yairo, N.; Oka, T.; Shinozuka, S.; Tashiro, K.; Izumi, M.; Kuhara, S.; Takegawa, K. Identification and Characterization of a Novel Galactofuranose-Specific β-D-Galactofuranosidase from Streptomyces Species. PLoS ONE 2015, 10, e0137230. [Google Scholar] [CrossRef]
- Seničar, M.; Legentil, L.; Ferrières, V.; Eliseeva, S.V.; Petoud, S.; Takegawa, K.; Lafite, P.; Daniellou, R. Galactofuranosidase from JHA 19 Streptomyces sp.: Subcloning and biochemical characterization. Carbohydr. Res. 2019, 480, 35–41. [Google Scholar] [CrossRef] [PubMed]
- Abeygunawardana, C.; Bush, C.A.; Cisar, J.O. Complete structure of the cell surface polysaccharide of Streptococcus oralis ATCC 10557: A receptor for lectin-mediated interbacterial adherence. Biochemistry 1991, 30, 6528–6540. [Google Scholar] [CrossRef] [PubMed]
- Cassels, F.J.; Hughes, C.V.; Nauss, J.L. Adhesin receptors of human oral bacteria and modeling of putative adhesin-binding domains. J. Ind. Microbiol. 1995, 15, 176–185. [Google Scholar] [CrossRef] [PubMed]
- Chiodo, F.; Marrad, M.; Park, J.; Ram, A.F.J.; Penadé, S.; van Die, I.; Tefsen, B. Galactofuranose-coated gold nanoparticles elicit a pro-inflammatory response in human monocyte-derived dendritic cells and are recognized by DC-SIGN. ACS Chem. Biol. 2014, 9, 383–389. [Google Scholar] [CrossRef] [PubMed]
- Dureau, R.; Legentil, L.; Daniellou, R.; Ferrières, V. Two-Step Synthesis of Per-O-acetylfuranoses: Optimization and Rationalization. J. Org. Chem. 2012, 77, 1301–1307. [Google Scholar] [CrossRef]
- Arnaud, J.; Audfray, A.; Imberty, A. Binding sugars: From natural lectins to synthetic receptors and engineered neolectins. Chem. Soc. Rev. 2013, 42, 4798–4813. [Google Scholar] [CrossRef]
- Laemmli, U.K. Cleavage of structural proteins during the assembly of the head of bacteriophage T4. Nature 1970, 227, 680–685. [Google Scholar] [CrossRef]
- McGrath, C.E.; Vuong, T.V.; Wilson, D.B. Site-directed mutagenesis to probe catalysis by a Thermobifida fusca beta-1,3-glucanase (Lam81A). Protein Eng. Des. Sel. 2009, 22, 375–382. [Google Scholar] [CrossRef] [PubMed]
- Shallom, D.; Leon, M.; Bravman, T.; Ben-David, A.; Zaide, G.; Belakhov, V.; Shoham, G.; Schomburg, D.; Baasov, T.; Shoham, Y. Biochemical characterization and identification of the catalytic residues of a family 43 beta-D-xylosidase from Geobacillus stearothermophilus T-6. Biochemistry 2005, 44, 387–397. [Google Scholar] [CrossRef]
- Assailly, C.; Bridot, C.; Saumonneau, A.; Lottin, P.; Roubinet, B.; Krammer, E.-M.; François FVena, F.; Landemarre, L.; Alvarez Dorta, D.; Deniaud, D.; et al. Polyvalent transition-state analogues of sialyl substrates strongly inhibit bacterial sialidases. Chem. Eur. J. 2021, 27, 3142–3150. [Google Scholar] [CrossRef] [PubMed]
- Landemarre, L.; Duverger, E. Lectin Glycoprofiling of Recombinant Therapeutic Interleukin-7. In Glycosylation Engineering of Biopharmaceuticals: Methods and Protocols, Methods in Molecular Biology; Beck, A., Ed.; Springer: Berlin/Heidelberg, Germany, 2013; Volume 988, pp. 221–226. [Google Scholar] [CrossRef]
- Goyard, D.; Roubinet, B.; Vena, F.; Landemarre, L.; Renaudet, O. Homo- and Heterovalent Neoglycoproteins as Ligands for Bacterial Lectins. ChemPlusChem 2001, 87, e202100481. [Google Scholar] [CrossRef] [PubMed]
- Cauwel, M.; Sivignon, A.; Bridot, C.; Nongbe, M.C.; Deniaud, D.; Roubinet, B.; Landemarre, L.; Felpin, F.-X.; Bouckaert, J.; Barnich, N.; et al. Heptylmannose-functionalized cellulose for the binding and specific detection of pathogenic E. coli. Chem. Commun. 2019, 55, 10158–10161. [Google Scholar] [CrossRef] [PubMed]
- Brissonnet, Y.; Assailly, C.; Saumonneau, A.; Bouckaert, J.; Maillasson, M.; Petitot, C.; Roubinet, B.; Didak, B.; Landemarre, L.; Bridot, C.; et al. Multivalent Thiosialosides and Their Synergistic Interaction with Pathogenic Sialidases. Chem. Eur. J. 2019, 25, 2358. [Google Scholar] [CrossRef] [PubMed]
- Krammer, E.M.; Bridot, C.; Serna, S.; Echeverria, B.; Semwal, S.; Roubinet, B.; van Noort, K.; Wilbers, R.H.P.; Bourenkov, G.; de Ruyck, J.; et al. Structural insights into a cooperative switch between one and two FimH bacterial adhesins binding pauci- and high-mannose type N-glycan receptors. J. Biol. Chem. 2023, 299, 104627. [Google Scholar] [CrossRef] [PubMed]
- Shallom, D.; Belakhov, V.; Solomon, D.; Gilead-Gropper, S.; Baasov, T.; Shoham, G.; Shoham, Y. The identification of the acid-base catalyst of alpha-arabinofuranosidase from Geobacillus stearothermophilus T-6, a family 51 glycoside hydrolase. FEBS Lett. 2002, 514, 163–167. [Google Scholar] [CrossRef]






| Antibodies | |||||
|---|---|---|---|---|---|
| Origin | Type | Epitope Specificity | Target Organism | Purpose | References |
| Human serum Ab/rabbit Ab | IgG | EPS/(1,5)-linked β-D-galactofuranosides | Penicillium & Aspergillus species | research study | [13,14] |
| Polyclonal inhibitory antisera—rabbit Ab | IgG | β-D-galactofuranosyl units of surface glycoproteins | Trypanosoma cruzi | research study | [15] |
| Human serum monoclonal Ab (L-5-27) | - | suggested it recognises terminal α-Galp-(1,3)-β-Galf epitope | Leishmania major | research study | [16] |
| Rabbit serum | - | Galf-containing LPPG & LPGG-like molecules | Trypanosoma cruzi | research study | [17] |
| Rat monoclonal Ab (EB-A2) | IgM | (1,5)-β-Galf-containing epitope of the galactomannan molecule | Aspergillus fumigatus | research study; diagnostics (Platelia® ELISA, Pastorex® LAT) | [12,18,19,20,21,22] |
| Human serum (paracoccidioidomycosis patients) | - | Galf-containing glycolipid | Paracoccidioides brasiliensis | research study | [23] |
| Mouse monoclonal Ab (MEST-1) | IgG3 | β-Galf-(1,6)-α-Manp-(1,3)-β-Man-(1,2)-Ins. of GIPL-1 antigen | Paracoccidioides brasiliensis | research study | [24,25] |
| Mouse monoclonal Ab (L10-1 & L99-13) | IgM | Galf of the galactomannan molecule | Aspergillus fumigatus | research study (immunohistology) | [26] |
| Mouse monoclonal Ab (MAb476) | IgM | Galf moiety of the galactomannan epitope | Aspergillus fumigatus | research study (urinary immunochromatographic assay) | [27] |
| Mouse monoclonal Ab (mAb JF5) | IgG3 | mannoprotein antigen | Aspergillus fumigatus | research study (immunoPET/MR imaging) | [28] |
| Human monoclonal Ab (mAb JF5) | IgG3 | (1,5)-β-Galf epitope of mannoprotein antigen | Aspergillus fumigatus | research study (immunoPET/MR imaging) | [29] |
| Mouse monoclonal Ab (mAb AP3) | IgG1κ | oligo-[β-Galf-(1,5)] & Galf residues of O-linked glycans on GM | Aspergillus fumigatus | research study | [30] |
| Mouse monoclonal Ab (mAbs 7B8 & 8G4) | - | β-D-Galf-(1,5)-[β-Galf-(1,5)]3-α-D-Manp | Aspergillus fumigatus | research study | [31] |
| Lectins | ||||
|---|---|---|---|---|
| Origin | Epitope Specificity | Target Organism | Purpose | References |
| Fimbrial lectins (Streptococcus sp.) | diverse carbohydrate specificity among which also internal Galf linked β-(1,6) to β-Gal-(1,3)-αGalNAc or β-GalNAc-(1,3)-α-Gal | Actynomices viscosus/naeslundii | research study | [41] |
| Adhesins (bacteria) | diverse carbohydrate specificity, among which also Galf-disaccharide-binding regions | Streptococci | research study | [42] |
| DC-SIGN lectin from human monocyte-derived dendritic cells | multiple glycan epitopes, among which also Galf-coated gold nanoparticles | Galf-coated gold nanoparticles | research study | [43] |
| Human intelectin-1 (hIntL; hIntL-1/hINTL1); omentin; intestinal lactoferrin receptor; endothelial lectin HL-1 | multiple glycan epitopes; arabinogalactan D-galactofuranosyl residues; Galf-carrying column resins | Microbes; Nocardia | research study | [32,33,34,35] |
| Mutant Variant | Codon Change | Amino Acid Change |
|---|---|---|
| E464A | GAG → GCG | Glu (E) → Ala (A) |
| E464S | GAG → AGC | Glu (E) → Ser (S) |
| E464C | GAG → TGC | Glu (E) → Cys (C) |
| E464Q | GAG → CAG | Glu (E) → Gln (Q) |
| Enzyme | KM (mM) | kcat/(min−1) | kcat/KM (min−1.mM−1) |
|---|---|---|---|
| E464 | 0.25 | 213 | 852 |
| E464S | 0.036 | >0.01 | 0.27 |
| E464C | 0.17 | 0.1 | 0.58 |
| E464Q | 0.166 | 2.5 | 15 |
| Proteins | BC50 (GalfNGP/μM) |
|---|---|
| hIntL-1 | 0.016 +/− 0.004 |
| Wild-type Galf-ase | 0.024 +/− 0.008 |
| GalfNeoLect | 0.016 +/− 0.008 |
| Proteins | Galf-N3 | Galf-Thioaryl | pNP-β-D-Galf |
|---|---|---|---|
| GalfNeoLect | 1.39 +/− 0.8 | 0.15 +/− 0.04 | 1.14 +/− 1.0 |
| Galf-ase | 0.59 +/− 0.2 | 0.18 +/− 0.04 | 0.56 +/− 0.2 |
| Gene Mutation | Primer Length/bp | Primer Orientation | Primer Sequence (5′ → 3′) a |
|---|---|---|---|
| E464Q | 25 | Forward | GTCAACCAGAACCAGGGCTGGGGCC |
| Reverse | GGCCCCAGCCCTGGTTCTGGTTGAC | ||
| E464A | 27 | Forward | CTGGCCCCAGCCCGCGTTCTGGTTGAC |
| Reverse | GTCAACCAGAACGCGGGCTGGGGCCAG | ||
| E464C | 35 | Forward | CGTACTGGCCCCAGCCGCAGTTCTGGTTGACCCAC |
| Reverse | GTGGGTCAACCAGAACTGCGGCTGGGGCCAGTACG | ||
| E464S | 35 | Forward | CGTACTGGCCCCAGCCGCTGTTCTGGTTGACCCAC |
| Reverse | GTGGGTCAACCAGAACAGCGGCTGGGGCCAGTACG |
Disclaimer/Publisher’s Note: The statements, opinions and data contained in all publications are solely those of the individual author(s) and contributor(s) and not of MDPI and/or the editor(s). MDPI and/or the editor(s) disclaim responsibility for any injury to people or property resulting from any ideas, methods, instructions or products referred to in the content. |
© 2024 by the authors. Licensee MDPI, Basel, Switzerland. This article is an open access article distributed under the terms and conditions of the Creative Commons Attribution (CC BY) license (https://creativecommons.org/licenses/by/4.0/).
Share and Cite
Seničar, M.; Roubinet, B.; Lafite, P.; Legentil, L.; Ferrières, V.; Landemarre, L.; Daniellou, R. Galf-Specific Neolectins: Towards Promising Diagnostic Tools. Int. J. Mol. Sci. 2024, 25, 4826. https://doi.org/10.3390/ijms25094826
Seničar M, Roubinet B, Lafite P, Legentil L, Ferrières V, Landemarre L, Daniellou R. Galf-Specific Neolectins: Towards Promising Diagnostic Tools. International Journal of Molecular Sciences. 2024; 25(9):4826. https://doi.org/10.3390/ijms25094826
Chicago/Turabian StyleSeničar, Mateja, Benoît Roubinet, Pierre Lafite, Laurent Legentil, Vincent Ferrières, Ludovic Landemarre, and Richard Daniellou. 2024. "Galf-Specific Neolectins: Towards Promising Diagnostic Tools" International Journal of Molecular Sciences 25, no. 9: 4826. https://doi.org/10.3390/ijms25094826
APA StyleSeničar, M., Roubinet, B., Lafite, P., Legentil, L., Ferrières, V., Landemarre, L., & Daniellou, R. (2024). Galf-Specific Neolectins: Towards Promising Diagnostic Tools. International Journal of Molecular Sciences, 25(9), 4826. https://doi.org/10.3390/ijms25094826

