Design and Escherichia coli Expression of a Natively Folded Multi-Disulfide Bonded Influenza H1N1-PR8 Receptor-Binding Domain (RBD)
Abstract
1. Introduction
2. Results
2.1. Expression, Refolding, and Purification

2.2. Conformational Characterizations
2.3. Particle Size and Solubility
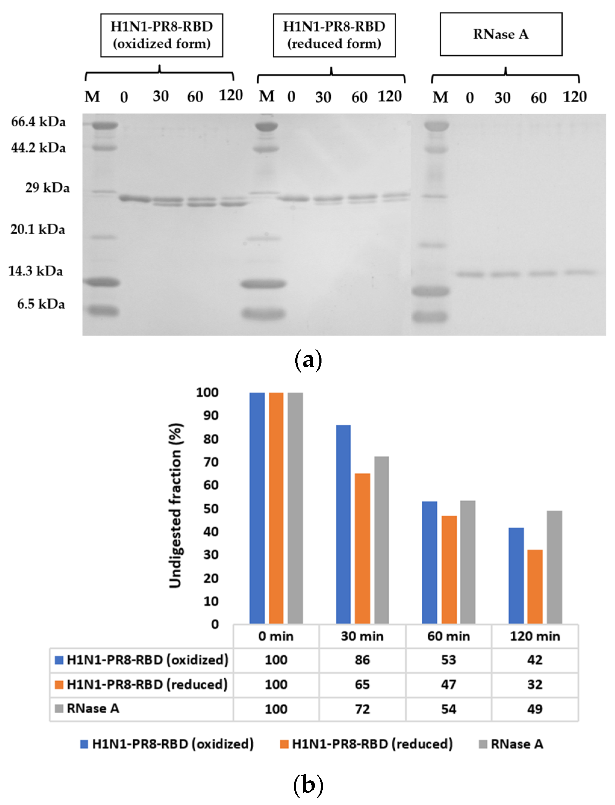
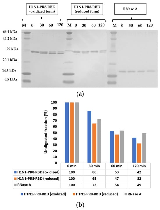
2.4. Biochemical Stability
3. Discussion
4. Materials and Methods
4.1. Plasmid Construction, Protein Expression, Refolding, and Purification
4.2. Analytical Reverse-Phase High-Performance Liquid Chromatography (RP-HPLC)
4.3. Circular Dichroism (CD) Measurements
4.4. Light Scattering Measurements
4.5. Fluorescence Spectroscopy Measurements
4.6. Nuclear Magnetic Resonance (NMR) Spectroscopy
4.7. Analytical Ultracentrifugation (AUC) Measurements
4.8. Limited Proteolysis
4.9. Differential Scanning Calorimetry (DSC)
5. Conclusions
Supplementary Materials
Author Contributions
Funding
Institutional Review Board Statement
Informed Consent Statement
Data Availability Statement
Acknowledgments
Conflicts of Interest
References
- Rosano, G.L.; Ceccarelli, E.A. Recombinant Protein Expression in Escherichia coli: Advances and Challenges. Front. Microbiol. 2014, 5, 79503. [Google Scholar] [CrossRef] [PubMed]
- Bessette, P.H.; Åslund, F.; Beckwith, J.; Georgiou, G. Efficient Folding of Proteins with Multiple Disulfide Bonds in the Escherichia coli Cytoplasm. Proc. Natl. Acad. Sci. USA 1999, 96, 13703–13708. [Google Scholar] [CrossRef] [PubMed]
- Yin, J.; Li, G.; Ren, X.; Herrler, G. Select What You Need: A Comparative Evaluation of the Advantages and Limitations of Frequently Used Expression Systems for Foreign Genes. J. Biotechnol. 2007, 127, 335–347. [Google Scholar] [CrossRef] [PubMed]
- Saotome, T.; Yamazaki, T.; Kuroda, Y. Misfolding of a Single Disulfide Bonded Globular Protein into a Low-Solubility Species Conformationally and Biophysically Distinct from the Native One. Biomolecules 2019, 9, 250. [Google Scholar] [CrossRef] [PubMed]
- Baneyx, F.; Mujacic, M. Recombinant Protein Folding and Misfolding in Escherichia coli. Nat. Biotechnol. 2004, 22, 1399–1407. [Google Scholar] [CrossRef] [PubMed]
- World Health Organization. Influenza (Seasonal). Available online: https://www.who.int/news-room/fact-sheets/detail/influenza-(seasonal) (accessed on 18 January 2024).
- Krammer, F.; Smith, G.J.D.; Fouchier, R.A.M.; Peiris, M.; Kedzierska, K.; Doherty, P.C.; Palese, P.; Shaw, M.L.; Treanor, J.; Webster, R.G.; et al. Influenza. Nat. Rev. Dis. Primers 2018, 4, 3. [Google Scholar] [CrossRef] [PubMed]
- Mameli, C.; Cocchi, I.; Fumagalli, M.; Zuccotti, G. Influenza Vaccination: Effectiveness, Indications, and Limits in the Pediatric Population. Front. Pediatr. 2019, 7, 317. [Google Scholar] [CrossRef]
- Krietsch Boerner, L. The Flu Shot and the Egg. ACS Cent. Sci. 2020, 6, 89–92. [Google Scholar] [CrossRef] [PubMed]
- Rockman, S.; Laurie, K.L.; Parkes, S.; Wheatley, A.; Barr, I.G. New Technologies for Influenza Vaccines. Microorganisms 2020, 8, 1745. [Google Scholar] [CrossRef]
- Aguilar-Yáñez, J.M.; Portillo-Lara, R.; Mendoza-Ochoa, G.I.; García-Echauri, S.A.; López-Pacheco, F.; Bulnes-Abundis, D.; Salgado-Gallegos, J.; Lara-Mayorga, I.M.; Webb-Vargas, Y.; León-Angel, F.O.; et al. An Influenza A/H1N1/2009 Hemagglutinin Vaccine Produced in Escherichia coli. PLoS ONE 2010, 5, e11694. [Google Scholar] [CrossRef]
- DuBois, R.M.; Aguilar-Yañez, J.M.; Mendoza-Ochoa, G.I.; Oropeza-Almazán, Y.; Schultz-Cherry, S.; Alvarez, M.M.; White, S.W.; Russell, C.J. The Receptor-Binding Domain of Influenza Virus Hemagglutinin Produced in Escherichia coli Folds into Its Native, Immunogenic Structure. J. Virol. 2011, 85, 865–872. [Google Scholar] [CrossRef] [PubMed]
- Khurana, S.; Verma, S.; Verma, N.; Crevar, C.J.; Carter, D.M.; Manischewitz, J.; King, L.R.; Ross, T.M.; Golding, H. Properly Folded Bacterially Expressed H1N1 Hemagglutinin Globular Head and Ectodomain Vaccines Protect Ferrets against H1N1 Pandemic Influenza Virus. PLoS ONE 2010, 5, e11548. [Google Scholar] [CrossRef] [PubMed]
- Igarashi, M.; Ito, K.; Yoshida, R.; Tomabechi, D.; Kida, H.; Takada, A. Predicting the Antigenic Structure of the Pandemic (H1N1) 2009 Influenza Virus Hemagglutinin. PLoS ONE 2010, 5, e8553. [Google Scholar] [CrossRef] [PubMed]
- Ebina, T.; Umezawa, Y.; Kuroda, Y. IS-Dom: A Dataset of Independent Structural Domains Automatically Delineated from Protein Structures. J. Comput. Aided Mol. Des. 2013, 27, 419–426. [Google Scholar] [CrossRef] [PubMed]
- Gamblin, S.J.; Haire, L.F.; Russell, R.J.; Stevens, D.J.; Xiao, B.; Ha, Y.; Vasisht, N.; Steinhauer, D.A.; Daniels, R.S.; Elliot, A.; et al. The Structure and Receptor Binding Properties of the 1918 Influenza Hemagglutinin. Science (1979) 2004, 303, 1838–1842. [Google Scholar] [CrossRef] [PubMed]
- Rathnayaka, T.; Tawa, M.; Sohya, S.; Yohda, M.; Kuroda, Y. Biophysical Characterization of Highly Active Recombinant Gaussia Luciferase Expressed in Escherichia coli. Biochim. Biophys. Acta Proteins Proteom. 2010, 1804, 1902–1907. [Google Scholar] [CrossRef] [PubMed]
- DeLano, W.L. The PyMOL Molecular Graphics System, Version 1.5.0.4; Schrödinger, LLC: New York, NY, USA, 2002.
- Vivian, J.T.; Callis, P.R. Mechanisms of Tryptophan Fluorescence Shifts in Proteins. Biophys. J. 2001, 80, 2093–2109. [Google Scholar] [CrossRef] [PubMed]
- Nobbmann, U. Characterization down to Nanometers: Light Scattering from Proteins and Micelles. In Mesoscale Phenomena in Fluid Systems; Case, F., Alexandridris, P., Eds.; American Chemical Society: Washington, DC, USA, 2003; Volume 861, pp. 44–59. [Google Scholar]
- Gasteiger, E.; Hoogland, C.; Gattiker, A.; Duvaud, S.; Wilkins, M.R.; Appel, R.D.; Bairoch, A. Protein Identification and Analysis Tools on the ExPASy Server. In The Proteomics Protocols Handbook; Walker, J.M., Ed.; Springer: Berlin/Heidelberg, Germany, 1999; Volume 112, pp. 571–607. [Google Scholar]
- Fontana, A.; Polverino De Laureto, P.; De Filippis, V.; Scaramella, E.; Zambonin, M. Probing the Partly Folded States of Proteins by Limited Proteolysis. Fold. Des. 1997, 2, R17–R26. [Google Scholar] [CrossRef] [PubMed]
- Kristensen, P.; Winter, G. Proteolytic Selection for Protein Folding Using Filamentous Bacteriophages. Fold. Des. 1998, 3, 321–328. [Google Scholar] [CrossRef]
- Ahmad, S.; Kumar, V.; Ramanand, K.B.; Rao, N.M. Probing Protein Stability and Proteolytic Resistance by Loop Scanning: A Comprehensive Mutational Analysis. Protein Sci. 2012, 21, 433–446. [Google Scholar] [CrossRef]
- Neira, J.L.; Rico, M. Folding Studies on Ribonuclease A, a Model Protein. Fold. Des. 1997, 2, R1–R11. [Google Scholar] [CrossRef] [PubMed]
- Rathnayaka, T.; Tawa, M.; Nakamura, T.; Sohya, S.; Kuwajima, K.; Yohda, M.; Kuroda, Y. Solubilization and Folding of a Fully Active Recombinant Gaussia Luciferase with Native Disulfide Bonds by Using a SEP-Tag. Biochim. Biophys. Acta Proteins Proteom. 2011, 1814, 1775–1778. [Google Scholar] [CrossRef] [PubMed]
- Yamaguchi, H.; Miyazaki, M. Refolding Techniques for Recovering Biologically Active Recombinant Proteins from Inclusion Bodies. Biomolecules 2014, 4, 235–251. [Google Scholar] [CrossRef] [PubMed]
- Arai, K.; Kumakura, F.; Iwaoka, M. Kinetic and Thermodynamic Analysis of the Conformational Folding Process of SS-Reduced Bovine Pancreatic Ribonuclease A Using a Selenoxide Reagent with High Oxidizing Ability. FEBS Open Bio 2012, 2, 60–70. [Google Scholar] [CrossRef] [PubMed]
- Browning, J.L.; Mattaliano, R.J.; Chow, E.; Liang, S.; Allet, B.; Rosa, J.; Smart, J.E. Disulfide Scrambling of Interleukin-2: HPLC Resolution of the Three Possible Isomers. Anal. Biochem. 1986, 155, 123–128. [Google Scholar] [CrossRef] [PubMed]
- Lehrer, S.S. Solute perturbation of protein fluorescence. Quenching of the tryptophyl fluorescence of model compounds and of lysozyme by iodide ion. Biochemistry 1971, 10, 3254–3263. [Google Scholar] [CrossRef] [PubMed]
- Shoji, Y.; Chichester, J.A.; Jones, M.; Manceva, S.D.; Damon, E.; Mett, V.; Musiychuk, K.; Bi, H.; Farrance, C.; Shamloul, M.; et al. Plant-Based Rapid Production of Recombinant Subunit Hemagglutinin Vaccines Targeting H1N1 and H5N1 Influenza. Hum. Vaccin. 2011, 7, 41–50. [Google Scholar] [CrossRef] [PubMed]
- Margine, I.; Palese, P.; Krammer, F. Expression of Functional Recombinant Hemagglutinin and Neuraminidase Proteins from the Novel H7N9 Influenza Virus Using the Baculovirus Expression System. J. Vis. Exp. 2013, 81, e51112. [Google Scholar] [CrossRef]
- Wang, K.; Holtz, K.M.; Anderson, K.; Chubet, R.; Mahmoud, W.; Cox, M.M.J. Expression and Purification of an Influenza Hemagglutinin—One Step Closer to a Recombinant Protein-Based Influenza Vaccine. Vaccine 2006, 24, 2176–2185. [Google Scholar] [CrossRef]
- van der Woude, R.; Turner, H.L.; Tomris, I.; Bouwman, K.M.; Ward, A.B.; de Vries, R.P. Drivers of Recombinant Soluble Influenza A Virus Hemagglutinin and Neuraminidase Expression in Mammalian Cells. Protein Sci. 2020, 29, 1975–1982. [Google Scholar] [CrossRef]
- Micsonai, A.; Wien, F.; Bulyáki, É.; Kun, J.; Moussong, É.; Lee, Y.H.; Goto, Y.; Réfrégiers, M.; Kardos, J. BeStSel: A Web Server for Accurate Protein Secondary Structure Prediction and Fold Recognition from the Circular Dichroism Spectra. Nucleic Acids Res. 2018, 46, W315–W322. [Google Scholar] [CrossRef] [PubMed]
- Greenfield, N.J. Using Circular Dichroism Collected as a Function of Temperature to Determine the Thermodynamics of Protein Unfolding and Binding Interactions. Nat. Protoc. 2006, 1, 2527–2535. [Google Scholar] [CrossRef]
- Rahman, N.; Miura, S.; Okawa, M.; Kibria, M.G.; Islam, M.M.; Kuroda, Y. Solubility Controlling Peptide Tags of Opposite Charges Generate a Bivalent Immune Response Against Dengue ED3 Serotypes 3 and 4. Front. Immunol. 2021, 12, 671590. [Google Scholar] [CrossRef] [PubMed]
- Schuck, P. Size-Distribution Analysis of Macromolecules by Sedimentation Velocity Ultracentrifugation and Lamm Equation Modeling. Biophys. J. 2000, 78, 1606–1619. [Google Scholar] [CrossRef]
- Laue, T.M. Computer-Aided Interpretation of Analytical Sedimentation Data for Proteins. In Analytical Ultracentrifugation in Biochemistry and Polymer Science; Harding, S.E., Horton, J.C., Rowe, A.J., Eds.; Royal Society of Chemistry: Cambridge, UK, 1992; pp. 90–125. [Google Scholar]
- Wongnak, R.; Brindha, S.; Yoshizue, T.; Onchaiya, S.; Mizutani, K.; Kuroda, Y. E. coli Production of a Multi-Disulfide Bonded SARS-CoV-2 Omicron.5 RBD Exhibiting Native-like Biochemical and Biophysical. Biophys. Physicobiol 2023, 20, e200036. [Google Scholar] [CrossRef] [PubMed]
- Kidokoro, S.-I.; Wada, A. Determination of Thermodynamic Functions from Scanning Calorimetry Data. Biopolymers 1987, 26, 213–229. [Google Scholar] [CrossRef]
- Kidokoro, S.-I.; Uedaira, H.; Wada, A. Determination of Thermodynamic Functions from Scanning Calorimetry Data. II. For the System That Includes Self-dissociation/Association Process. Biopolymers 1988, 27, 271–297. [Google Scholar] [CrossRef]




Disclaimer/Publisher’s Note: The statements, opinions and data contained in all publications are solely those of the individual author(s) and contributor(s) and not of MDPI and/or the editor(s). MDPI and/or the editor(s) disclaim responsibility for any injury to people or property resulting from any ideas, methods, instructions or products referred to in the content. |
© 2024 by the authors. Licensee MDPI, Basel, Switzerland. This article is an open access article distributed under the terms and conditions of the Creative Commons Attribution (CC BY) license (https://creativecommons.org/licenses/by/4.0/).
Share and Cite
Tu, T.; Rathnayaka, T.; Kato, T.; Mizutani, K.; Saotome, T.; Noguchi, K.; Kidokoro, S.-i.; Kuroda, Y. Design and Escherichia coli Expression of a Natively Folded Multi-Disulfide Bonded Influenza H1N1-PR8 Receptor-Binding Domain (RBD). Int. J. Mol. Sci. 2024, 25, 3943. https://doi.org/10.3390/ijms25073943
Tu T, Rathnayaka T, Kato T, Mizutani K, Saotome T, Noguchi K, Kidokoro S-i, Kuroda Y. Design and Escherichia coli Expression of a Natively Folded Multi-Disulfide Bonded Influenza H1N1-PR8 Receptor-Binding Domain (RBD). International Journal of Molecular Sciences. 2024; 25(7):3943. https://doi.org/10.3390/ijms25073943
Chicago/Turabian StyleTu, Thao, Tharangani Rathnayaka, Toshiyo Kato, Kenji Mizutani, Tomonori Saotome, Keiichi Noguchi, Shun-ichi Kidokoro, and Yutaka Kuroda. 2024. "Design and Escherichia coli Expression of a Natively Folded Multi-Disulfide Bonded Influenza H1N1-PR8 Receptor-Binding Domain (RBD)" International Journal of Molecular Sciences 25, no. 7: 3943. https://doi.org/10.3390/ijms25073943
APA StyleTu, T., Rathnayaka, T., Kato, T., Mizutani, K., Saotome, T., Noguchi, K., Kidokoro, S.-i., & Kuroda, Y. (2024). Design and Escherichia coli Expression of a Natively Folded Multi-Disulfide Bonded Influenza H1N1-PR8 Receptor-Binding Domain (RBD). International Journal of Molecular Sciences, 25(7), 3943. https://doi.org/10.3390/ijms25073943

