Healing of Skin Wounds in Rats Using Creams Based on Symphytum Officinale Extract
Abstract
1. Introduction
2. Results and Discussion
2.1. Comfrey Extract Structural Evaluation and In Vitro Assays
2.1.1. Determination of Total Polyphenol and Allantoin Content of Comfrey Extract
2.1.2. Cell Viability of Comfrey Extract
2.1.3. Antioxidant Activity of Comfrey Extract
2.1.4. Antibacterial Activity of Comfrey Extract
2.2. Characterization and In Vivo Evaluation of Oil-in-Water Cream with Comfrey Extract
2.2.1. Creams Characterization
2.2.2. Epithelium Bacteriological Examination
2.2.3. Macroscopic Examination of Wound Healing
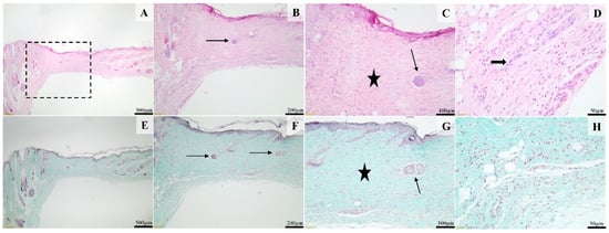
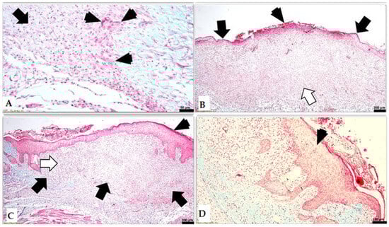
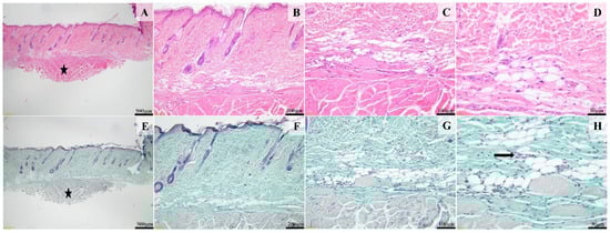
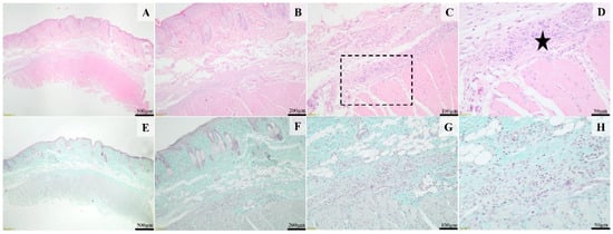
2.2.4. Histological Analyses
3. Materials and Methods
3.1. Preparation and Characterization of Comfrey Extract
3.1.1. Preparation of Extract from Comfrey Roots
3.1.2. Determination of Total Polyphenols Content of Comfrey Extract
3.1.3. Determination of Phenolic Compounds of Comfrey Extract
3.1.4. Determination of Allantoin Compounds of Comfrey Extract
3.1.5. Cytotoxicity of the Comfrey Extract
3.1.6. Antioxidant Activity of Comfrey Extract
3.1.7. Antimicrobial Assay on Comfrey Extract
3.2. Preparation and Characterization of Oil-in-Water Cream of Comfrey Extract
3.2.1. Preparation of the Oil-in-Water Cream with Comfrey Extract
3.2.2. Characterization of the of the Oil-in-Water Cream with Comfrey Extract
3.3. In Vivo Evaluation of the Oil-in-Water Cream with Comfrey Extract
3.3.1. Animal Care and Use
3.3.2. Surgical Procedure
3.3.3. Epithelium Bacteriological Examination
3.3.4. Macroscopic Examination of Wound Size Reduction
3.3.5. Histological Method
3.3.6. Pain Management
3.4. Statistical Analysis
4. Conclusions
Supplementary Materials
Author Contributions
Funding
Institutional Review Board Statement
Informed Consent Statement
Data Availability Statement
Conflicts of Interest
Abbreviations
| RA | Rosmarinic acid |
| SAs | Salvianolic acids |
| SyOf | Comfrey concentrated extract |
| O/W | Oil-in-water |
| SyOf10% | 10% comfrey concentrated extract in oil-in-water cream |
| SyOf20% | 20% comfrey concentrated extract in oil-in-water cream |
| Simple C | Oil-in-water cream without SyOf |
| HaCaT | Human keratinocytes cells |
| MH | Mueller–Hinton agar |
| MICs | Minimum inhibitory concentrations |
| MBC | Minimum bactericidal concentration |
References
- Salehi, B.; Sharopov, F.; Tumer, T.B.; Ozleyen, A.; Rodríguez-Pérez, C.; Ezzat, S.M.; Azzini, E.; Hosseinabadi, T.; Butnariu, M.; Sarac, I.; et al. Symphytum Species: A Comprehensive Review on Chemical Composition, Food Applications and Phytopharmacology. Molecules 2019, 24, 2272. [Google Scholar] [CrossRef]
- Cameron, M.; Chrubasik, S. Topical Herbal Therapies for Treating Osteoarthritis. Cochrane Database Syst. Rev. 2013, 2013, CD010538. [Google Scholar] [CrossRef]
- Trifan, A.; Opitz, S.E.W.; Josuran, R.; Grubelnik, A.; Esslinger, N.; Peter, S.; Bräm, S.; Meier, N.; Wolfram, E. Is Comfrey Root More than Toxic Pyrrolizidine Alkaloids? Salvianolic Acids among Antioxidant Polyphenols in Comfrey (Symphytum officinale L.) Roots. Food Chem. Toxicol. 2018, 112, 178–187. [Google Scholar] [CrossRef]
- Kamelan Kafi, M.; Bolvari, N.E.; Mohammad Pour, S.; Moghadam, S.K.; Shafaei, N.; Karimi, E.; Oskoueian, E. Encapsulated Phenolic Compounds from Ferula gummosa Leaf: A Potential Phytobiotic against Campylobacter jejuni Infection. J. Food Process. Preserv. 2022, 46, e16802. [Google Scholar] [CrossRef]
- Ekambaram, S.; Perumal, S.; Balakrishnan, A.; Marappan, N.; Gajendran, S.; Viswanathan, V. Antibacterial Synergy between Rosmarinic Acid and Antibiotics against Methicillin Resistant Staphylococcus aureus. J. Intercult. Ethnopharmacol. 2016, 5, 358. [Google Scholar] [CrossRef]
- Colica, C.; Di Renzo, L.; Aiello, V.; De Lorenzo, A.; Abenavoli, L. Rosmarinic Acid as Potential Anti-Inflammatory Agent. Rev. Recent Clin. Trials 2018, 13, 240–242. [Google Scholar] [CrossRef]
- Lee, H.-G.; Kwon, S.; Moon, S.-K.; Cho, S.-Y.; Park, S.-U.; Jung, W.-S.; Park, J.-M.; Ko, C.-N.; Cho, K.-H. Neuroprotective Effects of Geopung-Chunghyuldan Based on Its Salvianolic Acid B Content Using an In Vivo Stroke Model. Curr. Issues Mol. Biol. 2023, 45, 1613–1626. [Google Scholar] [CrossRef]
- Syarifah, A.N.; Suryadi, H.; Hayun, H.; Simamora, A.; Mun’im, A. Detoxification of Comfrey (Symphytum officinale L.) Extract Using Natural Deep Eutectic Solvent (NADES) and Evaluation of Its Anti-Inflammatory, Antioxidant, and Hepatoprotective Properties. Front. Pharmacol. 2023, 14, 1012716. [Google Scholar] [CrossRef]
- Chhabra, P.; Chauhan, G.; Kumar, A. Augmented Healing of Full Thickness Chronic Excision Wound by Rosmarinic Acid Loaded Chitosan Encapsulated Graphene Nanopockets. Drug Dev. Ind. Pharm. 2020, 46, 878–888. [Google Scholar] [CrossRef]
- Hitl, M.; Kladar, N.; Gavarić, N.; Božin, B. Rosmarinic Acid–Human Pharmacokinetics and Health Benefits. Planta Medica 2021, 87, 273–282. [Google Scholar] [CrossRef]
- Liu, H.; Ma, S.; Xia, H.; Lou, H.; Zhu, F.; Sun, L. Anti-Inflammatory Activities and Potential Mechanisms of Phenolic Acids Isolated from Salvia miltiorrhiza f. Alba Roots in THP-1 Macrophages. J. Ethnopharmacol. 2018, 222, 201–207. [Google Scholar] [CrossRef]
- Xiao, Z.; Liu, W.; Mu, Y.; Zhang, H.; Wang, X.; Zhao, C.; Chen, J.; Liu, P. Pharmacological Effects of Salvianolic Acid B Against Oxidative Damage. Front. Pharmacol. 2020, 11, 572373. [Google Scholar] [CrossRef]
- Li, Y.; Zhang, X.; Cui, L.; Chen, R.; Zhang, Y.; Zhang, C.; Zhu, X.; He, T.; Shen, Z.; Dong, L.; et al. Salvianolic acids enhance cerebral angiogenesis and neurological recovery by activating JAK2/STAT3 signaling pathway after ischemic stroke in mice. J. Neurochem. 2017, 143, 87–99. [Google Scholar] [CrossRef]
- Lay, I.-S.; Hsieh, C.-C.; Chiu, J.-H.; Shiao, M.-S.; Lui, W.-Y.; Wu, C.-W. Salvianolic Acid b Enhances in Vitro Angiogenesis and Improves Skin Flap Survival in Sprague-Dawley Rats1. J. Surg. Res. 2003, 115, 279–285. [Google Scholar] [CrossRef]
- Karmin, O.; Cheung, F.; Sung, F.L.; Zhu, D.Y.; Siow, Y.L. Effect of Magnesium Tanshinoate B on the Production of Nitric Oxide in Endothelial Cells. Mol. Cell Biochem. 2000, 207, 35–39. [Google Scholar] [CrossRef]
- Qin, R.; Lin, J.; Li, C.; Fu, W.; Huang, C.; Yu, X.; Huang, L.; Nie, H. Study of the Protective Mechanisms of Compound Danshen Tablet (Fufang Danshen Pian) against Myocardial Ischemia/Reperfusion Injury via the Akt-ENOS Signaling Pathway in Rats. J. Ethnopharmacol. 2014, 156, 190–198. [Google Scholar] [CrossRef]
- Liu, Q.; Chu, H.; Ma, Y.; Wu, T.; Qian, F.; Ren, X.; Tu, W.; Zhou, X.; Jin, L.; Wu, W.; et al. Salvianolic Acid B Attenuates Experimental Pulmonary Fibrosis through Inhibition of the TGF-β Signaling Pathway. Sci. Rep. 2016, 6, 27610. [Google Scholar] [CrossRef]
- Sowa, I.; Paduch, R.; Strzemski, M.; Zielińska, S.; Rydzik-Strzemska, E.; Sawicki, J.; Kocjan, R.; Polkowski, J.; Matkowski, A.; Latalski, M.; et al. Proliferative and Antioxidant Activity of Symphytum officinale Root Extract. Nat. Prod. Res. 2018, 32, 605–609. [Google Scholar] [CrossRef]
- Nokoorani, Y.D.; Shamloo, A.; Bahadoran, M.; Moravvej, H. Fabrication and Characterization of Scaffolds Containing Different Amounts of Allantoin for Skin Tissue Engineering. Sci. Rep. 2021, 11, 16164. [Google Scholar] [CrossRef]
- Dinica, R.M.; Sandu, C.; Dediu Botezatu, A.V.; Cazanevscaia Busuioc, A.; Balanescu, F.; Ionica Mihaila, M.D.; Dumitru, C.N.; Furdui, B.; Iancu, A.V. Allantoin from Valuable Romanian Animal and Plant Sources with Promising Anti-Inflammatory Activity as a Nutricosmetic Ingredient. Sustainability 2021, 13, 10170. [Google Scholar] [CrossRef]
- Duan, M.; Shang, H.; Chen, S.; Li, R.; Wu, H. Physicochemical Properties and Activities of Comfrey Polysaccharides Extracted by Different Techniques. Int. J. Biol. Macromol. 2018, 115, 876–882. [Google Scholar] [CrossRef]
- Mazzocchi, A.; Montanaro, F. Observational Study of the Use of Symphytum 5CH in the Management of Pain and Swelling after Dental Implant Surgery. Homeopathy 2012, 101, 211–216. [Google Scholar] [CrossRef]
- Kruse, L.H.; Stegemann, T.; Sievert, C.; Ober, D. Identification of a Second Site of Pyrrolizidine Alkaloid Biosynthesis in Comfrey to Boost Plant Defense in Floral Stage. Plant Physiol. 2017, 174, 47–55. [Google Scholar] [CrossRef]
- Brown, A.W.; Stegelmeier, B.L.; Colegate, S.M.; Gardner, D.R.; Panter, K.E.; Knoppel, E.L.; Hall, J.O. The Comparative Toxicity of a Reduced, Crude Comfrey (Symphytum officinale) Alkaloid Extract and the Pure, Comfrey-derived Pyrrolizidine Alkaloids, Lycopsamine and Intermedine in Chicks (Gallus Gallus Domesticus). J. Appl. Toxicol. 2016, 36, 716–725. [Google Scholar] [CrossRef]
- Horinouchi, C.D.; Otuki, M.F. Botanical Briefs: Comfrey (Symphytum officinale). Cutis 2013, 91, 225–228. [Google Scholar]
- Frost, R.; MacPherson, H.; O’Meara, S. A Critical Scoping Review of External Uses of Comfrey (Symphytum spp.). Complement. Ther. Med. 2013, 21, 724–745. [Google Scholar] [CrossRef]
- Páll, E.; Niculae, M.; Brudașcă, G.F.; Ravilov, R.K.; Șandru, C.D.; Cerbu, C.; Olah, D.; Zăblău, S.; Potârniche, A.V.; Spinu, M.; et al. Assessment and Antibiotic Resistance Profiling in Vibrio Species Isolated from Wild Birds Captured in Danube Delta Biosphere Reserve, Romania. Antibiotics 2021, 10, 333. [Google Scholar] [CrossRef]
- Ayobami, O.; Brinkwirth, S.; Eckmanns, T.; Markwart, R. Antibiotic Resistance in Hospital-Acquired ESKAPE-E Infections in Low- and Lower-Middle-Income Countries: A Systematic Review and Meta-Analysis. Emerg. Microbes Infect. 2022, 11, 443–451. [Google Scholar] [CrossRef]
- Lin, Q.; Deslouches, B.; Montelaro, R.C.; Di, Y.P. Prevention of ESKAPE Pathogen Biofilm Formation by Antimicrobial Peptides WLBU2 and LL37. Int. J. Antimicrob. Agents 2018, 52, 667–672. [Google Scholar] [CrossRef]
- Sánchez, E.; Rivas Morales, C.; Castillo, S.; Leos-Rivas, C.; García-Becerra, L.; Ortiz Martínez, D.M. Antibacterial and Antibiofilm Activity of Methanolic Plant Extracts against Nosocomial Microorganisms. Evid.-Based Complement. Altern. Med. 2016, 2016, 1572697. [Google Scholar] [CrossRef]
- Taghouti, M.; Martins-Gomes, C.; Schäfer, J.; Santos, J.A.; Bunzel, M.; Nunes, F.M.; Silva, A.M. Chemical Characterization and Bioactivity of Extracts from Thymus mastichina: A Thymus with a Distinct Salvianolic Acid Composition. Antioxidants 2019, 9, 34. [Google Scholar] [CrossRef]
- Peng, X.; Qi, W.; Huang, R.; Su, R.; He, Z. Elucidating the Influence of Gold Nanoparticles on the Binding of Salvianolic Acid B and Rosmarinic Acid to Bovine Serum Albumin. PLoS ONE 2015, 10, e0118274. [Google Scholar] [CrossRef]
- Braga, R.R.; Sales, J.; de Cassia Elias Estrela Marins, R.; Ortiz, G.M.D.; Garcia, S. Development and Validation of a Method for Allantoin Determination in Liposomes and Pharmaceutical Formulations. Spectrochim. Acta A Mol. Biomol. Spectrosc. 2012, 91, 389–394. [Google Scholar] [CrossRef]
- Kuş, N.; Bayarı, S.H.; Fausto, R. Thermal Decomposition of Allantoin as Probed by Matrix Isolation FTIR Spectroscopy. Tetrahedron 2009, 65, 9719–9727. [Google Scholar] [CrossRef]
- Schoop, V.M.; Fusenig, N.E.; Mirancea, N. Epidermal Organization and Differentiation of HaCaT Keratinocytes in Organotypic Coculture with Human Dermal Fibroblasts. J. Investig. Dermatol. 1999, 112, 343–353. [Google Scholar] [CrossRef]
- Olschläger, V.; Schrader, A.; Hockertz, S. Comparison of Primary Human Fibroblasts and Keratinocytes with Immortalized Cell Lines Regarding Their Sensitivity to Sodium Dodecyl Sulfate in a Neutral Red Uptake Cytotoxicity Assay. Arzneimittelforschung 2009, 59, 146–152. [Google Scholar] [CrossRef]
- Amoah, S.; Sandjo, L.; Kratz, J.; Biavatti, M. Rosmarinic Acid—Pharmaceutical and Clinical Aspects. Planta Medica 2016, 82, 388–406. [Google Scholar] [CrossRef]
- Ho, J.H.-C.; Hong, C.-Y. Salvianolic Acids: Small Compounds with Multiple Mechanisms for Cardiovascular Protection. J. Biomed. Sci. 2011, 18, 30. [Google Scholar] [CrossRef]
- Lu, Y.; Foo, L.Y. Salvianolic Acid L, a Potent Phenolic Antioxidant from Salvia Officinalis. Tetrahedron Lett. 2001, 42, 8223–8225. [Google Scholar] [CrossRef]
- Shuai, X.; McClements, D.J.; Geng, Q.; Dai, T.; Ruan, R.; Du, L.; Liu, Y.; Chen, J. Macadamia Oil-Based Oleogels as Cocoa Butter Alternatives: Physical Properties, Oxidative Stability, Lipolysis, and Application. Food Res. Int. 2023, 172, 113098. [Google Scholar] [CrossRef]
- Pirsalami, S.; Bagherpour, S.; Ebrahim Bahrololoom, M.; Riazi, M. Adsorption Efficiency of Glycyrrhiza Glabra Root toward Heavy Metal Ions: Experimental and Molecular Dynamics Simulation Study on Removing Copper Ions from Wastewater. Sep. Purif. Technol. 2021, 275, 119215. [Google Scholar] [CrossRef]
- Dumitrescu, A.M.; Lisa, G.; Iordan, A.R.; Tudorache, F.; Petrila, I.; Borhan, A.I.; Palamaru, M.N.; Mihailescu, C.; Leontie, L.; Munteanu, C. Ni Ferrite Highly Organized as Humidity Sensors. Mater. Chem. Phys. 2015, 156, 170–179. [Google Scholar] [CrossRef]
- Savić, V.L.; Nikolić, V.D.; Arsić, I.A.; Stanojević, L.P.; Najman, S.J.; Stojanović, S.; Mladenović-Ranisavljević, I.I. Comparative Study of the Biological Activity of Allantoin and Aqueous Extract of the Comfrey Root. Phytother. Res. 2015, 29, 1117–1122. [Google Scholar] [CrossRef]
- Dähnhardt, D.; Dähnhardt-Pfeiffer, S.; Groeber-Becker, F.; Fölster-Holst, R.; Schmidt, M. Experimentelle Studie: Beinwellextrakt Fördert Die Regeneration von Beschädigter Epidermis. Z. Phytother. 2021, 42, 181–185. [Google Scholar] [CrossRef]
- Bagheri, Z.; Azizi, A.; Oshvandi, K.; Mohammadi, Y.; Larki-Harchegani, A. The Effect of Comfrey on Enoxaparin-Induced Bruise in Patients with Acute Coronary Syndrome: A Randomised Clinical Trial. J. Pharmacopunct. 2021, 24, 196–205. [Google Scholar] [CrossRef]
- Lin, J.; Lin, R.; Li, S.; Wu, H.; Ding, J.; Xiang, G.; Li, S.; Wang, Y.; Lin, D.; Gao, W.; et al. Salvianolic Acid B Promotes the Survival of Random-Pattern Skin Flaps in Rats by Inducing Autophagy. Front. Pharmacol. 2018, 9, 1178. [Google Scholar] [CrossRef]
- Guo, J.-W.; Cheng, Y.-P.; Liu, C.-Y.; Thong, H.-Y.; Huang, C.-J.; Lo, Y.; Wu, C.-Y.; Jee, S.-H. Salvianolic Acid B in Microemulsion Formulation Provided Sufficient Hydration for Dry Skin and Ameliorated the Severity of Imiquimod-Induced Psoriasis-like Dermatitis in Mice. Pharmaceutics 2020, 12, 457. [Google Scholar] [CrossRef] [PubMed]
- Singleton, V.L.; Orthofer, R.; Lamuela-Raventós, R.M. [14] Analysis of Total Phenols and Other Oxidation Substrates and Antioxidants by Means of Folin-Ciocalteu Reagent. In Methods in Enzymology; Academic Press: Cambridge, MA, USA, 1999; pp. 152–178. [Google Scholar]
- Blainski, A.; Lopes, G.; de Mello, J. Application and Analysis of the Folin Ciocalteu Method for the Determination of the Total Phenolic Content from Limonium brasiliense L. Molecules 2013, 18, 6852–6865. [Google Scholar] [CrossRef]
- Pall, E.; Roman, A.; Olah, D.; Beteg, F.I.; Cenariu, M.; Spînu, M. Enhanced Bioactive Potential of Functionalized Injectable Platelet-Rich Plasma. Molecules 2023, 28, 1943. [Google Scholar] [CrossRef]
- Apak, R.; Güçlü, K.; Demirata, B.; Özyürek, M.; Çelik, S.; Bektaşoğlu, B.; Berker, K.; Özyurt, D. Comparative Evaluation of Various Total Antioxidant Capacity Assays Applied to Phenolic Compounds with the CUPRAC Assay. Molecules 2007, 12, 1496–1547. [Google Scholar] [CrossRef]
- Benzie, I.F.F.; Strain, J.J. [2] Ferric Reducing/Antioxidant Power Assay: Direct Measure of Total Antioxidant Activity of Biological Fluids and Modified Version for Simultaneous Measurement of Total Antioxidant Power and Ascorbic Acid Concentration. In Methods in Enzymology; Academic Press: Cambridge, MA, USA, 1999; pp. 15–27. [Google Scholar]
- Nagy, E.; Justesen, U.S.; Eitel, Z.; Urbán, E. Development of EUCAST Disk Diffusion Method for Susceptibility Testing of the Bacteroides Fragilis Group Isolates. Anaerobe 2015, 31, 65–71. [Google Scholar] [CrossRef]
- Huse, H.K.; Miller, S.A.; Chandrasekaran, S.; Hindler, J.A.; Lawhon, S.D.; Bemis, D.A.; Westblade, L.F.; Humphries, R.M. Evaluation of Oxacillin and Cefoxitin Disk Diffusion and MIC Breakpoints Established by the Clinical and Laboratory Standards Institute for Detection of MecA-Mediated Oxacillin Resistance in Staphylococcus schleiferi. J. Clin. Microbiol. 2018, 5. [Google Scholar] [CrossRef]
- Buza, V.; Niculae, M.; Hanganu, D.; Pall, E.; Burtescu, R.F.; Olah, N.-K.; Matei-Lațiu, M.-C.; Vlasiuc, I.; Iozon, I.; Szakacs, A.R.; et al. Biological Activities and Chemical Profile of Gentiana asclepiadea and Inula helenium Ethanolic Extracts. Molecules 2022, 27, 3560. [Google Scholar] [CrossRef]
- Hickman, D.L.; Johnson, J.; Vemulapalli, T.H.; Crisler, J.R.; Shepherd, R. Principles of Animal Research; Elsevier: Amsterdam, The Netherlands, 2017; ISBN 9780128021514. [Google Scholar]
- Wellington, D.; Mikaelian, I.; Singer, L. Comparison of Ketamine-Xylazine and Ketamine-Dexmedetomidine Anesthesia and Intraperitoneal Tolerance in Rats. J. Am. Assoc. Lab. Anim. Sci. 2013, 52, 481–487. [Google Scholar]
- ISO 10993-2:2022; Biological Evaluation of Medical Devices Part 2: Animal Welfare Requirements. Edition 3; International Organization for Standardization: Geneva, Switzerland, 2022.
- Wang, X.; Ge, J.; Tredget, E.E.; Wu, Y. The Mouse Excisional Wound Splinting Model, Including Applications for Stem Cell Transplantation. Nat. Protoc. 2013, 8, 302–309. [Google Scholar] [CrossRef]
- Alonso, H.R.; Kuroda, F.C.; Passarini Junior, J.R.; Quispe Cabanillas, J.G.; Mendonça, F.A.S.; dos Santos, G.M.T.; de Aro, A.A.; do Amaral, M.E.C.; Marretto Esquisatto, M.A. Acupuncture and Moxibustion Stimulate Fibroblast Proliferation and Neoangiogenesis during Tissue Repair of Experimental Excisional Injuries in Adult Female Wistar Rats. Acupunct. Med. 2020, 38, 93–100. [Google Scholar] [CrossRef]














| Peak No. | Rt (min) | UV λmax (nm) | [M + H]+ (m/z) | Compound | Subclass | μg/mL (Mean ± SD) |
|---|---|---|---|---|---|---|
| 1 | 13.30 | 322 | 181 | Caffeic acid | Hydroxycinnamic | 123.162 ± 12.40 |
| 2 | 15.26 | 360, 240 | 539 | Salvianolic acid I | Hydroxycinnamic | 2382.23 ± 115.23 |
| 3 | 16.98 | 360, 250 | 719 | Salvianolic acid B | Hydroxycinnamic | 641.83 ± 51.34 |
| 4 | 17.87 | 330 | 361 | Rosmarinic acid | Hydroxycinnamic | 1055.02 ± 42.20 |
| 5 | 18.65 | 320, 260 | 495 | Salvianolic acid A | Hydroxycinnamic | 279.50 ± 27,93 |
| 6 | 19.60 | 320, 260 | 493 | Salvianolic acid C | Hydroxycinnamic | 1641.29 ± 80.06 |
| Total Phenolics | 6123.051 |
| MIC Index MBC (μg/mL)/MIC (μg/mL) | ||||
|---|---|---|---|---|
| SyOf | Staphylococcus aureus | Staphylococcus aureus MRSA | Escherichia coli | Pseudomonas aeruginosa |
| 4 1530.76/382.69 | 2 1530.76/765.38 | 1 6123.01/6123.01 | 1 6123.01/6123.01 | |
| Treatment | SyOf 10% | SyOf 20% | Simple C | None |
|---|---|---|---|---|
| Healing of the wound starts to be visible on the 12th day and complete healing on the 14th day. | Healing of the wound starts to be visible on the 7th day and complete healing on the 12th day. | Healing of the wound starts to be visible from the 12th day, and healing is not complete on the 14th day. | Healing begins to be visible on day 7 and complete healing on day 14. |
Disclaimer/Publisher’s Note: The statements, opinions and data contained in all publications are solely those of the individual author(s) and contributor(s) and not of MDPI and/or the editor(s). MDPI and/or the editor(s) disclaim responsibility for any injury to people or property resulting from any ideas, methods, instructions or products referred to in the content. |
© 2024 by the authors. Licensee MDPI, Basel, Switzerland. This article is an open access article distributed under the terms and conditions of the Creative Commons Attribution (CC BY) license (https://creativecommons.org/licenses/by/4.0/).
Share and Cite
Mârza, S.M.; Dăescu, A.M.; Purdoiu, R.C.; Dragomir, M.; Tătaru, M.; Melega, I.; Nagy, A.-L.; Gal, A.; Tăbăran, F.; Bogdan, S.; et al. Healing of Skin Wounds in Rats Using Creams Based on Symphytum Officinale Extract. Int. J. Mol. Sci. 2024, 25, 3099. https://doi.org/10.3390/ijms25063099
Mârza SM, Dăescu AM, Purdoiu RC, Dragomir M, Tătaru M, Melega I, Nagy A-L, Gal A, Tăbăran F, Bogdan S, et al. Healing of Skin Wounds in Rats Using Creams Based on Symphytum Officinale Extract. International Journal of Molecular Sciences. 2024; 25(6):3099. https://doi.org/10.3390/ijms25063099
Chicago/Turabian StyleMârza, Sorin Marian, Adela Maria Dăescu, Robert Cristian Purdoiu, Mădălina Dragomir, Mariana Tătaru, Iulia Melega, Andras-Laszlo Nagy, Adrian Gal, Flaviu Tăbăran, Sidonia Bogdan, and et al. 2024. "Healing of Skin Wounds in Rats Using Creams Based on Symphytum Officinale Extract" International Journal of Molecular Sciences 25, no. 6: 3099. https://doi.org/10.3390/ijms25063099
APA StyleMârza, S. M., Dăescu, A. M., Purdoiu, R. C., Dragomir, M., Tătaru, M., Melega, I., Nagy, A.-L., Gal, A., Tăbăran, F., Bogdan, S., Moldovan, M., Pall, E., Munteanu, C., Magyari, K., & Papuc, I. (2024). Healing of Skin Wounds in Rats Using Creams Based on Symphytum Officinale Extract. International Journal of Molecular Sciences, 25(6), 3099. https://doi.org/10.3390/ijms25063099

