NOTCH1-Related Leukoencephalopathy: A Novel Variant and Literature Review
Abstract
1. Introduction
2. Methods
2.1. Case Report
2.2. Literature Review
3. Results
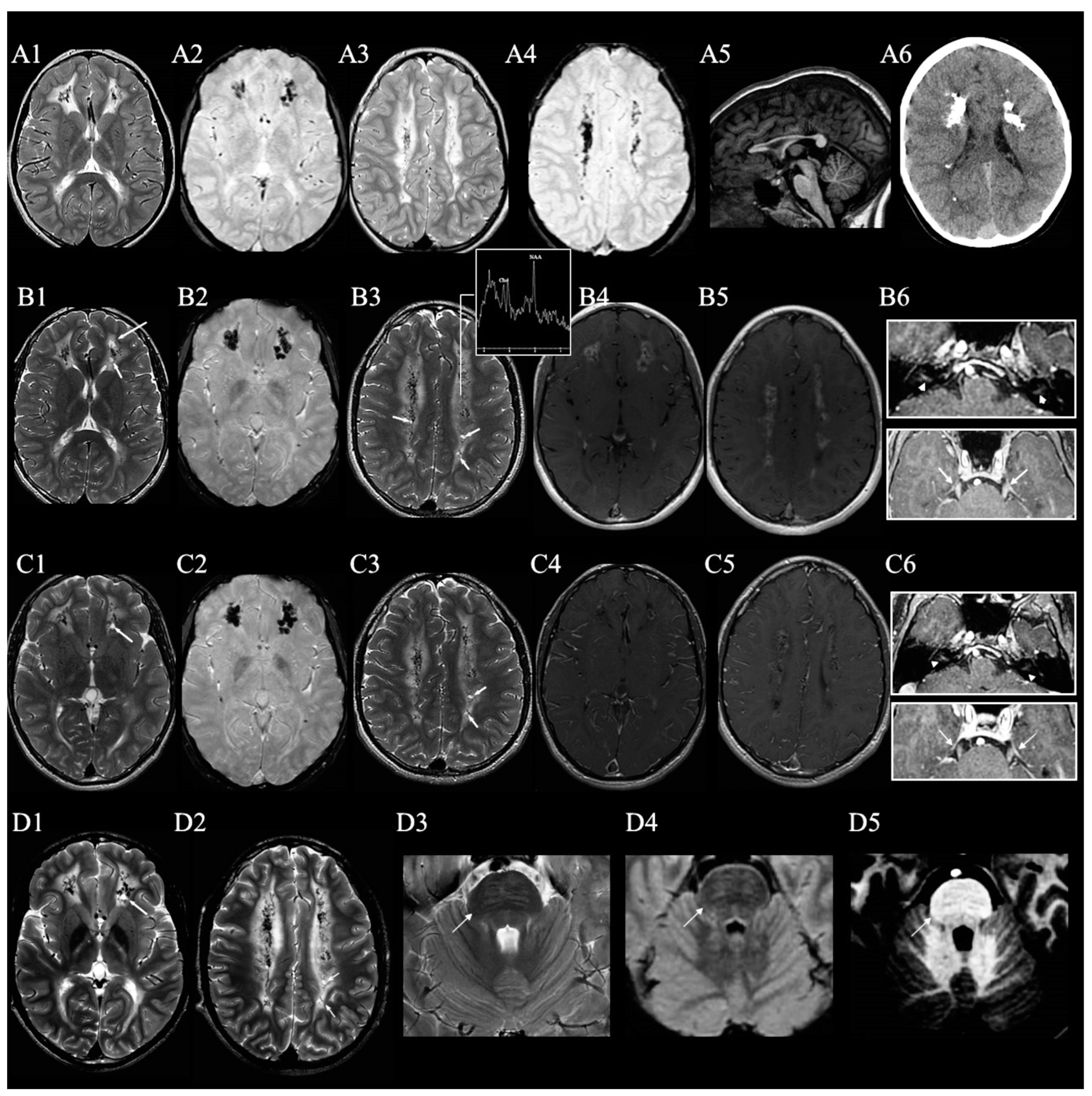
3.1. Case Report
3.2. Literature Review and Clinical and Neuroradiological Spectrum of NOTCH1-Related Leukoencephalopathy
4. Discussion
Supplementary Materials
Author Contributions
Funding
Institutional Review Board Statement
Informed Consent Statement
Data Availability Statement
Acknowledgments
Conflicts of Interest
References
- Stittrich, A.B.; Lehman, A.; Bodian, D.L.; Ashworth, J.; Zong, Z.; Li, H.; Lam, P.; Khromykh, A.; Iyer, R.K.; Vockley, J.G.; et al. Mutations in NOTCH1 cause Adams-Oliver syndrome. Am. J. Hum. Genet. 2014, 95, 275–284. [Google Scholar] [CrossRef] [PubMed]
- Garg, V.; Muth, A.N.; Ransom, J.F.; Schluterman, M.K.; Barnes, R.; King, I.N.; Grossfeld, P.D.; Srivastava, D. Mutations in NOTCH1 cause aortic valve disease. Nature 2005, 437, 270–274. [Google Scholar] [CrossRef] [PubMed]
- Liu, Y.F.; Chiang, S.L.; Lin, C.Y.; Chang, J.G.; Chung, C.M.; Ko, A.M.S.; Lin, Y.Z.; Lee, C.H.; Lee, K.W.; Chen, M.K.; et al. Somatic Mutations and Genetic Variants of NOTCH1 in Head and Neck Squamous Cell Carcinoma Occurrence and Development. Sci. Rep. 2016, 6, 24014, Erratum in Sci. Rep. 2016, 6, 28409. [Google Scholar] [CrossRef] [PubMed]
- Helman, G.; Zarekiani, P.; Tromp, S.A.M.; Andrews, A.; Botto, L.D.; Bonkowsky, J.L.; Chassevent, A.; Giorgio, E.; Pippucci, T.; Wei, S.; et al. Heterozygous NOTCH1 Variants Cause CNS Immune Activation and Microangiopathy. Ann. Neurol. 2022, 92, 895–901. [Google Scholar] [CrossRef] [PubMed]
- Schüle, R.; Holland-Letz, T.; Klimpe, S.; Kassubek, J.; Klopstock, T.; Mall, V.; Otto, S.; Winner, B.; Schöls, L. The Spastic Paraplegia Rating Scale (SPRS): A reliable and valid measure of disease severity. Neurology 2006, 67, 430–434. [Google Scholar] [CrossRef] [PubMed]
- Fink, J.K. Hereditary spastic paraplegia: Clinico-pathologic features and emerging molecular mechanisms. Acta Neuropathol. 2013, 126, 307–328. [Google Scholar] [CrossRef]
- Schmitz-Hübsch, T.; du Montcel, S.T.; Baliko, L.; Berciano, J.; Boesch, S.; Depondt, C.; Giunti, P.; Globas, C.; Infante, J.; Kang, J.-S.; et al. Scale for the assessment and rating of ataxia: Development of a new clinical scale. Neurology 2006, 66, 1717–1720, Correction in Neurology 2006, 67, 299. [Google Scholar] [CrossRef] [PubMed]
- Wechsler, D. Wechsler Intelligence Scale for Children, 4th ed.; Psychological Corporation: San Antonio, TX, USA, 2003. [Google Scholar]
- Balboni, G.; Belacchi, C.; Bonichini, S.; Coscarelli, A. Vineland Adaptive Behavior Scales. Survey Interview Form, 2nd ed.; Giunti, O.S., Ed.; Italian Standardization: Florence, Italy, 2016. [Google Scholar]
- Achenbach, T.M.; Rescorla, L.A. Manual for the ASEBA School-Age Forms & Profiles: Child Behavior Checklist for Ages 6–18, Teacher’s Report Form, Youth Self-Report: An Integrated System of Multi-Informant Assessment; Research Center for Children Youth & Families, University of Vermont: Burlington, VT, USA, 2001. [Google Scholar]
- Kovacs, M. Children’s Depression Inventory (CDI and CDI 2). In The Encyclopedia of Clinical Psychology; Wiley: Hoboken, NJ, USA, 2014. [Google Scholar] [CrossRef]
- Ruaud, L.; Rice, G.I.; Cabrol, C.; Piard, J.; Rodero, M.; van Eyk, L.; Boucher-Brischoux, E.; de Noordhout, A.M.; Maré, R.; Scalais, E.; et al. Autosomal-dominant early-onset spastic paraparesis with brain calcification due to IFIH1 gain-of-function. Hum. Mutat. 2018, 39, 1076–1080. [Google Scholar] [CrossRef] [PubMed]
- La Piana, R.; Tran, L.T.; Guerrero, K.; Brais, B.; Levesque, S.; Sébire, G.; Riou, E.; Bernard, G. Spastic paraparesis and marked improvement of leukoencephalopathy in Aicardi-Goutières syndrome. Neuropediatrics 2014, 45, 406–410. [Google Scholar] [CrossRef] [PubMed]
- Tonduti, D.; Panteghini, C.; Pichiecchio, A.; Decio, A.; Carecchio, M.; Reale, C.; Moroni, I.; Nardocci, N.; Campistol, J.; Garcia-Cazorla, A.; et al. Encephalopathies with intracranial calcification in children: Clinical and genetic characterization. Orphanet J. Rare Dis. 2018, 13, 135. [Google Scholar] [CrossRef] [PubMed]
- Nicita, F.; Travaglini, L.; Matteo, V.; Aiello, C.; Longo, D.; Insalaco, A.; Bertini, E.; Prencipe, G. Type I Interferon Signature in NOTCH1-Related Leukoencephalopathy. Ann. Neurol. 2023, 93, 1041–1043. [Google Scholar] [CrossRef] [PubMed]
- Wang, M.; Zhang, M.; Wu, L.; Dong, Z.; Yu, S. Leukoencephalopathy with cerebral calcification and cysts: Cases report and literature review. J. Neurol. Sci. 2016, 370, 173–179. [Google Scholar] [CrossRef] [PubMed]
- Brai, E.; Marathe, S.; Astori, S.; Ben Fredj, N.; Perry, E.; Lamy, C.; Scotti, A.; Alberi, L. Notch1 Regulates Hippocampal Plasticity Through Interaction with the Reelin Pathway, Glutamatergic Transmission and CREB Signaling. Front. Cell Neurosci. 2015, 9, 447. [Google Scholar] [CrossRef] [PubMed]
- Alberi, L.; Liu, S.; Wang, Y.; Badie, R.; Smith-Hicks, C.; Wu, J.; Pierfelice, T.J.; Abazyan, B.; Mattson, M.P.; Kuhl, D.; et al. Activity-induced Notch signaling in neurons requires Arc/Arg3.1 and is essential for synaptic plasticity in hippocampal networks. Neuron 2011, 69, 437–444. [Google Scholar] [CrossRef] [PubMed]
- Sibarov, D.A.; Tsytsarev, V.; Volnova, A.; Vaganova, A.N.; Alves, J.; Rojas, L.; Sanabria, P.; Ignashchenkova, A.; Savage, E.D.; Inyushin, M. Arc protein, a remnant of ancient retrovirus, forms virus-like particles, which are abundantly generated by neurons during epileptic seizures, and affects epileptic susceptibility in rodent models. Front. Neurol. 2023, 14, 1201104. [Google Scholar] [CrossRef] [PubMed]
- Hsieh, F.Y.; Ma, T.L.; Shih, H.Y.; Lin, S.-J.; Huang, C.-W.; Wang, H.-Y.; Cheng, Y.-C. Dner inhibits neural progenitor proliferation and induces neuronal and glial differentiation in zebrafish. Dev. Biol. 2013, 375, 1–12. [Google Scholar] [CrossRef]
- Eiraku, M.; Tohgo, A.; Ono, K.; Kaneko, M.; Fujishima, K.; Hirano, T.; Kengaku, M. DNER acts as a neuron-specific Notch ligand during Bergmann glial development. Nat. Neurosci. 2005, 8, 873–880. [Google Scholar] [CrossRef]
- Perna, A.; Marathe, S.; Dreos, R.; Falquet, L.; Akarsu Egger, H.; Auber, L.A. Revealing NOTCH-dependencies in synaptic targets associated with Alzheimer’s disease. Mol. Cell Neurosci. 2021, 115, 103657. [Google Scholar] [CrossRef] [PubMed]
- Verhoeven, D.; Tromp, S.A.M.; van der Knaap, M.S.; Kuijpers, T.W. Reply to “Type I IFN Signature in NOTCH1-Related Leukoencephalopathy”. Ann. Neurol. 2023, 93, 1043–1045. [Google Scholar] [CrossRef] [PubMed]


| 12.5 Years | 16 Years | |
|---|---|---|
| Standardised neurological assessment | ||
| SPRS (0–52) | 11 | 14.5 |
| Spatax disability index (0–7) | 3 | 3 |
| SARA (0–40) | 7 | 10 |
| Adaptive skills (VABS) | ||
| Communication (IQ deviation) | 49 | 57 |
| Socialisation (IQ deviation) | 51 | 47 |
| Daily living skills (IQ deviation) | 44 | 55 |
| Cognitive assessment (WISC-IV) | ||
| ICV | 54 | 50 |
| IRP | 50 | 43 |
| IML | 64 | 49 |
| IVE | 47 | 50 |
| CBCL 6–18 years | ||
| Syndrome scales | - | Anxious/Depressed, T = 85 Withdrawn/Depressed, T = 86 Somatic Complaints, T = 78 Social Problems, T = 77 Thought Problems, T = 69 Attention Problems, T = 86 Rule-Breaking Behaviour, T = 67 Aggressive Behaviour, T = 69 |
| DSM-Oriented scales | - | Affective Problems, T = 89 Anxiety Problems, T = 77 Somatic Problems, T = 68 Attention Deficit /Hyperactivity Problems, T = 77 Oppositional Defiant Problems, T = 69 Conduct Problems, T = 66 |
| CDI-2:P | - | Total Score, T = 71 Emotional Problems, T = 81 Functional Problems, T = 58 |
| Ref | Onset | Current Age | DD | Gait Problems | Latest Examination | Psychiatric Features | Other | Variant (NM_017617.5) | ACMG/AMP |
|---|---|---|---|---|---|---|---|---|---|
| This study | 6 yr | 16 yr | N | 6 yr | Spastic-paraparesis, bradykinesia, ataxia, sensorimotor neuropathy, intellectual disability | Hyperactivity in preschool, anxiety, depressed mood and repetitive behaviors | Strabismus and probable HD | c.4788_4799dup, p.Ser1597_Leu1600dup | VUS |
| Nicita et al. [15] | 1 mo | 2 yr | Y | NAIA | Poor cognitive and motor development, truncal hypotonia, appendicular spasticity, exaggerated startle response, fever-induced focal motor seizures from 9 months | None | Congenital macrocephaly, ureteropelvic junction stenosis | c.4811 T > G, p.(Val1604Gly) | LP |
| Helman et al. [4] | 1 yr | 25 * | Y | 2 yr, wheelchair at 6 yr | Intellectual impairment, spasticity, ataxia and peripheral neuropathy | Cognitive decline, neuropsychiatric symptoms with passive disposition, lack of movement and communication and mood fluctuations | Hypogonadotropic hypogonadism | c.4814_4819dupTCTTCA p.(Phe1606_Lys1607insIlePhe) | LP |
| 15 yr | 37 * | N | 20 yr, wheelchair at 25 yr | Appendicular ataxia, severe spasticity, pseudobulbar dysarthria, peripheral neuropathy | Cognitive decline | Type 2 Diabetes | c.5046C > G p.(Asn1682Lys) | LP | |
| 40 yr | 65 yr | N | 40 yr | Bilateral leg weakness, spasticity, imbalance | Depression and cognitive decline | Episode of myelitis treated with steroids in adolescence | c.4583G > A p.(Cys1528Tyr) | LP | |
| 1 yr | 28 yr | Y | 1 yr, wheelchair at 16 yr | Lost speech, spasticity, dystonic foot posturing, painful muscle spasms | Depression, temper issues, periods of aggression, inappropriate laughing and crying | Staring spells but no epileptic EEG activity | c.5046_5047delCCInsAG p.(Asn1682_Arg1683insLysGly) | P | |
| 0 yr | 9 yr | Y | 5 yr, wheelchair at 9 yr | Intellectual disability, spasticity, global muscle wasting | No | HD, short stature | c.5042A > G p.(Asp1681Gly) | P | |
| 0 yr | 6 yr | Y | NAIA | Intellectual disability, truncal hypotonia, limited head control, appendicular spasticity, dystonic movements | No | HD, atrial septal defect, glabellar hemangioma, microcephaly, short stature | c.5078T > C p.(Phe1693Ser) | P | |
| 0 yr | 6 yr | Y | NAIA | Intellectual disability, generalised hypotonia, myoclonic seizures | No | No | c.4754T > C p.(Leu1585Pro) | P |
Disclaimer/Publisher’s Note: The statements, opinions and data contained in all publications are solely those of the individual author(s) and contributor(s) and not of MDPI and/or the editor(s). MDPI and/or the editor(s) disclaim responsibility for any injury to people or property resulting from any ideas, methods, instructions or products referred to in the content. |
© 2024 by the authors. Licensee MDPI, Basel, Switzerland. This article is an open access article distributed under the terms and conditions of the Creative Commons Attribution (CC BY) license (https://creativecommons.org/licenses/by/4.0/).
Share and Cite
Della Vecchia, S.; Tessa, A.; Pasquariello, R.; Seabra, L.; Crow, Y.J.; Battini, R. NOTCH1-Related Leukoencephalopathy: A Novel Variant and Literature Review. Int. J. Mol. Sci. 2024, 25, 2864. https://doi.org/10.3390/ijms25052864
Della Vecchia S, Tessa A, Pasquariello R, Seabra L, Crow YJ, Battini R. NOTCH1-Related Leukoencephalopathy: A Novel Variant and Literature Review. International Journal of Molecular Sciences. 2024; 25(5):2864. https://doi.org/10.3390/ijms25052864
Chicago/Turabian StyleDella Vecchia, Stefania, Alessandra Tessa, Rosa Pasquariello, Luis Seabra, Yanick J. Crow, and Roberta Battini. 2024. "NOTCH1-Related Leukoencephalopathy: A Novel Variant and Literature Review" International Journal of Molecular Sciences 25, no. 5: 2864. https://doi.org/10.3390/ijms25052864
APA StyleDella Vecchia, S., Tessa, A., Pasquariello, R., Seabra, L., Crow, Y. J., & Battini, R. (2024). NOTCH1-Related Leukoencephalopathy: A Novel Variant and Literature Review. International Journal of Molecular Sciences, 25(5), 2864. https://doi.org/10.3390/ijms25052864

