Exploring the Molecular Tapestry: Organ-Specific Peptide and Protein Ultrafiltrates and Their Role in Therapeutics
Abstract
1. Introduction
2. Results
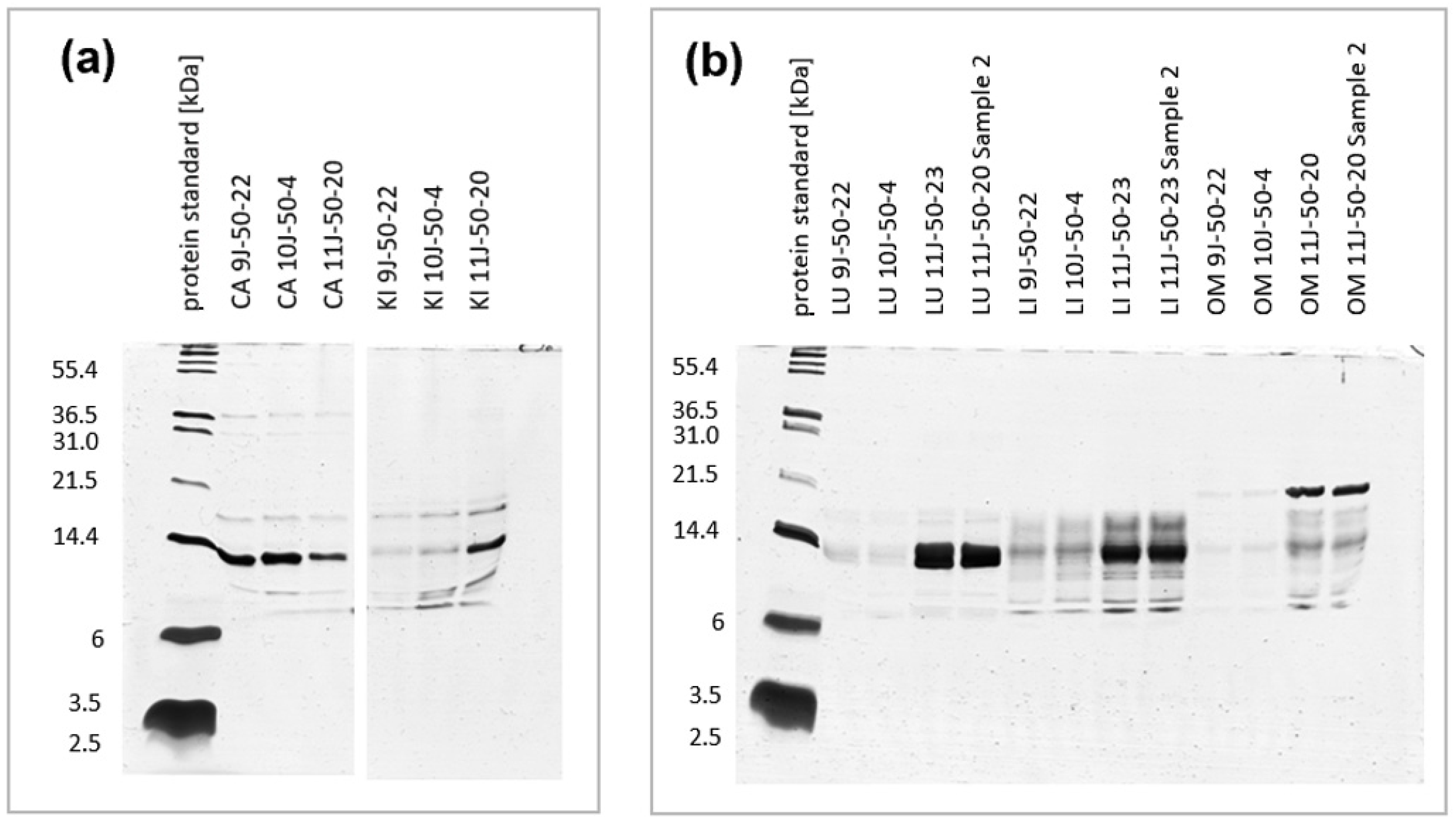
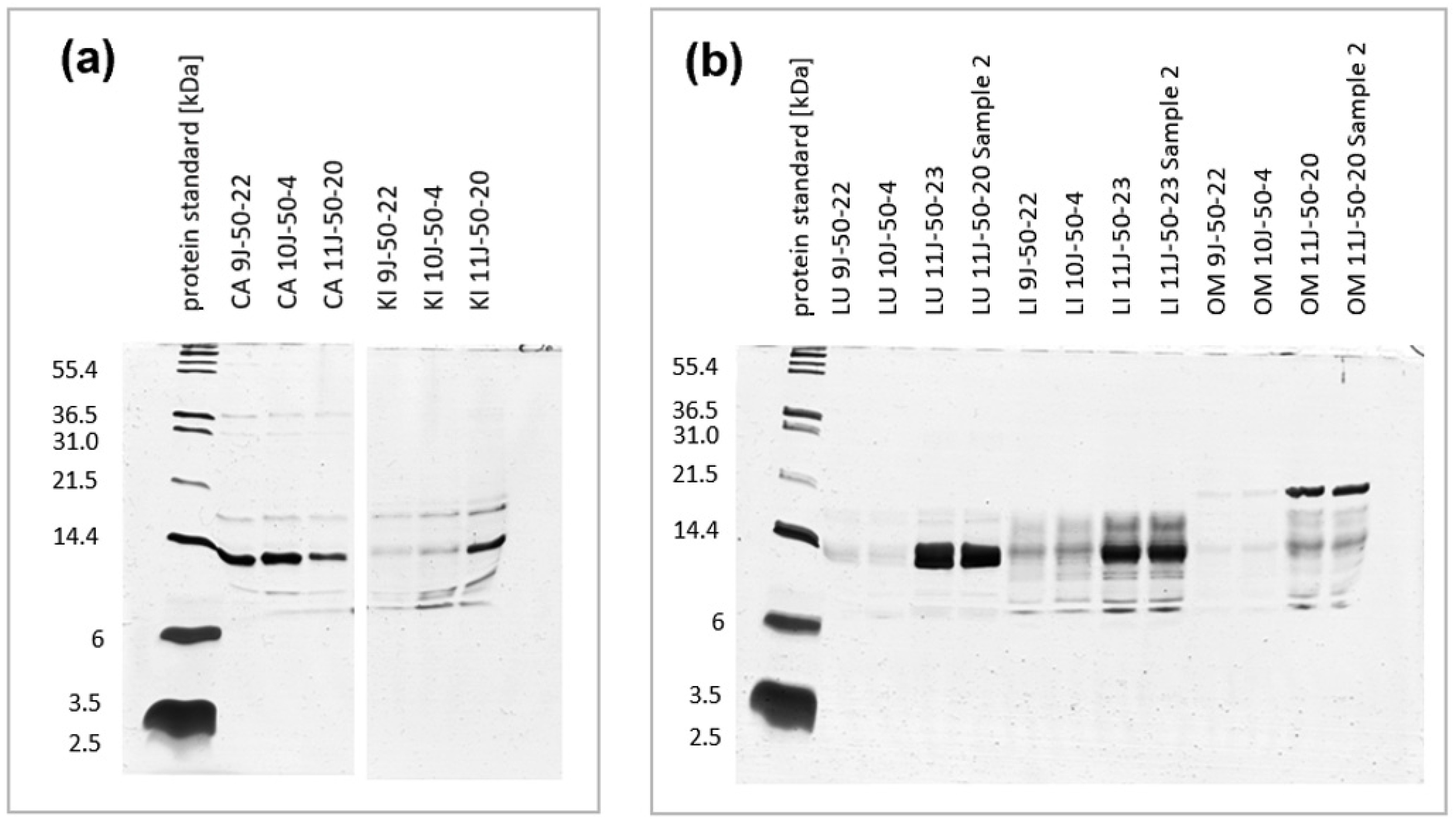
2.1. Characterization of OSP Ultrafiltrates from Rabbit Whole Tissue and Organs
2.2. OSPs Revealed GO Enrichment in RNA Processing, Fatty Acid Binding, Oxidoreductase Activity, Cyclosporin A Binding and Significant KEGG Pathways
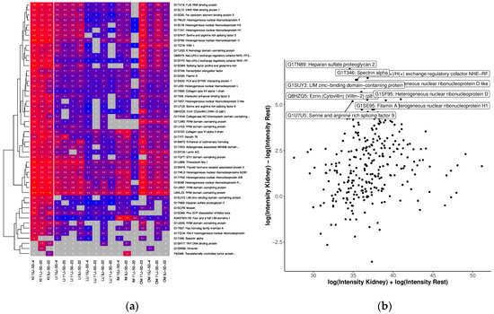
2.3. Different Organs/Tissues of OSPs Displayed Various Functional Biological or GO Terms Using the Integration of Proteomic (Mass Spectrometry) and the Bioinformatic Technique
2.4. Small Proteins in OSPs
3. Discussion
3.1. General Highly Abundant GO-Terms for OSPs
3.2. Identification of Highly Expressed Small Proteins in the OSPs
3.3. Proteins Found in OSP and Their Characterization
3.4. Outlook for the Proteomic Characterization of OSPs
4. Materials and Methods
4.1. Production of Organ-Specific Protein Ultrafiltrates (OSP)
4.2. PAGE Gels According to Schägger
4.3. Liquid Proteolysis
4.4. Liquid Chromatography Mass Spectrometry/Mass Spectrometry (LC-MS/MS) Analysis
4.5. Database Search with MaxQuant
4.6. Bioinformatics
4.7. Finding the Tissue-Specific Proteins/Genes with Uniprot, g: Profiler and Human Protein Atlas
4.8. Study Limitations
5. Conclusions
Supplementary Materials
Author Contributions
Funding
Informed Consent Statement
Acknowledgments
Conflicts of Interest
References
- Steinberg, R.; Koch, H.G. The Largely Unexplored Biology of Small Proteins in Pro- and Eukaryotes. FEBS J. 2021, 288, 7002–7024. [Google Scholar] [CrossRef] [PubMed]
- Malavolta, L.; Cabral, F.R. Peptides: Important Tools for the Treatment of Central Nervous System Disorders. Neuropeptides 2011, 45, 309–316. [Google Scholar] [CrossRef] [PubMed]
- Wang, L.; Wang, N.; Zhang, W.; Cheng, X.; Yan, Z.; Shao, G.; Wang, X.; Wang, R.; Fu, C. Therapeutic Peptides: Current Applications and Future Directions. Signal Transduct. Target. Ther. 2022, 7, 48. [Google Scholar] [CrossRef] [PubMed]
- Morozov, G.V.K. Khavinson Natural and Synthetic Thymic Peptides as Therapeutics for Immune Dysfunction. Int. J. Immunopharmacol. 1997, 19, 501–505. [Google Scholar] [CrossRef] [PubMed]
- Bhat, Z.F.; Bhat, H.F.; Kumar, S. Bioactive Peptides of Animal Origin. Rev. J. Food Sci. Technol. 2015, 52, 5377–5392. [Google Scholar] [CrossRef]
- Kim, C.; Kang, D.; Lee, E.K.; Lee, J.S. Long Noncoding RNAs and RNA-Binding Proteins in Oxidative Stress, Cellular Senescence, and Age-Related Diseases. Oxid. Med. Cell. Longev. 2017, 2017, 2062384. [Google Scholar] [CrossRef]
- Paxman, J.; Zhou, Z.; O’laughlin, R.; Liu, Y.; Li, Y.; Tian, W.; Su, H.; Jiang, Y.; Holness, S.E.; Stasiowski, E. Age-Dependent Aggregation of Ribosomal RNA-Binding Proteins Links Deterioration in Chromatin Stability with Challenges to Proteostasis. eLife 2022, 11, e75978. [Google Scholar] [CrossRef]
- Dong, Q.; Wei, L.; Zhang, M.Q.; Wang, X. Regulatory RNA Binding Proteins Contribute to the Transcriptome-Wide Splicing Alterations in Human Cellular Senescence. Aging 2018, 10, 1489–1505. [Google Scholar] [CrossRef]
- Mutlu, A.S.; Duffy, J.; Wang, M.C. Lipid Metabolism and Lipid Signals in Aging and Longevity. Dev. Cell 2021, 56, 1394–1407. [Google Scholar] [CrossRef]
- Latorre, E.; Birar, V.C.; Sheerin, A.N.; Jeynes, J.C.C.; Hooper, A.; Dawe, H.R.; Melzer, D.; Cox, L.S.; Faragher, R.G.A.; Ostler, E.L. Small Molecule Modulation of Splicing Factor Expression Is Associated with Rescue from Cellular Senescence. BMC Cell Biol. 2017, 18, 31. [Google Scholar] [CrossRef] [PubMed]
- Cabri, W.; Cantelmi, P.; Corbisiero, D.; Fantoni, T.; Ferrazzano, L.; Martelli, G.; Mattellone, A.; Tolomelli, A. Therapeutic Peptides Targeting PPI in Clinical Development: Overview, Mechanism of Action and Perspectives. Front. Mol. Biosci. 2021, 8, 697586. [Google Scholar] [CrossRef] [PubMed]
- Sane, R.; Sinz, M. Introduction of Drug Metabolism. In Drug Metabolism in Diseases; Elsevier Inc.: Amsterdam, The Netherlands, 2017; pp. 1–19. ISBN 978-0-12-802963-3. [Google Scholar]
- Novo Nordisk Annual Report 2020. Available online: https://www.annualreports.com/Company/novo-nordisk (accessed on 21 August 2023).
- Assche, E.; Puyvelde, S.; Vanderleyden, J.; Steenackers, H.P. RNA-Binding Proteins Involved in Post-Transcriptional Regulation in Bacteria. Front. Microbiol. 2015, 6, 141. [Google Scholar] [CrossRef]
- Dreyfuss, G.; Matunis, M.J.; Pihol-Roma, S.; Burd, C.G. hnRNP proteins and the biogenesis of mRNA. Annu. Rev. Biochem. 1993, 62, 289–321. [Google Scholar] [CrossRef] [PubMed]
- Xie, W.; Zhu, H.; Zhao, M.; Wang, L.; Li, S.; Zhao, C.; Zhou, Y.; Zhu, B.; Jiang, X.; Liu, W. Crucial Roles of Different RNA-Binding Hnrnp Proteins in Stem Cells. Int. J. Biol. Sci. 2021, 17, 807–817. [Google Scholar] [CrossRef]
- Chernoff, Y.O.; Grizel, A.V.; Rubel, A.A.; Zelinsky, A.A.; Chandramowlishwaran, P.; Chernova, T.A. Application of Yeast to Studying Amyloid and Prion Diseases. In Advances in Genetics; Academic Press Inc.: Cambridge, MA, USA, 2020; Volume 105, pp. 293–380. ISBN 978-0-12-821685-9. [Google Scholar]
- Hennig, J.; Sattler, M. Deciphering the Protein-RNA Recognition Code: Combining Large-Scale Quantitative Methods with Structural Biology. BioEssays 2015, 37, 899–908. [Google Scholar] [CrossRef]
- Peng, Q.; Zhou, Y.; Oyang, L.; Wu, N.; Tang, Y.; Su, M.; Luo, X.; Wang, Y.; Sheng, X.; Ma, J. Impacts and Mechanisms of Alternative MRNA Splicing in Cancer Metabolism, Immune Response, and Therapeutics. Mol. Ther. 2022, 30, 1018–1035. [Google Scholar] [CrossRef]
- Chauhan, K.; Kalam, H.; Dutt, R.; Kumar, D. RNA Splicing: A New Paradigm in Host–Pathogen Interactions. J. Mol. Biol. 2019, 431, 1565–1575. [Google Scholar] [CrossRef]
- Matera, A.G.; Wang, Z. A Day in the Life of the Spliceosome. Nat. Rev. Mol. Cell Biol. 2014, 15, 108–121. [Google Scholar] [CrossRef]
- Will, C.L.; Lührmann, R. Spliceosome Structure and Function. Cold Spring Harb. Perspect. Biol. 2011, 3, a003707. [Google Scholar] [CrossRef]
- Yamaguchi, M. Regucalcin Is a Potential Regulator in Human Cancer: Aiming to Expand into Cancer Therapy. Cancers 2023, 15, 5489. [Google Scholar] [CrossRef] [PubMed]
- Yang, H.; Cheng, X.; Yao, Q.; Li, J.; Ju, G. The Promotive Effects of Thymosin Β4 on Neuronal Survival and Neurite Outgrowth by Upregulating L1 Expression. Neurochem. Res. 2008, 33, 2269–2280. [Google Scholar] [CrossRef]
- Philp, D.; Huff, T.; Gho, Y.S.; Hannappel, E.; Kleinman, H.K. The Actin Binding Site on Thymosin Beta4 Promotes Angiogenesis. FASEB J. 2003, 17, 2103–2105. [Google Scholar] [CrossRef]
- Xing, Y.; Ye, Y.; Zuo, H.; Li, Y. Progress on the Function and Application of Thymosin Β4. Front. Endocrinol. 2021, 12, 767785. [Google Scholar] [CrossRef]
- Stark, C.; Helenius, M.; Taimen, P.; Kentala, R.; Saraste, A.; Alastalo, T.-P.; Savunen, T.; Koskenvuo, J. Thymosin Beta 4 Treatment Improves Left Ventricular Function after Myocardial Infarction and Is Related to Up-Regulation of Chitinase 3-like-1 in Mice. Transl. Med. Commun. 2016, 1, 8. [Google Scholar] [CrossRef]
- Gladka, M.M.; Kohela, A.; Molenaar, B.; Versteeg, D.; Kooijman, L.; Monshouwer-Kloots, J.; Kremer, V.; Vos, H.R.; Huibers, M.M.H.; Haigh, J.J.; et al. Cardiomyocytes Stimulate Angiogenesis after Ischemic Injury in a ZEB2-Dependent Manner. Nat. Commun. 2021, 12, 84. [Google Scholar] [CrossRef]
- Severa, M.; Zhang, J.; Giacomini, E.; Rizzo, F.; Etna, M.P.; Cruciani, M.; Garaci, E.; Chopp, M.; Coccia, E.M. Thymosins in Multiple Sclerosis and Its Experimental Models: Moving from Basic to Clinical Application. Mult. Scler. Relat. Disord. 2019, 27, 52–60. [Google Scholar] [CrossRef]
- Choi, S.Y.; Noh, M.R.; Kim, D.K.; Sun, W.; Kim, H. Neuroprotective Function of Thymosin-β and Its Derivative Peptides on the Programmed Cell Death of Chick and Rat Neurons. Biochem. Biophys. Res. Commun. 2007, 362, 587–593. [Google Scholar] [CrossRef]
- Yang, X.; Tohda, C. Axonal Regeneration Mediated by a Novel Axonal Guidance Pair, Galectin-1 and Secernin-1. Mol. Neurobiol. 2023, 60, 1250–1266. [Google Scholar] [CrossRef]
- Liu, F.-T.; Stowell, S.R. The Role of Galectins in Immunity and Infection. Nat. Rev. Immunol. 2023, 23, 479–494. [Google Scholar] [CrossRef] [PubMed]
- Sheppard, D. Transforming Growth Factor β: A Central Modulator of Pulmonary and Airway Inflammation and Fibrosis. Proc. Am. Thorac. Soc. 2006, 3, 413–417. [Google Scholar] [CrossRef] [PubMed]
- Stettner, M.; Zenker, J.; Klingler, F.; Szepanowski, F.; Hartung, H.-P.; Mausberg, A.K.; Kleinschnitz, C.; Chrast, R.; Kieseier, B.C. The Role of Peripheral Myelin Protein 2 in Remyelination. Cell. Mol. Neurobiol. 2018, 38, 487–496. [Google Scholar] [CrossRef]
- Knudsen, J.; Neergaard, T.B.; Gaigg, B.; Jensen, M.V.; Hansen, J.K. Role of Acyl-CoA Binding Protein in Acyl-CoA Metabolism and Acyl-CoA-Mediated Cell Signaling. J. Nutr. 2000, 130, 294S–298S. [Google Scholar] [CrossRef]
- Chen, D.; Huang, Y.; Shi, Z.; Li, J.; Zhang, Y.; Wang, K.; Smith, A.D.; Gong, Y.; Gao, Y. Demyelinating Processes in Aging and Stroke in the Central Nervous System and the Prospect of Treatment Strategy. CNS Neurosci. Ther. 2020, 26, 1219–1229. [Google Scholar] [CrossRef]
- Yang, D.; Xiao, P.; Qiu, B.; Yu, H.-F.; Teng, C.-B. Copper Chaperone Antioxidant 1: Multiple Roles and a Potential Therapeutic Target. J. Mol. Med. 2023, 101, 527–542. [Google Scholar] [CrossRef]
- Subramanian Vignesh, K.; Deepe, G.S. Metallothioneins: Emerging Modulators in Immunity and Infection. Int. J. Mol. Sci. 2017, 18, 2197. [Google Scholar] [CrossRef]
- Ogata, F.T.; Branco, V.; Vale, F.F.; Coppo, L. Glutaredoxin: Discovery, Redox Defense and Much More. Redox Biol. 2021, 43, 101975. [Google Scholar] [CrossRef]
- Gorelenkova Miller, O.; Mieyal, J.J. Critical Roles of Glutaredoxin in Brain Cells—Implications for Parkinson’s Disease. Antioxid. Redox Signal. 2019, 30, 1352–1368. [Google Scholar] [CrossRef]
- Zhang, J.; Yu, Y.; Dang, T.; Lal, K.; Wu, H. The Impact of Glutaredoxin 1 and Glutaredoxin 2 Double Knockout on Lens Epithelial Cell Function. Exp. Eye Res. 2023, 233, 109521. [Google Scholar] [CrossRef] [PubMed]
- Arnér, E.S.; Holmgren, A. Physiological Functions of Thioredoxin and Thioredoxin Reductase. Eur. J. Biochem. 2000, 267, 6102–6109. [Google Scholar] [CrossRef] [PubMed]
- Muri, J.; Kopf, M. The Thioredoxin System: Balancing Redox Responses in Immune Cells and Tumors. Eur. J. Immunol. 2023, 53, e2249948. [Google Scholar] [CrossRef] [PubMed]
- Geuens, T.; Bouhy, D.; Timmerman, V. The hnRNP Family: Insights into Their Role in Health and Disease. Hum. Genet. 2016, 135, 851–867. [Google Scholar] [CrossRef]
- Mazari, A.M.A.; Zhang, L.; Ye, Z.-W.; Zhang, J.; Tew, K.D.; Townsend, D.M. The Multifaceted Role of Glutathione S-Transferases in Health and Disease. Biomolecules 2023, 13, 688. [Google Scholar] [CrossRef]
- Kalinski, P. Regulation of Immune Responses by Prostaglandin E2. J. Immunol. 2012, 188, 21–28. [Google Scholar] [CrossRef] [PubMed]
- Crittenden, S.; Goepp, M.; Pollock, J.; Robb, C.T.; Smyth, D.J.; Zhou, Y.; Andrews, R.; Tyrrell, V.; Gkikas, K.; Adima, A.; et al. Prostaglandin E2 Promotes Intestinal Inflammation via Inhibiting Microbiota-Dependent Regulatory T Cells. Sci. Adv. 2021, 7, eabd7954. [Google Scholar] [CrossRef]
- Kang, C.B.; Hong, Y.; Dhe-Paganon, S.; Yoon, H.S. FKBP Family Proteins: Immunophilins with Versatile Biological Functions. Neurosignals 2008, 16, 318–325. [Google Scholar] [CrossRef]
- Li, L.; Dong, M.; Wang, X.-G. The Implication and Significance of Beta 2 Microglobulin: A Conservative Multifunctional Regulator. Chin. Med. J. 2016, 129, 448–455. [Google Scholar] [CrossRef] [PubMed]
- Song, X.; Li, P.; Li, Y.; Yan, X.; Yuan, L.; Zhao, C.; An, Y.; Chang, X. Strong Association of Glaucoma with Atherosclerosis. Sci. Rep. 2021, 11, 8792. [Google Scholar] [CrossRef] [PubMed]
- Kameyama, A.; Yamakoshi, K.; Watanabe, A. A Rapid Separation and Characterization of Mucins from Mouse Submandibular Glands by Supported Molecular Matrix Electrophoresis. Biochim. Biophys. Acta Proteins Proteom. 2019, 1867, 76–81. [Google Scholar] [CrossRef]
- Ronci, M.; Leporini, L.; Felaco, P.; Sirolli, V.; Pieroni, L.; Greco, V.; Aceto, A.; Urbani, A.; Bonomini, M. Proteomic Characterization of a New Asymmetric Cellulose Triacetate Membrane for Hemodialysis. Proteom. Clin. Appl. 2018, 12, e1700140. [Google Scholar] [CrossRef]
- Di Meo, A.; Batruch, I.; Yousef, A.G.; Pasic, M.D.; Diamandis, E.P.; Yousef, G.M. An Integrated Proteomic and Peptidomic Assessment of the Normal Human Urinome. Clin. Chem. Lab. Med. 2017, 55, 237–247. [Google Scholar] [CrossRef]
- Pietrowska, M.; Funk, S.; Gawin, M.; Marczak, Ł.; Abramowicz, A.; Widłak, P.; Whiteside, T. Isolation of Exosomes for the Purpose of Protein Cargo Analysis with the Use of Mass Spectrometry. Funct. Genom. Methods Protoc. 2017, 1654, 291–307. [Google Scholar] [CrossRef]
- Biosa, G.; Addis, M.F.; Tanca, A.; Pisanu, S.; Roggio, T.; Uzzau, S.; Pagnozzi, D. Comparison of Blood Serum Peptide Enrichment Methods by Tricine SDS-PAGE and Mass Spectrometry. J. Proteom. 2011, 75, 93–99. [Google Scholar] [CrossRef] [PubMed]
- Schilling, O.; Huesgen, P.F.; Barré, O.; Overall, C.M. Identification and Relative Quantification of Native and Proteolytically Generated Protein C-Termini from Complex Proteomes: C-Terminome Analysis. Netw. Biol. Methods Appl. 2011, 781, 59–69. [Google Scholar] [CrossRef]
- Kamphorst, J.J.; van der Heijden, R.; DeGroot, J.; Lafeber, F.P.J.G.; Reijmers, T.H.; van El, B.; Tjaden, U.R.; van der Greef, J.; Hankemeier, T. Profiling of Endogenous Peptides in Human Synovial Fluid by NanoLC-MS: Method Validation and Peptide Identification. J. Proteome Res. 2007, 6, 4388–4396. [Google Scholar] [CrossRef] [PubMed]
- Noben, J.-P.; Dumont, D.; Kwasnikowska, N.; Verhaert, P.; Somers, V.; Hupperts, R.; Stinissen, P.; Robben, J. Lumbar Cerebrospinal Fluid Proteome in Multiple Sclerosis: Characterization by Ultrafiltration, Liquid Chromatography, and Mass Spectrometry. J. Proteome Res. 2006, 5, 1647–1657. [Google Scholar] [CrossRef] [PubMed]
- Li, X.; Gong, Y.; Wang, Y.; Wu, S.; Cai, Y.; He, P.; Lu, Z.; Ying, W.; Zhang, Y.; Jiao, L.; et al. Comparison of Alternative Analytical Techniques for the Characterisation of the Human Serum Proteome in HUPO Plasma Proteome Project. Proteomics 2005, 5, 3423–3441. [Google Scholar] [CrossRef]
- Hardt, M.; Thomas, L.R.; Dixon, S.E.; Newport, G.; Agabian, N.; Prakobphol, A.; Hall, S.C.; Witkowska, H.E.; Fisher, S.J. Toward Defining the Human Parotid Gland Salivary Proteome and Peptidome: Identification and Characterization Using 2D SDS-PAGE, Ultrafiltration, HPLC, and Mass Spectrometry. Biochemistry 2005, 44, 2885–2899. [Google Scholar] [CrossRef]
- Weissinger, E.M.; Kaiser, T.; Meert, N.; De Smet, R.; Walden, M.; Mischak, H.; Vanholder, R.C. Proteomics: A Novel Tool to Unravel the Patho-Physiology of Uraemia. Nephrol. Dial. Transplant. 2004, 19, 3068–3077. [Google Scholar] [CrossRef]
- Schägger, H.S.; Jagow, G. Tricine-Sodium Dodecyl Sulfate-Polyacrylamide Gel Electrophoresis for the Separation of Proteins in the Range from 1 to 100 KDa. Anal. Biochem. 1987, 166, 368–379. [Google Scholar] [CrossRef]
- Durinck, S.; Spellman, P.T.; Birney, E.; Huber, W. Mapping Identifiers for the Integration of Genomic Datasets with the R/Bioconductor Package biomaRt. Nat. Protoc. 2009, 4, 1184–1191. [Google Scholar] [CrossRef]
- Bluthgen, N.; Brand, K.; Cajavec, B.; Swat, M.; Beule, D.; De, B. Biological Profiling of Gene Groups Utilizing Gene Ontology. Genome Inform. 2005, 16, 106–115. [Google Scholar] [PubMed]
- Perez-Riverol, Y.; Bai, J.; Bandla, C.; García-Seisdedos, D.; Hewapathirana, S.; Kamatchinathan, S.; Kundu, D.J.; Prakash, A.; Frericks-Zipper, A.; Eisenacher, M.; et al. The PRIDE Database Resources in 2022: A Hub for Mass Spectrometry-Based Proteomics Evidences. Nucleic Acids Res. 2022, 50, D543–D552. [Google Scholar] [CrossRef] [PubMed]












| OSP | Proteins |
|---|---|
| Liver | U2A’/phosphoprotein 32 family A C-terminal domain-containing protein |
| Lung | Cytochrome P450, family 4, subfamily A, polypeptide 5 LLGL scribble cell polarity complex component 1 Pleckstrin homology and RhoGEF domain containing G4B Coiled-coil domain-containing protein |
| Intercostal muscle | Protein S100-A11 (Calgizzarin) Thioredoxin 2 Myozenin 2 Thioredoxin domain-containing protein Phosphoglucomutase-1 Zinc finger MYM-type containing 2 Collagen type XI alpha 1 chain |
| Kidney | Peptidyl-prolyl cis-trans isomerase E (PPIase E) Septin Stress induced phosphoprotein 1 General transcription factor IIi Centromere protein E |
| Organ mix | Small muscular protein Galectin Plectin/eS10 N-terminal domain-containing protein Crystallin gamma N Beta-crystallin A2 (Beta-A2 crystallin) Crystallin beta B3 Crystallin beta A1 Crystallin beta B1 Histidine-rich glycoprotein (HPRG) DCC netrin 1 receptor Spectrin repeat containing nuclear envelope protein 1 |
| Sample | 7J 1 | 9J | 10J | 11J (1) | 11J (2) |
|---|---|---|---|---|---|
| Liver | LI 7J-MFP1 | LI 9J-50-22 | LI 10J-50-4 | LI 11J-50-20 | LI 11J-50-23 |
| LI 7J-MFP2 | |||||
| LI 7J-UF1P1 | |||||
| LI 7J-UF1P2 | |||||
| LI 7J-UF2P1 | |||||
| LI 7J-UF2P2 | |||||
| Lung | LU 9J-50-22 | LU 10J-50-4 | LU 11J-50-23 | ||
| Intercostal muscle | IM 9J-50-22 | IM 10J-50-4 | IM 11J-50-20 | ||
| Kidney | KI 9J-50-22 | KI 10J-50-4 | KI 11J-50-20 | ||
| Organ Mixture 2 | OM 9J-50-22 | OM 10J-50-4 | OM 11J-50-20 | OM 11J-50-23 |
Disclaimer/Publisher’s Note: The statements, opinions and data contained in all publications are solely those of the individual author(s) and contributor(s) and not of MDPI and/or the editor(s). MDPI and/or the editor(s) disclaim responsibility for any injury to people or property resulting from any ideas, methods, instructions or products referred to in the content. |
© 2024 by the authors. Licensee MDPI, Basel, Switzerland. This article is an open access article distributed under the terms and conditions of the Creative Commons Attribution (CC BY) license (https://creativecommons.org/licenses/by/4.0/).
Share and Cite
Slivka, J.P.; Bauer, C.; Younsi, A.; Wong, M.B.F.; Chan, M.K.S.; Skutella, T. Exploring the Molecular Tapestry: Organ-Specific Peptide and Protein Ultrafiltrates and Their Role in Therapeutics. Int. J. Mol. Sci. 2024, 25, 2863. https://doi.org/10.3390/ijms25052863
Slivka JP, Bauer C, Younsi A, Wong MBF, Chan MKS, Skutella T. Exploring the Molecular Tapestry: Organ-Specific Peptide and Protein Ultrafiltrates and Their Role in Therapeutics. International Journal of Molecular Sciences. 2024; 25(5):2863. https://doi.org/10.3390/ijms25052863
Chicago/Turabian StyleSlivka, Jakub Peter, Chris Bauer, Alexander Younsi, Michelle B. F. Wong, Mike K. S. Chan, and Thomas Skutella. 2024. "Exploring the Molecular Tapestry: Organ-Specific Peptide and Protein Ultrafiltrates and Their Role in Therapeutics" International Journal of Molecular Sciences 25, no. 5: 2863. https://doi.org/10.3390/ijms25052863
APA StyleSlivka, J. P., Bauer, C., Younsi, A., Wong, M. B. F., Chan, M. K. S., & Skutella, T. (2024). Exploring the Molecular Tapestry: Organ-Specific Peptide and Protein Ultrafiltrates and Their Role in Therapeutics. International Journal of Molecular Sciences, 25(5), 2863. https://doi.org/10.3390/ijms25052863

