Therapeutic Approach in Pigmented Purpuric Dermatoses—A Scoping Review
Abstract
1. Introduction
1.1. Pathogenesis
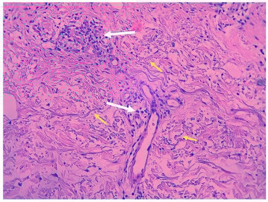
1.2. Histopathology
1.3. Dermoscopy
1.4. Differential Diagnosis
1.5. PPD Variants
2. Methods
3. Triggering Factors of PPD
4. Pigmented Purpuric Dermatoses—Treatment Options
4.1. Topical Treatment
4.2. Pentoxifylline (PTX)
4.3. Phototherapy
4.4. Vitamin C, Flavonoids and Calcium Dobesilate
4.5. Immunomodulatory and Immunosuppressant Drugs
4.6. Energy-Based Devices
4.7. Watchful Waiting Approach
5. Summary and Conclusions
6. Limitations
Author Contributions
Funding
Institutional Review Board Statement
Informed Consent Statement
Data Availability Statement
Acknowledgments
Conflicts of Interest
References
- Torrelo, A.; Requena, C.; Mediero, I.G.; Zambrano, A. Schamberg’s purpura in children: A review of 13 cases. J. Am. Acad. Dermatol. 2003, 48, 31–33. [Google Scholar] [CrossRef]
- Coulombe, J.; Jean, S.E.; Hatami, A.; Powell, J.; Marcoux, D.; Kokta, V.; McCuaig, C. Pigmented purpuric dermatosis: Clinicopathologic characterization in a pediatric series. Pediatr. Dermatol. 2015, 32, 358–362. [Google Scholar] [CrossRef]
- Martínez Pallás, I.; Conejero del Mazo, R.; Lezcano Biosca, V. Pigmented Purpuric Dermatosis: A Review of the Literature. Actas Dermo-Sifiliográficas (Engl. Ed.) 2020, 111, 196–204. [Google Scholar] [CrossRef]
- Ghersetich, I.; Lotti, T.; Bacci, S.; Comacchi, C.; Campanile, G.; Romagnoli, P. Cell infiltrate in progressive pigmented purpura (Schamberg’s disease): Immunophenotype, adhesion receptors, and intercellular relationships. Int. J. Dermatol. 1995, 34, 846–850. [Google Scholar] [CrossRef] [PubMed]
- Smoller, B.R.; Kamel, O.W. Pigmented purpuric eruptions: Immunopathologic studies supportive of a common immunophenotype. J. Cutan. Pathol. 1991, 18, 423–427. [Google Scholar] [CrossRef] [PubMed]
- Magro, C.M.; Schaefer, J.T.; Crowson, A.N.; Li, J.; Morrison, C. Pigmented purpuric dermatosis: Classification by phenotypic and molecular profiles. Am. J. Clin. Pathol. 2007, 128, 218–229. [Google Scholar] [CrossRef] [PubMed]
- Hanna, S.; Walsh, N.; D’Intino, Y.; Langley, R.G.B. Mycosis fungoides presenting as pigmented purpuric dermatitis. Pediatr. Dermatol. 2006, 23, 350–354. [Google Scholar] [CrossRef] [PubMed]
- Georgala, S.; Katoulis, A.C.; Symeonidou, S.; Georgala, C.; Vayopoulos, G. Persistent pigmented purpuric eruption associated with mycosis fungoides: A case report and review of the literature. J. Eur. Acad. Dermatol. Venereol. 2001, 15, 62–64. [Google Scholar] [CrossRef] [PubMed]
- Ratnam, K.V.; Su, W.P.D.; Peters, M.S. Purpura simplex (inflammatory purpura without vasculitis): A clinicopathologic study of 174 cases. J. Am. Acad. Dermatol. 1991, 25, 642–647. [Google Scholar] [CrossRef]
- Sardana, K.; Sarkar, R.; Sehgal, V.N. Pigmented purpuric dermatoses: An overview. Int. J. Dermatol. 2004, 43, 482–488. [Google Scholar] [CrossRef]
- Kim, D.H.; Seo, S.H.; Ahn, H.H.; Kye, Y.C.; Choi, J.E. Characteristics and clinical manifestations of pigmented purpuric dermatosis. Ann. Dermatol. 2015, 27, 404–410. [Google Scholar] [CrossRef] [PubMed]
- Zeng, Y.P.; Fang, K.; Ma, D.L. Lichen aureus: Clinicopathological features in a Chinese series. Eur. J. Dermatol. 2016, 26, 290–294. [Google Scholar] [CrossRef]
- Fishman, H.C. Pigmented purpuric lichenoid dermatitis of Gougerot-Blum. Cutis 1982, 29, 260–1264. [Google Scholar] [PubMed]
- Saito, R.; Matsuoka, Y. Granulomatous pigmented purpuric dermatosis. J. Dermatol. 1996, 23, 551–555. [Google Scholar] [CrossRef]
- Ozkaya, D.B.; Su, O.; Bahali, A.G.; Demirkesen, C.; Emiroglu, N.; Cengiz, F.P.; Yildiz, P.; Onsun, N. Dermatoscopic findings of pigmented purpuric dermatosis. An. Bras. Dermatol. 2016, 91, 584. [Google Scholar] [CrossRef] [PubMed]
- Metin, M.S.; Elmas, Ö.F. Dermoscopic profile of pigmented purpuric dermatosis: New observations. Adv. Dermatol. Allergol./Postȩpy Dermatol. I Alergol. 2019, 36, 687. [Google Scholar] [CrossRef]
- Spigariolo, C.B.; Giacalone, S.; Nazzaro, G. Pigmented Purpuric Dermatoses: A Complete Narrative Review. J. Clin. Med. 2021, 10, 2283. [Google Scholar] [CrossRef]
- Hersh, C.S.; Shwayder, T.A. Unilateral progressive pigmentary purpura (Schamberg’s disease) in a 15-year-old boy. J. Am. Acad. Dermatol. 1991, 24, 651. [Google Scholar] [CrossRef]
- Higgins, E.M.; Cox, N.H. A Case of Quadrantic Capillaropathy. Dermatology 1990, 180, 93–95. [Google Scholar] [CrossRef]
- Loewenthal, L.J.A. Itching purpura. Br. J. Dermatol. 1954, 66, 95–103. [Google Scholar] [CrossRef]
- Sethuraman, G.; Sugandhan, S.; Bansal, A.; Das, A.K.; Sharma, V.K. Familial pigmented purpuric dermatoses. J. Dermatol. 2006, 33, 639–641. [Google Scholar] [CrossRef] [PubMed]
- Freites-Martinez, A.; Martinez-Sanchez, D.; Moreno-Torres, A.; Huerta-Brogeras, M.; Hernández-Núñez, A.; Borbujo, J. Angioma serpiginosum: Report of an unusual acral case and review of the literature. An. Bras. Dermatol. 2015, 90, 26–28. [Google Scholar] [CrossRef]
- Schetz, D.; Kocic, I. A new adverse drug reaction—Schamberg’s disease caused by amlodipine administration—A case report. Br. J. Clin. Pharmacol. 2015, 80, 1477–1478. [Google Scholar] [CrossRef] [PubMed]
- Faria, C.; Henriques, F.; Leite, J.; Fernandes, C. Purpura is Not Always Caused by the Anticoagulant. Eur. J. Case Rep. Intern. Med. 2017, 4, 000536. [Google Scholar] [CrossRef] [PubMed]
- Erbagci, Z.; Tuncel, A.; Erkiliç, S.; Ozkur, M. Progressive pigmentary purpura related to raloxifene. Saudi Med. J. 2005, 26, 314–316. [Google Scholar] [PubMed]
- Szekely, S.; Vaccari, D.; Salmaso, R.; Belloni-Fortina, A.; Alaibac, M. Onset of schamberg disease and resolution of alopecia areata during treatment of atopic dermatitis with dupilumab. J. Investig. Allergol. Clin. Immunol. 2021, 31, 65–66. [Google Scholar] [CrossRef]
- Jhaveri, D.; Zhao, F. TNF-α inhibitor induced pigmented purpuric dermatoses: A case report. BMC Rheumatol. 2022, 6, 34. [Google Scholar] [CrossRef]
- Bonnet, U.; Selle, C.; Isbruch, K. Recurrent purpura due to alcohol-related Schamberg’s disease and its association with serum immunoglobulins: A longitudinal observation of a heavy drinker. J. Med. Case Rep. 2016, 10, 301. [Google Scholar] [CrossRef]
- Brauer, J.A.; Mundi, J.; Chu, J.; Patel, R.; Meehan, S.; Greenspan, A.H.; Stein, J. Progressive pigmentary purpura. Dermatol. Online J. 2011, 17, 14. [Google Scholar] [CrossRef]
- Satoh, T.; Yokozeki, H.; Nishioka, K. Chronic pigmented purpura associated with odontogenic infection. J. Am. Acad. Dermatol. 2002, 46, 942–944. [Google Scholar] [CrossRef]
- Kaplan, R.; Meehan, S.A.; Leger, M. A case of isotretinoin-induced purpura annularis telangiectodes of majocchi and review of substance-induced pigmented purpuric dermatosis. JAMA Dermatol. 2014, 150, 182–184. [Google Scholar] [CrossRef]
- Horiuchi, Y. Pigmented purpuric dermatosis persistent over 20 years treated with an ozone nanobubble water oral rinse: A case study. Dermatol. Ther. 2022, 35, e15854. [Google Scholar] [CrossRef]
- Atak, M.F.; Farabi, B.; Kalelioglu, M.B.; Rao, B.K. Pigmented purpuric dermatosis after BNT162B2 mRNA COVID-19 vaccine administration. J. Cosmet. Dermatol. 2022, 21, 435. [Google Scholar] [CrossRef]
- Wahba-Yahav, A.V. Schamberg’s purpura: Association with persistent hepatitis B surface antigenemia and treatment with pentoxifylline. Cutis 1994, 54, 205–206. [Google Scholar]
- Rosenthal, D.; Burnham, T.K. Nonthrombocytopenic purpura due to carbromal ingestion. Arch. Dermatol. 1964, 89, 200–204. [Google Scholar] [CrossRef]
- Carpentieri, U.; Gustavson, L.P.; Crim, C.B.; Haggard, M.E. Purpura and schamberg’s disease. South Med. J. 1978, 71, 1168–1170. [Google Scholar] [CrossRef]
- Wong, W.K.; Ratnam, K.V. A report of two cases of pigmented purpuric dermatoses treated with PUVA therapy. Acta Derm. Venereol. 1991, 71, 68–70. [Google Scholar] [CrossRef] [PubMed]
- Manolakos, D.A.; Weiss, J.; Glick, B.; Weiss, K.D.; Weiss, E. Treatment of Schamberg’s disease with advanced fluorescence technology. J. Drugs Dermatol. 2012, 11, 528–529. [Google Scholar]
- King, T.; Woo, P.; Barbieri, A. Unilateral Petechial and Pigmentary Macules in a 12-Year-Old Boy. Pediatr. Dermatol. 2016, 33, 351–352. [Google Scholar] [CrossRef] [PubMed]
- Filo, V.; Galbavý, Š.; Filová, A.; Borecká, D.; Novotná, V. Unilateral progressive pigmented capillaropathy (Schamberg’s disease?) of the arm. Br. J. Dermatol. 2001, 144, 190–191. [Google Scholar] [CrossRef] [PubMed]
- de Godoy, J.M.P.; Batigália, F. Aminaphtone in the control of Schamberg’s disease. Thromb J. 2009, 7, 8. [Google Scholar] [CrossRef] [PubMed]
- Seckin, D.; Yazici, Z.; Senol, A.; Demircay, Z. A case of Schamberg’s disease responding dramatically to PUVA treatment. Photodermatol. Photoimmunol. Photomed. 2008, 24, 95–96. [Google Scholar] [CrossRef] [PubMed]
- Panda, S.; Malahar, S.; Lahiri, K. Oral Pentoxifylline vs Topical Betamethasone in Schamberg Disease: A Comparative Randomized Investigator-Blinded Parallel-Group Trial. Arch. Dermatol. 2004, 140, 491–493. [Google Scholar] [CrossRef] [PubMed]
- Geller, M. Benefit of colchicine in the treatment of Schamberg’s disease. Ann. Allergy Asthma Immunol. 2000, 85, 246. [Google Scholar] [CrossRef] [PubMed]
- Morquette, A.J.; Lee, J.B.; Grossman, S.K.; Hsu, S. Rutoside and Ascorbic Acid in the Treatment of Schamberg Pigmented Purpuric Dermatosis. Cureus 2021, 13, e14592. [Google Scholar] [CrossRef] [PubMed]
- Lasocki, A.L.; Kelly, R.I. Narrowband UVB therapy as an effective treatment for Schamberg’s disease. Australas. J. Dermatol. 2008, 49, 16–18. [Google Scholar] [CrossRef] [PubMed]
- Cavalcante, M.L.L.L.; Masuda, P.Y.; de Brito, F.F.; Pinto, A.C.V.D.; Itimura, G.; Nunes, A.J.F. Schamberg’s disease: Case report with therapeutic success by using colchicine. An. Bras. Dermatol. 2017, 92, 246–248. [Google Scholar] [CrossRef]
- Demidion, D.V.; Olisova, O.Y.; Kostenko, A.Y.; Koriakin, D.A.; Grekova, E.V. Complete clearance of Schamberg disease lesions with intense pulsed light. Photodermatol. Photoimmunol. Photomed. 2023, 39, 78–81. [Google Scholar] [CrossRef]
- Jaworek, A.K.; Englert, K.; Spałkowska, M.; Dyduch, G.; Zalewski, A.; Wojas-Pelc, A. Atypical presentation of schamberg’s disease—Diagnostic challenges | Nietypowy Obraz Choroby Schamberga—Trudności Diagnostyczne. Przegl. Dermatol. 2019, 106, 34–45. [Google Scholar] [CrossRef]
- Risikesan, J.; Sommerlund, M.; Ramsing, M.; Kristensen, M.; Koppelhus, U. Successful Topical Treatment of Pigmented Purpuric Lichenoid Dermatitis of Gougerot-Blum in a Young Patient: A Case Report and Summary of the Most Common Pigmented Purpuric Dermatoses. Case Rep. Dermatol. 2017, 9, 169–176. [Google Scholar] [CrossRef]
- Böhm, M.; Bonsmann, G.; Luger, T.A. Resolution of lichen aureus in a 10-year-old child after topical pimecrolimus. Br. J. Dermatol. 2004, 151, 519–520. [Google Scholar] [CrossRef] [PubMed]
- Murota, H.; Katayama, I. Lichen aureus responding to topical tacrolimus treatment. J. Dermatol. 2011, 38, 823–825. [Google Scholar] [CrossRef] [PubMed]
- Basak, P.Y.; Ergin, Ş. Should pentoxifylline be regarded as an effective treatment for Schamberg’s disease? J. Am. Acad. Dermatol. 2001, 44, 548–549. [Google Scholar] [CrossRef] [PubMed]
- Majid, R.M. Treatment of Schamberg’s disease with pentoxifylline—Therapeutic trial. J. Pak. Assoc. Dermatol. 2008, 18, 97–99. [Google Scholar]
- Kumrah, L.; George, R.; George, S. An open trial of pentoxifylline in schamberg’s disease. Indian J. Dermatol. Venereol. Leprol. 2000, 66, 73–75. [Google Scholar]
- Kano, Y.; Hirayama, K.; Orihara, M.; Shiohara, T. Successful treatment of Schamberg’s disease with pentoxifylline. J. Am. Acad. Dermatol. 1997, 36, 827–830. [Google Scholar] [CrossRef] [PubMed]
- Burkhart, C.G.; Burkhart, K.M. Pentoxifylline for Schamberg’s disease. J. Am. Acad. Dermatol. 1998, 39, 298. [Google Scholar] [CrossRef] [PubMed]
- Gandhi, V.; Singal, A.; Sachdeva, B.; Bhattacharya, S. Treatment of schamberg’s disease with pentoxifylline—Therapeutic trial. Indian J. Dermatol. Venereol. Leprol. 2003, 69, 25–26. [Google Scholar]
- Broderick, C.; Forster, R.; Abdel-Hadi, M.; Salhiyyah, K. Pentoxifylline for intermittent claudication. Cochrane Database Syst. Rev. 2020, 2020, CD005262. [Google Scholar] [CrossRef]
- Ward, A.; Clissold, S.P. Pentoxifylline. Drugs 1987, 34, 50–97. [Google Scholar] [CrossRef]
- Chen, Y.M.; Tu, C.J.; Hung, K.Y.; Wu, K.D.; Tsai, T.J.; Hsieh, B.S. Inhibition by pentoxifylline of TNF-α-stimulated fractalkine production in vascular smooth muscle cells: Evidence for mediation by NF-κB down-regulation. Br. J. Pharmacol. 2003, 138, 950. [Google Scholar] [CrossRef]
- Bretschneider, E.; Wittpoth, M.; Weber, A.A.; Glusa, E.; Schrör, K. Activation of NFkappaB is essential but not sufficient to stimulate mitogenesis of vascular smooth muscle cells. Biochem. Biophys. Res. Commun. 1997, 235, 365–368. [Google Scholar] [CrossRef] [PubMed]
- Fernandes, J.L.; de Oliveira, R.T.D.; Mamoni, R.L.; Coelho, O.R.; Nicolau, J.C.; Blotta, M.H.S.L.; Serrano, C.V. Pentoxifylline reduces pro-inflammatory and increases anti-inflammatory activity in patients with coronary artery disease—A randomized placebo-controlled study. Atherosclerosis 2008, 196, 434–442. [Google Scholar] [CrossRef] [PubMed]
- Weiss, J.M.; Vanscheidt, W.; Pilarski, K.A.; Weyl, A.; Peschen, M.; Schopf, E.; Vestweber, D.; Simon, A.C. Pentoxifylline inhibits tumor necrosis factor-alpha (TNF alpha)-induced T-lymphoma cell adhesion to endothelioma cells. J. Investig. Dermatol. 1995, 104, 824–828. [Google Scholar] [CrossRef][Green Version]
- Chen, Y.M.; Lin, S.L.; Chiang, W.C.; Wu, K.D.; Tsai, T.J. Pentoxifylline ameliorates proteinuria through suppression of renal monocyte chemoattractant protein-1 in patients with proteinuric primary glomerular diseases. Kidney Int. 2006, 69, 1410–1415. [Google Scholar] [CrossRef]
- Rodriguez-Moran, M.; Guerrero-Romero, F. Efficacy of Pentoxifylline in the Management of Microalbuminuria in Patients with Diabetes. Curr. Diabetes Rev. 2008, 4, 55–62. [Google Scholar] [CrossRef] [PubMed]
- Kreth, S.; Ledderose, C.; Luchting, B.; Weis, F.; Thiel, M. Immunomodulatory properties of pentoxifylline are mediated via adenosine-dependent pathways. Shock 2010, 34, 10–16. [Google Scholar] [CrossRef]
- Chavarría, A.P.; Vázquez, R.R.V.; Cherit, J.G.D.; Bello, H.H.; Suastegui, H.C.; Moreno-Castañeda, L.; Alanís Estrada, G.; Hernández, F.; González-Marcos, O.; Saucedo-Orozco, H.; et al. Antioxidants and pentoxifylline as coadjuvant measures to standard therapy to improve prognosis of patients with pneumonia by COVID-19. Comput. Struct. Biotechnol. J. 2021, 19, 1379. [Google Scholar] [CrossRef]
- Horvath, B.; Marton, Z.; Halmosi, R.; Alexy, T.; Szapary, L.; Vekasi, J.; Biro, Z.; Habon, T.; Kesmarky, G.; Toth, K. In vitro antioxidant properties of pentoxifylline, piracetam, and vinpocetine. Clin. Neuropharmacol. 2002, 25, 37–42. [Google Scholar] [CrossRef]
- Nozicková, M.; Bĕlobrádek, M. Progressive pigmented purpuric dermatosis: Effect of psoralens and ultraviolet A irradiation. Sb. Ved. Pr. Lek. Fak. Karlov. Univ. Hradci Kral. 1989, 32, 45–55. [Google Scholar]
- Milea, M.; Dimov, H.A.; Cribier, B. Capillarite purpurique généralisée traitée par PUVAthérapie chez un enfant. Ann. Dermatol. Venereol. 2007, 134, 378–380. [Google Scholar] [CrossRef] [PubMed]
- Ling, T.C.; Goulden, V.; Goodfield, M.J.D. PUVA therapy in lichen aureus. J. Am. Acad. Dermatol. 2001, 45, 145–146. [Google Scholar] [CrossRef] [PubMed]
- Dhali, T.K.; Chahar, M.; Haroon, M.A. Phototherapy as an effective treatment for Majocchi’s disease—Case report. An. Bras. Dermatol. 2015, 90, 96–99. [Google Scholar] [CrossRef]
- Krizsa, J.; Hunyadi, J.; Dobozy, A. PUVA treatment of pigmented purpuric lichenoid dermatitis (Gougerot-Blum). J. Am. Acad. Dermatol. 1992, 27, 778–780. [Google Scholar] [CrossRef] [PubMed]
- Ma, H.J.; Zhao, G.; Liu, W.; Dang, Y.P.; Li, D.G. Unilateral linear capillaritis: Two unusual Chinese cases. Eur. J. Dermatol. 2007, 17, 160–163. [Google Scholar] [CrossRef] [PubMed]
- Can, B.; Turkoglu, Z.; Kavala, M.; Zindanc, I.; Kural, E. Successful treatment of generalized childhood Schamberg’s disease with narrowband ultraviolet B therapy. Photodermatol. Photoimmunol. Photomed. 2011, 27, 216–218. [Google Scholar] [CrossRef]
- Verma, P. Generalized pigmented purpuric dermatosis in a boy treated with narrow-band-ultraviolet B therapy. Pediatr. Dermatol. 2013, 30. [Google Scholar] [CrossRef]
- Fathy, H.; Abdelgaber, S. Treatment of pigmented purpuric dermatoses with Narrow-band UVB: A report of six cases. J. Eur. Acad. Dermatol. Venereol. 2011, 25, 603–606. [Google Scholar] [CrossRef]
- Gudi, V.S.; White, M.I. Progressive pigmented purpura (Schamberg’s disease) responding to TL01 ultraviolet B therapy. Clin. Exp. Dermatol. 2004, 29, 683–684. [Google Scholar] [CrossRef] [PubMed]
- Kocaturk, E.; Kavala, M.; Zindanci, I.; Zemheri, E.; Sarigul, S.; Sudogan, S. Narrowband UVB treatment of pigmented purpuric lichenoid dermatitis (Gougerot-Blum). Photodermatol. Photoimmunol. Photomed. 2009, 25, 55–56. [Google Scholar] [CrossRef] [PubMed]
- Karadag, A.S.; Bilgili, S.G.; Onder, S.; Calka, O. Two cases of eczematid-like purpura of Doucas and Kapetanakis responsive to narrow band ultraviolet B treatment. Photodermatol. Photoimmunol. Photomed. 2013, 29, 97–99. [Google Scholar] [CrossRef] [PubMed]
- Morison, W.L. Photoimmunology. Photochem. Photobiol. 1984, 40, 781–788. [Google Scholar] [CrossRef] [PubMed]
- Ozawa, M.; Ferenczi, K.; Kikuchi, T.; Cardinale, I.; Austin, L.M.; Coven, T.R.; Burack, L.H.; Krueger, J.G. 312-nanometer Ultraviolet B Light (Narrow-Band UVB) Induces Apoptosis of T Cells within Psoriatic Lesions. J. Exp. Med. 1999, 189, 711. [Google Scholar] [CrossRef] [PubMed]
- Schober, S.M.; Peitsch, W.K.; Bonsmann, G.; Metze, D.; Thomas, K.; Goerge, T.; Luger, T.A.; Schneider, S.W. Early treatment with rutoside and ascorbic acid is highly effective for progressive pigmented purpuric dermatosis | Die frühzeitige Therapie der Purpura pigmentosa progressiva mit Rutosid und Ascorbinsäure ist hocheffektiv. JDDG J. Ger. Soc. Dermatol. 2014, 12, 1112–1119. [Google Scholar] [CrossRef]
- Abe, M.; Syuto, T.; Ishibuchi, H.; Yokoyama, Y.; Ishikawa, O. Transitory pigmented purpuric dermatoses in a young Japanese female. J. Dermatol. 2008, 35, 525–528. [Google Scholar] [CrossRef] [PubMed]
- Gupta, A.; Sardana, K.; Kishan Gautam, R. Venoprotective drugs in pigmented purpuric dermatoses: A case report. J. Cosmet. Dermatol. 2019, 18, 1580–1583. [Google Scholar] [CrossRef]
- Laufer, F. The treatment of progressive pigmented purpura with ascorbic acid and a bioflavonoid rutoside. J. Drugs Dermatol. 2006, 5, 290–293. [Google Scholar]
- Reinhold, U.; Seiter, S.; Ugurel, S.; Tilgen, W. Treatment of progressive pigmented purpura with oral bioflavonoids and ascorbic acid: An open pilot study in 3 patients. J. Am. Acad. Dermatol. 1999, 41, 207–208. [Google Scholar] [CrossRef]
- Padayatty, S.J.; Levine, M. Vitamin C physiology: The known and the unknown and Goldilocks. Oral Dis. 2016, 22, 463. [Google Scholar] [CrossRef]
- Frei, B. Reactive oxygen species and antioxidant vitamins: Mechanisms of action. Am. J. Med. 1994, 97, S5–S13. [Google Scholar] [CrossRef]
- Pandhi, R.; Jain, R.; Radotra, B.D.; Kumar, B. Purpura annularis telangiectoides with vasculitic ulcers treated with colchicine. Int. J. Dermatol. 2002, 41, 388–389. [Google Scholar] [CrossRef]
- Tamaki, K.; Yasaka, N.; Osada, A.; Shibagaki, N.; Furue, M. Successful treatment of pigmented purpuric dermatosis with griseoiulvin. Br. J. Dermatol. 1995, 132, 159–160. [Google Scholar] [CrossRef]
- Gotelli, E.; Soldano, S.; Hysa, E.; Pacini, G.; Pizzorni, C.; Paolino, S.; Cutolo, M.; Sulli, A. A Systematic Review of Aminaphtone from Pathophysiology to Clinical Applications: Focus on New Rheumatological Acquisitions. Pharmaceuticals 2023, 16, 569. [Google Scholar] [CrossRef]
- Nagata, K.; Danno, K.; Tanaka, S. Unilateral Schamberg disease in a 14-year-old Japanese boy. J. Dermatol. 1999, 26, 348–351. [Google Scholar] [CrossRef]
- Saeedi-Boroujeni, A.; Mahmoudian-Sani, M.R.; Nashibi, R.; Houshmandfar, S.; Tahmaseby Gandomkari, S.; Khodadadi, A. Tranilast: A potential anti-Inflammatory and NLRP3 inflammasome inhibitor drug for COVID-19. Immunopharmacol. Immunotoxicol. 2021, 43, 1. [Google Scholar] [CrossRef]
- Hoesly, F.J.; Huerter, C.J.; Shehan, J.M. Purpura annularis telangiectodes of Majocchi: Case report and review of the literature. Int. J. Dermatol. 2009, 48, 1129–1133. [Google Scholar] [CrossRef] [PubMed]
- Okada, K.; Ishikawa, O.; Miyachi, Y. Purpura pigmentosa chronica successfully treated with oral cyclosporin A. Br. J. Dermatol. 1996, 134, 180–181. [Google Scholar] [CrossRef] [PubMed]
- D’Ambrosia, R.A.; Rajpara, V.S.; Glogau, R.G. The successful treatment of Schamberg’s disease with the 595 nm vascular laser. Dermatol. Surg. 2011, 37, 100–101. [Google Scholar] [CrossRef] [PubMed]
- Arreola Jauregui, I.E.; López Zaldo, J.B.; Huerta Rivera, G.; Soria Orozco, M.; Bonnafoux Alcaraz, M.; Paniagua Santos, J.E.; Vázquez Huerta, M. A case of lichen aureus successfully treated with 595 nm wavelength pulsed-dye laser. J. Cosmet. Dermatol. 2020, 19, 657–659. [Google Scholar] [CrossRef] [PubMed]
- Hong, D.K.; Chang, I.K.; Lee, Y.; Seo, Y.J.; Kim, C.D.; Lee, J.H.; Im, M. Treatment of segmental lichen aureus with a pulsed-dye laser: New treatment options for lichen aureus. Eur. J. Dermatol. 2013, 23, 891–892. [Google Scholar] [CrossRef] [PubMed]
- Hilerowicz, Y.; Sprecher, E.; Gat, A.; Artzi, O. Successful treatment of Schamberg’s disease with fractional non-ablative 1540 nm erbium: Glass laser. J. Cosmet. Laser Ther. 2018, 20, 265–268. [Google Scholar] [CrossRef] [PubMed]
- Kim, S.K.; Kim, E.H.; Kim, Y.C. Treatment of pigmented purpuric dermatosis with topical photodynamic therapy. Dermatology 2009, 219, 184–186. [Google Scholar] [CrossRef] [PubMed]
- Ollech, A.; Paller, A.S.; Kruse, L.; Kenner-Bell, B.; Chamlin, S.; Wagner, A.; Shen, L.; Yousif, R.; Balmert, L.C.; Mancini, A.J. Pigmented purpuric dermatosis in children: A retrospective cohort with emphasis on treatment and outcomes. J. Eur. Acad. Dermatol. Venereol. 2020, 34, 2402–2408. [Google Scholar] [CrossRef] [PubMed]







| Variant | Age and Gender | Skin Lesions | Symptoms | Course |
|---|---|---|---|---|
| Schamberg disease | Middle-aged to older men | Coalescing orange-red macules with pinpoint petechiae, called “cayenne pepper” spots | Generally asymptomatic | Persistent and characterized by frequent relapses and remissions over time. |
| Pigmented purpuric lichenoid dermatosis of Gougerot and Blum | Elderly men | Purpuric lichenoid papules that merge into plaques | Pruritus | Chronic |
| Lichen aureus | Children and young adults, mostly men | Solitary golden-orangish papules or plaques Sometimes segmental, along the lines of Blaschko | Generally asymptomatic, but might be itchy | Chronic |
| Majocchi disease | Children and young adults, mostly women | Red annular macules with central fading and telangiectatic puncta at the periphery | Generally asymptomatic, sometimes itchy or with burning sensation | Chronic, often follows a recurrent course |
| Eczematoid purpura of Doucas and Kapetanakis | Adult men | similar to Schamberg disease, but with scaling | Intense itch | Rapid onset and chronic course |
| Drug | Recommended Regimen | Remarks |
|---|---|---|
| Oral corticosteroids [44,45] | - | Might be effective, but should be avoided due to a high rate of recurrencies after dose tapering. |
| Topical corticosteroids [2,36,39,40,41,43] | Medium to high potency, once a day | Might be effective, but often has recurrencies. To be considered in children, limited and itchy lesions. Be cautious of side effects related to a prolonged use. |
| Topical calcineurin inhibitors [2,51,52] | - | Might be effective. Better side effect profile than corticosteroids. |
| Pentoxifylline [43,44,53,54,55,56,57,58] | 400 mg three times a day up to 8 weeks | Relatively high efficacy. Fewer side effects compared to other treatments. |
| UVB-NB [2,37,46,49,76,77,78,79] | 3 times a week for about two months | Relatively high efficacy. Maintanance therapy of twice weekly for 3 weeks and once weekly for another 3 weeks might be necessary for long-term remission. Retreatment usually successful. Recommended especially in extensive skin lesions and in children. |
| PUVA [37,42,70,71] | Up to 30 sessions | Relatively high efficacy. Recommended especially in extensive skin lesions. |
| Vitamin C and rutoside [2,45,84] | 500 mg of vitamin C and 50 mg of rutoside two times a day | Partial remission reported in a few cases. |
| Rheological drugs combinations | diosmin/hesperidin/Euphorbia prostata extract/calcium dobesilate [86], antihistaminic drug/topical steroid/ascorbic acid/rutoside/hesperidin/diosmin [49], vitamin C and calcium pantothenate [85] | Might be effective, but no standarized drug combinations and dosages. |
| Dapson [44] | 50 mg one time a day | One case report with a partial response. |
| Colchicine [44,47,91] | 0.5 mg two times a day | High efficacy reported in a few patients. |
| IPL, PDT, Lasers [48,98,99,100,101,102] | - | High efficacy in localized lesions. |
| Methotrexate, cyclosporin A [96,97] | - | Should be reserved for highly symptomatic patients with failure of other treatments. |
Disclaimer/Publisher’s Note: The statements, opinions and data contained in all publications are solely those of the individual author(s) and contributor(s) and not of MDPI and/or the editor(s). MDPI and/or the editor(s) disclaim responsibility for any injury to people or property resulting from any ideas, methods, instructions or products referred to in the content. |
© 2024 by the authors. Licensee MDPI, Basel, Switzerland. This article is an open access article distributed under the terms and conditions of the Creative Commons Attribution (CC BY) license (https://creativecommons.org/licenses/by/4.0/).
Share and Cite
Kimak, A.; Żebrowska, A. Therapeutic Approach in Pigmented Purpuric Dermatoses—A Scoping Review. Int. J. Mol. Sci. 2024, 25, 2644. https://doi.org/10.3390/ijms25052644
Kimak A, Żebrowska A. Therapeutic Approach in Pigmented Purpuric Dermatoses—A Scoping Review. International Journal of Molecular Sciences. 2024; 25(5):2644. https://doi.org/10.3390/ijms25052644
Chicago/Turabian StyleKimak, Agnieszka, and Agnieszka Żebrowska. 2024. "Therapeutic Approach in Pigmented Purpuric Dermatoses—A Scoping Review" International Journal of Molecular Sciences 25, no. 5: 2644. https://doi.org/10.3390/ijms25052644
APA StyleKimak, A., & Żebrowska, A. (2024). Therapeutic Approach in Pigmented Purpuric Dermatoses—A Scoping Review. International Journal of Molecular Sciences, 25(5), 2644. https://doi.org/10.3390/ijms25052644

