HLA-G Expression/Secretion and T-Cell Cytotoxicity in Missed Abortion in Comparison to Normal Pregnancy
Abstract
1. Introduction
2. Results
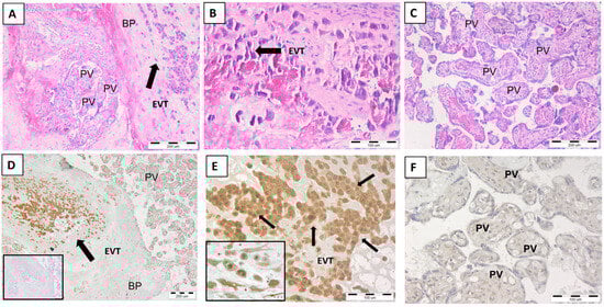
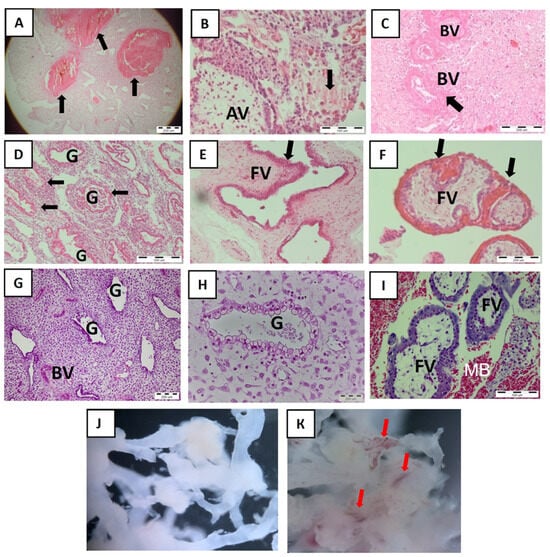
2.1. Maternal–Fetal Interface after Missed Abortion (MA)
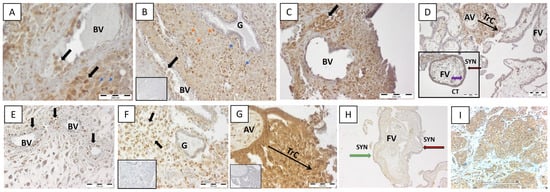
2.2. Same Pattern of HLA-G Expression at Maternal–Fetal Interface in MA and Normal Pregnancy
2.3. Expression of Non-Classical HLA-G Molecule in Full-Term Placenta
2.4. Comparable Levels of sHLA-G in the Sera of Women with MA and with Normal Early Pregnancy
2.5. Similar Proportions of Total T Cells, γδ T Cells, and Cytotoxic T Cells in MA and Normal Pregnancy
3. Discussion
4. Materials and Methods
4.1. Study Populations and Samples
4.2. Histological Examination and Immunohistochemistry (IHC)
4.3. ELISA
4.4. Mononuclear Cells Isolation (PBMC, DMC)
4.5. Flow Cytometry
4.6. Statistical Analyses
Author Contributions
Funding
Institutional Review Board Statement
Informed Consent Statement
Data Availability Statement
Acknowledgments
Conflicts of Interest
Abbreviations
| HLA-G | Human leukocyte antigen-G |
| MFI | Maternal–fetal interface |
| EVT | Extravillous cytotrophoblast |
| MHC | Major histocompatibility complex |
| dNK | cells Decidual Natural killer cells |
| mAb | Monoclonal antibody |
| APC | Antigen-presenting cells |
| ILT-2 | (LILRB1) Immunoglobulin-like transcript 2 |
| ILT-4 | (LILRB2) Immunoglobulin-like transcript 4 |
| KIR2DL4 | Killer cell immunoglobulin-like receptor 2DL4 |
| DSCs | Decidual stromal cells |
| FACS | Fluorescence activated cell sorting |
| Vim | Vimentin |
| CK7 | Cytokeratin 7 |
| ELISA | Enzyme-linked immunosorbent assay |
| PBMC | Peripheral blood mononuclear cells |
| DMC | Decidual mononuclear cells |
| IHC | Immunohistochemistry |
References
- Meeusen, E.N.; Bischof, R.J.; Lee, C. Comparative T-cell responses during pregnancy in large animals and humans. Am. J. Reprod. Immunol. 2001, 46, 169–179. [Google Scholar] [CrossRef]
- Lala, P.; Graham, C. Mechanisms of trophoblast invasiveness and their control: The role of proteases and protease inhibitors. Cancer Metastasis Rev. 1990, 9, 369–379. [Google Scholar] [CrossRef]
- Aluvihare, V.R.; Kallikourdis, M.; Betz, A.G. Regulatory T cells mediate maternal tolerance to the fetus. Nat. Immunol. 2004, 5, 266–271. [Google Scholar] [CrossRef]
- Hanna, J.; Goldman-Wohl, D.; Hamani, Y.; Avraham, I.; Greenfield, C.; Natanson-Yaron, S.; Prus, D.; Cohen-Daniel, L.; I Arnon, T.; Manaster, I.; et al. Decidual NK cells regulate key developmental processes at the human fetalmaternal interface. Nat. Med. 2006, 12, 1065–1074. [Google Scholar] [CrossRef]
- Vento-Tormo, R.; Efremova, M.; Botting, R.A.; Turco, M.Y.; Vento-Tormo, M.; Meyer, K.B.; Park, J.E.; Stephenson, E.; Polański, K.; Goncalves, A.; et al. Single-cell reconstruction of the early maternal-fetal interface in humans. Nature 2018, 563, 347–353. [Google Scholar] [CrossRef]
- Bulmer, J.N.; Morrison, L.; Longfellow, M.; Ritson, A.; Pace, D. Granulated lymphocytes in human endometrium: Histochemical and immunohistochemical studies. Hum. Reprod. 1991, 6, 791–798. [Google Scholar] [CrossRef] [PubMed]
- Whitelaw, P.F.; Croy, B.A. Granulated lymphocytes of pregnancy. Placenta 1996, 17, 533–543. [Google Scholar] [CrossRef] [PubMed]
- Bulmer, J.N.; Williams, P.J.; Lash, G.E. Immune cells in the placental bed. Int. J. Dev. Biol. 2010, 54, 281–294. [Google Scholar] [CrossRef] [PubMed]
- Faas, M.M.; de Vos, P. Uterine nk cells and macrophages in pregnancy. Placenta 2017, 56, 44e52. [Google Scholar] [CrossRef] [PubMed]
- Trundley, A.; Moffett, A. Human uterine leukocytes and pregnancy. Tissue Antigens 2004, 63, 1–12. [Google Scholar] [CrossRef] [PubMed]
- Nancy, P.; Erlebacher, A. T cell behavior at the maternal-fetal interface. Int. J. Dev. Biol. 2014, 582, 189–198. [Google Scholar] [CrossRef]
- Dimova, T.; Nagaeva, O.; Stenqvist, A.C.; Hedlund, M.; Kjellberg, L.; Strand, M.; Dehlin, E.; Mincheva-Nilsson, L. Maternal Foxp3 expressing CD4+ CD25+ and CD4+ CD25 regulatory T-cell populations are enriched in human early normal pregnancy decidua: A phenotypic study of paired decidual and peripheral blood samples. Am. J. Reprod. Immunol. 2011, 66, 44–56. [Google Scholar] [CrossRef] [PubMed]
- Williams, P.J.; Searle, R.F.; Robson, S.C.; Innes, B.A.; Bulmer, J.N. Decidual leucocyte populations in early to late gestation normal human pregnancy. J. Reprod. Immunol. 2009, 821, 24–31. [Google Scholar] [CrossRef] [PubMed]
- Orr, H.T.; Bach, F.H.; Ploegh, H.L.; Strominger, J.L.; Kavathas, P.; DeMars, R. Use of HLA loss mutants to analyse the structure of the human major histocompatibility complex. Nature 1982, 296, 454–456. [Google Scholar] [CrossRef] [PubMed]
- Bodmer, J.G.; Marsh, S.G.; Albert, E. Nomenclature for factors of the HLA system. Immunol. Today 1990, 11, 3–10. [Google Scholar] [CrossRef]
- Kovats, S.; Main, E.K.; Librach, C.; Stubblebine, M.; Fisher, S.J.; DeMars, R. A class I antigen, HLA-G, expressed in human trophoblasts. Science 1990, 248, 220–223. [Google Scholar] [CrossRef] [PubMed]
- Redman, C.W.; McMichael, A.J.; Stirrat, G.M.; A Sunderland, C.; Ting, A. Class 1 Major Histocompatibility Complex Antigens on Human Extra-Villous Trophoblast. Immunology 1984, 52, 457–468. [Google Scholar] [PubMed]
- Shen, X.; Wang, P.; Dai, P.; Jin, B.; Tong, Y.; Lin, H.; Shi, G. Correlation between human leukocyte antigen-G expression and clinical parameters in oral squamous cell carcinoma. Indian. J. Cancer 2018, 55, 340–343. [Google Scholar] [PubMed]
- Zeestraten, E.C.M.; Reimers, M.S.; Saadatmand, S.; Dekker, J.T.; Liefers, G.J.; Van Den Elsen, P.J.; Van De Velde, C.J.H.; Kuppen, P.J.K. Combined analysis of HLA class I, HLA-E and HLA-G predicts prognosis in colon cancer patients. Br. J. Cancer 2014, 110, 459–468. [Google Scholar] [CrossRef]
- de Kruijf, E.M.; Sajet, A.; van Nes, J.G.; Natanov, R.; Putter, H.; Smit, V.T.; Liefers, G.J.; van den Elsen, P.J.; van de Velde, C.J.; Kuppen, P.J. HLA-E and HLA-G expression in classical HLA class I-negative tumors is of prognostic value for clinical outcome of early breast cancer patients. J. Immunol. 2010, 185, 7452–7459. [Google Scholar] [CrossRef]
- Yie, S.M.; Yang, H.; Ye, S.R.; Li, K.; Dong, D.D.; Lin, X.M. Expression of human leucocyte antigen G (HLA-G) is associated with prognosis in non-small cell lung cancer. Lung Cancer 2007, 58, 267–274. [Google Scholar] [CrossRef] [PubMed]
- Cabestre, F.A.; Lefebvre, S.; Moreau, P.; Rouas-Friess, N.; Dausset, J.; Carosella, E.D.; Paul, P. HLA-G expression: Immune privilege for tumour cells? Semin. Cancer Biol. 1999, 9, 27–36. [Google Scholar] [CrossRef]
- Kirszenbaum, M.; Moreau, P.; Teyssier, M.; Lafon, C.; Gluckman, E.; Dausset, J.; Carosella, E. Evidence for the presence of the alternatively spliced HLA-G mRNA forms in human mononuclear cells from peripheral blood and umbilical cord blood. Hum. Immunol. 1995, 43, 237–241. [Google Scholar] [CrossRef] [PubMed]
- Fujii, T.; Ishitani, A.; Geraghty, D.E. A soluble form of the HLA-G antigen is encoded by a messenger ribonucleic acid containing intron 4. J. Immunol. 1994, 153, 5516–5524. [Google Scholar] [CrossRef]
- Ishitani, A.; Geraghty, D.E. Alternative splicing of HLA-G transcripts yields proteins with primary structures resembling both class I and class II antigens. Proc. Natl. Acad. Sci. USA 1992, 89, 3947–3951. [Google Scholar] [CrossRef]
- HoWangYin, K.-Y.; Loustau, M.; Wu, J.; Alegre, E.; Daouya, M.; Caumartin, J.; Sousa, S.; Horuzsko, A.; Carosella, E.D.; LeMaoult, J. Multimeric structures of HLA-G isoforms function through differential binding to LILRB receptors. Cell. Mol. Life Sci. 2012, 69, 4041–4049. [Google Scholar] [CrossRef] [PubMed]
- Pfeiffer, K.A.; Rebmann, V.; Pässler, M.; van der Ven, K.; van der Ven, H.; Krebs, D.; Grosse-Wilde, H. Soluble HLA levels in early pregnancy after in vitro fertilization. Hum. Immunol. 2000, 61, 559–564. [Google Scholar] [CrossRef]
- Fuzzi, B.; Rizzo, R.; Criscuoli, L.; Noci, I.; Melchiorri, L.; Scarselli, B.; Bencini, E.; Menicucci, A.; Baricordi, O.R. HLA-G expression in early embryos is a fundamental prerequisite for the obtainment of pregnancy. Eur. J. Immunol. 2002, 32, 311–315. [Google Scholar] [CrossRef]
- Hunt, J.S.; Jadhav, L.; Chu, W.J.; Geraghty, D.E.; Ober, C. Soluble HLA-G circulates in maternal blood during pregnancy. Am. J. Obs. Gynecol. 2000, 183, 682–688. [Google Scholar] [CrossRef]
- Alegre, E.; Diaz-Lagares, A.; Lemaoult, J.; Lopez-Moratalla, N.; Carosella, E.D.; Gonzalez, A. Maternal antigen presenting cells are a source of plasmatic HLA-G during pregnancy: Longitudinal study during pregnancy. Hum. Immunol. 2007, 68, 661–667. [Google Scholar] [CrossRef]
- Shaikly, V.R.; Morrison, I.E.G.; Taranissi, M.; Noble, C.V.; Withey, A.D.; Cherry, R.J.; Blois, S.M.; Fernández, N. Analysis of HLA-G in maternal plasma, follicular fluid, and preimplantation embryos reveal an asymmetric pattern of expression. J. Immunol. 2008, 180, 4330–4337. [Google Scholar] [CrossRef]
- Rebmann, V.; Pfeiffer, K.; Päßler, M.; Ferrone, S.; Maier, S.; Weiss, E.; Grosse-Wilde, H. Detection of soluble HLA-G molecules in plasma and amniotic fluid. Tissue Antigens 1999, 53, 14–22. [Google Scholar] [CrossRef]
- Hackmon, R.; Hallak, M.; Krup, M.; Weitzman, D.; Sheiner, E.; Kaplan, B.; Weinstein, Y. HLA-G antigen and parturition: Maternal serum, fetal serum and amniotic fluid levels during pregnancy. Fetal Diagn. Ther. 2004, 19, 404–409. [Google Scholar] [CrossRef]
- Webb, B.J.; Bochan, M.R.; Montel, A.; Padilla, L.-M.; Brahmi, Z. The Lack of Nk Cytotoxicity Associated with Fresh Hucb May Be Due to the Presence of Soluble Hla in the Serum. Cell Immunol. 1994, 159, 246–261. [Google Scholar] [CrossRef]
- Beneventi, F.; Locatelli, E.; De Amici, M.; Martinetti, M.; Spinillo, A. Soluble HLA-G concentrations in obese women during pregnancy and in cord blood. J. Reprod. Immunol. 2017, 119, 7. [Google Scholar] [CrossRef]
- Cao, M.; Yie, S.M.; Liu, J.; Ye, S.R.; Xia, D.; Gao, E. Plasma soluble HLA-G is a potential biomarker for diagnosis of colorectal, gastric, esophageal and lung cancer. Tissue Antigens 2011, 78, 120–128. [Google Scholar] [CrossRef] [PubMed]
- König, L.; Kasimir-Bauer, S.; Hoffmann, O.; Bittner, A.K.; Wagner, B.; Manvailer, L.F.S.; Schramm, S.; Bankfalvi, A.; Giebel, B.; Kimmig, R.; et al. The prognostic impact of soluble and vesicular HLA-G and its relationship to circulating tumor cells in neoadjuvant treated breast cancer patients. Hum. Immunol. 2016, 77, 791–799. [Google Scholar] [CrossRef] [PubMed]
- Ellis, S.A.; Sargent, I.L.; Redman, C.W.; McMichael, A.J. Evidence for a Novel HLA Antigen Found on Human Extravillous Trophoblast and a Choriocarcinoma. Cell Line. Immunol. 1986, 59, 595–601. [Google Scholar]
- Tilburgs, T.; Evans, J.H.; Crespo, Â.C.; Strominger, J.L. The HLA-G cycle provides for both NK tolerance and immunity at the maternal-fetal interface. Proc. Natl. Acad. Sci. USA 2015, 112, 13312–13317. [Google Scholar] [CrossRef] [PubMed]
- Chumbley, G.; King, A.; Robertson, K.; Holmes, N.; Loke, Y.W. Resistance of HLA-G and HLA-A2 transfectants to lysis by decidual NK cells. Cell. Immunol. 1994, 155, 312–322. [Google Scholar] [CrossRef] [PubMed]
- Rajagopalan, S.; Long, E.O. A human histocompatibility leukocyte antigen (HLA)-G-specific receptor expressed on all natural killer cells. J. Exp. Med. 1999, 189, 1093–1100. [Google Scholar] [CrossRef]
- Pazmany, L.; Mandelboim, O.; Vales-Gomez, M.; Davis, D.M.; Reyburn, H.T.; Strominger, J.L. Protection from natural killer cell-mediated lysis by HLA-G expression on target cells. Science 1996, 274, 792–795. [Google Scholar] [CrossRef] [PubMed]
- Tilburgs, T.; Roelen, D.L.; van der Mast, B.J.; de Groot-Swings, G.M.; Kleijburg, C.; Scherjon, S.A.; Claas, F.H. Evidence for a selective migration of fetus-specific CD4+CD25bright regulatory T cells from the peripheral blood to the decidua in human pregnancy. J. Immunol. 2008, 180, 5737–5745. [Google Scholar] [CrossRef] [PubMed]
- Tilburgs, T.; Schonkeren, D.; Eikmans, M.; Nagtzaam, N.M.; Datema, G.; Swings, G.M.; Prins, F.; van Lith, J.M.; van der Mast, B.J.; Roelen, D.L.; et al. Human decidual tissue contains differentiated CD8+ effectormemory T cells with unique properties. J. Immunol. 2010, 185, 4470–4477. [Google Scholar] [CrossRef] [PubMed]
- Fu, B.; Zhou, Y.; Ni, X.; Tong, X.; Xu, X.; Dong, Z.; Sun, R.; Tian, Z.; Wei, H. Natural Killer Cells Promote Fetal Development through the Secretion of Growth-Promoting Factors. Immunity 2017, 47, 1100–1113. [Google Scholar] [CrossRef] [PubMed]
- Andreotti, J.P.; Paiva, A.E.; Prazeres, P.H.; Guerra, D.A.; Silva, W.N.; Vaz, R.S.; Mintz, A.; Birbrair, A. The role of natural killer cells in the uterine microenvironment during pregnancy. Cell Mol. Immunol. 2018, 15, 941–943. [Google Scholar] [CrossRef] [PubMed]
- Yockey, L.J.; Iwasaki, A. Interferons and Proinflammatory Cytokines in Pregnancy and Fetal Development. Immunity 2018, 49, 397–412. [Google Scholar] [CrossRef] [PubMed]
- Ballagh, S.A.; Harris, H.A.; Demasio, K. Is curettage needed for uncomplicated incomplete spontaneous abortion? AGOJ 1998, 179, 1279–1282. [Google Scholar] [CrossRef] [PubMed]
- Scroggins, K.M.; Smucker, W.D.; Krishen, A.E. Spontaneous pregnancy loss: Evaluation, management, and followup counseling. Prim. Care 2000, 27, 153–167. [Google Scholar] [CrossRef]
- Creinin, M.D.; Schwartz, J.L.; Guido, R.S.; Pymar, H.C. Early pregnancy failure-current management concepts. Obs. Gynecol. Surv. 2001, 56, 105–113. [Google Scholar] [CrossRef]
- Everett, C. Incidence and outcome of bleeding before the 20th week of pregnancy: Prospective study from general practice. BMJ 1997, 315, 32–34. [Google Scholar] [CrossRef]
- Griebel, C.P.; Halvorsen, J.; Golemon, T.B.; Day, A.A. Management of Spontaneous Abortion. Am. Fam. Physician 2005, 72, 1243–1250. [Google Scholar]
- Burton, G.J.; Jauniaux, E.; Watson, A.L. Maternal arterial connections to the placental intervillous space during the first trimester of human pregnancy: The Boyd collection revisited. Am. J. Obstet. Gynecol. 1999, 181, 718–724. [Google Scholar] [CrossRef]
- Patel, R.N.; Quack, K.C.; Hill, J.A.; Schust, D.J. Expression of membrane-bound HLA-G at the maternal–fetal interface is not associated with pregnancy maintenance among patients with idiopathic recurrent pregnancy loss. Mol. Hum. Reprod. 2003, 9, 551–557. [Google Scholar] [CrossRef] [PubMed][Green Version]
- Bhalla, A.; Stone, P.R.; Liddell, H.S.; Zanderigo, A.; Chamley, L.W. Comparison of the expression of human leukocyte antigen (HLA)-G and HLA-E in women with normal pregnancy and those with recurrent miscarriage. Reproduction 2006, 131, 583–589. [Google Scholar] [CrossRef] [PubMed]
- Khani, H.; Feizi, M.; Safaralizadeh, R.; Mohseni, J.; Haghi, M. Altered Expression of the HLA-G and IL10RB Genes in Placental Tissue of Women with Recurrent Pregnancy Loss. Clin. Lab. 2023, 69, 930–937. [Google Scholar] [CrossRef]
- Bespalova, O.; Bakleicheva, M.; Ivashchenko, T.; Tral, T.; Tolibova, G.; Kogan, I. Expression of HLA-G and KIR2DL4 receptor in chorionic villous in missed abortion. Gynecol. Endocrinol. 2020, 36, S43–S47. [Google Scholar] [CrossRef] [PubMed]
- Moreau, P.; Flajollet, S.; Carosella, E.D. Non-classical transcriptional regulation of HLA-G: An update. J. Cell Mol. Med. 2009, 13, 2973–2989. [Google Scholar] [CrossRef] [PubMed]
- Windsperger, K.; Dekan, S.; Pils, S.; Golletz, C.; Kunihs, V.; Fiala, C.; Kristiansen, G.; Knöfler, M.; Pollheimer, J. Extravillous trophoblast invasion of venous as well as lymphatic vessels is altered in idiopathic, recurrent, spontaneous abortions. Hum. Reprod. 2017, 32, 1208–1217. [Google Scholar] [CrossRef] [PubMed]
- Goldman-Wohl, D.S.; Ariel, I.; Greenfield, C.; Hanoch, J.; Yagel, S. HLA-G expression in extravillous trophoblasts is an intrinsic property of cell differentiation: A lesson learned from ectopic pregnancies. Mol. Hum. Reprod. 2000, 6, 535–540. [Google Scholar] [CrossRef]
- lexandrova, M.; Manchorova, D.; You, Y.; Terzieva, A.; Dimitrova, V.; Mor, G.; Dimova, T. Validation of the Sw71-spheroid model with primary trophoblast cells. J. Reprod. Immunol. 2023, 90, e13800. [Google Scholar] [CrossRef] [PubMed]
- Dunk, C.E.; Bucher, M.; Zhang, J.; Hayder, H.; Geraghty, D.E.; Lye, S.J.; Myatt, L.; Hackmon, R. Human leukocyte antigen HLA-C, HLA-G, HLA-F, and HLA-E placental profiles are altered in early severe preeclampsia and pre term birth with chorioamnionitis. Am. J. Obs. Gynecol. 2022, 227, 641-e1. [Google Scholar] [CrossRef] [PubMed]
- McMaster, M.T.; Librach, C.L.; Zhou, Y.; Lim, K.H.; Janatpour, M.J.; DeMars, R.; Kovats, S.; Damsky, C.; Fisher, S.J. Human placental HLA-G expression is restricted to differentiated cytotrophoblasts. J. Immunol. 1995, 154, 3771–3778. [Google Scholar] [CrossRef] [PubMed]
- Papuchova, H.; Kshirsagar, S.; Xu, L.; Bougleux Gomes, H.A.; Li, Q.; Iyer, V.; Norwitz, E.R.; Strominger, J.L.; Tilburgs, T. Three types of HLA-G+ extravillous trophoblasts that have distinct immune regulatory properties. Proc. Natl. Acad. Sci. USA 2020, 117, 15772–15777. [Google Scholar] [CrossRef]
- Craenmehr, M.H.; Nederlof, I.; Cao, M.; Drabbels, J.J.; Spruyt-Gerritse, M.J.; Anholts, J.D.; Kapsenberg, H.M.; Stegehuis, J.A.; van der Keur, C.; Fasse, E.; et al. Increased HLA-G Expression in Term Placenta of Women with a History of Recurrent Miscarriage Despite Their Genetic Predisposition to Decreased HLA-G Levels. Int. J. Mol. Sci. 2019, 20, 625. [Google Scholar] [CrossRef]
- Stout, M.J.; Cao, B.; Landeau, M.; French, J.; Macones, G.A.; Mysorekar, I.U. Increased human leukocyte antigen-G expression at the maternal-fetal interface is associated with preterm birth. The journal of maternal-fetal & neonatal medicine. J. Matern. Fetal Neonatal Med. 2015, 28, 454–459. [Google Scholar]
- Blaschitz, A.; Hutter, H.; Dohr, G.H.L.A. HLA Class I protein expression in the human placenta. Early Pregnancy 2001, 5, 67–69. [Google Scholar]
- Blanco, O.; Tirado, I.; Munoz-Fernández, R.; Abadía-Molina, A.C.; García-Pacheco, J.M.; Pena, J.; Olivares, E.G. Human decidual stromal cells express HLA-G Effects of cytokines and decidualization. Hum. Reprod. 2008, 23, 144–152. [Google Scholar] [CrossRef] [PubMed]
- Le Bouteiller, P.; Lenfant, F. Antigen-presenting function(s) of the non-classical HLA-E, -F and -G class I molecules: The beginning of a story. Res. Immunol. 1996, 147, 301–313. [Google Scholar] [CrossRef] [PubMed]
- Le Bouteiller, P.; Solier, C.; Pröll, J.; Aguerre-Girr, M.; Fournel, S.; Lenfant, F. Mini symposium. The major histocompatibility complex in pregnancy: Part II. Placental HLA-G protein expression in vivo: Where and what for? Hum. Reprod. Update 1999, 5, 223–233. [Google Scholar] [CrossRef] [PubMed]
- Fournel, S.; Huc, X.; Aguerre-Girr, M.; Solier, C.; Legros, M.; Praud-Brethenou, C.; Moussa, M.; Chaouat, G.; Berrebi, A.; Bensussan, A.; et al. Comparative reactivity of different HLA-G monoclonal antibodies to soluble HLA-G molecules. Tissue Antigens 2000, 55, 510–518. [Google Scholar] [CrossRef]
- Hamai, Y.; Fujii, T.; Miki, A.; Geraghty, D.E.; Harada, I.; Takai, Y.; Kozuma, S.; Tsutsumi, O.; Taketani, Y. Quantitative assessment of human leukocyte antigen-G protein in amniotic fluid by a double-determinant enzyme-linked immunosorbent assay using anti-human leukocyte antigen-G-specific antibody ‘87G’. Am. J. Reprod. Immunol. 1999, 41, 293–295. [Google Scholar] [CrossRef] [PubMed]
- Steinborn, A.; Varkonyi, T.; Scharf, A.; Bahlmann, F.; Klee, A.; Sohn, C. Early detection of decreased soluble HLA-G levels in the maternal circulation predicts the occurrence of preeclampsia and intrauterine growth retardation during further course of pregnancy. Am. J. Reprod. Immunol. 2007, 57, 277–286. [Google Scholar] [CrossRef]
- Keskin, F.; Karatas, A.; Albayrak, M.; Erkan, M.; Demirin, H.; Dilbaz, S.; Bıyık, I. Maternal Serum Soluble HLA-G Levels in Missed Abortions. Medicina 2013, 49, 68. [Google Scholar] [CrossRef]
- Yang, F.; Zheng, Q.; Jin, L. Dynamic Function and Composition Changes of Immune Cells During Normal and Pathological Pregnancy at the Maternal-Fetal Interface. Front. Immunol. 2019, 10, 2317. [Google Scholar] [CrossRef] [PubMed]
- Keller, C.C.; Eikmans, M.; van der Hoorn, M.L.P.; Lashley, L.E. Recurrent miscarriages and the association with regulatory T cells; a systematic review. J. Reprod. Immunol. 2020, 139, 103105. [Google Scholar] [CrossRef]
- Li, D.; Zheng, L.; Zhao, D.; Xu, Y.; Wang, Y. The Role of Immune Cells in Recurrent Spontaneous Abortion. Reprod. Sci. 2021, 28, 3303–3315. [Google Scholar] [CrossRef]
- Mincheva-Nilsson, L.; Hammarström, S.; Hammarström, M.L. Human decidual leukocytes from early pregnancy contain high numbers of gamma delta+ cells and show selective down-regulation of alloreactivity. J. Immunol. 1992, 149, 2203–2211. [Google Scholar] [CrossRef] [PubMed]
- Terzieva, A.; Dimitrova, V.; Djerov, L.; Dimitrova, P.; Zapryanova, S.; Hristova, I.; Vangelov, I.; Dimova, T. Early pregnancy human decidua is enriched with activated, fully differentiated and pro-inflammatory gamma/delta t cells with divers tcr repertoires. Int. J. Mol. Sci. 2019, 20, 687. [Google Scholar] [CrossRef]
- Nakashima, A.; Shima, T.; Inada, K.; Ito, M.; Saito, S. The balance of the immune system between T cells and NK cells in miscarriage. Am. J. Reprod. Immunol. 2012, 67, 304–310. [Google Scholar] [CrossRef]
- Yamada, H.; Shimada, S.; Morikawa, M.; Iwabuchi, K.; Kishi, R.; Onoé, K.; Minakami, H. Divergence of natural killer cell receptor and related molecule in the decidua from sporadic miscarriage with normal chromosome karyotype. Mol. Hum. Reprod. 2005, 11, 451–457. [Google Scholar] [CrossRef][Green Version]
- Holtmeier, W.; Kabelitz, D. Gammadelta t cells link innate and adaptive immune responses. Chem. Immunol. Allergy 2005, 86, 151–183. [Google Scholar] [PubMed]
- Hayday, A.C.; Spencer, J. Barrier immunity. Semin. Immunol. 2009, 21, 99–100. [Google Scholar] [CrossRef] [PubMed]
- Wang, L.; Kamath, A.; Das, H.; Li, L.; Bukowski, J.F. Antibacterial effect of human v gamma 2v delta 2 t cells in vivo. J. Clin. Invest. 2001, 108, 1349–1357. [Google Scholar] [CrossRef] [PubMed]
- Yu, L.; Zhang, Y.; Xiong, J.; Liu, J.; Zha, Y.; Kang, Q.; Zhi, P.; Wang, Q.; Wang, H.; Zeng, W.; et al. Activated gdt cells with higher cd107 expression and inflammatory potential during early pregnancy in patients with recurrent spontenious abortion. Front. Immunol. 2021, 12, 724662. [Google Scholar] [CrossRef]
- Huang, C.; Zhang, Y.; Xiang, Z.; Li, Y.; Lin, R.; Xu, J.; Tu, W.; Zeng, Y. Granzyme B-expressing γδ-T and NK cells as a predictor of clinical pregnancy failure in patients with unexplained repeated implantation failure. J. Reprod. Immunol. 2021, 144, 103269. [Google Scholar] [CrossRef]
- Manchorova, D.; Papadopoulou, M.; Alexandrova, M.; Dimitrova, V.; Djerov, L.; Zapryanova, S.; Dimitrova, P.; Vangelov, I.; Vermijlen, D.; Dimova, T. Human decidual gamma/delta T cells possess unique effector and TCR repertoire profiles during pregnancy. Cell. Immunol. 2022, 382, 104634. [Google Scholar] [CrossRef]
- Prager, S.; Dalton, V.K.; Allen, R.H. Committee on Practice Bulletins—Gynecology; Bulletin No. 200; American College of Obstetricians and Gynecologists: Washington, DC, USA, 2018; Available online: https://www.acog.org/clinical/clinical-guidance/practice-bulletin/articles/2018/11/early-pregnancy-loss (accessed on 1 January 2020).




Disclaimer/Publisher’s Note: The statements, opinions and data contained in all publications are solely those of the individual author(s) and contributor(s) and not of MDPI and/or the editor(s). MDPI and/or the editor(s) disclaim responsibility for any injury to people or property resulting from any ideas, methods, instructions or products referred to in the content. |
© 2024 by the authors. Licensee MDPI, Basel, Switzerland. This article is an open access article distributed under the terms and conditions of the Creative Commons Attribution (CC BY) license (https://creativecommons.org/licenses/by/4.0/).
Share and Cite
Terzieva, A.; Alexandrova, M.; Manchorova, D.; Slavov, S.; Djerov, L.; Dimova, T. HLA-G Expression/Secretion and T-Cell Cytotoxicity in Missed Abortion in Comparison to Normal Pregnancy. Int. J. Mol. Sci. 2024, 25, 2643. https://doi.org/10.3390/ijms25052643
Terzieva A, Alexandrova M, Manchorova D, Slavov S, Djerov L, Dimova T. HLA-G Expression/Secretion and T-Cell Cytotoxicity in Missed Abortion in Comparison to Normal Pregnancy. International Journal of Molecular Sciences. 2024; 25(5):2643. https://doi.org/10.3390/ijms25052643
Chicago/Turabian StyleTerzieva, Antonia, Marina Alexandrova, Diana Manchorova, Sergei Slavov, Lyubomir Djerov, and Tanya Dimova. 2024. "HLA-G Expression/Secretion and T-Cell Cytotoxicity in Missed Abortion in Comparison to Normal Pregnancy" International Journal of Molecular Sciences 25, no. 5: 2643. https://doi.org/10.3390/ijms25052643
APA StyleTerzieva, A., Alexandrova, M., Manchorova, D., Slavov, S., Djerov, L., & Dimova, T. (2024). HLA-G Expression/Secretion and T-Cell Cytotoxicity in Missed Abortion in Comparison to Normal Pregnancy. International Journal of Molecular Sciences, 25(5), 2643. https://doi.org/10.3390/ijms25052643

