Simultaneous Expression of CD70 and POSTN in Cancer-Associated Fibroblasts Predicts Worse Survival of Colorectal Cancer Patients
Abstract
1. Introduction
2. Results
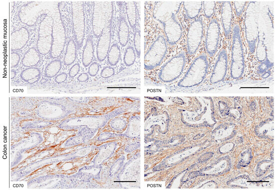
2.1. Expression of CD70 and POSTN in Non-Neoplastic Colonic Mucosa and CRC
2.2. Characteristics of CRC Classified According to CAF CD70 and POSTN Expression
2.3. Association of CAF CD70 and POSTN Expression with Cellular Proliferation Marker Expression, p53 Immunoreactivity, and KRAS/BRAF Mutations in CRC Cells
2.4. Association of CAF CD70 and POSTN Expression with Immune Cell and Stromal Marker Expression
2.5. Survival Analyses of Patients with CRC
2.6. CD70 and POSTN Induced Activated Phenotypes in Colonic Fibroblasts
2.7. Colonic Fibroblasts Expressing CD70 and POSTN Enhanced the Migration and Invasion of Co-Cultured CRC Cells
3. Discussion
4. Materials and Methods
4.1. Tissue Samples
4.2. Immunohistochemistry
4.3. Fluorescent Immunohistochemistry
4.4. Statistical Analyses
4.5. Gene Mutation Analyses
4.6. Cells, Plasmids, and Reagents
4.7. Cellular Proliferation and Co-Culture Migration and Invasion Assays
4.8. Immunoblot Analyses
Supplementary Materials
Author Contributions
Funding
Institutional Review Board Statement
Informed Consent Statement
Data Availability Statement
Acknowledgments
Conflicts of Interest
References
- Ferlay, J.; Soerjomataram, I.; Dikshit, R.; Eser, S.; Mathers, C.; Rebelo, M.; Parkin, D.M.; Forman, D.; Bray, F. Cancer incidence and mortality worldwide: Sources, methods and major patterns in GLOBOCAN 2012. Int. J. Cancer 2015, 136, E359–E386. [Google Scholar] [CrossRef]
- Kalluri, R. The biology and function of fibroblasts in cancer. Nat. Rev. Cancer 2016, 16, 582–598. [Google Scholar] [CrossRef]
- Mukaida, N.; Sasaki, S. Fibroblasts, an inconspicuous but essential player in colon cancer development and progression. World J. Gastroenterol. 2016, 22, 5301–5316. [Google Scholar] [CrossRef]
- Bodmer, J.L.; Schneider, P.; Tschopp, J. The molecular architecture of the TNF superfamily. Trends Biochem. Sci. 2002, 27, 19–26. [Google Scholar] [CrossRef]
- Locksley, R.M.; Killeen, N.; Lenardo, M.J. The TNF and TNF receptor superfamilies: Integrating mammalian biology. Cell 2001, 104, 487–501. [Google Scholar] [CrossRef]
- Nolte, M.A.; van Olffen, R.W.; van Gisbergen, K.P.; van Lier, R.A. Timing and tuning of CD27-CD70 interactions: The impact of signal strength in setting the balance between adaptive responses and immunopathology. Immunol. Rev. 2009, 229, 216–231. [Google Scholar] [CrossRef]
- Jacobs, J.; Deschoolmeester, V.; Zwaenepoel, K.; Rolfo, C.; Silence, K.; Rottey, S.; Lardon, F.; Smits, E.; Pauwels, P. CD70: An emerging target in cancer immunotherapy. Pharmacol. Ther. 2015, 155, 1–10. [Google Scholar] [CrossRef]
- Duggleby, R.C.; Shaw, T.N.; Jarvis, L.B.; Kaur, G.; Gaston, J.S. CD27 expression discriminates between regulatory and non-regulatory cells after expansion of human peripheral blood CD4+ CD25+ cells. Immunology 2007, 121, 129–139. [Google Scholar] [CrossRef]
- Yang, Z.Z.; Novak, A.J.; Ziesmer, S.C.; Witzig, T.E.; Ansell, S.M. CD70+ non-Hodgkin lymphoma B cells induce Foxp3 expression and regulatory function in intratumoral CD4+CD25 T cells. Blood 2007, 110, 2537–2544. [Google Scholar] [CrossRef]
- Wischhusen, J.; Jung, G.; Radovanovic, I.; Beier, C.; Steinbach, J.P.; Rimner, A.; Huang, H.; Schulz, J.B.; Ohgaki, H.; Aguzzi, A.; et al. Identification of CD70-mediated apoptosis of immune effector cells as a novel immune escape pathway of human glioblastoma. Cancer Res. 2002, 62, 2592–2599. [Google Scholar]
- Lens, S.M.; Drillenburg, P.; den Drijver, B.F.; van Schijndel, G.; Pals, S.T.; van Lier, R.A.; van Oers, M.H. Aberrant expression and reverse signalling of CD70 on malignant B cells. Br. J. Haematol. 1999, 106, 491–503. [Google Scholar] [CrossRef] [PubMed]
- Schurch, C.; Riether, C.; Matter, M.S.; Tzankov, A.; Ochsenbein, A.F. CD27 signaling on chronic myelogenous leukemia stem cells activates Wnt target genes and promotes disease progression. J. Clin. Investig. 2012, 122, 624–638. [Google Scholar] [CrossRef] [PubMed]
- Law, C.L.; Gordon, K.A.; Toki, B.E.; Yamane, A.K.; Hering, M.A.; Cerveny, C.G.; Petroziello, J.M.; Ryan, M.C.; Smith, L.; Simon, R.; et al. Lymphocyte activation antigen CD70 expressed by renal cell carcinoma is a potential therapeutic target for anti-CD70 antibody-drug conjugates. Cancer Res. 2006, 66, 2328–2337. [Google Scholar] [CrossRef] [PubMed]
- Riether, C.; Schurch, C.M.; Buhrer, E.D.; Hinterbrandner, M.; Huguenin, A.L.; Hoepner, S.; Zlobec, I.; Pabst, T.; Radpour, R.; Ochsenbein, A.F. CD70/CD27 signaling promotes blast stemness and is a viable therapeutic target in acute myeloid leukemia. J. Exp. Med. 2017, 214, 359–380. [Google Scholar] [CrossRef]
- Inaguma, S.; Lasota, J.; Czapiewski, P.; Langfort, R.; Rys, J.; Szpor, J.; Waloszczyk, P.; Okon, K.; Biernat, W.; Schrump, D.S.; et al. CD70 expression correlates with a worse prognosis in malignant pleural mesothelioma patients via immune evasion and enhanced invasiveness. J. Pathol. 2020, 250, 205–216. [Google Scholar] [CrossRef] [PubMed]
- Takeshita, S.; Kikuno, R.; Tezuka, K.; Amann, E. Osteoblast-specific factor 2: Cloning of a putative bone adhesion protein with homology with the insect protein fasciclin I. Biochem. J. 1993, 294 Pt 1, 271–278. [Google Scholar] [CrossRef] [PubMed]
- Rios, H.; Koushik, S.V.; Wang, H.; Wang, J.; Zhou, H.M.; Lindsley, A.; Rogers, R.; Chen, Z.; Maeda, M.; Kruzynska-Frejtag, A.; et al. periostin null mice exhibit dwarfism, incisor enamel defects, and an early-onset periodontal disease-like phenotype. Mol. Cell. Biol. 2005, 25, 11131–11144. [Google Scholar] [CrossRef]
- Walker, J.T.; McLeod, K.; Kim, S.; Conway, S.J.; Hamilton, D.W. Periostin as a multifunctional modulator of the wound healing response. Cell Tissue Res. 2016, 365, 453–465. [Google Scholar] [CrossRef]
- Ma, H.; Wang, J.; Zhao, X.; Wu, T.; Huang, Z.; Chen, D.; Liu, Y.; Ouyang, G. Periostin Promotes Colorectal Tumorigenesis through Integrin-FAK-Src Pathway-Mediated YAP/TAZ Activation. Cell Rep. 2020, 30, 793–806.e796. [Google Scholar] [CrossRef]
- Oh, H.J.; Bae, J.M.; Wen, X.Y.; Cho, N.Y.; Kim, J.H.; Kang, G.H. Overexpression of POSTN in Tumor Stroma Is a Poor Prognostic Indicator of Colorectal Cancer. J. Pathol. Transl. Med. 2017, 51, 306–313. [Google Scholar] [CrossRef]
- Dorafshan, S.; Razmi, M.; Safaei, S.; Gentilin, E.; Madjd, Z.; Ghods, R. Periostin: Biology and function in cancer. Cancer Cell Int. 2022, 22, 315. [Google Scholar] [CrossRef] [PubMed]
- Xu, X.; Chang, W.; Yuan, J.; Han, X.; Tan, X.; Ding, Y.; Luo, Y.; Cai, H.; Liu, Y.; Gao, X.; et al. Periostin expression in intra-tumoral stromal cells is prognostic and predictive for colorectal carcinoma via creating a cancer-supportive niche. Oncotarget 2016, 7, 798–813. [Google Scholar] [CrossRef] [PubMed]
- Ueki, A.; Komura, M.; Koshino, A.; Wang, C.; Nagao, K.; Homochi, M.; Tsukada, Y.; Ebi, M.; Ogasawara, N.; Tsuzuki, T.; et al. Stromal POSTN Enhances Motility of Both Cancer and Stromal Cells and Predicts Poor Survival in Colorectal Cancer. Cancers 2023, 15, 606. [Google Scholar] [CrossRef] [PubMed]
- Li, Z.; Zhang, X.; Yang, Y.; Yang, S.; Dong, Z.; Du, L.; Wang, L.; Wang, C. Periostin expression and its prognostic value for colorectal cancer. Int. J. Mol. Sci. 2015, 16, 12108–12118. [Google Scholar] [CrossRef] [PubMed]
- Baril, P.; Gangeswaran, R.; Mahon, P.C.; Caulee, K.; Kocher, H.M.; Harada, T.; Zhu, M.; Kalthoff, H.; Crnogorac-Jurcevic, T.; Lemoine, N.R. Periostin promotes invasiveness and resistance of pancreatic cancer cells to hypoxia-induced cell death: Role of the beta4 integrin and the PI3k pathway. Oncogene 2007, 26, 2082–2094. [Google Scholar] [CrossRef]
- Li, S.; Lu, R.; Shu, L.; Chen, Y.; Zhao, J.; Dai, J.; Huang, Q.; Li, X.; Meng, W.; Long, F.; et al. An integrated map of fibroblastic populations in human colon mucosa and cancer tissues. Commun. Biol. 2022, 5, 1326. [Google Scholar] [CrossRef] [PubMed]
- Raz, Y.; Cohen, N.; Shani, O.; Bell, R.E.; Novitskiy, S.V.; Abramovitz, L.; Levy, C.; Milyavsky, M.; Leider-Trejo, L.; Moses, H.L.; et al. Bone marrow-derived fibroblasts are a functionally distinct stromal cell population in breast cancer. J. Exp. Med. 2018, 215, 3075–3093. [Google Scholar] [CrossRef]
- Bochet, L.; Lehuede, C.; Dauvillier, S.; Wang, Y.Y.; Dirat, B.; Laurent, V.; Dray, C.; Guiet, R.; Maridonneau-Parini, I.; Le Gonidec, S.; et al. Adipocyte-derived fibroblasts promote tumor progression and contribute to the desmoplastic reaction in breast cancer. Cancer Res. 2013, 73, 5657–5668. [Google Scholar] [CrossRef]
- Arina, A.; Idel, C.; Hyjek, E.M.; Alegre, M.L.; Wang, Y.; Bindokas, V.P.; Weichselbaum, R.R.; Schreiber, H. Tumor-associated fibroblasts predominantly come from local and not circulating precursors. Proc. Natl. Acad. Sci. USA 2016, 113, 7551–7556. [Google Scholar] [CrossRef]
- Sahai, E.; Astsaturov, I.; Cukierman, E.; DeNardo, D.G.; Egeblad, M.; Evans, R.M.; Fearon, D.; Greten, F.R.; Hingorani, S.R.; Hunter, T.; et al. A framework for advancing our understanding of cancer-associated fibroblasts. Nat. Rev. Cancer 2020, 20, 174–186. [Google Scholar] [CrossRef]
- Asif, P.J.; Longobardi, C.; Hahne, M.; Medema, J.P. The Role of Cancer-Associated Fibroblasts in Cancer Invasion and Metastasis. Cancers 2021, 13, 4720. [Google Scholar] [CrossRef] [PubMed]
- Simon, T.; Salhia, B. Cancer-Associated Fibroblast Subpopulations With Diverse and Dynamic Roles in the Tumor Microenvironment. Mol. Cancer Res. 2022, 20, 183–192. [Google Scholar] [CrossRef] [PubMed]
- Li, H.; Courtois, E.T.; Sengupta, D.; Tan, Y.; Chen, K.H.; Goh, J.J.L.; Kong, S.L.; Chua, C.; Hon, L.K.; Tan, W.S.; et al. Reference component analysis of single-cell transcriptomes elucidates cellular heterogeneity in human colorectal tumors. Nat. Genet. 2017, 49, 708–718. [Google Scholar] [CrossRef] [PubMed]
- Inoue, S.; Ito, H.; Tsunoda, T.; Murakami, H.; Ebi, M.; Ogasawara, N.; Kasugai, K.; Kasai, K.; Ikeda, H.; Inaguma, S. CD70 expression in tumor-associated fibroblasts predicts worse survival in colorectal cancer patients. Virchows Arch. Int. J. Pathol. 2019, 475, 425–434. [Google Scholar] [CrossRef] [PubMed]
- Koshino, A.; Inoue, S.; Sugimura-Nagata, A.; Nishiyama, T.; Murakami, H.; Ito, H.; Riku, M.; Inoko, A.; Ebi, M.; Ogasawara, N.; et al. High phospho-histone H3 expression uniquely predicts favorable survival among four markers of cellular proliferation in colorectal cancer. Pathol. Int. 2021, 71, 316–324. [Google Scholar] [CrossRef]
- Han, C.; Liu, T.; Yin, R. Biomarkers for cancer-associated fibroblasts. Biomark. Res. 2020, 8, 64. [Google Scholar] [CrossRef]
- Attieh, Y.; Clark, A.G.; Grass, C.; Richon, S.; Pocard, M.; Mariani, P.; Elkhatib, N.; Betz, T.; Gurchenkov, B.; Vignjevic, D.M. Cancer-associated fibroblasts lead tumor invasion through integrin-beta3-dependent fibronectin assembly. J. Cell Biol. 2017, 216, 3509–3520. [Google Scholar] [CrossRef] [PubMed]
- Erdogan, B.; Webb, D.J. Cancer-associated fibroblasts modulate growth factor signaling and extracellular matrix remodeling to regulate tumor metastasis. Biochem. Soc. Trans. 2017, 45, 229–236. [Google Scholar] [CrossRef]
- Shin, N.; Son, G.M.; Shin, D.H.; Kwon, M.S.; Park, B.S.; Kim, H.S.; Ryu, D.; Kang, C.D. Cancer-Associated Fibroblasts and Desmoplastic Reactions Related to Cancer Invasiveness in Patients With Colorectal Cancer. Ann. Coloproctol. 2019, 35, 36–46. [Google Scholar] [CrossRef]
- Heichler, C.; Scheibe, K.; Schmied, A.; Geppert, C.I.; Schmid, B.; Wirtz, S.; Thoma, O.M.; Kramer, V.; Waldner, M.J.; Buttner, C.; et al. STAT3 activation through IL-6/IL-11 in cancer-associated fibroblasts promotes colorectal tumour development and correlates with poor prognosis. Gut 2020, 69, 1269–1282. [Google Scholar] [CrossRef]
- Levy, D.E.; Lee, C.K. What does Stat3 do? J. Clin. Investig. 2002, 109, 1143–1148. [Google Scholar] [CrossRef]
- Tesoriere, A.; Dinarello, A.; Argenton, F. The Roles of Post-Translational Modifications in STAT3 Biological Activities and Functions. Biomedicines 2021, 9, 956. [Google Scholar] [CrossRef]
- Chakraborty, D.; Sumova, B.; Mallano, T.; Chen, C.W.; Distler, A.; Bergmann, C.; Ludolph, I.; Horch, R.E.; Gelse, K.; Ramming, A.; et al. Activation of STAT3 integrates common profibrotic pathways to promote fibroblast activation and tissue fibrosis. Nat. Commun. 2017, 8, 1130. [Google Scholar] [CrossRef]
- Bruni, D.; Angell, H.K.; Galon, J. The immune contexture and Immunoscore in cancer prognosis and therapeutic efficacy. Nat. Rev. Cancer 2020, 20, 662–680. [Google Scholar] [CrossRef]
- Brierley, J.; Gospodarowicz, M.K.; Wittekind, C. TNM Classification of Malignant Tumours, 8th ed.; John Wiley & Sons, Inc.: Chichester, UK; Hoboken, NJ, USA, 2017. [Google Scholar]
- Kobel, M.; Ronnett, B.M.; Singh, N.; Soslow, R.A.; Gilks, C.B.; McCluggage, W.G. Interpretation of P53 Immunohistochemistry in Endometrial Carcinomas: Toward Increased Reproducibility. Int. J. Gynecol. Pathol. 2019, 38 (Suppl. S1), S123–S131. [Google Scholar] [CrossRef]
- Kanda, Y. Investigation of the freely available easy-to-use software ‘EZR’ for medical statistics. Bone Marrow Transplant. 2013, 48, 452–458. [Google Scholar] [CrossRef] [PubMed]
- Inaguma, S.; Kasai, K.; Ikeda, H. GLI1 facilitates the migration and invasion of pancreatic cancer cells through MUC5AC-mediated attenuation of E-cadherin. Oncogene 2011, 30, 714–723. [Google Scholar] [CrossRef] [PubMed]
- Inaguma, S.; Riku, M.; Hashimoto, M.; Murakami, H.; Saga, S.; Ikeda, H.; Kasai, K. GLI1 interferes with the DNA mismatch repair system in pancreatic cancer through BHLHE41-mediated suppression of MLH1. Cancer Res. 2013, 73, 7313–7323. [Google Scholar] [CrossRef] [PubMed]







| Total No. | Characteristics of CRC CAFs | p-Value | ||||||||||
|---|---|---|---|---|---|---|---|---|---|---|---|---|
| CD70+/POSTN+ | CD70+/POSTN− | CD70−/POSTN+ | CD70−/POSTN− | |||||||||
| 269 | (100%) | 21 | (8%) | 19 | (7%) | 98 | (36%) | 131 | (49%) | |||
| Sex | 0.88 | a | ||||||||||
| Male | 143 | (53%) | 10 | (48%) | 9 | (47%) | 52 | (53%) | 72 | (55%) | ||
| Female | 126 | (47%) | 11 | (52%) | 10 | (53%) | 46 | (47%) | 59 | (45%) | ||
| Age, years (mean ± S.D.) | 59.2 ± 11.9 | 64.8 ± 16.6 | 67.6 ± 11.3 | 70.4 ± 11.4 | 68.0 ± 12.9 | 0.23 | b | |||||
| Size, cm (mean ± S.D.) | 5.0 ± 2.6 | 5.3 ± 2.7 | 5.0 ± 2.7 | 5.2 ± 2.4 | 4.8 ± 2.7 | 0.63 | b | |||||
| Tumor location | 0.33 | a | ||||||||||
| Right-sided colon | 124 | (46%) | 12 | (57%) | 8 | (42%) | 44 | (45%) | 60 | (46%) | ||
| Left-sided colon | 86 | (32%) | 3 | (14%) | 9 | (47%) | 29 | (30%) | 45 | (34%) | ||
| Rectum | 59 | (22%) | 6 | (29%) | 2 | (11%) | 25 | (26%) | 26 | (20%) | ||
| pT stage | 0.032 | a | ||||||||||
| T2 | 36 | (13%) | 0 | (0%) | 1 | (5%) | 8 | (8%) | 27 | (21%) | ||
| T3 | 189 | (70%) | 18 | (86%) | 15 | (79%) | 70 | (71%) | 86 | (66%) | ||
| T4 | 44 | (16%) | 3 | (14%) | 3 | (16%) | 20 | (20%) | 18 | (14%) | ||
| Histological differentiation | 0.45 | a | ||||||||||
| Well to moderately | 242 | (90%) | 19 | (90%) | 19 | (100%) | 86 | (88%) | 118 | (90%) | ||
| Poorly | 27 | (10%) | 2 | (10%) | 0 | (0%) | 12 | (12%) | 13 | (10%) | ||
| Mucus production | 0.26 | a | ||||||||||
| Positive | 14 | (5%) | 0 | (0%) | 0 | (0%) | 8 | (8%) | 6 | (5%) | ||
| Negative | 255 | (95%) | 21 | (100%) | 19 | (100%) | 90 | (92%) | 125 | (95%) | ||
| Lymph node metastasis | 0.30 | a | ||||||||||
| Positive | 124 | (49%) | 13 | (68%) | 7 | (39%) | 46 | (49%) | 58 | (48%) | ||
| Negative | 129 | (51%) | 6 | (32%) | 11 | (61%) | 48 | (51%) | 64 | (52%) | ||
| Peritoneal metastasis | 0.0059 | a | ||||||||||
| Positive | 50 | (19%) | 7 | (33%) | 0 | (0%) | 25 | (26%) | 18 | (14%) | ||
| Negative | 219 | (81%) | 14 | (67%) | 19 | (100%) | 73 | (74%) | 113 | (86%) | ||
| Distant organ metastasis | 0.0020 | a | ||||||||||
| Positive | 50 | (19%) | 7 | (33%) | 0 | (0%) | 23 | (23%) | 14 | (11%) | ||
| Negative | 219 | (81%) | 14 | (67%) | 19 | (100%) | 75 | (77%) | 117 | (89%) | ||
| Operation status | 0.0011 † | a | ||||||||||
| Complete resection | 237 | (88%) | 13 | (62%) | 18 | (95%) | 86 | (88%) | 120 | (92%) | ||
| Incomplete resection | 32 | (12%) | 8 | (38%) | 1 | (5%) | 12 | (12%) | 11 | (8%) | ||
| MMR system status | 0.25 | a | ||||||||||
| Deficient | 31 | (12%) | 1 | (5%) | 0 | (0%) | 12 | (12%) | 18 | (14%) | ||
| Proficient | 238 | (88%) | 20 | (95%) | 19 | (100%) | 86 | (88%) | 113 | (86%) | ||
| Total No. | Characteristics of CAFs | p-Value | |||||||||
|---|---|---|---|---|---|---|---|---|---|---|---|
| CD70+/POSTN+ | CD70+/POSTN− | CD70−/POSTN+ | CD70−/POSTN− | ||||||||
| 269 | (100%) | 21 | (8%) | 19 | (7%) | 98 | (36%) | 131 | (49%) | ||
| CD4+ TILs (/HPF) | 11 (4–24) | 12 (9–18) | 10 (3.5–27) | 13 (6–26.5) | 8 (4–19.5) | 0.15 | |||||
| CD8+ TILs (/HPF) | 12 (4–24) | 8 (3–13) | 10 (3.5–17) | 9 (3–21) | 15 (5.5–33) | 0.0063 | |||||
| CD27+ TILs (/HPF) | 32 (12–82) | 21 (5–45) | 35 (12.5–83) | 27 (7.25–61.5) | 36 (17.5–103.5) | 0.21 | |||||
| PD-1+ TILs (/HPF) | 28.5 (15.0–52.3) | 27.0 (14.0–47.0) | 17.0 (14.5–35.5) | 27.0 (13.3–50.0) | 32.5 (19.0–56.3) | 0.35 | |||||
| FOXP3+ TILs (/HPF) | 38 (21–66) | 35 (21–54) | 39 (21–65) | 34 (16–54) | 42 (26–74) | 0.13 | |||||
| CD68+ TAMs (pixels) | 1794 (1076–3002) | 2843 (2411–3356) | 2138 (1711–3567) | 2037 (1191.5–3836.75) | 1493 (869–2399) | <0.0001 | |||||
| CD163+ TAMs (pixels) | 944 (372–2043) | 1126 (833–2395) | 940 (389–1842.5) | 981 (312–2568.75) | 875 (352.5–1732) | 0.23 | |||||
| Hazard Ratio | 95% CI | p-Value | ||
|---|---|---|---|---|
| Min | Max | |||
| Well to moderately differentiated histology | 0.25 | 0.13 | 0.47 | <0.0001 |
| Age (<70) | 0.50 | 0.29 | 0.86 | 0.012 |
| Lymph node metastasis | 1.98 | 1.14 | 3.45 | 0.015 |
| CD70+/POSTN+ in CAFs | 3.78 | 1.83 | 7.83 | 0.00035 |
| Peritoneal metastasis | 5.45 | 3.05 | 9.73 | <0.0001 |
Disclaimer/Publisher’s Note: The statements, opinions and data contained in all publications are solely those of the individual author(s) and contributor(s) and not of MDPI and/or the editor(s). MDPI and/or the editor(s) disclaim responsibility for any injury to people or property resulting from any ideas, methods, instructions or products referred to in the content. |
© 2024 by the authors. Licensee MDPI, Basel, Switzerland. This article is an open access article distributed under the terms and conditions of the Creative Commons Attribution (CC BY) license (https://creativecommons.org/licenses/by/4.0/).
Share and Cite
Komura, M.; Wang, C.; Ito, S.; Kato, S.; Ueki, A.; Ebi, M.; Ogasawara, N.; Tsuzuki, T.; Kasai, K.; Kasugai, K.; et al. Simultaneous Expression of CD70 and POSTN in Cancer-Associated Fibroblasts Predicts Worse Survival of Colorectal Cancer Patients. Int. J. Mol. Sci. 2024, 25, 2537. https://doi.org/10.3390/ijms25052537
Komura M, Wang C, Ito S, Kato S, Ueki A, Ebi M, Ogasawara N, Tsuzuki T, Kasai K, Kasugai K, et al. Simultaneous Expression of CD70 and POSTN in Cancer-Associated Fibroblasts Predicts Worse Survival of Colorectal Cancer Patients. International Journal of Molecular Sciences. 2024; 25(5):2537. https://doi.org/10.3390/ijms25052537
Chicago/Turabian StyleKomura, Masayuki, Chengbo Wang, Sunao Ito, Shunsuke Kato, Akane Ueki, Masahide Ebi, Naotaka Ogasawara, Toyonori Tsuzuki, Kenji Kasai, Kunio Kasugai, and et al. 2024. "Simultaneous Expression of CD70 and POSTN in Cancer-Associated Fibroblasts Predicts Worse Survival of Colorectal Cancer Patients" International Journal of Molecular Sciences 25, no. 5: 2537. https://doi.org/10.3390/ijms25052537
APA StyleKomura, M., Wang, C., Ito, S., Kato, S., Ueki, A., Ebi, M., Ogasawara, N., Tsuzuki, T., Kasai, K., Kasugai, K., Takiguchi, S., Takahashi, S., & Inaguma, S. (2024). Simultaneous Expression of CD70 and POSTN in Cancer-Associated Fibroblasts Predicts Worse Survival of Colorectal Cancer Patients. International Journal of Molecular Sciences, 25(5), 2537. https://doi.org/10.3390/ijms25052537

