Identification of Hit Compounds Using Artificial Intelligence for the Management of Allergic Diseases
Abstract
1. Introduction
2. Results
2.1. Hit Compounds Screened by AI
2.2. Hit Compounds Inhibited SOCS3, Restoring JAK2 Activity without Harming Cell Viability
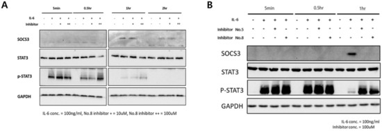
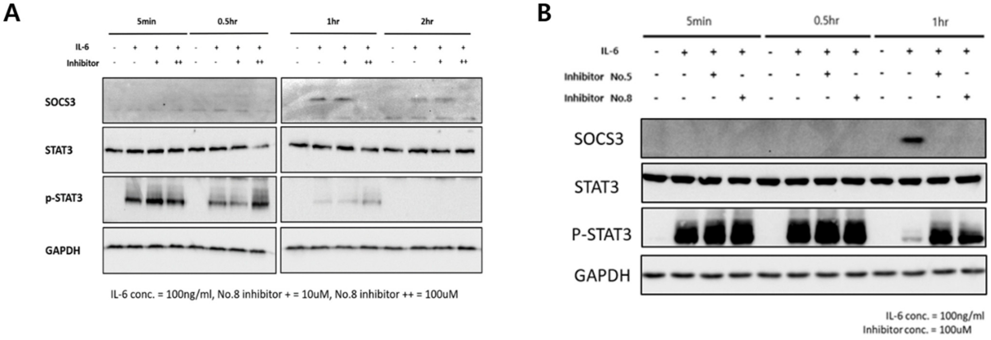
2.3. The Hit Compounds Decreased SOCS3 Expression and Restored STAT3 Phosphorylation in Jurkat T and BEAS-2B Cells
2.4. The Hit Compound Inhibited Systemic Allergic Responses in the Allergic Rhinitis Mouse Model
2.5. The Hit Compound Inhibited Local Allergic Responses in the Allergic Rhinitis Mouse Model
3. Discussion
4. Materials and Methods
4.1. Drug Screening
4.2. Detection of JAK2 and SOCS3 Inhibition Capacity
4.3. Cell Culture
4.4. Analysis of Cell Viability
4.5. OVA-Induced Allergic Rhinitis Mouse Model
4.6. Enzyme-Linked Immunosorbent Assay (ELISA)
4.7. Immunohistochemistry
4.8. RT-qPCR
4.9. Real-Time PCR
4.10. Western Blotting
4.11. Statistical Analysis
Author Contributions
Funding
Institutional Review Board Statement
Informed Consent Statement
Data Availability Statement
Acknowledgments
Conflicts of Interest
References
- Bernstein, D.I.; Schwartz, G.; Bernstein, J.A. Allergic Rhinitis: Mechanisms and Treatment. Immunol. Allergy Clin. N. Am. 2016, 36, 261–278. [Google Scholar] [CrossRef]
- Ye, Q.; Zhang, T.; Mao, J.H. Haze facilitates sensitization to house dust mites in children. Environ. Geochem. Health 2020, 42, 2195–2203. [Google Scholar] [CrossRef]
- Bousquet, J.; Anto, J.M.; Bachert, C.; Baiardini, I.; Bosnic-Anticevich, S.; Walter Canonica, G.; Melén, E.; Palomares, O.; Scadding, G.K.; Togias, A.; et al. Allergic rhinitis. Nat. Rev. Dis. Primers 2020, 6, 95. [Google Scholar] [CrossRef]
- Kakli, H.A.; Riley, T.D. Allergic Rhinitis. Prim. Care 2016, 43, 465–475. [Google Scholar] [CrossRef]
- Vlaykov, A.N.; Tacheva, T.T.; Vlaykova, T.I.; Stoyanov, V.K. Serum and local IL-4, IL-5, IL-13 and immunoglobulin E in allergic rhinitis. Postep. Dermatol. I Alergol. 2020, 37, 719–724. [Google Scholar] [CrossRef] [PubMed]
- Simon, D. Recent Advances in Clinical Allergy and Immunology 2019. Int. Arch. Allergy Immunol. 2019, 180, 291–305. [Google Scholar] [CrossRef] [PubMed]
- Rael, E. Allergen Immunotherapy. Prim. Care 2016, 43, 487–494. [Google Scholar] [CrossRef]
- Rajewsky, K. The advent and rise of monoclonal antibodies. Nature 2019, 575, 47–49. [Google Scholar] [CrossRef] [PubMed]
- Babon, J.J.; Kershaw, N.J.; Murphy, J.M.; Varghese, L.N.; Laktyushin, A.; Young, S.N.; Lucet, I.S.; Norton, R.S.; Nicola, N.A. Suppression of cytokine signaling by SOCS3: Characterization of the mode of inhibition and the basis of its specificity. Immunity 2012, 36, 239–250. [Google Scholar] [CrossRef]
- Yoshimura, A.; Ito, M.; Chikuma, S.; Akanuma, T.; Nakatsukasa, H. Negative Regulation of Cytokine Signaling in Immunity. Cold Spring Harb. Perspect. Biol. 2018, 10, a028571. [Google Scholar] [CrossRef] [PubMed]
- Tamiya, T.; Kashiwagi, I.; Takahashi, R.; Yasukawa, H.; Yoshimura, A. Suppressors of cytokine signaling (SOCS) proteins and JAK/STAT pathways: Regulation of T-cell inflammation by SOCS1 and SOCS3. Arterioscler. Thromb. Vasc. Biol. 2011, 31, 980–985. [Google Scholar] [CrossRef]
- Yin, Y.; Liu, W.; Dai, Y. SOCS3 and its role in associated diseases. Hum. Immunol. 2015, 76, 775–780. [Google Scholar] [CrossRef]
- Moriwaki, A.; Inoue, H.; Nakano, T.; Matsunaga, Y.; Matsuno, Y.; Matsumoto, T.; Fukuyama, S.; Kan, O.K.; Matsumoto, K.; Tsuda-Eguchi, M.; et al. T cell treatment with small interfering RNA for suppressor of cytokine signaling 3 modulates allergic airway responses in a murine model of asthma. Am. J. Respir. Cell Mol. Biol. 2011, 44, 448–455. [Google Scholar] [CrossRef]
- Piessevaux, J.; Lavens, D.; Peelman, F.; Tavernier, J. The many faces of the SOCS box. Cytokine Growth Factor Rev. 2008, 19, 371–381. [Google Scholar] [CrossRef]
- Gupta, R.; Srivastava, D.; Sahu, M.; Tiwari, S.; Ambasta, R.K.; Kumar, P. Artificial intelligence to deep learning: Machine intelligence approach for drug discovery. Mol. Divers. 2021, 25, 1315–1360. [Google Scholar] [CrossRef] [PubMed]
- Gallego, V.; Naveiro, R.; Roca, C.; Ríos Insua, D.; Campillo, N.E. AI in drug development: A multidisciplinary perspective. Mol. Divers. 2021, 25, 1461–1479. [Google Scholar] [CrossRef] [PubMed]
- Mullard, A. Parsing clinical success rates. Nat. Rev. Drug Discov. 2016, 15, 447. [Google Scholar] [CrossRef] [PubMed]
- Brown, D.G.; Wobst, H.J.; Kapoor, A.; Kenna, L.A.; Southall, N. Clinical development times for innovative drugs. Nat. Rev. Drug Discov. 2022, 21, 793–794. [Google Scholar] [CrossRef] [PubMed]
- Wouters, O.J.; McKee, M.; Luyten, J. Estimated Research and Development Investment Needed to Bring a New Medicine to Market, 2009–2018. JAMA 2020, 323, 844–853. [Google Scholar] [CrossRef] [PubMed]
- Zhong, F.; Xing, J.; Li, X.; Liu, X.; Fu, Z.; Xiong, Z.; Lu, D.; Wu, X.; Zhao, J.; Tan, X.; et al. Artificial intelligence in drug design. Sci. China. Life Sci. 2018, 61, 1191–1204. [Google Scholar] [CrossRef] [PubMed]
- Sur, D.K.; Plesa, M.L. Treatment of Allergic Rhinitis. Am. Fam. Physician 2015, 92, 985–992. [Google Scholar] [PubMed]
- Linossi, E.M.; Calleja, D.J.; Nicholson, S.E. Understanding SOCS protein specificity. Growth Factors 2018, 36, 104–117. [Google Scholar] [CrossRef] [PubMed]
- Knisz, J.; Rothman, P.B. Suppressor of cytokine signaling in allergic inflammation. J. Allergy Clin. Immunol. 2007, 119, 739–745. [Google Scholar] [CrossRef]
- Yang, C.; Zheng, C.; Lin, H.; Li, J.; Zhao, K. Role of Suppressor of Cytokine Signaling 3 in the Immune Modulation of Mesenchymal Stromal Cells. Inflammation 2016, 39, 257–268. [Google Scholar] [CrossRef] [PubMed]
- Zhang, Q.; Xiong, Y.; Li, G.B.; Tang, Q.; Cao, M.; Huang, J.B.; Xing, M.; Hu, C.P.; Gong, Y.; Wang, Q.H.; et al. Xinqin exhibits the anti-allergic effect through the JAK2/STAT5 signaling pathway. J. Ethnopharmacol. 2016, 193, 466–473. [Google Scholar] [CrossRef] [PubMed]
- Kim, T.H.; Kim, K.; Park, S.J.; Lee, S.H.; Hwang, J.W.; Park, S.H.; Yum, G.H.; Lee, S.H. Expression of SOCS1 and SOCS3 is altered in the nasal mucosa of patients with mild and moderate/severe persistent allergic rhinitis. Int. Arch. Allergy Immunol. 2012, 158, 387–396. [Google Scholar] [CrossRef]
- Zhao, C.Y.; Wang, W.; Yao, H.C.; Wang, X. SOCS3 Is Upregulated and Targeted by miR30a-5p in Allergic Rhinitis. Int. Arch. Allergy Immunol. 2018, 175, 209–219. [Google Scholar] [CrossRef]
- Zafra, M.P.; Mazzeo, C.; Gámez, C.; Rodriguez Marco, A.; de Zulueta, A.; Sanz, V.; Bilbao, I.; Ruiz-Cabello, J.; Zubeldia, J.M.; del Pozo, V. Gene silencing of SOCS3 by siRNA intranasal delivery inhibits asthma phenotype in mice. PLoS ONE 2014, 9, e91996. [Google Scholar] [CrossRef]
- Klain, A.; Indolfi, C.; Dinardo, G.; Licari, A.; Cardinale, F.; Caffarelli, C.; Manti, S.; Ricci, G.; Pingitore, G.; Tosca, M.; et al. United airway disease. Acta Bio-Medica Atenei Parm. 2021, 92, e2021526. [Google Scholar] [CrossRef]
- Sun, D.; Wang, J.; Yang, N.; Ma, H. Matrine suppresses airway inflammation by downregulating SOCS3 expression via inhibition of NF-κB signaling in airway epithelial cells and asthmatic mice. Biochem. Biophys. Res. Commun. 2016, 477, 83–90. [Google Scholar] [CrossRef]
- Wu, L.C.; Zarrin, A.A. The production and regulation of IgE by the immune system. Nat. Rev. Immunol. 2014, 14, 247–259. [Google Scholar] [CrossRef] [PubMed]
- Kobayashi, T.; Iijima, K.; Dent, A.L.; Kita, H. Follicular helper T cells mediate IgE antibody response to airborne allergens. J. Allergy Clin. Immunol. 2017, 139, 300–313. [Google Scholar] [CrossRef] [PubMed]
- Spencer, L.A.; Weller, P.F. Eosinophils and Th2 immunity: Contemporary insights. Immunol. Cell Biol. 2010, 88, 250–256. [Google Scholar] [CrossRef] [PubMed]
- Folci, M.; Ramponi, G.; Arcari, I.; Zumbo, A.; Brunetta, E. Eosinophils as Major Player in Type 2 Inflammation: Autoimmunity and Beyond. Adv. Exp. Med. Biol. 2021, 1347, 197–219. [Google Scholar] [CrossRef] [PubMed]
- Toki, S.; Goleniewska, K.; Zhang, J.; Zhou, W.; Newcomb, D.C.; Zhou, B.; Kita, H.; Boyd, K.L.; Peebles, R.S., Jr. TSLP and IL-33 reciprocally promote each other’s lung protein expression and ILC2 receptor expression to enhance innate type-2 airway inflammation. Allergy 2020, 75, 1606–1617. [Google Scholar] [CrossRef] [PubMed]
- Asano, K.; Ueki, S.; Tamari, M.; Imoto, Y.; Fujieda, S.; Taniguchi, M. Adult-onset eosinophilic airway diseases. Allergy 2020, 75, 3087–3099. [Google Scholar] [CrossRef]
- Dougan, M.; Dranoff, G.; Dougan, S.K. GM-CSF, IL-3, and IL-5 Family of Cytokines: Regulators of Inflammation. Immunity 2019, 50, 796–811. [Google Scholar] [CrossRef]
- Gieseck, R.L., 3rd; Wilson, M.S.; Wynn, T.A. Type 2 immunity in tissue repair and fibrosis. Nat. Rev. Immunol. 2018, 18, 62–76. [Google Scholar] [CrossRef]
- Zhao, C.; Yu, S.; Li, J.; Xu, W.; Ge, R. Changes in IL-4 and IL-13 expression in allergic-rhinitis treated with hydrogen-rich saline in guinea-pig model. Allergol. Immunopathol. 2017, 45, 350–355. [Google Scholar] [CrossRef] [PubMed]
- Sun, R.; Yang, Y.; Huo, Q.; Gu, Z.; Wei, P.; Tang, X. Increased expression of type 2 innate lymphoid cells in pediatric patients with allergic rhinitis. Exp. Ther. Med. 2020, 19, 735–740. [Google Scholar] [CrossRef] [PubMed]
- Song, J.; Liu, D.; Yin, W. lnc-THRIL and miR-125b relate to disease risk, severity, and imbalance of Th1 cells/Th2 cells in allergic rhinitis. Allergol. Immunopathol. 2022, 50, 15–23. [Google Scholar] [CrossRef] [PubMed]
- Eifan, A.O.; Durham, S.R. Pathogenesis of rhinitis. Clin. Exp. Allergy J. Br. Soc. Allergy Clin. Immunol. 2016, 46, 1139–1151. [Google Scholar] [CrossRef] [PubMed]
- Ackaert, C.; Kofler, S.; Horejs-Hoeck, J.; Zulehner, N.; Asam, C.; von Grafenstein, S.; Fuchs, J.E.; Briza, P.; Liedl, K.R.; Bohle, B.; et al. The impact of nitration on the structure and immunogenicity of the major birch pollen allergen Bet v 1.0101. PLoS ONE 2014, 9, e104520. [Google Scholar] [CrossRef] [PubMed]
- Marshall, J.S.; Warrington, R.; Watson, W.; Kim, H.L. An introduction to immunology and immunopathology. Allergy Asthma Clin. Immunol. Off. J. Can. Soc. Allergy Clin. Immunol. 2018, 14, 49. [Google Scholar] [CrossRef]
- Bayrak Degirmenci, P.; Aksun, S.; Altin, Z.; Bilgir, F.; Arslan, I.B.; Colak, H.; Ural, B.; Solakoglu Kahraman, D.; Diniz, G.; Ozdemir, B.; et al. Allergic Rhinitis and Its Relationship with IL-10, IL-17, TGF-β, IFN-γ, IL 22, and IL-35. Dis. Markers 2018, 2018, 9131432. [Google Scholar] [CrossRef]





Disclaimer/Publisher’s Note: The statements, opinions and data contained in all publications are solely those of the individual author(s) and contributor(s) and not of MDPI and/or the editor(s). MDPI and/or the editor(s) disclaim responsibility for any injury to people or property resulting from any ideas, methods, instructions or products referred to in the content. |
© 2024 by the authors. Licensee MDPI, Basel, Switzerland. This article is an open access article distributed under the terms and conditions of the Creative Commons Attribution (CC BY) license (https://creativecommons.org/licenses/by/4.0/).
Share and Cite
Byun, J.; Tai, J.; Kim, B.; Kim, J.; Jung, S.; Lee, J.; Song, Y.w.; Shin, J.; Kim, T.H. Identification of Hit Compounds Using Artificial Intelligence for the Management of Allergic Diseases. Int. J. Mol. Sci. 2024, 25, 2280. https://doi.org/10.3390/ijms25042280
Byun J, Tai J, Kim B, Kim J, Jung S, Lee J, Song Yw, Shin J, Kim TH. Identification of Hit Compounds Using Artificial Intelligence for the Management of Allergic Diseases. International Journal of Molecular Sciences. 2024; 25(4):2280. https://doi.org/10.3390/ijms25042280
Chicago/Turabian StyleByun, Junhyoung, Junhu Tai, Byoungjae Kim, Jaehyeong Kim, Semyung Jung, Juhyun Lee, Youn woo Song, Jaemin Shin, and Tae Hoon Kim. 2024. "Identification of Hit Compounds Using Artificial Intelligence for the Management of Allergic Diseases" International Journal of Molecular Sciences 25, no. 4: 2280. https://doi.org/10.3390/ijms25042280
APA StyleByun, J., Tai, J., Kim, B., Kim, J., Jung, S., Lee, J., Song, Y. w., Shin, J., & Kim, T. H. (2024). Identification of Hit Compounds Using Artificial Intelligence for the Management of Allergic Diseases. International Journal of Molecular Sciences, 25(4), 2280. https://doi.org/10.3390/ijms25042280

