A Possible Phenotype-to-Genotype Association of Novel Single-Nucleotide Variants in the Coding Exons of the ZNF469 Gene to Arterial Aneurysmal and Dissection Diseases
Abstract
1. Introduction
1.1. The Extracellular Matrix (ECM)
1.2. ZNF469—A Regulatory Gene for the Extracellular Matrix
2. Results
2.1. Single-Nucleotide Variants Identified in Exon 1
2.1.1. Subject 1—p.T910I: ACGM Classification Variant of Unknown Significance
2.1.2. Subject 2—p.G1933V: ACGM Classification Variant of Unknown Significance
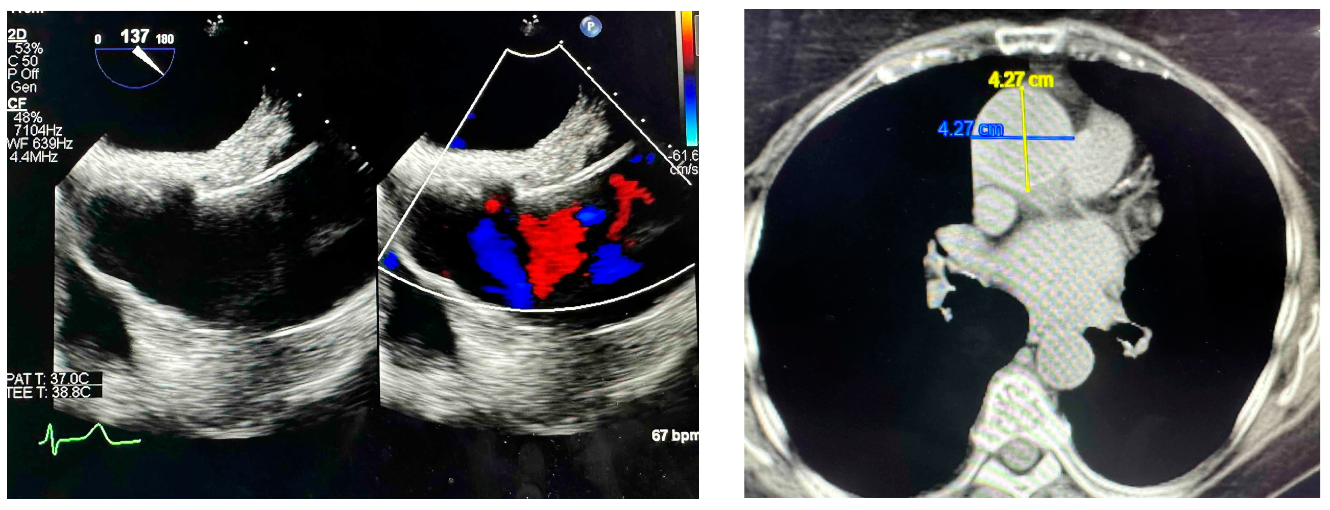
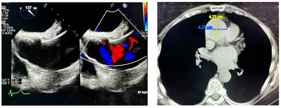
2.1.3. Subject 3—p.V271D: ACGM Classification Variant of Unknown Significance
2.1.4. Subject 4—C.2193delG: ACGM Classification Variant of Unknown Significance
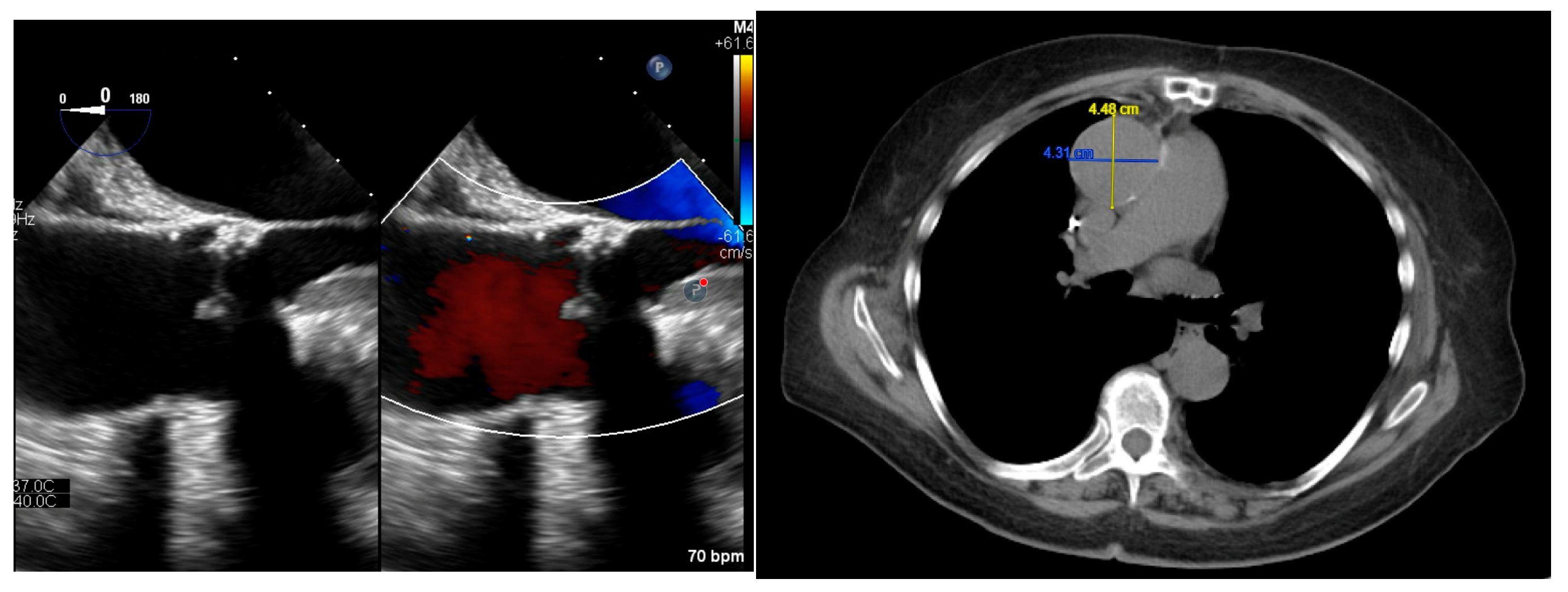
2.1.5. Subject 5—p.A1001D: ACGM Classification Variant of Unknown Significance
2.2. Single-Nucleotide Variants Identified in Exon 2
2.2.1. Subject 6—p.R1875C: ACGM Classification Variant of Unknown Significance
2.2.2. Subject 7—p.Q3094R, p.G2871S, and P. S2637T: ACGM Classification Variant of Unknown Significance
2.2.3. Subject 8—p.s2646F: ACGM Classification Variant of Unknown Significance
2.2.4. Subject 9—p.A3542V: ACGM Classification Variant of Unknown Significance
3. Materials and Methods
3.1. Clinical Genetic Testing
3.2. Statistics
3.3. Single-Nucleotide Variant (SNV) Analytic Methods
3.4. Variant of Unknown Significance (VUS) Interpretation
3.5. ClinVar and Gnom AD Frequency of Variant Analysis
4. Discussion
5. Conclusions
6. Limitations
7. Future Investigations
Author Contributions
Funding
Institutional Review Board Statement
Informed Consent Statement
Data Availability Statement
Acknowledgments
Conflicts of Interest
References
- Yue, B. Biology of the extracellular matrix: An overview. J. Glaucoma 2014, 23 (Suppl. 1), S20–S23. [Google Scholar] [CrossRef]
- Hynes, R.O.; Naba, A. Overview of the matrisome—An inventory of extracellular matrix constituents and functions. Cold Spring Harb. Perspect. Biol. 2012, 4, a004903. [Google Scholar] [CrossRef] [PubMed]
- Majesky, M.W. Adventitia and Perivascular Cells. Arterioscler. Thromb. Vasc. Biol. 2015, 35, e31–e35. [Google Scholar] [CrossRef] [PubMed]
- Patil, M.S.; Cartland, S.P.; Kavurma, M.M. TRAIL signals, extracellular matrix and vessel remodelling. Vasc. Biol. 2020, 2, R73–R84. [Google Scholar] [CrossRef] [PubMed]
- Ponticos, M.; Smith, B.D. Extracellular matrix synthesis in vascular disease: Hypertension, and atherosclerosis. J. Biomed Res. 2014, 28, 25–39. [Google Scholar] [CrossRef]
- Hamilton, M. Pathophysiology of Aortic Dissection and Connective Tissue Disorders. In Mechanisms of Vascular Disease: A Reference Book for Vascular Specialists; Fitridge, R., Thompson, M., Eds.; University of Adelaide Press: Adelaide, South Australia, 2011. Available online: https://www.ncbi.nlm.nih.gov/books/NBK534274/ (accessed on 25 April 2022).
- Oikonomou, K.; Katsargyris, A.; Ritter, W.; Spinelli, D.; Seto, Y.; Verhoeven, E.L. Endovascular management of chronic post-dissection aneurysms. Ann. Cardiothorac. Surg. 2014, 3, 307–313. [Google Scholar] [CrossRef] [PubMed]
- Biddinger, A.; Rocklin, M.; Coselli, J.; Milewicz, D.M. Familial thoracic aortic dilatations and dissections: A case control study. J. Vasc. Surg. 1997, 25, 506–511. [Google Scholar] [CrossRef] [PubMed]
- Ostberg, N.P.; Zafar, M.A.; Ziganshin, B.A.; Elefteriades, J.A. The Genetics of Thoracic Aortic Aneurysms and Dissection: A Clinical Perspective. Biomolecules 2020, 10, 182. [Google Scholar] [CrossRef] [PubMed]
- Albornoz, G.; Coady, M.A.; Roberts, M.; Davies, R.R.; Tranquilli, M.; Rizzo, J.A.; Elefteriades, J.A. Familial thoracic aortic aneurysms and dissections--incidence, modes of inheritance, and phenotypic patterns. Ann. Thorac. Surg. 2006, 82, 1400–1405. [Google Scholar] [CrossRef]
- Abu, A.; Frydman, M.; Marek, D.; Pras, E.; Nir, U.; Reznik-Wolf, H.; Pras, E. Deleterious mutations in the Zinc-Finger 469 gene cause brittle cornea syndrome. Am. J. Hum. Genet. 2008, 82, 1217–1222. [Google Scholar] [CrossRef]
- Wolf, A.; Khimani, F.; Sathyamoorthy, M. Identification of Single-Nucleotide Polymorphisms in ZNF469 in a Patient with Aortoiliac Aneurysmal Disease. Cardiogenetics 2022, 12, 212–217. [Google Scholar] [CrossRef]
- Vincent, A.L.; Jordan, C.A.; Cadzow, M.J.; Merriman, T.R.; McGhee, C.N. Mutations in the zinc finger protein gene, ZNF469, contribute to the pathogenesis of keratoconus. Investig. Ophthalmol. Vis. Sci. 2014, 55, 5629–5635. [Google Scholar] [CrossRef] [PubMed]
- Davidson, A.E.; Borasio, E.; Liskova, P.; Khan, A.O.; Hassan, H.; Cheetham, M.E.; Plagnol, V.; Alkuraya, F.S.; Tuft, S.J.; Hardcastle, A.J. Brittle cornea syndrome ZNF469 mutation carrier phenotype and segregation analysis of rare ZNF469 variants in familial keratoconus. Invest. Ophthalmol. Vis. Sci. 2015, 56, 578–586. [Google Scholar] [CrossRef]
- Lechner, J.; Porter, L.F.; Rice, A.; Vitart, V.; Armstrong, D.J.; Schorderet, D.F.; Munier, F.L.; Wright, A.F.; Inglehearn, C.F.; Black, G.C.; et al. Enrichment of pathogenic alleles in the brittle cornea gene, ZNF469, in keratoconus. Hum. Mol. Genet. 2014, 23, 5527–5535. [Google Scholar] [CrossRef]
- Rohrbach, M.; Spencer, H.L.; Porter, L.F.; Burkitt-Wright, E.M.; Bürer, C.; Janecke, A.; Bakshi, M.; Sillence, D.; Al-Hussain, H.; Baumgartner, M.; et al. ZNF469 frequently mutated in the brittle cornea syndrome (BCS) is a single exon gene possibly regulating the expression of several extracellular matrix components. Mol. Genet. Metab. 2013, 109, 289–295. [Google Scholar] [CrossRef] [PubMed]
- Gene. Internet. National Library of Medicine (US), National Center for Biotechnology Information. Updated 2022 04 22; 2022. Available online: https://www.ncbi.nlm.nih.gov/gene/84627 (accessed on 25 April 2022).
- Suzuki, T.; Aizawa, K.; Matsumura, T.; Nagai, R. Vascular implications of the Kruppel-like family of transcription factors. Arterioscler. Thromb. Vasc. Biol. 2005, 25, 1135–1141. [Google Scholar] [CrossRef]
- Stanton, C.M.; Findlay, A.S.; Drake, C.; Mustafa, M.Z.; Gautier, P.; McKie, L.; Jackson, I.J.; Vitart, V. A mouse model of brittle cornea syndrome caused by mutation in Zfp469. Dis. Model. Mech. 2021, 14, dmm049175. [Google Scholar] [CrossRef] [PubMed]
- Ariyachet, C.; Nokkeaw, A.; Boonkaew, B.; Tangkijvanich, P. ZNF469 is a profibrotic regulator of extracellular matrix in hepatic stellate cells. J. Cell. Biochem. 2024, 125, e30578. [Google Scholar] [CrossRef] [PubMed]
- Howard, P.S.; Macarak, E.J. Localization of collagen types in regional segments of the fetal bovine aorta. Lab. Investig. 1989, 61, 548–555. [Google Scholar]
- Malfait, F.; De Paepe, A. Bleeding in the heritable connective tissue disorders: Mechanisms, diagnosis and treatment. Blood Rev. 2009, 23, 191–197. [Google Scholar] [CrossRef]
- Kuivaniemi, H.; Tromp, G.; Prockop, D.J. Mutations in fibrillar collagens (types I, II, III, and XI), fibril-associated collagen (type IX), and network-forming collagen (type X) cause a spectrum of diseases of bone, cartilage, and blood vessels. Hum. Mutat. 1997, 9, 300–315. [Google Scholar] [CrossRef]
- Christensen, A.E.; Knappskog, P.M.; Midtbø, M.; Gjesdal, C.G.; Mengel-From, J.; Morling, N.; Rødahl, E.; Boman, H. Brittle cornea syndrome associated with a missense mutation in the zinc-finger 469 gene. Investig. Opthalmol. Vis. Sci. 2010, 51, 47–52. [Google Scholar] [CrossRef] [PubMed]
- Burkitt Wright, E.M.M.; Spencer, H.L.; Daly, S.B.; Manson, F.D.C.; Zeef, L.A.H.; Urquhart, J.; Zoppi, N.; Bonshek, R.; Tosounidis, I.; Mohan, M.; et al. Mutations in PRDM5 in brittle cornea syndrome identify a pathway regulating extracellular matrix development and maintenance. Am. J. Hum. Genet. 2011, 88, 767–777. [Google Scholar] [CrossRef] [PubMed]
- Yamashiro, Y.; Thang, B.Q.; Shin, S.J.; Lino, C.A.; Nakamura, T.; Kim, J.; Sugiyama, K.; Tokunaga, C.; Sakamoto, H.; Osaka, M.; et al. Role of Thrombospondin-1 in Mechanotransduction and Development of Thoracic Aortic Aneurysm in Mouse and Humans. Circ. Res. 2018, 123, 660–672. [Google Scholar] [CrossRef] [PubMed]
- Millis, A.J.; Luciani, M.; McCue, H.M.; Rosenberg, M.E.; Moulson, C.L. Clusterin regulates vascular smooth muscle cell nodule formation and migration. J. Cell. Physiol. 2001, 186, 210–219. [Google Scholar] [CrossRef] [PubMed]
- Shirasawa, T.; Miyata, M.; Eto, H.; Hamada, N.; Akasaki, Y.; Miyauchi, T.; Furusho, Y.; Orihara, K.; Hamasaki, S.; Aronow, B.J.; et al. Deficiency of clusterin inhibits neointimal hyperplasia after vascular injury. J. Atheroscler. Thromb. 2009, 16, 772–781. [Google Scholar] [CrossRef]
- ClinVar-NCBI. www.ncbi.nlm.nih.gov. Available online: https://www.ncbi.nlm.nih.gov/clinvar (accessed on 11 August 2023).
- gnomAD. gnomad.broadinstitute.org. Available online: Https://gnomad.broadinstitute.org (accessed on 11 August 2023).
- Jarvis, M. TAADNext: Analyses of 35 Genes Associated with Thoracic Aortic Aneurysms and Dissections; Ambry Genetics: Aliso Viejo, CA, USA, 2020; pp. 1–9, 1/06/2020. [Google Scholar]
- Antolik, C. TAADNext: Analyses of 35 Genes Associated with Thoracic Aortic Aneurysms and Dissections; Ambry Genetics: Aliso Viejo, CA, USA, 2021; pp. 1–5, 11/15/2021. [Google Scholar]
- Geng, G. TAADNext: Analyses of 35 Genes Associated with Thoracic Aortic Aneurysms and Dissections; Ambry Genetics: Aliso Viejo, CA, USA, 2022; pp. 1–5, 06/02/2022. [Google Scholar]
- Kou, E. TAADNext: Analyses of 35 Genes Associated with Thoracic Aortic Aneurysms and Dissections; Ambry Genetics: Aliso Viejo, CA, USA, 2020; pp. 1–5, 10/13/2020. [Google Scholar]
- Antolik, C. TAADNext: Analyses of 35 Genes Associated with Thoracic Aortic Aneurysms and Dissections; Ambry Genetics: Aliso Viejo, CA, USA, 2022; pp. 1–6, 01/05/2022. [Google Scholar]
- Geng, J. TAADNext: Analyses of 35 Genes Associated with Thoracic Aortic Aneurysms and Dissections; Ambry Genetics: Aliso Viejo, CA, USA, 2020; pp. 1–5, 06/15/2020. [Google Scholar]
- Antolik, C. Gene Sequence & Deletion/Duplication Analyses of FBN1 Reflex to TAADNext; Ambry Genetics: Aliso Viejo, CA, USA, 2020; pp. 1–14. [Google Scholar]
- Richards, S.; Aziz, N.; Bale, S.; Bick, D.; Das, S.; Gastier-Foster, J.; Grody, W.W.; Hegde, M.; Lyon, E.; Spector, E.; et al. Standards and guidelines for the interpretation of sequence variants: A joint consensus recommendation of the American College of Medical Genetics and Genomics and the Association for Molecular Pathology. Genet. Med. Off. J. Am. Coll. Med. Genet. 2015, 17, 405–424. [Google Scholar] [CrossRef]
- Ambry Genetics® Variant Classification Scheme Point Range ACMG Code Criteria. Available online: https://www.ambrygen.com/file/material/view/1963/Ambry%20General%20Variant%20Classification%20Scheme%20%2818536_0%29.pdf (accessed on 15 November 2023).
- Moore, P.; Wolf, A.; Sathyamoorthy, M. An Eye into the Aorta: The Role of Extracellular Matrix Regulatory Genes ZNF469 and PRDM5, from Their Previous Association with Brittle Cornea Syndrome to Their Novel Association with Aortic and Arterial Aneurysmal Diseases. Int. J. Mol. Sci. 2024, 25, 5848. [Google Scholar] [CrossRef]
- Sridhar, M.S. Anatomy of cornea and ocular surface. Indian J. Ophthalmol. 2018, 66, 190–194. [Google Scholar] [CrossRef] [PubMed]
- Pinard, A.; Jones, G.T.; Milewicz, D.M. Genetics of Thoracic and Abdominal Aortic Diseases. Circ. Res. 2019, 124, 588–606. [Google Scholar] [CrossRef]



| Subject | Age | Gender | Ethnicity | Family Hx | Variant | Exon/Codon | In Silico Analysis | Vascular Phenotype |
|---|---|---|---|---|---|---|---|---|
| 1 | 37 | Male | Caucasian | Aortic aneurysm | p.T910I | Exon 1 Codon 910 | Tolerated | Bicuspid aortic valve Aortic tortuosity without enlargement |
| 2 | 76 | Female | Caucasian | Unknown | p.G1933V | Exon 1 Codon 1993 | Uncertain | Aortic aneurysm |
| 3 | 45 | Female | Caucasian | Cerebral aneurysm | p.V271D | Exon 1 Codon 271 | Tolerated | Bilateral vertebral artery dissection |
| 4 | 25 | Male | Caucasian | Marfanoid habitus | C.2193delG | Exon 1 Codon 2193 | Pathogenic | Fusiform ectasia of aorta Bicuspid aortic valve Marfanoid habitus |
| 5 | 60 | Female | Caucasian | None | p.A1001D | Exon 1 Codon 1001 | Uncertain | Spontaneous iliac artery dissection and spontaneous coronary artery dissection |
| 6 | 61 | Female | Caucasian | Spontaneous coronary artery dissection | p.R1875C | Exon: 2 Codon 1875 | Tolerated | Spontaneous coronary artery dissection (SCAD) |
| 7 | 72 | Female | African | Cerebral aneurysm Aortic aneurysm Dissections | p.Q3094R p.G2871S p. S2637T | Exon: 2 Codons 2637, 2871, 3094 | Tolerated | Bilateral aortoiliac dissections Aortic aneurysm |
| 8 | 56 | Female | Asian | Arterial aneurysms | p.S2646F | Exon: 2 Codon 2646 | Tolerated | Fusiform aortic ectasia |
| 9 | 83 | Male | Caucasian | Unknown | p.A3542V | Exon: 2 Codon 3542 | Tolerated | Aortic and celiac aneurysm/dissection |
Disclaimer/Publisher’s Note: The statements, opinions and data contained in all publications are solely those of the individual author(s) and contributor(s) and not of MDPI and/or the editor(s). MDPI and/or the editor(s) disclaim responsibility for any injury to people or property resulting from any ideas, methods, instructions or products referred to in the content. |
© 2024 by the authors. Licensee MDPI, Basel, Switzerland. This article is an open access article distributed under the terms and conditions of the Creative Commons Attribution (CC BY) license (https://creativecommons.org/licenses/by/4.0/).
Share and Cite
Wolf, A.; Moore, P.; Hong, C.; Sathyamoorthy, M. A Possible Phenotype-to-Genotype Association of Novel Single-Nucleotide Variants in the Coding Exons of the ZNF469 Gene to Arterial Aneurysmal and Dissection Diseases. Int. J. Mol. Sci. 2024, 25, 13730. https://doi.org/10.3390/ijms252413730
Wolf A, Moore P, Hong C, Sathyamoorthy M. A Possible Phenotype-to-Genotype Association of Novel Single-Nucleotide Variants in the Coding Exons of the ZNF469 Gene to Arterial Aneurysmal and Dissection Diseases. International Journal of Molecular Sciences. 2024; 25(24):13730. https://doi.org/10.3390/ijms252413730
Chicago/Turabian StyleWolf, Adam, Peyton Moore, Charles Hong, and Mohanakrishnan Sathyamoorthy. 2024. "A Possible Phenotype-to-Genotype Association of Novel Single-Nucleotide Variants in the Coding Exons of the ZNF469 Gene to Arterial Aneurysmal and Dissection Diseases" International Journal of Molecular Sciences 25, no. 24: 13730. https://doi.org/10.3390/ijms252413730
APA StyleWolf, A., Moore, P., Hong, C., & Sathyamoorthy, M. (2024). A Possible Phenotype-to-Genotype Association of Novel Single-Nucleotide Variants in the Coding Exons of the ZNF469 Gene to Arterial Aneurysmal and Dissection Diseases. International Journal of Molecular Sciences, 25(24), 13730. https://doi.org/10.3390/ijms252413730

