LPS Disrupts Endometrial Receptivity by Inhibiting STAT1 Phosphorylation in Sheep
Abstract
1. Introduction
2. Results
2.1. Effects of LPS on the Endometrial Prostaglandin Expression Level in Sheep in the Three Periods
2.2. Effects of LPS on the Expression of Endometrial Implantation Genes in Sheep in the Three Periods
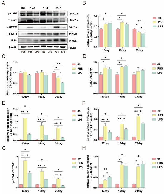
2.3. LPS Inhibits the JAK2/STAT1 Signaling Pathway
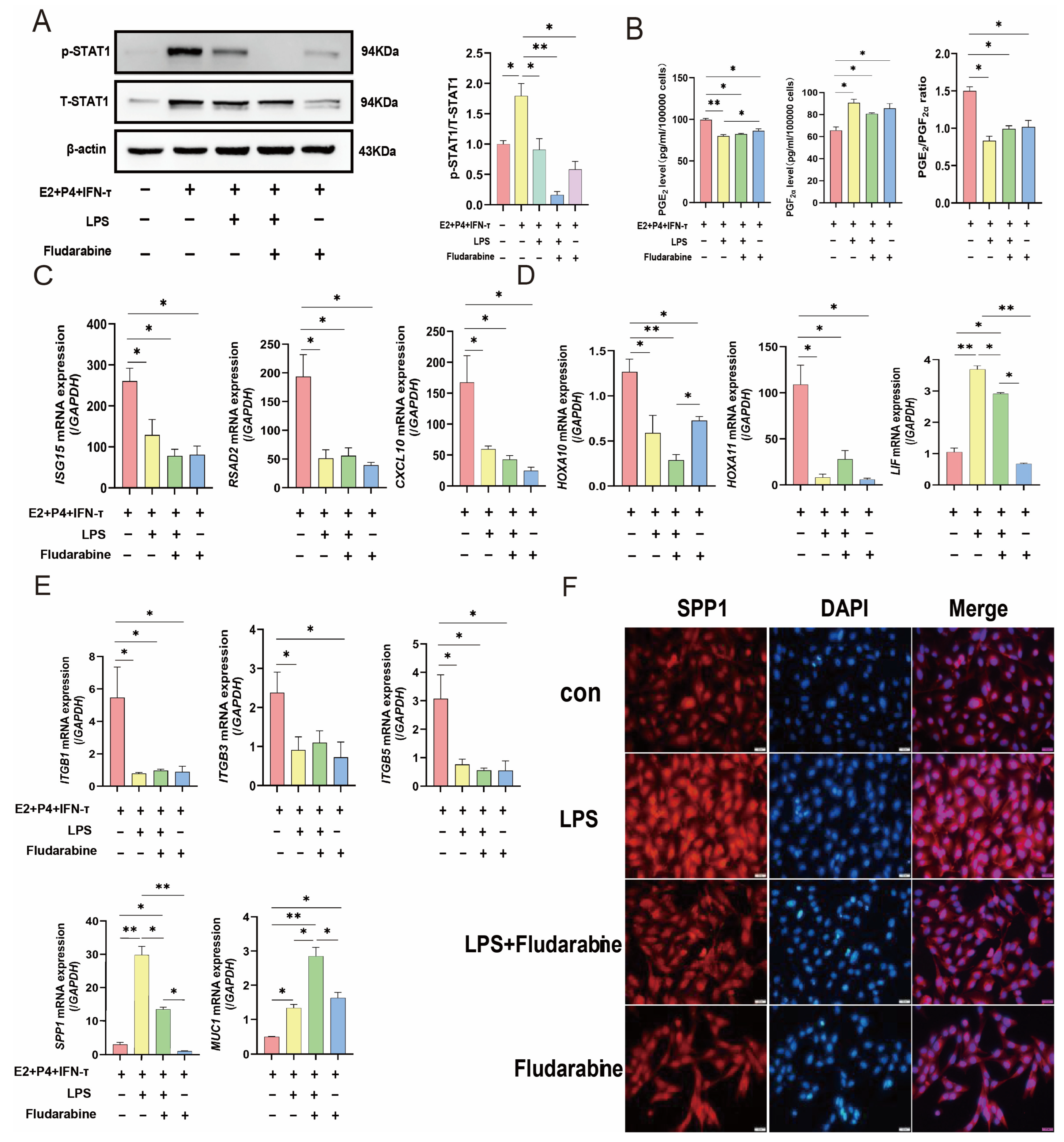
2.4. Establishment of a Receptive Cell Model
2.5. LPS Damaged Sheep Endometrium by Inhibiting the JAK2/STAT1 Pathway
3. Discussion
4. Materials and Methods
4.1. Animal Tissue Collection
4.2. Cell Culture and Drug Treatment
4.3. PG Measurement
4.4. RNA Extraction and Real-Time Quantitative Polymerase Chain Reaction
4.5. Western Blot Analysis
4.6. Immunofluorescence Staining
4.7. Statistical Analysis
5. Conclusions
Supplementary Materials
Author Contributions
Funding
Institutional Review Board Statement
Informed Consent Statement
Data Availability Statement
Acknowledgments
Conflicts of Interest
Abbreviations
References
- Yang, Q.; Liu, J.; Wang, Y.; Zhao, W.; Wang, W.; Cui, J.; Yang, J.; Yue, Y.; Zhang, S.; Chu, M.; et al. A proteomic atlas of ligand–receptor interactions at the ovine maternal–fetal interface reveals the role of histone lactylation in uterine remodeling. J. Biol. Chem. 2021, 298, 101456. [Google Scholar] [CrossRef]
- Chen, Q.; Zhang, A.; Yu, F.; Gao, J.; Liu, Y.; Yu, C.; Zhou, H.; Xu, C. Label-free proteomics uncovers energy metabolism and focal adhesion regulations responsive for endometrium receptivity. J. Proteome Res. 2015, 14, 1831–1842. [Google Scholar] [CrossRef] [PubMed]
- Spencer, T.E.; Johnson, G.A.; Bazer, F.W.; Burghardt, R. Implantation mechanisms: Insights from the sheep. Reproduction 2004, 128, 657–668. [Google Scholar] [CrossRef]
- Hue, I.; Degrelle, S.A.; Turenne, N. Conceptus elongation in cattle: Genes, models and questions. Anim. Reprod. Sci. 2012, 134, 19–28. [Google Scholar] [CrossRef] [PubMed]
- Spencer, T.; Johnson, G.; Bazer, F.; Burghardt, R. Fetal-maternal interactions during the establishment of pregnancy in ruminants. Reprod. Domest. Rumin. 2007, 64, 379–396. [Google Scholar] [CrossRef]
- Jia, G.-X.; Ma, W.-J.; Wu, Z.-B.; Li, S.; Zhang, X.-Q.; He, Z.; Wu, S.-X.; Tao, H.-P.; Fang, Y.; Song, Y.-W.; et al. Single-cell transcriptomic characterization of sheep conceptus elongation and implantation. Cell Rep. 2023, 42, 112860. [Google Scholar] [CrossRef] [PubMed]
- Moraes, J.G.N.; Behura, S.K.; Geary, T.W.; Hansen, P.J.; Neibergs, H.L.; Spencer, T.E. Uterine influences on conceptus development in fertility-classified animals. Proc. Natl. Acad. Sci. USA 2018, 115, E1749–E1758. [Google Scholar] [CrossRef] [PubMed]
- Wan, P.; Bao, Z.; Wu, Y.; Yang, L.; Hao, Z.; Yang, Y.; Shi, G.; Liu, Y.; Zeng, S. αvβ3 Integrin may participate in conceptus attachment by regulating morphologic changes in the endometrium during peri-implantation in ovine. Reprod. Domest. Anim. 2011, 46, 840–847. [Google Scholar] [CrossRef] [PubMed]
- Ribeiro, E.S.; Greco, L.F.; Bisinotto, R.S.; Lima, F.S.; Thatcher, W.W.; Santos, J.E. Biology of Preimplantation Conceptus at the Onset of Elongation in Dairy Cows1. Biol. Reprod. 2016, 94, 97. [Google Scholar] [CrossRef] [PubMed]
- Forde, N.; Carter, F.; Spencer, T.; Bazer, F.; Sandra, O.; Mansouri-Attia, N.; Okumu, L.; McGettigan, P.; Mehta, J.; McBride, R.; et al. Conceptus-induced changes in the endometrial transcriptome: How soon does the cow know she is pregnant? Biol. Reprod. 2011, 85, 144–156. [Google Scholar] [CrossRef]
- Peixoto, P.; Bromfield, J.; Ribeiro, E.; Santos, J.; Thatcher, W.; Bisinotto, R. Transcriptome changes associated with elongation of bovine conceptuses II: Differentially expressed transcripts in the endometrium on day 17 after insemination. J. Dairy Sci. 2023, 106, 9763–9777. [Google Scholar] [CrossRef]
- Mansouri-Attia, N.; Sandra, O.; Aubert, J.; Degrelle, S.; Everts, R.E.; Giraud-Delville, C.; Heyman, Y.; Galio, L.; Hue, I.; Yang, X.; et al. Endometrium as an early sensor of in vitro embryo manipulation technologies. Proc. Natl. Acad. Sci. USA 2009, 106, 5687–5692. [Google Scholar] [CrossRef]
- Loch, C.; Haeger, J.-D.; Pfarrer, C. IFNτ mediates chemotaxis, motility, metabolism and CK18 downregulation in bovine trophoblast cells in vitro via STAT1 and MAPK42/44 signaling. Placenta 2018, 64, 17–26. [Google Scholar] [CrossRef] [PubMed]
- Yang, D.; Liu, A.; Wu, Y.; Li, B.; Nan, S.; Yin, R.; Zhu, H.; Chen, J.; Ding, Y.; Ding, M. BCL2L15 Depletion Inhibits Endometrial Receptivity via the STAT1 Signaling Pathway. Genes 2020, 11, 816. [Google Scholar] [CrossRef] [PubMed]
- Patterson, A.L.; Pirochta, J.; Tufano, S.Y.; Teixeira, J.M. Gain-of-function β-catenin in the uterine mesenchyme leads to impaired implantation and decidualization. J. Endocrinol. 2017, 233, 119–130. [Google Scholar] [CrossRef] [PubMed]
- Dorniak, P.; Bazer, F.W.; Spencer, T.E. Physiology and Endocrinology Symposium: Biological role of interferon tau in endometrial function and conceptus elongation. J. Anim. Sci. 2012, 91, 1627–1638. [Google Scholar] [CrossRef] [PubMed]
- Choi, Y.; Johnson, G.A.; Burghardt, R.C.; Berghman, L.R.; Joyce, M.M.; Taylor, K.M.; Stewart, M.D.; Bazer, F.W.; Spencer, T.E. Interferon regulatory factor-two restricts expression of interferon-stimulated genes to the endometrial stroma and glandular epithelium of the ovine uterus. Biol. Reprod. 2001, 65, 1038–1049. [Google Scholar] [CrossRef]
- Bazer, F.; Spencer, T.; Johnson, G. Interferons and uterine receptivity. Semin. Reprod. Med. 2009, 27, 090–102. [Google Scholar] [CrossRef] [PubMed]
- Cheng, Y.; Zhang, X.; Wang, Z.; Wang, J. Reconstruction of Immune Microenvironment and Signaling Pathways in Endometrioid Endometrial Adenocarcinoma During Formation of Lymphovascular Space Involvement and Lymph Node Metastasis. Front. Oncol. 2020, 10, 595082. [Google Scholar] [CrossRef] [PubMed]
- Sheldon, I.M.; Cronin, J.; Goetze, L.; Donofrio, G.; Schuberth, H.-J. Defining postpartum uterine disease and the mechanisms of infection and immunity in the female reproductive tract in cattle. Biol. Reprod. 2009, 81, 1025–1032. [Google Scholar] [CrossRef]
- Wu, H.; Zhao, G.; Jiang, K.; Li, C.; Qiu, C.; Deng, G. Engeletin Alleviates Lipopolysaccharide-Induced Endometritis in Mice by Inhibiting TLR4-mediated NF-κB Activation. J. Agric. Food Chem. 2016, 64, 6171–6178. [Google Scholar] [CrossRef] [PubMed]
- Jiang, K.; Ma, X.; Guo, S.; Zhang, T.; Zhao, G.; Wu, H.; Wang, X.; Deng, G. Anti-inflammatory Effects of Rosmarinic Acid in Lipopolysaccharide-Induced Mastitis in Mice. Inflammation 2017, 41, 437–448. [Google Scholar] [CrossRef] [PubMed]
- Guo, Y.; van Schaik, T.; Jhamat, N.; Niazi, A.; Chanrot, M.; Charpigny, G.; Valarcher, J.F.; Bongcam-Rudloff, E.; Andersson, G.; Humblot, P. Differential gene expression in bovine endometrial epithelial cells after challenge with LPS; specific implications for genes involved in embryo maternal interactions. PLoS ONE 2019, 14, e0222081. [Google Scholar] [CrossRef] [PubMed]
- Talukder, A.; McDonald, M.; Browne, J.; Charpigny, G.; Rizos, D.; Lonergan, P. Response of bovine endometrium to interferon tau in the presence of lipopolysaccharide. Theriogenology 2024, 229, 169–177. [Google Scholar] [CrossRef] [PubMed]
- Mokhtari, S.; Mahdavi, A.H.; Hajian, M.; Kowsar, R.; Varnosfaderani, S.R.; Nasr-Esfahani, M.H. The attenuation of the toxic effects of LPS on mouse pre-implantation development by alpha-lipoic acid. Theriogenology 2019, 143, 139–147. [Google Scholar] [CrossRef] [PubMed]
- Yazlık, M.O.; Mutluer, I.; Kaya, U.; Özkan, H.; Müştak, İ.B.; Çolakoğlu, H.E.; Altınbaş, Y.F.; Vural, M.R. The role of nutritional-immunological indices in estimating serum LPS and antioxidant enzyme activity and sepsis status in female dogs with pyometra caused by E. coli. Anim. Reprod. Sci. 2023, 255, 107276. [Google Scholar] [CrossRef]
- Deb, K.; Chaturvedi, M.M.; Jaiswal, Y.K. Gram-Negative Bacterial LPS Induced Poor Uterine Receptivity andImplantation Failure in Mouse: Alterations in IL-1β Expression in the Preimplantation Embryo and Uterine Horns. Infect. Dis. Obstet. Gynecol. 2005, 13, 125–133. [Google Scholar] [CrossRef] [PubMed]
- Jaiswal, Y.K.; Jaiswal, M.K.; Agrawal, V.; Chaturvedi, M.M. Bacterial endotoxin (LPS)–induced DNA damage in preimplanting embryonic and uterine cells inhibits implantation. Fertil. Steril. 2008, 91, 2095–2103. [Google Scholar] [CrossRef]
- Arosh, J.A.; Banu, S.K.; McCracken, J.A. Novel concepts on the role of prostaglandins on luteal maintenance and maternal recognition and establishment of pregnancy in ruminants. J. Dairy Sci. 2016, 99, 5926–5940. [Google Scholar] [CrossRef] [PubMed]
- Yang, D.; Jiang, T.; Liu, J.; Hong, J.; Lin, P.; Chen, H.; Zhou, D.; Tang, K.; Wang, A.; Jin, Y. Hormone regulates endometrial function via cooperation of endoplasmic reticulum stress and mTOR-autophagy. J. Cell. Physiol. 2017, 233, 6644–6659. [Google Scholar] [CrossRef]
- Fu, L.; Chen, Y.-H.; Xu, S.; Yu, Z.; Zhang, Z.-H.; Zhang, C.; Wang, H.; Xu, D.-X. Oral cholecalciferol supplementation alleviates lipopolysaccharide-induced preterm delivery partially through regulating placental steroid hormones and prostaglandins in mice. Int. Immunopharmacol. 2019, 69, 235–244. [Google Scholar] [CrossRef]
- Herzog, K.; Strüve, K.; Kastelic, J.P.; Piechotta, M.; Ulbrich, S.E.; Pfarrer, C.; Shirasuna, K.; Shimizu, T.; Miyamoto, A.; Bollwein, H. Escherichia coli lipopolysaccharide administration transiently suppresses luteal structure and function in diestrous cows. Reproduction 2012, 144, 467–476. [Google Scholar] [CrossRef]
- Dorniak, P.; Bazer, F.W.; Spencer, T.E. Prostaglandins regulate conceptus elongation and mediate effects of interferon tau on the ovine uterine endometrium. Biol. Reprod. 2011, 84, 1119–1127. [Google Scholar] [CrossRef] [PubMed]
- Simmons, R.M.; Satterfield, M.C.; Welsh, T.H.; Bazer, F.W.; Spencer, T.E. HSD11B1, HSD11B2, PTGS2, and NR3C1 expression in the peri-implantation ovine uterus: Effects of pregnancy, progesterone, and interferon tau. Biol. Reprod. 2009, 82, 35–43. [Google Scholar] [CrossRef] [PubMed]
- Vagnoni, K.E.; Christiansen, N.D.; Holyoak, G.R.; Janowiak, M.A.; Martin, P.H. Cellular source in ewes of prostaglandin-endoperoxide synthase-2 in uterine arteries following stimulation with lipopolysaccharide. Biol. Reprod. 1999, 61, 563–568. [Google Scholar] [CrossRef] [PubMed]
- Hansen, T.R.; Sinedino, L.D.P.; Spencer, T.E. Paracrine and endocrine actions of interferon tau (IFNT). Reproduction 2017, 154, F45–F59. [Google Scholar] [CrossRef]
- Brooks, K.; Burns, G.; Spencer, T.E. Conceptus elongation in ruminants: Roles of progesterone, prostaglandin, interferon tau and cortisol. J. Anim. Sci. Biotechnol. 2014, 5, 53. [Google Scholar] [CrossRef] [PubMed]
- Cheng, Z.; Chauhan, L.; Barry, A.T.; Abudureyimu, A.; Oguejiofor, C.F.; Chen, X.; Wathes, D.C. Acute bovine viral diarrhoea virus infection inhibits expression of interferon tau-stimulated genes in bovine endometrium. Biol. Reprod. 2017, 96, 1142–1153. [Google Scholar] [CrossRef] [PubMed]
- Bogunovic, D.; Boisson-Dupuis, S.; Casanova, J.-L. ISG15: Leading a double life as a secreted molecule. Exp. Mol. Med. 2013, 45, e18. [Google Scholar] [CrossRef]
- Nakamura, K.; Kusama, K.; Bai, R.; Sakurai, T.; Isuzugawa, K.; Godkin, J.D.; Suda, Y.; Imakawa, K. Induction of IFNT-Stimulated Genes by Conceptus-Derived Exosomes during the Attachment Period. PLoS ONE 2016, 11, e0158278. [Google Scholar] [CrossRef] [PubMed]
- Song, G.; Bazer, F.W.; Spencer, T.E. Pregnancy and interferon tau regulate RSAD2 and IFIH1 expression in the ovine uterus. Reproduction 2007, 133, 285–295. [Google Scholar] [CrossRef] [PubMed]
- Malakhova, O.; Malakhov, M.; Hetherington, C.; Zhang, D.-E. Lipopolysaccharide activates the expression of ISG15-specific protease UBP43 via interferon regulatory factor 3. J. Biol. Chem. 2002, 277, 14703–14711. [Google Scholar] [CrossRef]
- Kuwabara, Y.; Katayama, A.; Kurihara, S.; Ito, M.; Yonezawa, M.; Ouchi, N.; Kurashina, R.; Ichikawa, T.; Sawa, R.; Nakai, A.; et al. Diversity of progesterone action on lipopolysaccharide-induced expression changes in cultured human cervical fibroblasts according to inflammation and treatment timing. Am. J. Reprod. Immunol. 2017, 78, e12731. [Google Scholar] [CrossRef] [PubMed]
- Zhang, X.; Gong, S.; Li, H.; Jiang, J.; Jia, Y.; Zhang, R.; Liu, H.; Wang, A.; Jin, Y.; Lin, P. USP18 promotes endometrial receptivity via the JAK/STAT1 and the ISGylation pathway. Theriogenology 2023, 202, 110–118. [Google Scholar] [CrossRef] [PubMed]
- Vasquez, Y.M.; Wang, X.; Wetendorf, M.; Franco, H.L.; Mo, Q.; Wang, T.; Lanz, R.B.; Young, S.L.; Lessey, B.A.; Spencer, T.E.; et al. FOXO1 regulates uterine epithelial integrity and progesterone receptor expression critical for embryo implantation. PLOS Genet. 2018, 14, e1007787. [Google Scholar] [CrossRef] [PubMed]
- Johnson, G.A.; Burghardt, R.C.; Bazer, F.W. Osteopontin: A leading candidate adhesion molecule for implantation in pigs and sheep. J. Anim. Sci. Biotechnol. 2014, 5, 56. [Google Scholar] [CrossRef]
- Imakawa, K.; Bai, R.; Kusama, K. Integration of molecules to construct the processes of conceptus implantation to the maternal endometrium. J. Anim. Sci. 2018, 96, 3009–3021. [Google Scholar] [CrossRef] [PubMed]
- Frank, J.W.; Steinhauser, C.B.; Wang, X.; Burghardt, R.C.; Bazer, F.W.; Johnson, G.A. Loss of ITGB3 in ovine conceptuses decreases conceptus expression of NOS3 and SPP1: Implications for the developing placental vasculature†. Biol. Reprod. 2020, 104, 657–668. [Google Scholar] [CrossRef] [PubMed]
- Xiao, H.-B.; Wang, C.-R.; Liu, Z.-K.; Wang, J.-Y. LPS induces pro-inflammatory response in mastitis mice and mammary epithelial cells: Possible involvement of NF-κB signaling and OPN. Pathol. Biol. 2014, 63, 11–16. [Google Scholar] [CrossRef] [PubMed]
- Surveyor, G.A.; Gendler, S.J.; Pemberton, L.; Das, S.K.; Chakraborty, I.; Julian, J.; A Pimental, R.; Wegner, C.C.; Dey, S.K.; Carson, D.D. Expression and steroid hormonal control of Muc-1 in the mouse uterus. Endocrinology 1995, 136, 3639–3647. [Google Scholar] [CrossRef] [PubMed]
- Aplin, J.D. MUC-1 glycosylation in endometrium: Possible roles of the apical glycocalyx at implantation. Hum. Reprod. 2000, 14, 17–25. [Google Scholar] [CrossRef]
- Hoffman, L.H.; Olson, G.E.; Carson, D.D.; Chilton, B.S. Progesterone and implanting blastocysts regulate Muc1 expression in rabbit uterine epithelium. Endocrinology 1998, 139, 266–271. [Google Scholar] [CrossRef] [PubMed]
- Johnson, G.A.; Bazer, F.W.; Jaeger, L.A.; Ka, H.; Garlow, J.E.; Pfarrer, C.; Spencer, T.E.; Burghardt, R.C. Muc-1, integrin, and osteopontin expression during the implantation cascade in sheep. Biol. Reprod. 2001, 65, 820–828. [Google Scholar] [CrossRef] [PubMed]
- Feng, R.; Qin, X.; Li, Q.; Adeniran, S.O.; Huang, F.; Li, Y.; Zhao, Q.; Zheng, P. Progesterone regulates inflammation and receptivity of cells via the NF-κB and LIF/STAT3 pathways. Theriogenology 2022, 186, 50–59. [Google Scholar] [CrossRef] [PubMed]
- Guo, S.; Li, Z.; Yan, L.; Sun, Y.; Feng, Y. GnRH agonist improves pregnancy outcome in mice with induced adenomyosis by restoring endometrial receptivity. Drug Des. Dev. Ther. 2018, 12, 1621–1631. [Google Scholar] [CrossRef]
- Xu, B.; Geerts, D.; Bu, Z.; Ai, J.; Jin, L.; Li, Y.; Zhang, H.; Zhu, G. Regulation of endometrial receptivity by the highly expressed HOXA9, HOXA11 and HOXD10 HOX-class homeobox genes. Hum. Reprod. 2014, 29, 781–790. [Google Scholar] [CrossRef] [PubMed]
- Kim, J.J.; Fazleabas, A.T. Uterine receptivity and implantation: The regulation and action of insulin-like growth factor binding protein-1 (IGFBP-1), HOXA10 and forkhead transcription factor-1 (FOXO-1) in the baboon endometrium. Reprod. Biol. Endocrinol. 2004, 2, 34. [Google Scholar] [CrossRef]
- Chung, T.-W.; Park, M.-J.; Kim, H.S.; Choi, H.-J.; Ha, K.-T. Integrin αVβ3 and αVβ5 are required for leukemia inhibitory factor-mediated the adhesion of trophoblast cells to the endometrial cells. Biochem. Biophys. Res. Commun. 2016, 469, 936–940. [Google Scholar] [CrossRef]
- Tsai, H.-D.; Chang, C.-C.; Hsieh, Y.-Y.; Lo, H.-Y. Leukemia inhibitory factor expression in different endometrial locations between fertile and infertile women throughout different menstrual phases. J. Assist. Reprod. Genet. 2000, 17, 415–418. [Google Scholar] [CrossRef]
- Liu, K.H.; Huang, J.C.; Godkin, J.D. Characterization of protein production by caprine placental membranes: Identification and immunolocalization of retinol-binding protein. J. Endocrinol. 1995, 146, 527–534. [Google Scholar] [CrossRef]
- Aisemberg, J.; Vercelli, C.A.; Bariani, M.V.; Billi, S.C.; Wolfson, M.L.; Franchi, A.M. Progesterone is essential for protecting against lps-induced pregnancy loss. LIF as a potential mediator of the anti-inflammatory effect of progesterone. PLoS ONE 2013, 8, e56161. [Google Scholar] [CrossRef]
- Stewart, M.D.; Johnson, G.A.; Bazer, F.W.; Spencer, T.E. Interferon-τ (IFNτ) regulation of IFN-stimulated gene expression in cell lines lacking specific IFN-signaling components. Endocrinology 2001, 142, 1786–1794. [Google Scholar] [CrossRef] [PubMed][Green Version]
- Zinnah, M.A.; Marey, M.A.; Akhtar, I.; Elesh, I.F.; Matsuno, Y.; Elweza, A.E.; Ma, D.; Fiorenza, M.; Sasaki, M.; Shimada, M.; et al. Peptidoglycan disrupts early embryo-maternal crosstalk via suppression of ISGs expression induced by interferon-tau in the bovine endometrium. Biochem. Biophys. Res. Commun. 2020, 532, 101–107. [Google Scholar] [CrossRef] [PubMed]






Disclaimer/Publisher’s Note: The statements, opinions and data contained in all publications are solely those of the individual author(s) and contributor(s) and not of MDPI and/or the editor(s). MDPI and/or the editor(s) disclaim responsibility for any injury to people or property resulting from any ideas, methods, instructions or products referred to in the content. |
© 2024 by the authors. Licensee MDPI, Basel, Switzerland. This article is an open access article distributed under the terms and conditions of the Creative Commons Attribution (CC BY) license (https://creativecommons.org/licenses/by/4.0/).
Share and Cite
Fan, X.; Wei, J.; Guo, Y.; Ma, J.; Qi, M.; Huang, H.; Zheng, P.; Jiang, W.; Yao, Y. LPS Disrupts Endometrial Receptivity by Inhibiting STAT1 Phosphorylation in Sheep. Int. J. Mol. Sci. 2024, 25, 13673. https://doi.org/10.3390/ijms252413673
Fan X, Wei J, Guo Y, Ma J, Qi M, Huang H, Zheng P, Jiang W, Yao Y. LPS Disrupts Endometrial Receptivity by Inhibiting STAT1 Phosphorylation in Sheep. International Journal of Molecular Sciences. 2024; 25(24):13673. https://doi.org/10.3390/ijms252413673
Chicago/Turabian StyleFan, Xing, Jinzi Wei, Yu Guo, Juan Ma, Meiyu Qi, He Huang, Peng Zheng, Wenjie Jiang, and Yuchang Yao. 2024. "LPS Disrupts Endometrial Receptivity by Inhibiting STAT1 Phosphorylation in Sheep" International Journal of Molecular Sciences 25, no. 24: 13673. https://doi.org/10.3390/ijms252413673
APA StyleFan, X., Wei, J., Guo, Y., Ma, J., Qi, M., Huang, H., Zheng, P., Jiang, W., & Yao, Y. (2024). LPS Disrupts Endometrial Receptivity by Inhibiting STAT1 Phosphorylation in Sheep. International Journal of Molecular Sciences, 25(24), 13673. https://doi.org/10.3390/ijms252413673

