Directed Mutagenesis for Arginine Substitution of a Phaseolus acutifolius Recombinant Lectin Disrupts Its Cytotoxic Activity
Abstract
1. Introduction
2. Results and Discussions
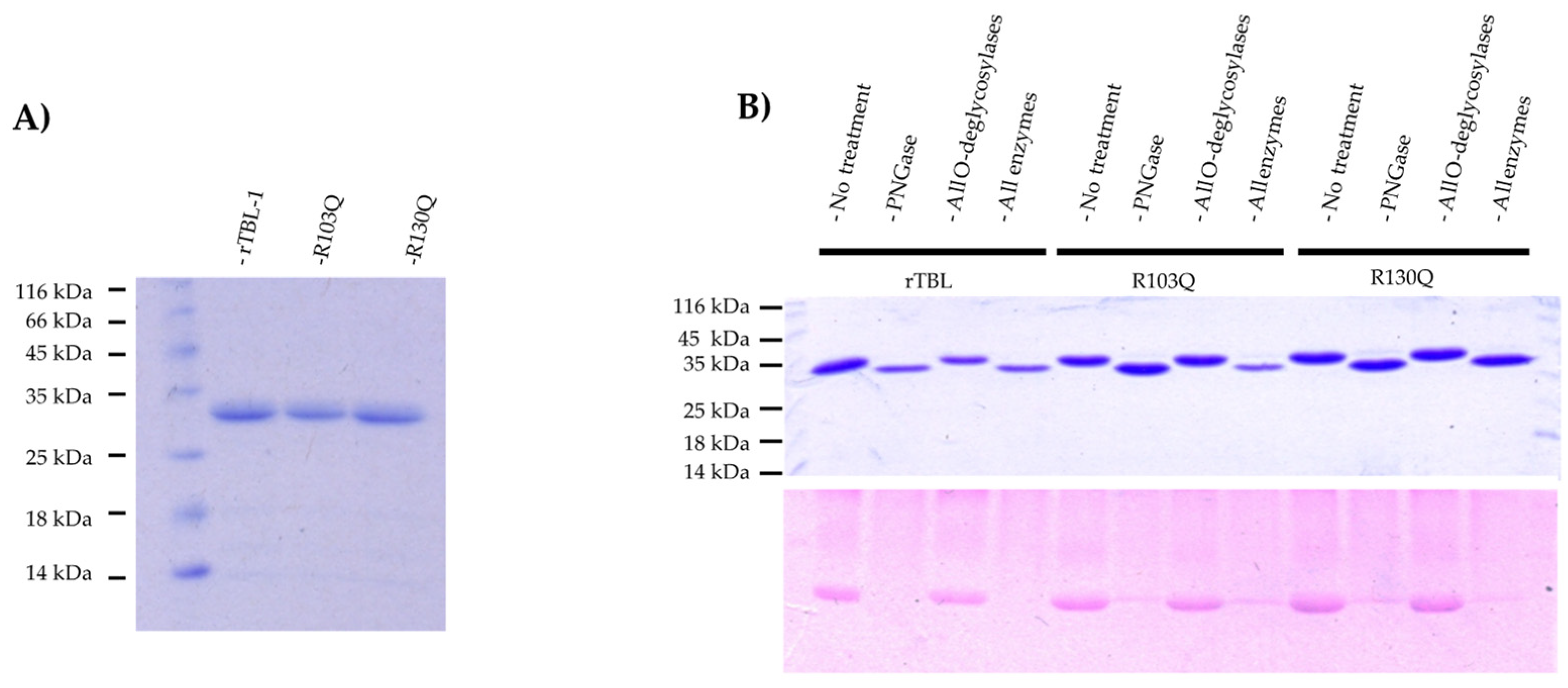
2.1. Production of rTBL-1 Mutants
2.2. R103Q and R130Q Biochemical Characterization

2.3. Cytotoxic Effect of R103Q and R130Q

2.4. Docking Analysis
2.4.1. Docking Analysis with Experimentally Recognized N-glycans
2.4.2. Docking Analysis with EGFR-Related N-glycans

2.4.3. The Role of R104 and R131 Residues in the Affinity rTBL-1 Toward EGFR-Related N-glycans by Docking Analysis


3. Materials and Methods
3.1. Site-Directed Mutagenesis
3.2. Transformation of Pichia pastoris
3.3. Heterologous Expression and Purification of R103Q and R130q Mutants
3.4. Size Exclusion Chromatography
3.5. Identification of the Glycosylation Present in the Recombinant Lectin
3.6. Cytotoxic Activity
3.7. Docking Analysis Procedure
4. Conclusions
Supplementary Materials
Author Contributions
Funding
Institutional Review Board Statement
Informed Consent Statement
Data Availability Statement
Acknowledgments
Conflicts of Interest
References
- Yau, T.; Dan, X.; Ng, C.C.; Ng, T.B. Lectins with potential for anti-cancer therapy. Molecules 2015, 20, 3791–3810. [Google Scholar] [CrossRef]
- Mazalovska, M.; Kouokam, J.C. Plant-Derived Lectins as Potential Cancer Therapeutics and Diagnostic Tools. Biomed. Res. Int. 2020, 2020, 1631394. [Google Scholar] [CrossRef]
- Wang, P.; Leng, X.; Duan, J.; Zhu, Y.; Wang, J.; Yan, Z.; Min, S.; Wei, D.; Wang, X. Functional Component Isolated from Phaseolus vulgaris Lectin Exerts In Vitro and In Vivo Anti-Tumor Activity Through Potentiation of Apoptosis and Immunomodulation. Molecules 2021, 26, 498. [Google Scholar] [CrossRef]
- Kiss, R.; Camby, I.; Duckworth, C.; De Decker, R.; Salmon, I.; Pasteels, J.L.; Danguy, A.; Yeaton, P. In vitro influence of Phaseolus vulgaris, Griffonia simplicifolia, concanavalin A, wheat germ, and peanut agglutinins on HCT-15, LoVo, and SW837 human colorectal cancer cell growth. Gut 1997, 40, 253–261. [Google Scholar] [CrossRef]
- Bardocz, S.; Grant, G.; Duguid, T.J.; Brown, D.S.; Pusztai, A.; Pryme, I.F. Intracellular levels of polyamines in Krebs II lymphosarcoma cells in mice fed phytohaemagglutinin-containing diets are coupled with altered tumour growth. Cancer Lett. 1997, 121, 25–29. [Google Scholar] [CrossRef]
- Pryme, I.F.; Pusztai, A.; Bardocz, S.; Ewen, S.W. A combination of dietary protein depletion and PHA-induced gut growth reduce the mass of a murine non-Hodgkin lymphoma. Cancer Lett. 1999, 139, 145–152. [Google Scholar] [CrossRef]
- Pryme, I.F.; Bardocz, S.; Pusztai, A.; Ewen, S.W. The growth of an established murine non-Hodgkin lymphoma tumour is limited by switching to a phytohaemagglutinin-containing diet. Cancer Lett. 1999, 146, 87–91. [Google Scholar] [CrossRef]
- Valadez-Vega, C.; Morales-González, J.A.; Sumaya-Martínez, M.T.; Delgado-Olivares, L.; Cruz-Castañeda, A.; Bautista, M.; Sánchez-Gutiérrez, M.; Zuñiga-Pérez, C. Cytotoxic and antiproliferative effect of tepary bean lectins on C33-A, MCF-7, SKNSH, and SW480 cell lines. Molecules 2014, 19, 9610–9627. [Google Scholar] [CrossRef]
- Moreno-Celis, U.; López-Martínez, F.J.; Cervantes-Jiménez, R.; Ferríz-Martínez, R.A.; Blanco-Labra, A.; García-Gasca, T. Tepary Bean (Phaseolus acutifolius) Lectins Induce Apoptosis and Cell Arrest in G0/G1 by P53(Ser46) Phosphorylation in Colon Cancer Cells. Molecules 2020, 25, 1021. [Google Scholar] [CrossRef]
- Torres-Arteaga, I.; Castro-Guillén, J.L.; Mendiola-Olaya, E.; García-Gasca, T.; Ángeles-Zaragoza, M.V.; García-Santoyo, V.; Torres-Castillo, J.A.; Aguirre, C.; Phinney, B.; Blanco-Labra, A. Characterization of Two Non-fetuin-binding Lectins from Tepary Bean (Phaseolus acutifolius) Seeds with Differential Cytotoxicity on Colon Cancer Cells. J. Glycobiol. 2016, 5, 1000117. [Google Scholar] [CrossRef]
- Torres-Arteaga, I.; Blanco-Labra, A.; Mendiola-Olaya, E.; García-Gasca, T.; Aguirre-Mancilla, C.; Ortega-de-Santiago, A.L.; Barboza, M.; Lebrilla, C.B.; Castro-Guillén, J.L. Comparative study, homology modelling and molecular docking with cancer associated glycans of two non-fetuin-binding Tepary bean lectins. Glycoconj. J. 2022, 40, 69–84. [Google Scholar] [CrossRef]
- Moreno-Celis, U.; López-Martínez, J.; Blanco-Labra, A.; Cervantes-Jiménez, R.; Estrada-Martínez, L.A.; García-Pascalin, A.E.; Guerrero-Carrillo, M.J.; Rodríguez-Méndez, A.J.; Mejía, C.; Ferríz-Martínez, R.A.; et al. Phaseolus acutifolius Lectin Fractions Exhibit Apoptotic Effects on Colon Cancer: Preclinical Studies Using Dimethilhydrazine or Azoxi-Methane as Cancer Induction Agents. Molecules 2017, 22, 1670. [Google Scholar] [CrossRef]
- Martínez-Alarcón, D.; Varrot, A.; Fitches, E.; Gatehouse, J.A.; Cao, M.; Pyati, P.; Blanco-Labra, A.; Garcia-Gasca, T. Recombinant Lectin from Tepary Bean (Phaseolus acutifolius) with Specific Recognition for Cancer-Associated Glycans: Production, Structural Characterization, and Target Identification. Biomolecules 2020, 10, 654. [Google Scholar] [CrossRef]
- Palmerín-Carreño, D.; Martínez-Alarcón, D.; Dena-Beltrán, J.L.; Vega-Rojas, L.J.; Blanco-Labra, A.; Escobedo-Reyes, A.; García-Gasca, T. Optimization of a Recombinant Lectin Production in Pichia pastoris Using Crude Glycerol in a Fed-Batch System. Processes 2021, 9, 876. [Google Scholar] [CrossRef]
- Dena-Beltrán, J.L.; Nava-Domínguez, P.; Palmerín-Carreño, D.; Martínez-Alarcón, D.; Moreno-Celis, U.; Valle-Pacheco, M.; Castro-Guillén, J.L.; Blanco-Labra, A.; García-Gasca, T. EGFR and p38MAPK Contribute to the Apoptotic Effect of the Recombinant Lectin from Tepary Bean (Phaseolus acutifolius) in Colon Cancer Cells. Pharmaceuticals 2023, 16, 290. [Google Scholar] [CrossRef]
- Nagae, M.; Soga, K.; Morita-Matsumoto, K.; Hanashima, S.; Ikeda, A.; Yamamoto, K.; Yamaguchi, Y. Phytohemagglutinin from Phaseolus vulgaris (PHA-E) displays a novel glycan recognition mode using a common legume lectin fold. Glycobiology 2014, 24, 368–378. [Google Scholar] [CrossRef]
- Radhakrishnan, A.; Chellapandian, H.; Ramasamy, P.; Jeyachandran, S. Back2Basics: Animal lectins: An insight into a highly versatile recognition protein. J. Proteins Proteom. 2023, 14, 43–59. [Google Scholar] [CrossRef]
- Bianchet, M.A.; Ahmed, H.; Vasta, G.R.; Amzel, L.M. Structural aspects of lectin-ligand interactions. In Animal Lectins: A Functional View; Vasta, G.R., Ahmed, H., Eds.; CRC Press Taylor & Francis Group: Boca Raton, FL, USA, 2008; pp. 25–26. [Google Scholar] [CrossRef]
- Yoshimura, A.; Hatanaka, R.; Tanaka, H.; Kitajima, K.; Sato, C. The conserved arginine residue in all siglecs is essential for Siglec-7 binding to sialic acid. Biochem. Biophys. Res. Commun. 2021, 534, 1069–1075. [Google Scholar] [CrossRef]
- Ren, X.; Lin, S.; Guan, F.; Kang, H. Glycosylation Targeting: A Paradigm Shift in Cancer Immunotherapy. Int. J. Biol. Sci. 2024, 20, 2607–2621. [Google Scholar] [CrossRef]
- Stroop, C.J.; Weber, W.; Gerwig, G.J.; Nimtz, M.; Kamerling, J.P.; Vliegenthart, J.F. Characterization of the carbohydrate chains of the secreted form of the human epidermal growth factor receptor. Glycobiology 2000, 10, 901–917. [Google Scholar] [CrossRef]
- Luke, B. Beyond the Sequon: Sites of N-Glycosylation; IntechOpen: London, UK, 2012. [Google Scholar] [CrossRef][Green Version]
- Venkatraman, V.; Yang, Y.D.; Sael, L.; Kihara, D. Protein-protein docking using region-based 3D Zernike descriptors. BMC Bioinform. 2009, 10, 407. [Google Scholar] [CrossRef]
- Khorana, A.A.; Ryan, C.K.; Cox, C.; Eberly, S.; Sahasrabudhe, D.M. Vascular endothelial growth factor, CD68, and epidermal growth factor receptor expression and survival in patients with Stage II and Stage III colon carcinoma: A role for the host response in prognosis. Cancer 2003, 97, 960–968. [Google Scholar] [CrossRef]
- Luque-Garcia, J.L.; Martinez-Torrecuadrada, J.L.; Epifano, C.; Canamero, M.; Babel, I.; Casal, J.I. Differential protein expression on the cell surface of colorectal cancer cells associated to tumor metastasis. Proteomics 2010, 10, 940–952. [Google Scholar] [CrossRef]
- Gan, Y.; Chen, D.; Li, X. Proteomic analysis reveals novel proteins associated with progression and differentiation of colorectal carcinoma. J. Cancer Res. Ther. 2014, 10, 89–96. [Google Scholar] [CrossRef]
- Sethi, M.K.; Fanayan, S. Mass Spectrometry-Based N-Glycomics of Colorectal Cancer. Int. J. Mol. Sci. 2015, 16, 29278–29304. [Google Scholar] [CrossRef]
- Varki, A.; Cummings, R.D.; Aebi, M.; Packer, N.H.; Seeberger, P.H.; Esko, J.D.; Stanley, P.; Hart, G.; Darvill, A.; Kinoshita, T.; et al. Symbol Nomenclature for Graphical Representations of Glycans. Glycobiology 2015, 25, 1323–1324. [Google Scholar] [CrossRef]
- Woods Group. GLYCAM Web. Complex Carbohydrate Research Center, University of Georgia, Athens, GA. 2005–2024. Available online: http://legacy.glycam.org (accessed on 8 February 2023).
- Duvaud, S.; Gabella, C.; Lisacek, F.; Stockinger, H.; Ioannidis, V.; Durinx, C. Expasy, the Swiss Bioinformatics Resource Portal, as designed by its users. Nucleic Acids Res. 2021, 49, W216–W227. [Google Scholar] [CrossRef]
- Zhou, Y.; Fukuda, T.; Hang, Q.; Hou, S.; Isaji, T.; Kameyama, A.; Gu, J. Inhibition of fucosylation by 2-fluorofucose suppresses human liver cancer HepG2 cell proliferation and migration as well as tumor formation. Sci. Rep. 2017, 7, 11563. [Google Scholar] [CrossRef]
- De Freitas Junior, J.C.M.; Morgado-Díaz, J.A. The role of N-glycans in colorectal cancer progression: Potential biomarkers and therapeutic applications. Oncotarget 2016, 7, 19395–19413. [Google Scholar] [CrossRef]
- Kim, H.J.; Kim, S.C.; Ju, W.; Kim, Y.H.; Yin, S.Y.; Kim, H.J. Aberrant sialylation and fucosylation of intracellular proteins in cervical tissue are critical markers of cervical carcinogenesis. Oncol. Rep. 2014, 31, 1417–1422. [Google Scholar] [CrossRef][Green Version]
- Yang, S.T.; Liu, C.H.; Chao, W.T.; Liu, H.H.; Lee, W.L.; Wang, P.H. The role of sialylation in gynecologic cancers. Taiwan J. Obstet. Gynecol. 2023, 62, 651–654. [Google Scholar] [CrossRef]
- Park, J.-J.; Lee, M. Increasing the α 2,6 Sialylation of Glycoproteins May Contribute to Metastatic Spread and Therapeutic Resistance in Colorectal Cancer. Gut Liver 2013, 7, 629–641. [Google Scholar] [CrossRef]
- Pearce, O.M.T.; Läubli, H. Sialic acids in cancer biology and immunity. Glycobiology 2016, 26, 111–128. [Google Scholar] [CrossRef]
- Dorsett, K.A.; Marciel, M.P.; Hwang, J.; Ankenbauer, K.E.; Bhalerao, N.; Bellis, S.L. Regulation of ST6GAL1 sialyltransferase expression in cancer cells. Glycobiology 2021, 31, 530–539. [Google Scholar] [CrossRef]
- Munkley, J. Aberrant Sialylation in Cancer: Therapeutic Opportunities. Cancers 2022, 14, 4248. [Google Scholar] [CrossRef]
- Yen, H.Y.; Liu, Y.C.; Chen, N.Y.; Tsai, C.F.; Wang, Y.T.; Chen, Y.J.; Hsu, T.L.; Yang, P.C.; Wong, C.H. Effect of sialylation on EGFR phosphorylation and resistance to tyrosine kinase inhibition. Proc. Natl. Acad. Sci. USA 2015, 112, 6955–6960. [Google Scholar] [CrossRef]
- Britain, C.M.; Holdbrooks, A.T.; Anderson, J.C.; Willey, C.D.; Bellis, S.L. Sialylation of EGFR by the ST6Gal-I sialyltransferase promotes EGFR activation and resistance to gefitinib-mediated cell death. J. Ovarian Res. 2018, 11, 12. [Google Scholar] [CrossRef]
- Dobie, C.; Skropeta, D. Insights into the role of sialylation in cancer progression and metastasis. Br. J. Cancer 2021, 124, 76–90. [Google Scholar] [CrossRef]
- Krissinel, E.; Henrick, K. Inference of macromolecular assemblies from crystalline state. J. Mol. Biol. 2007, 372, 774–797. [Google Scholar] [CrossRef]
- Hotchkiss, R.D. A microchemical reaction resulting in the staining of polysaccharide structures in fixed tissue preparations. Arch. Biochem. 1948, 16, 131–141. Available online: https://pubmed.ncbi.nlm.nih.gov/18921848/ (accessed on 22 January 2021).
- DeLano, W.L. PyMOL, version 2.3.4; The PyMOL Molecular Graphics System; DeLano Scientific LLC: San Carlos, CA, USA, 2022. Available online: https://pymol.org/2/ (accessed on 20 December 2022).
- Adasme, M.F.; Linnemann, K.L.; Bolz, S.N.; Kaiser, F.; Salentin, S.; Haupt, V.J.; Schroeder, M. PLIP 2021: Expanding the scope of the protein–ligand interaction profiler to DNA and RNA. Nucl. Acids Res. 2021, 49, W530–W534. [Google Scholar] [CrossRef]
- Salentin, S.; Schreiber, S.; Haupt, V.J.; Adasme, M.F.; Schroeder, M. PLIP: Fully automated protein–ligand interaction profiler. Nucl. Acids Res. 2015, 43, W443–W447. [Google Scholar] [CrossRef]
- Dassault Systèmes. BIOVIA Discovery Studio Visualizer, version 21.1.0.20298; Dassault Systèmes: San Diego, CA, USA, 2020.


| 2D-Graphical N-glycan Structure According to (SNFG) [28] | N-glycan ID [30] | Reported Molecular Mass (kDa) [30] | ΔiG (Kcal/mol) | ||
|---|---|---|---|---|---|
| rTBL-1 | R104Q | R131Q | |||
|  | 876 | 4.05 |  |  |  | 
| −12.79 | −6.57 | −8.03 | |||
|  | 1944 | 3.68 |  |  |  | 
| −7.99 | −6.44 | −8.20 | |||
|  | 1658 | 3.83 |  |  |  | 
| −10.39 | −13.80 | −15.09 | |||
|  | 2132 | 4.19 |  |  |  | 
| −10.99 | −3.18 | −11.75 | |||
|  | 2608 | 4.19 |  |  |  | 
| −7.86 | −7.50 | −10.99 | |||
|  | 3414 | 4.34 |  |  |  | 
| −12.59 | −8.91 | −5.83 | |||
|  | |||||
| Disclaimer/Publisher’s Note: The statements, opinions and data contained in all publications are solely those of the individual author(s) and contributor(s) and not of MDPI and/or the editor(s). MDPI and/or the editor(s) disclaim responsibility for any injury to people or property resulting from any ideas, methods, instructions or products referred to in the content. | 
© 2024 by the authors. Licensee MDPI, Basel, Switzerland. This article is an open access article distributed under the terms and conditions of the Creative Commons Attribution (CC BY) license (https://creativecommons.org/licenses/by/4.0/).
Share and Cite
Martínez-Alarcón, D.; Castro-Guillén, J.L.; Fitches, E.; Gatehouse, J.A.; Przyborski, S.; Moreno-Celis, U.; Blanco-Labra, A.; García-Gasca, T. Directed Mutagenesis for Arginine Substitution of a Phaseolus acutifolius Recombinant Lectin Disrupts Its Cytotoxic Activity. Int. J. Mol. Sci. 2024, 25, 13258. https://doi.org/10.3390/ijms252413258
Martínez-Alarcón D, Castro-Guillén JL, Fitches E, Gatehouse JA, Przyborski S, Moreno-Celis U, Blanco-Labra A, García-Gasca T. Directed Mutagenesis for Arginine Substitution of a Phaseolus acutifolius Recombinant Lectin Disrupts Its Cytotoxic Activity. International Journal of Molecular Sciences. 2024; 25(24):13258. https://doi.org/10.3390/ijms252413258
Chicago/Turabian StyleMartínez-Alarcón, Dania, José Luis Castro-Guillén, Elaine Fitches, John A. Gatehouse, Stefan Przyborski, Ulisses Moreno-Celis, Alejandro Blanco-Labra, and Teresa García-Gasca. 2024. "Directed Mutagenesis for Arginine Substitution of a Phaseolus acutifolius Recombinant Lectin Disrupts Its Cytotoxic Activity" International Journal of Molecular Sciences 25, no. 24: 13258. https://doi.org/10.3390/ijms252413258
APA StyleMartínez-Alarcón, D., Castro-Guillén, J. L., Fitches, E., Gatehouse, J. A., Przyborski, S., Moreno-Celis, U., Blanco-Labra, A., & García-Gasca, T. (2024). Directed Mutagenesis for Arginine Substitution of a Phaseolus acutifolius Recombinant Lectin Disrupts Its Cytotoxic Activity. International Journal of Molecular Sciences, 25(24), 13258. https://doi.org/10.3390/ijms252413258
 
        




 
       