Exploring Antimicrobial Compounds from Agri-Food Wastes for Sustainable Applications
Abstract
1. Introduction
2. Classification and Properties of Recoverable Components from Agri-Food Wastes
3. Extraction Methods of Bioactive Molecules—State of the Art
| Extraction Method | Advantages | Disadvantages | Extraction Principle | Ref. |
|---|---|---|---|---|
| Soxhlet (SE) | High extraction efficiency due to continuous and repeated solvent washing | Long extraction times, high volume of solvent, absence of agitation | Solid–liquid extraction | [34] |
| Maceration (ME) | Energy-efficient method; lower carbon footprint | Use of organic solvents | Solid–liquid extraction | [35] |
| Microwave-assisted extraction (MAE) | Pression and temperature control; short extraction times; suitable for industrial scale | Overheating phenomenon | Microwave | [36,37] |
| Ultrasound-assisted extraction (UAE) | Higher yields; Short extraction times; | High costs; Undesirable molecular changes | Acoustic cavitation | [38] |
| Supercritical fluid extraction (SFE) | Selectively extract compounds; minimal solvent residue; lower temperatures | Susceptible to bacterial contamination | Supercritical Fluids | [39] |
| Subcritical water extraction (SWE) | Shorter extraction times; reduced solvent use; more eco-friendly | Susceptible to bacterial contamination | Supercritical Water | [39] |
| Pulsed electric field-assisted extraction (PEF) | Shorter extraction time; work at room temperature; minimum solvent use | High energy demand | Electrical waves | [41] |
| Enzyme-assisted extraction (EAE) | Selectively break down cell walls | Not specific final extract | Single or mixture enzymes | [42] |
| Extractive distillation, hydrodistillation (ED/HD) | Industrial scale; No organic solvents | High temperature | Distillation | [43] |
4. Bioactive Molecules Extracted from Agri-Food Wastes with Antimicrobial Properties: Recent Advances
4.1. Phenolic Compounds
4.1.1. Phenolic Compounds from Fruit Wastes
4.1.2. Phenolic Compounds from Vegetable Wastes
| Waste | Antimicrobial Molecules | Extraction Method | Potential Application | Ref. |
|---|---|---|---|---|
| Pomegranate peels | Polyphenols | Different extractions methods: CM, UE, SE, and SFE | Undefined | [46] |
| Pomegranate peels | Polyphenols, tannins | Pulsed ultrasound-assisted extraction in acetone | Food and pharmaceuticals | [47] |
| Mandarin peel | Flavonoids | Microwave-assisted extraction | Bioelastomer | [10] |
| Pineapple | Polyphenols | Ultrasound-assisted extraction | Undefined | [36] |
| Orange peels and olive leaves | Polyphenols | Ultrasound-assisted extraction | Biomedical application | [48] |
| Radish and Mango and radish peel | Polyphenols | Maceration in 80% ethanol for 2 h at 40 °C | Undefined | [52] |
| Peels and seeds of tropical fruit | Flavonoids | Maceration in methanol at RT | Industrial use | [53] |
| Peels and seeds of different tropical fruit | Polyphenols flavonoids | Maceration and MAE in water, ethanol 95% and water–ethanol | Active Food packaging | [54] |
| Feijoa Peel Flour (FPF) from Acca sellowiana | Polyphenols, flavonoid | No extraction: drying and homogenization of the peels | Edible coating | [55] |
| Avocado seeds | Flavonoids, quercetin, anthocyanidins | UAE using water as solvent SE using ethanol as solvent Supercritical carbon dioxide | Medicine, pharmaceutical, cosmetic | [28] |
| Makiang seed | Polyphenols, flavonoids | Ultrasound-assisted extraction in 70% ethanol solution | Extended shelf-life of food | [59] |
| Seeds from four grape variety (Cabernet, Marselan, Pinot Noir, and Tamyanka) | Flavonoids, anthocyanin, procyanidin | Maceration in 70% ethanol | Antimicrobial agents in food products | [60] |
| Olea europaea L. leaves | Flavonoids, Cinnamic acid | SE and MAE with different solvents: distilled water, ethanolic and glycerol | Undefined | [61] |
| Olea europaea L. leaves | Polyphenols | Microwave-assisted extraction | Natural additives | [62] |
| Hazelnut cuticle and shell | Polyphenols | Maceration in water/EtOH 50:50 and acetone/water 40:70 | Undefined | [63] |
| Walnut green husk (WGH) | Polyphenols | Maceration in 5 solvents: n-hexane, acetone, ethanol, methanol, water | Undefined | [64] |
| Lignocellulosic waste | Oligomeric proanthocyanidin | Convective extraction at 60 °C (30 min) in water or water/ethanol (1:1) | Antibacterial and antifungal | [65] |
| Onion, potato and garlic peel | Polyphenols, flavonoid | UAE with cold 80% methanol (30 min) | Undefined | [30] |
| Onion peel | Polyphenols | Maceration by four organic solvents: methanol, ethanol, acetone, and ethyl acetate | Potential pharmaceutical application | [66] |
| Potato and taro peels; Husk and silk of corn. | Polyphenols, flavonoid | Maceration in 70% ethanol | Therapeutic use | [67] |
| Saffron flowers | Polyphenols, flavonoids | Decoction in water for 1 h at 100 °C. Maceration in methanol for 48 h. SE by liquid–liquid hydro-ethanolic solution for 6 h | Food system as a natural preservative | [69] |
| Saffron flowers | Polyphenolic acid and flavonoids | SPE A: maceration in ethanol 70% at 45 °C. SPE B: UAE in Ethanol 70% for 10 min at RT | Food industry | [70] |

4.2. Essential Oils
4.3. Other Molecules
| Waste | Antimicrobial Molecules | Extraction Method | Potential Application | Ref. |
|---|---|---|---|---|
| Citrus limon leaves | Essential oil rich in citral and limonene | EO isolated by hydrodistillation from the discarded leaves of lemon (Citrus limon) plants | Food, cosmetic and pharmaceutical industries | [77] |
| Citrus limon var. pompia leaves | Limonene, geranial and neral | EO isolated by hydrodistillation | Cosmetic and pharmaceutical industries | [78] |
| Citrus limon peel | Essential oil rich in limonene | Microwave-assisted hydrodistillation (MAHD) with a Clevenger apparatus | Natural pigments and antimicrobials | [84] |
| Peel of different galgal (Citrus Pseudolimon) cultivars | Limonene, ocimene, myrcene, and pinene | Various methods: Clevenger apparatus, steam distillation, MAE, UAE, and SFE | Undefined | [85] |
| Camelia oleifera shell | Saponins | Maceration in 75% ethanol | Undefined | [90] |
| Cannabis sativa seeds | Glycerolipids | Maceration in water | Human health | [91] |
5. Mechanism of Antimicrobial Activity of the Different Class of Bioactive Molecules
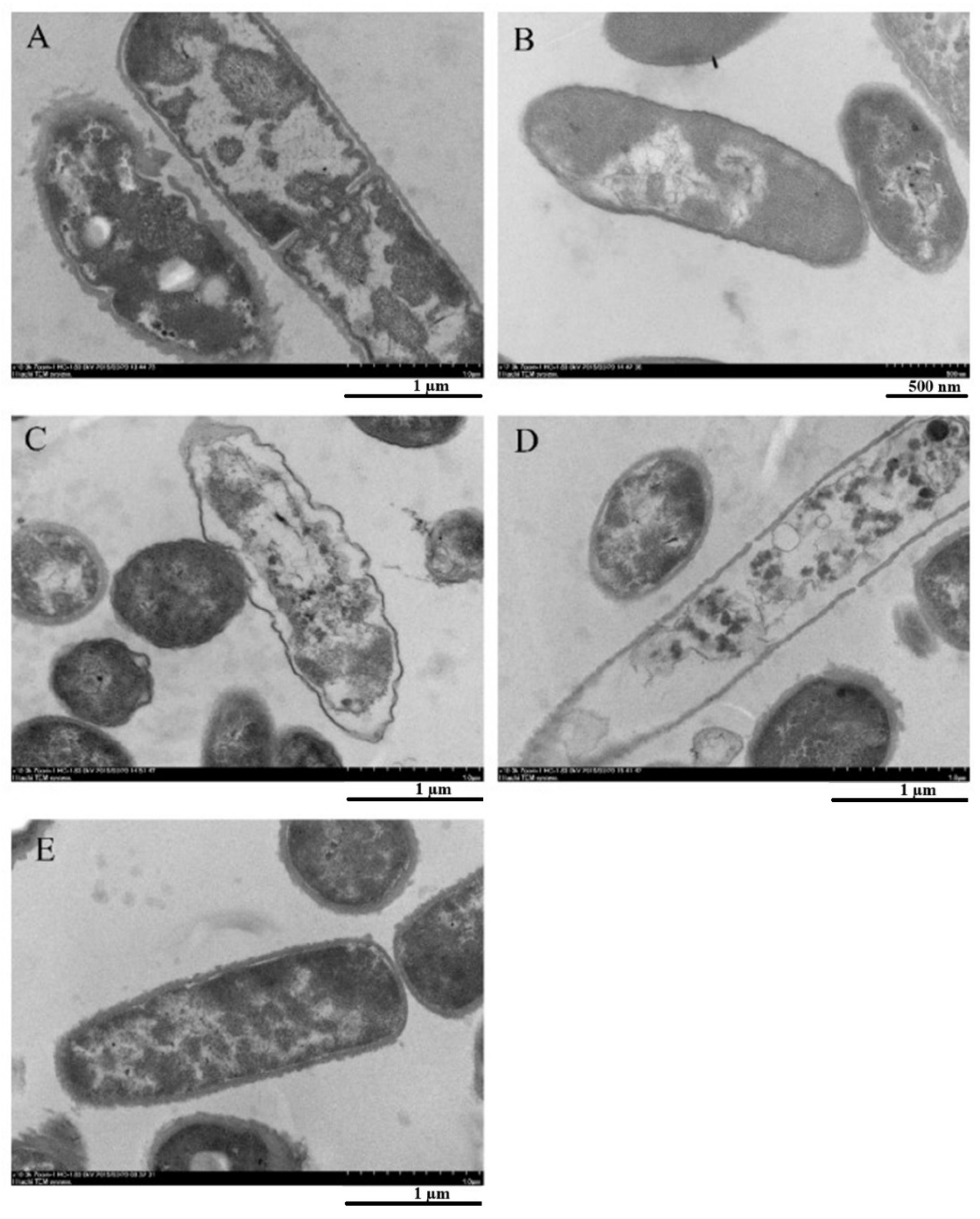
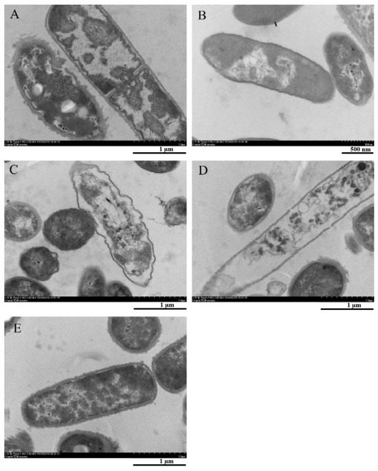
5.1. Alteration of the Cell Membrane
5.2. Inhibition of Energy Metabolism and the Bacterial DNA Synthesis of Bacteria
5.3. Disruption of Quorum Sensing and Biofilm Formation
6. Potential Applications
7. Bio-Economic Perspective
8. Conclusions
Funding
Conflicts of Interest
References
- Bond, M.; Meacham, T.; Bhunnoo, R.; Benton, T.G. Global Food Security Programme. September 2013, pp. 1–43. Available online: https://www.foodsecurity.ac.uk/publications/food-waste-within-global-food-systems.pdf (accessed on 5 December 2024).
- Liu, R.; Chen, Z.; Li, Y.; Zhang, L.; Wang, S.; Huang, C. Recycling of Pouteria Campechiana Pericarp Waste for Production of Edible Fresh-Keeping Film and Its Preservation Effect on Tilapia Meat. J. Clean. Prod. 2024, 452, 142146. [Google Scholar] [CrossRef]
- Karimi Sani, I.; Masoudpour-Behabadi, M.; Alizadeh Sani, M.; Motalebinejad, H.; Juma, A.S.M.; Asdagh, A.; Eghbaljoo, H.; Khodaei, S.M.; Rhim, J.W.; Mohammadi, F. Value-Added Utilization of Fruit and Vegetable Processing by-Products for the Manufacture of Biodegradable Food Packaging Films. Food Chem. 2023, 405, 134964. [Google Scholar] [CrossRef]
- Despoudi, S.; Bucatariu, C.; Otles, S.; Kartal, C.; Otles, S.; Despoudi, S.; Bucatariu, C.; Kartal, C. Food Waste Management, Valorization, and Sustainability in the Food Industry. In Food Waste Recovery; Elsevier: Amsterdam, The Netherlands, 2021; pp. 3–19. [Google Scholar]
- Jang, Y.W.; Lee, K.H.; Yoo, H.Y. Improved Sugar Recovery from Orange Peel by Statistical Optimization of Thermo-Alkaline Pretreatment. Processes 2021, 9, 409. [Google Scholar] [CrossRef]
- Ananno, A.A.; Masud, M.H.; Chowdhury, S.A.; Dabnichki, P.; Ahmed, N.; Arefin, A.M.E. Sustainable Food Waste Management Model for Bangladesh. Sustain. Prod. Consum. 2021, 27, 35–51. [Google Scholar] [CrossRef]
- Adedeji, A.A. Agri-Food Waste Reduction and Utilization: A Sustainability Perspective. J. ASABE 2022, 6, 471–479. [Google Scholar] [CrossRef]
- Mohajan, H.K. Circular Economy Can Provide a Sustainable Global Society. J. Econ. Dev. Environ. People 2020, 9, 38–62. [Google Scholar] [CrossRef]
- Martinez-Fernandez, J.S.; Gu, X.; Chen, S. Techno-Economic Assessment of Bioactive Compound Recovery from Potato Peels with Sequential Hydrothermal Extraction. J. Clean. Prod. 2021, 282, 124356. [Google Scholar] [CrossRef]
- Lee, K.H.; Chun, Y.; Lee, J.H.; Lee, J.U.; Lee, T.; Yoo, H.Y. Sustainable Utilization Strategy of Organic Waste via Fabrication of Bioelastomer with Antibacterial and Antioxidant Activities Using Mandarin Peel Extracts. Agriculture 2023, 13, 161. [Google Scholar] [CrossRef]
- Amran, M.A.; Palaniveloo, K.; Fauzi, R.; Satar, N.M.; Mohidin, T.B.M.; Mohan, G.; Razak, S.A.; Arunasalam, M.; Nagappan, T.; Sathiya Seelan, J.S. Value-Added Metabolites from Agricultural Waste and Application of Green Extraction Techniques. Sustainability 2021, 13, 11432. [Google Scholar] [CrossRef]
- Razzaq, H.A.A.; Gomez d’Ayala, G.; Santagata, G.; Bosco, F.; Mollea, C.; Larsen, N.; Duraccio, D. Bioactive Films Based on Barley β-Glucans and ZnO for Wound Healing Applications. Carbohydr. Polym. 2021, 272, 118442. [Google Scholar] [CrossRef]
- Soriente, A.; Zuppardi, F.; Duraccio, D.; d’Ayala, G.G.; Razzaq, H.A.A.; Corsaro, M.M.; Casillo, A.; Ambrosio, L.; Raucci, M.G. Barley β-Glucan Bioactive Films: Promising Eco-Friendly Materials for Wound Healing. Int. J. Biol. Macromol. 2024, 278, 134434. [Google Scholar] [CrossRef] [PubMed]
- Quilez-Molina, A.I.; Oliveira-Salmazo, L.; Amezúa-Arranz, C.; López-Gil, A.; Rodríguez-Pérez, M.Á. Evaluation of the Acid Hydrolysis as Pre-Treatment to Enhance the Integration and Functionality of Starch Composites Filled with Rich-in-Pectin Agri-Food Waste Orange Peel. Ind. Crops Prod. 2023, 205, 117407–117422. [Google Scholar] [CrossRef]
- Álvarez-Castillo, E.; Felix, M.; Bengoechea, C.; Guerrero, A. Proteins from Agri-Food Industrial Biowastes or Co-Products and Their Applications as Green Materials. Foods 2021, 10, 981. [Google Scholar] [CrossRef] [PubMed]
- Calzoni, E.; Cesaretti, A.; Montegiove, N.; Pellegrino, R.M.; Leonardi, L.; Emiliani, C. Protein and Amino Acid Profile Analysis of Agri-Food Waste Biomasses. Sci. Bull. Ser. F Biotechnol. 2021, XXV, 19–25. [Google Scholar]
- Kapoor, D.U.; Gaur, M.; Kumar, A.; Singh, S.; Chidrawar, V.R.; Prajapati, B.G. Value-Added Lignocellulose from Waste Biomass as a Potential Source in Fabrication of Lignin-Based Composite for Multifaceted Applications. Regen. Eng. Transl. Med. 2024. [Google Scholar] [CrossRef]
- Chakhtouna, H.; Benzeid, H.; Zari, N.; Qaiss, A.E.K.; Bouhfid, R. Recent Advances in Eco-Friendly Composites Derived from Lignocellulosic Biomass for Wastewater Treatment. Biomass Convers. Biorefin. 2024, 14, 12085–12111. [Google Scholar] [CrossRef]
- Zannini, D.; Dal Poggetto, G.; Malinconico, M.; Santagata, G.; Immirzi, B. Citrus Pomace Biomass as a Source of Pectin and Lignocellulose Fibers: From Waste to Upgraded Biocomposites for Mulching Applications. Polymers 2021, 13, 1280. [Google Scholar] [CrossRef]
- Mir-Cerdà, A.; Nuñez, O.; Granados, M.; Sentellas, S.; Saurina, J. An Overview of the Extraction and Characterization of Bioactive Phenolic Compounds from Agri-Food Waste within the Framework of Circular Bioeconomy. TrAC Trends Anal. Chem. 2023, 161, 116994. [Google Scholar] [CrossRef]
- Turek, C.; Stintzing, F.C. Stability of Essential Oils: A Review. Compr. Rev. Food Sci. Food Saf. 2013, 12, 40–53. [Google Scholar] [CrossRef]
- Divanji, I.; Patil, R.; Suprasanna, P. Plant Essential Oils as Multifunctional Biomolecules for Applications in Therapeutics, Food and Other Industries. In Medicinal and Aromatic Plants; Springer: Berlin/Heidelberg, Germany, 2024; pp. 163–179. [Google Scholar]
- Ahmad, M.; Benjakul, S.; Prodpran, T.; Agustini, T.W. Physico-Mechanical and Antimicrobial Properties of Gelatin Film from the Skin of Unicorn Leatherjacket Incorporated with Essential Oils. Food Hydrocoll. 2012, 28, 189–199. [Google Scholar] [CrossRef]
- Klimek-szczykutowicz, M.; Szopa, A.; Ekiert, H. Citrus Limon (Lemon) Phenomenon—A Review of the Chemistry, Pharmacological Properties, Applications in the Modern Pharmaceutical, Food, and Cosmetics Industries, and Biotechnological Studies. Plants 2020, 9, 119. [Google Scholar] [CrossRef] [PubMed]
- Amra, K.; Momin, M.; Desai, N.; Khan, F. Therapeutic Benefits of Natural Oils along with Permeation Enhancing Activity. Int. J. Dermatol. 2022, 61, 484–507. [Google Scholar] [CrossRef] [PubMed]
- O’Connor, P.J.; Kennedy, D.O.; Stahl, S. Mental Energy: Plausible Neurological Mechanisms and Emerging Research on the Effects of Natural Dietary Compounds. Nutr. Neurosci. 2021, 24, 850–864. [Google Scholar] [CrossRef] [PubMed]
- Djilani, A.; Dicko, A. The Therapeutic Benefits of Essential Oils. In Nutrition, Well-Being and Health; IntechOpen: Rijeka, HR, Croatia, 2012; pp. 155–178. [Google Scholar]
- Manion, C.R.; Widder, R.M. Essentials of Essential Oils. Am. J. Health-Syst. Pharm. 2017, 74, e153–e162. [Google Scholar] [CrossRef] [PubMed]
- Moghimipour, E.; Handali, S. Saponin: Properties, Methods of Evaluation and Applications. Annu. Res. Rev. Biol. 2015, 5, 207–220. [Google Scholar] [CrossRef]
- Kupnik, K.; Primožič, M.; Kokol, V.; Knez, Ž.; Leitgeb, M. Enzymatic, Antioxidant, and Antimicrobial Activities of Bioactive Compounds from Avocado (Persea americana L.) Seeds. Plants 2023, 12, 1201. [Google Scholar] [CrossRef]
- Kupnik, K.; Primožič, M.; Knez, Ž.; Leitgeb, M. Bacterial Cellulose Membranes Enriched with Bioactive Compounds from Avocado Seeds. In Conference Proceedings: 6th International Conference on Technologies & Business Models for Circular Economy; University of Maribor: Maribor, Slovenija, 2024; p. 61. [Google Scholar]
- Salem, M.A.; Mohamed, O.G.; Mosalam, E.M.; Elberri, A.I.; Abdel-Bar, H.M.; Hassan, M.; Al-Karmalawy, A.A.; Tripathi, A.; Ezzat, S.M.; Abo Mansour, H.E. Investigation of the Phytochemical Composition, Antioxidant, Antibacterial, Anti-Osteoarthritis, and Wound Healing Activities of Selected Vegetable Waste. Sci. Rep. 2023, 13, 13034. [Google Scholar] [CrossRef]
- Moradi, D.; Ramezan, Y.; Eskandari, S.; Mirsaeedghazi, H.; Javanmard Dakheli, M. Plasma-Treated LDPE Film Incorporated with Onion and Potato Peel Extract—A Food Packaging for Shelf Life Extension on Chicken Thigh. Food Packag. Shelf Life 2023, 35, 101012. [Google Scholar] [CrossRef]
- Betoret, E.; Rosell, C.M. Effect of Particle Size on Functional Properties of Brassica Napobrassica Leaves Powder. Starch Interactions and Processing Impact. Food Chem. X 2020, 8, 100106. [Google Scholar] [CrossRef]
- Makanjuola, S.A. Influence of Particle Size and Extraction Solvent on Antioxidant Properties of Extracts of Tea, Ginger, and Tea–Ginger Blend. Food Sci. Nutr. 2017, 5, 1179–1185. [Google Scholar] [CrossRef]
- Ali, A.; Chua, B.L.; Chow, Y.H. An Insight into the Extraction and Fractionation Technologies of the Essential Oils and Bioactive Compounds in Rosmarinus officinalis L.: Past, Present and Future. TrAC Trends Anal. Chem. 2019, 118, 338–351. [Google Scholar] [CrossRef]
- Drinić, Z.; Vladić, J.; Koren, A.; Zeremski, T.; Stojanov, N.; Kiprovski, B.; Vidović, S. Microwave-Assisted Extraction of Cannabinoids and Antioxidants from Cannabis Sativa Aerial Parts and Process Modeling. J. Chem. Technol. Biotechnol. 2020, 95, 831–839. [Google Scholar] [CrossRef]
- Paz-Arteaga, S.L.; Cadena-Chamorro, E.; Serna-Cock, L.; Torres-Castañeda, H.; Pabón-Rodríguez, O.V.; Agudelo-Morales, C.E.; Ramírez-Guzmán, N.; Ascacio-Valdés, J.A.; Aguilar, C.N.; Torres-León, C. Dual Emerging Applications of Solid-State Fermentation (SSF) with Aspergillus Niger and Ultrasonic-Assisted Extraction (UAE) for the Obtention of Antimicrobial Polyphenols from Pineapple Waste. Fermentation 2023, 9, 706. [Google Scholar] [CrossRef]
- Žagar, T.; Frlan, R.; Kočevar Glavač, N. Using Subcritical Water to Obtain Polyphenol-Rich Extracts with Antimicrobial Properties. Antibiotics 2024, 13, 334. [Google Scholar] [CrossRef] [PubMed]
- Naliyadhara, N.; Kumar, A.; Girisa, S.; Daimary, U.D.; Hegde, M.; Kunnumakkara, A.B. Pulsed Electric Field (PEF): Avant-Garde Extraction Escalation Technology in Food Industry. Trends Food Sci. Technol. 2022, 122, 238–255. [Google Scholar] [CrossRef]
- Chatzimitakos, T.; Athanasiadis, V.; Kalompatsios, D.; Mantiniotou, M.; Bozinou, E.; Lalas, S.I. Pulsed Electric Field Applications for the Extraction of Bioactive Compounds from Food Waste and By-Products: A Critical Review. Biomass 2023, 3, 367–401. [Google Scholar] [CrossRef]
- Ghosh, S.; Sarkar, T.; Chakraborty, R. Underutilized Plant Sources: A Hidden Treasure of Natural Colors. Food Biosci. 2023, 52, 102361. [Google Scholar] [CrossRef]
- Gerbaud, V.; Rodriguez-Donis, I.; Hegely, L.; Lang, P.; Denes, F.; You, X.Q. Review of Extractive Distillation. Process Design, Operation, Optimization and Control. Chem. Eng. Res. Des. 2019, 141, 229–271. [Google Scholar] [CrossRef]
- Suleria, H.A.R.; Barrow, C.J.; Dunshea, F.R. Screening and Characterization of Phenolic Compounds and Their Antioxidant Capacity in Different Fruit Peels. Foods 2020, 9, 1206. [Google Scholar] [CrossRef]
- Gómez-Mejía, E.; Rosales-Conrado, N.; León-González, M.E.; Madrid, Y. Citrus Peels Waste as a Source of Value-Added Compounds: Extraction and Quantification of Bioactive Polyphenols. Food Chem. 2019, 295, 289–299. [Google Scholar] [CrossRef]
- Kupnik, K.; Leitgeb, M.; Primožič, M.; Postružnik, V.; Kotnik, P.; Kučuk, N.; Knez, Ž.; Marevci, M.K. Supercritical Fluid and Conventional Extractions of High Value-Added Compounds from Pomegranate Peels Waste: Production, Quantification and Antimicrobial Activity of Bioactive Constituents. Plants 2022, 11, 928. [Google Scholar] [CrossRef] [PubMed]
- Rifna, E.J.; Dwivedi, M. Encapsulated Pomegranate Peel Extract as a Potential Antimicrobial Ingredient from Food Waste. J. Sci. Food Agric. 2024, 104, 8720–8733. [Google Scholar] [CrossRef] [PubMed]
- Prevete, G.; Carvalho, L.G.; del Carmen Razola-Diaz, M.; Verardo, V.; Mancini, G.; Fiore, A.; Mazzonna, M. Ultrasound Assisted Extraction and Liposome Encapsulation of Olive Leaves and Orange Peels: How to Transform Biomass Waste into Valuable Resources with Antimicrobial Activity. Ultrason. Sonochem. 2024, 102, 106765–106778. [Google Scholar] [CrossRef]
- Bauer, A.W.; Kirby, W.M.; Sherris, J.C.T.M.; Bauer, A.; Kirby, W.; Sherris, J.; Turck, M. Susceptibility Testing by a Standardized Single Disc Method. Am. J. Clin. Pathol. 1966, 45, 149–158. [Google Scholar] [CrossRef]
- Ayala-Zavala, J.F.; Vega-Vega, V.; Rosas-Domínguez, C.; Palafox-Carlos, H.; Villa-Rodriguez, J.A.; Siddiqui, M.W.; Dávila-Aviña, J.E.; González-Aguilar, G.A. Agro-Industrial Potential of Exotic Fruit Byproducts as a Source of Food Additives. Food Res. Int. 2011, 44, 1866–1874. [Google Scholar] [CrossRef]
- Can-Cauich, C.A.; Sauri-Duch, E.; Betancur-Ancona, D.; Chel-Guerrero, L.; González-Aguilar, G.A.; Cuevas-Glory, L.F.; Pérez-Pacheco, E.; Moo-Huchin, V.M. Tropical Fruit Peel Powders as Functional Ingredients: Evaluation of Their Bioactive Compounds and Antioxidant Activity. J. Funct. Foods 2017, 37, 501–506. [Google Scholar] [CrossRef]
- Koirala, P.; Chunhavacharatorn, P.; Suttisansanee, U.; Benjakul, S.; Katewongsa, K.; Al-Asmari, F.; Nirmal, N. Antioxidant and Antimicrobial Activities of Mango Peel and Radish Peel-a Comparative Investigation. Front. Sustain. Food Syst. 2024, 8, 1354393. [Google Scholar] [CrossRef]
- Budiati, T.; Suryaningsih, W.; Bethiana, T.N. Antimicrobial of Tropical Fruit and Vegetable Waste Extract for Food-Borne Pathogenic Bacteria. Ital. J. Food Saf. 2022, 11, 10510. [Google Scholar] [CrossRef]
- Chaiwarit, T.; Kantrong, N.; Sommano, S.R.; Rachtanapun, P.; Junmahasathien, T.; Kumpugdee-Vollrath, M.; Jantrawut, P. Extraction of Tropical Fruit Peels and Development of Hpmc Film Containing the Extracts as an Active Antibacterial Packaging Material. Molecules 2021, 26, 2265. [Google Scholar] [CrossRef]
- Sganzerla, W.G.; Rosa, G.B.; Ferreira, A.L.A.; da Rosa, C.G.; Beling, P.C.; Xavier, L.O.; Hansen, C.M.; Ferrareze, J.P.; Nunes, M.R.; Barreto, P.L.M.; et al. Bioactive Food Packaging Based on Starch, Citric Pectin and Functionalized with Acca Sellowiana Waste by-Product: Characterization and Application in the Postharvest Conservation of Apple. Int. J. Biol. Macromol. 2020, 147, 295–303. [Google Scholar] [CrossRef]
- Soong, Y.Y.; Barlow, P.J. Antioxidant Activity and Phenolic Content of Selected Fruit Seeds. Food Chem. 2004, 88, 411–417. [Google Scholar] [CrossRef]
- Teleszko, M.; Wojdyło, A. Comparison of Phenolic Compounds and Antioxidant Potential between Selected Edible Fruits and Their Leaves. J. Funct. Foods 2015, 14, 736–746. [Google Scholar] [CrossRef]
- Yang, D.; Wang, T.; Long, M.; Li, P. Quercetin: Its Main Pharmacological Activity and Potential Application in Clinical Medicine. Oxid. Med. Cell Longev. 2020, 2020, 8825387. [Google Scholar] [CrossRef] [PubMed]
- Sirichan, T.; Kijpatanasilp, I.; Asadatorn, N.; Assatarakul, K. Optimization of Ultrasound Extraction of Functional Compound from Makiang Seed by Response Surface Methodology and Antimicrobial Activity of Optimized Extract with Its Application in Orange Juice. Ultrason. Sonochem. 2022, 83, 105916. [Google Scholar] [CrossRef] [PubMed]
- Krasteva, D.; Ivanov, Y.; Chengolova, Z.; Godjevargova, T. Antimicrobial Potential, Antioxidant Activity, and Phenolic Content of Grape Seed Extracts from Four Grape Varieties. Microorganisms 2023, 11, 395. [Google Scholar] [CrossRef]
- Sánchez-Gutiérrez, M.; Bascón-Villegas, I.; Rodríguez, A.; Pérez-Rodríguez, F.; Fernández-Prior, Á.; Rosal, A.; Carrasco, E. Article Valorisation of Olea europaea L. Olive Leaves through the Evaluation of Their Extracts: Antioxidant and Antimicrobial Activity. Foods 2021, 10, 966. [Google Scholar] [CrossRef]
- Martiny, T.R.; Raghavan, V.; De Moraes, C.C.; Da Rosa, G.S.; Dotto, G.L. Optimization of Green Extraction for the Recovery of Bioactive Compounds from Brazilian Olive Crops and Evaluation of Its Potential as a Natural Preservative. J. Environ. Chem. Eng. 2021, 9, 105130. [Google Scholar] [CrossRef]
- Frazzini, S.; Zuorro, A.; Panseri, S.; Pavlovic, R.; Sgoifo Rossi, C.A.; Rossi, L. Repurposing Hazelnut Waste Products for a Sustainable Economy: A Metabolomic Analysis of Cuticles and Shells to Highlight Their Antioxidant Potential and Inhibitory Activity against Verocytotoxic Escherichia coli. Sustainability 2023, 15, 3268. [Google Scholar] [CrossRef]
- Arslan, H.; Ondul Koc, E.; Ozay, Y.; Canli, O.; Ozdemir, S.; Tollu, G.; Dizge, N. Antimicrobial and Antioxidant Activity of Phenolic Extracts from Walnut (Juglans regia L.) Green Husk by Using Pressure-Driven Membrane Process. J. Food Sci. Technol. 2023, 60, 73–83. [Google Scholar] [CrossRef]
- Andersone, A.; Janceva, S.; Lauberte, L.; Ramata-Stunda, A.; Nikolajeva, V.; Zaharova, N.; Rieksts, G.; Telysheva, G. Anti-Inflammatory, Anti-Bacterial, and Anti-Fungal Activity of Oligomeric Proanthocyanidins and Extracts Obtained from Lignocellulosic Agricultural Waste. Molecules 2023, 28, 863. [Google Scholar] [CrossRef]
- Joković, N.; Matejić, J.; Zvezdanović, J.; Stojanović-Radić, Z.; Stanković, N.; Mihajilov-Krstev, T.; Bernstein, N. Onion Peel as a Potential Source of Antioxidants and Antimicrobial Agents. Agronomy 2024, 14, 453. [Google Scholar] [CrossRef]
- El-Sawi, S.A.; Ibrahim, M.E.; Bassuiny, R.I.; Merghany, R.M. Antioxidant, Cytotoxic and Antimicrobial Efficacy of Potato Peels, Taro Peels, and Husk and Silk of Corn. Proc. Natl. Acad. Sci. India Sect. B Biol. Sci. 2023, 93, 619–626. [Google Scholar] [CrossRef]
- Ahrazem, O.; Rubio-Moraga, A.; Nebauer, S.G.; Molina, R.V.; Gómez-Gómez, L. Saffron: Its Phytochemistry, Developmental Processes, and Biotechnological Prospects. J. Agric. Food Chem. 2015, 63, 8751–8764. [Google Scholar] [CrossRef] [PubMed]
- Lachguer, K.; El Merzougui, S.; Boudadi, I.; Laktib, A.; Ben El Caid, M.; Ramdan, B.; Boubaker, H.; Serghini, M.A. Major Phytochemical Compounds, In Vitro Antioxidant, Antibacterial, and Antifungal Activities of Six Aqueous and Organic Extracts of Crocus sativus L. Flower Waste. Waste Biomass Valorization 2023, 14, 1571–1587. [Google Scholar] [CrossRef] [PubMed]
- Primavilla, S.; Pagano, C.; Roila, R.; Branciari, R.; Ranucci, D.; Valiani, A.; Ricci, M.; Perioli, L. Antibacterial Activity of Crocus sativus L. Petals Extracts against Foodborne Pathogenic and Spoilage Microorganisms, with a Special Focus on Clostridia. Life 2023, 13, 60. [Google Scholar] [CrossRef]
- Kuttithodi, A.M.; Narayanankutty, A.; Visakh, N.U.; Job, J.T.; Pathrose, B.; Olatunji, O.J.; Alfarhan, A.; Ramesh, V. Chemical Composition of the Cinnamomum Malabatrum Leaf Essential Oil and Analysis of Its Antioxidant, Enzyme Inhibitory and Antibacterial Activities. Antibiotics 2023, 12, 940. [Google Scholar] [CrossRef]
- Narayanankutty, A.; Visakh, N.U.; Sasidharan, A.; Pathrose, B.; Olatunji, O.J.; Al-Ansari, A.; Alfarhan, A.; Ramesh, V. Chemical Composition, Antioxidant, Anti-Bacterial, and Anti-Cancer Activities of Essential Oils Extracted from Citrus Limetta Risso Peel Waste Remains after Commercial Use. Molecules 2022, 27, 8329. [Google Scholar] [CrossRef]
- Albaqami, J.J.; Hamdi, H.; Narayanankutty, A.; Visakh, N.U.; Sasidharan, A.; Kuttithodi, A.M.; Famurewa, A.C.; Pathrose, B. Chemical Composition and Biological Activities of the Leaf Essential Oils of Curcuma Longa, Curcuma Aromatica and Curcuma Angustifolia. Antibiotics 2022, 11, 1547. [Google Scholar] [CrossRef]
- Hammer, K.A.; Carson, C.F.; Riley, T.V. Antimicrobial Activity of Essential Oils and Other Plant Extracts. J. Appl. Microbiol. 1999, 86, 985–990. [Google Scholar] [CrossRef]
- Chouhan, S.; Sharma, K.; Guleria, S. Antimicrobial Activity of Some Essential Oils—Present Status and Future Perspectives. Medicines 2017, 4, 58. [Google Scholar] [CrossRef]
- Weimer, P.; Lisbôa Moura, J.G.; Mossmann, V.; Immig, M.L.; de Castilhos, J.; Rossi, R.C. Citrus Aurantiifolia (Christm) Swingle: Biological Potential and Safety Profile of Essential Oils from Leaves and Fruit Peels. Food Biosci. 2021, 40, 100905. [Google Scholar] [CrossRef]
- Petretto, G.L.; Vacca, G.; Addis, R.; Pintore, G.; Nieddu, M.; Piras, F.; Sogos, V.; Fancello, F.; Zara, S.; Rosa, A. Waste Citrus Limon Leaves as Source of Essential Oil Rich in Limonene and Citral: Chemical Characterization, Antimicrobial and Antioxidant Properties, and Effects on Cancer Cell Viability. Antioxidants 2023, 12, 1238. [Google Scholar] [CrossRef] [PubMed]
- Fancello, F.; Petretto, G.L.; Zara, S.; Sanna, M.L.; Addis, R.; Maldini, M.; Foddai, M.; Rourke, J.P.; Chessa, M.; Pintore, G. Chemical Characterization, Antioxidant Capacity and Antimicrobial Activity against Food Related Microorganisms of Citrus limon var. pompia Leaf Essential Oil. LWT 2016, 69, 579–585. [Google Scholar] [CrossRef]
- ISO 10932:2010; Milk and Milk Products—Determination of the Minimal Inhibitory Concentration (MIC) of Antibiotics Applicable to Bifidobacteria and Non-Enterococcal Lactic Acid Bacteria (LAB). ISO: Geneva, Switzerland, 2010.
- Wayne, A.; Clinical and Laboratory Standards Institute (CLSI). Performance Standards for Antimicrobial Susceptibility Testing; 20th Informational Supplement; CLSI Document: Malvern, PA, USA, 2017. [Google Scholar]
- Casquete, R.; Castro, S.M.; Martín, A.; Ruiz-Moyano, S.; Saraiva, J.A.; Córdoba, M.G.; Teixeira, P. Evaluation of the Effect of High Pressure on Total Phenolic Content, Antioxidant and Antimicrobial Activity of Citrus Peels. Innov. Food Sci. Emerg. Technol. 2015, 31, 37–44. [Google Scholar] [CrossRef]
- Randazzo, W.; Jiménez-Belenguer, A.; Settanni, L.; Perdones, A.; Moschetti, M.; Palazzolo, E.; Guarrasi, V.; Vargas, M.; Germanà, M.A.; Moschetti, G. Antilisterial Effect of Citrus Essential Oils and Their Performance Inedible Film Formulations. Food Control 2016, 59, 750–758. [Google Scholar] [CrossRef]
- Settanni, L.; Palazzolo, E.; Guarrasi, V.; Aleo, A.; Mammina, C.; Moschetti, G.; Germanà, M.A. Inhibition of Foodborne Pathogen Bacteria by Essential Oils Extracted from Citrus Fruits Cultivated in Sicily. Food Control 2012, 26, 326–330. [Google Scholar] [CrossRef]
- Martínez-Abad, A.; Ramos, M.; Hamzaoui, M.; Kohnen, S.; Jiménez, A.; Garrigós, M.C. Optimisation of Sequential Microwave-Assisted Extraction of Essential Oil and Pigment from Lemon Peels Waste. Foods 2020, 9, 1493. [Google Scholar] [CrossRef]
- Grover, S.; Aggarwal, P.; Kaur, S.; Yadav, R.; Kumar, A. Physicochemical Assessment, Characterization, Antioxidant and Antimicrobial Potential Study of Essential Oil Extracted from the Peel of Different Galgal (Citrus Pseudolimon) Cultivars. Waste Biomass Valorization 2024, 15, 3157–3167. [Google Scholar] [CrossRef]
- Sharma, K.; Kaur, R.; Kumar, S.; Saini, R.K.; Sharma, S.; Pawde, S.V.; Kumar, V. Saponins: A Concise Review on Food Related Aspects, Applications and Health Implications. Food Chem. Adv. 2023, 2, 100191. [Google Scholar] [CrossRef]
- Cheok, C.Y.; Salman, H.A.K.; Sulaiman, R. Extraction and Quantification of Saponins: A Review. Food Res. Int. 2014, 59, 16–40. [Google Scholar] [CrossRef]
- Vyshnavi, D.V.; Sivananda Swaroop, S.; Sudheer, A.; Kanala, S.R.; Muralidhar Naik, R.; Varalakshmi, O. Plant-Derived Selected Bioactive Saponins and Tannins: An Overview of Their Multi-Target Mechanisms and Diverse Biological Activities. Pharmacogn. Res. 2023, 15, 623–635. [Google Scholar] [CrossRef]
- Cai, H.; Bai, Y.; Wei, H.; Lin, S.; Chen, Y.; Tian, H.; Gu, X.; Murugan, K. Effects of Tea Saponin on Growth and Development, Nutritional Indicators, and Hormone Titers in Diamondback Moths Feeding on Different Host Plant Species. Pestic. Biochem. Physiol. 2016, 131, 53–59. [Google Scholar] [CrossRef] [PubMed]
- Zhao, Y.; Su, R.; Zhang, W.; Yao, G.L.; Chen, J. Antibacterial Activity of Tea Saponin from Camellia Oleifera Shell by Novel Extraction Method. Ind. Crops Prod. 2020, 153, 112604. [Google Scholar] [CrossRef]
- Casillo, A.; D’Angelo, C.; Imbimbo, P.; Monti, D.M.; Parrilli, E.; Lanzetta, R.; Gomez d’Ayala, G.; Mallardo, S.; Corsaro, M.M.; Duraccio, D. Aqueous Extracts from Hemp Seeds as a New Weapon against Staphylococcus Epidermidis Biofilms. Int. J. Mol. Sci. 2023, 24, 16026. [Google Scholar] [CrossRef]
- Makarewicz, M.; Drożdż, I.; Tarko, T.; Duda-Chodak, A. The Interactions between Polyphenols and Microorganisms, Especially Gut Microbiota. Antioxidants 2021, 10, 188. [Google Scholar] [CrossRef]
- Lopez-Romero, J.C.; González-Ríos, H.; Borges, A.; Simões, M. Antibacterial Effects and Mode of Action of Selected Essential Oils Components against Escherichia coli and Staphylococcus aureus. Evid.-Based Complement. Altern. Med. 2015, 2015. [Google Scholar] [CrossRef]
- Interaminense, L.F.L.; Jucá, D.M.; Magalhães, P.J.C.; Leal-Cardoso, J.H.; Duarte, G.P.; Lahlou, S. Pharmacological Evidence of Calcium-Channel Blockade by Essential Oil of Ocimum Gratissimum and Its Main Constituent, Eugenol, in Isolated Aortic Rings from DOCA-Salt Hypertensive Rats. Fundam. Clin. Pharmacol. 2007, 21, 497–506. [Google Scholar] [CrossRef]
- Huber, B.; Eberl, L.; Feucht, W.; Polster, J. Influence of Polyphenols on Bacterial Biofilm Formation and Quorum-Sensing. Z. Naturforschung C 2003, 58, 879–884. [Google Scholar] [CrossRef]
- Evensen, N.A.; Braun, P.C. The Effects of Tea Polyphenols on Candida Albicans: Inhibition of Biofilm Formation and Proteasome Inactivation. Can. J. Microbiol. 2009, 55, 1033–1039. [Google Scholar] [CrossRef]
- Saad, N.Y.; Muller, C.D.; Lobstein, A. Major Bioactivities and Mechanism of Action of Essential Oils and Their Components. Flavour. Fragr. J. 2013, 28, 269–279. [Google Scholar] [CrossRef]
- Wu, D.; Kong, Y.; Han, C.; Chen, J.; Hu, L.; Jiang, H.; Shen, X. D-Alanine:D-Alanine Ligase as a New Target for the Flavonoids Quercetin and Apigenin. Int. J. Antimicrob. Agents 2008, 32, 421–426. [Google Scholar] [CrossRef] [PubMed]
- Brown, A.K.; Papaemmanouil, A.; Bhowruth, V.; Bhatt, A.; Dover, L.G.; Besra, G.S. Flavonoid Inhibitors as Novel Antimycobacterial Agents Targeting Rv0636, a Putative Dehydratase Enzyme Involved in Mycobacterium Tuberculosis Fatty Acid Synthase II. Microbiology 2007, 153, 3314–3322. [Google Scholar] [CrossRef] [PubMed]
- Zhang, Y.M.; Rock, C.O. Evaluation of Epigallocatechin Gallate and Related Plant Polyphenols as Inhibitors of the FabG and FabI Reductases of Bacterial Type II Fatty-Acid Synthase. J. Biol. Chem. 2004, 279, 30994–31001. [Google Scholar] [CrossRef] [PubMed]
- Randhawa, H.K.; Hundal, K.K.; Ahirrao, P.N.; Jachak, S.M.; Nandanwar, H.S. Efflux Pump Inhibitory Activity of Flavonoids Isolated from Alpinia Calcarata against Methicillin-Resistant Staphylococcus Aureus. Biologia 2016, 71, 484–493. [Google Scholar] [CrossRef]
- Reygaert, W.C. The Antimicrobial Possibilities of Green Tea. Front. Microbiol. 2014, 5, 434. [Google Scholar] [CrossRef]
- Chinnam, N.; Dadi, P.K.; Sabri, S.A.; Ahmad, M.; Kabir, M.A.; Ahmad, Z. Dietary Bioflavonoids Inhibit Escherichia coli ATP Synthase in a Differential Manner. Int. J. Biol. Macromol. 2010, 46, 478–486. [Google Scholar] [CrossRef]
- Zheng, J.; Ramirez, V.D. Inhibition of Mitochondrial Proton F0F1-ATPase/ATP Synthase by Polyphenolic Phytochemicals. Br. J. Pharmacol. 2000, 130, 1115–1123. [Google Scholar] [CrossRef]
- Dadi, P.K.; Ahmad, M.; Ahmad, Z. Inhibition of ATPase Activity of Escherichia coli ATP Synthase by Polyphenols. Int. J. Biol. Macromol. 2009, 45, 72–79. [Google Scholar] [CrossRef]
- Percival, R.S.; Devine, D.A.; Duggal, M.S.; Chartron, S.; Marsh, P.D. The Effect of Cocoa Polyphenols on the Growth, Metabolism, and Biofilm Formation by Streptococcus Mutans and Streptococcus Sanguinis. Eur. J. Oral. Sci. 2006, 114, 343–348. [Google Scholar] [CrossRef]
- Thimothe, J.; Bonsi, I.A.; Padilla-Zakour, O.I.; Koo, H. Chemical Characterization of Red Wine Grape (Vitis vinifera and Vitis Interspecific Hybrids) and Pomace Phenolic Extracts and Their Biological Activity against Streptococcus mutans. J. Agric. Food Chem. 2007, 55, 10200–10207. [Google Scholar] [CrossRef]
- Spina, M.; Cuccioloni, M.; Mozzicafreddo, M.; Montecchia, F.; Pucciarelli, S.; Eleuteri, A.M.; Fioretti, E.; Angeletti, M. Mechanism of Inhibition of Wt-Dihydrofolate Reductase from E. Coli by Tea Epigallocatechin-Gallate. Proteins Struct. Funct. Genet. 2008, 72, 240–251. [Google Scholar] [CrossRef] [PubMed]
- Mangwani, N.; Kumari, S.; Das, S. Bacterial Biofilms and Quorum Sensing: Fidelity in Bioremediation Technology. Biotechnol. Genet. Eng. Rev. 2017, 32, 43–73. [Google Scholar] [CrossRef] [PubMed]
- Li, Y.H.; Tian, X. Quorum Sensing and Bacterial Social Interactions in Biofilms. Sensors 2012, 12, 2519–2538. [Google Scholar] [CrossRef] [PubMed]
- Yin, W.; Wang, Y.; Liu, L.; He, J. Biofilms: The Microbial “Protective Clothing” in Extreme Environments. Int. J. Mol. Sci. 2019, 20, 3423. [Google Scholar] [CrossRef] [PubMed]
- Gopu, V.; Meena, C.K.; Shetty, P.H. Quercetin Influences Quorum Sensing in Food Borne Bacteria: In-Vitro and in-Silico Evidence. PLoS ONE 2015, 10, e0134684. [Google Scholar] [CrossRef]
- Quecan, B.X.V.; Santos, J.T.C.; Rivera, M.L.C.; Hassimotto, N.M.A.; Almeida, F.A.; Pinto, U.M. Effect of Quercetin Rich Onion Extracts on Bacterial Quorum Sensing. Front. Microbiol. 2019, 10, 867. [Google Scholar] [CrossRef]
- Kim, Y.K.; Roy, P.K.; Ashrafudoulla, M.; Nahar, S.; Toushik, S.H.; Hossain, M.I.; Mizan, M.F.R.; Park, S.H.; Ha, S. Do Antibiofilm Effects of Quercetin against Salmonella Enterica Biofilm Formation and Virulence, Stress Response, and Quorum-Sensing Gene Expression. Food Control 2022, 137, 108964. [Google Scholar] [CrossRef]
- Farhadi, F.; Khameneh, B.; Iranshahi, M.; Iranshahy, M. Antibacterial Activity of Flavonoids and Their Structure–Activity Relationship: An Update Review. Phytother. Res. 2019, 33, 13–40. [Google Scholar] [CrossRef]
- Cheng, H.; Zhang, D.; Wu, J.; Liu, J.; Zhou, Y.; Tan, Y.; Feng, W.; Peng, C. Interactions between Gut Microbiota and Polyphenols: A Mechanistic and Metabolomic Review. Phytomedicine 2023, 119, 154979. [Google Scholar] [CrossRef]
- Echeverría, J.; Opazo, J.; Mendoza, L.; Urzúa, A.; Wilkens, M. Structure-Activity and Lipophilicity Relationships of Selected Antibacterial Natural Flavones and Flavanones of Chilean Flora. Molecules 2017, 22, 608. [Google Scholar] [CrossRef]
- Efenberger-Szmechtyk, M.; Nowak, A.; Czyzowska, A. Plant Extracts Rich in Polyphenols: Antibacterial Agents and Natural Preservatives for Meat and Meat Products. Crit. Rev. Food Sci. Nutr. 2021, 61, 149–178. [Google Scholar] [CrossRef]
- Ikigai, H.; Nakae, T.; Hara, Y.; Shimamura, T. Bactericidal Catechins Damage the Lipid Bilayer. Biochim. Biophys. Acta 1993, 1147, 132–136. [Google Scholar] [CrossRef] [PubMed]
- Gao, Y.; Van Belkum, M.J.; Stiles, M.E. The Outer Membrane of Gram−Negative Bacteria Inhibits Antibacterial Activity of Brochocin-C. Appl. Environ. Microbiol. 1999, 65, 4329–4333. [Google Scholar] [CrossRef] [PubMed]
- Konaté, K.; Hilou, A.; Mavoungou, J.F.; Lepengué, A.N.; Souza, A.; Barro, N.; Datté, J.Y.; M’Batchi, B.; Nacoulma, O.G. Antimicrobial Activity of Polyphenol-Rich Fractions from Sida alba L. (Malvaceae) against Co-Trimoxazol-Resistant Bacteria Strains. Ann. Clin. Microbiol. Antimicrob. 2012, 11, 1–6. [Google Scholar] [CrossRef] [PubMed]
- Bouyahya, A.; Abrini, J.; Dakka, N.; Bakri, Y. Essential Oils of Origanum Compactum Increase Membrane Permeability, Disturb Cell Membrane Integrity, and Suppress Quorum-Sensing Phenotype in Bacteria. J. Pharm. Anal. 2019, 9, 301–311. [Google Scholar] [CrossRef] [PubMed]
- Sabo, V.A.; Mimica-Dukic, N.; Kostanjsek, R.; Knezevic, P. Essential Oils Cause Membrane Disruption and Autoaggregation of MDR Acinetobacter Baumannii Cells. S. Afr. J. Bot. 2024, 174, 208–217. [Google Scholar] [CrossRef]
- Guillín, Y.; Cáceres, M.; Torres, R.; Stashenko, E.; Ortiz, C. Effect of Essential Oils on the Inhibition of Biofilm and Quorum Sensing in Salmonella Enteritidis 13076 and Salmonella Typhimurium 14028. Antibiotics 2021, 10, 1191. [Google Scholar] [CrossRef]
- Martínez, A.; Manrique-Moreno, M.; Klaiss-Luna, M.C.; Stashenko, E.; Zafra, G.; Ortiz, C. Effect of Essential Oils on Growth Inhibition, Biofilm Formation and Membrane Integrity of Escherichia coli and Staphylococcus Aureus. Antibiotics 2021, 10, 1474. [Google Scholar] [CrossRef]
- Dong, S.; Yang, X.; Zhao, L.; Zhang, F.; Hou, Z.; Xue, P. Antibacterial Activity and Mechanism of Action Saponins from Chenopodium Quinoa Willd. Husks against Foodborne Pathogenic Bacteria. Ind. Crops Prod. 2020, 149, 112350. [Google Scholar] [CrossRef]
- Borlinghaus, J.; Foerster, J.; Kappler, U.; Antelmann, H.; Noll, U.; Gruhlke, M.C.H.; Slusarenko, A.J. Allicin, the Odor of Freshly Crushed Garlic: A Review of Recent Progress in Understanding Allicin’s Effects on Cells§. Molecules 2021, 26, 1505. [Google Scholar] [CrossRef]
- Cristofoli, N.L.; Lima, A.R.; Tchonkouang, R.D.N.; Quintino, A.C.; Vieira, M.C. Advances in the Food Packaging Production from Agri-Food Waste and By-Products: Market Trends for a Sustainable Development. Sustainability 2023, 15, 6153. [Google Scholar] [CrossRef]
- Rodríguez, J.; Martín, M.J.; Ruiz, M.A.; Clares, B. Current Encapsulation Strategies for Bioactive Oils: From Alimentary to Pharmaceutical Perspectives. Food Res. Int. 2016, 83, 41–59. [Google Scholar] [CrossRef]
- Guía-García, J.L.; Charles-Rodríguez, A.V.; Reyes-Valdés, M.H.; Ramírez-Godina, F.; Robledo-Olivo, A.; García-Osuna, H.T.; Cerqueira, M.A.; Flores-López, M.L. Micro and Nanoencapsulation of Bioactive Compounds for Agri-Food Applications: A Review. Ind. Crops Prod. 2022, 186, 115198–115210. [Google Scholar] [CrossRef]
- Martins, V.F.R.; Pintado, M.E.; Morais, R.M.S.C.; Morais, A.M.M.B. Valorisation of Micro/Nanoencapsulated Bioactive Compounds from Plant Sources for Food Applications Towards Sustainability. Foods 2022, 12, 32–55. [Google Scholar] [CrossRef] [PubMed]
- Bala, S.; Garg, D.; Sridhar, K.; Inbaraj, B.S.; Singh, R.; Kamma, S.; Tripathi, M.; Sharma, M. Transformation of Agro-Waste into Value-Added Bioproducts and Bioactive Compounds: Micro/Nano Formulations and Application in the Agri-Food-Pharma Sector. Bioengineering 2023, 10, 152–169. [Google Scholar] [CrossRef] [PubMed]
- Yadav, S.; Malik, K.; Moore, J.M.; Kamboj, B.R.; Malik, S.; Malik, V.K.; Arya, S.; Singh, K.; Mahanta, S.; Bishnoi, D.K. Valorisation of Agri-Food Waste for Bioactive Compounds: Recent Trends and Future Sustainable Challenges. Molecules 2024, 29, 2055–2078. [Google Scholar] [CrossRef]
- Osman, M.; Zaabout, A.; Cloete, S.; Amini, S. Experimental Demonstration of Pressurized Chemical Looping Combustion in an Internally Circulating Reactor for Power Production with Integrated CO2 Capture. Chem. Eng. J. 2020, 401, 125974. [Google Scholar] [CrossRef]
- Sarangi, P.K.; Vivekanand, V.; Mohanakrishna, G.; Pattnaik, B.; Muddapur, U.M.; Aminabhavi, T.M. Production of Bioactive Phenolic Compounds from Agricultural By-Products towards Bioeconomic Perspectives. J. Clean. Prod. 2023, 414, 137460. [Google Scholar] [CrossRef]
- Panzella, L.; Moccia, F.; Nasti, R.; Marzorati, S.; Verotta, L.; Napolitano, A. Bioactive Phenolic Compounds from Agri-Food Wastes: An Update on Green and Sustainable Extraction Methodologies. Front. Nutr. 2020, 7, 60. [Google Scholar] [CrossRef]
- FAO. FAO Major Tropical Fruits Market Review—Preliminary Results 2022; FAO: Rome, Italy, 2023; Available online: https://openknowledge.fao.org/server/api/core/bitstreams/852265a4-9006-4d54-a792-51f1d9c44673/content (accessed on 5 December 2024).
- Manhongo, T.T.; Chimphango, A.; Thornley, P.; Röder, M. An Economic Viability and Environmental Impact Assessment of Mango Processing Waste-Based Biorefineries for Co-Producing Bioenergy and Bioactive Compounds. Renew. Sustain. Energy Rev. 2021, 148, 111216. [Google Scholar] [CrossRef]
- Danciu, C.A.; Tulbure, A.; Stanciu, M.A.; Antonie, I.; Capatana, C.; Zerbeș, M.V.; Giurea, R.; Rada, E.C. Overview of the Sustainable Valorization of Using Waste and By-Products in Grain Processing. Foods 2023, 12, 3770. [Google Scholar] [CrossRef] [PubMed]
- Belc, N.; Mustatea, G.; Apostol, L.; Iorga, S.; Vlǎduţ, V.N.; Mosoiu, C. Cereal Supply Chain Waste in the Context of Circular Economy. In E3S Web of Conferences; EDP Sciences: Les Ulis, France, 2019; Volume 112. [Google Scholar]
- Skendi, A.; Zinoviadou, K.G.; Papageorgiou, M.; Rocha, J.M. Advances on the Valorisation and Functionalization of By-Products and Wastes from Cereal-Based Processing Industry. Foods 2020, 9, 1243. [Google Scholar] [CrossRef] [PubMed]
- Lee, C.-W.; Fu, M.-W. Conceptualizing Sustainable Business Models Aligning with Corporate Responsibility. Sustainability 2024, 16, 5015. [Google Scholar] [CrossRef]
- Megha; Singh, N. Emerging Technologies for Efficient Extraction of Value-Added Compounds from Agriculture Waste. In Transforming Agriculture Residues for Sustainable Development: From Waste to Wealth; Springer: Berlin/Heidelberg, Germany, 2024; pp. 109–129. [Google Scholar]
- Ram, C.; Kumar, A.; Rani, P. Municipal Solid Waste Management: A Review of Waste to Energy (WtE) Approaches. Bioresources 2021, 16, 4275. [Google Scholar] [CrossRef]
- Marino, A.; Pariso, P. Comparing European Countries’ Performances in the Transition towards the Circular Economy. Sci. Total Environ. 2020, 729, 138142–138154. [Google Scholar] [CrossRef]
- Lazzi, C.; Bernini, V.; Neviani, E.; Galaverna, G.; Ricci, A.; Cirlini, M.; Maoloni, A.; Calani, L.; Zanetti, S. Production of Antimicrobials from Vegetable Waste. Patent WO2020230044A1, 19 November 2020. [Google Scholar]
- Calderón Oliver, M.; Ponce Alquicira, E.; Escalona Buendía, H.B. Microencapsulated Natural Preservative for Foods and Process for Obtaining It. Patent MX2017009114, 8 February 2019. [Google Scholar]
- Liu, Y.; Tang, J.; Li, R.; Li, J.; Zhao, P.; Kan, H.; Wen, X. Extraction Method of High-Activity Camellia Nitidissima Polyphenol Substance (Omega-Hydroxprotopioguaiacone). Patent CN118515542A, 20 August 2024. [Google Scholar]
- Urrego Camelo, F.; Cea Pavez, I.; Restovic Carvajal, F.; Parada Valdecantos, P. Microencapsulated Natural Preservative and Antioxidant for Fatty Foods, with Walnut Husk and Walnut Tree Leaf Extract. Patent WO2024227266A1, 7 November 2024. [Google Scholar]




Disclaimer/Publisher’s Note: The statements, opinions and data contained in all publications are solely those of the individual author(s) and contributor(s) and not of MDPI and/or the editor(s). MDPI and/or the editor(s) disclaim responsibility for any injury to people or property resulting from any ideas, methods, instructions or products referred to in the content. |
© 2024 by the authors. Licensee MDPI, Basel, Switzerland. This article is an open access article distributed under the terms and conditions of the Creative Commons Attribution (CC BY) license (https://creativecommons.org/licenses/by/4.0/).
Share and Cite
Di Maro, M.; Gargiulo, L.; Gomez d’Ayala, G.; Duraccio, D. Exploring Antimicrobial Compounds from Agri-Food Wastes for Sustainable Applications. Int. J. Mol. Sci. 2024, 25, 13171. https://doi.org/10.3390/ijms252313171
Di Maro M, Gargiulo L, Gomez d’Ayala G, Duraccio D. Exploring Antimicrobial Compounds from Agri-Food Wastes for Sustainable Applications. International Journal of Molecular Sciences. 2024; 25(23):13171. https://doi.org/10.3390/ijms252313171
Chicago/Turabian StyleDi Maro, Mattia, Luca Gargiulo, Giovanna Gomez d’Ayala, and Donatella Duraccio. 2024. "Exploring Antimicrobial Compounds from Agri-Food Wastes for Sustainable Applications" International Journal of Molecular Sciences 25, no. 23: 13171. https://doi.org/10.3390/ijms252313171
APA StyleDi Maro, M., Gargiulo, L., Gomez d’Ayala, G., & Duraccio, D. (2024). Exploring Antimicrobial Compounds from Agri-Food Wastes for Sustainable Applications. International Journal of Molecular Sciences, 25(23), 13171. https://doi.org/10.3390/ijms252313171

