Effects of Polyvinyl Chloride (PVC) Microplastic Particles on Gut Microbiota Composition and Health Status in Rabbit Livestock
Abstract
1. Introduction
2. Results
2.1. Determination of the PVC and Mycotoxin Content of the Feed Used in the Experiments
2.2. Changes in Body Weight During the Feeding Experiment
2.3. Analysis of Organ Weight After PVC Treatment
2.4. Macroscopic Pathological Alterations of Organs
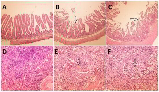
2.5. Histological Alterations of the Organs
2.6. Effect of PVC Treatment on Hormone Levels
2.7. Determination of the Tumor Necrosis Factor Alpha Level
2.8. Analyses of Blood Comprehensive Metabolic Panel
2.9. Alterations in the Diversity and Bacterial Composition of the Gut Microbiota in Response to PVC Microplastic Supplemented Diet
3. Discussion
4. Material and Methods
4.1. Production of Experimental Feeds
4.2. Animal and Feeding Experiments
4.3. Determination of Body and Organ Weights
4.4. Determination of Hormone and Tumour Necrosis Factor Alpha (TNF-α) Levels
4.5. Blood Serum Analyses
4.6. Macroscopic Pathological Examination of Organs
4.7. Histological Examination of the Organs
4.8. Metagenomic Sequencing of Rabbit Intestinal Content Samples
4.9. Differential Abundance Testing of the Bacterial Composition of Rabbit Intestinal Content Samples
4.10. General Statistical Analysis
5. Conclusions
Supplementary Materials
Author Contributions
Funding
Institutional Review Board Statement
Informed Consent Statement
Data Availability Statement
Acknowledgments
Conflicts of Interest
References
- Bordós, G.; Urbányi, B.; Micsinai, A.; Kriszt, B.; Palotai, Z.; Szabó, I.; Hantosi, Z.; Szoboszlay, S. Identification of Microplastics in Fish Ponds and Natural Freshwater Environments of the Carpathian Basin, Europe. Chemosphere 2019, 216, 110–116. [Google Scholar] [CrossRef] [PubMed]
- Lin, Q.; Zhao, S.; Pang, L.; Sun, C.; Chen, L.; Li, F. Potential Risk of Microplastics in Processed Foods: Preliminary Risk Assessment Concerning Polymer Types, Abundance, and Human Exposure of Microplastics. Ecotoxicol. Environ. Saf. 2022, 247, 114260. [Google Scholar] [CrossRef] [PubMed]
- Su, X.; Yuan, J.; Lu, Z.; Xu, J.; He, Y. An Enlarging Ecological Risk: Review on Co-Occurrence and Migration of Microplastics and Microplastic-Carrying Organic Pollutants in Natural and Constructed Wetlands. Sci. Total Environ. 2022, 837, 155772. [Google Scholar] [CrossRef] [PubMed]
- Zhang, Z.; Cui, Q.; Chen, L.; Zhu, X.; Zhao, S.; Duan, C.; Zhang, X.; Song, D.; Fang, L. A Critical Review of Microplastics in the Soil-Plant System: Distribution, Uptake, Phytotoxicity and Prevention. J. Hazard. Mater. 2022, 424, 127750. [Google Scholar] [CrossRef] [PubMed]
- Nugawela, N.P.P.S.; Mahaliyana, A.S.; Abhiram, G.; Abeygunawardena, A.P. A Meta-Analytic Review of Microplastic Pollution in the Indian Ocean: Ecological Health and Seafood Safety Risk Implications. Mar. Pollut. Bull. 2023, 193, 115213. [Google Scholar] [CrossRef]
- Ng, E.-L.; Huerta Lwanga, E.; Eldridge, S.M.; Johnston, P.; Hu, H.-W.; Geissen, V.; Chen, D. An Overview of Microplastic and Nanoplastic Pollution in Agroecosystems. Sci. Total Environ. 2018, 627, 1377–1388. [Google Scholar] [CrossRef]
- Sun, N.; Shi, H.; Li, X.; Gao, C.; Liu, R. Combined Toxicity of Micro/Nanoplastics Loaded with Environmental Pollutants to Organisms and Cells: Role, Effects, and Mechanism. Environ. Int. 2023, 171, 107711. [Google Scholar] [CrossRef]
- European Commission Microplastics—European Commission. Available online: https://environment.ec.europa.eu/topics/plastics/microplastics_en (accessed on 17 July 2024).
- Boerger, C.M.; Lattin, G.L.; Moore, S.L.; Moore, C.J. Plastic Ingestion by Planktivorous Fishes in the North Pacific Central Gyre. Mar. Pollut. Bull. 2010, 60, 2275–2278. [Google Scholar] [CrossRef]
- Desforges, J.-P.W.; Galbraith, M.; Dangerfield, N.; Ross, P.S. Widespread Distribution of Microplastics in Subsurface Seawater in the NE Pacific Ocean. Mar. Pollut. Bull. 2014, 79, 94–99. [Google Scholar] [CrossRef]
- Germanov, E.S.; Marshall, A.D.; Bejder, L.; Fossi, M.C.; Loneragan, N.R. Microplastics: No Small Problem for Filter-Feeding Megafauna. Trends Ecol. Evol. 2018, 33, 227–232. [Google Scholar] [CrossRef]
- Hussain, N.; Jaitley, V.; Florence, A.T. Recent Advances in the Understanding of Uptake of Microparticulates across the Gastrointestinal Lymphatics. Adv. Drug Deliv. Rev. 2001, 50, 107–142. [Google Scholar] [CrossRef] [PubMed]
- Waring, R.H.; Harris, R.M.; Mitchell, S.C. Plastic Contamination of the Food Chain: A Threat to Human Health? Maturitas 2018, 115, 64–68. [Google Scholar] [CrossRef] [PubMed]
- Della Torre, C.; Bergami, E.; Salvati, A.; Faleri, C.; Cirino, P.; Dawson, K.A.; Corsi, I. Accumulation and Embryotoxicity of Polystyrene Nanoparticles at Early Stage of Development of Sea Urchin Embryos Paracentrotus lividus. Environ. Sci. Technol. 2014, 48, 12302–12311. [Google Scholar] [CrossRef] [PubMed]
- Chae, Y.; An, Y.-J. Effects of Micro- and Nanoplastics on Aquatic Ecosystems: Current Research Trends and Perspectives. Mar. Pollut. Bull. 2017, 124, 624–632. [Google Scholar] [CrossRef] [PubMed]
- Gray, A.D.; Weinstein, J.E. Size- and Shape-Dependent Effects of Microplastic Particles on Adult Daggerblade Grass Shrimp (Palaemonetes pugio). Environ. Toxicol. Chem. 2017, 36, 3074–3080. [Google Scholar] [CrossRef]
- Wan, Z.; Wang, C.; Zhou, J.; Shen, M.; Wang, X.; Fu, Z.; Jin, Y. Effects of Polystyrene Microplastics on the Composition of the Microbiome and Metabolism in Larval Zebrafish. Chemosphere 2019, 217, 646–658. [Google Scholar] [CrossRef]
- Jin, Y.; Lu, L.; Tu, W.; Luo, T.; Fu, Z. Impacts of Polystyrene Microplastic on the Gut Barrier, Microbiota and Metabolism of Mice. Sci. Total Environ. 2019, 649, 308–317. [Google Scholar] [CrossRef]
- Ramachandraiah, K.; Ameer, K.; Jiang, G.; Hong, G.-P. Micro- and Nanoplastic Contamination in Livestock Production: Entry Pathways, Potential Effects and Analytical Challenges. Sci. Total Environ. 2022, 844, 157234. [Google Scholar] [CrossRef]
- Silva Brito, W.A.d.; Mutter, F.; Wende, K.; Cecchini, A.L.; Schmidt, A.; Bekeschus, S. Consequences of Nano and Microplastic Exposure in Rodent Models: The Known and Unknown. Part. Fibre Toxicol. 2022, 19, 28. [Google Scholar] [CrossRef]
- Farag, A.A.; Youssef, H.S.; Sliem, R.E.; El Gazzar, W.B.; Nabil, N.; Mokhtar, M.M.; Marei, Y.M.; Ismail, N.S.; Radwaan, S.E.; Badr, A.M.; et al. Hematological Consequences of Polyethylene Microplastics Toxicity in Male Rats: Oxidative Stress, Genetic, and Epigenetic Links. Toxicology 2023, 492, 153545. [Google Scholar] [CrossRef]
- Ding, R.; Chen, Y.; Shi, X.; Li, Y.; Yu, Y.; Sun, Z.; Duan, J. Size-dependent toxicity of polystyrene microplastics on the gastrointestinal tract: Oxidative stress related-DNA damage and potential carcinogenicity. Sci. Total Environ. 2024, 912, 169514. [Google Scholar] [CrossRef] [PubMed]
- Basini, G.; Bussolati, S.; Andriani, L.; Grolli, S.; Ramoni, R.; Bertini, S.; Iemmi, T.; Menozzi, A.; Berni, P.; Grasselli, F. Nanoplastics Impair In Vitro Swine Granulosa Cell Functions. Domest. Anim. Endocrinol. 2021, 76, 106611. [Google Scholar] [CrossRef] [PubMed]
- Wang, X.; Zhang, X.; Sun, K.; Wang, S.; Gong, D. Polystyrene Microplastics Induce Apoptosis and Necroptosis in Swine Testis Cells via ROS/MAPK/HIF1α Pathway. Environ. Toxicol. 2022, 37, 2483–2492. [Google Scholar] [CrossRef]
- Li, H.; Yang, Z.; Jiang, F.; Li, L.; Li, Y.; Zhang, M.; Qi, Z.; Ma, R.; Zhang, Y.; Fang, J.; et al. Detection of Microplastics in Domestic and Fetal Pigs’ Lung Tissue in Natural Environment: A Preliminary Study. Environ. Res. 2023, 216, 114623. [Google Scholar] [CrossRef]
- Banerjee, A.; Shelver, W.L. Micro- and Nanoplastic-Mediated Pathophysiological Changes in Rodents, Rabbits, and Chickens: A Review. J. Food Prot. 2021, 84, 1480–1495. [Google Scholar] [CrossRef]
- Alvarez-Andrade, A.; Wakida, F.T.; Piñon-Colin, T.d.J.; Wakida-Kusunoki, A.T.; Castillo-Quiñones, J.E.; García-Flores, E. Microplastic Abundance in Feces of Lagomorphs in Relation to Urbanization. Sci. Total Environ. 2023, 864, 161025. [Google Scholar] [CrossRef]
- Li, J.; Yang, D.; Li, L.; Jabeen, K.; Shi, H. Microplastics in Commercial Bivalves from China. Environ. Pollut. Barking Essex 1987 2015, 207, 190–195. [Google Scholar] [CrossRef]
- Prata, J.C. Airborne Microplastics: Consequences to Human Health? Environ. Pollut. Barking Essex 1987 2018, 234, 115–126. [Google Scholar] [CrossRef]
- Kannan, K.; Vimalkumar, K. A Review of Human Exposure to Microplastics and Insights Into Microplastics as Obesogens. Front. Endocrinol. 2021, 12, 724989. [Google Scholar] [CrossRef]
- Banikazemi, Z.; Farshadi, M.; Rajabi, A.; Homayoonfal, M.; Sharifi, N.; Sharafati Chaleshtori, R. Nanoplastics: Focus on the Role of microRNAs and Long Non-Coding RNAs. Chemosphere 2022, 308, 136299. [Google Scholar] [CrossRef]
- Afreen, V.; Hashmi, K.; Nasir, R.; Saleem, A.; Khan, M.I.; Akhtar, M.F. Adverse Health Effects and Mechanisms of Microplastics on Female Reproductive System: A Descriptive Review. Environ. Sci. Pollut. Res. Int. 2023, 30, 76283–76296. [Google Scholar] [CrossRef] [PubMed]
- Jaafarzadeh Haghighi Fard, N.; Mohammadi, M.J.; Jahedi, F. Effects of Nano and Microplastics on the Reproduction System: In Vitro and in Vivo Studies Review. Food Chem. Toxicol. Int. J. Publ. Br. Ind. Biol. Res. Assoc. 2023, 178, 113938. [Google Scholar] [CrossRef] [PubMed]
- Wāng, Y.; Jiang, Y. Drosophila melanogaster as a Tractable Eco-Environmental Model to Unravel the Toxicity of Micro- and Nanoplastics. Environ. Int. 2024, 192, 109012. [Google Scholar] [CrossRef]
- Ziani, K.; Ioniță-Mîndrican, C.-B.; Mititelu, M.; Neacșu, S.M.; Negrei, C.; Moroșan, E.; Drăgănescu, D.; Preda, O.-T. Microplastics: A Real Global Threat for Environment and Food Safety: A State of the Art Review. Nutrients 2023, 15, 617. [Google Scholar] [CrossRef]
- Li, W.; Zeng, J.; Zheng, N.; Ge, C.; Li, Y.; Yao, H. Polyvinyl chloride microplastics in the aquatic environment enrich potential pathogenic bacteria and spread antibiotic resistance genes in the fish gut. J. Hazard Mater. 2024, 475, 134817. [Google Scholar] [CrossRef]
- Zettler, E.R.; Mincer, T.J.; Amaral-Zettler, L.A. Life in the “Plastisphere”: Microbial Communities on Plastic Marine Debris. Environ. Sci. Technol. 2013, 47, 7137–7146. [Google Scholar] [CrossRef]
- Kirstein, I.V.; Kirmizi, S.; Wichels, A.; Garin-Fernandez, A.; Erler, R.; Löder, M.; Gerdts, G. Dangerous Hitchhikers? Evidence for Potentially Pathogenic Vibrio Spp. on Microplastic Particles. Mar. Environ. Res. 2016, 120, 1–8. [Google Scholar] [CrossRef]
- Shen, M.; Zhu, Y.; Zhang, Y.; Zeng, G.; Wen, X.; Yi, H.; Ye, S.; Ren, X.; Song, B. Micro(Nano)Plastics: Unignorable Vectors for Organisms. Mar. Pollut. Bull. 2019, 139, 328–331. [Google Scholar] [CrossRef]
- Nath, J.; De, J.; Sur, S.; Banerjee, P. Interaction of Microbes with Microplastics and Nanoplastics in the Agroecosystems-Impact on Antimicrobial Resistance. Pathogens 2023, 12, 888. [Google Scholar] [CrossRef]
- Facciolà, A.; Visalli, G.; Pruiti Ciarello, M.; Di Pietro, A. Newly Emerging Airborne Pollutants: Current Knowledge of Health Impact of Micro and Nanoplastics. Int. J. Environ. Res. Public. Health 2021, 18, 2997. [Google Scholar] [CrossRef]
- Ghosh, D.; Sarkar, A.; Basu, A.G.; Roy, S. Effect of Plastic Pollution on Freshwater Flora: A Meta-Analysis Approach to Elucidate the Factors Influencing Plant Growth and Biochemical Markers. Water Res. 2022, 225, 119114. [Google Scholar] [CrossRef] [PubMed]
- Parsai, T.; Figueiredo, N.; Dalvi, V.; Martins, M.; Malik, A.; Kumar, A. Implication of Microplastic Toxicity on Functioning of Microalgae in Aquatic System. Environ. Pollut. Barking Essex 1987 2022, 308, 119626. [Google Scholar] [CrossRef] [PubMed]
- Henkel, C.; Lamprecht, J.; Hüffer, T.; Hofmann, T. Environmental Factors Strongly Influence the Leaching of Di(2-Ethylhexyl) Phthalate from Polyvinyl Chloride Microplastics. Water Res. 2023, 242, 120235. [Google Scholar] [CrossRef]
- Soffritti, M.; Sass, J.; Castleman, B.; Gee, D. Vinyl Chloride: A Saga of Secrecy. In Late Lessons from Early Warnings: Science, Precaution, Innovation; European Environment Agency: Copenhagen, Denmark, 2013. [Google Scholar]
- Iles, A.; Martin, A.; Rosen, C.M. Undoing Chemical Industry Lock-Ins: Polyvinyl Chloride and Green Chemistry. Hyle 2017, 23, 29–60. [Google Scholar]
- European Chemicals Agency (ECHA). Investigation Report on PVC and PVC Additives; ECHA: Helsinki, Finland, 2023; Available online: www.echa.europa.eu (accessed on 14 November 2024).
- Enck, J.; Schade, M.; Swan, S. REPORT: The Perils of PVC Plastic Pipes. Available online: https://www.beyondplastics.org/publications/perils-of-pvc-pipes (accessed on 11 November 2024).
- Mastrangelo, G.; Fedeli, U.; Fadda, E.; Milan, G.; Turato, A.; Pavanello, S. Lung Cancer Risk in Workers Exposed to Poly(Vinyl Chloride) Dust: A Nested Case-Referent Study. Occup. Environ. Med. 2003, 60, 423–428. [Google Scholar] [CrossRef]
- Girardi, P.; Barbiero, F.; Baccini, M.; Comba, P.; Pirastu, R.; Mastrangelo, G.; Ballarin, M.N.; Biggeri, A.; Fedeli, U. Mortality for Lung Cancer among PVC Baggers Employed in the Vinyl Chloride Industry. Int. J. Environ. Res. Public Health 2022, 19, 6246. [Google Scholar] [CrossRef]
- Niu, H.; Liu, S.; Jiang, Y.; Hu, Y.; Li, Y.; He, L.; Xing, M.; Li, X.; Wu, L.; Chen, Z.; et al. Are Microplastics Toxic? A Review from Eco-Toxicity to Effects on the Gut Microbiota. Metabolites 2023, 13, 739. [Google Scholar] [CrossRef]
- Su, Q.L.; Wu, J.; Tan, S.W.; Guo, X.Y.; Zou, D.Z.; Kang, K. The impact of microplastics polystyrene on the microscopic structure of mouse intestine, tight junction genes and gut microbiota. PLoS ONE 2024, 19, e0304686. [Google Scholar] [CrossRef]
- Lu, L.; Wan, Z.; Luo, T.; Fu, Z.; Jin, Y. Polystyrene Microplastics Induce Gut Microbiota Dysbiosis and Hepatic Lipid Metabolism Disorder in Mice. Sci. Total Environ. 2018, 631–632, 449–458. [Google Scholar] [CrossRef]
- Jin, Y.; Xia, J.; Pan, Z.; Yang, J.; Wang, W.; Fu, Z. Polystyrene Microplastics Induce Microbiota Dysbiosis and Inflammation in the Gut of Adult Zebrafish. Environ. Pollut. Barking Essex 1987 2018, 235, 322–329. [Google Scholar] [CrossRef]
- Santos, A.L.; Rodrigues, C.C.; Oliveira, M.; Rocha, T.L. Microbiome: A Forgotten Target of Environmental Micro(Nano)Plastics? Sci. Total Environ. 2022, 822, 153628. [Google Scholar] [CrossRef] [PubMed]
- Fouhse, J.M.; Zijlstra, R.T.; Willing, B.P. The Role of Gut Microbiota in the Health and Disease of Pigs. Anim. Front. 2016, 6, 30–36. [Google Scholar] [CrossRef]
- Barko, P.C.; McMichael, M.A.; Swanson, K.S.; Williams, D.A. The Gastrointestinal Microbiome: A Review. J. Vet. Intern. Med. 2018, 32, 9–25. [Google Scholar] [CrossRef] [PubMed]
- Mohajeri, M.H.; Brummer, R.J.M.; Rastall, R.A.; Weersma, R.K.; Harmsen, H.J.M.; Faas, M.; Eggersdorfer, M. The Role of the Microbiome for Human Health: From Basic Science to Clinical Applications. Eur. J. Nutr. 2018, 57, 1–14. [Google Scholar] [CrossRef]
- Adak, A.; Khan, M.R. An Insight into Gut Microbiota and Its Functionalities. Cell. Mol. Life Sci. CMLS 2019, 76, 473–493. [Google Scholar] [CrossRef]
- Duranthon, V.; Beaujean, N.; Brunner, M.; Odening, K.E.; Santos, A.N.; Kacskovics, I.; Hiripi, L.; Weinstein, E.J.; Bosze, Z. On the Emerging Role of Rabbit as Human Disease Model and the Instrumental Role of Novel Transgenic Tools. Transgenic Res. 2012, 21, 699–713. [Google Scholar] [CrossRef]
- Clay, M.A.; Hopkins, G.J.; Ehnholm, C.P.; Barter, P.J. The Rabbit as an Animal Model of Hepatic Lipase Deficiency. Biochim. Biophys. Acta BBA Lipids Lipid Metab. 1989, 1002, 173–181. [Google Scholar] [CrossRef]
- Soares, J.; Pinheiro, A.; Esteves, P.J. The Rabbit as an Animal Model to Study Innate Immunity Genes: Is It Better than Mice? Front. Immunol. 2022, 13, 981815. [Google Scholar] [CrossRef]
- Esteves, P.J.; Abrantes, J.; Baldauf, H.M.; BenMohamed, L.; Chen, Y.; Christensen, N.; González-Gallego, J.; Giacani, L.; Hu, J.; Kaplan, G.; et al. The Wide Utility of Rabbits as Models of Human Diseases. Exp. Mol. Med. 2018, 50, 1–10. [Google Scholar] [CrossRef]
- Kriszt, R.; Winkler, Z.; Polyák, Á.; Kuti, D.; Molnár, C.; Hrabovszky, E.; Kalló, I.; Szőke, Z.; Ferenczi, S.; Kovács, K.J. Xenoestrogens Ethinyl Estradiol and Zearalenone Cause Precocious Puberty in Female Rats via Central Kisspeptin Signaling. Endocrinology 2015, 156, 3996–4007. [Google Scholar] [CrossRef]
- Zsarnovszky, A.; Alymbaeva, D.; Jocsak, G.; Szabo, C.; Mária Schilling-Tóth, B.; Sandor Kiss, D. Endocrine Disrupting Effects on Morphological Synaptic Plasticity. Front. Neuroendocrinol. 2024, 75, 101157. [Google Scholar] [CrossRef] [PubMed]
- Cserháti, M.; Kriszt, B.; Krifaton, C.; Szoboszlay, S.; Háhn, J.; Tóth, S.; Nagy, I.; Kukolya, J. Mycotoxin-Degradation Profile of Rhodococcus Strains. Int. J. Food Microbiol. 2013, 166, 176–185. [Google Scholar] [CrossRef] [PubMed]
- Lai, W.; Xu, D.; Li, J.; Wang, Z.; Ding, Y.; Wang, X.; Li, X.; Xu, N.; Mai, K.; Ai, Q. Dietary Polystyrene Nanoplastics Exposure Alters Liver Lipid Metabolism and Muscle Nutritional Quality in Carnivorous Marine Fish Large Yellow Croaker (Larimichthys crocea). J. Hazard. Mater. 2021, 419, 126454. [Google Scholar] [CrossRef] [PubMed]
- Sun, H.; Yang, B.; Zhu, X.; Li, Q.; Song, E.; Song, Y. Oral Exposure of Polystyrene Microplastics and Doxycycline Affects Mice Neurological Function via Gut Microbiota Disruption: The Orchestrating Role of Fecal Microbiota Transplantation. J. Hazard. Mater. 2024, 467, 133714. [Google Scholar] [CrossRef]
- Parida, S.; Ashok, N.; Kurapati, R. Emerging Risk of Microplastics on Health, Agriculture and Environment. Ann. Biomed. Sci. Eng. 2024, 8, 4–10. [Google Scholar] [CrossRef]
- Zhao, L.; Shi, W.; Hu, F.; Song, X.; Cheng, Z.; Zhou, J. Prolonged Oral Ingestion of Microplastics Induced Inflammation in the Liver Tissues of C57BL/6J Mice through Polarization of Macrophages and Increased Infiltration of Natural Killer Cells. Ecotoxicol. Environ. Saf. 2021, 227, 112882. [Google Scholar] [CrossRef]
- Meng, X.; Zhang, J.; Wang, W.; Gonzalez-Gil, G.; Vrouwenvelder, J.S.; Li, Z. Effects of Nano- and Microplastics on Kidney: Physicochemical Properties, Bioaccumulation, Oxidative Stress and Immunoreaction. Chemosphere 2022, 288, 132631. [Google Scholar] [CrossRef]
- Wolff, C.M.; Singer, D.; Schmidt, A.; Bekeschus, S. Immune and Inflammatory Responses of Human Macrophages, Dendritic Cells, and T-Cells in Presence of Micro- and Nanoplastic of Different Types and Sizes. J. Hazard. Mater. 2023, 459, 132194. [Google Scholar] [CrossRef]
- Yin, K.; Wang, D.; Zhang, Y.; Lu, H.; Hou, L.; Guo, T.; Zhao, H.; Xing, M. Polystyrene Microplastics Promote Liver Inflammation by Inducing the Formation of Macrophages Extracellular Traps. J. Hazard. Mater. 2023, 452, 131236. [Google Scholar] [CrossRef]
- Stock, V.; Böhmert, L.; Lisicki, E.; Block, R.; Cara-Carmona, J.; Pack, L.K.; Selb, R.; Lichtenstein, D.; Voss, L.; Henderson, C.J.; et al. Uptake and Effects of Orally Ingested Polystyrene Microplastic Particles in Vitro and in Vivo. Arch. Toxicol. 2019, 93, 1817–1833. [Google Scholar] [CrossRef]
- Liu, H.; Li, X.; Zhang, K.; Lv, X.; Zhang, Q.; Chen, P.; Wang, Y.; Zhao, J. Integrated Multi-Omics Reveals the Beneficial Role of Chlorogenic Acid in Improving the Growth Performance and Immune Function of Immunologically Stressed Broilers. Anim. Nutr. Zhongguo Xu Mu Shou Yi Xue Hui 2023, 14, 383–402. [Google Scholar] [CrossRef] [PubMed]
- Pedà, C.; Caccamo, L.; Fossi, M.C.; Gai, F.; Andaloro, F.; Genovese, L.; Perdichizzi, A.; Romeo, T.; Maricchiolo, G. Intestinal Alterations in European Sea Bass Dicentrarchus labrax (Linnaeus, 1758) Exposed to Microplastics: Preliminary Results. Environ. Pollut. Barking Essex 1987 2016, 212, 251–256. [Google Scholar] [CrossRef] [PubMed]
- Leonardi, A.; Cofini, M.; Rigante, D.; Lucchetti, L.; Cipolla, C.; Penta, L.; Esposito, S. The Effect of Bisphenol A on Puberty: A Critical Review of the Medical Literature. Int. J. Environ. Res. Public Health 2017, 14, 1044. [Google Scholar] [CrossRef]
- Charles River Model Information Sheet. Available online: https://www.criver.com/sites/default/files/Technical%20Resources/New%20Zealand%20White%20(NZW)%20Rabbit%20Insert.pdf (accessed on 14 November 2024).
- Taylor, K.W.; Howdeshell, K.L.; Bommarito, P.A.; Sibrizzi, C.A.; Blain, R.B.; Magnuson, K.; Lemeris, C.; Tracy, W.; Baird, D.D.; Jackson, C.L.; et al. Systematic Evidence Mapping Informs a Class-Based Approach to Assessing Personal Care Products and Pubertal Timing. Environ. Int. 2023, 181, 108307. [Google Scholar] [CrossRef]
- Yang, X.; Jiang, J.; Wang, Q.; Duan, J.; Chen, N.; Wu, D.; Xia, Y. Gender Difference in Hepatic AMPK Pathway Activated Lipid Metabolism Induced by Aged Polystyrene Microplastics Exposure. Ecotoxicol. Environ. Saf. 2022, 245, 114105. [Google Scholar] [CrossRef]
- Massart, F.; Saggese, G. Oestrogenic Mycotoxin Exposures and Precocious Pubertal Development. Int. J. Androl. 2010, 33, 369–376. [Google Scholar] [CrossRef]
- Jang, D.-I.; Lee, A.-H.; Shin, H.-Y.; Song, H.-R.; Park, J.-H.; Kang, T.-B.; Lee, S.-R.; Yang, S.-H. The Role of Tumor Necrosis Factor Alpha (TNF-α) in Autoimmune Disease and Current TNF-α Inhibitors in Therapeutics. Int. J. Mol. Sci. 2021, 22, 2719. [Google Scholar] [CrossRef]
- Lu, K.; Zhan, D.; Fang, Y.; Li, L.; Chen, G.; Chen, S.; Wang, L. Microplastics, Potential Threat to Patients with Lung Diseases. Front. Toxicol. 2022, 4, 958414. [Google Scholar] [CrossRef]
- Schmidt, A.; da Silva Brito, W.A.; Singer, D.; Mühl, M.; Berner, J.; Saadati, F.; Wolff, C.; Miebach, L.; Wende, K.; Bekeschus, S. Short- and Long-Term Polystyrene Nano- and Microplastic Exposure Promotes Oxidative Stress and Divergently Affects Skin Cell Architecture and Wnt/Beta-Catenin Signaling. Part. Fibre Toxicol. 2023, 20, 3. [Google Scholar] [CrossRef]
- Busch, M.; Bredeck, G.; Kämpfer, A.A.M.; Schins, R.P.F. Investigations of Acute Effects of Polystyrene and Polyvinyl Chloride Micro- and Nanoplastics in an Advanced in Vitro Triple Culture Model of the Healthy and Inflamed Intestine. Environ. Res. 2021, 193, 110536. [Google Scholar] [CrossRef]
- Chen, X.; Huang, L.; Cheng, L.; Hu, B.; Liu, H.; Hu, J.; Hu, S.; Han, C.; He, H.; Kang, B.; et al. Effects of Floor- and Net-Rearing Systems on Intestinal Growth and Microbial Diversity in the Ceca of Ducks. BMC Microbiol. 2022, 22, 76. [Google Scholar] [CrossRef] [PubMed]
- Manor, O.; Dai, C.L.; Kornilov, S.A.; Smith, B.; Price, N.D.; Lovejoy, J.C.; Gibbons, S.M.; Magis, A.T. Health and disease markers correlate with gut microbiome composition across thousands of people. Nat. Commun. 2020, 15, 5206. [Google Scholar] [CrossRef] [PubMed]
- Biada, I.; Ibáñez-Escriche, N.; Blasco, A.; Casto-Rebollo, C.; Santacreu, M.A. Microbiome Composition as a Potential Predictor of Longevity in Rabbits. Genet. Sel. Evol. GSE 2024, 56, 25. [Google Scholar] [CrossRef] [PubMed]
- Casto-Rebollo, C.; Argente, M.J.; García, M.L.; Pena, R.N.; Blasco, A.; Ibáñez-Escriche, N. Selection for Environmental Variance Shifted the Gut Microbiome Composition Driving Animal Resilience. Microbiome 2023, 11, 147. [Google Scholar] [CrossRef] [PubMed]
- Zha, H.; Xia, J.; Li, S.; Lv, J.; Zhuge, A.; Tang, R.; Wang, S.; Wang, K.; Chang, K.; Li, L. Airborne polystyrene microplastics and nanoplastics induce nasal and lung microbial dysbiosis in mice. Chemosphere 2023, 310, 136764. [Google Scholar] [CrossRef]
- Parker, B.J.; Wearsch, P.A.; Veloo, A.C.M.; Rodriguez-Palacios, A. The Genus Alistipes: Gut Bacteria With Emerging Implications to Inflammation, Cancer, and Mental Health. Front. Immunol. 2020, 11, 906. [Google Scholar] [CrossRef]
- Gu, H.; Wang, S.; Wang, X.; Yu, X.; Hu, M.; Huang, W.; Wang, Y. Nanoplastics Impair the Intestinal Health of the Juvenile Large Yellow Croaker Larimichthys crocea. J. Hazard. Mater. 2020, 397, 122773. [Google Scholar] [CrossRef]
- Kraimi, N.; Lormant, F.; Calandreau, L.; Kempf, F.; Zemb, O.; Lemarchand, J.; Constantin, P.; Parias, C.; Germain, K.; Rabot, S.; et al. Microbiota and stress: a loop that impacts memory. Psychoneuroendocrinology 22022, 136, 105594. [Google Scholar] [CrossRef]
- Agus, A.; Planchais, J.; Sokol, H. Gut Microbiota Regulation of Tryptophan Metabolism in Health and Disease. Cell Host Microbe 2018, 23, 716–724. [Google Scholar] [CrossRef]
- Yang, C.; Xu, J.; Xu, X.; Xu, W.; Tong, B.; Wang, S.; Ji, R.; Tan, Y.; Zhu, Y. Characteristics of Gut Microbiota in Patients with Metabolic Associated Fatty Liver Disease. Sci. Rep. 2023, 13, 9988. [Google Scholar] [CrossRef]
- Hu, N.; Zhang, X.; Yu, Z.; Du, Y.; He, X.; Wang, H.; Pu, L.; Pan, D.; He, S.; Liu, X.; et al. Effects of oral exposure to leachate from boiled-water treated plastic products on gut microbiome and metabolomics. J. Hazard. Mater. 2022, 439, 129605. [Google Scholar] [CrossRef] [PubMed]
- Wen, S.; Zhao, Y.; Liu, S.; Chen, Y.; Yuan, H.; Xu, H. Polystyrene microplastics exacerbated liver injury from cyclophosphamide in mice: Insight into gut microbiota. Sci. Total Environ. 2022, 840, 156668. [Google Scholar] [CrossRef] [PubMed]
- Zhuang, J.; Chen, Q.; Xu, L.; Chen, X. Combined Exposure to Polyvinyl Chloride and Polystyrene Microplastics Induces Liver Injury and Perturbs Gut Microbial and Serum Metabolic Homeostasis in Mice. Ecotoxicol. Environ. Saf. 2023, 267, 115637. [Google Scholar] [CrossRef] [PubMed]
- Wang, H.; Wang, G.; Banerjee, N.; Liang, Y.; Du, X.; Boor, P.J.; Hoffman, K.L.; Khan, M.F. Aberrant Gut Microbiome Contributes to Intestinal Oxidative Stress, Barrier Dysfunction, Inflammation and Systemic Autoimmune Responses in MRL/Lpr Mice. Front. Immunol. 2021, 12, 651191. [Google Scholar] [CrossRef]
- Bello-Medina, P.C.; Corona-Cervantes, K.; Zavala Torres, N.G.; González, A.; Pérez-Morales, M.; González-Franco, D.A.; Gómez, A.; García-Mena, J.; Díaz-Cintra, S.; Pacheco-López, G. Chronic-Antibiotics Induced Gut Microbiota Dysbiosis Rescues Memory Impairment and Reduces β-Amyloid Aggregation in a Preclinical Alzheimer’s Disease Model. Int. J. Mol. Sci. 2022, 23, 8209. [Google Scholar] [CrossRef]
- He, C.; Wang, W.; Wei, G.; Wang, Y.; Wei, Y.; Wang, J.; Zhang, Z. Sodium Alginate Combined with Oxymatrine Ameliorates CCl4-Induced Chemical Hepatic Fibrosis in Mice. Int. Immunopharmacol. 2023, 125, 111144. [Google Scholar] [CrossRef]
- Hong, Y.; Feng, Y.; Yan, T.; Zhang, L.; Zhao, Q.; Zhao, Q.; Huang, J.; Huang, S.; Zhang, Y. Take-out Food Enhances the Risk of MPs Ingestion and Obesity, Altering the Gut Microbiome in Young Adults. J. Hazard. Mater. 2024, 476, 135125. [Google Scholar] [CrossRef]
- Yi, X.; Zhou, K.; Deng, N.; Cai, Y.; Peng, X.; Tan, Z. Simo Decoction Curing Spleen Deficiency Constipation Was Associated with Brain-Bacteria-Gut Axis by Intestinal Mucosal Microbiota. Front. Microbiol. 2023, 14, 1090302. [Google Scholar] [CrossRef]
- Tamargo, A.; Molinero, N.; Reinosa, J.J.; Alcolea-Rodriguez, V.; Portela, R.; Bañares, M.A.; Fernández, J.F.; Moreno-Arribas, M.V. PET Microplastics Affect Human Gut Microbiota Communities during Simulated Gastrointestinal Digestion, First Evidence of Plausible Polymer Biodegradation during Human Digestion. Sci. Rep. 2022, 12, 528. [Google Scholar] [CrossRef]
- Jiang, S.-Q.; Ye, S.-N.; Huang, Y.-H.; Ou, Y.-W.; Chen, K.-Y.; Chen, J.-S.; Tang, S.-B. Gut Microbiota Induced Abnormal Amino Acids and Their Correlation with Diabetic Retinopathy. Int. J. Ophthalmol. 2024, 17, 883–895. [Google Scholar] [CrossRef]
- Li, H.; Xiao, H.; Yuan, L.; Yan, B.; Pan, Y.; Tian, P.; Zhang, W. Protective Effect of L-Pipecolic Acid on Constipation in C57BL/6 Mice Based on Gut Microbiome and Serum Metabolomic. BMC Microbiol. 2023, 23, 144. [Google Scholar] [CrossRef] [PubMed]
- Shi, H.; Chen, M.; Zheng, C.; Yinglin, B.; Zhu, B. Fecal Microbiota Transplantation Alleviated Paclitaxel-Induced Peripheral Neuropathy by Interfering with Astrocytes and TLR4/p38MAPK Pathway in Rats. J. Pain Res. 2023, 16, 2419–2432. [Google Scholar] [CrossRef] [PubMed]
- Shen, C.-L.; Wang, R.; Ji, G.; Elmassry, M.M.; Zabet-Moghaddam, M.; Vellers, H.; Hamood, A.N.; Gong, X.; Mirzaei, P.; Sang, S.; et al. Dietary Supplementation of Gingerols- and Shogaols-Enriched Ginger Root Extract Attenuate Pain-Associated Behaviors While Modulating Gut Microbiota and Metabolites in Rats with Spinal Nerve Ligation. J. Nutr. Biochem. 2022, 100, 108904. [Google Scholar] [CrossRef]
- Hung, D.-Y.; Cheng, Y.-H.; Chen, W.-J.; Hua, K.-F.; Pietruszka, A.; Dybus, A.; Lin, C.-S.; Yu, Y.-H. Bacillus Licheniformis-Fermented Products Reduce Diarrhea Incidence and Alter the Fecal Microbiota Community in Weaning Piglets. Anim. Open Access J. MDPI 2019, 9, 1145. [Google Scholar] [CrossRef]
- Xiao, S.-S.; Mi, J.-D.; Mei, L.; Liang, J.; Feng, K.-X.; Wu, Y.-B.; Liao, X.-D.; Wang, Y. Microbial Diversity and Community Variation in the Intestines of Layer Chickens. Anim. Open Access J. MDPI 2021, 11, 840. [Google Scholar] [CrossRef]
- Hao, G.; Li, P.; Huang, J.; Cui, K.; Liang, L.; Lin, F.; Lu, Z.; Sun, S. Research Note: Therapeutic Effect of a Salmonella Phage Combination on Chicks Infected with Salmonella Typhimurium. Poult. Sci. 2023, 102, 102715. [Google Scholar] [CrossRef]
- Liu, M.; Koh, H.; Kurtz, Z.D.; Battaglia, T.; PeBenito, A.; Li, H.; Nazzal, L.; Blaser, M.J. Oxalobacter Formigenes-Associated Host Features and Microbial Community Structures Examined Using the American Gut Project. Microbiome 2017, 5, 108. [Google Scholar] [CrossRef]
- Daniel, S.L.; Moradi, L.; Paiste, H.; Wood, K.D.; Assimos, D.G.; Holmes, R.P.; Nazzal, L.; Hatch, M.; Knight, J. Forty Years of Oxalobacter Formigenes, a Gutsy Oxalate-Degrading Specialist. Appl. Environ. Microbiol. 2021, 87, e00544-21. [Google Scholar] [CrossRef]
- Li, P.; Yang, S.; Zhang, X.; Huang, S.; Wang, N.; Wang, M.; Long, M.; He, J. Zearalenone Changes the Diversity and Composition of Caecum Microbiota in Weaned Rabbit. BioMed Res. Int. 2018, 2018, 3623274. [Google Scholar] [CrossRef]
- Chen, X.; Zhuang, J.; Chen, Q.; Xu, L.; Yue, X.; Qiao, D. Chronic exposure to polyvinyl chloride microplastics induces liver injury and gut microbiota dysbiosis based on the integration of liver transcriptome profiles and full-length 16S rRNA sequencing data. Sci. Total Environ. 2022, 839, 155984. [Google Scholar] [CrossRef]
- Liu, Z.; Yu, P.; Cai, M.; Wu, D.; Zhang, M.; Chen, M.; Zhao, Y. Effects of Microplastics on the Innate Immunity and Intestinal Microflora of Juvenile Eriocheir sinensis. Sci. Total Environ. 2019, 685, 836–846. [Google Scholar] [CrossRef] [PubMed]
- Lear, G.; Kingsbury, J.M.; Franchini, S.; Gambarini, V.; Maday, S.D.M.; Wallbank, J.A.; Weaver, L.; Pantos, O. Plastics and the Microbiome: Impacts and Solutions. Environ. Microbiome 2021, 16, 2. [Google Scholar] [CrossRef]
- Pol, W.; Mierzyńska, K.; Włodarczyk, T.; Hauschild, T.; Zieliński, P. No Trophy for the Trophy?—How Lake Trophy Impacts Bacterial Assemblages of Biofilm on Microplastic. Ecohydrol. Hydrobiol. 2023, 23, 602–613. [Google Scholar] [CrossRef]
- Min, L.; Chi, Y.; Dong, S. Gut Microbiota Health Closely Associates with PCB153-Derived Risk of Host Diseases. Ecotoxicol. Environ. Saf. 2020, 203, 111041. [Google Scholar] [CrossRef]
- Scaldaferri, F.; D’Onofrio, A.M.; Calia, R.; Di Vincenzo, F.; Ferrajoli, G.F.; Petito, V.; Maggio, E.; Pafundi, P.C.; Napolitano, D.; Masi, L.; et al. Gut Microbiota Signatures Are Associated With Psychopathological Profiles in Patients With Ulcerative Colitis: Results From an Italian Tertiary IBD Center. Inflamm. Bowel Dis. 2023, 29, 1805–1818. [Google Scholar] [CrossRef]
- Kuehbacher, T.; Rehman, A.; Lepage, P.; Hellmig, S.; Fölsch, U.R.; Schreiber, S.; Ott, S.J. Intestinal TM7 Bacterial Phylogenies in Active Inflammatory Bowel Disease. J. Med. Microbiol. 2008, 57, 1569–1576. [Google Scholar] [CrossRef]
- Liu, L.; Chen, Y.; Wu, Q.; Shu, A.; Sun, J. Sodium Butyrate Attenuated Diabetes-Induced Intestinal Inflammation by Modulating Gut Microbiota. Evid.-Based Complement. Altern. Med. ECAM 2022, 2022, 4646245. [Google Scholar] [CrossRef]
- Kubickova, B.; Babica, P.; Hilscherová, K.; Šindlerová, L. Effects of Cyanobacterial Toxins on the Human Gastrointestinal Tract and the Mucosal Innate Immune System. Environ. Sci. Eur. 2019, 31, 31. [Google Scholar] [CrossRef]
- Lad, A.; Breidenbach, J.D.; Su, R.C.; Murray, J.; Kuang, R.; Mascarenhas, A.; Najjar, J.; Patel, S.; Hegde, P.; Youssef, M.; et al. As We Drink and Breathe: Adverse Health Effects of Microcystins and Other Harmful Algal Bloom Toxins in the Liver, Gut, Lungs and Beyond. Life Basel Switz. 2022, 12, 418. [Google Scholar] [CrossRef]
- Xie, L.; Chen, T.; Liu, J.; Hou, Y.; Tan, Q.; Zhang, X.; Li, Z.; Farooq, T.H.; Yan, W.; Li, Y. Intestinal Flora Variation Reflects the Short-Term Damage of Microplastic to the Intestinal Tract in Mice. Ecotoxicol. Environ. Saf. 2022, 246, 114194. [Google Scholar] [CrossRef] [PubMed]
- Chen, X.; Zhuang, J.; Chen, Q.; Xu, L.; Yue, X.; Qiao, D. Polyvinyl Chloride Microplastics Induced Gut Barrier Dysfunction, Microbiota Dysbiosis and Metabolism Disorder in Adult Mice. Ecotoxicol. Environ. Saf. 2022, 241, 113809. [Google Scholar] [CrossRef] [PubMed]
- EU Regulations on Animal Research. Available online: https://www.eara.eu/animal-research-law (accessed on 1 October 2024).
- Hungarian Academy of Sciences Science Ethics Code of the Hungarian Academy of Sciences. Available online: https://mta.hu/data/dokumentumok/english/background/Science_Ethics_Code_English.pdf (accessed on 1 October 2024).
- Weber, N.; Liou, D.; Dommer, J.; MacMenamin, P.; Quiñones, M.; Minser, I.; Oler, A.; Wan, J.; Kim, J.; Coakley McCarthy, M.; et al. Nephele: A Cloud Platform for Simplified, Standardized and Reproducible Microbiome Data Analysis. Bioinforma. Oxf. Engl. 2018, 34, 1411–1413. [Google Scholar] [CrossRef] [PubMed]
- Bokulich, N.A.; Subramanian, S.; Faith, J.J.; Gevers, D.; Gordon, J.I.; Knight, R.; Mills, D.A.; Caporaso, J.G. Quality-Filtering Vastly Improves Diversity Estimates from Illumina Amplicon Sequencing. Nat. Methods 2013, 10, 57–59. [Google Scholar] [CrossRef] [PubMed]
- Murray, D.C.; Coghlan, M.L.; Bunce, M. From Benchtop to Desktop: Important Considerations When Designing Amplicon Sequencing Workflows. PLoS ONE 2015, 10, e0124671. [Google Scholar] [CrossRef]
- Schriefer, A.E.; Cliften, P.F.; Hibberd, M.C.; Sawyer, C.; Brown-Kennerly, V.; Burcea, L.; Klotz, E.; Crosby, S.D.; Gordon, J.I.; Head, R.D. A Multi-Amplicon 16S rRNA Sequencing and Analysis Method for Improved Taxonomic Profiling of Bacterial Communities. J. Microbiol. Methods 2018, 154, 6–13. [Google Scholar] [CrossRef]
- Karstens, L.; Asquith, M.; Davin, S.; Fair, D.; Gregory, W.T.; Wolfe, A.J.; Braun, J.; McWeeney, S. Controlling for Contaminants in Low-Biomass 16S rRNA Gene Sequencing Experiments. mSystems 2019, 4, e00290-19. [Google Scholar] [CrossRef]
- Ruczizka, U.; Metzler-Zebeli, B.; Unterweger, C.; Mann, E.; Schwarz, L.; Knecht, C.; Hennig-Pauka, I. Early Parenteral Administration of Ceftiofur Has Gender-Specific Short- and Long-Term Effects on the Fecal Microbiota and Growth in Pigs from the Suckling to Growing Phase. Animals 2019, 10, 17. [Google Scholar] [CrossRef]
- Klinsoda, J.; Vötterl, J.; Zebeli, Q.; Metzler-Zebeli, B.U. Alterations of the Viable Ileal Microbiota of the Gut Mucosa-Lymph Node Axis in Pigs Fed Phytase and Lactic Acid-Treated Cereals. Appl. Environ. Microbiol. 2020, 86, e02128-19. [Google Scholar] [CrossRef]
- Xia, Y.; Sun, J. Hypothesis Testing and Statistical Analysis of Microbiome. Genes Dis. 2017, 4, 138–148. [Google Scholar] [CrossRef]
- Zeebone, Y.Y.; Bóta, B.; Halas, V.; Libisch, B.; Olasz, F.; Papp, P.; Keresztény, T.; Gerőcs, A.; Ali, O.; Kovács, M.; et al. Gut-Faecal Microbial and Health-Marker Response to Dietary Fumonisins in Weaned Pigs. Toxins 2023, 15, 328. [Google Scholar] [CrossRef]





| Organ | P1 Low PVC Dose | P2 High PVC Dose | C | Kruskal–Wallis Test p-Values a | Significant Changes |
|---|---|---|---|---|---|
| Swollen liver | 3/6 | 4/6 | 1/6 | p = 0.226 | none |
| Abnormal kidneys | 0/6 | 0/6 | 1/6 | p = 0.368 | none |
| Swollen Peyer plaque, lymph node | 4/5 | 2/6 | 6/6 | p = 0.059 | none |
| Small intestine swollen mucosa | 6/6 | 6/6 | 2/6 | p = 0.021 | C vs. P1 C vs. P2 |
| Abnormal caecum | 2/6 | 0/6 | 3/6 | p = 0.160 | none |
| Abnormal large intestine and rectum | 0/6 | 0/6 | 0/6 | p = 1.00 | none |
| Swollen spleen | 5/6 | 5/6 | 3/6 | p = 0.351 | none |
| Intestinal Section | Pearson Correlation of Bacterial Relative Abundance in the Gut with | |||||||
|---|---|---|---|---|---|---|---|---|
| TNF-α on Week 3 | Swollen Liver | The PVC Content of Rabbit Feed | ||||||
| Sacchari-bacteria | Cyano-bacteria | UCG-005 | Alistipes | Odoribacter | Alistipes | Rikenella | Phascolarcto-bacterium | |
| Ileum | 0.562 a | 0.566 a | ||||||
| Caecum | 0.501 a | 0.545 a | 0.599 a | 0.479 a | 0.784 b | 0.711 b | ||
| Faeces | 0.562 a | 0.619 b | 0.587 b | 0.715 b | 0.717 b | 0.626 b | 0.717 b | |
Disclaimer/Publisher’s Note: The statements, opinions and data contained in all publications are solely those of the individual author(s) and contributor(s) and not of MDPI and/or the editor(s). MDPI and/or the editor(s) disclaim responsibility for any injury to people or property resulting from any ideas, methods, instructions or products referred to in the content. |
© 2024 by the authors. Licensee MDPI, Basel, Switzerland. This article is an open access article distributed under the terms and conditions of the Creative Commons Attribution (CC BY) license (https://creativecommons.org/licenses/by/4.0/).
Share and Cite
Papp, P.P.; Hoffmann, O.I.; Libisch, B.; Keresztény, T.; Gerőcs, A.; Posta, K.; Hiripi, L.; Hegyi, A.; Gócza, E.; Szőke, Z.; et al. Effects of Polyvinyl Chloride (PVC) Microplastic Particles on Gut Microbiota Composition and Health Status in Rabbit Livestock. Int. J. Mol. Sci. 2024, 25, 12646. https://doi.org/10.3390/ijms252312646
Papp PP, Hoffmann OI, Libisch B, Keresztény T, Gerőcs A, Posta K, Hiripi L, Hegyi A, Gócza E, Szőke Z, et al. Effects of Polyvinyl Chloride (PVC) Microplastic Particles on Gut Microbiota Composition and Health Status in Rabbit Livestock. International Journal of Molecular Sciences. 2024; 25(23):12646. https://doi.org/10.3390/ijms252312646
Chicago/Turabian StylePapp, Péter P., Orsolya Ivett Hoffmann, Balázs Libisch, Tibor Keresztény, Annamária Gerőcs, Katalin Posta, László Hiripi, Anna Hegyi, Elen Gócza, Zsuzsanna Szőke, and et al. 2024. "Effects of Polyvinyl Chloride (PVC) Microplastic Particles on Gut Microbiota Composition and Health Status in Rabbit Livestock" International Journal of Molecular Sciences 25, no. 23: 12646. https://doi.org/10.3390/ijms252312646
APA StylePapp, P. P., Hoffmann, O. I., Libisch, B., Keresztény, T., Gerőcs, A., Posta, K., Hiripi, L., Hegyi, A., Gócza, E., Szőke, Z., & Olasz, F. (2024). Effects of Polyvinyl Chloride (PVC) Microplastic Particles on Gut Microbiota Composition and Health Status in Rabbit Livestock. International Journal of Molecular Sciences, 25(23), 12646. https://doi.org/10.3390/ijms252312646

