Astrocyte Dysfunction Reflected in Ischemia-Induced Astrocyte-Derived Extracellular Vesicles: A Pilot Study on Acute Ischemic Stroke Patients
Abstract
1. Introduction
2. Results
2.1. Study Population
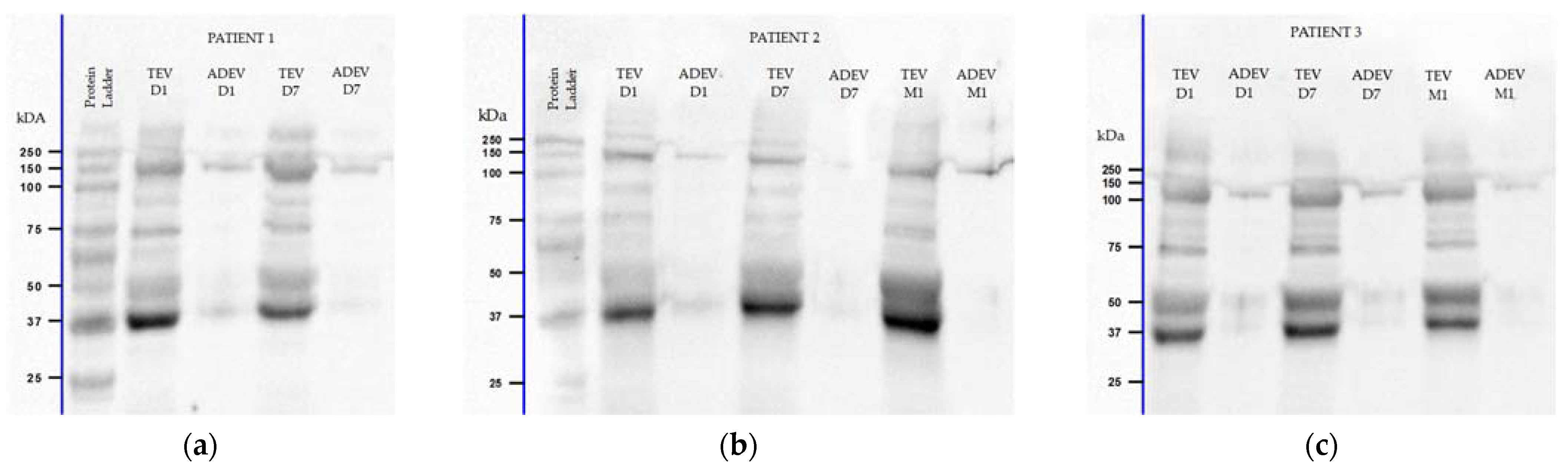
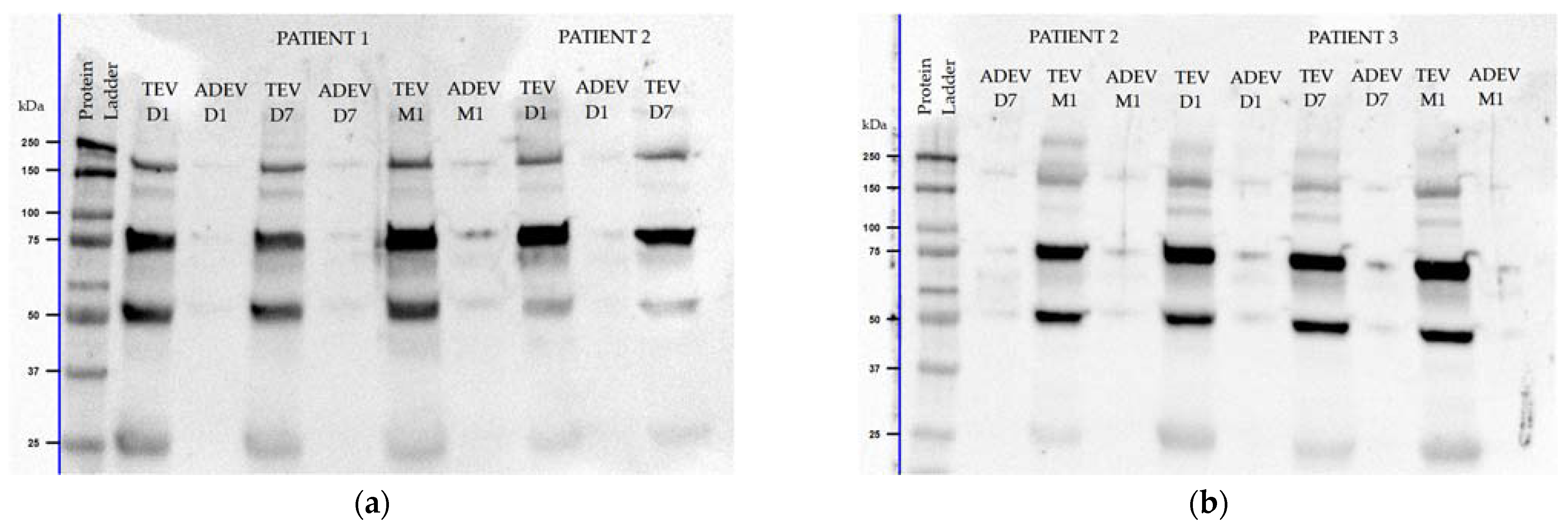
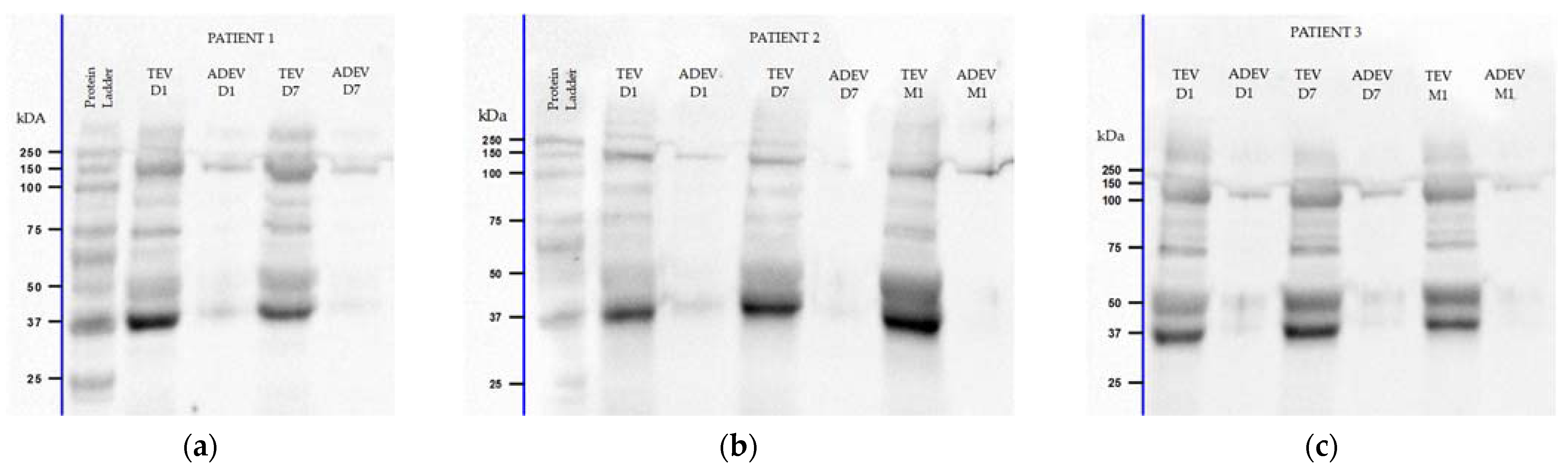
2.2. Western Blot Analyses of EV Cargo Proteins
2.3. EV AQP4 and EV GDNF in AIS Patients and Controls
2.4. Temporal Profile of EV AQP4 and EV GDNF
2.5. Correlations Between EV Cargo, Stroke Severity, and Functional Outcome
3. Discussion
3.1. Western Blot Profile of AQP4 and GDNF in Post-Ischemic TEVs and ADEVs
3.2. Temporal Profile of EV AQP4 in AIS Patients
3.3. Temporal Profile of EV GDNF in AIS Patients
3.4. Limitations of the Study
4. Materials and Methods
4.1. Patient Enrollment and Study Design
4.2. Isolation and Characterization of EVs and Purification of ADEVs from Plasma Samples
4.2.1. Isolation of EVs from Plasma Samples
4.2.2. Characterization of EVs Using Bead-Based Flow Cytometry
4.2.3. Purification of ADEVs Using Bead-Based Flow-Cytometry
4.3. Characterization of EVs Using Transmission and Scanning Electron Microscopy
4.4. Western Blot Quantitative Analyses of EV Proteins
4.5. Statistical Analyses
5. Conclusions
Author Contributions
Funding
Institutional Review Board Statement
Informed Consent Statement
Data Availability Statement
Acknowledgments
Conflicts of Interest
Abbreviations
| ADEVs | astrocyte-derived extracellular vesicles |
| AIS | acute ischemic stroke |
| AQP4 | aquaporin-4 |
| BBB | blood–brain barrier |
| C | control |
| cat. no. | catalog number |
| CNS | central nervous system |
| CT | computed tomography |
| d | standardized difference |
| e.g., | for example |
| EVs | extracellular vesicles |
| GDNF | glial cell line-derived neurotrophic factor |
| GFAP | glial fibrillary acidic protein |
| GLAST | glutamate aspartate transporter |
| IQR | interquartile range |
| IS | ischemic stroke |
| IVT | intravenous thrombolysis |
| kDa | kilodaltons |
| mRS | modified Rankin Scale |
| MW | molecular weight |
| NIHSS | National Institutes of Health Stroke Scale |
| Nm | nanometers |
| Ns | not significant |
| OAPs | orthogonal arrays of particles |
| PAGE | polyacrylamide gel electrophoresis |
| PVDF | polyvinylidene difluoride |
| RAs | reactive astrocytes |
| SDS | sodium dodecyl sulfate |
| SE | scanning electron microscopy |
| TE | transmission electron microscopy |
| TEVs | total extracellular vesicles |
| t-PA | tissue Plasminogen Activator |
References
- Feigin, V.L.; Brainin, M.; Norrving, B.; Martins, S.; Sacco, R.L.; Hacke, W.; Fisher, M.; Pandian, J.; Lindsay, P. World Stroke Organization (WSO): Global Stroke Fact Sheet 2022. Int. J. Stroke 2022, 17, 18–29. [Google Scholar] [CrossRef] [PubMed]
- Feigin, V.L.; Stark, B.A.; Johnson, C.O.; Roth, G.A.; Bisignano, C.; Abady, G.G.; Abbasifard, M.; Abbasi-Kangevari, M.; Abd-Allah, F.; Abedi, V.; et al. Global, Regional, and National Burden of Stroke and Its Risk Factors, 1990–2019: A Systematic Analysis for the Global Burden of Disease Study 2019. Lancet Neurol. 2021, 20, 795–820. [Google Scholar] [CrossRef] [PubMed]
- Wechsler, L.R.; Adeoye, O.; Alemseged, F.; Bahr-Hosseini, M.; Deljkich, E.; Favilla, C.; Fisher, M.; Grotta, J.; Hill, M.D.; Kamel, H.; et al. Most Promising Approaches to Improve Stroke Outcomes: The Stroke Treatment Academic Industry Roundtable XII Workshop. Stroke 2023, 54, 3202–3213. [Google Scholar] [CrossRef] [PubMed]
- Kakkar, P.; Kakkar, T.; Patankar, T.; Saha, S. Current Approaches and Advances in the Imaging of Stroke. Dis. Model. Mech. 2021, 14, dmm048785. [Google Scholar] [CrossRef] [PubMed]
- Oberheim, N.A.; Goldman, S.A.; Nedergaard, M. Heterogeneity of Astrocytic Form and Function. Methods Mol. Biol. 2012, 814, 23. [Google Scholar] [CrossRef]
- Li, T.; Tan, X.; Li, S.; Al-Nusaif, M.; Le, W. Role of Glia-Derived Extracellular Vesicles in Neurodegenerative Diseases. Front. Aging Neurosci. 2021, 13, 765395. [Google Scholar] [CrossRef]
- Verkhratsky, A.; Nedergaard, M. Physiology of Astroglia. Physiol. Rev. 2018, 98, 239. [Google Scholar] [CrossRef]
- Manu, D.R.; Slevin, M.; Barcutean, L.; Forro, T.; Boghitoiu, T.; Balasa, R. Astrocyte Involvement in Blood–Brain Barrier Function: A Critical Update Highlighting Novel, Complex, Neurovascular Interactions. Int. J. Mol. Sci. 2023, 24, 17146. [Google Scholar] [CrossRef]
- Chiareli, R.A.; Carvalho, G.A.; Marques, B.L.; Mota, L.S.; Oliveira-Lima, O.C.; Gomes, R.M.; Birbrair, A.; Gomez, R.S.; Simão, F.; Klempin, F.; et al. The Role of Astrocytes in the Neurorepair Process. Front. Cell Dev. Biol. 2021, 9, 665795. [Google Scholar] [CrossRef]
- Gürer, G.; Gursoy-Ozdemir, Y.; Erdemli, E.; Can, A.; Dalkara, T. Astrocytes Are More Resistant to Focal Cerebral Ischemia than Neurons and Die by a Delayed Necrosis. Brain Pathol. 2009, 19, 630–641. [Google Scholar] [CrossRef]
- Almeida, A.; Delgado-Esteban, M.; Bolaños, J.P.; Medina, J.M. Oxygen and Glucose Deprivation Induces Mitochondrial Dysfunction and Oxidative Stress in Neurones but Not in Astrocytes in Primary Culture. J. Neurochem. 2002, 81, 207–217. [Google Scholar] [CrossRef] [PubMed]
- Liu, Z.; Chopp, M. Astrocytes, Therapeutic Targets for Neuroprotection and Neurorestoration in Ischemic Stroke. Prog. Neurobiol. 2016, 144, 103–120. [Google Scholar] [CrossRef] [PubMed]
- Zhao, S.; Sheng, S.; Wang, Y.; Ding, L.; Xu, X.; Xia, X.; Zheng, J.C. Astrocyte-Derived Extracellular Vesicles: A Double-Edged Sword in Central Nervous System Disorders. Neurosci. Biobehav. Rev. 2021, 125, 148–159. [Google Scholar] [CrossRef] [PubMed]
- Shi, M.; Sheng, L.; Stewart, T.; Zabetian, C.P.; Zhang, J. New Windows into the Brain: Central Nervous System-Derived Extracellular Vesicles in Blood. Prog. Neurobiol. 2019, 175, 96. [Google Scholar] [CrossRef] [PubMed]
- Jeppesen, D.K.; Zhang, Q.; Franklin, J.L.; Coffey, R.J. Extracellular Vesicles and Nanoparticles: Emerging Complexities. Trends Cell Biol. 2023, 33, 667–681. [Google Scholar] [CrossRef]
- Jafarzadeh-Esfehani, R.; Soudyab, M.; Parizadeh, S.M.; Jaripoor, M.E.; Nejad, P.S.; Shariati, M.; Nabavi, A.S. Circulating Exosomes and Their Role in Stroke. Curr. Drug Targets 2020, 21, 89–95. [Google Scholar] [CrossRef]
- Han, G.; Song, L.; Ding, Z.; Wang, Q.; Yan, Y.; Huang, J.; Ma, C. The Important Double-Edged Role of Astrocytes in Neurovascular Unit After Ischemic Stroke. Front. Aging Neurosci. 2022, 14, 833431. [Google Scholar] [CrossRef]
- You, Y.; Borgmann, K.; Edara, V.V.; Stacy, S.; Ghorpade, A.; Ikezu, T. Activated Human Astrocyte-Derived Extracellular Vesicles Modulate Neuronal Uptake, Differentiation and Firing. J. Extracell. Vesicles 2019, 9, 1706801. [Google Scholar] [CrossRef]
- Datta Chaudhuri, A.; Dasgheyb, R.M.; DeVine, L.R.; Bi, H.; Cole, R.N.; Haughey, N.J. Stimulus-Dependent Modifications in Astrocyte-Derived Extracellular Vesicle Cargo Regulate Neuronal Excitability. Glia 2020, 68, 128–144. [Google Scholar] [CrossRef]
- Chaudhuri, A.D.; Dastgheyb, R.M.; Yoo, S.W.; Trout, A.; Talbot, C.C.; Hao, H.; Witwer, K.W.; Haughey, N.J. TNFα and IL-1β Modify the MiRNA Cargo of Astrocyte Shed Extracellular Vesicles to Regulate Neurotrophic Signaling in Neurons. Cell Death Dis. 2018, 9, 363. [Google Scholar] [CrossRef]
- De Castro Ribeiro, M.; Hirt, L.; Bogousslavsky, J.; Regli, L.; Badaut, J. Time Course of Aquaporin Expression after Transient Focal Cerebral Ischemia in Mice. J. Neurosci. Res. 2006, 83, 1231–1240. [Google Scholar] [CrossRef] [PubMed]
- Tang, G.; Yang, G.Y. Aquaporin-4: A Potential Therapeutic Target for Cerebral Edema. Int. J. Mol. Sci. 2016, 17, 1413. [Google Scholar] [CrossRef] [PubMed]
- Chu, H.; Huang, C.; Ding, H.; Dong, J.; Gao, Z.; Yang, X.; Tang, Y.; Dong, Q. Aquaporin-4 and Cerebrovascular Diseases. Int. J. Mol. Sci. 2016, 17, 1249. [Google Scholar] [CrossRef] [PubMed]
- Aoki, K.; Uchihara, T.; Tsuchiya, K.; Nakamura, A.; Ikeda, K.; Wakayama, Y. Enhanced Expression of Aquaporin 4 in Human Brain with Infarction. Acta Neuropathol. 2003, 106, 121–124. [Google Scholar] [CrossRef] [PubMed]
- Satoh, J.I.; Tabunoki, H.; Yamamura, T.; Arima, K.; Konno, H. Human Astrocytes Express Aquaporin-1 and Aquaporin-4 In Vitro and In Vivo. Neuropathology 2007, 27, 245–256. [Google Scholar] [CrossRef]
- Shi, W.Z.; Zhao, C.Z.; Zhao, B.; Shi, Q.J.; Zhang, L.H.; Wang, Y.F.; Fang, S.H.; Lu, Y.B.; Zhang, W.P.; Wei, E.Q. Aggravated Inflammation and Increased Expression of Cysteinyl Leukotriene Receptors in the Brain after Focal Cerebral Ischemia in AQP4-Deficient Mice. Neurosci. Bull. 2012, 28, 680–692. [Google Scholar] [CrossRef]
- Shi, W.Z.; Qi, L.L.; Fang, S.H.; Lu, Y.B.; Zhang, W.P.; Wei, E.Q. Aggravated Chronic Brain Injury after Focal Cerebral Ischemia in Aquaporin-4-Deficient Mice. Neurosci. Lett. 2012, 520, 121–125. [Google Scholar] [CrossRef]
- Zeng, X.N.; Xie, L.L.; Liang, R.; Sun, X.L.; Fan, Y.; Hu, G. AQP4 Knockout Aggravates Ischemia/Reperfusion Injury in Mice. CNS Neurosci. Ther. 2012, 18, 388–394. [Google Scholar] [CrossRef]
- Hirt, L.; Fukuda, A.M.; Ambadipudi, K.; Rashid, F.; Binder, D.; Verkman, A.; Ashwal, S.; Obenaus, A.; Badaut, J. Improved Long-Term Outcome after Transient Cerebral Ischemia in Aquaporin-4 Knockout Mice. J. Cereb. Blood Flow. Metab. 2017, 37, 277–290. [Google Scholar] [CrossRef]
- Manley, G.T.; Fujimura, M.; Ma, T.; Noshita, N.; Filiz, F.; Bollen, A.W.; Chan, P.; Verkman, A.S. Aquaporin-4 Deletion in Mice Reduces Brain Edema after Acute Water Intoxication and Ischemic Stroke. Nat. Med. 2000, 6, 159–163. [Google Scholar] [CrossRef]
- Ramiro, L.; Simats, A.; Penalba, A.; Garcia-Tornel, A.; Rovira, A.; Mancha, F.; Bustamante, A.; Montaner, J. Circulating Aquaporin-4 as A Biomarker of Early Neurological Improvement in Stroke Patients: A Pilot Study. Neurosci. Lett. 2020, 714, 134580. [Google Scholar] [CrossRef] [PubMed]
- Lin, L.F.H.; Doherty, D.H.; Lile, J.D.; Bektesh, S.; Collins, F. GDNF: A Glial Cell Line-Derived Neurotrophic Factor for Midbrain Dopaminergic Neurons. Science 1993, 260, 1130–1132. [Google Scholar] [CrossRef] [PubMed]
- Azevedo, M.D.; Sander, S.; Tenenbaum, L. GDNF, A Neuron-Derived Factor Upregulated in Glial Cells during Disease. J. Clin. Med. 2020, 9, 456. [Google Scholar] [CrossRef] [PubMed]
- Duarte, E.P.; Curcio, M.; Canzoniero, L.M.; Duarte, C.B. Neuroprotection by GDNF in the Ischemic Brain. Growth Factors 2012, 30, 242–257. [Google Scholar] [CrossRef] [PubMed]
- Zhang, Z.; Zhang, N.; Ding, S. Glial Cell Line-Derived Neurotrophic Factor in Brain Repair after Focal Ischemic Stroke. Neural Regen. Res. 2022, 17, 1735. [Google Scholar] [CrossRef]
- Liu, Y.; Wang, S.; Luo, S.; Li, Z.; Liang, F.; Zhu, Y.; Pei, Z.; Huang, R. Intravenous PEP-1-GDNF Is Protective after Focal Cerebral Ischemia in Rats. Neurosci. Lett. 2016, 617, 150–155. [Google Scholar] [CrossRef]
- Ollen-Bittle, N.; Roseborough, A.D.; Wang, W.; Wu, J.; Liang, D.; Whitehead, S.N. Mechanisms and Biomarker Potential of Extracellular Vesicles in Stroke. Biology 2022, 11, 1231. [Google Scholar] [CrossRef]
- Forró, T.; Manu, D.R.; Băjenaru, O.L.; Bălașa, R. GFAP as Astrocyte-Derived Extracellular Vesicle Cargo in Acute Ischemic Stroke Patients—A Pilot Study. Int. J. Mol. Sci. 2024, 25, 5726. [Google Scholar] [CrossRef]
- Jing, S.; Wen, D.; Yu, Y.; Holst, P.L.; Luo, Y.; Fang, M.; Tamir, R.; Antonio, L.; Hu, Z.; Cupples, R.; et al. GDNF-Induced Activation of the Ret Protein Tyrosine Kinase Is Mediated by GDNFR-α, a Novel Receptor for GDNF. Cell 1996, 85, 1113–1124. [Google Scholar] [CrossRef]
- Wang, X.; Li, A.; Fan, H.; Li, Y.; Yang, N.; Tang, Y. Astrocyte-Derived Extracellular Vesicles for Ischemic Stroke: Therapeutic Potential and Prospective. Aging Dis. 2023, 15, 1227–1254. [Google Scholar] [CrossRef]
- Edwardson, M.A.; Mitsuhashi, M.; Van Epps, D. Elevation of Astrocyte-Derived Extracellular Vesicles over the First Month Post-Stroke in Humans. Sci. Rep. 2024, 14, 5272. [Google Scholar] [CrossRef] [PubMed]
- Khan, S.; Lokman, N.A.; Oehler, M.K.; Ricciardelli, C.; Yool, A.J. Reducing the Invasiveness of Low- and High-Grade Endometrial Cancers in Both Primary Human Cancer Biopsies and Cell Lines by the Inhibition of Aquaporin-1 Channels. Cancers 2023, 15, 4507. [Google Scholar] [CrossRef] [PubMed]
- Verkman, A.S.; Smith, A.J.; Phuan, P.-W.; Tradtrantip, L.; Anderson, M.O. The Aquaporin-4 Water Channel as a Potential Drug Target in Neurological Disorders. Expert. Opin. Ther. Targets 2017, 21, 1161–1170. [Google Scholar] [CrossRef] [PubMed]
- Lu, M.; Lee, M.D.; Smith, B.L.; Jung, J.S.; Agre, P.; Verdijk, M.A.J.; Merkx, G.; Rijss, J.P.L.; Deen, P.M.T. The Human AQP4 Gene: Definition of the Locus Encoding Two Water Channel Polypeptides in Brain. Proc. Natl. Acad. Sci. USA 1996, 93, 10908–10912. [Google Scholar] [CrossRef] [PubMed]
- Sorbo, J.G.; Moe, S.E.; Ottersen, O.P.; Holen, T. The Molecular Composition of Square Arrays. Biochemistry 2008, 47, 2631–2637. [Google Scholar] [CrossRef]
- Jin, B.J.; Rossi, A.; Verkman, A.S. Model of Aquaporin-4 Supramolecular Assembly in Orthogonal Arrays Based on Heterotetrameric Association of M1-M23 Isoforms. Biophys. J. 2011, 100, 2936. [Google Scholar] [CrossRef]
- Salman, M.M.; Kitchen, P.; Halsey, A.; Wang, M.X.; Törnroth-Horsefield, S.; Conner, A.C.; Badaut, J.; Iliff, J.J.; Bill, R.M. Emerging Roles for Dynamic Aquaporin-4 Subcellular Relocalization in CNS Water Homeostasis. Brain 2022, 145, 64. [Google Scholar] [CrossRef]
- de Bellis, M.; Cibelli, A.; Mola, M.G.; Pisani, F.; Barile, B.; Mastrodonato, M.; Banitalebi, S.; Amiry-Moghaddam, M.; Abbrescia, P.; Frigeri, A.; et al. Orthogonal Arrays of Particle Assembly Are Essential for Normal Aquaporin-4 Expression Level in the Brain. Glia 2021, 69, 473–488. [Google Scholar] [CrossRef]
- Terris, J.; Ecelbarger, C.A.; Marples, D.; Knepper, M.A.; Nielsen, S. Distribution of Aquaporin-4 Water Channel Expression within Rat Kidney. Am. J. Physiol. 1995, 269, F775–F785. [Google Scholar] [CrossRef]
- Cutler, C.P.; Harmon, S.; Walsh, J.; Burch, K. Characterization of Aquaporin 4 Protein Expression and Localization in Tissues of the Dogfish (Squalus acanthias). Front. Physiol. 2012, 3, 21. [Google Scholar] [CrossRef]
- Cintrón-Colón, A.F.; Almeida-Alves, G.; Boynton, A.M.; Spitsbergen, J.M. GDNF Synthesis, Signaling, and Retrograde Transport in Motor Neurons. Cell Tissue Res. 2020, 382, 47–56. [Google Scholar] [CrossRef] [PubMed]
- Shibata, S.B.; Osumi, Y.; Yagi, M.; Kanda, S.; Kawamoto, K.; Kuriyama, H.; Nishiyama, T.; Yamashita, T. Administration of Amitriptyline Attenuates Noise-Induced Hearing Loss via Glial Cell Line-Derived Neurotrophic Factor (GDNF) Induction. Brain Res. 2007, 1144, 74–81. [Google Scholar] [CrossRef] [PubMed]
- Moretto, G.; Walker, D.G.; Lanteri, P.; Taioli, F.; Zaffagnini, S.; Xu, R.Y.; Rizzuto, N. Expression and Regulation of Glial-Cell-Line-Derived Neurotrophic Factor (GDNF) MRNA in Human Astrocytes In Vitro. Cell Tissue Res. 1996, 286, 257–262. [Google Scholar] [CrossRef] [PubMed]
- Qi, H.; Li, D.Q.; Bian, F.; Chuang, E.Y.; Jones, D.B.; Pflugfelder, S.C. Expression of Glial Cell-Derived Neurotrophic Factor and Its Receptor in the Stem-Cell-Containing Human Limbal Epithelium. Br. J. Ophthalmol. 2008, 92, 1269. [Google Scholar] [CrossRef][Green Version]
- Cao, H.; He, Q.; von Eyben, R.; Bloomstein, J.; Nambiar, D.K.; Viswanathan, V.; Aggarwal, S.; Kwok, S.; Liang, R.; Koong, A.J.; et al. The Role of Glial Cell Derived Neurotrophic Factor in Head and Neck Cancer. PLoS ONE 2020, 15, e0229311. [Google Scholar] [CrossRef]
- Euteneuer, S.; Yang, K.H.; Chavez, E.; Leichtle, A.; Loers, G.; Olshansky, A.; Pak, K.; Schachner, M.; Ryan, A.F. Glial Cell Line-Derived Neurotrophic Factor (GDNF) Induces Neuritogenesis in the Cochlear Spiral Ganglion via Neural Cell Adhesion Molecule (NCAM). Mol. Cell Neurosci. 2013, 54, 30–43. [Google Scholar] [CrossRef]
- Mader, S.; Brimberg, L. Aquaporin-4 Water Channel in the Brain and Its Implication for Health and Disease. Cells 2019, 8, 90. [Google Scholar] [CrossRef]
- Nito, C.; Kamada, H.; Endo, H.; Narasimhan, P.; Lee, Y.S.; Chan, P.H. Involvement of Mitogen-Activated Protein Kinase Pathways in Expression of the Water Channel Protein Aquaporin-4 after Ischemia in Rat Cortical Astrocytes. J. Neurotrauma 2012, 29, 2404. [Google Scholar] [CrossRef]
- Badaut, J.; Ashwal, S.; Tone, B.; Regli, L.; Tian, H.R.; Obenaus, A. Temporal and Regional Evolution of Aquaporin-4 Expression and Magnetic Resonance Imaging in a Rat Pup Model of Neonatal Stroke. Pediatr. Res. 2007, 62, 248–254. [Google Scholar] [CrossRef]
- Mogoanta, L.; Ciurea, M.; Pirici, I.; Margaritescu, C.; Simionescu, C.; Ion, D.A.; Pirici, D. Different Dynamics of Aquaporin 4 and Glutamate Transporter-1 Distribution in the Perineuronal and Perivascular Compartments during Ischemic Stroke. Brain Pathol. 2014, 24, 475–493. [Google Scholar] [CrossRef]
- Roşu, G.C.; Pirici, I.; Istrate-Ofiţeru, A.M.; Iovan, L.; Tudorică, V.; Mogoantă, L.; Gîlceavă, I.C.; Pirici, D. Expression Patterns of Aquaporins 1 and 4 in Stroke. Rom. J. Morphol. Embryol. 2019, 60, 823–830. [Google Scholar] [PubMed]
- He, Y.; Yang, Q.; Liu, H.; Jiang, L.; Liu, Q.; Lian, W.; Huang, J. Effect of Blood Pressure on Early Neurological Deterioration of Acute Ischemic Stroke Patients with Intravenous Rt-PA Thrombolysis May Be Mediated through Oxidative Stress Induced Blood-Brain Barrier Disruption and AQP4 Upregulation. J. Stroke Cerebrovasc. Dis. 2020, 29, 104997. [Google Scholar] [CrossRef] [PubMed]
- Wei, G.W.; Wu, G.C.; Cao, X.D. Dynamic Expression of Glial Cell Line-Derived Neurotrophic Factor after Cerebral Ischemia. Neuroreport 2000, 11, 1177–1183. [Google Scholar] [CrossRef] [PubMed]
- Miyazaki, H.; Nagashima, K.; Okuma, Y.; Nomura, Y. Expression of Glial Cell Line-Derived Neurotrophic Factor Induced by Transient Forebrain Ischemia in Rats. Brain Res. 2001, 922, 165–172. [Google Scholar] [CrossRef]
- Abe, K.; Hayashi, T. Expression of the Glial Cell Line-Derived Neurotrophic Factor Gene in Rat Brain after Transient MCA Occlusion. Brain Res. 1997, 776, 230–234. [Google Scholar] [CrossRef]
- Stanne, T.M.; Angerfors, A.; Andersson, B.; Brännmark, C.; Holmegaard, L.; Jern, C. Longitudinal Study Reveals Long-Term Proinflammatory Proteomic Signature After Ischemic Stroke Across Subtypes. Stroke 2022, 53, 2847–2858. [Google Scholar] [CrossRef]
- Kurakina, A.S.; Semenova, T.N.; Schelchkova, N.A.; Guzanova, E.V.; Mukhina, I.V.; Karakulova, J.V.; Grigorieva, V.N. Prognostic Value of Assessment of Glial Cell Line-Derived Neurotrophic Factor in Ischemic Stroke Patients. Perm. Med. J. 2021, 38, 95–102. [Google Scholar] [CrossRef]
- Hazelwood, H.S.; Frank, J.A.; Maglinger, B.; McLouth, C.J.; Trout, A.L.; Turchan-Cholewo, J.; Stowe, A.M.; Pahwa, S.; Dornbos, D.L.; Fraser, J.F.; et al. Plasma Protein Alterations during Human Large Vessel Stroke: A Controlled Comparison Study. Neurochem. Int. 2022, 160, 105421. [Google Scholar] [CrossRef]
- Sariola, H.; Saarma, M. Novel Functions and Signalling Pathways for GDNF. J. Cell Sci. 2003, 116, 3855–3862. [Google Scholar] [CrossRef]
- Luz, M.; Mohr, E.; Fibiger, H.C. GDNF-Induced Cerebellar Toxicity: A Brief Review. Neurotoxicology 2016, 52, 46–56. [Google Scholar] [CrossRef]
- Shami-Shah, A.; Norman, M.; Walt, D.R. Ultrasensitive Protein Detection Technologies for Extracellular Vesicle Measurements. Mol. Cell Proteom. 2023, 22, 100557. [Google Scholar] [CrossRef] [PubMed]
- Skoczylas, Ł.; Gawin, M.; Fochtman, D.; Widłak, P.; Whiteside, T.L.; Pietrowska, M. Immune capture and protein profiling of small extracellular vesicles from human plasma. Proteomics 2024, 24, e2300180. [Google Scholar] [CrossRef] [PubMed]
- Jungblut, M.; Tiveron, M.C.; Barral, S.; Abrahamsen, B.; Knöbel, S.; Pennartz, S.; Schmitz, J.; Perraut, M.; Pfrieger, F.W.; Stoffel, W.; et al. Isolation and Characterization of Living Primary Astroglial Cells Using the New GLAST-Specific Monoclonal Antibody ACSA-1. Glia 2012, 60, 894–907. [Google Scholar] [CrossRef] [PubMed]
- Lin, J.; Zhou, L.; Luo, Z.; Adam, M.I.; Zhao, L.; Wang, F.; Luo, D. Flow Cytometry Analysis of Immune and Glial Cells in a Trigeminal Neuralgia Rat Model. Sci. Rep. 2021, 11, 23569. [Google Scholar] [CrossRef] [PubMed]
- Berger, U.V.; Hediger, M.A. Distribution of the Glutamate Transporters GLT-1 (SLC1A2) and GLAST (SLC1A3) in Peripheral Organs. Anat. Embryol. 2006, 211, 595–606. [Google Scholar] [CrossRef]
- Adams, H.P.; Davis, P.H.; Leira, E.C.; Chang, K.C.; Bendixen, B.H.; Clarke, W.R.; Woolson, R.F.; Hansen, M.D. Baseline NIH Stroke Scale Score Strongly Predicts Outcome after Stroke: A Report of the Trial of Org 10172 in Acute Stroke Treatment (TOAST). Neurology 1999, 53, 126–131. [Google Scholar] [CrossRef]
- Banks, J.L.; Marotta, C.A. Outcomes Validity and Reliability of the Modified Rankin Scale: Implications for Stroke Clinical Trials: A Literature Review and Synthesis. Stroke 2007, 38, 1091–1096. [Google Scholar] [CrossRef]
- ExoQuick® ULTRA EV Isolation System|System Biosciences. Available online: https://www.systembio.com/products/exosome-research/exosome-isolation/exoquick-ultra/serum-and-plasma-0/the-purest-and-highest-yielding-ev-isolation-system (accessed on 17 October 2024).
- Basic Exo-Flow Capture Kit|System Biosciences. Available online: https://www.systembio.com/basic-exo-flow-capture-kit (accessed on 17 October 2024).
- Iwata, J.; Nishikaze, O. New Micro-Turbidimetric Method for Determination of Protein in Cerebrospinal Fluid and Urine. Clin. Chem. 1979, 25, 1317–1319. [Google Scholar] [CrossRef]
- Edwardson, M.A.; Fernandez, S.J. Recruiting Control Participants into Stroke Biomarker. Transl. Stroke Res. 2020, 11, 861. [Google Scholar] [CrossRef]







| Variables | AIS Patients (n = 18) | Controls (n = 9) | Standardized Difference (d) | |
|---|---|---|---|---|
| Sex | Male | 10 (55.6%) | 5 (55.6%) | 0.00 |
| Female | 8 (44.4%) | 4 (44.4%) | ||
| Vascular risk factors | Hypertension | 18 (100%) | 6 (66.6%) | 1 |
| Hyperlipidemia | 4 (22.2%) | 2 (22.2%) | 0.00 | |
| Diabetes | 9 (50%) | 4 (44.4%) | 0.11 | |
| Atrial fibrillation | 3 (16.6%) | 1 (11.1%) | 0.16 | |
| Current smoker | 3 (16.6%) | 2 (22.2%) | 0.14 | |
| EV Protein | Scales | NIHSS | mRS | |||||||||
|---|---|---|---|---|---|---|---|---|---|---|---|---|
| Time Point | D1 | D7 | M1 | D7 | M1 | |||||||
| r | p | r | p | r | p | r | p | r | p | |||
| AQP4 | TEV | D1 | 0.15 | 0.529 | −0.04 | 0.869 | −0.20 | 0.515 | 0.03 | 0.885 | −0.20 | 0.553 |
| D7 | 0.09 | 0.716 | 0.24 | 0.332 | −0.04 | 0.904 | 0.20 | 0.407 | 0.06 | 0.872 | ||
| M1 | 0.23 | 0.468 | −0.15 | 0.619 | −0.04 | 0.904 | −0.05 | 0.862 | −0.06 | 0.872 | ||
| ADEV | D1 | 0.50 | 0.031 * | 0.09 | 0.711 | −0.27 | 0.382 | −0.01 | 0.944 | −0.13 | 0.706 | |
| D7 | 0.20 | 0.423 | 0.22 | 0.361 | 0.01 | 0.958 | 0.20 | 0.423 | −0.10 | 0.789 | ||
| M1 | 0.26 | 0.393 | 0.05 | 0.871 | 0.06 | 0.850 | 0.42 | 0.177 | −0.20 | 0.553 | ||
| GDNF | TEV | D1 | 0.37 | 0.123 | 0.02 | 0.908 | 0.02 | 0.932 | 0.29 | 0.229 | 0.03 | 0.961 |
| D7 | 0.40 | 0.096 | 0.30 | 0.213 | 0.04 | 0.886 | 0.37 | 0.125 | 0.10 | 0.789 | ||
| M1 | 0.42 | 0.169 | 0.20 | 0.512 | 0.11 | 0.727 | 0.37 | 0.227 | −0.03 | 0.961 | ||
| ADEV | D1 | 0.49 | 0.035 * | −0.11 | 0.651 | 0.15 | 0.625 | −0.21 | 0.383 | 0.10 | 0.789 | |
| D7 | 0.53 | 0.021 * | −0.03 | 0.889 | 0.46 | 0.129 | −0.10 | 0.667 | 0.34 | 0.298 | ||
| M1 | 0.52 | 0.082 | 0.36 | 0.238 | 0.49 | 0.107 | 0.34 | 0.279 | 0.54 | 0.079 | ||
Disclaimer/Publisher’s Note: The statements, opinions and data contained in all publications are solely those of the individual author(s) and contributor(s) and not of MDPI and/or the editor(s). MDPI and/or the editor(s) disclaim responsibility for any injury to people or property resulting from any ideas, methods, instructions or products referred to in the content. |
© 2024 by the authors. Licensee MDPI, Basel, Switzerland. This article is an open access article distributed under the terms and conditions of the Creative Commons Attribution (CC BY) license (https://creativecommons.org/licenses/by/4.0/).
Share and Cite
Forró, T.; Manu, D.R.; Barbu-Tudoran, L.; Bălașa, R. Astrocyte Dysfunction Reflected in Ischemia-Induced Astrocyte-Derived Extracellular Vesicles: A Pilot Study on Acute Ischemic Stroke Patients. Int. J. Mol. Sci. 2024, 25, 12471. https://doi.org/10.3390/ijms252212471
Forró T, Manu DR, Barbu-Tudoran L, Bălașa R. Astrocyte Dysfunction Reflected in Ischemia-Induced Astrocyte-Derived Extracellular Vesicles: A Pilot Study on Acute Ischemic Stroke Patients. International Journal of Molecular Sciences. 2024; 25(22):12471. https://doi.org/10.3390/ijms252212471
Chicago/Turabian StyleForró, Timea, Doina Ramona Manu, Lucian Barbu-Tudoran, and Rodica Bălașa. 2024. "Astrocyte Dysfunction Reflected in Ischemia-Induced Astrocyte-Derived Extracellular Vesicles: A Pilot Study on Acute Ischemic Stroke Patients" International Journal of Molecular Sciences 25, no. 22: 12471. https://doi.org/10.3390/ijms252212471
APA StyleForró, T., Manu, D. R., Barbu-Tudoran, L., & Bălașa, R. (2024). Astrocyte Dysfunction Reflected in Ischemia-Induced Astrocyte-Derived Extracellular Vesicles: A Pilot Study on Acute Ischemic Stroke Patients. International Journal of Molecular Sciences, 25(22), 12471. https://doi.org/10.3390/ijms252212471

