Molecules That Have Rarely Been Studied in Lymphatic Endothelial Cells
Abstract
1. Introduction
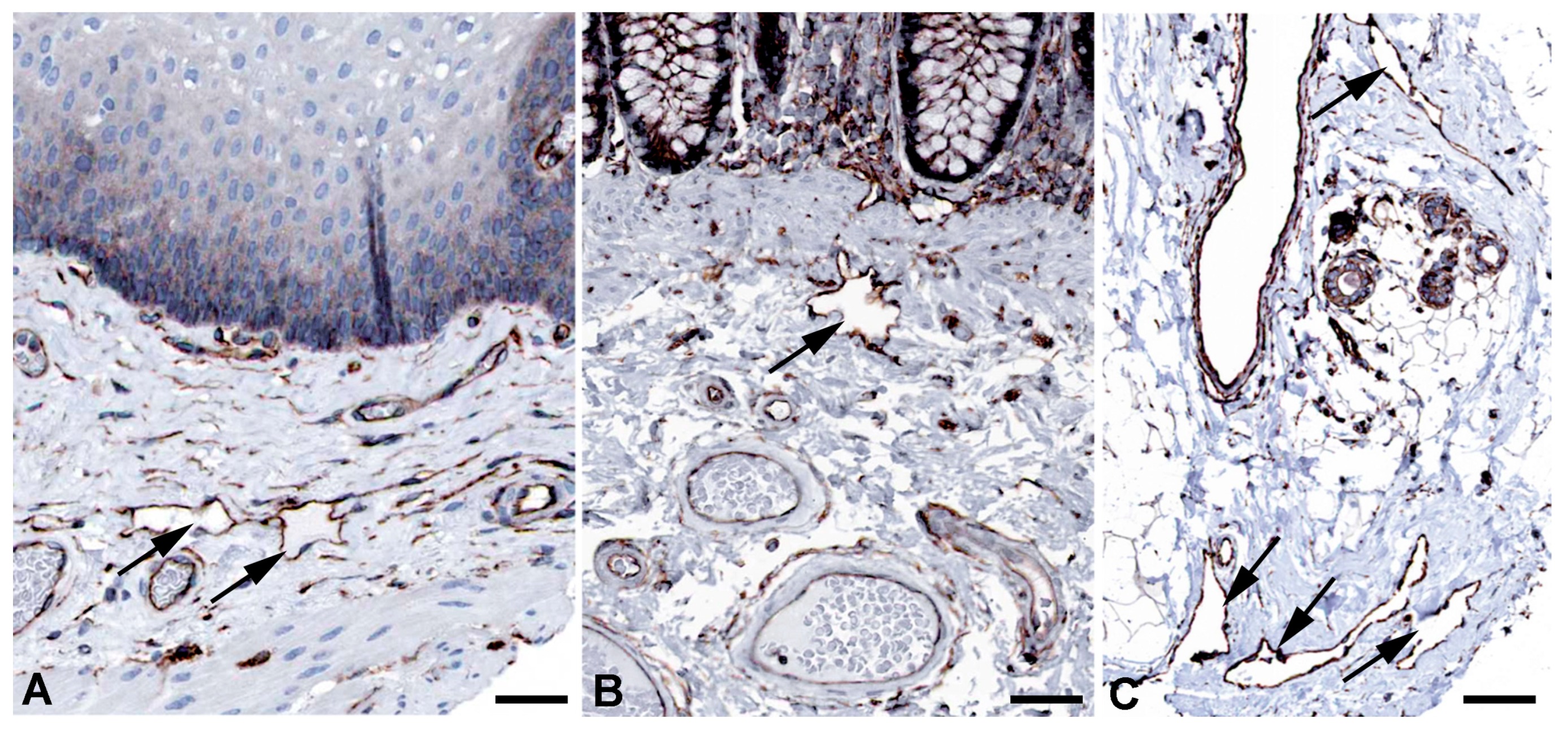
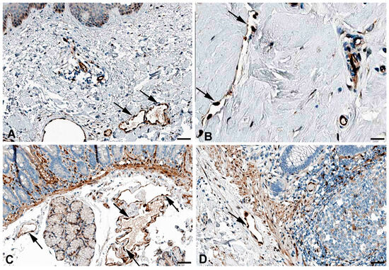
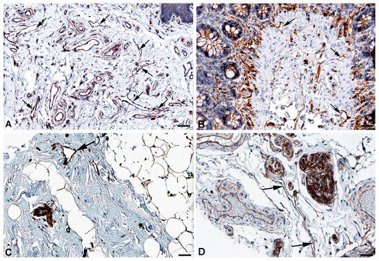
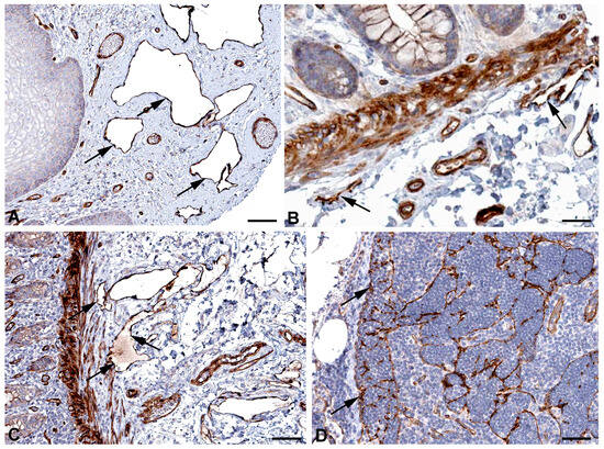
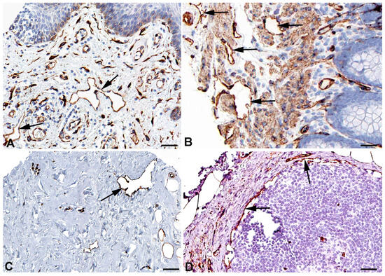
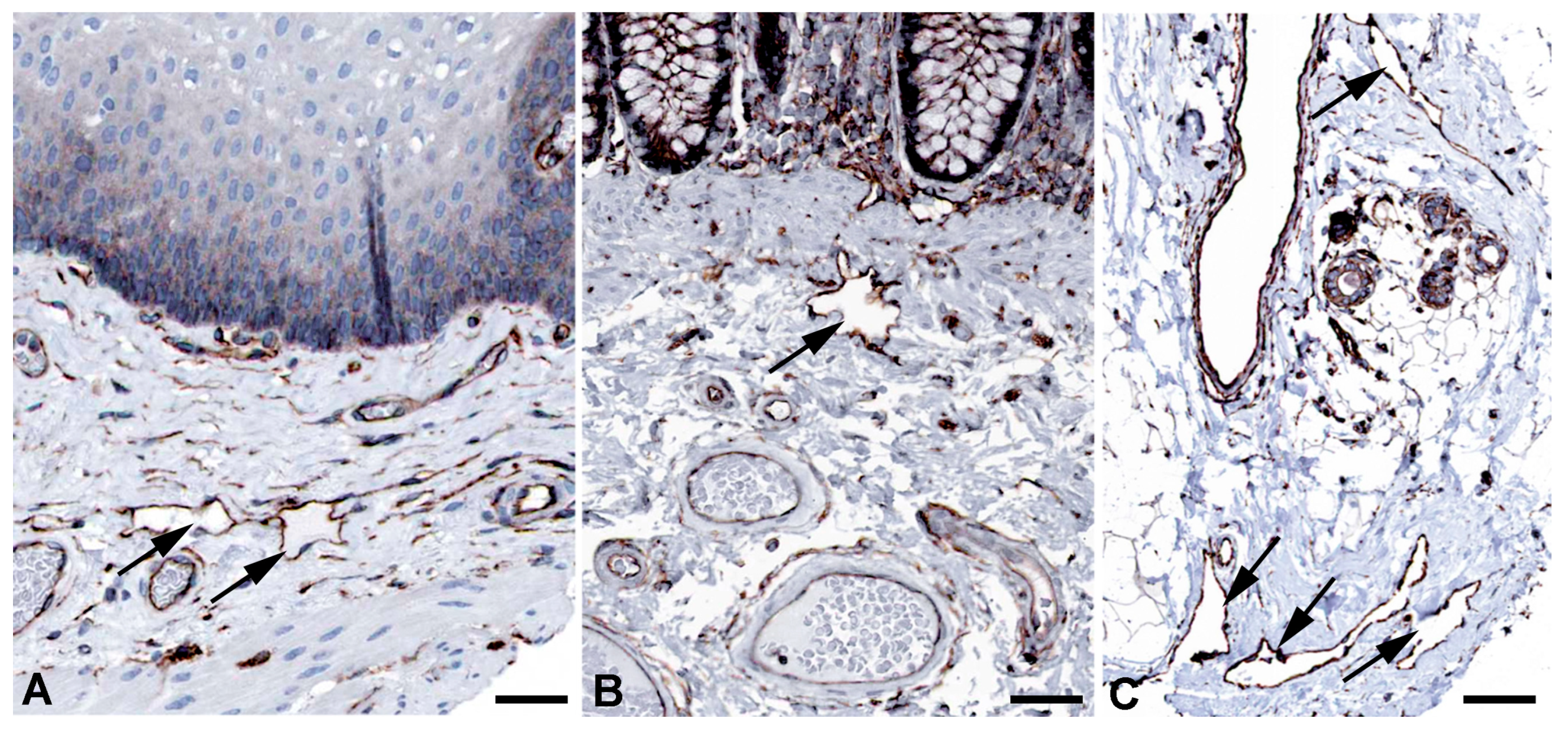
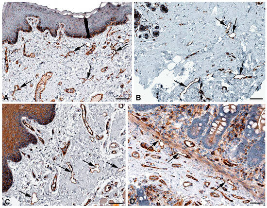
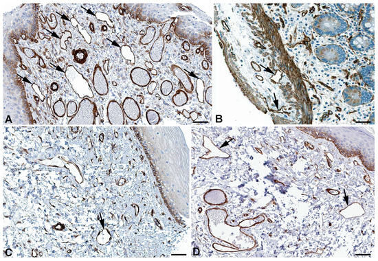
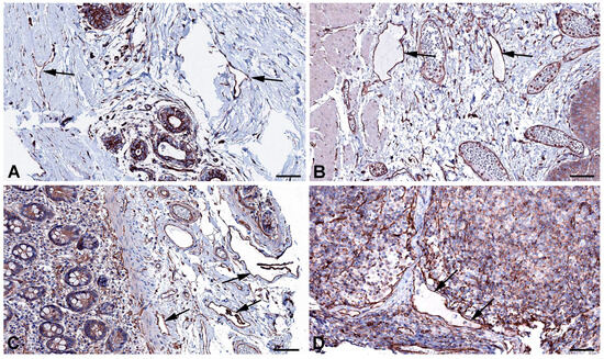
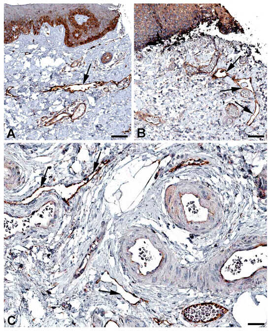
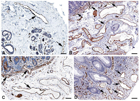
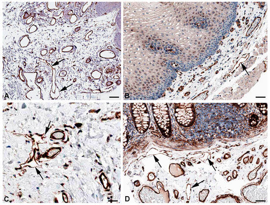
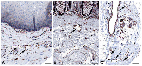
2. Results and Discussion
3. Materials and Methods
3.1. Cell Culture
3.2. RNA Sequencing
3.3. Immunofluorescence (IF)
3.4. Immunohistochemistry
4. Conclusions
Author Contributions
Funding
Institutional Review Board Statement
Informed Consent Statement
Data Availability Statement
Acknowledgments
Conflicts of Interest
Abbreviations
References
- Rusznyák, I.; Földi, M.; Szabó, G. Lymphologie. Physiologie und Pathologie der Lymphgefäße und des Lymphkreislaufes; Akadémiai Kiadó: Budapest, Hungary, 1969. [Google Scholar]
- Asellius, G. De Lactibus, Sive Lacteis Venis, Quarto Vasorum Mesaraicorum Genere, Novo Invento Gasparis Asellii Cremonensis; Ex Officina Iohannis Maire 1640: Milan, Italy, 1627. [Google Scholar]
- Mascagni, P. Vasorum Lymphaticorum Corporis Humani, Historia et Ichnographia; Senis: Ex Typographia Pazzini Carli. 1787. Available online: https://archive.org/details/ldpd_11735328_000/page/n7/mode/2up (accessed on 5 November 2024).
- Rudbeck, O. Nova Exercitatio Anatomica, Exhibens Ductos Hepaticos Aquosos, et Vasa Glandularum Serosa (1653); Almquist and Wiksells: Uppsala, Sweden, 1930. [Google Scholar]
- Witte, M.H.; Jones, K.; Wilting, J.; Dictor, M.; Selg, M.; McHale, N.; Gershenwald, J.E.; Jackson, D.G. Structure Function Relationships in the Lymphatic System and Implications for Cancer Biology. Cancer Metastasis Rev. 2006, 25, 159–184. [Google Scholar] [CrossRef] [PubMed]
- Oliver, G.; Kipnis, J.; Randolph, G.J.; Harvey, N.L. The Lymphatic Vasculature in the 21st Century: Novel Functional Roles in Homeostasis and Disease. Cell 2020, 182, 270–296. [Google Scholar] [CrossRef] [PubMed]
- Martin-Almedina, S.; Mortimer, P.S.; Ostergaard, P. Development and Physiological Functions of the Lymphatic System: Insights from Human Genetic Studies of Primary Lymphedema. Physiol. Rev. 2021, 101, 1809–1871. [Google Scholar] [CrossRef] [PubMed]
- Wilting, J.; Becker, J. The Lymphatic Vascular System: Much More than Just a Sewer. Cell Biosci. 2022, 12, 157. [Google Scholar] [CrossRef]
- Petrova, T.V.; Koh, G.Y. Organ-Specific Lymphatic Vasculature: From Development to Pathophysiology. J. Exp. Med. 2018, 215, 35–49. [Google Scholar] [CrossRef]
- Becker, J.; Schwoch, S.; Zelent, C.; Sitte, M.; Salinas, G.; Wilting, J. Transcriptome Analysis of Hypoxic Lymphatic Endothelial Cells Indicates Their Potential to Contribute to Extracellular Matrix Rearrangement. Cells 2021, 10, 1008. [Google Scholar] [CrossRef]
- Podgrabinska, S.; Braun, P.; Velasco, P.; Kloos, B.; Pepper, M.S.; Skobe, M. Molecular Characterization of Lymphatic Endothelial Cells. Proc. Natl. Acad. Sci. USA 2002, 99, 16069–16074. [Google Scholar] [CrossRef]
- Hasselhof, V.; Sperling, A.; Buttler, K.; Ströbel, P.; Becker, J.; Aung, T.; Felmerer, G.; Wilting, J. Morphological and Molecular Characterization of Human Dermal Lymphatic Collectors. PLoS ONE 2016, 11, e0164964. [Google Scholar] [CrossRef]
- Fujimoto, N.; He, Y.; D’Addio, M.; Tacconi, C.; Detmar, M.; Dieterich, L.C. Single-Cell Mapping Reveals New Markers and Functions of Lymphatic Endothelial Cells in Lymph Nodes. PLoS Biol. 2020, 18, e3000704. [Google Scholar] [CrossRef]
- Park, S.M.; Angel, C.E.; McIntosh, J.D.; Mansell, C.J.; Chen, C.-J.J.; Cebon, J.; Dunbar, P.R. Mapping the Distinctive Populations of Lymphatic Endothelial Cells in Different Zones of Human Lymph Nodes. PLoS ONE 2014, 9, e94781. [Google Scholar] [CrossRef]
- Wigle, J.T.; Oliver, G. Prox1 Function Is Required for the Development of the Murine Lymphatic System. Cell 1999, 98, 769–778. [Google Scholar] [CrossRef] [PubMed]
- Harvey, N.L.; Srinivasan, R.S.; Dillard, M.E.; Johnson, N.C.; Witte, M.H.; Boyd, K.; Sleeman, M.W.; Oliver, G. Lymphatic Vascular Defects Promoted by Prox1 Haploinsufficiency Cause Adult-Onset Obesity. Nat. Genet. 2005, 37, 1072–1081. [Google Scholar] [CrossRef] [PubMed]
- Wong, B.W.; Wang, X.; Zecchin, A.; Thienpont, B.; Cornelissen, I.; Kalucka, J.; García-Caballero, M.; Missiaen, R.; Huang, H.; Brüning, U.; et al. The Role of Fatty Acid β-Oxidation in Lymphangiogenesis. Nature 2017, 542, 49–54. [Google Scholar] [CrossRef] [PubMed]
- Wilting, J.; Papoutsi, M.; Christ, B.; Nicolaides, K.H.; von Kaisenberg, C.S.; Borges, J.; Stark, G.B.; Alitalo, K.; Tomarev, S.I.; Niemeyer, C.; et al. The Transcription Factor Prox1 Is a Marker for Lymphatic Endothelial Cells in Normal and Diseased Human Tissues. FASEB J. 2002, 16, 1271–1273. [Google Scholar] [CrossRef]
- Kaipainen, A.; Korhonen, J.; Mustonen, T.; van Hinsbergh, V.W.; Fang, G.H.; Dumont, D.; Breitman, M.; Alitalo, K. Expression of the Fms-like Tyrosine Kinase 4 Gene Becomes Restricted to Lymphatic Endothelium during Development. Proc. Natl. Acad. Sci. USA 1995, 92, 3566–3570. [Google Scholar] [CrossRef]
- Banerji, S.; Ni, J.; Wang, S.X.; Clasper, S.; Su, J.; Tammi, R.; Jones, M.; Jackson, D.G. LYVE-1, a New Homologue of the CD44 Glycoprotein, Is a Lymph-Specific Receptor for Hyaluronan. J. Cell Biol. 1999, 144, 789–801. [Google Scholar] [CrossRef]
- Breiteneder-Geleff, S.; Soleiman, A.; Kowalski, H.; Horvat, R.; Amann, G.; Kriehuber, E.; Diem, K.; Weninger, W.; Tschachler, E.; Alitalo, K.; et al. Angiosarcomas Express Mixed Endothelial Phenotypes of Blood and Lymphatic Capillaries: Podoplanin as a Specific Marker for Lymphatic Endothelium. Am. J. Pathol. 1999, 154, 385–394. [Google Scholar] [CrossRef]
- Mattonet, K.; Wilting, J.; Jeltsch, M. Genetic Causes of Primary Lymphedema [German: Die Genetischen Ursachen des Primären Lymphödems]. In Erkrankungen des Lymphgefäßsystems; Weissleder, H., Schuchhardt, C., Eds.; Viavital Verlag: Köln, Germany, 2015; pp. 210–229. [Google Scholar]
- Modaghegh, M.H.S.; Tanzadehpanah, H.; Kamyar, M.M.; Manoochehri, H.; Sheykhhasan, M.; Forouzanfar, F.; Mahmoudian, R.A.; Lotfian, E.; Mahaki, H. The Role of Key Biomarkers in Lymphatic Malformation: An Updated Review. J. Gene Med. 2024, 26, e3665. [Google Scholar] [CrossRef]
- Mäkinen, T.; Boon, L.M.; Vikkula, M.; Alitalo, K. Lymphatic Malformations: Genetics, Mechanisms and Therapeutic Strategies. Circ. Res. 2021, 129, 136–154. [Google Scholar] [CrossRef]
- Petkova, M.; Ferby, I.; Mäkinen, T. Lymphatic Malformations: Mechanistic Insights and Evolving Therapeutic Frontiers. J. Clin. Investig. 2024, 134, e172844. [Google Scholar] [CrossRef]
- Wilting, J.; Felmerer, G.; Becker, J. Control of the Extracellular Matrix by Hypoxic Lymphatic Endothelial Cells: Impact on the Progression of Lymphedema? Dev. Dyn. 2023, 252, 227–238. [Google Scholar] [CrossRef] [PubMed]
- Thul, P.J.; Lindskog, C. The Human Protein Atlas: A Spatial Map of the Human Proteome. Protein Sci. Publ. Protein Soc. 2018, 27, 233–244. [Google Scholar] [CrossRef] [PubMed]
- Casley-Smith, J.R.; Florey, H.W. The Structure of Normal Small Lymphatics. Q. J. Exp. Physiol. Cogn. Med. Sci. 1961, 46, 101–106. [Google Scholar] [CrossRef] [PubMed]
- Sabesin, S.M.; Frase, S. Electron Microscopic Studies of the Assembly, Intracellular Transport, and Secretion of Chylomicrons by Rat Intestine. J. Lipid Res. 1977, 18, 496–511. [Google Scholar] [CrossRef]
- Zhang, F.; Zarkada, G.; Han, J.; Li, J.; Dubrac, A.; Ola, R.; Genet, G.; Boyé, K.; Michon, P.; Künzel, S.E.; et al. Lacteal Junction Zippering Protects against Diet-Induced Obesity. Science 2018, 361, 599–603. [Google Scholar] [CrossRef]
- Arif, S.; Richer, M.; Larochelle, S.; Moulin, V.J. Microvesicles Derived from Dermal Myofibroblasts Modify the Integrity of the Blood and Lymphatic Barriers Using Distinct Endocytosis Pathways. J. Extracell. Biol. 2024, 3, e151. [Google Scholar] [CrossRef]
- Bansal, D.; Miyake, K.; Vogel, S.S.; Groh, S.; Chen, C.-C.; Williamson, R.; McNeil, P.L.; Campbell, K.P. Defective Membrane Repair in Dysferlin-Deficient Muscular Dystrophy. Nature 2003, 423, 168–172. [Google Scholar] [CrossRef]
- McMahon, A.P.; Giebelhaus, D.H.; Champion, J.E.; Bailes, J.A.; Lacey, S.; Carritt, B.; Henchman, S.K.; Moon, R.T. cDNA Cloning, Sequencing and Chromosome Mapping of a Non-Erythroid Spectrin, Human Alpha-Fodrin. Differ. Res. Biol. Divers. 1987, 34, 68–78. [Google Scholar] [CrossRef]
- Chang, J.G.; Scarpa, A.; Eddy, R.L.; Byers, M.G.; Harris, A.S.; Morrow, J.S.; Watkins, P.; Shows, T.B.; Forget, B.G. Cloning of a Portion of the Chromosomal Gene and cDNA for Human Beta-Fodrin, the Nonerythroid Form of Beta-Spectrin. Genomics 1993, 17, 287–293. [Google Scholar] [CrossRef]
- Liem, R.K.H. Cytoskeletal Integrators: The Spectrin Superfamily. Cold Spring Harb. Perspect. Biol. 2016, 8, a018259. [Google Scholar] [CrossRef]
- Leak, L.V.; Liotta, L.A.; Krutzsch, H.; Jones, M.; Fusaro, V.A.; Ross, S.J.; Zhao, Y.; Petricoin, E.F. Proteomic Analysis of Lymph. Proteomics 2004, 4, 753–765. [Google Scholar] [CrossRef] [PubMed]
- Posner, M.G. Multimerin-1 and Cancer: A Review. Biosci. Rep. 2022, 42, BSR20211248. [Google Scholar] [CrossRef] [PubMed]
- Hayward, C.P.; Hassell, J.A.; Denomme, G.A.; Rachubinski, R.A.; Brown, C.; Kelton, J.G. The cDNA Sequence of Human Endothelial Cell Multimerin. A Unique Protein with RGDS, Coiled-Coil, and Epidermal Growth Factor-like Domains and a Carboxyl Terminus Similar to the Globular Domain of Complement C1q and Collagens Type VIII and X. J. Biol. Chem. 1995, 270, 18246–18251. [Google Scholar] [CrossRef] [PubMed]
- Ji, R.C.; Kato, S. Histochemical Analysis of Lymphatic Endothelial Cells in Lymphostasis. Microsc. Res. Tech. 2001, 55, 70–80. [Google Scholar] [CrossRef] [PubMed]
- Umekage, T.; Kato, K. A Mouse Brain cDNA Encodes a Novel Protein with the Protein Kinase C Phosphorylation Site Domain Common to MARCKS. FEBS Lett. 1991, 286, 147–151. [Google Scholar] [CrossRef]
- Stumpo, D.J.; Eddy, R.L.; Haley, L.L.; Sait, S.; Shows, T.B.; Lai, W.S.; Young, W.S.; Speer, M.C.; Dehejia, A.; Polymeropoulos, M.; et al. Promoter Sequence, Expression, and Fine Chromosomal Mapping of the Human Gene (MLP) Encoding the MARCKS-like Protein: Identification of Neighboring and Linked Polymorphic Loci for MLP and MACS and Use in the Evaluation of Human Neural Tube Defects. Genomics 1998, 49, 253–264. [Google Scholar] [CrossRef]
- Björkblom, B.; Padzik, A.; Mohammad, H.; Westerlund, N.; Komulainen, E.; Hollos, P.; Parviainen, L.; Papageorgiou, A.C.; Iljin, K.; Kallioniemi, O.; et al. C-Jun N-Terminal Kinase Phosphorylation of MARCKSL1 Determines Actin Stability and Migration in Neurons and in Cancer Cells. Mol. Cell. Biol. 2012, 32, 3513–3526. [Google Scholar] [CrossRef]
- Jonsdottir, K.; Zhang, H.; Jhagroe, D.; Skaland, I.; Slewa, A.; Björkblom, B.; Coffey, E.T.; Gudlaugsson, E.; Smaaland, R.; Janssen, E.A.M.; et al. The Prognostic Value of MARCKS-like 1 in Lymph Node-Negative Breast Cancer. Breast Cancer Res. Treat. 2012, 135, 381–390. [Google Scholar] [CrossRef]
- Maguchi, M.; Nishida, W.; Kohara, K.; Kuwano, A.; Kondo, I.; Hiwada, K. Molecular Cloning and Gene Mapping of Human Basic and Acidic Calponins. Biochem. Biophys. Res. Commun. 1995, 217, 238–244. [Google Scholar] [CrossRef]
- Liu, R.; Jin, J.-P. Calponin Isoforms CNN1, CNN2 and CNN3: Regulators for Actin Cytoskeleton Functions in Smooth Muscle and Non-Muscle Cells. Gene 2016, 585, 143–153. [Google Scholar] [CrossRef]
- Ciuba, K.; Hawkes, W.; Tojkander, S.; Kogan, K.; Engel, U.; Iskratsch, T.; Lappalainen, P. Calponin-3 Is Critical for Coordinated Contractility of Actin Stress Fibers. Sci. Rep. 2018, 8, 17670. [Google Scholar] [CrossRef] [PubMed]
- Maddala, R.; Mongan, M.; Xia, Y.; Rao, P.V. Calponin-3 Deficiency Augments Contractile Activity, Plasticity, Fibrogenic Response and Yap/Taz Transcriptional Activation in Lens Epithelial Cells and Explants. Sci. Rep. 2020, 10, 1295. [Google Scholar] [CrossRef] [PubMed]
- Cho, H.; Kim, J.; Ahn, J.H.; Hong, Y.-K.; Mäkinen, T.; Lim, D.-S.; Koh, G.Y. YAP and TAZ Negatively Regulate Prox1 During Developmental and Pathologic Lymphangiogenesis. Circ. Res. 2019, 124, 225–242. [Google Scholar] [CrossRef] [PubMed]
- Zhong, W.; Jiang, H.; Zou, Y.; Ren, J.; Li, Z.; He, K.; Zhao, J.; Zhou, X.; Mou, D.; Cai, Y. The YAP Signaling Pathway Promotes the Progression of Lymphatic Malformations through the Activation of Lymphatic Endothelial Cells. Pediatr. Res. 2021, 89, 110–117. [Google Scholar] [CrossRef]
- Lee, S.; Finn, L.; Sze, R.W.; Perkins, J.A.; Sie, K.C. Gorham Stout Syndrome (Disappearing Bone Disease): Two Additional Case Reports and a Review of the Literature. Arch. Otolaryngol. Head Neck Surg. 2003, 129, 1340–1343. [Google Scholar] [CrossRef]
- Leite, I.; Hernández-Martín, A.; Colmenero, I.; López-Gutiérrez, J.C.; Torrelo, A. Invasive Lymphatic Malformation (Gorham-Stout) of the Pelvis with Prominent Skin Involvement. Pediatr. Dermatol. 2013, 30, 374–378. [Google Scholar] [CrossRef]
- Ghaffarpour, N.; Baselga, E.; Boon, L.M.; Diociaiuti, A.; Dompmartin, A.; Dvorakova, V.; El Hachem, M.; Gasparella, P.; Haxhija, E.; Kyrklund, K.; et al. The VASCERN-VASCA Working Group Diagnostic and Management Pathways for Lymphatic Malformations. Eur. J. Med. Genet. 2022, 65, 104637. [Google Scholar] [CrossRef]
- Tan, W.; Fu, H.; Zhou, X.; Duan, Y.; Yin, N.; Huang, J.; Liu, X. ANKRD37 Inhibits Trophoblast Migration and Invasion by Regulating the NF-κB Pathway in Preeclampsia. J. Gene Med. 2022, 24, e3416. [Google Scholar] [CrossRef]
- Benita, Y.; Kikuchi, H.; Smith, A.D.; Zhang, M.Q.; Chung, D.C.; Xavier, R.J. An Integrative Genomics Approach Identifies Hypoxia Inducible Factor-1 (HIF-1)-Target Genes That Form the Core Response to Hypoxia. Nucleic Acids Res. 2009, 37, 4587–4602. [Google Scholar] [CrossRef]
- Zhu, Y.; Kakinuma, N.; Wang, Y.; Kiyama, R. Kank Proteins: A New Family of Ankyrin-Repeat Domain-Containing Proteins. Biochim. Biophys. Acta 2008, 1780, 128–133. [Google Scholar] [CrossRef]
- Guo, S.S.; Seiwert, A.; Szeto, I.Y.Y.; Fässler, R. Tissue Distribution and Subcellular Localization of the Family of Kidney Ankyrin Repeat Domain (KANK) Proteins. Exp. Cell Res. 2021, 398, 112391. [Google Scholar] [CrossRef] [PubMed]
- Janeway, C.; Travers, P.; Walport, M.; Shlomchik, M. Immunobiology: The Immune System in Health and Disease; Garland Pub.: New York, NY, USA, 2001; Volume 2. [Google Scholar]
- Okada, N.; Harada, R.; Fujita, T.; Okada, H. A Novel Membrane Glycoprotein Capable of Inhibiting Membrane Attack by Homologous Complement. Int. Immunol. 1989, 1, 205–208. [Google Scholar] [CrossRef] [PubMed]
- Nevo, Y.; Ben-Zeev, B.; Tabib, A.; Straussberg, R.; Anikster, Y.; Shorer, Z.; Fattal-Valevski, A.; Ta-Shma, A.; Aharoni, S.; Rabie, M.; et al. CD59 Deficiency Is Associated with Chronic Hemolysis and Childhood Relapsing Immune-Mediated Polyneuropathy. Blood 2013, 121, 129–135. [Google Scholar] [CrossRef]
- Ma, Y.; Zhang, K.; Wu, Y.; Fu, X.; Liang, S.; Peng, M.; Guo, J.; Liu, M. Revisiting the Relationship between Complement and Ulcerative Colitis. Scand. J. Immunol. 2023, 98, e13329. [Google Scholar] [CrossRef]
- Dejana, E. The Role of Wnt Signaling in Physiological and Pathological Angiogenesis. Circ. Res. 2010, 107, 943–952. [Google Scholar] [CrossRef]
- Lutze, G.; Haarmann, A.; Demanou Toukam, J.A.; Buttler, K.; Wilting, J.; Becker, J. Non-Canonical WNT-Signaling Controls Differentiation of Lymphatics and Extension Lymphangiogenesis via RAC and JNK Signaling. Sci. Rep. 2019, 9, 4739. [Google Scholar] [CrossRef]
- Kurooka, H.; Kato, K.; Minoguchi, S.; Takahashi, Y.; Ikeda, J.; Habu, S.; Osawa, N.; Buchberg, A.M.; Moriwaki, K.; Shisa, H.; et al. Cloning and Characterization of the Nucleoredoxin Gene That Encodes a Novel Nuclear Protein Related to Thioredoxin. Genomics 1997, 39, 331–339. [Google Scholar] [CrossRef]
- Person, A.D.; Beiraghi, S.; Sieben, C.M.; Hermanson, S.; Neumann, A.N.; Robu, M.E.; Schleiffarth, J.R.; Billington, C.J.; van Bokhoven, H.; Hoogeboom, J.M.; et al. WNT5A Mutations in Patients with Autosomal Dominant Robinow Syndrome. Dev. Dyn. 2010, 239, 327–337. [Google Scholar] [CrossRef]
- White, J.J.; Mazzeu, J.F.; Coban-Akdemir, Z.; Bayram, Y.; Bahrambeigi, V.; Hoischen, A.; van Bon, B.W.M.; Gezdirici, A.; Gulec, E.Y.; Ramond, F.; et al. WNT Signaling Perturbations Underlie the Genetic Heterogeneity of Robinow Syndrome. Am. J. Hum. Genet. 2018, 102, 27–43. [Google Scholar] [CrossRef]
- von Recklinghausen, F. Die Lymphgefässe und ihre Beziehung zum Bindegewebe; A. Hirschwald: Berlin, Germany, 1862. [Google Scholar]
- Trzewik, J.; Mallipattu, S.K.; Artmann, G.M.; Delano, F.A.; Schmid-Schonbein, G.W. Evidence for a Second Valve System in Lymphatics: Endothelial Microvalves. FASEB J. 2001, 15, 1711–1717. [Google Scholar] [CrossRef]
- Baluk, P.; Fuxe, J.; Hashizume, H.; Romano, T.; Lashnits, E.; Butz, S.; Vestweber, D.; Corada, M.; Molendini, C.; Dejana, E. Functionally Specialized Junctions between Endothelial Cells of Lymphatic Vessels. J. Exp. Med. 2007, 204, 2349–2362. [Google Scholar] [CrossRef] [PubMed]













| Gene_ID | Gene-Name | Chromos. | Start | End | Width | Strand | Gene_Bio-Type | HDLEC-5 | HDLEC-6 | HDLEC-7 | Hypox-5 | Hypox-6 | Hypox-7 |
|---|---|---|---|---|---|---|---|---|---|---|---|---|---|
| ENSG00000186352 | ANKRD37 | 4 | 1.85 × 108 | 1.85 × 108 | 4608 | + | protein_cod. | 93 | 117 | 124 | 312 | 549 | 650 |
| ENSG00000105974 | CAV1 | 7 | 1.17 × 108 | 1.17 × 108 | 36,184 | + | protein_cod. | 28,254 | 22,816 | 40,041 | 41,886 | 29,070 | 44,229 |
| ENSG00000105971 | CAV2 | 7 | 1.16 × 108 | 1.17 × 108 | 221,162 | + | protein_cod. | 5923 | 6362 | 8339 | 8258 | 7425 | 10,628 |
| ENSG00000085063 | CD59 | 11 | 33,703,010 | 33,736,491 | 33,482 | − | protein_cod. | 25,997 | 30,542 | 33,420 | 25,878 | 36,425 | 34,222 |
| ENSG00000117519 | CNN3 | 4 | 94,896,949 | 94,927,223 | 30,275 | − | protein_cod. | 16,690 | 24,868 | 11,454 | 14,357 | 20,711 | 8938 |
| ENSG00000135636 | DYSF | 2 | 71,453,722 | 71,686,768 | 233,047 | + | protein_cod. | 2656 | 1698 | 4385 | 3354 | 2205 | 5193 |
| ENSG00000186994 | KANK3 | 19 | 8,322,584 | 8,343,262 | 20,679 | − | protein_cod. | 2257 | 4008 | 2949 | 3946 | 4202 | 5177 |
| ENSG00000175130 | MARCKSL1 | 1 | 32,333,839 | 32,336,233 | 2395 | − | protein_cod. | 8786 | 9698 | 8004 | 8408 | 7819 | 4811 |
| ENSG00000138722 | MMRN1 | 4 | 89,879,532 | 89,954,629 | 75,098 | + | protein_cod. | 199,494 | 204,322 | 16,869 | 263,839 | 303,443 | 38,908 |
| ENSG00000138119 | MYOF | 10 | 93,306,429 | 93,482,334 | 175,906 | − | protein_cod. | 12,506 | 4987 | 5959 | 11,865 | 2877 | 11,681 |
| ENSG00000167693 | NXN | 17 | 799,310 | 979,776 | 180,467 | − | protein_cod. | 5647 | 7278 | 2263 | 4813 | 5743 | 2401 |
| ENSG00000115155 | OTOF | 2 | 26,457,203 | 26,558,698 | 101,496 | − | protein_cod. | 1187 | 1088 | 464 | 499 | 109 | 146 |
| ENSG00000197694 | SPTAN1 | 9 | 1.29 × 108 | 1.29 × 108 | 81,105 | + | protein_cod. | 10,798 | 8181 | 6610 | 8411 | 9524 | 8409 |
| ENSG00000115306 | SPTBN1 | 2 | 54,456,317 | 54,671,446 | 215,130 | + | protein_cod. | 23,119 | 28,282 | 11,418 | 25,384 | 39,160 | 14,477 |
Disclaimer/Publisher’s Note: The statements, opinions and data contained in all publications are solely those of the individual author(s) and contributor(s) and not of MDPI and/or the editor(s). MDPI and/or the editor(s) disclaim responsibility for any injury to people or property resulting from any ideas, methods, instructions or products referred to in the content. |
© 2024 by the authors. Licensee MDPI, Basel, Switzerland. This article is an open access article distributed under the terms and conditions of the Creative Commons Attribution (CC BY) license (https://creativecommons.org/licenses/by/4.0/).
Share and Cite
Becker, J.; Wilting, J. Molecules That Have Rarely Been Studied in Lymphatic Endothelial Cells. Int. J. Mol. Sci. 2024, 25, 12226. https://doi.org/10.3390/ijms252212226
Becker J, Wilting J. Molecules That Have Rarely Been Studied in Lymphatic Endothelial Cells. International Journal of Molecular Sciences. 2024; 25(22):12226. https://doi.org/10.3390/ijms252212226
Chicago/Turabian StyleBecker, Jürgen, and Jörg Wilting. 2024. "Molecules That Have Rarely Been Studied in Lymphatic Endothelial Cells" International Journal of Molecular Sciences 25, no. 22: 12226. https://doi.org/10.3390/ijms252212226
APA StyleBecker, J., & Wilting, J. (2024). Molecules That Have Rarely Been Studied in Lymphatic Endothelial Cells. International Journal of Molecular Sciences, 25(22), 12226. https://doi.org/10.3390/ijms252212226

